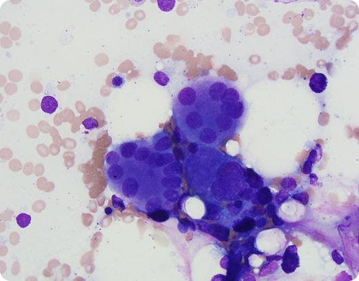
A 19-year-old previously healthy woman presented with cytopenias. Her complete blood cell count demonstrated: white blood cell count, 3.6 × 109/L (normal, 4.5-13.0); hemoglobin, 112 g/L (normal, 115-153), and platelet count, 124 × 109/L (normal, 140-400). An absolute monocyte count of 0.18 × 109/L (normal, 0.20-0.90) was noted. Her absolute neutrophil count was 1.98 × 109/L (normal, 1.8-8.0). Her absolute B-cell count was 0.064 × 109/L (normal, 0.13-0.80) and there was no natural killer lymphopenia. CD4 lymphopenia was absent; however, the CD4:CD8 ratio was 0.97 (normal, 1.00-2.90). Family history was significant for a sister with cytopenias and marrow hypocellularity. Her father had cytopenias and human papillomavirus (HPV)–associated anorectal cancer. The peripheral smear was unremarkable. Bone marrow examination showed a hypocellular bone marrow (cellularity 20%). Megakaryocytic atypia was noted as depicted: large osteoclast-like megakaryocytes with multiple separated nuclear lobes (original magnification ×100). No fibrosis was noted. Cytogenetic evaluation demonstrated a normal karyotype. A mutation affecting a single allele in GATA2 was documented (p.R361P).
The low levels of blood cells, especially B cells, and monocytes with marrow hypocellularity and dysplasia in the context of family members with similar findings and HPV-associated anorectal cancer were suggestive of GATA2 deficiency–associated bone marrow disorder, which has a high risk of progressing to overt myelodysplastic syndrome/acute myeloid leukemia.
A 19-year-old previously healthy woman presented with cytopenias. Her complete blood cell count demonstrated: white blood cell count, 3.6 × 109/L (normal, 4.5-13.0); hemoglobin, 112 g/L (normal, 115-153), and platelet count, 124 × 109/L (normal, 140-400). An absolute monocyte count of 0.18 × 109/L (normal, 0.20-0.90) was noted. Her absolute neutrophil count was 1.98 × 109/L (normal, 1.8-8.0). Her absolute B-cell count was 0.064 × 109/L (normal, 0.13-0.80) and there was no natural killer lymphopenia. CD4 lymphopenia was absent; however, the CD4:CD8 ratio was 0.97 (normal, 1.00-2.90). Family history was significant for a sister with cytopenias and marrow hypocellularity. Her father had cytopenias and human papillomavirus (HPV)–associated anorectal cancer. The peripheral smear was unremarkable. Bone marrow examination showed a hypocellular bone marrow (cellularity 20%). Megakaryocytic atypia was noted as depicted: large osteoclast-like megakaryocytes with multiple separated nuclear lobes (original magnification ×100). No fibrosis was noted. Cytogenetic evaluation demonstrated a normal karyotype. A mutation affecting a single allele in GATA2 was documented (p.R361P).
The low levels of blood cells, especially B cells, and monocytes with marrow hypocellularity and dysplasia in the context of family members with similar findings and HPV-associated anorectal cancer were suggestive of GATA2 deficiency–associated bone marrow disorder, which has a high risk of progressing to overt myelodysplastic syndrome/acute myeloid leukemia.
For additional images, visit the ASH IMAGE BANK, a reference and teaching tool that is continually updated with new atlas and case study images. For more information visit http://imagebank.hematology.org.

This feature is available to Subscribers Only
Sign In or Create an Account Close Modal