Abstract
We previously reported a fusion between TEL and JAK2in a t(9;12)(p24;p13) chromosomal translocation in childhood acute T-cell leukemia. This fusion gene encodes a TEL-JAK2 chimeric protein in which the 336 amino-terminal residues of TEL, including its specific self-association domain, are fused to the kinase domain of JAK2. TEL-JAK2 exhibits constitutive activation of its tyrosine kinase activity which, in turn, confers growth factor–independent proliferation to the interleukin-3–dependent Ba/F3 hematopoietic cell line. To elucidate the properties of TEL-JAK2 in primary cells and to create an animal model for TEL-JAK2–induced leukemia, we generated transgenic mice in which the TEL-JAK2 complementary DNA was placed under the transcriptional control of the EμSR enhancer/promoter. TEL-JAK2 founder mice and their transgenic progeny developed fatal leukemia at 4 to 22 weeks of age. Selective amplification of CD8-positive T cells was observed in blood, lymph nodes, thymus, spleen, and bone marrow. Expression of a tyrosine-phosphorylated TEL-JAK2 protein and activation of STAT1 and STAT5 (signal transducer and activator of transcription) were detected in leukemic tissues. TEL-JAK2 diseased mice also displayed invasion of nonhematopoietic organs, including liver, brain, lung, and kidney, by leukemic T cells. Leukemic organs of founder and transgenic progeny contained a monoclonal/oligoclonal T-cell population as analyzed by the rearrangement of the TCRβ locus. Transplantation of TEL-JAK2 leukemic cells in nude mice confirmed their invasive nature. We conclude that the TEL-JAK2 fusion is an oncogene in vivo and that its expression in lymphoid cells results in the preferential expansion of CD8-positive T cells.
Normal hematopoiesis is regulated through the interaction of cytokine and growth factors with their cognate receptors. Cytokine receptors are associated with and mediate ligand-dependent activation of 1 or more of the Janus family of tyrosine kinases.1 The JAK family is composed of 4 members in mammals (JAK1, JAK2, JAK3, and TYK2) that are specifically activated in response to different cytokines. JAKs share regions of homology designated as JH (Jak homology) segments. Seven JH regions (JH1-JH7) are described, but with the exception of the JH1 catalytic domain, the precise function of these regions remains poorly understood.1 Cytokine-induced activation of JAK kinases results in the phosphorylation of a number of tyrosine residues both in the JAK kinase itself and in the cytoplasmic domain of the associated cytokine receptor. These phosphorylated tyrosine and adjacent residues serve as docking sites for a variety of intracellular signaling adaptors and effectors, including specific members of the STAT (signal transducer and activator of transcription) family of transcriptional regulators. Recruitment of STATs to the receptor-JAK signaling complex results in their tyrosine phosphorylation, which leads to their dimerization, their migration to the nucleus, and their binding to specific response elements in the promoter region of target genes.1
JAK2 is the predominant JAK kinase activated in response to interleukin (IL)-3, granulocyte-macrophage colony-stimulating factor (GM-CSF), erythropoietin (EPO), thrombopoietin (TPO), IL-5, growth hormone, and prolactin and is also activated along with another JAK family member in response to G-CSF, IL-6 and related cytokines, and interferon-γ.1 JAK2 is essential to cytokine receptor signaling since its functional inactivation by homologous recombination suppresses the response of fetal liver cells to EPO, TPO, IL-3, and GM-CSF and abolishes definitive mouse erythropoiesis.2 3
Several lines of evidence suggest a potential role of the deregulation of JAK-STAT pathways in hematologic disorders.4 In Drosophila, gain of function mutations in the hopscotch locus, which encodes a JAK homologue, results in D-STAT activation and in a leukemia-like defect.5,6 In mammals, several reports have demonstrated the constitutive activation of JAKs and STATs in cell lines transformed by v-Abl and BCR-ABL7 and in cell lines derived from a variety of human leukemias, including acute lymphoblastic leukemia (ALL), cutaneous T-cell lymphoma, and adult-type leukemia,8-11 as well as in peripheral blood samples of ALL and acute myeloid leukemia patients.12
Evidence that perturbation of JAK kinase signaling is directly involved in human leukemia was more recently obtained by the demonstration of the fusion of JAK2 on chromosome 9p24 to TEL, a gene of the ETS family localized at 12p13, in several cases of ALL and in a myeloid malignancy to lead to the expression of a TEL-JAK2 fusion protein.13-15TEL was initially identified as the fusion partner of the gene encoding the platelet-derived growth factor-β receptor in the t(5;12)(q31;p13) chromosomal translocation in patients with chronic myelomonocytic leukemia.16Subsequently, several hematopoietic malignancies and, more recently, congenital fibrosarcoma and mesoblastic nephroma were found to be associated with specific translocations resulting in the fusion of TEL to either protein tyrosine kinases or unrelated transcriptional regulators.14 17-22
TEL shares with other ETS proteins an evolutionarily conserved domain (ETS domain), which is responsible for its nuclear localization and specific binding to DNA.16,23 It also shares with a subset of other ETS proteins another domain of 65 amino acid residues known as the B domain or pointed domain, the function of which is poorly characterized.24 The B/pointed domain of TEL presents the unique property to induce the self-association of TEL as well as that of TEL-derived oncoproteins, including TEL-JAK2.13,18,25,26 TEL-mediated self-association of TEL-JAK2 leads to constitutive activation of the tyrosine kinase activity of its JAK2 moiety.13,15 This, in turn, activates the transforming properties of TEL-JAK2 as evidenced by its ability to induce cytokine-independent proliferation of murine BaF/3 cells, a cell line normally dependent on IL-3 for its survival and proliferation.13 15
To better understand the pathological process caused by the TEL-JAK2 chimeric protein and thus the biological consequences of abnormal JAK2 activation in vivo, we generated mice expressing an EμSRα-TEL-JAK2 transgene corresponding to the fusion gene characterized in the T-cell ALL case. Our results show that TEL-JAK2 transgenic mice develop a fatal CD8+ T-cell leukemia at 4 to 22 weeks of age. TEL-JAK2–induced leukemia is a clonal disease characterized by highly invasive leukemic cells, which display constitutive activation of STAT1 and STAT5.
Materials and methods
Transgene and mice
A pBluescript plasmid containing a hemagglutinin (HA)-tagged version of TEL-JAK2 complementary DNA13 (cDNA) was linearized byXbaI and the 3′ ends filled in with Klenow polymerase. After digestion with SalI, the purified insert was subcloned into EcoRV and SalI-restricted pEμSRα,27 a generous gift of Dr Suzanne Cory. This vector drives the expression of exogenous cDNA from the EμSRα enhancer/promotor cassette and contains the rabbit globin polyA addition site, 3′ of the inserted exogenous cDNA (Figure1). The EμSRα-TEL-JAK2 construct was digested by NotI to release the transgene, which was purified on ELUTIP (Schleicher and Schull, Ecquevilly, France) before injection into fertilized eggs.
Schematic representation of HA-TEL-JAK2 transgene.
The HA-TEL-JAK2 cDNA13 was inserted 3′ of the Eμ/SRα enhancer/promoter (thick hatched and dark boxes), which allows high-level specific expression in lymphoid cells but only low to undetectable expression in nonlymphoid tissues.27 The 3′ end of the transgene contains the rabbit globin poly(A) addition site. The self-association domain of TEL is represented by a black box. The JH1 domain (catalytic domain) of JAK2 is represented by a thin hatched box.
Schematic representation of HA-TEL-JAK2 transgene.
The HA-TEL-JAK2 cDNA13 was inserted 3′ of the Eμ/SRα enhancer/promoter (thick hatched and dark boxes), which allows high-level specific expression in lymphoid cells but only low to undetectable expression in nonlymphoid tissues.27 The 3′ end of the transgene contains the rabbit globin poly(A) addition site. The self-association domain of TEL is represented by a black box. The JH1 domain (catalytic domain) of JAK2 is represented by a thin hatched box.
Transgenic C57B6/DBA2 animals were generated by pronuclear microinjection as described previously.28Transgenic mice were identified by polymerase chain reaction (PCR) analysis of tail DNA and confirmed by a second round of PCR and Southern blotting analysis. PCR was performed using the following primers: forward amplimer: 5′-GGGAAGGGAAGCCCATCAACC-3′; reverse amplimer: 5′-CCGCACTGTAGCACACTCCC-3′.
Cytologic and pathological studies
White blood cell counts were determined using the Unopet lysis procedure (Becton Dickinson Vacutainer Systems, Le Pont de Claix, France) from blood harvested from the cavernous sinus. Blood smears and bone marrow imprints were stained with May-Grünwald-Giemsa (MGG). Mice were fully dissected with macroscopic analysis of all organs. Spleens and thymuses were weighed. Spleens, livers, and thymuses were systematically cut into 3 parts, 1 of which was immediately snap-frozen in liquid nitrogen while another part was fixed in FAA (10% formaldehyde, 75% ethanol, 5% glacial acetic acid). All organs were fixed for 2 hours in FAA and further processed for paraffin embedding. Sections 3 μm thick were stained with hematoxylin-eosin (HE) and trichrome. Histologic analysis focused on the type of cellular infiltration, the pattern of invasion in each organ, and the extent of the metastatic process in each animal.
Immunofluorescence staining
Immunofluorescence staining was performed on frozen tissue sections (7 μm of thickness) of organs embedded in Tissue Tek (Sakura Finetek Bayer, Puteaux, France). The sections were fixed twice in acetone for 10 minutes at −20°C and kept at −20°C. After incubation for 20 minutes in phosphate-buffered saline (PBS) containing 10% fetal calf serum (FCS), sections were incubated for 1 hour at room temperature with different antibodies at the appropriate dilution in PBS containing 3% FCS. After rinsing twice in PBS-3% FCS, samples were examined using a Zeiss microscope. Monoclonal antibodies (Mab) specific for CD45R/B220 (RA3-6B2 clone, Phar-Mingen Becton Dickinson, Le Pont de Claix, France), Thy 1.2 (53-2.1 clone; PharMingen), CD4 (H129.19 clone, PharMingen), CD8a (53-6.7 clone; PharMingen), CD3ε (145-2C11 clone, PharMingen), Mac1α chain (M1/70 clone; PharMingen), and GR-1 (RB6-8C5 clone; PharMingen) conjugated with either fluorescein isothiocyanate (FITC) or phycoerythrin (PE) were used. Control staining was performed with FITC- or PE-conjugated rat immunoglobulin (Ig)G2a monoclonal immunoglobulin isotype standard (R35-95 clone; PharMingen). When polyclonal antibody specific for the HA epitope (Santa Cruz Biotechnology, Santa Cruz, CA) was used, a second incubation with FITC- or PE-conjugated antirabbit immunoglobulins (Sigma, Saint Quentin Fallavier, France) was performed for 1 hour.
Flow cytometric analysis and isolation of specific lymphocyte subclasses
Single-cell suspensions from lymph nodes, thymus, spleen, and bone marrow were prepared in RPMI medium containing 10% FCS. After centrifugation for 5 minutes at 1200g, cells were resuspended in FCS containing 10% DMSO and frozen at −80°C. After thawing and centrifugation, aliquots of 106 cells were resuspended in PBS containing 3% FCS and 0.1% sodium azide and processed for immunostaining. Monoclonal and polyclonal antibodies were added at the appropriate dilution in suspension buffer, and samples were incubated for 1 hour at 4°C in the dark. Each sample was rinsed twice in PBS/FCS, and cells were resuspended in PBS-0.1% sodium azide. In costaining experiments to detect cytoplasmic HA-TEL-JAK2, cells were fixed in 4% paraformaldehyde for 20 minutes at 4°C and rinsed twice in PBS containing 0.5% BSA and 0.1% saponin before incubation with a rabbit antibody specific for the influenza HA epitope (Santa Cruz Biotechnology) for 1 hour. Cells were rinsed twice in PBS containing 0.5% BSA and 0.1% saponin, incubated for 1 hour with antirabbit-FITC–conjugated antibody, and then rinsed twice in PBS-0.5% BSA. Cells were resuspended in PBS-0.1% azide before cytometric analysis. All cytometric analysis was performed on FACsCalibur (Becton Dickinson). A total of 10 000 events were acquired and analyzed using the CellQuest software (Becton Dickinson).
CD8+ cells and CD4+CD8+ cells were magnetically separated using the MACS system (Miltenyi Biotec, Paris, France). Leukemic cells were incubated with Microbeads-conjugated antimouse CD4 monoclonal antibody (Miltenyi Biotec) in PBS containing 0.5% BSA for 15 minutes at 8°C. CD4+ cells were obtained by positive selection on LS+ columns and eluted. These cells were more than 90% CD4+CD8+. Unretained cells were subsequently chromatographed through CS columns to remove trace amounts of CD4+ T cells. The resulting population was more than 90% CD8+CD4−.
Northern blot and Southern blot analyses
Total RNA from different tissues was extracted in guanidium isothiocyanate and purified as described.29 Fifteen micrograms of total RNA were loaded on 1% agarose gels containing paraformaldehyde, transferred to nitrocellulose (Nytran Plus, Schleicher & Schull), fixed by UV irradiation, and hybridized with 32P-labeled DNA probes. After washing, blots were analyzed by exposure on X-AR films (Kodak, Européenne d'Imagenie Scientifique, Massy, France). Probes were made using the Rediprime II Kit (Amersham, Les Ulis, France). The TEL-specific probe was obtained using the 1-kilobase (kb) EcoRI-EcoRV fragment of TEL-JAK2 cDNA; the JAK2-specific probe was derived from the 1.1-kbEcoRV-HindIII fragment of TEL-JAK2 cDNA. For Southern blot analyses, 10 μg of high molecular weight DNA obtained from mouse tissues were digested by HindIII and processed according to standard procedures.30 Hybridization was carried out in 0.5-mol/L Na2HPO4, pH 7.2; 7% sodium dodecyl sulfate (SDS); 1 mM of ethylenediaminetetraacetic acid (EDTA); and radiolabeled probes at 68°C. Washes were carried out in 40 mmol/L Na2HPO4, pH 7.2, and 1% SDS at 68°C.31 The probe was a murine Jβ2.6 286–base pair ClaI- PstI fragment.32
Immunoprecipitation and Western blot analyses
A total of 107 cells from spleen, thymus, and lymph nodes were rinsed twice in ice-cold PBS, lysed in 1 mL of radioimmunoprecipitation assay (RIPA) buffer (10 mM Tris-HCl, pH 7.4; 0.1 M NaCl; 0.001 M EDTA; 1% Triton X-100; 0.5% sodium deoxycholate; 0.1% SDS; 1% aprotinin [Sigma]; 100 μg/mL phenylmethylsulfonyl fluoride [Sigma]; and 0.1% leupeptin [Sigma]) and centrifuged at 15 000g for 30 minutes. Immunoprecipitation analyses were performed using either a rabbit antiserum directed against amino acids 1110 to 1129 of JAK2 (anti-JAK2; Santa Cruz Biotechnology) or a rabbit antiserum to the first 52 amino acids of TEL.33Immunoprecipitates were rinsed 3 times in RIPA buffer and once in TNE buffer (10 mM Tris-HCl, pH 7.4; 0.1 M NaCl; 0.001 M EDTA). Immunoblotting analyses were performed after electrophoretic transfer of immunoprecipitated proteins separated by SDS-PAGE followed by incubation with a monoclonal antibody specific for the influenza HA epitope (12CA5; Boehringer Mannheim, Meylan, France) or the 4G10 monoclonal antibody directed to phosphotyrosine (Upstate Biotechnology Euromedex Souffelweyersheim, France). Bands were visualized using the ECL chemiluminescence kit (Amersham).
Electrophoretic mobility shift assays
Whole-cell extracts were prepared by lysing single-cell suspensions from mouse tissues in 20 mmol/L HEPES, pH 7.9; 20% glycerol; 50 mM KCl; 400 mmol/L NaCl; 1 mM EDTA; 1 mM dithiothreitol; 1-mmol/L Na3VO4; 10-mmol/L 4-nitrophenylphosphate, and protease inhibitors as in RIPA buffer. After 3 cycles of freezing and thawing, extracts were centrifuged at 30 000g for 10 minutes at 4°C. Equal amounts of each extract (15 μg total protein) were incubated with either the m67SIE (Stat Inducible Element) or β-casein STAT-specific oligonucleotide probes and protein-DNA complexes separated from the free probe as previously described.34 For supershift experiments, 1.5 μL anti-STAT1 (Transduction Laboratories, Lexington, KY) or anti-STAT5 antibodies35 were included in the binding reaction.
Transplantation of leukemic cells into nude mice
About 5×106 to 10×106 cells were obtained from leukemic tissues, resuspended in RPMI medium without serum, and injected subcutaneously into 6- to 8-week-old Swiss nu/nu mice.
Results
Lymphoid leukemia in TEL-JAK2 transgenic mice
A cDNA encoding an HA-tagged version of the TEL-JAK2 protein corresponding to the fusion gene identified in a case of acute lymphoblastic T-cell leukemia13 was inserted downstream of the EμSRα promoter/enhancer construct27 (Figure 1). The EμSRα/TEL-JAK2 transgene was released by NotI digestion, purified, and injected into zygotes that were transplanted into pseudopregnant females.
Fifteen transgenic founder mice for the EμSRα/HA-TEL-JAK2 construct were obtained. Six died between 4 and 20 weeks of age, and 6 other animals were found moribund between 6 and 13 weeks and killed for pathological analysis. Because the early onset of pathological symptoms was rapidly followed by death, F1 transgenic animals could be obtained from only 2 founders (Nos. 3 and 71). Founder animals as well as their progeny derived from serial backcrosses with C57B6 mice developed the same symptoms and were therefore used for subsequent analyses when reaching the terminal stage of the disease.
Macroscopic examination of diseased mice revealed typical symptoms of lymphoid malignancy. As illustrated in Figure2A and detailed in Table1, all diseased animals exhibited a marked splenomegaly, with prominent lymph nodes enlargement in most cases. Thymic enlargement was also a hallmark of the disease, occurring in the progeny of founder No. 71 and in 2 other founders examined (Nos. 60 and 65; Table 1). Diseased mice also displayed a 2-fold to more than 200-fold increase in circulating white blood cells compared with control littermates (Table 1).
: Histopathological and cytologic analysis of TEL-JAK2 transgenic mice.
(A) Macroscopic appearance of an F1 transgenic mouse showing hyperplasia of spleen (Sp); thymus (Th); and cervical (C), axillary (A), and femoral (F) lymph nodes. (B) May-Grünwald-Giemsa (MGG) staining of blood smears of transgenic mice. Note the morphology resembling that of prolymphocytes, the size heterogeneity, and the presence of a mitotic cell. (C-E) Histopathology of hematopoietic organs. (C) Thymus showing invasion of the perilobular capsule (white arrows) (HE). (D) Spleen; note the loss of its normal architecture (HE). (E) Bone marrow; note infiltration by leukemic cells (MGG). (F and G) Histopathology of nonhematopoietic organs (HE) showing infiltration of leukemic cells in the (F) pericentrolobular area and sinusoids of the liver (HE) and (G) brain; subarachnoid area (HE). (H) Kidney; infiltration of leukemic cells around peritubular capillaries (HE).
: Histopathological and cytologic analysis of TEL-JAK2 transgenic mice.
(A) Macroscopic appearance of an F1 transgenic mouse showing hyperplasia of spleen (Sp); thymus (Th); and cervical (C), axillary (A), and femoral (F) lymph nodes. (B) May-Grünwald-Giemsa (MGG) staining of blood smears of transgenic mice. Note the morphology resembling that of prolymphocytes, the size heterogeneity, and the presence of a mitotic cell. (C-E) Histopathology of hematopoietic organs. (C) Thymus showing invasion of the perilobular capsule (white arrows) (HE). (D) Spleen; note the loss of its normal architecture (HE). (E) Bone marrow; note infiltration by leukemic cells (MGG). (F and G) Histopathology of nonhematopoietic organs (HE) showing infiltration of leukemic cells in the (F) pericentrolobular area and sinusoids of the liver (HE) and (G) brain; subarachnoid area (HE). (H) Kidney; infiltration of leukemic cells around peritubular capillaries (HE).
Blood smears showed elevated levels of cells resembling T-cell prolymphocytes with a high nucleocytoplasmic ratio, irregular nuclei with slightly condensed chromatin, and a scant basophilic cytoplasm (Figure 2B). Occasional mitosis was also observed (Figure 2B). Histologic examination of diseased animals showed massive infiltration of thymus, spleen, lymph nodes, and bone marrow with these abnormal cells. Immunohistochemical analysis showed that the lymphoid cells in enlarged lymph nodes were essentially of T-cell origin as evidenced by Thy1.2 (Figure 3A) and CD3 expression (data not shown). Occasional small clusters of B220+IgM−Thy1.2−B cells could, however, be detected (Figure 3B and data not shown). Thymuses displayed local or, most often, complete architectural disorganization with homogeneous sheets of leukemic cells in both the cortical and medullary areas. Occasionally, leukemic cells also disrupted the thymic peripheral capsule (Figure 2C). The normal splenic architecture was also disrupted in diseased animals with a large expansion of leukemic cells in the white pulp area (Figure 2D). Infiltrating lymphoid cells also infringed upon follicle boundaries to invade the red pulp. Immunohistochemical staining of spleen sections with both anti-B220 and anti-Thy1.2 Mabs revealed a profound disorganization of the lymphoid follicles as evidenced by the disappearance of B-cell centers and the invasion of leukemic T cells (data not shown). Bone marrow from diseased mice displayed increased cellularity resulting from its invasion by leukemic cells (Figure 2E).
Infiltrating lymphoid cells in TEL-JAK2 transgenic mice are T cells.
A lymph node section from a diseased mouse was double stained with anti-Thy1.2–FITC antibody and anti-B220–PE antibody and examined for expression of Thy1.2 (A) or B220 (B). A nontransgenic liver section (C) and the liver section from a diseased mouse (D) were stained with anti-Thy1.2 antibody.
Infiltrating lymphoid cells in TEL-JAK2 transgenic mice are T cells.
A lymph node section from a diseased mouse was double stained with anti-Thy1.2–FITC antibody and anti-B220–PE antibody and examined for expression of Thy1.2 (A) or B220 (B). A nontransgenic liver section (C) and the liver section from a diseased mouse (D) were stained with anti-Thy1.2 antibody.
Nonhematopoietic organs, including liver, brain, lung, kidney, adrenal gland, salivary gland, thyroid gland, and ovary, were also infiltrated by leukemic cells. Pericentrolobular, portal, and sinusoidal infiltration of leukemic cells occurred in the liver with, in the most severe cases, a nearly complete destruction of the hepatic tissue (Figure 2F). Anti-Thy1.2 staining demonstrated the T-cell nature of these infiltrating cells (Figure 3D). Anti-B220 staining showed no evidence of B-cell infiltration (data not shown). Brains were edematous with an infiltration of the subarachnoid space with leukemic cells, further illustrating their invasive behavior (Figure 2G). In the kidney, foci of infiltrated leukemic cells surrounded the peritubular capillaries (Figure 2H).
Enlarged lymph nodes and infiltrated livers showed no evidence of myelomonocytic cells, as demonstrated by the lack of cells staining with GR1 and Mac1 (data not shown).
Flow cytometric analysis
The cell surface markers of the expanded lymphoid compartment in diseased transgenic animals were further characterized by flow cytometric analysis. Figure 4A illustrates the results obtained from a representative transgenic animal (No. 71-4) and its sibling control (No. 71-2). In lymph nodes, more than 90% of the cells were T cells as evidenced by Thy1.2 staining (data not shown). Analysis of CD4 and CD8 expression demonstrated the presence of a mixed population of CD4+CD8+ double-positive (DP) cells, an immunophenotype normally only seen in the thymus, and of CD4−CD8+ (CD8+single-positive [SP]) T cells (Figure 4A). More than 90% of lymph nodes T cells were therefore CD8+.
: CD4 and CD8 expression in TEL-JAK2 leukemic cells.
(A) Single-cell suspensions from lymph nodes (LN), thymus (Th), spleen (Sp), and bone marrow (BM) were obtained from a transgenic leukemic animal (71-4) and its sibling control (71-2). (B) Single-cell suspensions obtained from a tumor generated in nude mice (Nu18; Table3) were sorted as CD8+ SP and CD4+CD8+ DP as described in “Materials and methods.” The CD4 and CD8 expression pattern of unsorted cells (left), CD8+ SP cells (middle), and DP cells (right) was determined by flow cytometry. For each experiment, 106cells were incubated with anti-CD4–PE (Y-axis) and anti-CD8–FITC (X-axis) and analyzed by flow cytometry. The results were computed from the acquisition of 10 000 events. The relative percentage of each subpopulation (CD4+CD8−; CD4−CD8+; and CD4+CD8+) is indicated in the corresponding area of the diagrams.
: CD4 and CD8 expression in TEL-JAK2 leukemic cells.
(A) Single-cell suspensions from lymph nodes (LN), thymus (Th), spleen (Sp), and bone marrow (BM) were obtained from a transgenic leukemic animal (71-4) and its sibling control (71-2). (B) Single-cell suspensions obtained from a tumor generated in nude mice (Nu18; Table3) were sorted as CD8+ SP and CD4+CD8+ DP as described in “Materials and methods.” The CD4 and CD8 expression pattern of unsorted cells (left), CD8+ SP cells (middle), and DP cells (right) was determined by flow cytometry. For each experiment, 106cells were incubated with anti-CD4–PE (Y-axis) and anti-CD8–FITC (X-axis) and analyzed by flow cytometry. The results were computed from the acquisition of 10 000 events. The relative percentage of each subpopulation (CD4+CD8−; CD4−CD8+; and CD4+CD8+) is indicated in the corresponding area of the diagrams.
A drastic increase of the CD4−CD8+compartment also characterized the thymus of diseased animals, with 30% to 65% of thymocytes being CD8+ SP as compared with about 10% in controls (Table 2 and Figure4A). Of note, a fraction of the CD8+ cells displayed a larger size as compared with the CD8+ cells from control littermates (data not shown). This size heterogeneity was also observed in blood leukemic cells (Figure 2B). Double staining demonstrated that CD8+ T leukemic cells in the thymus expressed the αβTCR and CD3 at low levels (data not shown).
Expression of TEL-JAK2 in the leukemic cells of transgenic mice leads to the activation of STAT1 and STAT5 DNA binding activity
To ascertain that the leukemic cells of TEL-JAK2 transgenic mice expressed the fusion gene, Northern blot analysis was performed on tumor material and on control tissue from nontransgenic littermates. Figure 5 shows that the expected 3.2-kb TEL-JAK2 transcript was specifically detected in the spleen, thymus, and lymph nodes from diseased transgenic mice. This transcript was expressed at levels similar to those of the endogenous TEL messenger RNA (mRNA) and was detected using a TEL-specific or a JAK2-specific probe (Figure 5A). Expression of the HA-TEL-JAK2 fusion protein in leukemic cells of transgenic animals was analyzed by double-staining flow cytometry using antibodies specific to Thy1.2 and the HA epitope, respectively. Figure 5B clearly shows the expression of HA-TEL-JAK2 in the Thy1.2+ cells from transgenic thymus and lymph nodes. The fusion protein was also expressed in B220+ lymph node cells (data not shown). The immunoreactive protein detected by fluorescence-activated cell sorter analysis corresponds to the expected 80-kd full-length TEL-JAK2 protein as evidenced by Western blot analysis of cellular extracts from thymus, spleen, and lymph nodes from diseased transgenic animals, using either anti-HA or anti-TEL antibodies (Figure 5C, upper panel). Furthermore, in line with our previous observations in model cellular systems,13 the immunoprecipitated TEL-JAK2 protein was also detected by a phosphotyrosine-specific antibody, demonstrating constitutive activation of its tyrosine kinase activity in TEL-JAK2 leukemic cells (Figure 5C, lower panel).
Expression of HA-TEL-JAK2 transgene.
(A) Northern blot analysis. Total mRNA from diseased spleen (lane 1), thymus (lane 2), lymph nodes (lane 3), and from a control spleen (lane 4) were hybridized as indicated with probes specific for TEL or JAK2. The TEL-JAK2 transgene mRNA is indicated by a white arrowhead. Bands corresponding to the endogenous TEL and JAK2 transcripts are indicated by gray and black arrowheads, respectively. (B) Flow cytometric detection of HA-TEL-JAK2 protein expression in diseased thymus and lymph nodes. Double labeling with mouse anti-Thy1.2–PE and rabbit anti-HA plus antirabbit Ig-FITC antibodies revealed that Thy1.2+ cells express the HA epitope. For the thymus, FITC-fluorescence intensity in gated Thy1.2+ cells is represented for a transgenic animal (71-10, dark surface) and for a control animal (71-6, open surface). For diseased lymph nodes, labeling is with the anti-HA rabbit antibody plus antirabbit Ig-FITC (dark surface) or with antirabbit Ig-FITC alone (open surface). (C) Western blot analysis of cellular extracts from lymph nodes, thymus, and spleen from diseased and control animals. Extracts corresponding to the same number of cells from each organ were immunoprecipitated by anti-JAK2 antibody, separated by SDS-PAGE, and blotted on nitrocellulose. Blots were analyzed with either the anti-HA (12CA5, Boehringer) or anti-TEL23 antibodies (upper panel) or with the 4G10 phosphotyrosine-specific antibody (lower panel). Lanes 1 and 2: lymph nodes from transgenic animals 71-4 and 71-18. Lanes 3 and 5: thymus from transgenic mice 65 and 71-18. Lane 6: spleen from transgenic mouse 71-18. Lanes 4 and 7: control thymus and spleen, respectively. The HA-TEL-JAK2 protein is indicated by a white arrowhead.
Expression of HA-TEL-JAK2 transgene.
(A) Northern blot analysis. Total mRNA from diseased spleen (lane 1), thymus (lane 2), lymph nodes (lane 3), and from a control spleen (lane 4) were hybridized as indicated with probes specific for TEL or JAK2. The TEL-JAK2 transgene mRNA is indicated by a white arrowhead. Bands corresponding to the endogenous TEL and JAK2 transcripts are indicated by gray and black arrowheads, respectively. (B) Flow cytometric detection of HA-TEL-JAK2 protein expression in diseased thymus and lymph nodes. Double labeling with mouse anti-Thy1.2–PE and rabbit anti-HA plus antirabbit Ig-FITC antibodies revealed that Thy1.2+ cells express the HA epitope. For the thymus, FITC-fluorescence intensity in gated Thy1.2+ cells is represented for a transgenic animal (71-10, dark surface) and for a control animal (71-6, open surface). For diseased lymph nodes, labeling is with the anti-HA rabbit antibody plus antirabbit Ig-FITC (dark surface) or with antirabbit Ig-FITC alone (open surface). (C) Western blot analysis of cellular extracts from lymph nodes, thymus, and spleen from diseased and control animals. Extracts corresponding to the same number of cells from each organ were immunoprecipitated by anti-JAK2 antibody, separated by SDS-PAGE, and blotted on nitrocellulose. Blots were analyzed with either the anti-HA (12CA5, Boehringer) or anti-TEL23 antibodies (upper panel) or with the 4G10 phosphotyrosine-specific antibody (lower panel). Lanes 1 and 2: lymph nodes from transgenic animals 71-4 and 71-18. Lanes 3 and 5: thymus from transgenic mice 65 and 71-18. Lane 6: spleen from transgenic mouse 71-18. Lanes 4 and 7: control thymus and spleen, respectively. The HA-TEL-JAK2 protein is indicated by a white arrowhead.
TEL-JAK2–induced transformation of model cell lines is associated with the activation of STAT1 and STAT5 DNA binding activity.13 15 To investigate whether STAT transcriptional regulators were also activated in leukemic tissues of TEL-JAK2 transgenic mice, STAT DNA binding activity was analyzed by electrophoretic mobility shift assay using either the m67SIE probe, which is specific for STAT1, or the β casein probe, which binds STAT5 with high affinity and STAT1 with lower affinity. Whole-cell extracts obtained from spleen or lymph nodes of a leukemic mouse or from control spleen were incubated with the SIE or β casein probe, and protein/DNA complexes were resolved by nondenaturing gel electophoresis. Figure 6shows that nuclear extracts from TEL-JAK2 leukemic samples generated a specific retarded complex when using the SIE probe. This complex corresponds to specific binding to the probe since it was competed by a 100-fold molar excess of unlabeled SIE oligonucleotide used as competitor but not by a nonspecific competitor (Figure 6A, upper panel). This complex results from the binding of STAT1 since it was supershifted by a STAT1-specific antibody (Figure 6A, upper panel). A major complex was detected in leukemic cells using the β casein probe, which was specifically competed by a 100-fold molar excess of unlabeled β casein oligonucleotide (Figure 6B, lower panel). This complex results from STAT5 binding since it was specifically supershifted by a STAT5-specific antibody. We conclude that both STAT1 and STAT5 are activated in the leukemic cells of TEL-JAK2 transgenic mice.
TEL-JAK2 leukemic cells express activated STAT1 and STAT5.
Electrophoretic mobility shift assays were carried out with either the m67SIE probe (upper panel) or the β casein probe (lower panel) and whole-cell extracts from the spleen and lymph nodes of a diseased transgenic animal (71-45) or from a control spleen. Positions of the STAT/DNA complexes are indicated by open arrowheads. Specific and nonspecific competitors were added as indicated. For supershift experiments, anti-STAT1 or anti-STAT5 antibodies were added as indicated. Supershifted complexes are indicated by black arrowheads.
TEL-JAK2 leukemic cells express activated STAT1 and STAT5.
Electrophoretic mobility shift assays were carried out with either the m67SIE probe (upper panel) or the β casein probe (lower panel) and whole-cell extracts from the spleen and lymph nodes of a diseased transgenic animal (71-45) or from a control spleen. Positions of the STAT/DNA complexes are indicated by open arrowheads. Specific and nonspecific competitors were added as indicated. For supershift experiments, anti-STAT1 or anti-STAT5 antibodies were added as indicated. Supershifted complexes are indicated by black arrowheads.
TEL-JAK2–induced leukemia is clonal or oligoclonal
To analyze whether TEL-JAK2 leukemic cells represented a polyclonal or monoclonal population, DNA from thymuses, lymph nodes, and infiltrated livers of leukemic animals were digested withHindIII and compared with similarly digested DNA from a control thymus for rearrangement of the TCRβ gene locus, using a Jβ2 probe. Figure 7A shows that leukemic cells of founder mice Nos. 30 and 65 and of the F1 progeny of transgenic mouse No. 71 show clonal or oligoclonal TCRβ rearrangements. Of note, the same clone was found to be present in the leukemic cells of different organs in the same animal (Figure 7A). We conclude that, despite its early onset, TEL-JAK2–induced leukemia is likely to require the activation of secondary genetic events.
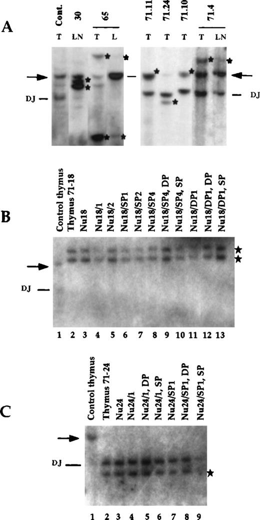
TCRβ gene rearrangement in TEL-JAK2 leukemic cells.
(A) DNA was extracted from the thymus (T) from founder mouse 65, from 4 F1 animals of transgenic line 71 (71-11, 71-24, 71-10, and 71-4), and from a control thymus. Lymph nodes (LN) from transgenic mice 30 and 71-4 and the liver (L) from mouse 65 were also analyzed. DNA were digested by HindIII and analyzed by Southern blot using a jβ2-specific probe. An arrow points to germline configuration. TCRβ-rearranged bands (indicated by stars) are prominant in all leukemic samples. (B) DNA was extracted from a control thymus (lane 1), from the thymus of a diseased transgenic mouse 71-18 (lane 2), from nude mice tumors obtained following transplantation either of the leukemic cells of animal 71-18 (Nu18, lane 3) or following secondary transplantation of Nu18 tumor cells (lanes 4 and 5), from nude mice tumors obtained from the transplantation of sorted SP (lanes 6-8) or DP cells (lane 11), and from the sorted CD8+SP and DP populations derived from transplanted tumors Nu18/SP4 and Nu18/DP1 (lanes 9-10 and 12-13) (see also Table 3). DNA were digested by HindIII and analyzed by Southern blot using a jβ2-specific probe. Germline configuration is indicated by an arrow. TCRβ-rearranged bands (indicated by stars) are prominant in all leukemic samples. (C) DNA was extracted from a control thymus (lane 1), from the thymus of diseased transgenic mouse 71-24 (lane 2), from nude mice tumors obtained either following transplantation of the leukemic cells of animal 71-24 (Nu24, lane 3) or following secondary transplantation of Nu24 tumor cells (Nu24/1, lane 4), from nude mice tumors obtained from the transplantation of sorted SP (Nu24/SP1, lane 7), and from the sorted DP and CD8+ SP populations derived from either transplanted tumors Nu24/1 (lanes 5 and 6) or Nu24/SP1 (lanes 8 and 9) (see also Table 3). DNA were digested byHindIII and analyzed by Southern blot using a jβ2-specific probe. Germline configuration is indicated by an arrow. TCRβ-rearranged bands (indicated by stars) are prominant in all leukemic samples.
TCRβ gene rearrangement in TEL-JAK2 leukemic cells.
(A) DNA was extracted from the thymus (T) from founder mouse 65, from 4 F1 animals of transgenic line 71 (71-11, 71-24, 71-10, and 71-4), and from a control thymus. Lymph nodes (LN) from transgenic mice 30 and 71-4 and the liver (L) from mouse 65 were also analyzed. DNA were digested by HindIII and analyzed by Southern blot using a jβ2-specific probe. An arrow points to germline configuration. TCRβ-rearranged bands (indicated by stars) are prominant in all leukemic samples. (B) DNA was extracted from a control thymus (lane 1), from the thymus of a diseased transgenic mouse 71-18 (lane 2), from nude mice tumors obtained following transplantation either of the leukemic cells of animal 71-18 (Nu18, lane 3) or following secondary transplantation of Nu18 tumor cells (lanes 4 and 5), from nude mice tumors obtained from the transplantation of sorted SP (lanes 6-8) or DP cells (lane 11), and from the sorted CD8+SP and DP populations derived from transplanted tumors Nu18/SP4 and Nu18/DP1 (lanes 9-10 and 12-13) (see also Table 3). DNA were digested by HindIII and analyzed by Southern blot using a jβ2-specific probe. Germline configuration is indicated by an arrow. TCRβ-rearranged bands (indicated by stars) are prominant in all leukemic samples. (C) DNA was extracted from a control thymus (lane 1), from the thymus of diseased transgenic mouse 71-24 (lane 2), from nude mice tumors obtained either following transplantation of the leukemic cells of animal 71-24 (Nu24, lane 3) or following secondary transplantation of Nu24 tumor cells (Nu24/1, lane 4), from nude mice tumors obtained from the transplantation of sorted SP (Nu24/SP1, lane 7), and from the sorted DP and CD8+ SP populations derived from either transplanted tumors Nu24/1 (lanes 5 and 6) or Nu24/SP1 (lanes 8 and 9) (see also Table 3). DNA were digested byHindIII and analyzed by Southern blot using a jβ2-specific probe. Germline configuration is indicated by an arrow. TCRβ-rearranged bands (indicated by stars) are prominant in all leukemic samples.
CD4+CD8+ DP cells and CD8+SP cells are transplantable to nude mice
The malignant nature of the TEL-JAK2–induced T-cell leukemia was further borne out by the rapid engraftment of these leukemic cells following their serial transplantation into nude mice and their subsequent invasion of the spleen and lymph nodes of transplanted animals (Table 3 and data not shown). Transplanted tumors show the same TCRβ gene locus rearrangement as the original tumor DNA, showing that both resulted from the expansion of the same clonal population (Figure 7B, compare lanes 2 to 3-5, and Figure 7C, compare lanes 15 to 16-17). As leukemic cells from transgenic animals, transplanted tumor cells are composed of a mixture of CD8+ SP and DP T cells, suggesting that both populations represented the phenotypic progression of a single clone (Figure 4B and Table 3). To analyze this in further detail, CD8+ SP and DP leukemic cells obtained from transgenic animals 71-24 and 71-43 as well as from transplanted mice Nu18 and Nu24 (Table 3) were purified (Figure4B) and transferred into nude mice. Table 3 shows that both sorted DP and CD8+ SP cells efficiently transplanted to generate a mixed population of DP and CD8+ SP cells in secondary recipients (Table 3). As shown in Figure 7B and 7C, the same TCRβ rearrangement was observed in both the CD8+ SP and DP populations obtained from the transfer of purified DP and CD8+SP leukemic cells. These results show that the CD8+SP and DP leukemic cells originate from the same clone. They also indicate that TEL-JAK2 leukemia may affect an intermediate-stage cell population ranging from immature CD8+ SP to CD4+CD8+ DP T cells.
Discussion
In this study, we describe a transgenic mouse model for TEL-JAK2–induced leukemia. The TEL-JAK2 fusion gene used here was initially identified in a childhood T-cell leukemia in relapse and was shown to encode a fusion protein between the first 336 amino acid residues of TEL and the kinase domain (JH1) of JAK2.13 Our results show that directed expression of TEL-JAK2 to the lymphoid lineage using an EμSRα enhancer/promoter reproducibly induces a rapid, fatal T-cell leukemia in mice with preferential transformation of CD8+ cells.
Two other cases of TEL-JAK2 fusion genes have been described so far in human leukemia, each associated with a specific phenotype. These genes encode fusion proteins containing additional JAK2 sequences besides the JH1 domain. Specifically, the TEL-JAK2 protein encoded in the pre-B ALL case also contains part of the JH2 domain, whereas the fusion protein found in an atypical CML contains the entire JH2 domain.14Because the JH2 domain appears to be involved in JAK kinase specificity presumably via protein-protein interactions,36 37 the presence of additional JAK2 sequences in these latter fusion proteins could be instrumental in determining the phenotype of the respective leukemias.
The transgenic mouse model for TEL-JAK2–induced leukemia described here is distinct from that reported recently following transplantation in syngeneic animals of mouse bone marrow cells infected with a MSCV-TEL-JAK2 retrovirus, which developed a mixed myeloid-lymphoid leukemia with short latency.15 Because the same TEL-JAK2 fusion gene was used in both studies, the basis for this difference is likely to originate either from the type of promoter used to drive TEL-JAK2 expression (EμSRα vs MSCV LTR) or from the fact that retroviral-mediated infection in tissue culture is relatively unrestricted in terms of the cell lineage and differentiation stage of targeted cells. Both studies converge, however, to demonstrate that TEL-JAK2 is a powerful oncogene in vivo and that, within the lymphoid lineage, TEL-JAK2 preferentially transforms T cells.
The best characterized signaling pathway situated downstream of JAK kinases is the activation of transcription factors of the STAT family.1 As Ba/F3 cells transformed by TEL-JAK2,13,15 leukemic cells of TEL-JAK2 transgenic mice also show constitutive activation of STAT1 and STAT5. Recent studies have shown that inactivation of both STAT5a and STAT5b by homologous recombination in mice, although without detectable effect on thymocyte development, has a profound effect on peripheral T-cell proliferation.38,39 Specifically, peripheral T cells lacking STAT5a/b failed to proliferate in response to engagement of the T-cell receptor (TCR) by antigen both in the presence and absence of IL-2, a phenotype that correlates with their inability to express genes involved in cell cycle progression.39 Independent studies have shown that STAT5 is rapidly phosphorylated on tyrosine residues following TCR activation and that inhibition of STAT5 function by expression of a dominant negative form of STAT5 interferes with antigen-induced T-cell proliferation.40 Constitutive activation of STAT5 in TEL-JAK2 leukemic cells could therefore bypass the normal signaling pathways controlled by specific receptors to induce their uncontrolled proliferation. This notion is consistent with the fact that the transforming properties in Ba/F3 cells of TEL fusion proteins modeled on TEL-JAK2 but containing instead the kinase domain of either JAK1, JAK3, or TYK2 correlates with the activation of STAT5 but not with that of STAT1 or STAT3.34 It is also consistent with the fact that enforced expression of a gain of function STAT5 mutant is sufficient to induce cell survival and factor independent proliferation of hematopoietic cell lines41,42and with the fact that D-STAT was found to be important to the leukemia-like disease associated with gain of function mutant of Hopscotch in Drosophila.6
Although additional studies are required to establish this point, our transplantation studies suggest that TEL-JAK2 leukemia results mostly from the expansion of an immature CD8+ T-cell compartment. We cannot exclude, however, that TEL-JAK2 expression may also interfere with the maturation of T cells along the CD4 lineage. This property might also result from the constitutive activation of STAT5 because mice lacking STAT5a/b show with time a decrease of CD8 SP cells relative to CD4 SP cells.39 The availability of a mouse model for TEL-JAK2–induced leukemia and of STAT5a/b-deficient mice should allow us to directly assess whether the leukemogenic properties of TEL-JAK2 indeed depend on STAT5 activation. This model will also be useful to identify additional downstream events or complementary functions essential to TEL-JAK2–induced leukemia.
Acknowledgments
The authors thank Radcliffe G. Lopez, Anthony Boureux, Isabelle Cremer, and Lionel Larue for their help with some of the experiments; Maryvonne Williame for expert technical assistance; Marc-Henri Stern and L. Larue for discussions; Suzanne Cory and M.H. Stern for reagents; and the SEAT of CNRS for their handling of transgenic animals.
Supported by the CNRS, Institut National pour la Santé et la Recherche Médicale (INSERM), Institut Curie, Ligue Nationale contre le Cancer (Axe Oncogenèse), Association pour la Recherche sur le Cancer, and an EU Biomed Concerted Action. C.C. supported by predoctoral fellowships from the MESR and Ligue Nationale Contre le Cancer.
Reprints:Jacques Ghysdael, CNRS UMR146-Institut Curie, Centre Universitaire, Bat. 110, 91405 Orsay, France; e-mail:Jacques.Ghysdael@curie.u-psud.fr.
The publication costs of this article were defrayed in part by page charge payment. Therefore, and solely to indicate this fact, this article is hereby marked “advertisement” in accordance with 18 U.S.C. section 1734.













