Abstract
During megakaryocyte differentiation, the promegakaryoblast (immature megakaryocyte) increases its ploidy to a 2x DNA content by a poorly understood process called endomitosis. This leads to the formation of a giant cell, the megakaryocyte (MK), which subsequently gives rise to platelets. In this report, we show that endomitotis of human MKs is due to abortive mitosis. Human MKs were obtained by a two-step purification of CD34+ blood or marrow precursors followed by in vitro culture in the presence of MK growth factors. Microcoscopic examination shows that a large number of centrosomes (up to 32) and centrioles are present in polyploid MKs. After nocodazole treatment, more than 20% of the MK are blocked in a typical pseudo-metaphase. Both spontaneous and nocodazole-induced endomitosis are associated with a breakdown of the nuclear envelope and possess a complex mitotic spindle composed of several asters. Spindle microtubules radiate from each aster, creating a spherical structure. At metaphase, expression of the kinetochore phosphoepitope recognized by the 3F3/2 antibody is lost, and the sister chromatides segregate moving toward the spindle poles. After limited segregation, the chromosomes decondense and the nuclear envelope reforms in the absence of cytokinesis, isolating all chromosomes in a single nucleus. It has been proposed that endomitosis could be due to an abnormal CDK1 activity or an absence of cyclin B1. Our results show that cyclin B1 can be detected in all MKs, including those with a ploidy of 8N or more. The cyclin B1 staining colocalizes with the mitotic spindle. Using flow cytometry, the level of cyclin B1 increased until 8N, but remained identical in 16N and 32N MKs. Cell sorting was used to separate the MKs into a 2N/4N and >4N population. Both cyclin B1 and CDK1 could be detected in the endomitotic polyploid MKs using Western blot analysis, and a histone H1 kinase activity was associated with immunoprecipitated cyclin B1. We conclude that endomitosis of human MKs is due to abortive mitosis, possibly due to alterations in the regulation of mitotic exit.
PLATELETS ARE ANUCLEATE blood cells formed by a unique process of cytoplasmic fragmentation of their polyploid bone marrow precursors, the megakaryocytes (MKs). The number of platelets in the circulation is regulated by two independent parameters1: (1) the total number of MKs produced in the marrow and (2) the size of the MKs, which is a function of their ploidy. Polyploidization begins in immature MK and leads to a 2xN cell with a single polylobulated nucleus by a process called endomitosis.2 This process is associated with an increase in MK cytoplasmic volume and, thus, indirectly regulates platelet production. Endomitosis only occurs during terminal differentiation of the cell. At the MK progenitor level, hematopoietic growth factors induce proliferation regulating the number of MKs in the marrow.1,3-5 During differentiation, MK progenitors begin to synthesize specific platelet proteins.6-9 This acquisition of platelet markers is soon followed by a switch from a mitotic to an endomitotic process,10 whereby the cell begins to replicate its DNA in the absence of cytokinesis and karyokinesis.11 The humoral regulator of platelet production has recently been isolated12-15 and designated either Mpl-ligand (Mpl-L),13,15 thrombopoietin (TPO),14 or megakaryocyte growth and development factor (MGDF).12 Mpl-L acts at all stages of MK differentiation, inducing proliferation of the progenitors, polyploidization, and cytoplasmic maturation of more mature cells.4,5,13,16 17
The process of MK polyploidization is poorly characterized. To explain endomitosis, three main theories have been proposed. First, MK DNA replication may occur during a continuous S phase until the hyperploid stage is obtained. Thereafter, DNA synthesis stops and MKs undergo cytoplasmic maturation leading to platelet shedding. This abnormality has been described in Chinese hamster cells with the ts41 mutation.18 However, experiments showing that MKs undergo several rounds of replication interrupted by short gaps2,19and synthesize cyclin D3 have essentially invalidated this hypothesis.19 Second, it has been proposed that the MK cell cycle is abnormal with the absence of mitosis and consists of alternating resting phases (G1+G2) and S phases up to the 2xN ploidy level. Several recent reports on cell cycle regulation during polyploidization have favored this hypothesis by showing an alteration in CDK1 kinase activity,19-23 which is necessary for entry into mitosis.24,25 These changes in kinase activity could be due to the absence or very low amounts of cyclin B1,19,22,23 an alteration of the CDK1/cyclin B1 complex formation,20 or downregulation of CDC25C phosphatase.21 However, except for the two intitial reports,19,22 the precise description of the cell cycle abnormalities during polyploidization was established using murine and human cell lines with an MK phenotype. The human cell lines were derived from leukemia patients and treated with phorbol esters to promote the MK phenotype.20,21,26 Third, it is possible that endomitosis may correspond to incomplete mitosis with the absence of karyokinesis and cytokinesis. The original nomenclature, endomitosis, implies that chromosome condensation occurs in the absence of spindle and nuclear membrane breakdown.27 However, the occurence of an incomplete mitosis with breakdown of the nuclear envelope has been supported by several morphologic observations of MKs undergoing endomitosis. Although preliminary, these early observations led to the concept of a defective metaphase/anaphase transition in MK endomitosis.28,29 The major difficulty in performing a detailed study of endomitosis is related to the low frequency of MKs in the marrow and to the rarity of MKs undergoing endomitosis. However, due to the recent discovery of Mpl-L,12-15 it is now possible to grow large numbers of MKs in vitro and to perform a detailed analysis of the endomitotic process.
In this report, human MKs were obtained by a two-step purification of CD34+ blood or bone marrow precursors followed by in vitro culture in the presence of pegylated MGDF (PEG-rhuMGDF, a truncated form of Mpl-L). Microscopic examination of endomitosis was performed in the presence or absence of nocodozole, an agent that blocks the cell cycle in prometaphase. The different components involved in mitosis were studied, including centrosomes and centrioles, lamin B, kinetochores, and tubulin. Our results clearly show a breakdown of the nuclear envelope during endomitosis, which is accompanied by DNA condensation of normal appearing chromosomes, and the formation of a complex spherical mitotic spindle. The metaphase was followed by chromatid separation and movement of the chromosomes towards the spindle poles. Finally, catalytically active cyclin B1 was demonstrated in polyploid endomitotic MKs.
MATERIALS AND METHODS
Antibodies.
Fluorescein isothiocyanate (FITC)-labeled anti-CD41b (Tab; a generous gift from R. McEver [Oklahoma City, OK] and conjugated by S. Burstein [Oklahoma City, OK]) and phycoerythrin (R-PE)-conjugated anti-CD34 (HPCA-2; Becton Dickinson, Mountain View, CA) were used for flow cytometric analysis. A monoclonal antibody (MoAb) against cyclin B1 and its IgG1 isotype-specific control were purchased from Pharmingen (San Diego, CA). MoAbs against centrioles and centrosomes (CTR 210) were a generous gift from M. Bornens (Institut Curie, Paris, France). MoAb 3F3/2 was generously provided by G.J. Gorbsky (Charlottesville, VA). MoAbs against α and β tubulins were purchased from Amersham (Buckinghamshire, UK). Antibodies against lamin B and kinetochores were of human origin and were obtained from patients with a lupus-like syndrome.30 These sera were kindly provided by J.C. Brouet (Hôpital St Louis, Paris, France). Rabbit polyclonal antibody against von Willebrand factor (vWF) was obtained from Dako (Glostrup, Denmark). The rabbit polyclonal antibodies raised against cyclin B1 used for analysis by Western blotting and by fluorescence microcospy were provided from Santa Cruz Biotechnology (Santa Cruz, CA) and from J. Pines (Wellcome/CRC Institute, Cambridge, UK), respectively. The mouse monoclonal and the rabbit polyclonal antibodies raised towards CDK1 were purchased respectively from Santa Cruz Biotechnology and from GIBCO (Paisley, Scotland). FITC-conjugated sheep antimouse IgG (Silenus, Hawthorn, Australia), tetramethylrhodamine isothiocyanate (TRITC)-conjugated goat antimouse IgG (Jackson ImmunoResearch, West Grove, CA), FITC-goat antirabbit IgG (Caltag, San Francisco, CA), and TRITC-goat antirabbit or antihuman IgG (Jackson ImmunoResearch) were used for indirect immunofluorescence assays.
Purification of CD34+ cells.
CD34+ cells were purified from human blood or bone marrow using a two-step procedure. After obtaining informed consent from the patients, precursor blood cells were isolated either from normal bone marrow of patients undergoing hip surgery or from the peripheral blood of patients after mobilization by chemotherapy and granulocyte colony-stimulating factor. The precursor cells were separated over a Ficoll-metrizoate gradient (Lymphoprep; Nycomed Pharma, Oslo, Norway) to obtain an enriched fraction of mononucleated cells. CD34+ cells were then isolated using the Miltenyi immunomagnetic bead technique as previously reported.31Cells were incubated for 15 minutes at 4°C with a mouse MoAb directed against CD34 (QBEND-10) and human Ig to block nonspecific binding. Subsequently, an antibody raised against mouse IgG conjugated to magnetic beads was added for 15 minutes at 4°C. The CD34+ cells were retained on the column and were eluted by pressure using the plunger supplied with the column. The purity was estimated by labeling with an R-PE-labeled MoAb directed toward CD34 (HPCA-2, clone 8G2; Becton Dickinson) and was about 90% after two passages through the column.
In vitro liquid cultures of MKs from CD34+cells.
CD34+ cells were grown for 7 to 10 days in Iscove's modified Dulbecco's medium (GIBCO) containing penicillin/streptomycine/glutamine (250 U/mL, 250 μg/mL, 2 mmol/L; Sigma Chemical Co, St Louis, MO), 1.5% deionized bovine serum albumin (BSA; Cohn fraction V; Sigma), iron-saturated human transferrin (300 μg/mL; Sigma), and a mixture of sonicated lipids (20 μg/mL) prepared as previously reported.4 The medium was supplemented with PEG-rhuMGDF (10 ng/mL; a generous gift from J.L. Nichol, Amgen, Thousand Oaks, CA) either alone or in combination with 50 ng/mL recombinant human stem cell factor (SCF; a generous gift from Amgen). In some experiments, 1 μg/mL nocodazole (Sigma) was added for 5 hours to the culture media to synchronize the cells.
Cell lines.
The UT-7 cell line32 was grown in α-Minimum Eagle Medium (α-MEM; GIBCO) supplemented with 10% fetal calf serum (GIBCO), penicillin/streptomycine/glutamine (250 U/mL, 250 U/mL, 2 mmol/L; Sigma), and 2 ng/mL human recombinant granulocyte-macrophage colony-stimulating factor (GM-CSF; a generous gift from Immunex, Seattle, WA). An Mpl-L–responsive UT-7 clone was also used. This cell line was a gift from D. Duménil and F. Goncalvés (INSERM U362, Institut Gustave Roussy, Villejuif, France) and was obtained by the transfer of the human c-mpl coding sequence with a retroviral vector (UT-7/c-mpl). By changing the cytokine from GM-CSF to PEG-rhuMGDF, an increase in the MK phenotype could be obtained resulting in the presence of some polyploid cells (5% of the cells >4N). These cell lines were used as positive controls.
Immunolabeling for fluorescence microscopy.
Cells were cytocentrifuged at 500 rpm for 4 minutes, fixed in methanol (Carlo Erba; Rodano, Italy) for 5 minutes at −20°C, and rehydrated in phosphate-buffered saline (PBS). The cells were permeabilized for 5 minutes with 0.1% Tween 20 (Sigma) before incubation for 1 hour at room temperature with the appropriate antibodies. The antibodies used included hybridoma supernatant fluid directed against centrosomes or centrioles diluted at 1:2, human antibody directed toward lamin B (diluted at 1:500), and a rabbit antibody directed against vWF (54 ng/mL). After three washes with PBS, cells were incubated for 1 hour at room temperature with the appropriate secondary antibodies (FITC sheep antimouse IgG, TRITC goat antihuman or antimouse IgG, and TRITC or FITC goat against rabbit IgG). DNA was labeled by Hoechst 33258 at 7.5 ng/mL (Hoechst 33258; Sigma) for 15 minutes in the dark.
The cell preparations were analyzed with a fluorescence microscope equipped with the appropriate filter combinations (Zeiss, Oberkochen, Germany) or with a paraconfocal microscope (CellScan; Bionis Atlantic, Clamart, France).33
Immunolabeling for confocal microcopy.
Cells were centrifuged at 300g for 10 minutes at 37°C onto circular slides covered with polylysine (1 mg/mL; Sigma). The cells were fixed for 5 minutes with a microtubule stabilizing buffer MTSB (80 mmol/L K-PIPES, pH 6.5, 5 mmol/L EGTA, and 2 mmol/L MgCl2for a 5× solution) containing 3% paraformaldehyde and then permeabilized for 15 minutes with the same buffer containing 0.2% saponin at room temperature. The immunostaining technique was the same as described above, except that dilution of the antibodies and washes were performed in PBS-GT (1× PBS without Ca2+ or Mg2+, 0.1% Triton X-100). The antibodies used included mouse antibodies (a mixture of 2 MoAbs directed towards α and β tubulins diluted at 60 μg/mL, anti-3F3 diluted at 1:1,000), rabbit polyclonal antibodies (anti-vWF, anti-cyclin B1 diluted at 1:200), and human antibody (anti-kinetochores diluted at 1:500). DNA was labeled with propidium iodide (10 μg/mL) for 30 minutes at room temperature in the dark after 30 minutes of incubation with RNAse A (1 mg/mL, preincubated for 15 minutes at 95°C to inactivate contaminating DNAse; Boehringer Mannheim, Meylan, France).
Immunolabeling for flow cytometric analysis.
Cultured cells were washed in PBS before fixation in 80% ethanol. Cells were maintained for at least 24 hours at −20°C, washed in PBS containing 1% BSA and permeabilized with 0.25% Tween 20 (Sigma) at 4°C for 15 minutes. After two centrifugations at 200g, cells were incubated at 4°C for 30 minutes with either the anti-cyclin B1 MoAb (2.5 μg/mL) or with control IgG1 antibodies. The anti-cyclin B1 MoAb used in these experiments (Pharmingen) has been widely used to detect cyclin B1 in normal and leukemic cells by flow cytometry.34-36 The cells were then washed twice and incubated with FITC-labeled sheep antimouse Ig for 30 minutes at 4°C. Finally, PBS containing 50 μg/mL propidium iodide (Sigma) and 100 μg/mL RNase A was added to the cell pellet for approximately 2 hours. Cell samples were analyzed on a FACSort (Becton Dickinson) equipped with an argon laser (15 mW, 480 nm excitation). FITC and propidium iodide were assigned to the FL1 and FL3 channels, respectively, whereas the FL3A and FL3W channels were used to exclude cell aggregates. For each sample, 10,000 cells were acquired in the list mode and analyzed with the Cellquest software package (Becton Dickinson).
Cell sorting of MKs.
Cells were recovered after 8 days of culture and incubated with the FITC-Tab MoAb directed against the MK-specific cell surface receptor CD41b (GpIIb) for 30 minutes at 4°C in their culture medium. Cells were washed in PBS-EDTA and incubated for an additional 2 hours with 0.01 mmol/L Hoechst 33342 (Sigma) at 37°C. MKs were sorted according to their DNA content using a FACSVantage cytometer (Becton Dickinson) equipped with two argon lasers (tuned to 488 and 360 nm, respectively, and operating at 500 mW; Coherent Radiation, Palo Alto, CA) and a 200- or 300-μm nozzle. A morphologic gate, including all the CD41+ cells, was determined on two-parameter histograms (side scatter [SSC] v forward scatter [FSC]). Pulse processing using FSC width and UV emission was used to exclude cell aggregates. The sorting gate was constructed using the intersection of these gates. CD41+ cells were sorted into a 2N/4N and a >4N cell fraction at 500 cells/s at 4°C. The quality of the sorted cells was confirmed by microcospic examination and flow cytometric reanalysis. Less than 5% single cells in aggregates was observed in the >4N cell fraction as determined by fluorescence microscopy.
Western blot analysis.
Soluble proteins obtained from approximately 5 × 105 to 5 × 106 cells lysed in Laemmli buffer (0.125 mmol/L Tris, pH 6.8, 4% sodium dodecyl sulfate [SDS], 20% glycerol, 10% β mercaptoethanol, 1 μg/mL aprotinin, and 0.02% bromophenol blue) were separated by SDS-polyacrylamide gel electrophoresis (SDS-PAGE; 12%) and then transferred electrophoretically (130 mA, 90 minutes) onto a nitrocellulose membrane (Biorad, Hercules, CA) in a buffer containing 25 mmol/L Tris, 192 mmol/L glycine, 0.01% SDS, and 20% methanol. Nonspecific binding was inhibited by a preincubation with dried milk overnight at 4°C. The membranes were incubated for 90 minutes at room temperature with the different primary antibodies, including a rabbit polyclonal antibody raised against human cyclin B1 (0.1 μg/mL; Santa Cruz) and a mouse or a polyclonal antibody directed against human CDK1 (1 μg/mL and 2 μg/mL, respectively). After two washes with TBS-Tween (10 mmol/L Tris, pH 7.5, 150 mmol/L NaCl, 0.1% Tween, 0.02% NaN3), the membranes were incubated for 30 minutes at room temperature with either goat antirabbit or antimouse antibodies conjugated to horseradish peroxidase diluted at 1:5,000 and 1:10,000, respectively (Amersham), or with I125 protein A (Amersham). The bands were developed with an enhanced chemiluminescence system (ECL kit; Amersham) or by autoradiography.
Immunoprecipitation and kinase assays.
The cells were washed once with PBS and incubated in lysis buffer (50 mmol/L Tris, pH 7.4, 250 mmol/L NaCl, 5 mmol/L EDTA, 0.5% Nonidet P-40, and a mixture of protease inhibitors purchased from Boehringer Mannheim) for 10 minutes on ice. After centrifugation at 15,000g for 5 minutes, the supernatant was incubated with a mouse MoAb raised against human cyclin B1 (GNS-1; 1 μg per 106 cells; Pharmingen) for 6 hours at 4°C. Protein A-sepharose CL-4B (Pharmacia) was added (50 μL) and incubated overnight at 4°C. The beads were washed three times with the lysis buffer and twice with kinase buffer (50 mmol/L Tris-HCl, pH 7.4, 10 mmol/L MgCl2, 0.1 mg/mL BSA) by centrifugation at 2,500g for 5 minutes. The pellet was incubated in 50 μL kinase buffer with Histone H1 (20 μg), a magnesium ATP/(γ-32P)ATP [10 μCi (γ-32P)ATP, 500 μmol/L ATP], and protease inhibitor mixtures for 30 minutes at 25°C. The reaction products were resuspended in SDS-PAGE buffer and loaded on a 12% polyacrylamide gel followed by autoradiography.
RESULTS
In vitro MK culture.
In the bone marrow, MKs represent approximately 0.1% of the cell population, and only about 1% of the MKs is undergoing endomitosis at a given time. For this reason, human MKs were obtained using a two-step purification of CD34+ blood and bone marrow precursors, followed by in vitro culture in the presence of PEG-rhuMGDF. MKs were fully mature by day 12, although their average ploidy was much lower than what has been described for MKs in the bone marrow.4MKs began to polyploidize after about 6 days of culture, and most of the studies described below were performed between days 6 and 10 with culture samples containing 50% to 80% MKs (80% with PEG-rhuMGDF alone and 50% with SCF plus PEG-rhuMGDF). By day 8, about 20% of the MKs are proliferating, as demonstrated by propidium iodide staining and flow cytometric analysis.
Presence of several centrosomes and centrioles in polyploid MK.
During the cell cycle, centrosomes and centrioles are separated at the end of the G2 phase or in prophase.37 In five experiments, cultures were studied at day 8 and the cells were examined by microscopy after immunostaining using a three-color method. MKs were identified by their reactivity with a rabbit polyclonal anti-vWF antibody (FITC), centrosomes and centrioles by murine MoAbs (TRITC), and DNA by the Hoechst dye. As shown in Fig1a and b, a large MK with a polylobulated nucleus exhibited several centrioles that occasionally were clustered in the cytoplasm. Their precise number was difficult to determine, because each spot was at the threshold of detection. Therefore, para-confocal microscopy was used to obtain better resolution. As shown in Fig 1c, several centrioles (>16) were observed throughout the cytoplasm. The same results were observed using an anti-centrosome MoAb, and up to 32 centrosomes per MK could be identified. These findings confirmed previous ultrastructural studies of MKs from the bone marrow,38 39 indicating that, during polyploidization, MKs go through several G2/early prophases.
Polyploid MKs have several centrioles. CD34+ cells purified from blood cytapheresis or bone marrow were grown in the presence of PEG-rhuMGDF and SCF or PEG-rhuMGDF alone. At day 8, cells were recovered, cytocentrifuged, fixed, and permeabilized. Cells were double-labeled by indirect immunofluorescence and the DNA was counterstained by the Hoechst dye. Cells were examined with a conventional fluorescence microscope (a and b) and by confocal microscopy (c). (a) Observation with a combination of filters permitting simultaneous visualization of FITC and Hoechst staining. Labeling with an MK-specific antibody directed toward vWF (FITC) shows a granular pattern. Original magnification × 1,000. (b) Centrioles appear as red spots (TRITC) in the cytoplasm. These spots (∼16) appear to be clustered in the Golgi area of this MK. (c) Centrioles (red) are better observed by a confocal microscopy and can be seen to be scattered in the cytoplasm of the MK. Original magnification × 2,000.
Polyploid MKs have several centrioles. CD34+ cells purified from blood cytapheresis or bone marrow were grown in the presence of PEG-rhuMGDF and SCF or PEG-rhuMGDF alone. At day 8, cells were recovered, cytocentrifuged, fixed, and permeabilized. Cells were double-labeled by indirect immunofluorescence and the DNA was counterstained by the Hoechst dye. Cells were examined with a conventional fluorescence microscope (a and b) and by confocal microscopy (c). (a) Observation with a combination of filters permitting simultaneous visualization of FITC and Hoechst staining. Labeling with an MK-specific antibody directed toward vWF (FITC) shows a granular pattern. Original magnification × 1,000. (b) Centrioles appear as red spots (TRITC) in the cytoplasm. These spots (∼16) appear to be clustered in the Golgi area of this MK. (c) Centrioles (red) are better observed by a confocal microscopy and can be seen to be scattered in the cytoplasm of the MK. Original magnification × 2,000.
MKs enter into mitosis.
Cultures were treated with 1 μg/mL nocodazole for 5 hours, which resulted in an accumulation of about 20% of the MKs in prometaphase. Higher concentrations of nocodazole or longer exposure time did not modify these results. After staining with May-Grünwald Giemsa, polyploid metaphases were observed in large MKs. As shown in Fig 2a, more than 200 well-individualized chromosomes could be identified in a single MK. The number of arms per chromosome was normal. Similar findings were observed with fluorescent probes using an anti-vWF antibody to identify MKs and Hoechst staining to visualize condensed chromosomes (Fig 2b). To determine if the nuclear envelope breaks down, a human antibody directed against lamin B was used. This antibody labeled the nuclear envelope in interphase MK by an intense linear staining surrounding the nucleus (Fig 2c). In contrast, there was either no labeling or only a faint dispersed labeling corresponding to residual nuclear vesicles in endomitotic MK (Fig 2d, e, and f) as well as in MKs blocked in prometaphase. In comparison, a human antibody directed against the kinetochores showed a different pattern of labeling with numerous spots in the nucleus.
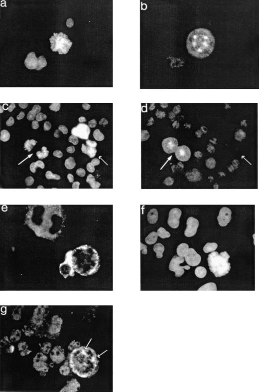
Polyploid MKs in prometaphase. Cultures were performed as described in Fig 1, except that nocodazole (1 μg/mL) was added in some experiments to 8-day culture for 5 hours. Cells were stained either by May-Grünwald Giemsa or labeled by antibodies (FITC or TRITC) and counterstained by the Hoechst dye (blue) after cytocentrifugation and fixation. (a) This MK is blocked in pseudometaphase by nocodazole. Well-condensed, individualized chromosomes are present. The cytoplasm already has a granular pattern with purple staining localized to one pole of the cell that may correspond to granules (arrow). The nuclear envelope is not apparent. Original magnification × 2,000. (b) Two large MKs (appointed by arrow) are labeled by an anti-vWF antibody (FITC) and conterstained by Hoechst. These endomitotic MKs with condensed chromosomes are blocked in prometaphase. Original magnification × 1,000. (c) An MK in interphase is labeled by the human anti-lamin B antibody (TRITC). The polylobulated nucleus is surrounded by a distinct linear red labeling. Original magnification × 1,000. (d, e, and f) A polyploid MK in spontaneous metaphase is shown. Expression of vWF (FITC; d), Hoechst (e), and lamin B (TRITC; f). Only a faint and dispersed labeling is observed in TRITC, demonstrating that the nuclear envelope has disappeared.
Polyploid MKs in prometaphase. Cultures were performed as described in Fig 1, except that nocodazole (1 μg/mL) was added in some experiments to 8-day culture for 5 hours. Cells were stained either by May-Grünwald Giemsa or labeled by antibodies (FITC or TRITC) and counterstained by the Hoechst dye (blue) after cytocentrifugation and fixation. (a) This MK is blocked in pseudometaphase by nocodazole. Well-condensed, individualized chromosomes are present. The cytoplasm already has a granular pattern with purple staining localized to one pole of the cell that may correspond to granules (arrow). The nuclear envelope is not apparent. Original magnification × 2,000. (b) Two large MKs (appointed by arrow) are labeled by an anti-vWF antibody (FITC) and conterstained by Hoechst. These endomitotic MKs with condensed chromosomes are blocked in prometaphase. Original magnification × 1,000. (c) An MK in interphase is labeled by the human anti-lamin B antibody (TRITC). The polylobulated nucleus is surrounded by a distinct linear red labeling. Original magnification × 1,000. (d, e, and f) A polyploid MK in spontaneous metaphase is shown. Expression of vWF (FITC; d), Hoechst (e), and lamin B (TRITC; f). Only a faint and dispersed labeling is observed in TRITC, demonstrating that the nuclear envelope has disappeared.
Polyploid MKs have a complex spherical mitotic spindle.
These untreated cells were also studied to examine the mitotic spindle using immunofluorescence labeling with a combination of anti-tubulin murine MoAbs (FITC), rabbit anti-vWF antibody (TRITC), and the Hoechst dye or with anti-tubulin murine MoAbs (FITC) and propidium iodide. More than 300 endomitotic MKs were observed in total. As shown in Fig 3, the mitotic spindle was complex and contained several poles (Fig 3a through d) whose number depended on the MK ploidy. As many as 32 asters could be observed in these cells. As shown by confocal microscopy in Fig 3b, e, f, g, and h, the spindle was spherical. The spindle poles were localized around the sphere and polar microtubules extended from one pole toward all the others creating this spherical conformation. Some endomitosis studied with the combination of anti-tubulin (FITC) and anti-vWF (TRITC) antibodies and the Hoechst dye correspond to an anaphase with chromosomes having migrated in proximity of the asters.
Presence of a spherical mitotic spindle in endomitotic MKs. Cultures were performed as described in Fig 1 in the absence of nocodazole. Cells were centrifuged on a slide, fixed with a microtubule stabilizing buffer containing 3% formaldehyde, and then permeabilized with 0.2% saponin. Cells were labeled with an anti-tubulin antibody (a, b, c, d, e, f, g, h, and k), an anti-vWF antibody (a), propidium iodide (c), an anti-kinetochore antibody (i and k), and the 3F3 MoAb (j). Cells were then examined by confocal microscopy (original magnification × 1,000 for [a] through [j] and × 1,500 for [k]). (a) Superimposition of a double staining with the anti-tubulin MoAb (FITC) and the anti-vWF (TRITC). (b) Anti-tubulin staining shown alone. Note that the complex mitotic spindle has a spherical conformation. (C) Superimposition of a double staining with the anti-tubulin MoAb (FITC) and propidium iodide. (d) Anti-tubulin staining shown alone. (e, f, g, and h) A mitotic spindle shown under different angles. Spindle microtubules radiate from each aster to form a spherical conformation. (i and j) Double staining with the anti-kinetochore antibody (TRITC) and 3F3 MoAb (FITC). Kinetochores are distibuted all around and the 3F3 labeling only colocalized with the asters, as previously demonstrated during anaphase of a mitotic cycle.40 (k) Double staining with the anti-kinetochore antibody (TRITC) and the anti-tubulin MoAb (FITC). The kinetochores are clustered around each aster, suggesting that chromosome segregation has occured.
Presence of a spherical mitotic spindle in endomitotic MKs. Cultures were performed as described in Fig 1 in the absence of nocodazole. Cells were centrifuged on a slide, fixed with a microtubule stabilizing buffer containing 3% formaldehyde, and then permeabilized with 0.2% saponin. Cells were labeled with an anti-tubulin antibody (a, b, c, d, e, f, g, h, and k), an anti-vWF antibody (a), propidium iodide (c), an anti-kinetochore antibody (i and k), and the 3F3 MoAb (j). Cells were then examined by confocal microscopy (original magnification × 1,000 for [a] through [j] and × 1,500 for [k]). (a) Superimposition of a double staining with the anti-tubulin MoAb (FITC) and the anti-vWF (TRITC). (b) Anti-tubulin staining shown alone. Note that the complex mitotic spindle has a spherical conformation. (C) Superimposition of a double staining with the anti-tubulin MoAb (FITC) and propidium iodide. (d) Anti-tubulin staining shown alone. (e, f, g, and h) A mitotic spindle shown under different angles. Spindle microtubules radiate from each aster to form a spherical conformation. (i and j) Double staining with the anti-kinetochore antibody (TRITC) and 3F3 MoAb (FITC). Kinetochores are distibuted all around and the 3F3 labeling only colocalized with the asters, as previously demonstrated during anaphase of a mitotic cycle.40 (k) Double staining with the anti-kinetochore antibody (TRITC) and the anti-tubulin MoAb (FITC). The kinetochores are clustered around each aster, suggesting that chromosome segregation has occured.
Chromosome separation occurs normally in endomitotic MKs.
To better characterize late stages of mitosis, cells were labeled by MoAb directed toward the 3F3/2 phosphoepitope and with an anti-kinetochore antibody. As previously shown,40 mitotic poles but not kinetochores expressed this phosphoepitope in metaphase or anaphase (data not shown). However, a labeling was observed on larger spots that correspond to the aster. This was also the case for endomitotic MKs (Fig 3i and j). In these experiments, MKs were identified on their polyploidy as cells expressing more than 100 kinetochores. This finding implies that chromosomes from endomitotic MKs are correctly aligned on the mitotic spindle and are able to segregate. To determine if chromosome separation can occur, endomitotic MKs were stained with anti-tubulin and anti-kinetochore antibodies. In normal anaphase figures, chromosomes were labeled by the anti-kinetochore antibody close to the two spindle poles. Similarly, kinetochores were clustered around each spindle pole in endomitotic MKs (Fig 3k). This observation shows that endomitosis in MKs is not due to a block in the metaphase/anaphase transition and that chromosome segregation occurs in anaphase. However, this chromatid segregation was limited due to the complex spindle.
In rare MKs, the end of mitosis could be observed with decondensation of the chromosomes and reformation of the nuclear envelope, which suggests that only cytokinesis is lacking in endomitotic MKs. Attempts to examine a larger number of MKs at this stage of mitosis failed, because nocodazole treatment seems to be irreversible in this cellular system.
MKs express cyclin B1 and CDK1.
The studies noted above showed that, during polyploidization, MKs enter into mitosis that is associated with a complex spindle. We therefore examined the expression of cyclin B1. Its expression was investigated with an MoAb while DNA was stained by propidium iodide. In the first set of experiments, a flow cytometry technique was set up to exclude cell aggregates. Propidium iodide staining was analyzed on the FL3H, FL3A, and FL3W channels of the flow cytometer. The FL3H parameter was determined with a logarithmic amplifier. The 2N peak was set in channel 120 of FL3A to detect MKs with a ploidy ranging from 2N to 32N. Using a dot plot analysis with the FL3A and FL3W parameters, a gate that excluded most cell aggregates (including the 6N peak) was constructed (Fig 4A and B). Using this approach, it was possible to simultaneously obtain a linear (FL3A) and a logarithmic (FL3H) measurement of the ploidy (Fig 4C through F).
Expression of cyclin B1 in polyploid MKs. Cultures were performed as described in Fig 1. At day 8, cells were labeled by an anti-cyclin B1 MoAb (D and F) or an isotype control (FITC, FL1; C and E) and propidium iodide (FL3). Cells (10,000 8N cells) were acquired in a gate R1 (FL3A v FL3W; B) intersected with a gate R2 (FSCv SSC; A) to eliminate cell aggregates and cell debris. Ploidy was studied using simultaneously linear (FL3A; C and D) or logarithmic (FL3H; E and F) amplifiers. A specific labeling with the anti-cyclin B1 Moab is shown on (D) and (F) at the level of the 8N, 16N, and 32N peaks. No labeling is present in the S phases from 8N to 16N or from 16N to 32N.
Expression of cyclin B1 in polyploid MKs. Cultures were performed as described in Fig 1. At day 8, cells were labeled by an anti-cyclin B1 MoAb (D and F) or an isotype control (FITC, FL1; C and E) and propidium iodide (FL3). Cells (10,000 8N cells) were acquired in a gate R1 (FL3A v FL3W; B) intersected with a gate R2 (FSCv SSC; A) to eliminate cell aggregates and cell debris. Ploidy was studied using simultaneously linear (FL3A; C and D) or logarithmic (FL3H; E and F) amplifiers. A specific labeling with the anti-cyclin B1 Moab is shown on (D) and (F) at the level of the 8N, 16N, and 32N peaks. No labeling is present in the S phases from 8N to 16N or from 16N to 32N.
This technique was used to determine the expression of cyclin B1 as a function of ploidy. The anti-cyclin B1 MoAb used in these experiments has been previously used to detect cyclin B1 through the cell cycle in normal lymphocytes, leukemic cells, solid tumor cells, and polyploid cells.34-36 A specific labeling (Fig 4) was observed almost exclusively at the level of the 8N, 16N, and 32N peaks, which may correspond to either the G1 or G2/M phase of the cell cycle (using flow cytometry, we cannot distinguish between the G2/M phase of the lower ploidy classes and the G1 phase of the upper ploidy classes). Interestingly, very few S phase cells were labeled with this MoAb. The intensity of staining increased 1.7-fold between the 8N and 16N cells. Therefore, there is an increase in cyclin B1 level with ploidy up to 16N, but slightly less important than the ploidy enhancement. In contrast, the level of cyclin B1 seems similar in 16N and 32N MKs.
To further examine the localization of cyclin B1 during endomitosis, standard immunofluorescence analysis with the anti-cyclin B1 MoAb and Hoechst dye was performed. In endomitotic MKs, faint cyclin B1 staining delineated the mitotic spindle (Fig 5a and b). In some MKs at late stages of the endomitosis (anaphase), no cyclin B1 was detected, suggesting a degradation of the protein by the proteasome (Fig 5c and d). To clearly demonstrate that these polyploid cells correspond to true MKs, a triple staining was performed (anti-cyclin B1, Hoechst, and vWF) that confirms the results given above (Fig 5e, f, and g). To further characterize the cyclin B1 and CDK1 in MKs, polyploid MKs were purified. Cultured MKs (day 9) were labeled with an anti-CD41b MoAb (anti-GpIIb) and the 33342 Hoechst dye. CD41+ MKs were sorted using a 200- or 300-μm nozzle according to their ploidy into two cell fractions (2N/4N and >4N cells). Cell aggregates were excluded using the pulse processors of the cytometer. This approach allowed us to obtain a relatively pure population of MKs (>95%) with a purity of greater than 90% of the different ploidy classes. However, the more rare 8N MKs were contaminated by MK aggregates, which represented on average 5% of the cells as determined by microscopic examination. Such a cell sorting is shown in Fig 6a and b. Reanalysis of the sorted fractions confirmed these microscopic examinations (Fig 6c, d, and e). The presence of cyclin B1 and CDK1 proteins was determined by Western blot analysis on cell lysates from purified MKs. As shown in Fig 7a, the 62-kD cyclin B1 was detected in both MK fractions. The analysis was performed on the same number of cells for both MK fractions; the higher expression of cyclin B1 in the >4N MKs than in the 2N/4N cells could be the reflect of higher amounts of protein per polyploid MK. When the lanes were loaded with an equal quantity of proteins from 2N/4N and polyploid MKs, the same amounts of cyclin B1 were present in both MK fractions (Fig 7b). Cyclin B1 was detected with the same apparent molecular weight as in the controls (UT-7 c-mpl cell line). In addition, a faint band with a lower molecular weight (57 kD) was sometimes observed in MK samples, with marked differences in intensity among experiments. This band may correspond to the heavy chain of the Ig that was used for MK purification. CDK1 was also detected on immunoblots in both cell fractions and was expressed at a high level in 2N/4N MKs and polyploid MKs (Fig 7c and d). Two molecular forms could be visualized as in control cell lines (UT7-c-mpl, U937, and HL60). The lower molecular form corresponding to dephosphorylated CDK1 was predominent in both MK fractions.
Localization of cyclin B1 in endomitotic MKs. Cultures were performed as described in Fig 1 and cells were stained as described in Fig 3 by an anti-cyclin B1 polyclonal antibody (b and d; TRITC), an anti-vWF MoAb (e; FITC), and the Hoechst dye (a and c). They were examined by conventional fluorescent microscopy (original magnification × 500). In this polyploid MK in endomitosis (a), cyclin B1 staining draws the mitotic spindle with its multiple asters. In two MKs in metaphase, cyclin B1 is detectable (arrows on the left; c and d). In contrast, in a polyploid MK with an anaphase figure (arrow on the right; c and d) as shown by segregation of the chromatids, cyclin B1 is undetectable. In this endomitotic MK (f) expressing the vWF (e), cyclin B1 colocalized with the asters, as shown by the arrows.
Localization of cyclin B1 in endomitotic MKs. Cultures were performed as described in Fig 1 and cells were stained as described in Fig 3 by an anti-cyclin B1 polyclonal antibody (b and d; TRITC), an anti-vWF MoAb (e; FITC), and the Hoechst dye (a and c). They were examined by conventional fluorescent microscopy (original magnification × 500). In this polyploid MK in endomitosis (a), cyclin B1 staining draws the mitotic spindle with its multiple asters. In two MKs in metaphase, cyclin B1 is detectable (arrows on the left; c and d). In contrast, in a polyploid MK with an anaphase figure (arrow on the right; c and d) as shown by segregation of the chromatids, cyclin B1 is undetectable. In this endomitotic MK (f) expressing the vWF (e), cyclin B1 colocalized with the asters, as shown by the arrows.
Examination of sorted MKs. After 8 days of culture, the cells were sorted on their CD41 expression and on their ploidy by Hoechst staining into two cell fractions corresponding to 2N-4N and >4N MKs. The quality of the sorted cells was checked by examination with a fluorescence microscope (original magnification × 100) under UV light (a and b). The polyploid fraction with multilobulated nuclei (b) was slightly contamined by some cell agregates. In the 2N-4N fraction (a), the cells were smaller. Cells were also reanalyzed by flow cytometry. A typical experiment is shown in (c), (d), and (e). In (c), the ploidy histogram of the CD41+ cells before sorting is shown with 14% >4N MKs. The ploidy histogram of the 2N-4N cell fraction is shown in (d). The purity of this fraction is greater than 99.9%. In (e), the ploidy histogram of >4N is shown with a purity of greater than 93%. It is noteworthy that contaminant cells (5%) are only 2N cells. The width of the peak is slightly larger than in the unfractionated cells due to a slight efflux of the Hoechst during cell sorting.
Examination of sorted MKs. After 8 days of culture, the cells were sorted on their CD41 expression and on their ploidy by Hoechst staining into two cell fractions corresponding to 2N-4N and >4N MKs. The quality of the sorted cells was checked by examination with a fluorescence microscope (original magnification × 100) under UV light (a and b). The polyploid fraction with multilobulated nuclei (b) was slightly contamined by some cell agregates. In the 2N-4N fraction (a), the cells were smaller. Cells were also reanalyzed by flow cytometry. A typical experiment is shown in (c), (d), and (e). In (c), the ploidy histogram of the CD41+ cells before sorting is shown with 14% >4N MKs. The ploidy histogram of the 2N-4N cell fraction is shown in (d). The purity of this fraction is greater than 99.9%. In (e), the ploidy histogram of >4N is shown with a purity of greater than 93%. It is noteworthy that contaminant cells (5%) are only 2N cells. The width of the peak is slightly larger than in the unfractionated cells due to a slight efflux of the Hoechst during cell sorting.
Expression of cyclin B1 and CDK1 proteins in polyploid MKs. Experiments were performed as described in Fig 6. Western blot analysis was performed with a polyclonal antibody directed against cyclin B1 and an MoAb against CDK1. The experiments were performed with the proteins derived from the same number of cells (a and c) or with the same amounts of proteins (b and d). Expression of cyclin B1 in MKs (a and b). (a) Lane 1, UT-7 cell line transfected with c-mpl(UT-7-c-mpl) and grown with PEG-rhuMGDF; lane 2, UT-7-mpl grown with PEG-rhuMGDF and synchronized with nocodazole; lane 3, 2N-4N MKs; lane 4, >4N MKs. (b) Lane 1, 2N-4N MKs; lane 2, >4N MKs. Expression of CDK1 in MKs (c and d). (c) Lane 1, UT-7-c-mpl cell line as positive control; lane 2, 2N-4N MKs; lane 3, >4N MKs. (d) Lane 1, 2N-4N MKs; lane 2, >4N MKs.
Expression of cyclin B1 and CDK1 proteins in polyploid MKs. Experiments were performed as described in Fig 6. Western blot analysis was performed with a polyclonal antibody directed against cyclin B1 and an MoAb against CDK1. The experiments were performed with the proteins derived from the same number of cells (a and c) or with the same amounts of proteins (b and d). Expression of cyclin B1 in MKs (a and b). (a) Lane 1, UT-7 cell line transfected with c-mpl(UT-7-c-mpl) and grown with PEG-rhuMGDF; lane 2, UT-7-mpl grown with PEG-rhuMGDF and synchronized with nocodazole; lane 3, 2N-4N MKs; lane 4, >4N MKs. (b) Lane 1, 2N-4N MKs; lane 2, >4N MKs. Expression of CDK1 in MKs (c and d). (c) Lane 1, UT-7-c-mpl cell line as positive control; lane 2, 2N-4N MKs; lane 3, >4N MKs. (d) Lane 1, 2N-4N MKs; lane 2, >4N MKs.
An H1 histone kinase activity is present in endomitotic MKs.
The presence of CDK1 and cyclin B1 in MKs does not necessary mean that the two proteins associate in a functional complex. Therefore, we examined the kinase activity of cyclin B1 immunoprecipitates. For these experiments, cultures were treated with 1 μg/mL nocodazole for 5 hours and subsequently sorted as described into two cell fractions. Immunoprecipitation was performed with the anti-cyclin B1 antibody and the H1 histone kinase activity of the immunoprecipitates studied. A high level of H1 histone kinase activity was found in unsorted cells, as well as in the 2N/4N and the polyploid (>4N) cell fractions (Fig 8). The activity was in the same range in the different cell fractions. These data show that cyclin B1 is functional in endomitotic MKs.
Histone H1 kinase activity in polyploid MKs. Immunoprecipitation of cyclin B1 in the two fractions of MKs synchronized by nocodazole and sorted on their ploidy (2N-4N and >4N) or in asynchronized MKs was performed with an MoAb raised against cyclin B1 (GNS-1; Pharmingen). The histone H1 was phosphorylated by the immunoprecipitate in the presence of (γ-32P)ATP and the phosphorylation was determined by electrophoresis on a 12% polyacrylamide gel followed by autoradiography. The results were compared with a negative control [(γ-32P)ATP, histone H1 with control IgG1 immunoprecipitate]. Lane 1, (γ-32P)ATP histone H1 with control IgG1 immunoprecipitate as a negative control; lane 2, 2N-4N MKs; lane 3, >4N MKs; lane 4, unfractionated MKs (5 × 106 cells); lane 5, unfractionated MKs (1 × 106 cells); lane 6, unfractionated MKs (5 × 105 cells).
Histone H1 kinase activity in polyploid MKs. Immunoprecipitation of cyclin B1 in the two fractions of MKs synchronized by nocodazole and sorted on their ploidy (2N-4N and >4N) or in asynchronized MKs was performed with an MoAb raised against cyclin B1 (GNS-1; Pharmingen). The histone H1 was phosphorylated by the immunoprecipitate in the presence of (γ-32P)ATP and the phosphorylation was determined by electrophoresis on a 12% polyacrylamide gel followed by autoradiography. The results were compared with a negative control [(γ-32P)ATP, histone H1 with control IgG1 immunoprecipitate]. Lane 1, (γ-32P)ATP histone H1 with control IgG1 immunoprecipitate as a negative control; lane 2, 2N-4N MKs; lane 3, >4N MKs; lane 4, unfractionated MKs (5 × 106 cells); lane 5, unfractionated MKs (1 × 106 cells); lane 6, unfractionated MKs (5 × 105 cells).
DISCUSSION
The purpose of this study was to determine the cellular mechanism of endomitosis in human MKs. Based on previously described cell cycle abnormalities, three main hypothesis have been proposed: (1) a continuous S phase that does not arrest until the 2xN ploidy; (2) a succession of S and G1-G2 phases without entry into mitosis; and (3) an abortive mitosis without caryokinesis and cytokinesis. A morphologic approach was performed to distinguish between these different possibilities.
The main difficulties of this type of approach are due to the scarceness of endomitotic MKs. MKs were cultured from human CD34+ cells in the presence of PEG-rhuMGDF or the combination of SCF plus PEG-rhuMGDF. This allows us to obtain a large proportion of MKs (up to 80%), of which approximately 20% are proliferating by day 8, as demonstrated by propidium iodide staining and flow cytometric analysis. However, on slides, less than 1% of these MKs are in M phase, which explains why no complete observation of the endomitotic process has yet been performed. In the rat and mouse, it has been shown that the complete length of DNA synthesis is about 9.3 hours.2 19 It can be calculated from the present study that the M phase of MK takes less than 30 minutes, if the doubling time is similar in humans and mice. Thus, nocodazole was used to observe a large number of MK in endomitosis. This agent has permitted us to obtain an average of 20% of MKs in pseudo-metaphase. However, its blocking effect appeared to be irreversible, and we were therefore not able to observe a large fraction of synchronized MKs in late phases of mitosis.
However, despite this limitation, our results clearly show that endomitosis is an abortive mitosis for the three following reasons. (1) The presence of several centrosomes or several pairs of centrioles in polyploid MK demonstrates that MKs during polyploidization undergo several G2/prophases, eliminating the possibility that polyploidization could be due to a continuous S phase. (2) After nocodazole treatment, a significant fraction of MKs was in pseudo-metaphase, with a total breakdown of the nuclear envelope and the presence of condensed chromosomes with a normal number of arms per chromosome. (3) Endomitosis was also observed in the absence of nocodazole and was characterized by a complex multipolar mitotic spindle and a breakdown of the nuclear envelope. The number of poles seemed to correlate with the MK ploidy. Interestingly, the assembly of this spindle was spherical. Each pole was localized at the periphery, with microtubules extending from one pole to another, creating this spherical conformation, but with apparently an absence of microtubules in the center of this sphere. Each pole may be involved in several chromosome movements along this sphere. It was difficult to identify the different stages of mitosis in a precise manner. However, it was clear from the nocodazole experiments that the progression of the mitotic cycle up to metaphase is normal in endomitotic MKs. It has been suggested previously that the endomitosis could correspond to a lack in metaphase/anaphase transition.28,29 To determine if anaphase occurs, we first determined whether chromosomes were able to align normally on this complex spindle. For this purpose, the 3F3/2 antibody41 that identifies a kinetochore phosphoepitope that signals chromosome alignment was used.40,42Disappearance of this phosphoepitope on kinetochores of metaphase chromosome implies that the cells are triggered to enter anaphase. Our results show that the 3F3/2 phosphoepitope disappears from the kinetochores of polyploid MK in metaphase, strongly suggesting that endomitosis is not a block in the metaphase/anaphase transition. Furthermore, labeling of kinetochores and tubulin clearly showed that the chromosomes move toward each spindle pole and thus that anaphase occurs normally in endomitotic MKs with a segregation of the chromosomes. However, chromatids remained close to each other. This was essentially due to both the short length and the complexity of the spindle. Chromosomes subsequently decondensed, the spindle disassembled, and the nuclear envelope reformed all around the chromosomes, confining all chromatids into a single nucleus. To make a detailed study of the late stages of the endomitotic process (reformation of the nuclear envelope), it will be necessary to synchronize the MK cell cycle. Nevertheless, the results clearly show a major defect in cytokinesis, although this does not seem to be the primary defect explaining the endomitotic process of MK. Several genes involved in cytokinesis have been isolated in the Drosophila.43-45 Defects of these genes led to the formation of polyploid cells that contain multiple nuclei (2 to 6). Our results indicate that the endomitotic process may be the consequence of both a multipolar spherical spindle that limits chromatid segregation and the absence of cytokinesis.
If endomitosis is really an abortive mitosis, each endomitotic round should require the presence of a mitotic cyclin and its associated CDK1 kinase activity (M phase promoting factor), and we would expect that the cells were unable to enter mitosis in the absence of CDK1 activity.24,46 Recently, several investigators have suggested that MK polyploidization is due to major abnormalities in the CDK1 activity.19-23 A similar phenomenon has been described in different models of endoreduplication, which, in contrast to MK, leads to a 2xN ploidy in the absence of mitosis.47 In favor of this hypothesis, two reports describe the absence or very low level of cyclin B1 in MK.19,22 Our results showing that endomitosis is an incomplete mitosis are in sharp contrast to these findings, because the presence of a B-type cyclin is absolutely required for cells to enter into mitosis. This cyclin could be either cyclin B1 or another B-type cyclin. We were able to detect cyclin B1 in MK using two techniques. First, the protein could be detected by flow cytometry using an MoAb that has been previously used to detect cyclin B1 in mitotic cells. Cyclin B1 was essentially found at the 8N, 16N, and 32N peaks of ploidy, and only in a minority of S phase endomitotic MKs as observed for normal mitosis. Second, cyclin B1 protein expression could be demonstrated by Western blot analysis in polyploid MKs. Taken together, these results clearly show that cyclin B1 is present in endomitotic MKs. Differences with the previous studies might be explained by the fact that cyclin B1 is only transiently expressed during the MK cell cycle that requires the examination of a large number of MK and that these previous studies were not performed with cultured MKs stimulated by Mpl-L. Cyclin B1 was concentrated in the spindle of endomitotic MK, as previously described for mitosis.48 The level of cyclin B1 increased a little less than the content in DNA up to 16N, but seems constant between 16N and 32N. This may explain that the modal ploidy level is 16N in MKs.
The presence of cyclin B1 by itself is not sufficient to enter into mitosis, because the cyclin must be associated with CDK1. It has been shown that two cell lines with an MK phenotype (HEL and MEG-01), induced to polyploidization by phorbol ester, lack a CDK1 kinase activity, despite the presence of both CDK1 and cyclin B1.20,21 In one of these studies, it was suggested that this was due to a downregulation of CDC25C, a phosphatase necessary to activate CDK1,21 whereas the other study suggests that the absence of kinase activity was due to the inability of cyclin B1 to complex with CDK1.20 In another model using a megakaryocytic cell line generated by targeted expression of temperature-sensitive simian virus 40, the level of cyclin B1-dependent CDK1 activity was greatly reduced in polyploid cells due to low cyclin B1 level. In human polyploid MKs, we could detect a high CDK1 level. In addition, endomitotic polyploid MKs possess a histone H1 kinase activity associated to cyclin B1 that is not markedly different from 2N-4N MKs. In favor of our results, it has very recently been shown that polyploid murine MK also express cyclin B1 and that a histone H1 activity could be detected after suc1 purification.49During mitosis, the CDK1/cyclin B complex associates with the microtubules in the mitotic spindle and regulates mitotic spindle formation.50 Because MKs present an abnormal mitotic spindle, it is possible that the M-phase promoting factor in MK cells could be partly different from other cells. It cannot be excluded that cyclin B1 may associate with another CDK than CDK1 or that other B-type cyclins with a different expression during the cell cycle are also present in MKs. Further studies will be required to precisely identify the components of the H1 histone kinase activity in endomitotic MKs.
The metaphase/anaphase checkpoint is regulated by a proteolytic system called cyclosome or anaphase-promoting complex51-55 that degrades several proteins such as topoisomerase II or cyclin B1. Proteolysis of cyclin B leads to the inactivation of CDK1 kinase activity at the end of metaphase. However, chromosome segregation does not require the degradation of cyclin B1.56 In contrast, preventing the inactivation of cyclin B/CDK1 complexes blocked chromosome decondensation and inhibited telophase chromosome movement.57 Recent experiments expressing a nondestrucible form of cyclin B into prometaphase normal rat kidney cells have shown that the primary effect of CDK1 inactivation is on the spindle dynamics that regulate chromosome movement and cytokinesis.58Therefore, an abnormality in the degradation of cyclin B could partly explain the endomitotic process (multipolar spindle, limited chromosome segregation, and absence of cytokinesis). Further experiments on the M phase promoting factor of MK may allow a better understanding of the endomitosis regulation. It has been shown very recently in a human megakaryoblastic cell line that ectopic expression of p21WAF1 induced megakaryocytic differentiation with an increase in ploidy, suggesting that CDK inhibitors may play an important role in the induction of the endomitotic process.59
In conclusion, we have shown that endomitosis is an abortive mitosis with an unusual multipolar spherical spindle and that a functional histone H1 kinase activity associated with cyclin B1 is present in endomitotic MKs. These results have important implications for the identification of the molecular mechanisms that regulates the endomitotic process. Characterization of this process may lead to new strategies to modify endomitosis and to better control cell proliferation and platelet production.
NOTE ADDED IN PROOF
During revision, a similar observation to that presently reported has been published using murine MKs stimulated by Mpl-L60 and results were interpretated as a lack of anaphase B in endomitotic MKs.
ACKNOWLEDGMENT
The authors thank J.L. Nichol (Amgen, Thousand Oaks, CA) for the gift of PEG-rhuMGDF and stem cell factor; D. Cossman (Immunex, Seattle, WA) for GM-CSF; R. McEver (Oklahoma City, OK) for providing Tab MoAb; J. Pines (Wellcome/CRC Institute, Cambridge, UK) for the anti-cyclin B1 polyclonal antibody; M. Bornens (Institut Curie, Paris, France) for the MoAbs against centrosomes and centrioles; J.C. Brouet (Hôpital St Louis, Paris, France) for the human antibodies against lamin B and kinetochores; and G.J. Gorbsky (Charlottesville, VA) for the 3F3/2 MoAb. We are grateful to F. Beaujean (Hôpital Henri Mondor, Créteil, France) for providing the cytapheresis samples and to J.C. Châtain (Bionis, Clamart, France) and R. Hellio (Institut Pasteur, Paris, France) for confocal microscopy assistance. We are indebted to S. Burstein for improving the English manuscript.
Supported by grants from the Institut National de la Santé et de la Recherche Médicale, the Ligue Nationale contre le Cancer, and the Institut Gustave Roussy.
Address reprint requests to William Vainchenker, MD, PhD, INSERM U 362, Institut Gustave Roussy, Villejuif 94805 Cedex, France.
The publication costs of this article were defrayed in part by page charge payment. This article must therefore be hereby marked “advertisement” in accordance with 18 U.S.C. section 1734 solely to indicate this fact.


![Fig. 3. Presence of a spherical mitotic spindle in endomitotic MKs. Cultures were performed as described in Fig 1 in the absence of nocodazole. Cells were centrifuged on a slide, fixed with a microtubule stabilizing buffer containing 3% formaldehyde, and then permeabilized with 0.2% saponin. Cells were labeled with an anti-tubulin antibody (a, b, c, d, e, f, g, h, and k), an anti-vWF antibody (a), propidium iodide (c), an anti-kinetochore antibody (i and k), and the 3F3 MoAb (j). Cells were then examined by confocal microscopy (original magnification × 1,000 for [a] through [j] and × 1,500 for [k]). (a) Superimposition of a double staining with the anti-tubulin MoAb (FITC) and the anti-vWF (TRITC). (b) Anti-tubulin staining shown alone. Note that the complex mitotic spindle has a spherical conformation. (C) Superimposition of a double staining with the anti-tubulin MoAb (FITC) and propidium iodide. (d) Anti-tubulin staining shown alone. (e, f, g, and h) A mitotic spindle shown under different angles. Spindle microtubules radiate from each aster to form a spherical conformation. (i and j) Double staining with the anti-kinetochore antibody (TRITC) and 3F3 MoAb (FITC). Kinetochores are distibuted all around and the 3F3 labeling only colocalized with the asters, as previously demonstrated during anaphase of a mitotic cycle.40 (k) Double staining with the anti-kinetochore antibody (TRITC) and the anti-tubulin MoAb (FITC). The kinetochores are clustered around each aster, suggesting that chromosome segregation has occured.](https://ash.silverchair-cdn.com/ash/content_public/journal/blood/91/10/10.1182_blood.v91.10.3711/3/m_blod410vit03z.jpeg?Expires=1765021599&Signature=NRace7trpmrVBWGCe6s2S2N0KaRf-jTHFwfIfSJ85VTVdntrD1995DQnnG3ROngTVlDEHtlqjvIe4RWmiGYBF~AxJfddG3C5hkWJ~LO1Ef-eIOosVblilNxcnfZMBvEmkxS44hVJIFdgqYqKOLdtgxWqceypb53PFXZYWbgcC8A-lKpbmyH4bckfKy5DtBku4rZSyh9FDijqrNF-t-tr8bFuOP5Cg5Zr2a0MR0xXh-BGBauO0vEDrK4jMfUEQ~SKhZzrDGDU2E-4ML2deWGzBeYjZ9HmvNuAFhSSu9ETDHWOF7oo11df-QJnkdrdqMjeJD0VdlQsjVWknY~EfgZGQA__&Key-Pair-Id=APKAIE5G5CRDK6RD3PGA)






![Fig. 8. Histone H1 kinase activity in polyploid MKs. Immunoprecipitation of cyclin B1 in the two fractions of MKs synchronized by nocodazole and sorted on their ploidy (2N-4N and >4N) or in asynchronized MKs was performed with an MoAb raised against cyclin B1 (GNS-1; Pharmingen). The histone H1 was phosphorylated by the immunoprecipitate in the presence of (γ-32P)ATP and the phosphorylation was determined by electrophoresis on a 12% polyacrylamide gel followed by autoradiography. The results were compared with a negative control [(γ-32P)ATP, histone H1 with control IgG1 immunoprecipitate]. Lane 1, (γ-32P)ATP histone H1 with control IgG1 immunoprecipitate as a negative control; lane 2, 2N-4N MKs; lane 3, >4N MKs; lane 4, unfractionated MKs (5 × 106 cells); lane 5, unfractionated MKs (1 × 106 cells); lane 6, unfractionated MKs (5 × 105 cells).](https://ash.silverchair-cdn.com/ash/content_public/journal/blood/91/10/10.1182_blood.v91.10.3711/3/m_blod41013008w.jpeg?Expires=1765021599&Signature=FqVHWqA3HSOaVO5oTGmuKqZoYeNcjXkmb6ft7YZSx9aQN-MLVJHee1ytYzxtDTu3ur17A21EbrXubp57zFvWhhjQmnm3-yhSrH2MVeVJ7yxXGB8Re-STbD3z5InQXB6BKXDn4Yx49uWl~jgQaFMygm2HMCMBvpHTIjfSpf-YEty9ZBQ-b3ZuLlzTB4haTVUcGs8SvYJI2FFZh5sGyuQqJH0PtbZCB~oSPeafD6IYHoQeLDLZ5~3pMITBLMMpYnlcMgHDIauY8SyYaHQ4RilkfseZyLs~0svghRXDDVuVv4jc0H1SAT3uCsFHBCHOya7zu6Qpv2X1M0yW6sknUcD-ig__&Key-Pair-Id=APKAIE5G5CRDK6RD3PGA)
This feature is available to Subscribers Only
Sign In or Create an Account Close Modal