Primitive hematopoietic progenitors from some patients with Philadelphia chromosome (Ph)–positive chronic myeloid leukemia (CML) express aberrant transcripts for interleukin 3 (IL-3) and granulocyte colony-stimulating factor (G-CSF), and exhibit autonomous proliferation in serum-free cultures that is inhibited by anti–IL-3 and anti–IL-3 receptor antibodies. Expression of the product of the Ph chromosome, the BCR/ABL oncogene, in mice by retroviral bone marrow transduction and transplantation induces CML-like leukemia, and some leukemic mice have increased circulating IL-3, and perhaps granulocyte-macrophage colony-stimulating factor (GM-CSF). These observations raise the possibility of autocrine or paracrine cytokine production in the pathogenesis of human CML. Mice with homozygous inactivation of the Il-3 gene, the Gm-csf gene, or both, were used to test the requirement for these cytokines for induction of CML-like disease by BCR/ABL. Neither IL-3 nor GM-CSF was required in donor, recipient, or both for induction of CML-like leukemia by p210 BCR/ABL. Use of novel mice deficient in both IL-3 and GM-CSF demonstrated that the lack of effect on leukemogenesis was not due to redundancy between these hematopoietic growth factors. Analysis of cytokine levels in leukemic mice where either donor or recipient was Il-3−/−indicated that the increased IL-3 originated from the recipient, suggestive of a host reaction to the disease. These results demonstrate that IL-3 and GM-CSF are not required for BCR/ABL-induced CML-like leukemia in mice and suggest that autocrine production of IL-3 does not play a role in established chronic phase CML in humans.
Introduction
Human chronic myeloid leukemia (CML) is a myeloproliferative disease characterized by excessive clonal production of maturing myeloid cells.1,2 The principal genetic abnormality in CML is the Philadelphia (Ph) chromosome, the product of a balanced t(9;22) translocation that is found in multiple myeloid, B-lymphoid, and sometimes T-lymphoid lineages, suggesting that the translocation event occurred in an early multipotential or stemlike cell. The Ph translocation fuses the c-ABL gene on chromosome 9q34 to BCR on 22q11, generating a chimericBCR/ABL gene. The product of this gene, the Bcr/Abl fusion protein, is a dysregulated nonreceptor tyrosine kinase that transforms fibroblasts,3 cytokine-dependent hematopoietic cell lines,4 and primary bone marrow B-lymphoid cells5 in vitro. Retroviral transduction of theBCR/ABL gene into mouse bone marrow cells, followed by transplantation into syngeneic recipient mice, leads to development of CML-like leukemia in all recipients,6-8 demonstrating thatBCR/ABL is the principal cause of CML.BCR/ABL-induced murine CML-like disease is characterized by massive expansion of maturing myeloid cells, with infiltration of spleen, liver, and lungs by malignant myeloid cells that carry theBCR/ABL provirus and express Bcr/Abl protein. The cell that initiates the CML-like disease is an early multipotential hematopoietic progenitor cell.6 Murine CML-like leukemia is therefore an accurate and faithful model of human CML that has proven useful for analyzing the molecular pathogenesis of this disease.6,9 10
The mechanism by which Bcr/Abl induces CML is not known. Recently, aberrant production of hematopoietic cytokines has been suggested to play a role in the pathogenesis of CML. CML patients do not typically have increased plasma or serum levels of cytokines.11,12 However, in some patients with chronic phase CML and predominantly Ph+ primitive progenitors, isolated CD34+CD38− cells express aberrant RNA transcripts for interleukin 3 (IL-3) and granulocyte colony-stimulating factor (G-CSF), and exhibit limited autonomous proliferation in cytokine-free cultures.13 The autonomous proliferation is partially inhibited by anti–IL-3 and anti–IL-3 receptor antibodies, coincident with decreased tyrosine phosphorylation of STAT5.13 Interestingly, exposure of normal primitive hematopoietic progenitors to exogenous IL-3 induces proliferation accompanied by increased differentiation and decreased self-renewal,14 properties that are characteristic of Ph+ stem cells. These observations suggest that autocrine production of IL-3, and perhaps G-CSF, explains the selective advantage of Ph+ progenitors to contribute to hematopoiesis. However, whether autocrine production of IL-3 or G-CSF or both is essential to the pathogenesis of CML is extremely difficult, if not impossible, to establish using primary human CML cells or cell lines.
Several molecular biologic studies support a role for cytokine production, particularly of IL-3, in BCR/ABL transformation.BCR/ABL activates many signal transduction pathways that overlap with those induced by cytokines, including the Ras/MAPK15 and Jak/STAT pathways.16Expression of BCR/ABL induces the secretion of IL-3 and granulocyte-macrophage colony-stimulating factor (GM-CSF) from cytokine-dependent hematopoietic cell lines,4,17 although the ability of BCR/ABL to transform such cells to become independent of cytokine for survival and proliferation does not require autocrine secretion. Monocyte/macrophage tumors induced byBCR/ABL after retroviral bone marrow transduction and transplantation secrete G-CSF and GM-CSF,18 and mice withBCR/ABL-induced CML-like myeloproliferative disease have been reported to have increased circulating IL-3 and GM-CSF.8 Finally, direct expression of IL-3 in mouse bone marrow by retroviral gene transfer leads to a myeloproliferative illness in recipients closely resembling that induced by transduction of BCR/ABL.19
The murine retroviral bone marrow transduction/transplantation model system offers an ideal method to test the requirement of cytokines for leukemogenesis by BCR/ABL. If a naturally occurring or targeted mouse germline mutation exists in a given gene, in principal it is straightforward to test whether that gene is necessary for induction of CML-like leukemia by BCR/ABL, by using the mutant mice as donors and recipients in this assay. In practice, such an experiment will be most informative if the mutant mice have relatively normal baseline hematopoiesis and bone marrow donor and recipient function. Fortunately, these conditions are met for mutations in the mouse Il-3 and Gm-csf genes. These loci are closely linked on murine chromosome 11, and each has been inactivated in mice by homologous recombination. Mice lacking IL-3 have defective delayed-type hypersensitivity20 and decreased mast cell/basophil responses to parasitic infection,21whereas mice lacking GM-CSF have pulmonary aveolar proteinosis,22,23 but both mutant mice have essentially normal hematopoiesis. Recently, mice with mutations in bothIl-3 and Gm-csf have been generated by a serial gene targeting approach, and these animals show only modest perturbations in hematopoiesis.24 Here, we have used these mutant mice as donors, recipients, or both in the bone marrow transduction/transplantation system to determine the role of these cytokines in the pathogenesis of BCR/ABL-induced murine CML-like leukemia.
Materials and methods
Mouse strains
Mice with homozygous null mutations in the Il-3 orGm-csf genes20,22 were back-crossed at least 9 generations into a Balb/c background. Mice with mutations in bothIl-3 and Gm-csf24 were back-crossed into either Balb/c or C57Bl/6 backgrounds, where indicated, also for more than 9 generations. Wild-type Balb/c and C57Bl/6 mice were purchased from Taconic Farms (Germantown, NY).
Bone marrow transduction/transplantation
The complementary DNA (cDNA) for p210 BCR/ABL (b3a2 isoform) in the retroviral vector MSCVneo25 was used for most experiments; where indicated, the vector MSCV-IRES/GFP26 (similar to Mig RI7) was used. Helper-free retroviral stocks were generated by transient transfection of 293 cell using the kat system27and titered by neomycin resistance (for MSCVneo virus) or flow cytometric analysis (for MSCV-IRES/GFP) as described6,26; all MSCVneo stocks had titers of 3 to 5 × 106 neomycin-resistant colony-forming units per milliliter, and all stocks gave equivalent proviral copy number, as determined by Southern blot analysis, in transduced fibroblasts or primary bone marrow. Transduction of bone marrow and transplantation of recipient mice was as previously described.6 Briefly, male mice pretreated with 200 mg/kg 5-fluorouracil were used as donors; female mice conditioned with 900 cGy (Balb/c) or 1150 cGy (C57Bl/6) gamma irradiation were used as recipients. Bone marrow was prestimulated in IL-3, interleukin 6 (IL-6), and stem cell factor (SCF), and subjected to 2 rounds of cosedimentation with retroviral stock. In some experiments (see Figure 2), IL-3 was omitted from the prestimulation and transduction medium, with no discernable effect on leukemogenesis. The transplanted cell dose was 5 × 105cells per recipient, except forIl-3−/−Gm-csf−/−(double-knockout) mice, where 1 × 106 cells per recipient was used in some recipients. Diseased mice were subjected to histopathologic and molecular analysis, including purification of hematopoietic lineages and Southern blotting of genomic DNA (gDNA), as described.6 Several independent transduction/transplantation experiments were carried out for each of the combinations of genotypes with similar results, and the data combined to generate the survival curves in Figures 2, 5, 7, and 8A.
Cytokine enzyme-linked immunosorbent assays (ELISAs)
Peripheral blood was obtained from diseased mice by sampling of the retro-orbital venous plexus or by cardiac puncture at autopsy. Total immunoreactive IL-3 and GM-CSF (dynamic range, 0.19-200 ng/mL) were determined using ACCUCYTE murine IL-3 and GM-CSF competitive enzyme immunoassay kits (Cytimmune Sciences, College Park, MD); equivalent results were obtained using heparinized plasma or serum. Selected samples were also tested in Quantikine M kits (R&D Systems, Minneapolis, MN) for either IL-3 or GM-CSF, dynamic range 7.8 to 500 pg/mL. For controls, samples were obtained from recipients of nontransduced marrow or recipients of marrow transduced with MSCVneo virus at 4 weeks after transplantation.
Results
Elevated circulating IL-3, but not GM-CSF, in mice withBCR/ABL-induced CML-like leukemia
We tested plasma from mice with BCR/ABL-induced CML-like disease for increased IL-3 and GM-CSF using ELISAs. Plasma or serum IL-3 levels are undetectable in normal mice using most assays. We used an ELISA that detects total immunoreactive IL-3 or GM-CSF in a complex biologic fluid such as plasma or ascites and is insensitive to interfering substances such as soluble receptors, autoantibodies, and binding proteins (see “Materials and methods”). With this assay, there were low levels of circulating IL-3 in Balb/c mice transplanted with nontransduced marrow and in recipients of bone marrow transduced with retrovirus lacking BCR/ABL (Figure1A). We found significantly increased IL-3 in plasma of mice with BCR/ABL-induced CML-like disease (Figure 1A), in agreement with others.8 Interestingly, recipients of marrow transduced with BCR/ABL in a retroviral vector that efficiently coexpresses green fluorescent protein (GFP) had significantly higher IL-3 levels than recipients of marrow transduced with a BCR/ABL-MSCVneo virus. In contrast to the previous report,8 we detected no significant increase in circulating GM-CSF in mice with BCR/ABL-induced CML-like leukemia, relative to control mice or recipients of empty vector-transduced marrow (Figure 1B). We also tested selected samples using conventional immunoassay kits for IL-3 and GM-CSF that have a sensitivity of 2.5 to 500 pg/mL (see “Materials and methods”). In these assays, IL-3 was undetectable in control mice, with low-level (< 8 pg/mL) but detectable circulating IL-3 in a minority of mice with BCR/ABL-induced CML-like leukemia (data not shown). Circulating GM-CSF was not detected with this assay in either control or leukemic mice.
Increased circulating IL-3, but not GM-CSF, in mice with
BCR/ABL-induced CML-like disease. (A) Total mean plasma IL-3 levels for mice transplanted with nontransduced marrow (control BMT), with marrow transduced with MSCVneo virus (MSCVneo), or for mice with BCR/ABL-induced CML-like leukemia. Bars indicate SE. The number of mice analyzed were: control BMT = 6, MSCVneo BMT = 5, BCR/ABLcombined = 14, BCR/ABL in MSCV-IRES/GFP = 6, BCR/ABL in MSCVneo = 8. The difference between control BMT and mice with leukemia induced by BCR/ABL-MSCV-IRES/GFP, or by the 2BCR/ABL vectors combined, was significant (ttest, P = .02), whereas the difference between controls and mice with BCR/ABL-MSCVneo-induced leukemia was of borderline significance (P = .06). (B) Total mean plasma GM-CSF levels for the same control groups as in panel A, and for all mice with BCR/ABL-induced leukemia. There was no significant difference in GM-CSF levels between the groups.
Increased circulating IL-3, but not GM-CSF, in mice with
BCR/ABL-induced CML-like disease. (A) Total mean plasma IL-3 levels for mice transplanted with nontransduced marrow (control BMT), with marrow transduced with MSCVneo virus (MSCVneo), or for mice with BCR/ABL-induced CML-like leukemia. Bars indicate SE. The number of mice analyzed were: control BMT = 6, MSCVneo BMT = 5, BCR/ABLcombined = 14, BCR/ABL in MSCV-IRES/GFP = 6, BCR/ABL in MSCVneo = 8. The difference between control BMT and mice with leukemia induced by BCR/ABL-MSCV-IRES/GFP, or by the 2BCR/ABL vectors combined, was significant (ttest, P = .02), whereas the difference between controls and mice with BCR/ABL-MSCVneo-induced leukemia was of borderline significance (P = .06). (B) Total mean plasma GM-CSF levels for the same control groups as in panel A, and for all mice with BCR/ABL-induced leukemia. There was no significant difference in GM-CSF levels between the groups.
The Il-3 gene is not required for induction of CML-like leukemia by BCR/ABL
We used mice with homozygous inactivation of the Il-3gene as donors or recipients in the BCR/ABL bone marrow transduction/transplantation model. After transduction withBCR/ABL, bone marrow from donorIl-3−/− mice induced CML-like leukemia in wild-type Balb/c recipient mice with 100% efficiency within 4 weeks after transplantation (Figure 2). Similarly, CML-like disease developed in allIl-3−/− recipients ofBCR/ABL-transduced wild-type marrow and when both donor and recipient lacked IL-3. There was no significant difference in survival when either donor or recipient was Il-3−/−, and actually a slight but significant acceleration in the disease process when both donor and recipient were ofIl-3−/− genotype (Figure 2). When both donor and recipient lacked IL-3, the CML-like disease was efficiently transferred to irradiated Il-3−/− or wild-type secondary recipients by transplantation of marrow and/or spleen (data not shown), as previously reported in a wild-type background.6 The histopathology of the disease process was similar in all groups (Figure 3 and Table1). There was massive splenomegaly of similar magnitude in all recipients, due to extensive infiltration by maturing myeloid cells with total disruption of the splenic architecture, accompanied by increased megakaryocytes and erythropoiesis (Figure 3A,D). The liver sinusoids were heavily infiltrated with maturing myeloid and erythroid cells (Figure 3B,E). The cause of morbidity or death in all cases appeared to be extensive myeloid infiltration of the lung parenchyma with hemorrhages (data not shown). Southern blot analysis of gDNA from blood- or spleen-derived myeloid cells from leukemic mice demonstrated that multiple (average of 9) independent proviral clones contributed to the myeloproliferative disease in these animals (Figure 4A and data not shown), similar to observations in a wild-type background.6 Despite the overall similarity of the organ histopathology, there were some notable differences in the myeloproliferative process in the blood of some recipient cohorts. When donor marrow was Il-3−/−, the average blood leukocyte count was lower, and there was an increase in the percentage of circulating immature erythoid cells (Table 1). When both donor and recipient were Il-3−/−, recipients also had lower peripheral blood leukocyte counts, but exhibited an increased percentage of monocytes and macrophage-like cells in the peripheral blood (average 48% monocyte/macrophages forIl-3−/− donor/recipient versus 11% for wild-type, Figure 3F and Table 1). These results demonstrate that IL-3 is not required for induction of CML-like myeloproliferative disease in mice by BCR/ABL, but monocytosis is observed in the absence of this cytokine.
IL-3 does not contribute to induction of CML-like disease by
BCR/ABL. Kaplan-Meier–style survival curve for recipients of marrow transduced with p210 BCR/ABL. The genotypes of donor and recipient are indicated by the dashed lines; all mice were of Balb/c background. The number of recipients in each arm is shown in parentheses. All recipients developed typical CML-like leukemia (see text). Omission of recombinant IL-3 from the prestimulation and transduction medium had no effect on leukemogenesis (data not shown). The curve with wild-type donors and recipients is a composite of previously reported mice6 and additional mice transplanted concurrently with the Il-3 andGm-csf mutant mice. There were no significant differences in survival between wild-type (WT) recipients of transduced WT marrow and transplants where either donor or recipient wasIl-3−/− (P = .65, Mantel-Cox test), whereas the survival of Il-3−/− mice transplanted with Il-3−/− marrow was significantly shorter (P = .01).
IL-3 does not contribute to induction of CML-like disease by
BCR/ABL. Kaplan-Meier–style survival curve for recipients of marrow transduced with p210 BCR/ABL. The genotypes of donor and recipient are indicated by the dashed lines; all mice were of Balb/c background. The number of recipients in each arm is shown in parentheses. All recipients developed typical CML-like leukemia (see text). Omission of recombinant IL-3 from the prestimulation and transduction medium had no effect on leukemogenesis (data not shown). The curve with wild-type donors and recipients is a composite of previously reported mice6 and additional mice transplanted concurrently with the Il-3 andGm-csf mutant mice. There were no significant differences in survival between wild-type (WT) recipients of transduced WT marrow and transplants where either donor or recipient wasIl-3−/− (P = .65, Mantel-Cox test), whereas the survival of Il-3−/− mice transplanted with Il-3−/− marrow was significantly shorter (P = .01).
Comparison of the histopathology of CML-like disease in different cytokine-deficient backgrounds.
Photomicrographs of hematoxylin/eosin-stained sections (magnification × 100) of spleen (A,D,G,J) and liver (B,E,H,K), and Wright/Giemsa-stained smears (magnification × 400) of peripheral blood (C,F,I,L), from mice with BCR/ABL-induced myeloproliferative disease where donor and recipient were of wild-type (A-C), Il-3−/− (D-F),Gm-csf−/− (G-I), and double-knockout (J-L) genotypes. Spleens demonstrate complete disruption of follicular architecture by infiltrating myeloid cells, erythropoiesis, and megakaryocytosis. Livers exhibit sinusoidal infiltration with maturing neutrophils, extramedullary erythropoiesis, and periportal collections of macrophages. Peripheral blood of mostIl-3−/− and some double-knockout recipients of like marrow displayed a predominance of monocytes and macrophages rather than neutrophils.
Comparison of the histopathology of CML-like disease in different cytokine-deficient backgrounds.
Photomicrographs of hematoxylin/eosin-stained sections (magnification × 100) of spleen (A,D,G,J) and liver (B,E,H,K), and Wright/Giemsa-stained smears (magnification × 400) of peripheral blood (C,F,I,L), from mice with BCR/ABL-induced myeloproliferative disease where donor and recipient were of wild-type (A-C), Il-3−/− (D-F),Gm-csf−/− (G-I), and double-knockout (J-L) genotypes. Spleens demonstrate complete disruption of follicular architecture by infiltrating myeloid cells, erythropoiesis, and megakaryocytosis. Livers exhibit sinusoidal infiltration with maturing neutrophils, extramedullary erythropoiesis, and periportal collections of macrophages. Peripheral blood of mostIl-3−/− and some double-knockout recipients of like marrow displayed a predominance of monocytes and macrophages rather than neutrophils.
Clinicopathologic features of BCR/ABL-induced CML-like disease with cytokine-deficient donor/recipient mice
| Genotype* . | Median survival (d) . | PB WBC (×103/μL ± SE) . | Differential† . | Spleen wt (g ± SE)‡ . | Liver1-153 . | Lungs1-155 . | |||||||
|---|---|---|---|---|---|---|---|---|---|---|---|---|---|
| Donor . | Recipient . | N . | Meta . | Pro . | Mo . | Ery . | Ly . | Bl . | |||||
| WT | WT | 22 | 295 ± 59 | 54 | 16 | 3 | 11 | 7 | 7 | 2 | 0.91 ± 0.06 | + | + |
| Il-3−/− | WT | 21 | 110 ± 15 (P = .022)1-154 | 50 | 8 | 4 | 8 | 19 | 9 | 2 | 0.85 ± 0.05 | + | + |
| WT | Il-3−/− | 22 | 262 ± 93 | 63 | 12 | 2 | 11 | 6 | 4 | 2 | 0.87 ± 0.04 | + | + |
| Il-3−/− | Il-3−/− | 20 (P = .01)# | 101 ± 18 (P = .008)1-154 | 31 | 11 | 1 | 48 | 6 | 3 | 1 | 0.84 ± 0.05 | + | + |
| Gm-csf−/− | WT | 23 | 235 ± 45 | 46 | 12 | 4 | 9 | 8 | 5 | 3 | 0.69 ± 0.09 | + | + |
| WT | Gm-csf−/− | 23 | 232 ± 87 | 56 | 12 | 6 | 7 | 8 | 8 | 3 | 0.95 ± 0.06 | + | + |
| Gm-csf−/− | Gm-csf−/− | 27 (P = .002)# | 226 ± 40 | 55 | 16 | 3 | 16 | 5 | 5 | 1 | 0.80 ± 0.06 | + | + |
| Il-3−/−Gm-csf−/− | Il-3−/−Gm-csf−/− | 16 (P = .005)# | 334 ± 115 | 44 | 13 | 3 | 27 | 11 | 3 | 1 | 0.75 ± 0.08 | + | + |
| Genotype* . | Median survival (d) . | PB WBC (×103/μL ± SE) . | Differential† . | Spleen wt (g ± SE)‡ . | Liver1-153 . | Lungs1-155 . | |||||||
|---|---|---|---|---|---|---|---|---|---|---|---|---|---|
| Donor . | Recipient . | N . | Meta . | Pro . | Mo . | Ery . | Ly . | Bl . | |||||
| WT | WT | 22 | 295 ± 59 | 54 | 16 | 3 | 11 | 7 | 7 | 2 | 0.91 ± 0.06 | + | + |
| Il-3−/− | WT | 21 | 110 ± 15 (P = .022)1-154 | 50 | 8 | 4 | 8 | 19 | 9 | 2 | 0.85 ± 0.05 | + | + |
| WT | Il-3−/− | 22 | 262 ± 93 | 63 | 12 | 2 | 11 | 6 | 4 | 2 | 0.87 ± 0.04 | + | + |
| Il-3−/− | Il-3−/− | 20 (P = .01)# | 101 ± 18 (P = .008)1-154 | 31 | 11 | 1 | 48 | 6 | 3 | 1 | 0.84 ± 0.05 | + | + |
| Gm-csf−/− | WT | 23 | 235 ± 45 | 46 | 12 | 4 | 9 | 8 | 5 | 3 | 0.69 ± 0.09 | + | + |
| WT | Gm-csf−/− | 23 | 232 ± 87 | 56 | 12 | 6 | 7 | 8 | 8 | 3 | 0.95 ± 0.06 | + | + |
| Gm-csf−/− | Gm-csf−/− | 27 (P = .002)# | 226 ± 40 | 55 | 16 | 3 | 16 | 5 | 5 | 1 | 0.80 ± 0.06 | + | + |
| Il-3−/−Gm-csf−/− | Il-3−/−Gm-csf−/− | 16 (P = .005)# | 334 ± 115 | 44 | 13 | 3 | 27 | 11 | 3 | 1 | 0.75 ± 0.08 | + | + |
WT indicates wild-type.
All mice are Balb/c.
Mean % of: N, neutrophils; Meta, metamyelocytes; Pro, promyelocytes; Mo, monocytes and macrophages; Ery, nucleated erythroid cells; Ly, lymphocytes; Bl, blasts.
None were significantly different from WT to WT (P ≥ .05, unpaired t test).
Hepatomegaly with extramedullary hematopoiesis, neutrophil infiltration, and macrophage aggregates.
Intra-alveolar myeloid cell infiltration with hemorrhages.
Significantly different from WT to WT, unpaired t test.
#Significantly different from WT to WT, Mantel-Cox test.
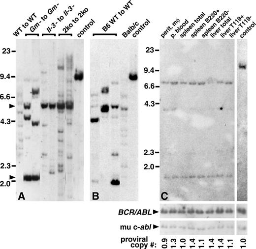
Proviral integration patterns in mice with
BCR/ABL-induced CML-like leukemia. The gDNA was prepared from hematopoietic cells from mice with CML-like disease, digested with BglII, transferred to nylon membranes, and hybridized with a radioactive probe from the neomycin resistance gene, as described.6 Sizes (in kilobases) of DNA markers are shown at the left. (A) Balb/c mice. The gDNA from peripheral blood or spleen myeloid cells was isolated from a typical wild-type recipient ofBCR/ABL-transduced wild-type marrow (WT to WT); 2 differentGm-csf-−/− recipients ofBCR/ABL-transduced Gm-csf−/−marrow (Gm− to Gm−); 2 differentIl-3−/− recipients ofBCR/ABL-transduced Il-3−/− marrow, and 2 different double-knockout recipients of transduced double-knockout marrow (2ko to 2ko), one of which received 1 × 106 donor cells (left lane), the other of which received 0.5 × 106 donor cells (right lane). A control DNA sample containing a single proviral copy per diploid genome is included at the far right (control). The positions of bands derived from the neomycin resistance gene present in the mutated Gm-csfand Il-3 loci are indicated by the arrowheads at left. (B,C) C57Bl/6 wild-type mice. (B) The gDNA from myeloid cells from 3 representative C57Bl/6 recipients of BCR/ABL-transduced syngeneic marrow. For comparison, gDNA from leukemic cells of a Balb/c recipient of syngeneic marrow transduced with the sameBCR/ABL retroviral stock is shown at right (Balb/c), along with single copy control DNA (control). (C) The cells initiating CML-like disease in C57Bl/6 mice have multilineage repopulating ability. The gDNA from purified peritoneal macrophages (perit. Mφ), peripheral blood neutrophils (p. blood), total, B220+, and B220− spleen cells, and total, TER-119+, and TER-119− liver cells was digested with BglII and hybridized with a radioactive neo gene probe to determine the number of distinct proviral integrations in each sample (top panels). Single proviral copy control DNA from a different lane of the same blot is included at the right. The blot was stripped and reprobed with an ABL probe that detects a common 2.2-kb fragment from all proviruses as well as the endogenous murine c-abl gene (bottom panels), allowing quantitation of the proviral copy number per diploid genome.6 The same 4 proviral clones (2 major and 2 minor) are found in all hematopoietic lineages of this animal at about one copy per cell, implicating a primitive multipotential target cell, similar to that observed in Balb/c mice.6
Proviral integration patterns in mice with
BCR/ABL-induced CML-like leukemia. The gDNA was prepared from hematopoietic cells from mice with CML-like disease, digested with BglII, transferred to nylon membranes, and hybridized with a radioactive probe from the neomycin resistance gene, as described.6 Sizes (in kilobases) of DNA markers are shown at the left. (A) Balb/c mice. The gDNA from peripheral blood or spleen myeloid cells was isolated from a typical wild-type recipient ofBCR/ABL-transduced wild-type marrow (WT to WT); 2 differentGm-csf-−/− recipients ofBCR/ABL-transduced Gm-csf−/−marrow (Gm− to Gm−); 2 differentIl-3−/− recipients ofBCR/ABL-transduced Il-3−/− marrow, and 2 different double-knockout recipients of transduced double-knockout marrow (2ko to 2ko), one of which received 1 × 106 donor cells (left lane), the other of which received 0.5 × 106 donor cells (right lane). A control DNA sample containing a single proviral copy per diploid genome is included at the far right (control). The positions of bands derived from the neomycin resistance gene present in the mutated Gm-csfand Il-3 loci are indicated by the arrowheads at left. (B,C) C57Bl/6 wild-type mice. (B) The gDNA from myeloid cells from 3 representative C57Bl/6 recipients of BCR/ABL-transduced syngeneic marrow. For comparison, gDNA from leukemic cells of a Balb/c recipient of syngeneic marrow transduced with the sameBCR/ABL retroviral stock is shown at right (Balb/c), along with single copy control DNA (control). (C) The cells initiating CML-like disease in C57Bl/6 mice have multilineage repopulating ability. The gDNA from purified peritoneal macrophages (perit. Mφ), peripheral blood neutrophils (p. blood), total, B220+, and B220− spleen cells, and total, TER-119+, and TER-119− liver cells was digested with BglII and hybridized with a radioactive neo gene probe to determine the number of distinct proviral integrations in each sample (top panels). Single proviral copy control DNA from a different lane of the same blot is included at the right. The blot was stripped and reprobed with an ABL probe that detects a common 2.2-kb fragment from all proviruses as well as the endogenous murine c-abl gene (bottom panels), allowing quantitation of the proviral copy number per diploid genome.6 The same 4 proviral clones (2 major and 2 minor) are found in all hematopoietic lineages of this animal at about one copy per cell, implicating a primitive multipotential target cell, similar to that observed in Balb/c mice.6
The Gm-csf gene is not required for induction of CML-like leukemia by BCR/ABL
We performed a similar set of transduction/transplantation experiments using mice with homozygous inactivation of theGm-csf gene. As with IL-3, we found that all recipients developed CML-like leukemia on transplantation withBCR/ABL-transduced marrow, regardless of whether the donor, recipient, or both were of Gm-csf−/− genotype (Figure5). There was a slight but statistically significant prolongation in survival when both donor and recipient wereGm-csf−/−. There was no difference in peripheral blood leukocyte count or differential, spleen weight, or histopathology of the myeloproliferative disease in the absence of GM-CSF (Figure 3G-I and data not shown). The disease was polyclonal by Southern blot analysis in all cases (data not shown), except when both donor and recipient were Gm-csf−/−, when there appeared to be fewer proviral clones contributing to the leukemia (Figure 4A). These results demonstrate that GM-CSF is not required for induction of CML-like disease by BCR/ABL.
GM-CSF is not required for induction of CML-like disease by
BCR/ABL. Kaplan–Meier-style survival curve for recipients of marrow transduced with p210 BCR/ABL. The genotypes of donor and recipient are indicated by the dashed lines; all mice were of Balb/c background. The number of recipients in each arm is shown in parentheses. The prolonged survival ofGm-csf−/− recipients ofGm-csf-−/−BCR/ABL-transduced marrow relative to the wild-type recipients of wild-type transduced marrow was significant (P = .002, Mantel-Cox test), whereas there was no significant difference in survival between any of the other transplant arms (P = .1). SeveralGm-csf−/− recipients transplanted withBCR/ABL-transduced wild-type marrow failed to engraft and died before day 12 (see text) and were not included on the curve.
GM-CSF is not required for induction of CML-like disease by
BCR/ABL. Kaplan–Meier-style survival curve for recipients of marrow transduced with p210 BCR/ABL. The genotypes of donor and recipient are indicated by the dashed lines; all mice were of Balb/c background. The number of recipients in each arm is shown in parentheses. The prolonged survival ofGm-csf−/− recipients ofGm-csf-−/−BCR/ABL-transduced marrow relative to the wild-type recipients of wild-type transduced marrow was significant (P = .002, Mantel-Cox test), whereas there was no significant difference in survival between any of the other transplant arms (P = .1). SeveralGm-csf−/− recipients transplanted withBCR/ABL-transduced wild-type marrow failed to engraft and died before day 12 (see text) and were not included on the curve.
Lack of a compensatory increase of the alternative cytokine inIl-3−/−orGm-csf−/−transplants
We determined total circulating IL-3 and GM-CSF in leukemic mice from transplants where donor or recipient lacked either cytokine (Figure 6). Interestingly, leukemic wild-type recipients of BCR/ABL-transduced marrow fromIl-3−/− donors had increased plasma IL-3 levels that were similar to those found in wild-type recipients of transduced wild-type marrow, whereas Il-3−/−recipients of BCR/ABL-transduced wild-type marrow had low to normal levels of IL-3 (Figure 6A). This suggests that the source of the increased circulating IL-3 in mice with BCR/ABL-induced CML-like leukemia is the recipient, rather than the donor-derived, BCR/ABL-expressing leukemic cells. There was no significant increase in circulating GM-CSF levels in diseased mice from transplants with an Il-3−/− donor or recipient (Figure 6B), demonstrating that a compensatory increase in GM-CSF did not occur in the absence of IL-3. Conversely, when the transduced donor cells were of Gm-csf−/−genotype, the levels of both IL-3 and GM-CSF in wild-type recipients were low (Figure 6A,B). This suggests that the majority of circulating GM-CSF in mice shortly after transplantation is donor derived, and GM-CSF production from the BCR/ABL-transduced marrow is necessary to elicit an IL-3 response from recipients.
Increased IL-3 in mice with CML-like disease originates from the recipient.
Total circulating IL-3 (A) and GM-CSF (B) levels were determined by ELISA (see “Materials and methods”) in leukemic mice from transplants with the indicated genotypes of donors and recipients (donors indicated first, then recipients). The values for wild-type mice transplanted with wild-type vector-transduced (MSCVneo) or BCR/ABL-transduced (BCR/ABL WT to WT) marrow are reproduced from Figure 1 for comparison. Error bars indicate SE.
Increased IL-3 in mice with CML-like disease originates from the recipient.
Total circulating IL-3 (A) and GM-CSF (B) levels were determined by ELISA (see “Materials and methods”) in leukemic mice from transplants with the indicated genotypes of donors and recipients (donors indicated first, then recipients). The values for wild-type mice transplanted with wild-type vector-transduced (MSCVneo) or BCR/ABL-transduced (BCR/ABL WT to WT) marrow are reproduced from Figure 1 for comparison. Error bars indicate SE.
Lack of redundancy of IL-3 and GM-CSF inBCR/ABL-induced CML-like leukemia
The above experiments demonstrate that IL-3 and GM-CSF are not required individually for induction of murine CML-like leukemia byBCR/ABL, but do not exclude the possibility that these 2 hematopoietic growth factors may have redundant or overlapping functions in the pathogenesis of the myeloproliferative disease. To address this, we used novel mice with homozygous inactivation of both the Il-3 and Gm-csf genes (“double-knockout” mice), which have only modest perturbations in hematopoiesis.24 When Il-3/Gm-csfdouble-knockout mice, in a Balb/c background, were used as both donors and recipients in the BCR/ABL transduction/transplantation model system, recipient mice developed typical CML-like disease, with significantly shorter latency than wild-type transplants (Figure7). The clinical features and histopathology of the myeloproliferative disease in the double-knockout background were identical to those of wild-type (Figure 3), except that some mice exhibited peripheral blood monocytosis, similar to that observed in the Il-3−/− donor/recipient transplant (Figure 3L and Table 1). Although the Il-3/Gm-csfdouble-knockout mice exhibit moderate eosinophilia under normal conditions,24 we did not observe excess eosinophils in the myelproliferative disease induced by BCR/ABL in this background. A similar number of proviral clones contributed to the leukemia in the double-knockout transplant as in a wild-type background (Figure 4A). This demonstrates that there is no redundancy in the function of these cytokines in the pathogenesis ofBCR/ABL-induced myeloproliferative disease. Interestingly, about half the double-knockout recipients ofBCR/ABL-transduced double-knockout marrow transplanted with 5 × 105 cells died before 14 days after transplantation because of failure to engraft, whereas more than 90% of mice that received 1 × 106 cells engrafted and developed leukemia (data not shown). The failure to engraft was dependent onBCR/ABL transduction, because vector-transduced double-knockout marrow efficiently engrafted all double-knockout recipients at a dose of 1 × 105 cells (data not shown).
Lack of redundancy between IL-3 and GM-CSF in pathogenesis of
BCR/ABL-induced CML-like leukemia.Kaplan-Meier–style survival curve for recipients of marrow transduced with p210 BCR/ABL. The genotypes of donor and recipient are indicated by the dashed lines; all mice were of Balb/c background. The number of recipients in each arm is shown in parentheses. Several double-knockout mice transplanted with BCR/ABL-transduced double-knockout marrow failed to engraft at a lower cell dose (see text) and were not included on the curve. The survival of double-knockout recipients of double-knockout–transduced marrow was significantly shorter than that of the wild-type mice (P = .005, Mantel-Cox test).
Lack of redundancy between IL-3 and GM-CSF in pathogenesis of
BCR/ABL-induced CML-like leukemia.Kaplan-Meier–style survival curve for recipients of marrow transduced with p210 BCR/ABL. The genotypes of donor and recipient are indicated by the dashed lines; all mice were of Balb/c background. The number of recipients in each arm is shown in parentheses. Several double-knockout mice transplanted with BCR/ABL-transduced double-knockout marrow failed to engraft at a lower cell dose (see text) and were not included on the curve. The survival of double-knockout recipients of double-knockout–transduced marrow was significantly shorter than that of the wild-type mice (P = .005, Mantel-Cox test).
BCR/ABL induces CML-like disease inefficiently in C57Bl/6 mice, and IL-3 and GM-CSF are not required for leukemogenesis in this strain
To extend these observations, we used a different inbred strain of mice, C57Bl/6, for which congenic Il-3−/−Gm-csf−/− double-knockout mice are also available. In an earlier, less efficient model of BCR/ABLleukemogenesis, it was reported that C57Bl/6 mice did not develop CML-like disease on transplantation with syngeneicBCR/ABL-transduced bone marrow, but instead developed leukemias of B-lymphoid, monocyte/macrophage, mast cell, and erythroid lineages.18 Using our current optimized model system,6 we observed that BCR/ABL did induce CML-like myeloproliferative disease in C57Bl/6 mice, but inefficiently (Figure 8). Relative to Balb/c mice, C57Bl/6 (B6) recipients of BCR/ABL-transduced marrow exhibited prolonged survival, with 50% of B6 mice developing fatal leukemia by 39 days after transplantation, versus 22 days for Balb/c (Figure 8A,B). In addition, the B6 recipients no longer developed exclusively CML-like leukemia, with some animals developing B-lymphoid leukemia or macrophage tumors in addition to, or instead of, myeloproliferative disease (Figure 8A). The myeloproliferative illness induced by BCR/ABL in B6 mice was characterized by lower peripheral blood leukocyte counts and spleen weights than that observed in Balb/c mice (Figure 8B), and fewer BCR/ABL-transduced proviral clones contributed to the disease (Figure 4B), but was otherwise clinicopathologically similar. As in Balb/c mice,6 the same spectrum of proviral clones was observed in gDNA from neutrophils, macrophages, erythroid precursors, and B-lymphoid cells purified from diseased B6 mice, indicative of a multipotential target cell (Figure 4C). However, B6 mice with CML-like leukemia did not have significant elevations in circulating IL-3 (or GM-CSF) relative to B6 recipients of nontransduced marrow (data not shown). When congenic C57Bl/6 Il-3−/−Gm-csf−/− mice were used as bone marrow donors and recipients, CML-like myeloproliferative leukemia developed in 6 of 7 recipients, with a similar prolonged latency (Figure 8A). These results demonstrate that IL-3 and GM-CSF are not required for the CML-like myeloproliferative disease induced by BCR/ABL in 2 different inbred mouse strains.
IL-3 and GM-CSF are not required for induction of CML-like disease in C57Bl/6 mice by
BCR/ABL. (A) Kaplan-Meier–style survival curve for recipients of marrow transduced with p210 BCR/ABL. The survival of Balb/c WT mice is shown by the solid line. For C57Bl/6 mice (B6, dashed lines), the individual mice in each arm are indicated by symbols (squares, wild-type; circles, double-knockout), with the disease indicated by the shading. Animals that developed more than one leukemia were identified by the characteristic clinicopathologic features of each disease, as previously described.6 10 The cause of morbidity or death in mice with CML-like disease from both strains was extensive pulmonary myeloid cell infiltration (data not shown). The difference in survival between wild-type Balb/c and C57Bl/6 transplants was highly significant (P < .0001, Mantel-Cox test), whereas there was no significant difference in survival between wild-type and double-knockout C57Bl/6 transplants (P = .22). (B) Comparison of median survival (days), mean peripheral blood leukocyte count (× 103/μL), and mean spleen weight (grams, measured at the time of morbidity or death) between wild-type Balb/c (in white) and C57Bl/6 (in black) recipients of syngeneic BCR/ABL-transduced marrow. Bars indicate SE.
IL-3 and GM-CSF are not required for induction of CML-like disease in C57Bl/6 mice by
BCR/ABL. (A) Kaplan-Meier–style survival curve for recipients of marrow transduced with p210 BCR/ABL. The survival of Balb/c WT mice is shown by the solid line. For C57Bl/6 mice (B6, dashed lines), the individual mice in each arm are indicated by symbols (squares, wild-type; circles, double-knockout), with the disease indicated by the shading. Animals that developed more than one leukemia were identified by the characteristic clinicopathologic features of each disease, as previously described.6 10 The cause of morbidity or death in mice with CML-like disease from both strains was extensive pulmonary myeloid cell infiltration (data not shown). The difference in survival between wild-type Balb/c and C57Bl/6 transplants was highly significant (P < .0001, Mantel-Cox test), whereas there was no significant difference in survival between wild-type and double-knockout C57Bl/6 transplants (P = .22). (B) Comparison of median survival (days), mean peripheral blood leukocyte count (× 103/μL), and mean spleen weight (grams, measured at the time of morbidity or death) between wild-type Balb/c (in white) and C57Bl/6 (in black) recipients of syngeneic BCR/ABL-transduced marrow. Bars indicate SE.
Discussion
Mice with transplanted with BCR/ABL-transduced bone marrow develop a myeloproliferative disease that is a very close pathophysiologic match to human CML. Diseased mice were reported to have elevated circulating IL-3 and GM-CSF,8 which are not characteristic of most patients with chronic phase CML, but the mechanism of production of these cytokines and their contribution to leukemogenesis were unclear. Here, we confirmed that mice withBCR/ABL-induced CML-like disease have variable but significant elevations in plasma IL-3, but we did not detect increased GM-CSF in these mice. Increased circulating IL-3 and sometimes GM-CSF are also observed in mice with myeloproliferative disease induced by oncogenic fusions of several other tyrosine kinases with the Tel transcription factor, found in human myelodysplastic syndromes, atypical CML, and acute leukemia.28 Our findings suggest that most of the increased IL-3 in mice with BCR/ABL-induced myeloproliferative disease originates from the recipient, not the donor. The actual source of the cytokine is not known, but may be produced by radioresistant recipient T lymphocytes. Interestingly, a wild-type Gm-csf gene was required in donor marrow for the recipient IL-3 response. We also noted that IL-3 levels were significantly higher in mice with CML-like disease induced with a retroviral vector that efficiently coexpresses Bcr/Abl and GFP, compared with a BCR/ABL-MSCVneo vector, which coexpresses neomycin phosphotransferase at low and variable levels from an internal pgk promoter.25 Collectively, these results suggest that the increased IL-3 represents a reaction of the recipient to transplantation of bone marrow expressing foreign proteins.
A several-fold elevation in circulating IL-3 is unlikely to account for the massive expansion of myelopoiesis in mice withBCR/ABL-induced CML-like disease, but this does not preclude a pathophysiologic role for cytokines, because IL-3 and other growth factors can stimulate autocrine proliferation without requiring secretion.29 To definitively test the role of IL-3 and GM-CSF in the pathogenesis of BCR/ABL-induced CML-like disease, we used Balb/c mice with homozygous inactivation of theIl-3 gene, the Gm-csf gene, and both genes, in the retroviral transduction/transplantation model system. Our results clearly establish that neither IL-3 nor GM-CSF is required individually for induction of CML-like disease by BCR/ABL. In the absence of IL-3, the myeloproliferative disease induced by BCR/ABLwas characterized by lower peripheral blood leukocyte counts with a higher percentage of monocyte/macrophage cells, somewhat reminiscent of chronic myelomonocytic leukemia. The mechanism of the shift in myelopoiesis in these mice is not known, but the monocytic cells were derived from the same spectrum of BCR/ABL-transduced clones as the neutrophils (data not shown), and the histopathology of the spleen and liver was identical to wild-type transplants (Figure 3). The use of Il-3−/−Gm-csf−/− double-knockout mice demonstrated that these 2 hematopoietic growth factors do not have overlapping or redundant functions in BCR/ABLleukemogenesis. These results were confirmed in a different inbred mouse strain, C57Bl/6. Although the CML-like myeloproliferative disease induced by BCR/ABL in wild-type B6 mice was distinct from that observed in Balb/c mice, leukemogenesis in B6 mice was independent of IL-3 and GM-CSF. In related studies,28 we have shown that the myeloproliferative illnesses induced in mice by the TEL/PDGFβR,26 TEL/JAK2,30 and TEL/TRKC31 fusions also do not require these cytokines.
Interestingly, we observed a decreased efficiency of engraftment of the transplanted marrow when both donor and recipient were of double-knockout genotype. The decreased engraftment appeared to be dependent on BCR/ABL transduction, because double-knockout marrow transduced with insertless retrovirus efficiently engrafted double-knockout recipients transplanted with 5-fold fewer marrow cells. It is not clear whether the defect in engraftment requires the absence of IL-3 or GM-CSF or both in the recipient. Because the impaired engraftment was only observed on transduction of BCR/ABL, it is possible that this reflects decreased efficiency of establishment ofBCR/ABL-transduced stem cells after transplantation in the absence of IL-3 and GM-CSF. However, this is unlikely for 2 reasons. First, it is doubtful that the transduction efficiency of stem cells in our experiments was 100%, so that untransduced normal stem cells are present in the donor marrow population and would be expected to efficiently engraft recipients. Second, efficient engraftment and induction of CML-like disease in the double-knockout recipients was achieved with just a 2-fold higher dose of donor marrow, and mice that developed CML-like disease in the double-knockout background at either dose of donor marrow exhibited about the same number of proviral clones contributing to the disease as in a wild-type background (Figure 4A), rather than the monoclonal or oligoclonal disease expected if limiting numbers of BCR/ABL-transduced stem cells were engrafting. It seems more plausible that the early mortality in this transplant reflects a negative or toxic effect of BCR/ABL expression on the donor marrow population as a whole, and on the ability of the marrow to radioprotect the recipient mice. Further experiments are necessary to understand the precise mechanism of this phenomenon, but the central conclusion that IL-3 and GM-CSF are not required forBCR/ABL leukemogenesis is not affected.
The data presented here argue that autocrine production of IL-3 does not play an essential role in the pathogenesis of established human chronic phase CML. However, it cannot be concluded that IL-3 does not contribute at all to this disease process. Perhaps because bone marrow cells must be actively cycling to be transduced by ecotropic retroviruses, the murine CML-like disease does not exhibit the long latent period (18-60 months) characteristic of human CML,32,33 which may reflect the ability of primitive Ph+ progenitors to be quiescent.34 It is therefore possible that IL-3 could be involved in the slow expansion of the Ph+ clone that is required for the eventual development of peripheral blood leukocytosis and clinical symptoms in human CML. Modifications to the retroviral model system may allow this latent period to be modeled in mice, and permit the role of cytokines in this process to be tested. Our results also do not exclude a role in the pathogenesis of murine CML-like disease for other cytokines instead of, or in addition to, the 2 analyzed here. Notably, human CML progenitors also express aberrant G-CSF transcripts,13 whereas oncostatin M has been implicated in the pathogenesis of myeloproliferative disease induced in mice by the TEL/JAK2 tyrosine kinase fusion.35 Mice lacking G-CSF are available, allowing the role of G-CSF in BCR/ABL leukemogenesis to be tested. However, unlike the Il-3 and Gm-csfmutant mice, Gcsf−/− mice have significant defects in hematopoietic stem/progenitor cells, impaired myeloid maturation, and chronic neutropenia.36 Interpretation of a leukemogenesis defect in a Gcsf−/− background would therefore be more difficult than with the mutants used here.
In conclusion, we have demonstrated here that neither IL-3 nor GM-CSF is required, alone or together, for induction of CML-like myeloproliferative disease in mice by BCR/ABL. Our results demonstrate the value of accurate and faithful mouse models of human cancer. In this instance, the retroviral bone marrow transduction/transplantation model of human CML has definitively answered a question about the pathogenesis of CML that would be difficult if not impossible to settle by studying primary human CML cells. Further application of this model system should continue to provide important new knowledge about the molecular pathophysiology of the human Ph+ leukemias.
G.D. is a Clinical Scholar of the Leukemia and Lymphoma Society. D.G.G. is an Associate Investigator of the Howard Hughes Medical Institute. R.A.V. is a Scholar of the Leukemia and Lymphoma Society and the Carl and Margaret Walter Scholar in Blood Research at Harvard Medical School.
Supported in part by National Institutes of Health grants CA81197 (M.H.T.), CA74886 and CA39542 (G.D.), DK50654 and CA66996 (D.G.G.), and CA57593 (R.A.V.), and grants from the Leukemia and Lymphoma Society (G.D. and R.A.V.), Swiss National Science Foundation (S.G.), Swiss Cancer League (S.G.), Cancer Research Institute/Partridge Foundation and the MarJo Foundation (G.D.), and the Howard Hughes Medical Institute (D.G.G.).
The publication costs of this article were defrayed in part by page charge payment. Therefore, and solely to indicate this fact, this article is hereby marked “advertisement” in accordance with 18 U.S.C. section 1734.
References
Author notes
Richard A. Van Etten, The Center for Blood Research, 200 Longwood Ave, Boston, MA 02115; e-mail:vanetten@cbr.med.harvard.edu.








This feature is available to Subscribers Only
Sign In or Create an Account Close Modal