Abstract
Xanthomas are a common manifestation of lipid metabolism disorders. They include hyperlipemic xanthoma, normolipemic xanthoma, and a related condition, necrobiotic xanthogranuloma (NXG). All 3 forms can be associated with monoclonal immunoglobulin (MIg). In an attempt to improve diagnosis, understanding, and treatment of this association, we retrospectively analyzed a personal series of 24 patients (2 hyperlipemic xanthoma, 11 normolipemic xanthoma, and 11 NXG) and 230 well-documented reports from the literature. With the exception of the nodules and plaques featured in NXG, the clinical presentation of xanthomatous lesions usually resembled that seen in common hyperlipidemic forms and could not be used to suspect MIg-associated xanthomas. Extracutaneous sites were not rare. The MIg was an IgG in 80% of cases. Myeloma was diagnosed in 35%. Hypocomplementemia with low C4 fraction was present in 80% of studied patients. Low C1 inhibitor serum levels were found in 53%. Cryoglobulinemia was detected in 27%. These abnormalities suggest immune complex formation because of interactions between the MIg and lipoproteins and argue in favor of a causal link between MIg and xanthomas. Monoclonal gammopathy therapy could thus be an option. Indeed, among the patients who received chemotherapy, hematologic remission was accompanied by improvement in xanthoma lesions in several cases.
Introduction
Xanthomas are a common manifestation of lipid metabolism disorders that are characterized by the deposition of yellowish cholesterol-rich material in large foam cells accumulating in the skin and the tendons. Xanthomatosis is usually associated with hyperlipidemias, both primary and secondary types, and morbidity and mortality of this condition are related to atherosclerosis and pancreatitis. Xanthomas can also occur in normolipemic patients, although rarely, with the exception of lipid deposits limited to the palpebral area, the so-called xanthelasma.1
Xanthoma lesions have been described with or without hyperlipidemia in association with monoclonal immunoglobulin (MIg). Cremer et al2 first reported on this association in 1937. Since then, 3 distinct forms have been identified: hyperlipemic xanthoma (HX), diffuse plane normolipemic xanthoma (NX), and the so-called necrobiotic xanthogranuloma (NXG). Xanthoma lesions in HX and NX are similar (yellow maculae or papules, although NX lesions are usually diffuse and plane), whereas HX lesions are more polymorphic and can include tuberous, tendinous, palmar, or eruptive xanthoma.3 In contrast, NXG lesions are firm papules, nodules, or plaques, the color of which varies from violaceous to red-orange or yellow.4 HX and NX are characterized by foam cell infiltration in the skin, whereas NXG is featured by the association of necrobiosis, giant cells (Touton type), asteroid bodies, cholesterol clefts, and foam cells.5
It could be argued that the association of xanthomatosis with monoclonal gammopathy is fortuitous, particularly in the elderly because of the relatively high prevalence of monoclonal gammopathy in this population. However, the antilipoprotein activity of MIg has been documented in some patients with HX and NX, and this points toward a cause-and-effect link between the 2 disorders.3,6,7 The physiopathology of NXG remains much less well understood than the 2 other forms.8 Therapeutic options for patients with xanthoma lesions and associated MIg, which depend on the demonstration of a relationship between the 2 disorders, are currently poorly defined. With a view to gaining further knowledge of the association of xanthoma and MIg, we analyzed a personal series of 24 patients with respect to clinical, biologic, pathologic, and therapeutic parameters and compared our findings with existing data from the literature.
Methods
Ten French medical units of dermatology, internal medicine, or hematology were questioned about any patients with HX, NX, or NXG followed between 1980 and 2010. Inclusion criteria were: (1) the presence of an MIg as detected by serum or urine electrophoresis and/or immunoelectrophoresis; (2) xanthomatous cutaneous lesions confirmed by a biopsy showing foam cell infiltration or necrobiosis, cholesterol clefts, and Touton giant cells for xanthoma and NXG, respectively; and (3) available tests for plasma cholesterol and triglycerides. Diagnosis of associated monoclonal gammopathy was established according to the International Myeloma Working Group. A histopathologic examination was usually required to confirm potential extracutaneous lesions. When this was possible, biopsies of patient's skin lesions were stained by the CD163 antibody (Novocastra Laboratories) and studied by immunohistochemistry. Diagnosis of atherosclerosis was considered if the patient had a cardiovascular event in their background or during the follow-up and taking into account arterial Doppler evaluation when available. In parallel, a PubMed/Medline review of the literature was performed using the following key words: “xanthoma paraprotein,” “diffuse plane normolipemic xanthoma,” “hyperlipidemia myeloma,” and “necrobiotic xanthogranuloma.”
Results
Personal series
Data from 24 patients, of whom 17 were still alive and 7 were lost to follow-up or had died, were retrospectively studied. There were 13 men and 11 women (sex ratio = 1.2). Mean age at diagnosis was 61.25 ± 11.4 years (range, 37-78 years). In 87.5% (21 of 24) of cases, the skin lesions led to the discovery of the MIg. The periorbital area was involved in 83.5% (20 of 24) of cases (Tables 1,Table 2–3). The skin lesions of cases of NXG were always nodules or plaques (Figure 1), whereas those of HX or NX were maculae or papules. One patient with NX had a diffuse xanthodermia (Figure 1). Three patients had both NX and NXG (confirmed by pathology). Atherosclerosis was found in 5 patients (21%). Extracutaneous lesions were found in 33% (8 of 24) of cases, mostly in patients with NXG (54.5%). In 4 patients, this consisted of a symptomatic orbital mass. In the remaining 4 patients, infiltration by foam cells was discovered on a systematic bone marrow examination (n = 3), on the biopsy of an enlarged inguinal lymph node (n = 1), and on a hepatic biopsy performed because of abnormalities in liver enzymes (n = 1). The MIg was an IgG in all 24 cases (100%), κ in 15 (62.5%), and λ in 9 (37.5%). Three patients had a biclonal gammopathy (2 had an IgG and an IgM and 1 had 2 IgG). The IgG subclass was IgG1 in the 8 cases studied. Underlying monoclonal gammopathy of undetermined significance (MGUS) and multiple myeloma (MM) were diagnosed in 14 (58%) and 8 (33%) cases, respectively. In addition, Waldenström disease with amyloidosis and B-cell non-Hodgkin lymphoma of lymphoplasmocytic type were diagnosed in 1 case each. Three patients (patients 3, 7, and 14; 17%) developed myelodysplasia: 2 after being treated by chemotherapy and 1 at diagnosis. The complement study (Table 2) revealed a decrease in 50% haemolytic complement (CH50) activity in 83% (16 of 20) of studied patients, with a low C4 fraction in 95.5% (21 of 22). The serum C4 level was markedly low (< 25% of normal value) in 81% (17 of 21) of the patients. Unexpectedly, a decrease in the C1 inhibitor level was found in 40% (4 of 10) of cases. A small amount of cryoglobulin was detected in 2 of 15 patients (13%), of type I and III in 1 case each. High levels of triglycerides as well as total cholesterol characterized dyslipidemia in HX. In all NXG cases, plasma lipid levels were normal or low.
Aspects of xanthoma of our patients. (A-B) NXG in patient 1. (C) NX in patient 12. (D) Diffuse xanthodermia featuring NX in patient 11. (E-F) HX in patient 23 before (E) and after (F) chemotherapy.
Aspects of xanthoma of our patients. (A-B) NXG in patient 1. (C) NX in patient 12. (D) Diffuse xanthodermia featuring NX in patient 11. (E-F) HX in patient 23 before (E) and after (F) chemotherapy.
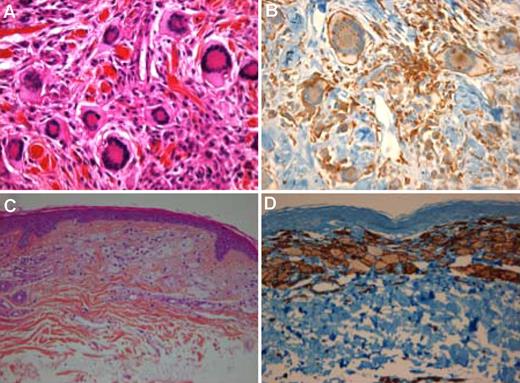
In all patients, histologic findings were in accordance with the selection criteria. In 10 skin biopsy samples, an immunohistochemical study using CD163 staining as a monocyte/macrophage marker was performed. Foam cells as well as Touton giant cells were consistently CD163+ in all cases of HX, NX, and NXG (Figure 2).
Skin biopsies of patients with NXG and NX. Touton giant cells (hematoxylin coloration; A) with positive staining for CD163 in immunohistochemistry in NXG (B). (C) Dermal infiltration by spumous cells. (D) Positive staining for CD163 in NX. Images were acquired with an Olympus Bx51 microscope (A, 20×/0.5; B, 20×/0.5; C, 5×/0.16; and D, 5×/0.16) in Axiocam MRc (Zeiss; Axiovision 4.8.2).
Skin biopsies of patients with NXG and NX. Touton giant cells (hematoxylin coloration; A) with positive staining for CD163 in immunohistochemistry in NXG (B). (C) Dermal infiltration by spumous cells. (D) Positive staining for CD163 in NX. Images were acquired with an Olympus Bx51 microscope (A, 20×/0.5; B, 20×/0.5; C, 5×/0.16; and D, 5×/0.16) in Axiocam MRc (Zeiss; Axiovision 4.8.2).
Eleven patients were treated by standard-dose conventional chemotherapy, and 2 patients received a high-dose regimen (melphalan 200 mg/m2) supported by autologous blood stem cell transplantation (Table 1). Skin lesions improved after treatment in 8 patients who presented with HX or NXG, whatever the drug (chlorambucil, melphalan, thalidomide, or bortezomib). In these cases, regression of skin lesions was associated with a reduction in the MIg serum level. Of note, the 3 patients (patients 6, 7, and 22) who achieved an apparent complete hematologic response also experienced a complete dermatologic response. When the relapse occurred, it was associated with the reappearance of the skin xanthomatous lesions in these 3 cases. Importantly, in an additional patient (case 23) who achieved a sustained hematologic and dermatologic complete response (Figure 1), complement serum levels also return to normal values. In the 3 patients with NX, treatment was unsuccessful on skin lesions, and no decrease in MIg level was observed, even in patient 11 who received high-dose melphalan and an autotransplant. In the 2 HX cases, chemotherapy led to normalization of blood lipid levels.
Comparison with existing literature
We reviewed 216 well-described cases of xanthomatosis associated with MIg in the literature, including 37 cases of HX,3 63 of NX,6,9-30 and 116 of NXG4,8,31-47 (Tables 3 and 4). The main patient characteristics are listed in Tables 3 and 4.
The 37 cases of HX included 17 men and 19 women (sex ratio = 0.9) with a mean age of 53.9 ± 10.75 years (range, 31-80 years). All types of xanthomas were described (plane, eruptive, diffuse, papular). Periorbital involvement was present in 24.3% (9 of 37) of the patients. Extracutaneous lesions were reported in 8 cases (21%), including bone (n = 148 ), lung (n = 149 ), hepatic (n = 150 ), palatine (n = 151 ), and tendinous (n = 452-55 ) localizations. Two patients had splenomegaly and 1 patient had hepatomegaly, without mention of the cause. Cardiovascular disease or atherosclerosis was present in 14 cases (37%). Skin lesions preceded the discovery of the MIg in 92% (34 of 37) of the cases. The MIg was IgG, IgA, and IgM in 38% (n = 14), 35% (n = 13), and 2.5% (n = 1) of patients, respectively. MIg isotype was not reported for 9 patients. The underlying hemopathy was MM in 31 (84%), MGUS in 4 (11%), and chronic lymphocyte leukemia and Waldenström disease in 1 case each. Serum complement levels were assessed in only 2 patients, and a low C4 value was reported in 1.56 Cryoglobulinemia was found in 5 of the 8 patients studied, without characterization in any of the cases. Type 3 dyslipidemia was the most frequent (63%, 24 of 38), but all types were reported. Histopathologic analysis revealed foam cells in all of the cases with no IgG on immunofluorescence in 2. Touton cells were found in 2 patients. Of the 15 treated patients,3 treatment was reported as effective in 53% (8 of 15) of the patients who received standard-dose chemotherapy using alkylating agents and steroids (n = 6) or adriamycin and steroids (n = 1). In addition, 1 patient was treated by high-dose therapy and autotransplant, which produced both hematologic and cutaneous complete remission; at myeloma (and hyperlipemia) relapse, he received an allogeneic transplant, but there is no information about subsequent progression of the xanthomatous lesions.3
The 63 reviewed cases of NX included 32 men and 31 women (sex ratio = 1) with a mean age of 62.05 ± 8.76 years (range, 37-83 years). Most often, xanthomas were featured by diffuse plane eruptions, but also by maculae, papules, or nodular lesions. Periorbital involvement was present in 51% (32 of 63). Extracutaneous lesions were noted in 12.7% (n = 8), including 2 patients who had several localizations. The most frequent was in the oral cavity (n = 5).16,57-59 Others included ophthalmic (n = 2),57,60 digestive (n = 1),61 tendinous (n = 1), and muscular (n = 1)16 localizations. In 1 patient, the aortic valve had been replaced because of severe aortic insufficiency, and its histology revealed the presence of foam and Touton cells.57 Atherosclerosis was reported in only 1 patient.62 In 95% (60 of 63) of the cases, the skin lesions led the clinician to investigate for MIg. The MIg was an IgG in 89% (56 of 63), κ in 55% (28 of 51), and λ in 45% (23 of 51). In the 10 studied cases, the IgG belonged to the IgG1 subclass. The underlying hematologic condition was MM in 48% (n = 30), MGUS in 41% (n = 26), myelomonocytic leukemia (n = 2), non-Hodgkin lymphoma (n = 1), and chronic lymphocyte leukemia (n = 1). In 2 cases, amyloid deposits, presumed to be AL, were detected. Hypocomplementemia was found in 84% (26 of 31) of studied cases. C4 serum values were low in all cases, and the C4 serum level was below 25% of the lower limit of the normal value in 15 patients. C1 inhibitor level was low in 57% (12 of 21). Cryoglobulinemia was detected in 16% of the patients (5 of 31). Pathologic analysis revealed foam cells without any Ig deposits on immunofluorescence in the 11 studied cases. Touton cells were found in 10 cases (16%). Seven patients were treated by various standard chemotherapy regimens. Three achieved a partial hematologic remission, which was accompanied by some improvement in xanthomatous lesions.18,28,63 Of note, 1 patient received the hypolipemic agent probucol, which was reported to be effective on skin lesions.21
The 130 reviewed cases of NXG included 116 cases associated with an MIg (89%). There were 52 men and 78 women (sex ratio = 0.67) with a mean age of 56.2 ± 14.2 years (range, 17-88 years). Skin lesions were red-brown nodules or plaques, sometimes with ulcerations or telangiectasia. Periorbital involvement was present in 72%. In 90% of the cases, more than 1 site was involved. In 5 patients, xanthoma and NXG were present at the same time.46,64-67 Extracutaneous lesions were reported in 23 cases (17.6%), including 6 patients with several localizations. They were pulmonary (n = 7),8 cardiac (n = 6),8,37 oral cavity (n = 4),38,65 orbital (n = 3),8 hepatic (n = 2),8,37 spleen (n = 2),8 medullar (n = 1),68 genital (penis; n = 1),34 mastoid (n = 1),32 facial nerve (n = 1),32 and renal (n = 1).69 In addition, splenomegaly was noted in 22 patients (17%) and hepatomegaly in 17 (13%), without any further information. Ophthalmic manifestations, mainly scleritis, chorioiditis, or conjunctivitis, were reported in 29 cases.70 Atherosclerosis was present in 14 (11%). The discovery of the MIg preceded the skin lesions in only 2 cases.45,71 The MIg was an IgG in 105 patients (82%), an IgA in 4, and an IgM in 2. MIg isotype was not reported in 8 patients. The light chain isotype was κ for 71% and λ for 28% of cases. Three patients had a biclonal gammopathy. Hematologic diseases were MGUS in 59% (n = 68) and MM in 17% (n = 20) of cases. Two cases of chronic lymphocyte leukemia and 4 cases of B-cell lymphoma were also reported. One case was also associated with amyloidosis.72 Serum C4 level was low in 70% (23 of 33) of studied cases, including in 6 patients in whom it was below 25% of normal value. C1 inhibitor level was decreased in 4 of 6 observations. A serum cryoglobulin was detected in 38.5% (10 of 26) of studied cases; it was never characterized. Abnormal lipid results were reported in 16% (n = 21) of patients. Peripheral leukopenia was present in 43 patients (33%). Pathology study revealed foam cells, necrobiosis (except in 1), and Touton cells in all cases sometimes with cholesterol clefts or asteroid bodies. Immunohistochemistry for CD1a and PS100 (when tested) was always negative. Treatment, which was reported in 71 cases, was successful in 55 (77%) patients who received melphalan and steroids (n = 17), Chlorambucil (n = 16), high-dose therapy and auto-transplant (n = 1), systemic steroids (n = 6), thalidomide (n = 3),32,73,74 lenalidomide (n = 1),47 plasmapheresis and hydroxychloroquine (n = 1), cyclophosphamide and steroids (n = 2), azathioprine (n = 2), infliximab (n = 1), and local therapy, including local steroids injection, surgery, or laser CO2 (n = 5). Of note, the xanthomatous lesions of the 4 patients who received an immunomodulatory drug, usually in combination with dexamethasone, were considered to be improved in all cases. Variations in the MIg level were rarely reported and inconsistent: some reported a decrease in levels accompanied by an improvement in cutaneous lesions,34,75 whereas others reported that skin lesions persisted despite a reduction in MIg levels.76
Discussion
We retrospectively analyzed data from 240 patients presenting with xanthomatosis associated with MIg, including a personal series of 24 patients and 216 case reports that were published in the literature. In nearly all cases (97%), the MIg was discovered subsequent to the skin lesions. Prevalence is slightly higher in women than men, and onset is usually in the sixth decade of life (mean age, 59.76 years). Xanthomas were localized in the periorbital area in 61% of the cases and on the extremities or members in half. Clinical presentation of xanthomas resembles that seen in general hyperlipidemic forms and is usually not suggestive of the presence of an associated MIg, except for the nodules and plaques, sometimes with an inflammatory aspect, that are characteristic features of the so-called NXG: MIg is found in ∼ 80% of patients with this presentation.8 Although we lack sufficient data to precisely assess the frequency of xanthomatosis and MIg association, it would seem reasonable to recommend performing at least a serum electrophoresis when faced with a xanthoma lesion, with the exception of isolated xanthelasma, particularly in the absence of abnormalities of serum lipid tests. Indeed, although NX is usually much less frequent than HX, it was reported more often in association with MIg, both in our series and in the literature.
When MIg is present in the setting of xanthoma, it is an IgG in 83% (200 of 240) of cases, and the underlying hematologic condition is either MGUS or overt lymphoid malignancies, such as myeloma, approximately half of each.
In our experience, a good way of testing whether the association between xanthomatosis and MIg is fortuitous in view of the high prevalence of monoclonal gammopathy in the general population is to check the serum complement level. Overt complement abnormalities are highly uncommon in patients with xanthoma alone and in patients with a noncryoprecipitating MIg,77 whereas a low serum C4 level was present in all of our patients except 1. Data from the literature confirmed that low serum C4 is frequent in such patients as it was detected in ∼ 75% (50 of 66) of studied cases. In our series, we found that CH50 activity was usually decreased, whereas the serum level of the C3 fraction of the complement was variable. A decrease in the level of C1 inhibitor was also frequently observed, both in our series and in the literature. Patients with low C1 inhibitor had no symptoms of angioneurotic edema; and in the 2 studied cases, no C1 inhibitor antibodies were detected. Of note, a high rate of cryoglobulinemia was found (27.5% of all patients), which may explain complement abnormalities at least in some patients. However, decreases in C4 and C1 inhibitor levels were also observed in the absence of detectable serum cryoglobulin. In any case, the complement abnormalities are consistent with an activation of the classic complement pathway, which probably indicates immune complex formation that may be the result of antigen-antibody interactions between the MIg and various lipoproteins (see later in “Discussion”).
Accordingly, this argues in favor of a causal link between the monoclonal gammopathy and the xanthoma lesions. This is reinforced by the normalization of complement values that we observed in 1 patient who achieved a hematologic (and dermatologic) complete response. Whether or not those patients without detectable complement abnormalities reflect a fortuitous association remains an open question.
We observed complement abnormalities in all 3 types of xanthoma associated with MIg: HX, NX, and NXG. Additional data suggest that these 3 conditions may be part of a common syndrome. First, HX and NX lesions can coexist with lesions of NXG in the same patient as seen both in patients from our series and from the literature.46,64-67 Second, the 3 forms share common histologic features, namely, the presence of foam cells and Touton cells. The latter is typically considered as characteristic of NXG; and, indeed, we did not find such cells in any of our patients with HX and NX. However, Touton cells have been observed in HX and NX in several cases in the literature.20,49,57,62,78-85 Moreover, as demonstrated here, foam cells and Touton cells share phenotypic characteristics, including the surface expression of the CD163 antigen, which would suggest a common macrophagic origin. Finally, immune complex formation resulting from antibody activity of the MIg directed against various lipoproteins appears to represent a common physiopathologic pathway leading to a lipid accumulation in the macrophagic cells. In HX and NX, an interaction between the MIg and lipoprotein has been more or less well documented in 16 and 9 cases, respectively.3,21 In HX, this interaction may alter the lipoprotein linkage to its receptor leading to hyperlipidemia,55 whereas in NX the interaction seems to result in enhanced lipid accumulation in the macrophages.6 Few data are available for NXG, but an interaction between the MIg and a lipoprotein and activation of circulating monocytes has been described in 1 case each.8,9 Assuming a common physiopathology of the 3 forms of xanthoma with MIg, the different clinical presentation might be explained by a different target of the MIg or by host-dependent variable responses to the lipoprotein deposits in monocytes and macrophages.
Importantly, the incidence of atherosclerosis appears to be low in NX and NXG, whereas it is high in HX. Accordingly, an arterial evaluation should be systematically performed only in those patients with hyperlipemia. Extension of xanthomatous lesions, particularly outside the skin territory, appears to be more frequent in NXG in which extracutaneous lesions were found in 20.5% of evaluable cases. In any case, searching for such deposits by computed tomography scan or other imaging techniques should be recommended in patients with suggestive symptoms.
If we consider then that there is a causal link between the MIg and the xanthoma lesions, monoclonal gammopathy therapeutic options should be discussed. Indeed, hematologic remission may produce an improvement of xanthoma lesions, as illustrated by several cases both from our series and from the literature. Moreover, in some of these cases, myeloma relapse was simultaneously featured by xanthoma relapse. The deleterious effect of MIg may be modulated by intravenous immunoglobulins, although these have been used in only very few patients, with striking efficacy in 2 patients with NXG.86 However, most available therapeutic options aim to reduce MIg production using chemotherapeutic drugs, alkylating agents, other classic drugs, or the so-called new antimyeloma agents, including bortezomib, thalidomide, and lenalidomide. These drugs, either incorporated in standard-dose regimen or in high-dose protocol with autologous transplantation, are obviously indicated in patients with xanthoma and overt MM. In contrast, in patients with stage I MM or even more with MGUS, they should be proposed only in patients in whom the cause-and-effect link between the 2 disorders is documented (ie, in patients with hypocomplementemia). In addition, MGUS patients who are candidates for chemotherapy should present with disabling or “painful” lesions, extracutaneous localization, and/or symptomatic atherosclerosis. Patients with NX are usually asymptomatic; and, as documented here, currently available chemotherapeutic options appear to be poorly effective in this setting. Accordingly, in the absence of progression of the underlying monoclonal gammopathy, chemotherapy should be proposed only in some patients with NXG and HX. Although thalidomide or lenalidomide in combination with dexamethasone may represent a good option, current data are not sufficient to draw any definitive conclusions.
Xanthomas should lead clinicians to search for the presence of an MIg, especially in patients with NXG or normal blood lipid levels. A good way of testing whether or not the association is fortuitous is to check serum complement levels. If there is no progression of the underlying monoclonal gammopathy, some patients with hypocomplementemia, mainly those with NXG and HX and with disabling lesions, extracutaneous localization, and/or symptomatic atherosclerosis, could benefit from chemotherapy.
Acknowledgments
The authors thank Pr Cathébras, Pr Cribier, Pr Dhote, Pr Jaccard, Dr Lambotte, Dr Sene, Philipe Lesnik, and Wilfried Le Goff (Inserm UMR-S U939) for their contribution to this work.
Authorship
Contribution: R.S., B.A., and J.-P.F. designed and performed the research, analyzed data and wrote the paper; L.K., M.R., B.A., M.M., L.G., S.H., F.C., J.G.F., E.O., J.-P.C., and J.-C.B. recruited patients, analyzed data, and reviewed the manuscript; and M.-D.V.-P. performed histopathologic studies, analyzed data, and reviewed the manuscript.
Conflict-of-interest disclosure: The authors declare no competing financial interests.
Correspondence: Jean-Paul Fermand, Département d'immunologie clinique, Hopital Saint Louis, 1 avenue Claude Vellefaux, 75010 Paris, France; e-mail: jpfermand@yahoo.fr.
References
Author notes
R.S. and B.A. contributed equally to this study.



