Abstract
Introduction
Grade III-IV GvHD is associated with poor outcome. Severe steroid refractory (SR) intestinal manifestations are difficult to treat, and current treatment modalities augment the immunodeficiency and often lead to opportunistic infections, multiorgan failure (MOF) and death. 2nd and 3rd line treatments are less than optimally documented and often with erratic responses.
Vedolizumab (Vedo), a monoclonal antibody targeting the homing of T-cells to the intestinal endothelium through inhibition of the binding of integrin a4b7 to MadCAM, is effective in inflammatory bowel disease (IBD) refractory to TNF-a inhibitors.
Encouraged by the responses reported in IBD, we used Vedo in six patients with intestinal SR GvHD.
Methods
Patient characteristics are provided in table 1. Patients 1 and 2 had been through 2nd and 3rd line therapy without response or resolution of the GvHD. Patients 3 to 6 were given Vedo as second line therapy after steroid failure. Patient 4 already had MOF with gastrointestinal GvHD before receiveing Vedo, and died of MOF.
Vedo was delivered as prescribed in IBD; 300 mg iv without premedication week 0, 2 and 6, followed by infusions every 8 weeks on clinical indication.
Results
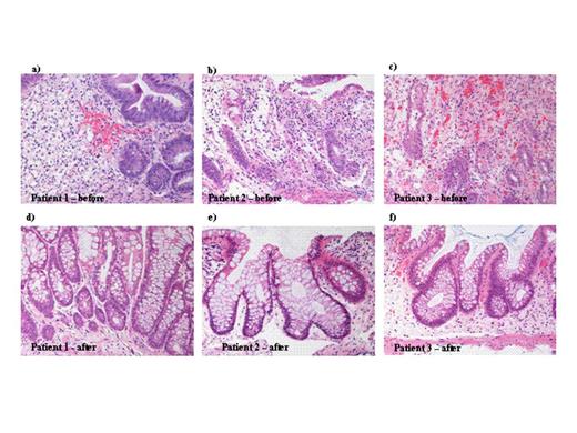
All patients exhibited clinical responses within 7 - 10 days after start of treatment with decrease in abdominal pain and watery diarrhoea. Serial endoscopies were performed in patients 1,2,3,5 and 6. These revealed gradual macroscopic and histologic improvement; the upper GI-tract showing a more rapid improvement than the colon. Figure 1 shows colon histology before (a, b, c) and after 3 doses of Vedo (d, e, f) in patient 1, 2 and 3.
After 3 doses of Vedo, most patients could taper systemic corticosteroid therapy. All patients, except patient 4, were on oral medication including immunosuppressants. Concomitant immunosuppressive therapy was administered as oral cyclosporine or MMF. There were no or sparse clinical symptoms of acute intestinal GvHD
Patient 1 is in continued clinical remission of GvHD 8 months after start of therapy. Patient 2 was asymptomatic for 5 months, then a molecular relapse of acute promyelocytic leukemia was diagnosed and intestinal GvHD recurred when all immunosuppression was stopped. In patient 3, the intestinal GvHD resolved after three doses of Vedo, but he developed skin GvHD after cessation of IS and died of an opportunistic infection following treatment with high dose methyl-prednisolone. Patient 4 had MOF prior to start of treatment with Vedo and died in MOF. Patient 5 and 6 have no clinical signs of intestinal GvHD after 2 and 3 doses of Vedo.
Five out of six patients could be discharged from hospital after treatment with Vedo.
Immunophenotyping of peripheral blood revealed high levels of CD25+ Treg cells in 4 out of 5 evaluable patients prior to treatment and the numbers decreased to normal levels after start of therapy and with signs of clinical effect. Patient 2 stopped IS after a molecular relapse of APL and had a recurrence of GvHD. This recurrence coincided with an increase in Treg percentage.
Discussion
This case series provides the first proof of concept that targeting integrin a4b7 T-cells is feasible, safe and may provide clinical improvement in intestinal SR GvHD. The mechanism of action is not known, but may be due to the inhibition of the homing of a4b7 expressing allo-reactive T-cells to recipient MadCAM expressing intestinal endothelial cells. The mechanism behind the Treg patterns is unclear. One might speculate that the initial high levels of Tregs are part of the physiologic reaction to the alloreactive inflammation in the intestinal epithelium and that the subsequent normalization occurs as the inflammation subsides.
| Patient . | 1 . | 2 . | 3 . | 4 . | 5 . | 6 . |
|---|---|---|---|---|---|---|
| Diagnosis . | AML . | AML . | NHL . | AML . | NHL . | AML . |
| Sex . | male . | male . | male . | female . | male . | male . |
| Age at transplant | 46 | 58 | 42 | 44 | 50 | 62 |
| Lines of therapy after steroid refractoriness | 2 | 1 | 0 | 0 | 0 | 0 |
| Other manifestations | 1 | 2,3,4 | 1 | |||
| Steroid dose (mg) at last FU | N/A | N/A | 2 mg/kg | 1,7 mg/kg | 10 | 0 |
| Number of Vedolizumab doses at last FU | 5 | 5 | 3 | 1 | 2 | 3 |
| Immunosuppression at last FU | No | CyA | CyA + steroids | MMF + steroids | CyA + steroids | No |
| watery stools at last FU | No | Yes | No | No | No | No |
| Treg % before start of Vedo (reference: 2,5 - 5,8) | 10,2 | 29,6 | 4 | 1,7 | 33 | 6,5 |
| Treg % follow up 1 | 5,7 | 15 | 2,1 | 13,3 | 13 | |
| Treg % follow up 2 | 6,2 | 6 | ||||
| Treg % follow up 3 | 4,6 | 6,6 | ||||
| Treg % follow up 4 | 4,9 | |||||
| Treg % follow up 5 | 8,5* | |||||
| *IS cessation due to molecular relapse followed by relapse of GvHD | ||||||
| 1 | CMV | |||||
| 2 | renal failure | |||||
| 3 | hepatic failure | |||||
| 4 | multi-organ GvHD | |||||
| Patient . | 1 . | 2 . | 3 . | 4 . | 5 . | 6 . |
|---|---|---|---|---|---|---|
| Diagnosis . | AML . | AML . | NHL . | AML . | NHL . | AML . |
| Sex . | male . | male . | male . | female . | male . | male . |
| Age at transplant | 46 | 58 | 42 | 44 | 50 | 62 |
| Lines of therapy after steroid refractoriness | 2 | 1 | 0 | 0 | 0 | 0 |
| Other manifestations | 1 | 2,3,4 | 1 | |||
| Steroid dose (mg) at last FU | N/A | N/A | 2 mg/kg | 1,7 mg/kg | 10 | 0 |
| Number of Vedolizumab doses at last FU | 5 | 5 | 3 | 1 | 2 | 3 |
| Immunosuppression at last FU | No | CyA | CyA + steroids | MMF + steroids | CyA + steroids | No |
| watery stools at last FU | No | Yes | No | No | No | No |
| Treg % before start of Vedo (reference: 2,5 - 5,8) | 10,2 | 29,6 | 4 | 1,7 | 33 | 6,5 |
| Treg % follow up 1 | 5,7 | 15 | 2,1 | 13,3 | 13 | |
| Treg % follow up 2 | 6,2 | 6 | ||||
| Treg % follow up 3 | 4,6 | 6,6 | ||||
| Treg % follow up 4 | 4,9 | |||||
| Treg % follow up 5 | 8,5* | |||||
| *IS cessation due to molecular relapse followed by relapse of GvHD | ||||||
| 1 | CMV | |||||
| 2 | renal failure | |||||
| 3 | hepatic failure | |||||
| 4 | multi-organ GvHD | |||||
Off Label Use: Vedolizumab is approved for the treatment of inflammatory bowel disease. The present study describes its effect on steroid-refractory acute intestinal GvHD. Lundin:Takeda: Consultancy, Honoraria.
Author notes
Asterisk with author names denotes non-ASH members.

This feature is available to Subscribers Only
Sign In or Create an Account Close Modal