Abstract
Severe congenital neutropenia (SCN) is a rare disease diagnosed at or soon after birth, characterized by a myeloid maturation arrest in the bone marrow, ineffective neutrophil production, and recurrent infections. Most patients respond to treatment with granulocyte colony-stimulating factor (G-CSF), and the majority harbor mutations in the neutrophil elastase gene. In the subset of patients with SCN transforming to acute myeloid leukemia (AML), mutations that truncate the cytoplasmic tail of the G-CSF receptor (G-CSFR) have been detected. Here, we report a novel mutation in the extracellular portion of the G-CSFR within the WSXWS motif in a patient with SCN without AML who was refractory to G-CSF treatment. The mutation affected a single allele and introduced a premature stop codon that deletes the distal extracellular region and the entire transmembrane and cytoplasmic portions of the G-CSFR. Expression of the mutant receptor in either myeloid or lymphoid cells was shown to alter subcellular trafficking of the wild-type (WT) G-CSFR by constitutively heterodimerizing with it. WT/mutant G-CSFR heterodimers appeared to be retained in the endoplasmic reticulum and/or Golgi and accumulate intracellularly. These findings together with 2 previous case reports of extracellular mutations in the G-CSFR in patients with SCN unresponsive to G-CSF suggest a common mechanism underlying G-CSF refractoriness.
Introduction
Neutrophil production is critically regulated by granulocyte colony-stimulating factor (G-CSF) and its cognate receptor (G-CSFR).1,2 The G-CSFR is a type I cytokine receptor that contains an extracellular domain with a conserved ligand binding region, a single transmembrane domain, and a cytoplasmic tail. The extracellular portion contains an N-terminal immunoglobulin (Ig)–like domain, a cytokine receptor homology (CRH) domain, and 3 fibronectin type III (FNIII) domains.3 Within the CRH region are 2 FNIII domains, 4 conserved cysteine residues, and a conserved WSXWS motif that stabilizes the CRH domain.4,5 The Ig-like and CRH domains appear to be critical for high-affinity binding.6,7
The cytoplasmic tail of the G-CSFR is not required for ligand binding but is essential for signal transduction.6,8-10 Like other members of the cytokine receptor superfamily, the cytoplasmic portion of the G-CSFR lacks intrinsic kinase activity yet activates Janus tyrosine kinases (JAKs) following ligand binding. Jak kinase activation is believed to occur by ligand-induced receptor dimerization, which brings together G-CSFR–associated JAKs permitting their trans-phosphorylation. Following phosphorylation of JAKs, the G-CSFR itself is phosphorylated on cytoplasmic tyrosine residues and recruits downstream signaling molecules. Initiation of signaling culminates in myeloid cell proliferation, neutrophilic maturation, or activation of terminally differentiated neutrophils, which are modulated by a balance of positive and negative feedback signals.11-19
A maturation arrest of myeloid progenitors in the bone marrow at the promyelocyte/myelocyte stage and low peripheral blood neutrophil counts (absolute neutrophil count [ANC] < 0.2 × 109/L [< 200/mm3]) are hallmarks of severe congenital neutropenia (SCN). Patients with SCN suffer from recurrent infections, although most respond to treatment with G-CSF with improved neutrophil counts (ANC > 1000/mm3;1 × 109/L) and decreased infections. The implementation of widespread use of G-CSF in patients with SCN in the past decade has led to dramatic improvements in the clinical course and quality of life for patients with this disease.
Studies have revealed the unexpected finding of mutations in the ELA2 gene encoding neutrophil elastase (NE) in the majority of patients with SCN,20 but not in the genes for G-CSF or the G-CSFR. However, in the subset of patients with SCN developing acute myeloid leukemia (SCN/AML [acute myeloid leukemia]), nonsense mutations in the G-CSFR that are heterozygously expressed have been identified.21-23 These mutations truncate the C-terminal tail that is required for growth arrest, differentiation signaling, and down-modulation of receptor expression, and produce a dominant-negative phenotype both in vivo and in vitro that is postulated to be mediated by heterodimerization of wild-type (WT) and mutant G-CSFR forms.15,23-25 Rare patients with SCN refractory to G-CSF treatment have been reported, although the mechanisms underlying their unresponsiveness remain unclear.26,27
Here, we report a novel truncation mutation in the extracellular domain of the G-CSFR in a patient with SCN unresponsive to G-CSF therapy. The mutation disrupts the WSXWS motif after the first tryptophan and localizes to the same region of the G-CSFR where mutations were identified in 2 previous patients with SCN who were also unresponsive to G-CSF. We show that the mutant G-CSFR form we have identified (designated Δ319) heterodimerizes with the WT G-CSFR and that the formation of WT/mutant G-CSFR heterodimers occurs independent of ligand binding. We also demonstrate that the mutant G-CSFR decreases the surface expression of the WT receptor and thereby inhibits proliferative signaling by the WT G-CSFR. These findings suggest a common mechanism underlying G-CSF refractoriness in patients with SCN and also provide new insights into the basic mechanisms of G-CSFR processing and signaling.
Patients, materials, and methods
Reagents and cell culture
Neutrophils were purified from peripheral blood following appropriate informed consent using Ficoll-Hypaque centrifugation (P = 1.077 g/mL) and dextran sulfate sedimentation. Contaminating erythrocytes were removed by hypotonic lysis. Neutrophils used for all subsequent studies were more than 98% pure by Wright-Giemsa staining. Buccal cells and fibroblasts were obtained following appropriate informed consent. Fibroblasts were cultured in RPMI 1640 medium supplemented with 2 mM glutamine and 10% fetal bovine serum (FBS). BaF3 cells were maintained in RPMI 1640 medium supplemented with 2 mM glutamine, 10% FBS, and 10% WEHI-3B conditioned media as a source of interleukin 3 (IL-3). Chinese hamster ovary (CHO) cells were grown in αMEM (αMinimum Essential Media) supplemented with 4.5 g/L glucose and 10% FBS. Penicillin and streptomycin (100 U/mL each) were added to all culture media. Recombinant human G-CSF was a generous gift from Amgen (Thousand Oaks, CA). Media and cell culture reagents were purchased from GIBCO/Invitrogen (Carlsbad, CA).
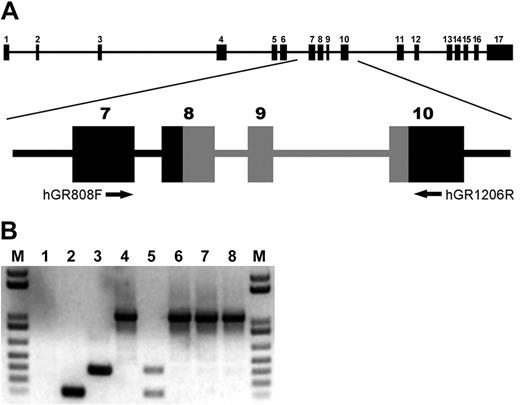
Reverse transcription–polymerase chain reaction (RT-PCR) and genomic DNA analysis
Total RNA was purified with Trizol (Invitrogen) and subsequently incubated with Superscript II reverse transcriptase (Invitrogen) to generate cDNA. Genomic DNA was purified with DNAzol (Invitrogen). Using 2 primer pairs that amplify overlapping fragments corresponding to base pair (bp) 106 to 832 and bp 772 to 1707 of the G-CSFR, the entire extracellular portion of the human G-CSFR was amplified as previously described.26 The resultant amplification products were visualized on 1% agarose/TAE (Tris [tris(hydroxymethyl)aminomethane]–acetate–EDTA [ethylenediaminetetraacetic acid]) gels and cloned into the pCR4-Blunt TOPO vector (Invitrogen) for sequencing. For detection of the Δ319 deletion in genomic DNA, the primers hGR808F, 5′-ACAAGCCGCAGCGTGGAGAAG-3′, and hGR1206R, 5′-TTCTGAAGGCAGGTGGAAGGTG-3′ were used. The latter primer pair amplifies a fragment between exons 7 and 10 of the human G-CSFR gene and produces products from genomic DNA of 1039 bp and 332 bp corresponding to the WT and Δ319 G-CSFR forms, respectively. When cDNA is used as a template with the hGR808F/hGR1206R primer pair, amplification products of 398 bp and 207 bp are generated from the WT and Δ319 G-CSFR forms, respectively.
Plasmid construction and transfection
The entire open reading frame of the WT G-CSFR was amplified using Advantage-HF2 DNA polymerase (Clontech, Palo Alto, CA) and cloned into the pcDNA3.1D-TOPO mammalian expression vector (Invitrogen). PCR reactions were performed with an initial 3-minute denaturation at 94°C, followed by 25 cycles of denaturation at 94°C for 30 seconds, annealing at 63°C for 30 seconds, elongation at 68°C for 90 seconds, and a final 3-minute elongation at 68°C. The forward primer used for amplification contained a Kozak consensus sequence28 (28 5′-CACCATGGCAAGGCTGGGAAACTGC-3′), and the reverse primer (5′-GAAGCTCCCCAGCGCCTCCATC-3′) lacked a stop codon to allow read through to the V5 and His6 epitope tags contained within the vector sequence. The WT G-CSFR was epitope-tagged with V5 and His6 (pcDNA3.1D/WTv5h6). For generation of the Myc-tagged Δ319 G-CSFR construct (pcDNA3.1D/Δ319+myc), the same forward primer but a different reverse primer (5′-TCACAGATCCTCTTCTGAGATGAGTTTTTGTTCTAGGCCACAAGGGCCAC-3′) was used in PCR reactions. For these reactions, the first 5 cycles were carried out under the identical conditions used for amplification of the WT G-CSFR, but for the last 20 cycles denaturation was done at 94°C for 30 seconds, which was followed by a combined annealing/elongation step at 68°C for 90 seconds. PCR reactions with this primer pair amplify the entire open reading frame of the Δ319 G-CSFR fused to a Myc-tag followed by a stop codon.
The tagged G-CSFR constructs were subcloned into the mammalian expression vector pcDNA6 (Invitrogen) from pcDNA3.1D, and positive clones were selected in blasticidin. The fidelity of the entire open reading frame of each expression vector was confirmed by automated DNA sequencing. Transfections of CHO cells were performed in 60-mm dishes using 1 μg DNA and Effectene (Qiagen, Valencia, CA) according to the manufacturer's instructions. Cells were either harvested at 24 to 36 hours after transfection, and transiently transfected cells were used in some experiments, or the cells were transferred to media containing G418 (75 μg/mL) to isolate positive clones stably expressing the various receptor forms. Single clones were isolated by limiting dilution and were screened for G-CSFR expression by immunoblot analysis and flow cytometry. BaF3 cells were stably transfected with the various G-CSFR forms using conditions that have previously been described.29 Single clones were isolated by limiting dilution and screened by immunoblotting.
Immunoprecipitation and immunoblot analysis
Cells (2 × 107/mL) were lysed in lysis buffer (1.5% triton X-100, 0.1% sodium dodecyl sulfate [SDS], 0.1 mM sodium deoxycholate, 500 mM NaCl, 5 mM EDTA, 25 mM N-2-hydroxyethylpiperazine-N′-2-ethanesulfonic acid [HEPES], pH 7.8) containing a cocktail of protease inhibitors (Roche, Indianapolis, IN), incubated on ice for 20 minutes, and centrifuged at 4°C at 10 000g. The supernatants were collected from each sample, and the protein concentrations were determined using the bicinchoninic acid (BCA) reagent (Pierce, Rockford, IL). A total of 150 μg protein from each sample in equivalent final volumes was mixed 1:1 with immunoprecipitation (IP) buffer (10% glycerol, 100 mM KCl, 5 mM MgCl2, 50 mM Tris, pH 8), and incubated with monoclonal antibodies (2 μg) recognizing either the V5 or Myc epitope (Invitrogen) and 40 μL protein G–agarose (Invitrogen) overnight at 4°C. Immunoprecipitates were collected by centrifugation at 2000g at 4°C, washed 3 times with a 1:1 mix of lysis and IP buffers, and resuspended in reducing lithium dodecyl sulfate (LDS) sample buffer. The samples were heated to 70°C for 10 minutes, resolved on precast 4% to 12% Bis-Tris acrylamide gels using a morpholinepropanesulfonic acid (MOPS) running buffer (Invitrogen), and transferred to nitrocellulose. For analysis of whole-cell lysates, 50 μg protein from each sample was resolved by SDS–polyacrylamide gel electrophoresis (PAGE) and subjected to immunoblot analysis. Conditioned media from cells expressing the Δ319 G-CSFR were harvested following transfer and culture of the cells in StemPro SFM-34 media for 24 hours. Immunoblot analysis was performed using an antibody recognizing an amino terminal fragment of the G-CSFR (aa 25-200; Santa Cruz Biotech, Santa Cruz, CA) and an horseradish peroxidase (HRP)–conjugated anti–rabbit secondary antibody. Immunoreactive bands were visualized using the enhanced chemiluminescence (ECL) reagent (Amersham, Piscataway, NJ).
Flow cytometric analyses
Cells (5 × 105) were washed once in PSA (phosphate-buffered saline [PBS] supplemented with 1% fetal bovine serum [FBS] and 0.02% NaN3), incubated at 4°C for 1 hour with 0.5 μg biotinylated mouse anti-human G-CSFR monoclonal antibody (BD Pharmingen, San Diego, CA), washed and subsequently incubated with 2 μL Cy5-conjugated streptavidin (Caltag, San Francisco, CA). After a final wash in PSA, the cells were resuspended in 500 μL PSA, and 10 μg/mL propidium iodide was added to exclude dead cells. The cells were subsequently analyzed on a BD FACSCalibur (BD Biosciences, San Jose, CA).
Fluorescent microscopy
Stably transfected CHO cells (7.5 × 104) were grown on glass cover slips for 24 hours at 37°C. The adherent cells were then washed with PBS, fixed in 3% paraformaldehyde for 1 hour, and incubated with PBS containing 0.1% sodium azide and 5% BSA for 1 hour at room temperature. The cells were then incubated with a rabbit polyclonal anti–G-CSFR antibody (sc9173; Santa Cruz) overnight at 4°C, washed with PBS containing 0.1% sodium azide, and incubated for 1 hour with Alexa-633–conjugated anti-rabbit secondary antibody (Molecular Probes, Eugene, OR). Nuclei were stained with Hoechst stain (Molecular Probes) for 15 minutes at room temperature. The cover slips containing the adherent cells were mounted on glass slides using Pro-Long Antifade mounting media (Molecular Probes) and examined under a Zeiss LSM 510 multiphoton confocal fluorescence microscope (Zeiss, Jena, Germany) equipped with a c-Apochromat 63 ×/1.2 Corr objective. Zeiss LSM 5 Image software was used for image processing.
Results
Patient data
A 1-month-old female infant presented with multiple abscesses, an ANC less than 200/mm3, and a normal hemoglobin and platelet count. Both parents were asymptomatic, and there was no family history of neutropenia. Autoimmune, genetic, and viral etiologies as well as paroxysmal nocturnal hemoglobinuria (PNH) and Fanconi anemia were excluded. Bone marrow analysis revealed a myeloid maturation arrest. Cytogenetics were normal. The patient was diagnosed with SCN without associated myelodysplastic syndrome (MDS) or AML. Remarkably, the patient showed no response to G-CSF even at doses of 100 μg/kg/d. Treatment with granulocyte-macrophage colony-stimulating factor (GM-CSF) led to marked eosinophilia but no improvement in the ANC. The patient subsequently underwent an unrelated cord blood transplantation with complete resolution of the neutropenia.
Identification of the Δ319 mutant G-CSFR form
Due to the patient's refractoriness to even high doses of G-CSF (100 μg/kg/d), we were interested in determining whether the patient might have a mutation in the extracellular region of the G-CSFR since a mutation here could affect ligand binding and explain the patient's observed G-CSF insensitivity. RT-PCR was used to amplify the entire G-CSFR extracellular region from peripheral blood neutrophils (PMNs) from the patient using 2 different primer pairs. A single-sized amplification product was obtained by RT-PCR with the 106/835 primer pair, and DNA sequencing indicated that all 30 clones examined from the patient contained the WT G-CSFR. RT-PCR with the 772/1707 primer pair is predicted to result in amplification of a single 935-bp product. However, RT-PCR using the 772/1707 primer pair and RNA from the patient's PMNs produced 2 products of approximately 935 bp (WT) and 750 bp (Figure 1A). The 750-bp product was cloned and sequenced and a 191-bp deletion identified which was present in 13 of the 30 clones examined from the patient. Numbering from the ATG codon, the deletion localizes to the region spanning bp 955 to 1145 of the G-CSFR cDNA, corresponding to a deletion in the genomic DNA spanning the region from the distal 43 bp of exon 8 to the proximal 74 bp of exon 10. The deletion produces a frame-shift immediately distal to the W318 codon, resulting in the introduction of an additional 29 missense codons followed by a premature stop codon. The mutation generates a truncated G-CSFR form containing the first 318 amino acids of the WT G-CSFR followed by the missense amino acids (Figure 1B). The truncated receptor, which we designated Δ319, retains the portion of the G-CSFR implicated in ligand-binding,30-32 but disrupts the WSXWS motif, the 3 distal FNIII domains, the transmembrane domain, and all of the cytoplasmic domain.
The Δ319 G-CSFR mutant localizes to the WSXWS motif. (A) Heterozygous expression of the WT G-CSFR and Δ319 mutant. PCR amplification products from cDNA from the patient's neutrophils were cloned into pCR4 and restriction digestion with EcoRI was performed, demonstrating a 50:50 mix of clones expressing the WT (upper arrow) or Δ319 (lower arrow) G-CSFR. (B) Schematic diagram of the Δ319 mutant. The mutation in panel A results in a 191-bp deletion and frame shift immediately distal to the W318 codon, producing 29 missense codons followed by a premature stop codon. The deletion disrupts the WSXWS motif and deletes the 3 terminal Fn3 domains in the extracellular region and the entire transmembrane and cytoplasmic domains.
The Δ319 G-CSFR mutant localizes to the WSXWS motif. (A) Heterozygous expression of the WT G-CSFR and Δ319 mutant. PCR amplification products from cDNA from the patient's neutrophils were cloned into pCR4 and restriction digestion with EcoRI was performed, demonstrating a 50:50 mix of clones expressing the WT (upper arrow) or Δ319 (lower arrow) G-CSFR. (B) Schematic diagram of the Δ319 mutant. The mutation in panel A results in a 191-bp deletion and frame shift immediately distal to the W318 codon, producing 29 missense codons followed by a premature stop codon. The deletion disrupts the WSXWS motif and deletes the 3 terminal Fn3 domains in the extracellular region and the entire transmembrane and cytoplasmic domains.
Analysis of patient and parental cells
To determine whether the Δ319 mutation, which we detected in approximately 50% of the clones generated by RT-PCR from the patient, was inherited and affected other cell lineages in the patient, we examined genomic DNA (gDNA) from both parents as well as gDNA from nonhematopoietic cells (dermal fibroblasts) from the patient. To screen gDNA for the Δ319 mutation, we used the primer pair (hGR808F/hGR1206R) flanking the region deleted in the corresponding gDNA (Figure 2A). This specific primer pair can be used to detect the Δ319 G-CSFR mutation in both cDNA and gDNA. As shown in Figure 2B, the mutation could only be detected in cDNA from the patient's PMNs and was undetectable in genomic DNA from the patient's fibroblasts. The mutation was not detected in gDNA isolated from buccal cells, lymphocytes, and PMNs from either parent, and only the WT G-CSFR form was detected in cDNA from PMNs from either parent.
Myeloid-restricted expression of the Δ319 G-CSFR mutant. (A) Location of primers for analysis of genomic and cDNA. The G-CSFR intron-exon structure is shown with the locations of the primers used in panel B for PCR amplification. (B) Analysis of genomic and cDNA from patient and parent cells. The 1039-bp and 332-bp products correspond to the WT and Δ319 G-CSFR forms, respectively, obtained with genomic DNA. Amplification with cDNA yields 398-bp and 207-bp products corresponding to the WT and Δ319 G-CSFR, respectively. (Lane 1) Water (negative control); (lanes 2,3) plasmid DNA from Δ319 and WT clones; (lane 4) DNA from patient's fibroblasts showing only the WT G-CSFR; (lane 5) cDNA from patient's neutrophils; (lanes 6,7) genomic DNA from both parents); and (lane 8) genomic DNA from unrelated donor.
Myeloid-restricted expression of the Δ319 G-CSFR mutant. (A) Location of primers for analysis of genomic and cDNA. The G-CSFR intron-exon structure is shown with the locations of the primers used in panel B for PCR amplification. (B) Analysis of genomic and cDNA from patient and parent cells. The 1039-bp and 332-bp products correspond to the WT and Δ319 G-CSFR forms, respectively, obtained with genomic DNA. Amplification with cDNA yields 398-bp and 207-bp products corresponding to the WT and Δ319 G-CSFR, respectively. (Lane 1) Water (negative control); (lanes 2,3) plasmid DNA from Δ319 and WT clones; (lane 4) DNA from patient's fibroblasts showing only the WT G-CSFR; (lane 5) cDNA from patient's neutrophils; (lanes 6,7) genomic DNA from both parents); and (lane 8) genomic DNA from unrelated donor.
Subcellular localization of the Δ319 G-CSFR mutant
Since the Δ319 mutation removes the transmembrane portion of the G-CSFR, we were interested in determining whether the truncated receptor was secreted. We were unable to detect the mutant receptor in the patient's pretransplantation serum either by immunoprecipitation or immunoblotting (data not shown). Additionally, we could not detect the mutant receptor in conditioned media harvested from cells cotransfected with the WT and Δ319 G-CSFR forms, although it was highly expressed in whole-cell lysates from the same cells (Figure 3A). To determine the subcellular distribution pattern of the Δ319 mutant, transfected cells were examined using confocal microscopy. For these studies, localization of the Δ319 G-CSFR was compared with the G-CSFR localization pattern in cells transfected with the Δ716 G-CSFR truncation mutant, which we have previously shown to be expressed at high levels at the cell surface.15 As shown in Figure 3B, the Δ319 G-CSFR truncation mutant was undetectable at the membrane surface and appeared to accumulate intracellularly in a region corresponding to the endoplasmic reticulum (ER) and Golgi apparatus.
Intracellular accumulation of the Δ319 G-CSFR. (A) Immunoblot analysis of the G-CSFR in conditioned media (CM) or whole cell lysates (WCLs) fromΔ319 transfectants. CM or lysates were prepared from CHO cells transfected with theΔ319 G-CSFR fused to a Myc-epitope tag. The samples were immunoprecipitated with an anti-Myc antibody and immunoblotted with anti–G-CSFR antibody recognizing aa 25 to 200 of the G-CSFR (sc9173). Samples are from 3 independent Δ319 clones. (Lanes 1-3) CM from the 3 different clones; samples; (lanes 4-6) WCLs from the same samples; Neg indicates untransfected cells as a negative control; Pos, WCLs from transiently transfected CHO cells as a positive control. (B) Subcellular localization of the Δ319 G-CSFR. CHO cells transfected with the Δ716 G-CSFR (left) which accumulates at the cell surface or the Δ319 G-CSFR (right) were grown on glass coverslips for 48 hours, incubated with anti–G-CSFR (sc9173), washed, then stained with Alexa633-conjugated anti-rabbit antibody (red), followed by Hoechst stain for nuclei (blue). Cells were visualized on a Zeiss LSM 510 multiphoton confocal microscope at × 400 amplification.
Intracellular accumulation of the Δ319 G-CSFR. (A) Immunoblot analysis of the G-CSFR in conditioned media (CM) or whole cell lysates (WCLs) fromΔ319 transfectants. CM or lysates were prepared from CHO cells transfected with theΔ319 G-CSFR fused to a Myc-epitope tag. The samples were immunoprecipitated with an anti-Myc antibody and immunoblotted with anti–G-CSFR antibody recognizing aa 25 to 200 of the G-CSFR (sc9173). Samples are from 3 independent Δ319 clones. (Lanes 1-3) CM from the 3 different clones; samples; (lanes 4-6) WCLs from the same samples; Neg indicates untransfected cells as a negative control; Pos, WCLs from transiently transfected CHO cells as a positive control. (B) Subcellular localization of the Δ319 G-CSFR. CHO cells transfected with the Δ716 G-CSFR (left) which accumulates at the cell surface or the Δ319 G-CSFR (right) were grown on glass coverslips for 48 hours, incubated with anti–G-CSFR (sc9173), washed, then stained with Alexa633-conjugated anti-rabbit antibody (red), followed by Hoechst stain for nuclei (blue). Cells were visualized on a Zeiss LSM 510 multiphoton confocal microscope at × 400 amplification.
Ligand-independent heterodimerization of the Δ319 mutant G-CSFR with the WT G-CSFR
Since we were unable to demonstrate the presence of the Δ319 G-CSFR mutant at the cell surface to explain the dominant-negative phenotype observed when both the Δ319 and WT G-CSFR forms are coexpressed, we hypothesized that the truncated receptor might interact intracellularly with the WT receptor to alter its function. To investigate whether heterodimerization of WT and mutant G-CSFR forms occurred, experiments were done in which CHO cells stably expressing both a V5-tagged WT G-CSFR and a Myc-tagged Δ319 G-CSFR were immunoprecipitated with either anti-V5 antibody or anti-Myc antibody and immunoblotted with an anti–G-CSFR antibody recognizing aa 25 to 200 to determine whether the Δ319 mutant coimmunoprecipitated with the WT G-CSFR in V5 immunoprecipitates and whether the WT G-CSFR coimmunoprecipitated with the Δ319 mutant in Myc immunoprecipitates. As shown in Figure 4, both G-CSFR forms could be detected in V5 immunoprecipitates and also in Myc immunoprecipitates. Immunoreactive bands of approximately 45 kDa and approximately 130 kDa were detected, corresponding to the sizes of the Myc-tagged Δ319 G-CSFR and the V5-tagged WT G-CSFR forms, respectively. To confirm that the interaction observed between the WT and Δ319 G-CSFR forms indeed occurred in vivo, lysates from cells expressing only the WT G-CSFR or only the Δ319 G-CSFR were mixed prior to immunoprecipitation with either anti-V5 or anti-Myc. Immunoblot analysis with anti–G-CSFR antibody detected only the WT G-CSFR in V5 immunoprecipitates from the mix and only the Δ319 G-CSFR in Myc immunoprecipitates, indicating that the 2 receptor forms only interacted in vivo. These results are consistent with the formation in vivo of stable heterodimers (or oligomers) of the WT G-CSFR and the Δ319 mutant. Notably, WT:Δ319 heterodimers could be detected in the absence of G-CSF, indicating that the association between the 2 receptor forms is constitutive and occurs in the absence of ligand binding. The equivalent intensities of the Δ319 and WT G-CSFR bands observed using antibody to the V5-epitope of the WT G-CSFR for immunoprecipitation, and the weaker intensity of the WT band observed when antibody to the Myc-epitope tag of the Δ319 G-CSFR was used for immunoprecipitations suggest that the Δ319 form is more abundantly expressed than the WT form.
Constitutive oligomerization of the WT and Δ319 G-CSFR forms in vivo. CHO cells transiently transfected with the WT, Δ319, or both G-CSFR forms (WT/Δ319) were lysed, immunoprecipitated with the indicated antibodies (anti-Myc or anti-V5), and then immunoblotted with anti–G-CSFR antibody (sc9173). Unt indicates untransfected cells as a negative control; Mix, prior to immunoprecipitation WT lysates were mixed 1:1 with Δ319 lysates; WCL, protein extract from WT cells (50μg), as a positive control.
Constitutive oligomerization of the WT and Δ319 G-CSFR forms in vivo. CHO cells transiently transfected with the WT, Δ319, or both G-CSFR forms (WT/Δ319) were lysed, immunoprecipitated with the indicated antibodies (anti-Myc or anti-V5), and then immunoblotted with anti–G-CSFR antibody (sc9173). Unt indicates untransfected cells as a negative control; Mix, prior to immunoprecipitation WT lysates were mixed 1:1 with Δ319 lysates; WCL, protein extract from WT cells (50μg), as a positive control.
To determine whether Δ319:WT heterodimers were properly transported to the plasma membrane, transfected cells expressing either G-CSFR form or coexpressing both the Δ319 and WT G-CSFR forms were surface-labeled with biotin to detect surface proteins. As shown in Figure 5, Western blot analysis of whole-cell lysates from Δ319- and WT G-CSFR–transfected cells using HRP-conjugated streptavidin detected the biotinylated WT G-CSFR in the plasma membrane, but failed to detect a biotinylated form of the Δ319 G-CSFR. The absence of detectable biotinylated Δ319 G-CSFR at the cell surface is consistent with the results obtained with confocal microscopy. Additionally, the Δ319 G-CSFR could not be detected on the surface of cells cotransfected with the WT G-CSFR and the Δ319 mutant, indicating that heterodimerization of the Δ319 G-CSFR with the WT G-CSFR does not correct the sorting defect of the truncated receptor form. Notably, the WT G-CSFR appeared to be sequestered intracellularly in WT:Δ319 heterodimeric receptor complexes, although a fraction of the WT G-CSFR was still detectable at the cell surface.
Absence of the Δ319 G-CSFR at the cell surface. Surface proteins from CHO cells transfected with only the WT or the Δ319 G-CSFR, or both receptor forms were left unlabeled or labeled with biotin (+ Biotin) using the membrane impermeable sulfo-NHS-LC-Biotin (Pierce), lysed, then immunoprecipitated with anti-Myc and/or anti-V5 antibodies, and immunoblotted with either anti–G-CSFR (sc9173) to detect the WT and Δ319 receptor forms (A) or with HRP-conjugated streptavidin to detect biotinylated surface proteins (B).
Absence of the Δ319 G-CSFR at the cell surface. Surface proteins from CHO cells transfected with only the WT or the Δ319 G-CSFR, or both receptor forms were left unlabeled or labeled with biotin (+ Biotin) using the membrane impermeable sulfo-NHS-LC-Biotin (Pierce), lysed, then immunoprecipitated with anti-Myc and/or anti-V5 antibodies, and immunoblotted with either anti–G-CSFR (sc9173) to detect the WT and Δ319 receptor forms (A) or with HRP-conjugated streptavidin to detect biotinylated surface proteins (B).
Coexpression of the WT G-CSFR with the Δ319 mutant abrogates G-CSF–stimulated proliferative signaling by the WT G-CSFR and reduces its surface expression
To investigate the biologic consequences of coexpression of the Δ319 G-CSFR along with the WT G-CSFR, we examined the proliferation of BaF3 transfectants in response to G-CSF. The growth curves for BaF3 cells stably expressing the WT G-CSFR only, the Δ319 G-CSFR only, or coexpressing both the WT and Δ319 G-CSFR forms are shown in Figure 6. As expected, BaF3 cells expressing the WT G-CSFR grew exponentially in the presence of G-CSF.6 In contrast, BaF3 cells expressing only the Δ319 G-CSFR died following transfer to G-CSF–containing media, similar to the behavior of parental BaF3 cells and BaF3 cells transfected with the empty vector only. Coexpression of the truncated receptor with the WT G-CSFR (WT/Δ319 clones) inhibited the growth of cells in response to G-CSF. Inhibition of proliferation appeared to correlate with the level of expression of the truncated receptor and increased proportionally with increasing expression of the Δ319 G-CSFR. Following culture for 7 days in G-CSF, cells expressing the highest levels of the Δ319 G-CSFR relative to the WT G-CSFR exhibited the greatest inhibition of cell growth. Flow cytometry revealed a decrease in surface expression of the WT G-CSFR when the Δ319 mutant was coexpressed with it (Figure 7).
The Δ319 mutant abrogates proliferative signaling by the WT G-CSFR. BaF3 cells transfected with the WT G-CSFR (WT), Δ319 G-CSFR, or both receptor forms (WT/Δ319) were grown in G-CSF–containing media (10 ng/mL) for the indicated times. Results with 4 independent Δ319 clones with varying levels of expression of the mutant receptor are shown. (Left) Growth curve of transfectants; (Right, upper panel) WCLs from cells transfected with both the WT G-CSFR and the indicated Δ319 G-CSFR mutant clones shown in panel A were immunoblotted with anti–G-CSFR antibody (sc9173). (Right, lower panel) The blot in the upper panel was stripped and reblotted with anti-actin antibody to control for protein loading.
The Δ319 mutant abrogates proliferative signaling by the WT G-CSFR. BaF3 cells transfected with the WT G-CSFR (WT), Δ319 G-CSFR, or both receptor forms (WT/Δ319) were grown in G-CSF–containing media (10 ng/mL) for the indicated times. Results with 4 independent Δ319 clones with varying levels of expression of the mutant receptor are shown. (Left) Growth curve of transfectants; (Right, upper panel) WCLs from cells transfected with both the WT G-CSFR and the indicated Δ319 G-CSFR mutant clones shown in panel A were immunoblotted with anti–G-CSFR antibody (sc9173). (Right, lower panel) The blot in the upper panel was stripped and reblotted with anti-actin antibody to control for protein loading.
Decreased surface expression of the WT G-CSFR in cells coexpressing the WT G-CSFR and the Δ319 mutant G-CSFR. Flow cytometry was used to analyze surface expression of the G-CSFR in BaF3 cells transfected with empty vector (Vector), the Δ319 G-CSFR, the WT G-CSFR (WT), or both receptor forms (WT/Δ319). The cells (5 × 105) were incubated with biotin-conjugated anti–G-CSFR antibody (LMM741-biotin), washed, then incubated with Cy5-conjugated streptavidin, and analyzed on a FACSCalibur (BD Biosciences) with a total of 10 000 gated events analyzed.
Decreased surface expression of the WT G-CSFR in cells coexpressing the WT G-CSFR and the Δ319 mutant G-CSFR. Flow cytometry was used to analyze surface expression of the G-CSFR in BaF3 cells transfected with empty vector (Vector), the Δ319 G-CSFR, the WT G-CSFR (WT), or both receptor forms (WT/Δ319). The cells (5 × 105) were incubated with biotin-conjugated anti–G-CSFR antibody (LMM741-biotin), washed, then incubated with Cy5-conjugated streptavidin, and analyzed on a FACSCalibur (BD Biosciences) with a total of 10 000 gated events analyzed.
Discussion
Increasing evidence indicates that SCN is a genetically heterogeneous disease. In most patients with SCN, mutations have been identified in the ELA2 gene encoding neutrophil elastase.20,33 Mutations in the genes encoding the Wiskott-Aldrich syndrome (WAS) protein and the transcriptional repressor oncoprotein GFI-1 have been detected in rare patients with SCN.34,35 In the approximately 15% of patients with SCN transforming to AML, acquired mutations in the cytoplasmic tail of the G-CSFR have almost universally been detected. Mutations in the extracellular region of the G-CSFR have also been reported in 2 patients with SCN without AML. Both patients had severe neutropenia that was diagnosed early in life, and both patients were unresponsive to G-CSF therapy.26,27 Despite these important observations, the mechanisms by which these mutations induce the neutropenic phenotype remain largely unknown.
Although G-CSFR mutations are generally thought not to be causative of SCN, their role in SCN remains unclear. The frequent association of G-CSFR mutations with transformation to AML in patients with SCN has led to the hypothesis that these mutations contribute to leukemogenesis, although G-CSFR mutations do not invariantly occur in AML and may also appear in the absence of neoplasia.36 Notably, receptor mutations in SCN/AML localize to the cytoplasmic region of the G-CSFR.
The Δ319 G-CSFR mutation identified in our patient disrupts the WSXWS motif and deletes the extracellular portion distal to the first tryptophan and the entire transmembrane and cytoplasmic domains. Expression of this mutant in BaF3 cells, either alone or in combination with the WT G-CSFR, reproduces the dominant-negative phenotype observed in our patient. Our data provide further evidence for the relevance of mutations in the extracellular portion of the G-CSFR in the pathogenesis of G-CSF–refractory SCN. The finding that the Δ319 G-CSFR constitutively heterodimerizes with the WT G-CSFR independent of ligand binding provides novel insights into the mechanisms of signal propagation by the G-CSFR.
Our findings imply a role for the distal region of the extracellular portion of the G-CSFR in proper targeting of the receptor to the cell membrane. We show that the Δ319 G-CSFR is missorted and accumulates intracellularly. The lack of detectable receptor in the patient's serum or conditioned media from transfected cells indicate that the mutant receptor is not secreted. Thus, the Δ319 G-CSFR truncation mutant does not appear to confer G-CSF insensitivity by functioning as a soluble sink for G-CSF. We demonstrate that even when the WT G-CSFR is coexpressed along with the Δ319 mutant, the mutant receptor remains undetectable at the cell surface, indicating that the mutant receptor does not function to alter the affinity for ligand binding. Furthermore, using flow cytometry, we show that coexpression of the Δ319 mutant along with the WT G-CSFR decreases the surface expression of the WT receptor.
We also directly demonstrate that the truncated Δ319 G-CSFR forms oligomers in vivo with the WT G-CSFR in the absence of ligand to inhibit signaling by the WT G-CSFR. The intensity of growth inhibition quantitatively correlated with the level of expression of the mutant receptor form so that greater inhibition was observed as the level of expression of the Δ319 mutant relative to the WT G-CSFR increased. Collectively, our data support a model in which both the WT and mutant G-CSFR forms are transcribed and oligomerize during intracellular processing. Interaction of the WT G-CSFR with the Δ319 mutant leads to accumulation of the heterodimeric complexes intracellularly disrupting transport of the G-CSFR to the cell surface. As a result, insufficient signals are generated to sustain G-CSFR–induced survival, growth, and/or differentiation.
Similar defects in receptor processing and assembly have been reported with truncation mutants of the erythropoietin receptor (EpoR).37 Using a series of EpoR truncation mutants terminating either just before the first tryptophan of the WSXWS motif or immediately distal to the last serine of the motif, or 9 amino acids after WSXWS motif, in which the transmembrane domain was also deleted, Miura and Ihle37 demonstrated that only the mutant terminating 9 amino acids after the WSXWS motif was secreted. Additionally, these investigators showed that all 3 truncated EpoR forms could constitutively associate with the WT receptor in a ligand-independent manner. Like the EpoR,37,38 our data also demonstrate a requirement for the WSXWS motif and/or sequences following it for correct sorting of the G-CSFR to the plasma membrane but not for constitutive receptor oligomerization. The WSXWS motif has also been shown to be important in protein folding for receptors for interleukin-2 receptor β chain (IL-2Rb),39 prolactin,40 growth hormone,41 and GM-CSF.42 Previous work by Anaguchi et al5 has also demonstrated a role for the WSXWS motif in proper folding of the G-CSFR. Thus, retention of the G-CSFR in the ER could be due to misfolding of the truncated receptor,43 which promotes its oligomerization with the WT G-CSFR in a manner analogous to the altered subunit assembly observed with the T-cell receptor,44 HLA-DR,45 IgM,46 the kainate receptor KA2,47 and the 5-hydroxytryptamine type 3 receptor.48 Alternatively, sequestration of the truncated G-CSFR could be due to removal of a sorting signal or an interaction domain necessary for binding of a putative chaperone involved in trafficking of the receptor.
The location of any putative sorting signal/domain in the G-CSFR must lie between the WSXWS motif and the transmembrane domain, since expression of the entire extracellular portion of the G-CSFR produces a protein that is secreted.49 Furthermore, previous work by Fukunaga et al6 using deletion analysis has indicated that the 3 FNIII domains proximal to the transmembrane domain are important for correct expression of the G-CSFR. Thus, for both the EpoR and the G-CSFR, sequences in the extracellular domain appear to be critical for correct expression and sorting of the mature receptor complexes to the plasma membrane. Additionally, both receptors form oligomeric complexes, most likely dimers, during processing and transit of the receptor complexes to the plasma membrane.
Traditional dogma has held that the stimulus for cytokine receptor-induced signal transduction is ligand binding, which induces subsequent dimerization or oligomerization of receptor monomers. However, our data along with the increasing body of evidence with other cytokine receptors support a mechanism whereby ligand binding produces a conformational change in a preformed receptor dimer (or oligomer), and it is the conformational change itself that activates signal transduction.50 Both crystallographic and biochemical data indicate that, indeed, activation of the EpoR results from conformational changes in preformed receptor dimers following ligand binding.51,52 The existence of preformed receptor dimers has been reported for a number of other surface receptors.53-57 In the current paper, we show that the truncated Δ319 G-CSFR forms ligand-independent oligomers likely either in the ER or the Golgi. We have obtained similar results with the Δ716 G-CSFR mutant isolated from patients with SCN/AML, in which the distal cytoplasmic tail of the G-CSFR is deleted (L.J.D., J.A., T.K.-K., B.R.A. Preformed ligand-independent heterodimers mediate the dominant-negative phenotype arising from mutations in the G-CSFR [manuscript in preparation]). On the basis of these results, we hypothesize that the G-CSFR forms constitutive homodimers during processing and transit to the plasma membrane. Such a mechanism in which preformed dimers already exist at the cell membrane would permit more rapid activation of the signaling cascade upon ligand binding. There is evidence from earlier studies by Horan et al49,58 that, indeed, the unligated G-CSFR can form dimers, albeit weakly, and that binding of G-CSF induces conformational changes in the receptor complex.59 These data together with our results suggest that, like other cytokine receptors, the G-CSFR exists as a preformed dimer (or oligomer), and that activation of signal transduction by the G-CSFR is initiated by a conformational change induced by ligand binding.
Notably, the 2 previously reported patients with SCN with mutations localizing to the extracellular region of the G-CSFR were both unresponsive to treatment with G-CSF. The P206H point mutation identified by Ward and coworkers26 was shown to alter ligand binding stoichiometry and drastically decreased proliferative signaling. Although the P206H mutation did not alter the apparent dissociation constant for ligand binding, an approximately 50% decrease in the number of apparent ligand binding sites per cell was observed with a concomitant decrease in the strength of the biologic response. The authors point out that Proline 206 localizes to the hinge region between the BN and BC regions of the CRH domain,32 and that crystallographic data suggest that ligand binding produces a change in the angle between the BN and BC domains. Ward et al26 suggested that the P206H mutation affected ligand-induced conformational changes in the G-CSFR, which precluded or inhibited subsequent ligand binding by prohibiting the formation of higher order ligand:receptor complexes thought to be necessary for full activation of G-CSFR–induced signaling. These data are consistent with the preformed G-CSFR dimer model, in which ligand binding induces signal transduction by initiation of conformational changes in the receptor protein rather than by formation of the actual receptor dimers. Sinhna et al27 reported a 182-bp deletion in the extracellular portion of the G-CSFR immediately distal to the codon for tryptophan 321 of the WSXWS motif (Δ322 G-CSFR). This mutation introduces the same frame shift and early termination codon found in our patient. The Δ322 G-CSFR mutant exhibited many of the same functional characteristics reported here with the Δ319 G-CSFR. It, too, is not secreted, but forms oligomers with the WT receptor and produces a dominant-negative phenotype in BaF3 cells with decreased proliferative signaling observed in response to G-CSF stimulation. Notably, both the P206H and Δ322 mutations were found to be germ line mutations.
The identification of 3 patients with SCN with mutations in the extracellular domain of the G-CSFR, all of whom were refractory to G-CSF therapy, suggests the existence of a previously unidentified subset of patients with SCN. Combination therapy with G-CSF and prednisone was found to be effective in treating the P206H patient,60 whereas GM-CSF alone or G-CSF in combination with SCF proved ineffective. Our patient, like the Δ322 patient, failed to respond to high-dose G-CSF, or other cytokines, and was successfully treated with a stem cell transplantation.27 Thus, detection of mutations in the extracellular portion of the G-CSFR within close proximity to the WSXWS motif should warrant earlier intervention with alternative therapies such as stem cell transplantation in patients with SCN failing standard therapy with G-CSF.
Our data also provide the first direct evidence that the WT G-CSFR, indeed, heterodimerizes with truncated forms of the G-CSFR to explain the dominant-negative phenotype observed in transfected cells and in patients with SCN heterozygously expressing WT and mutant G-CSFR forms. Our results with the nonresponsive Δ319 mutant together with previous findings with C-terminal truncated G-CSFR mutants that are defective in internalization and hyperresponsive to G-CSF provide contrasting models of G-CSF responsiveness, and underscore the importance of proper receptor trafficking in the control of cytokine signaling.15,16,61,62 Further clues regarding signal propagation by the G-CSFR await additional structure-function studies of the G-CSFR with attention to the extracellular region. Information from these studies will permit the rational design of peptides and/or small-molecule mimetics of G-CSF.
Prepublished online as Blood First Edition Paper, September 7, 2004; DOI 10.1182/blood-2004-07-2613.
Supported by grants from the National Cancer Institute (grants CA75226, CA82859, and CA16058).
The publication costs of this article were defrayed in part by page charge payment. Therefore, and solely to indicate this fact, this article is hereby marked “advertisement” in accordance with 18 U.S.C. section 1734.






