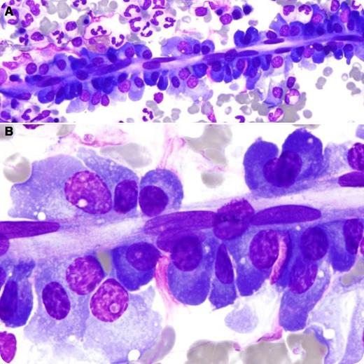
A 32-year-old man with a history of severe mental retardation presented with a bulky 11.7 cm × 6.8 cm superior mediastinal mass, confluent 5.3 cm × 3.9 cm right hilar lymphadenopathy, and a cavitary right upper lobe lung mass. HIV serology was negative. A core biopsy of the mediastinal mass showed a mixed inflammatory infiltrate with scattered large mono- and binucleated Hodgkin-Reed-Sternberg cells with prominent macronucleoli expressing CD15, CD30, and PAX5, without CD3, CD20, or CD45 by immunohistochemistry. The staging marrow was negative for lymphoma; however, a visually impressive sheath of small, mature plasma cells was observed in the pericapillary space on the aspirate smear (panel A), reminiscent of a “plasma cell ribbon” (panel B). A diagnosis of unfavorable-risk classical Hodgkin lymphoma (stage IIAX) was made. Due to concerns about poor patient compliance and agitation, a decision was made to treat him with local radiation only.
Pericapillary localization of polytypic plasma cells in the marrow is a physiologic phenomenon rarely observed on aspirate smear preparations. The intimate association between plasma cells and endothelial cells early in the development of blood vessels facilitates transport of immunoglobulins from plasma cells into the circulation. As the muscularis layer forms, pericapillary plasma cells disappear.
A 32-year-old man with a history of severe mental retardation presented with a bulky 11.7 cm × 6.8 cm superior mediastinal mass, confluent 5.3 cm × 3.9 cm right hilar lymphadenopathy, and a cavitary right upper lobe lung mass. HIV serology was negative. A core biopsy of the mediastinal mass showed a mixed inflammatory infiltrate with scattered large mono- and binucleated Hodgkin-Reed-Sternberg cells with prominent macronucleoli expressing CD15, CD30, and PAX5, without CD3, CD20, or CD45 by immunohistochemistry. The staging marrow was negative for lymphoma; however, a visually impressive sheath of small, mature plasma cells was observed in the pericapillary space on the aspirate smear (panel A), reminiscent of a “plasma cell ribbon” (panel B). A diagnosis of unfavorable-risk classical Hodgkin lymphoma (stage IIAX) was made. Due to concerns about poor patient compliance and agitation, a decision was made to treat him with local radiation only.
Pericapillary localization of polytypic plasma cells in the marrow is a physiologic phenomenon rarely observed on aspirate smear preparations. The intimate association between plasma cells and endothelial cells early in the development of blood vessels facilitates transport of immunoglobulins from plasma cells into the circulation. As the muscularis layer forms, pericapillary plasma cells disappear.
For additional images, visit the ASH IMAGE BANK, a reference and teaching tool that is continually updated with new atlas and case study images. For more information visit http://imagebank.hematology.org.

This feature is available to Subscribers Only
Sign In or Create an Account Close Modal