Abstract
Trafficking of human CD34+ stem/progenitor cells (HSCs/HPCs) is regulated by chemokines, cytokines, proteolytic enzymes, and adhesion molecules. We report that the adhesion receptor CD44 and its major ligand, hyaluronic acid (HA), are essential for homing into the bone marrow (BM) and spleen of nonobese diabetic/severe combined immunodeficient (NOD/SCID) mice and engraftment by human HSCs. Homing was blocked by anti-CD44 monoclonal antibodies (mAbs) or by soluble HA, and it was significantly impaired after intravenous injection of hyaluronidase. Furthermore, stromal cell-derived factor-1 (SDF-1) was found to be a rapid and potent stimulator of progenitor adhesion to immobilized HA, leading to formation of actin-containing protrusions with CD44 located at their tips. HPCs migrating on HA toward a gradient of SDF-1 acquired spread and polarized morphology with CD44 concentrating at the pseudopodia at the leading edge. These morphologic alterations were not observed when the progenitors were first exposed to anti-CD44 mAbs, demonstrating a crosstalk between CD44 and CXCR4 signaling. Unexpectedly, we found that HA is expressed on human BM sinusoidal endothelium and endosteum, the regions where SDF-1 is also abundant. Taken together, our data suggest a key role for CD44 and HA in SDF-1–dependent transendothelial migration of HSCs/HPCs and their final anchorage within specific niches of the BM. (Blood. 2004;103:2981-2989)
Introduction
The outcome of hematopoietic stem cell transplantation is influenced by the ability of the cells to home and repopulate their specialized bone marrow (BM) niches. The crosstalk between the hematopoietic stem/progenitor cells (HSCs/HPCs) and the microenvironment, which regulates homing to the BM, is not fully elucidated. Data indicate that transplanted HSCs/HPCs lodge into their BM niches by a sequence of highly regulated events that mimic the migration of leukocytes to inflammatory sites. This process includes tethering and rolling on E- and P-selectins, firm adhesion to the vessel wall, transendothelial extravasation, and migration through the extracellular matrix (ECM).1-3 This multistep process is mediated by an interplay between chemokines, growth factors, proteolytic enzymes, and adhesion molecules.4,5 The chemokine stromal cell-derived factor-1 (SDF-1), also named CXCL-12, and its receptor, CXCR4, play key roles in human HSC trafficking and repopulation.6 This chemokine, expressed by both human and murine BM endothelium and stroma,7,8 is the most powerful chemoattractant of HSCs/HPCs9,10 that also regulates their survival.11,12 It induces the integrin-mediated firm arrest of human HPCs under physiologic shear flow, facilitates their transendothelial migration,3,8 and regulates homing13 and BM engraftment.14 Furthermore, SDF-1 is also required for the retention of murine stem and progenitor cells within the BM.15,16 HSCs/HPCs express several types of adhesion molecules that are responsible for cell-cell and cell-ECM interactions17 ; among them CD44 is of particular interest.
The importance of CD44 in cell migration is reported for a variety of normal and malignant cells.18 CD44 is a multifunctional and multistructural receptor that has a large array of isoforms. Standard CD44 (CD44s), the smallest CD44 molecule, which lacks the entire variable region, is the most common isoform expressed on hematopoietic cells, including stem and progenitor cells.18,19 Contradictory data exist on the role of CD44 in murine HPC trafficking. Studies using anti-CD44 antibodies revealed the impaired homing of mouse hematopoietic progenitors to the BM and spleen,20,21 whereas studies on CD44 knock-out mice demonstrated no defects in this process,22 although a reduced myeloid progenitor cell egress from the BM to blood circulation was found.23 Dimitroff and colleagues also reported that a specialized glycoform of CD44 on human CD34+ progenitors functions as a ligand for L- and E-selectins.24,25 Furthermore, CD44 is reported to affect hematopoiesis in opposite ways, as various types of anti-CD44 antibodies inhibit while others enhance this process.26-28 In addition, activation of CD44 was found to promote differentiation and inhibit proliferation of acute myeloid leukemia.29,30
The major ligand of CD44 is hyaluronic acid (HA), an important component of the ECM in many different organs,18,19 including the BM, where it is produced by both stromal and hematopoietic cells.31,32 In addition to its structural function, matrix HA supports cell adhesion, growth, and differentiation and regulates cell trafficking. It affects various biologic processes, such as development and organogenesis, inflammation, wound healing, and tissue remodeling.18,33 HA is also found to be expressed on the cell surface of both normal and tumor cells.33,34 Recently, Nilsson et al have shown that the most primitive human and murine HSCs exclusively synthesize and express HA. Interestingly, in the murine system, this restricted expression of HA to the most primitive cells correlated with their selective migration to the endosteal region.35 However, to date, no data on HA expression or function in the BM endothelium have been documented.
In the present study, we examined the role of the cell surface CD44 receptor and its ligand, HA, in the homing and engraftment processes of human HPCs using nonobese diabetic/severe combined immunodeficient (NOD/SCID) mouse xenotransplantation as a functional in vivo model.36,37 We also studied the effect of a key BM chemokine, SDF-1, on CD44 function in progenitor adhesion and migration on HA expressed by the BM.
Materials and methods
Human cells
Human cord blood (CB) samples from full-term deliveries and mobilized peripheral blood (MPB) cells from granulocyte colony-stimulating factor (G-CSF)-treated healthy donors were obtained after informed consent and used in accordance with the procedures approved by the human experimentation and ethics committees of the Weizmann Institute. Low-density mononuclear cells were collected following standard separation on Ficoll-Paque (Pharmacia Biotech, Uppsala, Sweden). CD34+ cells were enriched using the MACS cell isolation kit and AutoMacs magnetic cell sorter (Miltenyi Biotec, Bergisch Gladbach, Germany) according to the manufacturer's instructions, obtaining purity of more than 95%. Isolated CD34+ cells were used either immediately or following overnight incubation in RPMI supplemented with 10% heat-inactivated fetal calf serum (FCS) and 50 ng/mL stem cell factor (SCF) (R&D Systems, Minneapolis, MN) to maintain their viability.
Flow cytometry
Cell surface expression of CD44 was assessed by flow cytometry (FACSCalibur; Becton Dickinson, San Jose, CA) using mouse antihuman CD44 monoclonal antibody (mAb) clone F10-44-2 (immunoglobulin G2a [IgG2a], MCAP89, Serotec, Oxford, United Kingdom) or clone BU52 (IgG1, MC114; The Binding Site, Birmingham, United Kingdom) followed by secondary phycoerythrin (PE)–conjugated donkey antimouse IgG (Jackson ImmunoResearch Labs, West Grove, PA). CXCR4 expression was examined by antihuman CXCR4-PE clone 12G5 (BD Biosciences, San Jose, CA). Cells stained with the secondary Ab alone or with IgG2a-PE (BD Biosciences) served as controls. Human plasma was used to block Fc receptors.
Mice
NOD/LtSz-Prkdcscid (NOD/SCID) mice were bred and maintained under defined flora conditions at the Weizmann Institute in sterile microisolator cages. All the experiments were approved by the animal care committee of the Weizmann Institute. Eight- to 10-week-old mice were sublethally irradiated (375 cGy, from a 60Co source) and underwent transplantation with human cells 24 hours after irradiation by intravenous injection into the tail vein.
Homing assay
Enriched human CB or MPB CD34+ cells (0.5 × 106 to 1 × 106 cells per mouse) from single donors were injected intravenously 24 hours after irradiation. Cells were incubated prior to injection for 30 minutes at room temperature either with or without 3 μg/mL mouse antihuman CD44 mAbs from clones BU52 or F10-44-2, or mouse IgG2a (MCA929XZ; Serotec) as an irrelevant matched isotype control. Alternatively, cells were treated for 30 minutes at room temperature with 0.5 μM of either hyaluronic acid (HA) (H1876; Sigma-Aldrich, Rehovot, Israel) or chondroitin sulfate (CS) (C3788, Sigma-Aldrich), as previously described for T cells,38 and injected unwashed. Hyaluronidase (H3757, Sigma-Aldrich), 10 units per mouse, was injected intravenously immediately prior to cell transplantation. Sixteen hours after injection, cells were recovered from the BM and spleen of recipient mice and were analyzed by flow cytometry (FACSCalibur) for the presence of human cells using human-specific anti-CD34–fluorescein isothiocyanate (anti-CD34–FITC; Becton Dickinson) and anti-CD38–PE (Becton Dickinson) antibodies, acquiring at least 106 cells per sample. Mouse IgG and human plasma were used to block Fc receptors. Cells obtained from mice that did not undergo transplantation or cells labeled with mouse isotype control antibodies were used as negative controls.
Human cell engraftment
Enriched human CB CD34+ cells (2 × 105 cells per mouse) were preincubated as above with antihuman CD44 mAb or HA and injected without washing. Six weeks later, single cell suspension was prepared from the BM and spleen of mice that underwent transplantation. Human cell engraftment was assayed using human specific anti-CD45–FITC (IQP, Groningen, The Netherlands) and anti-CD19–PE (Becton Dickinson) mAbs. Human plasma and mouse IgG were used to block Fc receptors.
Migration assay
Enriched human CB or MPB CD34+ cells were allowed to migrate toward a gradient of SDF-1 as previously described.14 Briefly, 125 ng/mL SDF-1 (PeproTech, Rocky Hill, NJ) was added to the lower chamber of a Costar 24-well transwell (Corning Incorporated Life Sciences, Acton, MA). Where indicated, cells were preincubated with antihuman CD44 mAbs or mouse isotype control (3 μg/mL) for 30 minutes at room temperature.
Cell adhesion assay
Flat-bottomed microplates (Corning) were coated with 150 μg/mL HA and incubated 18 hours at 4°C and blocked (60 minutes, 37°C) in 1% bovine serum albumin (BSA). Enriched CB CD34+ cells (1 × 105 per well) were labeled for 1 hour with Na251[Cr]O4 (Amersham, Bucks, United Kingdom) and plated either untreated or treated with 125 ng/mL SDF-1α, 20 ng/mL tumor necrosis factor-α (TNF-α), 100 ng/mL macrophage inflammatory protein-1α (MIP-1α), or 50 ng/mL SCF (all from R&D Systems) and allowed to adhere for various time intervals at 37°C in a humidified atmosphere containing 5% CO2. The unbound and weakly adherent cells were removed from the wells by gentle washing, and the cells remaining in the well were lysed. The radioactivity, which represented the actual CD34+ cell adhesion, was measured using a γ-counter. Where indicated, cells were preincubated for 30 minutes with anti-CD44 mAb BU52.
Shear flow adhesion assay
Laminar flow assays were performed as previously described.39 Polystyrene plates (BD Biosciences) were coated with HA in the presence of 2 μg/mL human serum albumin (HSA) carrier, washed 3 times with phosphate-buffered saline (PBS), and blocked in HSA (20 μg/mL in PBS) for 2 hours at room temperature. Alternatively, plates treated as above were coated with 10 μg/mL SDF-1 in PBS for 30 minutes at room temperature before being blocked with HSA. The plates were assembled as the lower wall of a parallel wall flow chamber and mounted on the stage of an inverted microscope. CB CD34+ cells (2 × 106/mL) were perfused into the chamber and allowed to settle on the substrate-coated chamber wall for 3 minutes at 37°C. Flow was initiated and increased in 2- to 2.5-fold increments every 5 seconds, generating controlled shear stress on the wall. Cells were visualized by 20 × objective of an inverted phase contrast Diaphot Microscope (Nikon, Kanagawa, Japan) and photographed with a long integration LIS-700 cooled charged-couple device (CCD) video camera (Applitech, Holon, Israel) connected to a video recorder (AG-6730 S-VHS; Panasonic, Tokyo, Japan).
Immunocytochemical procedures and computerized imaging
Enriched CB CD34+ cells (1 × 105 to 2 × 105 cells per well) were plated on HA-coated coverslips for 2 hours at 37°C, either untreated or treated with 200 ng/mL SDF-1 and/or mouse antihuman CD44 mAbs. Samples were processed for microscopic observation as described.40 In brief, the adherent cells were fixed with 3% paraformaldehyde (Merck, Darmstadt, Germany) and, if indicated, permeabilized in 0.5% Triton X-100 (Sigma-Aldrich). Samples were indirectly immunolabeled at room temperature in a humidified chamber with mouse antihuman CD44 mAb (MCAP89; Serotec) and rabbit antihuman CXCR4 (AB1846; Chemicon, Temecula, CA). The secondary antibodies used were cyanine 3 (Cy3)–conjugated goat antimouse IgG (Jackson ImmunoResearch Labs) and Alexa 488–conjugated goat antirabbit IgG (Molecular Probes, Eugene, OR). FITC-phalloidin was purchased from Sigma-Aldrich. Following labeling, cells were mounted in Elvanol (Mowiol 4-88, Hoechst, Frankfurt, Germany). Immunofluorescence images were acquired using scientific-grade CCD camera and processed by the DeltaVision system using Resolve3D software (Applied Precision, Issaquah, WA). Where indicated, series of images from subsequent optical sections through the cell volume (Z-step 0.2 μm) were obtained, deconvolved, and projected to a single image using Resolve3D and Priism softwares.41
Directional migration and time-lapse digital imaging
Enriched CB CD34+ cells were plated on HA-coated coverslips and allowed to adhere as above. A gradient of SDF-1 was established by an application of a limited number (5 to 10 particles) of SDF-1–soaked agarose beads (Blue Sepharose 6 Fast Flow; Amersham) preincubated for 1 hour with recombinant SDF-1 solution (PeproTech; 50 μg/mL in PBS). SDF-1 released from the beads was found to attract cells by the same efficiency as the recombinant protein alone in a concentration usually used in a transwell migration assay (125 ng/mL). The chemokine gradient over a well was established 5 to 10 minutes following the introduction of the beads. The immunocytochemical staining and analyses were carried out as above.
HA immunohistochemistry of human BM sections
Immunohistochemical staining was performed on formalin-fixed, paraffin-embedded human BM sections. Samples were deparaffinized and dehydrated. Endogenous peroxidase activity was quenched in 3% H2O2 in double-distilled water for 20 minutes. Tissue was preretrieved in 0.01 M citrate buffer at 90°C for 20 minutes within a calibrated microwave, blocked for 10 minutes (protein block; DAKO, Glostrup, Denmark), washed with Tris (tris(hydroxymethyl)aminomethane) buffer saline (TBS), and incubated overnight at 4°C with 2.5 μg/mL biotinylated HA binding protein (bHABP) (H-9910; Sigma-Aldrich). Control slides were incubated overnight with 30 U/mL hyaluronidase at 37°C, washed, and further incubated with 2.5 μg/mL bHABP as above. Staining was performed following a standard indirect avidin-biotin horseradish peroxidase method using LSAB2-HRP detection kit (DAKO) according to the manufacturer's instructions. Slides were counterstained with Mayer hematoxylin (DAKO).
Statistics
Results of experimental points are reported as mean ± SD. Significance levels were determined by Student t test for differences in means.
Results
CD44-HA interactions are essential for homing of human HPCs into the BM and spleen of immunodeficient NOD/SCID mice
To examine the in vivo role of CD44 in the multistep homing process, we treated enriched human CB and MPB CD34+ cells with antihuman CD44 mAb BU52 that recognizes a constant epitope on the CD44 receptor and is reported to decrease fibroblast adhesion to HA.42 Cells incubated with mouse IgG isotype control were examined in parallel. As analyzed by flow cytometry, 16 hours after injection, anti-CD44 mAb completely and specifically blocked the homing of both MPB- (Figure 1A-D) and CB-derived CD34+ cells (Figure 1E-F) into the BM and spleen of the recipients. Previous results demonstrated that incubation with anti-CD34 13 and anti–very late activation antigen-6 (anti–VLA-6) 3 mAbs did not prevent homing and repopulation. Closer examination revealed that these treatments, as well as incubation with purified human IgG Fc fragment, can occasionally cause only a minor decrease in HPC homing compared with untreated cells, most probably due to a mechanical interference with SDF-1 binding and/or Fc receptor signaling (data not shown), indicating that anti-CD44–mediated inhibition is not due to the clearance of IgG-bound cells. Furthermore, masking the cell surface CD44 with its ligand, HA, prior to transplantation reduced cell homing by 70% to 80% (Figure 1A-D, HA). Preincubation with the similar disaccharide polymer chondroitin sulfate at the same concentration did not inhibit the homing (Figure 1A-B, CS). To further examine the necessity of HA for HPC homing, another group of recipients was injected intravenously with the HA-degrading enzyme, hyaluronidase, immediately prior to cell injection. This treatment decreased the homing of the cells to the BM and spleen by 40% (Figure 1A-D, Hase). On the other hand, in accordance with previous results by Nilsson et al35 with murine progenitors, pretreatment of human progenitors with hyaluronidase followed by washing before transplantation did not affect their homing (data not shown). Interestingly, another clone of anti-CD44 mAb that does not inhibit cell adhesion to HA, F10-44-2,43 also blocked CD34+ cell homing to the BM and spleen of recipient mice with the efficiency similar to BU52 (Figure 1), suggesting that binding of anti-CD44 Ab might stimulate signaling via CD44 receptor. Collectively, these findings indicate that CD44 expressed by human HPCs and its ligand, HA, are important for their homing to the BM and spleen.
Homing of enriched human CD34+ progenitor cells in NOD/SCID mice that underwent transplantation is blocked by anti-CD44 mAbs, hyaluronic acid (HA), and hyaluronidase (Hase) treatment. Enriched human MPB CD34+ cells, either untreated (ctrl) or after blocking with antihuman CD44 mAbs (clones BU52 and F10-44-2, as indicated) or following treatment with 0.5 μM of either HA or chondroitin sulfate (CS), were injected intravenously into the NOD/SCID mice (5 × 105 cells per mouse, 24 hours after sublethal irradiation). Another group of recipients was also injected intravenously with the degrading enzyme, Hase, immediately prior to cell transplantation. BM and spleen of recipient mice were analyzed for the presence of human cells using human-specific anti-CD34–FITC and CD38-PE mAbs. Results show the percentage of human CD34+ cells that homed to the BM (A) and spleen (B) relative to control. (mean ± SD from 3 independent experiments, 3 to 4 mice per treatment in each experiment, *P < .05). Data from a representative experiment showing the number of human cells per 106 acquired cells in the BM (C) and spleen (D) of recipients. Homing of enriched CB CD34+ cells untreated (ctrl) or treated either with anti-CD44 mAbs or with the isotype control to the BM (E) and spleen (F) of the recipients (mean ± SD from 3 independent experiments, 3 mice per treatment, *P < .05).
Homing of enriched human CD34+ progenitor cells in NOD/SCID mice that underwent transplantation is blocked by anti-CD44 mAbs, hyaluronic acid (HA), and hyaluronidase (Hase) treatment. Enriched human MPB CD34+ cells, either untreated (ctrl) or after blocking with antihuman CD44 mAbs (clones BU52 and F10-44-2, as indicated) or following treatment with 0.5 μM of either HA or chondroitin sulfate (CS), were injected intravenously into the NOD/SCID mice (5 × 105 cells per mouse, 24 hours after sublethal irradiation). Another group of recipients was also injected intravenously with the degrading enzyme, Hase, immediately prior to cell transplantation. BM and spleen of recipient mice were analyzed for the presence of human cells using human-specific anti-CD34–FITC and CD38-PE mAbs. Results show the percentage of human CD34+ cells that homed to the BM (A) and spleen (B) relative to control. (mean ± SD from 3 independent experiments, 3 to 4 mice per treatment in each experiment, *P < .05). Data from a representative experiment showing the number of human cells per 106 acquired cells in the BM (C) and spleen (D) of recipients. Homing of enriched CB CD34+ cells untreated (ctrl) or treated either with anti-CD44 mAbs or with the isotype control to the BM (E) and spleen (F) of the recipients (mean ± SD from 3 independent experiments, 3 mice per treatment, *P < .05).
Long-term repopulation of NOD/SCID mice requires functional CD44 expressed by enriched human CD34+ HSCs
To evaluate the role of CD44 in HSC engraftment, we assayed the presence of multilineage hematopoiesis in the BM and spleen of the recipient mice 6 weeks after transplantation of CB CD34+ cells treated with anti-CD44 mAb (F10-44-2) or HA. The long-term engraftment and repopulation of the NOD/SCID mouse BM and spleen by human cells were almost completely inhibited following treatment with anti-CD44 mAb or masking by its ligand, HA, compared with control nontreated cells (Figure 2). These results demonstrate that CD44 is essential for both lodgment and engraftment of human SCID repopulating stem cells in the BM.
Treatment of human CD34+ progenitor cells with anti-CD44 mAb or soluble HA inhibits the engraftment of SCID repopulating cells. Enriched CB CD34+ cells were preincubated with antihuman CD44 mAb F10-44-2 or with HA and transplanted (2 × 105 cells per mouse) into sublethally irradiated NOD/SCID mice. The percentage of human cells in cell suspension prepared from the murine BM and spleen was determined 6 weeks after transplantation by flow cytometry using human specific anti-CD45–FITC/CD19-PE mAbs. Ctrl indicates untreated cells. Data represent average of 3 experiments ± SD (3 mice per treatment in each experiment, *P < .01) (A). (B) A representative flow cytometry analysis is shown, and percentage of human cells is indicated.
Treatment of human CD34+ progenitor cells with anti-CD44 mAb or soluble HA inhibits the engraftment of SCID repopulating cells. Enriched CB CD34+ cells were preincubated with antihuman CD44 mAb F10-44-2 or with HA and transplanted (2 × 105 cells per mouse) into sublethally irradiated NOD/SCID mice. The percentage of human cells in cell suspension prepared from the murine BM and spleen was determined 6 weeks after transplantation by flow cytometry using human specific anti-CD45–FITC/CD19-PE mAbs. Ctrl indicates untreated cells. Data represent average of 3 experiments ± SD (3 mice per treatment in each experiment, *P < .01) (A). (B) A representative flow cytometry analysis is shown, and percentage of human cells is indicated.
CD44 is involved in the SDF-1–induced migration of human HPCs
SDF-1 plays a crucial role in HPC migration.6,14 We next examined whether CD44 is involved in the regulation of human HPC locomotion during SDF-1–induced chemotaxis. Pretreatment with both types of anti-CD44 mAbs reduced the in vitro chemotactic response of CB- and MPB-derived CD34+ cells by 30% and 50%, respectively, whereas incubation with mouse IgG isotype control had no effect on cell motility (Figure 3A). Figure 3B demonstrates that CB and MPB CD34+ cells express similar levels of surface CD44 (mean fluorescence intensity = 113 arbitrary units). We also found that treatment with anti-CD44 mAb for 30 minutes as well as for 2 hours has no effect on membranal CXCR4 expression in these cells (data not shown), indicating that the decrease in human HPC motility due to anti-CD44 treatment is not mediated via down-regulation of surface CXCR4.
Interference with CD44 reduces SDF-1–induced migration of human HPCs. Enriched MPB and CB CD34+ cells were either untreated (ctrl) or preincubated with antihuman CD44 mAbs (clones BU52 and F10-44-2, as indicated) or mouse isotype control. SDF-1 was added to the lower well in RPMI. Cells were allowed to migrate for 4 hours at 37°C. The average of migration index (percentage of control) in triplicate transwells from at least 3 independent experiments ± SD (*P < .05) is shown (A). Enriched CB and MPB CD34+ cell surface expression of CD44 was analyzed by flow cytometry (B) using mouse antihuman CD44 mAb followed by secondary PE-conjugated donkey antimouse Ab labeling (open area). Cells stained with the secondary antibody alone (gray area) served as control.
Interference with CD44 reduces SDF-1–induced migration of human HPCs. Enriched MPB and CB CD34+ cells were either untreated (ctrl) or preincubated with antihuman CD44 mAbs (clones BU52 and F10-44-2, as indicated) or mouse isotype control. SDF-1 was added to the lower well in RPMI. Cells were allowed to migrate for 4 hours at 37°C. The average of migration index (percentage of control) in triplicate transwells from at least 3 independent experiments ± SD (*P < .05) is shown (A). Enriched CB and MPB CD34+ cell surface expression of CD44 was analyzed by flow cytometry (B) using mouse antihuman CD44 mAb followed by secondary PE-conjugated donkey antimouse Ab labeling (open area). Cells stained with the secondary antibody alone (gray area) served as control.
SDF-1 rapidly induces the adhesion of human HPCs to HA
We further examined the effect of SDF-1 on the adhesion of human HPCs to immobilized HA under both static and shear flow conditions and compared it with other cytokines. Purified CB CD34+ cells treated either with SDF-1, MIP-1α, SCF, TNF-α, or left untreated were allowed to bind for 2 hours to immobilized HA in stasis. Stimulation of CB CD34+ cells with all these cytokines was found to augment their adhesion to HA. However, SDF-1 was the most potent stimulator of this adhesion (Figure 4A). We then compared the effects of SDF-1 and TNF-α on the kinetics of CD34+ cell adhesion to HA. We found that within 15 minutes SDF-1 induced the adhesion of most CD34+ cells, whereas TNF-α achieved the maximal adhesion effect only after 1 hour (Figure 4B). The adhesion properties of CB CD34+ cells under shear flow conditions were also determined. At short static contacts, significant proadhesive effect was observed for SDF-1 as early as 3 minutes of incubation. Following the generation of incremented shear flow, a large proportion of CD34+ cells adhered to HA coimmobilized with SDF-1 resisted the detaching forces (Figure 4C). We have confirmed that the adhesion to HA is indeed CD44 mediated, because pretreatment with BU52 decreased 2-fold the SDF-1–induced adhesion of the progenitors (Figure 4D). We also verified that CD34+ cells adhering to HA preserve the capability of high-level multilineage engraftment of NOD/SCID mice (data not shown). We therefore conclude that SDF-1 enhances the adhesion of human SCID repopulating stem cells to HA.
SDF-1 rapidly induces the adhesion of HPCs to HA under both prolonged static conditions and under short contacts in the presence of shear flow conditions. Enriched CB CD34+ cells, labeled with 51Cr for 1 hour at 37°C, were plated onto HA-coated flat-bottomed microplates and exposed to SDF-1, TNF-α, MIP-1α, or SCF. After the indicated times, the unbound cells were removed by gentle washing and the remaining cells were lysed. The released radioactivity values are represented as means ± SDs of triplicate wells calculated after 2 hours of adhesion (A). The kinetics of adhesion is shown (B). CB-derived CD34+ cells were allowed to bind for 3 minutes to HA (ctrl) or to HA coimmobilized with SDF-1 (SDF-1), assembled in a parallel-plate flow chamber. Flow was then initiated and increased in 2- to 2.5-fold increments every 5 seconds. The number of adherent cells resisting detachment was determined after each interval by analyses of multiple fields in videotaped cell images. A representative analysis of 3 independent experiments is shown (C). Enriched CB CD34+ cells either untreated (ctrl) or preincubated with anti-CD44 mAb (clone BU52) were allowed to adhere to HA for 1 hour in the presence of SDF-1, and the efficiency of adhesion was assayed (D).
SDF-1 rapidly induces the adhesion of HPCs to HA under both prolonged static conditions and under short contacts in the presence of shear flow conditions. Enriched CB CD34+ cells, labeled with 51Cr for 1 hour at 37°C, were plated onto HA-coated flat-bottomed microplates and exposed to SDF-1, TNF-α, MIP-1α, or SCF. After the indicated times, the unbound cells were removed by gentle washing and the remaining cells were lysed. The released radioactivity values are represented as means ± SDs of triplicate wells calculated after 2 hours of adhesion (A). The kinetics of adhesion is shown (B). CB-derived CD34+ cells were allowed to bind for 3 minutes to HA (ctrl) or to HA coimmobilized with SDF-1 (SDF-1), assembled in a parallel-plate flow chamber. Flow was then initiated and increased in 2- to 2.5-fold increments every 5 seconds. The number of adherent cells resisting detachment was determined after each interval by analyses of multiple fields in videotaped cell images. A representative analysis of 3 independent experiments is shown (C). Enriched CB CD34+ cells either untreated (ctrl) or preincubated with anti-CD44 mAb (clone BU52) were allowed to adhere to HA for 1 hour in the presence of SDF-1, and the efficiency of adhesion was assayed (D).
CD44 is located to the edge of SDF-1–induced protrusions in HA-adhered HPCs
To further study the role of CD44 in SDF-1–induced HPC adhesion and motility, we performed immunocytochemical analyses of CD44 subcellular localization on HPCs adhering to HA in the presence or absence of a uniform SDF-1 concentration. In the absence of SDF-1, most of the cells were rounded and CD44 labeling was distributed over their surface (Figure 5, upper row). Noteworthy, some of the cells displayed polarized morphology with a basal level of short filamentous structures that were densely labeled with anti-CD44 mAb (Figure 5, insert a). In contrast, most of SDF-1-treated cells acquired morphologic changes manifested by spreading, cellular elongation, and multiple protrusions (Figure 5, third row). Analyses of the merged images clearly demonstrated that these SDF-1–induced protrusions contained actin filaments, where CD44 was preferentially located to their edges (Figure 5, arrow in insert b). Interestingly, these morphologic alterations were not observed when the cells exposed to SDF-1 were first treated with either of anti-CD44 mAbs (Figure 5, lower row), indicating that CD44 might regulate SDF-1–induced adhesion and motility of HPCs.
CD44 is localized to the edge of SDF-1–induced cell protrusions in HPCs adhered to HA. Enriched CB CD34+ cells were plated on HA-coated coverslips, either untreated (top and second rows) or exposed to a uniform SDF-1 concentration of 200 ng/mL (third and bottom rows) following incubation with or without anti-CD44 (αCD44) mAb (- and +, respectively). After washing, the adherent cells were fixed, permeabilized, and indirectly labeled with antihuman CD44 mAb (red) and FITC-phalloidin (green) to detect polymerized actin. Bar = 10 μm. Insert “a” demonstrates a merged image (reduced 3-fold) of a polarized untreated cell with basal level of short filamentous structures, which are densely labeled by anti-CD44 mAb. Insert “b” shows the 2-fold enlarged region indicated by an asterisk. The arrow is pointing to the intense staining of CD44 at the edge of an SDF-1–induced protrusion.
CD44 is localized to the edge of SDF-1–induced cell protrusions in HPCs adhered to HA. Enriched CB CD34+ cells were plated on HA-coated coverslips, either untreated (top and second rows) or exposed to a uniform SDF-1 concentration of 200 ng/mL (third and bottom rows) following incubation with or without anti-CD44 (αCD44) mAb (- and +, respectively). After washing, the adherent cells were fixed, permeabilized, and indirectly labeled with antihuman CD44 mAb (red) and FITC-phalloidin (green) to detect polymerized actin. Bar = 10 μm. Insert “a” demonstrates a merged image (reduced 3-fold) of a polarized untreated cell with basal level of short filamentous structures, which are densely labeled by anti-CD44 mAb. Insert “b” shows the 2-fold enlarged region indicated by an asterisk. The arrow is pointing to the intense staining of CD44 at the edge of an SDF-1–induced protrusion.
CD44 localization to the leading edge accompanies SDF-1–induced polarization in HPCs migrating toward the chemokine gradient
To further examine the involvement of CD44 in early stages of SDF-1–induced polarization and motility, we performed time-lapse videomicroscopy of enriched human CB CD34+ cells migrating on HA substrate toward a gradient of SDF-1. As depicted in Figure 6A and supplemental video 1 (available on the Blood website, see the Supplemental Video link at the top of the online article), the nonstimulated HPCs have only limited numbers of pseudopodia and move randomly. HPCs, migrating toward the SDF-1 gradient, become progressively more polarized (Figure 6B) and display multiple CD44-positive protrusions at their leading edge (Figure 6E-F and supplemental video 2). Interestingly, pretreatment of cells with anti-CD44 mAb disturbed cell polarization (Figure 6C) and resulted in impaired CD34+ cell movement, as described above (Figure 3). To determine the changes in spatial localization of CD44 on the surface of progenitors exposed to SDF-1 source, the cells were colabeled with anti-CD44 and anti-CXCR4 Abs. As depicted in Figure 6D-F, CD44 was found to mostly colocalize with CXCR4 in the cell body and uropod; however, fine CD44-positive protrusions, apparently devoid of CXCR4, appeared within 5 minutes of stimulation along with the initial cell polarization (Figure 6E). With the time of stimulation, as cell acquired definite polarized morphology, CD44 was concentrated at the long pseudopodia, generated at the leading edge of the progenitors moving toward SDF-1 (Figure 6F).
CD44 is localized to the leading edge of polarized human HPCs migrating toward SDF-1. CB-derived CD34+ cells were plated on HA coverslips and allowed to adhere for 30 minutes. Cell movement was recorded as described in “Materials and methods.” The position of SDF-1 source is indicated by arrowheads. (A-C) Phase contrast microscopy of untreated cells (A), cells stimulated with polarized source of SDF-1 (B), and cells treated with anti-CD44 mAb F10-44-2 and stimulated with polarized source of SDF-1 (C). (D-F) Cells treated as above were fixed 5 and 30 minutes after exposure to polarized source of SDF-1 and indirectly immunolabeled with antihuman CD44 mAb (red) and anti-CXCR4 mAb (green). Projected images of consecutive optical sections through the cell volume are shown. An arrow is pointing to the fine CD44-positive protrusions at the direction of SDF-1. Panels Eii and Fii are images obtained from a single optical plane close to the HA-coated surface of cells depicted in panels Ei and Fi, respectively, showing preferential CD44 (red) localization to the leading edge (original magnification, × 160 for panels Eii and Fii). In panel Fii, only part of the membrane located at the cell front is labeled by anti-CD44. Bars = 5 μm.
CD44 is localized to the leading edge of polarized human HPCs migrating toward SDF-1. CB-derived CD34+ cells were plated on HA coverslips and allowed to adhere for 30 minutes. Cell movement was recorded as described in “Materials and methods.” The position of SDF-1 source is indicated by arrowheads. (A-C) Phase contrast microscopy of untreated cells (A), cells stimulated with polarized source of SDF-1 (B), and cells treated with anti-CD44 mAb F10-44-2 and stimulated with polarized source of SDF-1 (C). (D-F) Cells treated as above were fixed 5 and 30 minutes after exposure to polarized source of SDF-1 and indirectly immunolabeled with antihuman CD44 mAb (red) and anti-CXCR4 mAb (green). Projected images of consecutive optical sections through the cell volume are shown. An arrow is pointing to the fine CD44-positive protrusions at the direction of SDF-1. Panels Eii and Fii are images obtained from a single optical plane close to the HA-coated surface of cells depicted in panels Ei and Fi, respectively, showing preferential CD44 (red) localization to the leading edge (original magnification, × 160 for panels Eii and Fii). In panel Fii, only part of the membrane located at the cell front is labeled by anti-CD44. Bars = 5 μm.
Taken together, our findings demonstrate that, upon stimulation with a polarized source of SDF-1, CD44 is densely located at the leading edge of migrating HPCs and suggest that CD44 is essential for the HPC movement and interaction with the HA component of the BM ECM.
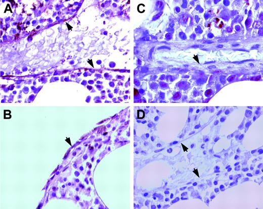
HA is expressed in the endosteum and the marrow sinusoidal but not arteriolar endothelium
We next examined the distribution of the HA in the BM microenvironment to study where CD44-mediated interactions might take place. We performed immunohistologic examination of human normal BM biopsies using the biotinylated hyaluronic acid binding protein (bHABP). Interestingly, along with the staining of the stromal ECM, HA was detected in the endothelium lining of the sinusoids (Figure 7A) that are suggested to be the sites of HPC entrance to the BM,44 as well as in the SDF-1–rich45 endosteum (Figure 7B), a region that is highly populated by the more primitive HSCs.46,47 However, HA staining was not observed on the arteriolar endothelium (Figure 7C). The specificity of HA staining was verified by the absence of HA labeling in the BM sections pretreated with hyaluronidase (Figure 7D).
HA is detected in the endosteum and the marrow sinusoidal but not arteriolar endothelium. Staining of normal human BM sections was performed using the biotinylated HA binding protein (bHABP) and avidin-biotin horseradish peroxidase counterstained with Mayer hematoxylin. Arrows indicate the sinusoidal endothelium (A), the endosteal cells (B), and the arteriolar endothelium (C). Preincubation with hyaluronidase prevented HA labeling of sinusoidal endothelium by bHABP (D). Original magnification, × 1500 (A,C-D); and × 1000 (B).
HA is detected in the endosteum and the marrow sinusoidal but not arteriolar endothelium. Staining of normal human BM sections was performed using the biotinylated HA binding protein (bHABP) and avidin-biotin horseradish peroxidase counterstained with Mayer hematoxylin. Arrows indicate the sinusoidal endothelium (A), the endosteal cells (B), and the arteriolar endothelium (C). Preincubation with hyaluronidase prevented HA labeling of sinusoidal endothelium by bHABP (D). Original magnification, × 1500 (A,C-D); and × 1000 (B).
Discussion
Homing of HPCs into their niches requires tightly regulated interactions between the progenitors and the microenvironment that provides an appropriate milieu for their final anchorage. In the present study, we demonstrate that cell surface CD44 is essential for homing to the BM and spleen of NOD/SCID mice and engraftment by human HPCs, because a function-blocking antihuman CD44 mAb, BU52, that inhibits cell adhesion to HA completely abrogates these processes. Importantly, we have also shown for the first time that CD44 affects human HPC trafficking to the BM by interactions with HA. This is implicated from the experiments where masking of the cell surface receptor with soluble HA as well as intravenous injection of hyaluronidase, which has the potential to degrade the endogenous HA of the recipient mice, impaired HPC homing. Surprisingly, we found that additional antihuman CD44 mAb F10-44-2, which does not block adhesion, has a similar effect on progenitor cell homing and engraftment, implying that anti-CD44 Abs affect the receptor function in these processes.
In line with our findings, 2 additional studies using anti-CD44 antibodies have demonstrated that cell surface CD44 is involved in the homing of transplanted murine HPCs to the hematopoietic compartments.20,21 In contrary to these data, a study with CD44 knock-out mice showed no impairment in HPC homing,22 although a defect in myeloid progenitor cell egress from the BM was demonstrated.23 CD44 function is a multifunctional receptor that affects cell behavior in multiple ways depending on the environmental context.18 Blocking of CD44 by specific Ab, HA, and hyaluronidase may interfere with in vivo migration and adhesion signals such as SDF-1. In contrast, complete eradication of all the CD44 isoforms, as in the case of a CD44 knock-out murine model, prevents the possibility to study the biology of CD44 signaling in adhesion and migration, because both negative and positive effects of CD44 activation are eliminated. In addition, the absence of the homing defect in a CD44 knock-out model could be explained by the compensatory effect of other HA receptors. The importance of cell surface CD44 and its ligand, HA, for cell motility was also shown in other biologic processes, such as inflammation or tumor metastasis. For instance, it was demonstrated that the migration of activated murine T cells into staphylococcal enterotoxin B–induced inflamed sites was dependent on CD44 and HA.38 Lymphocytes capable of mounting CD44-HA–dependent rolling interactions were found within inflamed tonsils and in peripheral blood of pediatric patients with rheumatologic disorders.48 Similarly, CD44 and HA were shown to be functionally associated with autoimmune insulitis induced by mononuclear cells infiltrating the pancreatic islets of NOD mice.49 It has also been reported that injection of anti-CD44 mAbs or the enzyme hyaluronidase inhibited lymph node infiltration by mouse lymphoma cells, suggesting that CD44-HA interactions facilitate tumor invasiveness.50
HA is an important component of the BM ECM and accounts for 40% of glycosaminoglycans produced by cultures of BM-derived stromal cells.32 Our immunohistochemical analysis of normal human BM samples revealed that, in addition to the well-known localization in the BM stroma,31,32 HA is also expressed by the endothelium of the sinusoids, which are known to be the sites where HSCs/HPCs extravasate from the bloodstream into the BM ECM.44 On the other hand, HA staining was absent in the endothelium of the larger arteriolar vessels. Interestingly, HA was also highly expressed in the endosteum, a region adjacent to the bone, which is populated by the more primitive progenitors.46,47 Accordingly, various endothelial cell lines and cultured primary endothelial cells, derived from microvasculature but not from large vessels, were found to express HA following stimulation with proinflamatory cytokines.51 Based on these data we propose that, upon HPC homing, CD44 interacts with HA expressed on the BM sinusoids as one of the early and crucial events in extravasation of human HPCs to the BM.
SDF-1, the most powerful chemoattractant of HPCs, is produced at high levels and secreted by immature murine and human osteoblasts, which reside predominantly in the endosteal region.15,45 It is also constitutively expressed by the BM endothelium.8,45 In the present work we demonstrate that SDF-1 is a potent and, in comparison to TNF-α, rapid stimulator of human HPC adhesion to HA both in prolonged static and shear flow conditions. Previous studies have demonstrated that the SDF-1/CXCR4 axis is essential for human HSC/HPC homing13 and engraftment.14 This chemokine activates the major integrins expressed by human HPCs, regulating the interactions with their corresponding ligands presented by the endothelial, ECM, and stromal elements of the BM, enabling the extravasation to the BM.3 In addition to the established role of SDF-1 in integrin activation, our data suggest that upon arrest on endothlelial surfaces and following several minutes of contact, SDF-1, expressed by the BM endothelium, facilitates the HSC/HPC tranendothelial migration by modulation of cell adhesion via increasing the avidity of membranal CD44 to HA in the BM sinusoidal endothelium. Furthermore, high levels of HA and SDF-1 in the endosteum might explain the selective localization of HSCs to this region, where SDF-1 can support the retention of the cells in their niches by triggering cell anchorage to matrix HA as well as by signaling through SDF-1–CXCR4 interactions. Interestingly, Nilsson et al showed that HA expression by the most primitive human and murine HSCs is associated with their selective migration to the endosteal region.35 These data and the current study emphasize the essential role of both matrix and cell surface HA in the adhesion and migration properties of HSCs/HPCs.
Cells responding to a chemotactic stimulus display morphologic changes and cell surface receptor redistribution due to the cytoskeleton rearrangement.52 Using immunocytochemical analysis we found that upon stimulation with a uniform SDF-1 concentration, cell surface CD44 concentrated at the very edge of actin contained protrusions of HPCs adhering to HA. Some of the unstimulated cells also displayed a small number of short filamentous structures, which were densely labeled with anti-CD44 Ab. These might be formed due to either CD44 occupation by its ligand (HA), or autocrine secretion of SDF-1, or additional signals. The localization of cell surface CD44 to the tips of SDF-1–induced protrusions might underlie a mechanism by which SDF-1 induces the adhesion of cells to HA and requires further investigation. Importantly, these SDF-1–induced morphologic changes were prevented when the cells were treated with either of the above-described anti-CD44 mAbs before the exposure to SDF-1, implying crosstalks between CD44 and SDF-1/CXCR4 induced actin cytoskeleton rearrangement. Accordingly, pretreatment with these anti-CD44 mAbs also significantly decreased SDF-1–induced in vitro migration of human CD34+ cells. These findings imply that CD44 transduces signals involved in the regulation of cell chemotactic response, which could be blocked by anti-CD44 Abs. Indeed, our unpublished observations (A.A. and P.G., December 2003) indicate that the level of phospho-ezrin/radixin/moesin, the downstream binding partner of CD44,53 is reduced by treatment with both anti-CD44 mAbs.
To further study the involvement of CD44 in the regulation of SDF-1–induced chemotaxis, we examined the spatial localization of cell surface CD44 during directional migration of HPCs on HA. In response to a gradient of SDF-1, CD34+ cells adhered to HA and progressively acquired more spread and polarized morphology with highly motile multiple pseudopodia at their leading edge. Time-lapse immunocytochemical analyses revealed that from early time points of stimulation, CD44 was accumulated at the fine protrusions and, subsequently, at the filopodia-like structures originated in the direction of movement. Similar pattern of CD44 localization was also observed in motile fibroblasts obtained from the lungs of patients with severe acute injury42 and in some tumor cells.54 These findings suggest that CD44 has a pivotal role both in the adhesion of the HPCs to the HA component of BM ECM and regulation of SDF-1–induced cell polarization and motility along the ECM. The molecular mechanism by which CD44 localization to the leading edge regulates SDF-1–induced migration of HPCs still needs to be explored. Previous reports on different cancer cell lines have demonstrated that, during tumor cell movement, cell surface CD44 undergoes shedding55 or, alternatively, is cleaved by serine proteases56 or matrix metalloproteinases (MMPs)56-58 in an autocrine manner, thus enabling cell detachment from the substrate. Other studies showed that CD44 colocalizes with MMP-9 on the surface of several tumor cell lines, orienting the MMPs to exert their enzymatic activity against matrix components.59,60 Because MMP-9 secretion from HPCs is also up-regulated by SDF-1 stimulation,61,62 this protease (or others) might be among the SDF-1–induced factors that regulate CD44 and thus promote HPC directional motility.
In conclusion, this report highlights the essential roles of cell surface CD44 and its major ligand, HA, in the in vivo trafficking of human HPCs. We demonstrate for the first time that SDF-1 induces the adhesion of HPCs to HA, which is expressed on the BM endothelium and endosteum and causes CD44 distribution to the leading edge of the migrating HPCs. The close proximity of HA and SDF-1 at the BM endothelium and endosteal cells further facilitates the transendothelial migration and the anchorage of HPCs to their BM microenvironmental niches. Additional studies are on the way to define the molecular links between SDF-1– and CD44-activated pathways.
Prepublished online as Blood First Edition Paper, January 15, 2004; DOI 10.1182/blood-2003-10-3611.
Supported in part by The Goldberg Family Trust Postdoctoral Fellowship in Biomedical Research (A.A.) and by grants from Ares Serono Group, Israel Science Foundation, Minerva Foundation, and The Gabriela Rich Center for Transplantation Biology.
The online version of the article contains a data supplement.
The publication costs of this article were defrayed in part by page charge payment. Therefore, and solely to indicate this fact, this article is hereby marked “advertisement” in accordance with 18 U.S.C. section 1734.
We thank Amiela Globerson and Benjamin Geiger for helpful discussions, Loya Abel for her expert assistance in experiments, and Schiby Ginette and Rina Sareli for generous assistance with donor samples.






