Abstract
The β-thalassemias are caused by more than 200 mutations that reduce or abolish β-globin production. The severity of the resulting anemia can lead to lifelong transfusion dependency. A genetic treatment based on globin gene transfer would require that transgene expression be erythroid specific, elevated, and sustained over time. We report here that long-term synthesis of chimeric hemoglobin (muα2:huβ) could be achieved in mice with β-thalassemia intermedia following engraftment with bone marrow cells transduced with a lentiviral vector encoding the humanβ-globin gene. In the absence of any posttransduction selection, the treated chimeras exhibit durably increased hemoglobin levels without diminution over 40 weeks. Ineffective erythropoiesis and extramedullary hematopoiesis (EMH) regress, as reflected by normalization of spleen size, architecture, hematopoietic colony formation, and disappearance of liver EMH. These findings establish that a sustained increase of 3 to 4 g/dL hemoglobin is sufficient to correct ineffective erythropoiesis. Hepatic iron accumulation is markedly decreased in 1-year-old chimeras, indicating persistent protection from secondary organ damage. These results demonstrate for the first time that viral-mediated globin gene transfer in hematopoietic stem cells effectively treats a severe hemoglobin disorder.
Introduction
The β-thalassemias are inherited anemias caused by mutations that reduce or abolish production of the β-globin chain of hemoglobin.1-3 Caused by more than 200 mutations affecting the human β-globin gene, they are most prevalent in the Mediterranean region, the Middle East, the Indian subcontinent, and South East Asia, representing a serious health problem in certain areas where gene frequencies reach 3% to 10% of the population. The severity of β-thalassemia is directly linked to the degree of imbalance in the production of α- and β-globin chains.1-3 The excess α-globin chains that are not incorporated into adult hemoglobin (α2:β) precipitate in red blood cell (RBC) precursors, impairing erythroid maturation and causing mechanical damage, oxidative membrane destruction, and eventually apoptosis. However, the β-thalassemic phenotype is heterogeneous, depending on the genotype as well as the degree of γ-globin chain expression.4 In the most severe form found in homozygotes and compound heterozygotes, β-thalassemia major, massive medullary cell proliferation and expansion lead to severe skeletal deformities, while extramedullary hematopoiesis (EMH)1 develops in spleen and liver. Erythropoiesis is nonetheless ineffective and the profound anemia requires regular lifelong blood transfusions; without treatment, the condition is lethal within the first years of life.5
However, transfusion therapy leads to iron overload, which is itself lethal if untreated.6 At present, the only means to definitively cure the disease is through hematopoietic stem cell (HSC) replacement.7 8 But allogeneic bone marrow transplantation (BMT) is not an option for a majority of patients for whom a histocompatible donor cannot be identified. Thus, a genetic treatment targeting autologous HSCs could in principle eliminate at once the risks of immunologic complications associated with allogeneic BMT and the failure to identify a matched donor by using the patient's own stem cells.
The stable introduction of a functional globin gene in HSCs poses considerable challenges in terms of both gene transfer and regulation of transgene expression.9-11 In addition to issues pertaining to HSC transduction per se,11-13 the need to provide erythroid-specific, differentiation stage–specific, and elevated human [beta]-globin gene expression places stringent requirements on this approach. Transgene expression would have to be not only elevated but also persistent over time, without succumbing to transcriptional inactivation.10 14
The incorporation into a viral vector of the entire humanβ-globin gene along with its own promoter and 2 enhancers does not yield therapeutic gene expression. Such vectors permit tissue-specific expression of the β-globin gene in bone marrow chimeras, but expression is low (< 1% of endogenous β-globin expression) and variable.15-17 Studies in transgenic mice demonstrated that inclusion of distal genetic elements, referred to as the locus control region (LCR), are needed to achieve high-level expression.18 However, incorporation of small elements derived from the LCR into vectors harboring a minimalβ-globin gene did not suffice to achieve sustained expression over time.9,14,19 Using a lentiviral vector termed TNS9,19 we recently succeeded in stably transmitting a vector harboring a large β-globin gene fragment, including the promoter from position −618 and the intragenic and 3′ enhancers,20 which we combined with specific segments spanning the HS2, HS3, and HS4 regions of the human β-globin LCR.21,22 Following integration in mouse HSCs, human β-globin expression, normalized per vector copy, reached about 16% of endogenous hemizygous levels.19 To investigate hematologic correction and prevention of secondary organ damage, we turned to Hbbth3/+ mice,23 the most severe viable model of disease.24 In TNS9-treated mice, we show here long-term amelioration of anemia and normalization of hematopoiesis. In 1-year-old chimeras, EMH is averted and iron overload markedly reduced, especially in the liver. These results demonstrate that viral-mediated globin gene transfer without stem cell selection effectively treats the hallmarks of disease.
Methods
Vector construction and production
The lentiviral vectors TNS9 and pHR′eGFP have been previously described.19 Briefly, TNS9 was constructed by subcloning the human β-globin gene (from position −618 to +2484, thus encompassing the 3′ enhancer20) into the pHR′ vector.25 The β-globin gene is partially deleted within intron 2 as described for Mβ6L.26 The 3.2-kb LCR assembled into TNS9 consists of a 840-base pair (bp) HS2 fragment (SnaBI-BstXI), a1308-bp HS3 fragment (HindIII-BamHI), and a 1069-bp HS4 fragment (BamHI-BanII). Viral stocks were generated by triple transfection of TNS9 or pHR′eGFP, pCMVΔR8.927, and pMD.G25 into 293T cells. The 293T cells (5 × 106) were seeded in 10-cm diameter cell culture dishes 24 hours before transfection in Dulbecco modified Eagle medium (DMEM; Mediatech, Herndon, VA) with 10% fetal bovine serum, 100 U/mL penicillin, and 100 μg/mL streptomycin (Gibco BRL, Rockville, MD), in a 5% CO2 incubator, and the culture medium was changed 2 hours prior to transfection. A total of 20 μg DNA was used for transfection of one dish: 3.5 μg of the envelope plasmid pMD.G, 6.5 μg of the packaging plasmid pCMVΔR8.9, and 10 μg of the transfer vector plasmid. The precipitate was formed by adding the plasmids to a final volume of 437.5 μL 0.1 times TE (0.1 times TE is 10 mM Tris [pH 8.0] plus 1 mM EDTA) and 62.5 mL 2 M CaCl2, mixing well, then adding dropwise 500 μL of 2 times HEPES-buffered saline (281 mM NaCl, 100 mM HEPES, 1.5 mM Na2HPO4 [pH 7.12]) while vortexing and immediately adding the precipitate to the cultures. The medium (10 mL) was replaced after 14 to 16 hours; the viral supernatant was collected after another 24 hours, replaced, and again collected after 24 hours, cleared by low-speed centrifugation, and filtered through 0.45-μm pore size cellulose acetate filters. Viral concentration was performed by ultracentrifugation in a swing-bucket rotor at 25 000 rpm at 4°C for 90 minutes in 25 × 89-mm thick-walled polycarbonate tubes (Beckman Instruments, Palo Alto, CA). Viral pellets were resuspended overnight in X-VIVO-15 serum-free medium (Gibco BRL) at 4°C.
Bone marrow chimeras
Donor bone marrow was flushed from the femurs of 8- to 16-week-old male C57/BL6 or Hbbth3/+ mice23obtained from Jackson Laboratories (Bar Harbor, ME) that had been injected intravenously (IV) 6 days earlier with 5-flurouracil (5-FU) 150 mg/kg body weight obtained from Pharmacia (Piscataway, NJ). Bone marrow cells were resuspended in X-VIVO-15 serum-free medium and supplemented with 10 ng/mL interleukin-1α (IL-1α), 100 U/mL IL-3, 150 U/mL IL-6, 10 ng/mL Kit ligand obtained from Genzyme (Cambridge, MA), 0.5 mM β-mercaptoethanol obtained from Sigma (St Louis, MO), 200 mM l-glutamine, 100 IU/mL penicillin, and 100 μg/mL streptomycin. Bone marrow cells were then pelleted and resuspended in serum-free medium containing concentrated lentiviral supernatant and supplemented with 8 mg/mL polybrene (Sigma), 200 mMl-glutamine, 100 U/mL penicillin, 100 μg/mL streptomycin, and cytokines as above, and cultured for 8 hours. Transduced bone marrow cells (5 × 105) were then injected IV into each of the irradiated female recipients to establish bone marrow chimeras. Recipient mice (11- to14-week-old C57/BL6 or Hbbth3/+ mice) were irradiated with 10.5 Gy (split dose 2 × 5.25 Gy) on the day of transplantation.
Peripheral blood analyses
Red blood cell lysates from freshly collected peripheral blood were analyzed by cellulose acetate electrophoresis obtained from Helena Laboratories (Beaumont, TX). Hemoglobin bands were visualized by Ponceau S staining and quantitated by densitometry as previously decsribed.19 To measure the fraction of peripheral blood cells expressing human βA, smears of RBCs were fixed for 2 minutes in 3:1:1 acetone-methanol-ethanol, then soaked for 2 minutes in wash buffer (isotonic phosphate–buffered saline [PBS]). The smear was covered with 10% goat serum in PBS 1×, and incubated for 15 minutes at room temperature in a moisture chamber. After draining, the slide was covered with a solution of 1 μg R-phycoerythrin (PE)–conjugated antimouse TER-119 antibody (Pharmingen, Franklin Lakes, NJ) and 1.5 μg fluorescein isothiocyanate (FITC)–conjugated monoclonal antibody to human hemoglobin A (EG&G WALLAC, Turku, Finland) with 10% goat serum in PBS 1× for 30 minutes at room temperature in a moisture chamber. The slides were then washed with stirring for 10 minutes, drained, and mounted for examination. The slides were analyzed with an Olympus BX60 immunofluorescence microscope and the images acquired with a Sony DKC-5000 digital camera. A minimum of 300 blood cells per slide was scored.
Colony assays
Erythroid colony-forming units (CFU-Es) and erythroid burst-forming units (BFU-Es) were assayed by diluting murine spleen cells to 2.0 × 105 cells/35 × 10-mm dish in triplicate, in cytokine-supplemented methylcellulose (Epo 3 U/mL, Methocult GF M3334) obtained from Stem Cell Technologies (Vancouver, BC), according to the manufacturer's recommendations. Plates were incubated at 37°C and 5% CO2 in a humidified incubator and colonies were counted at days 2 (CFU-Es) and 4 (BFU-Es). Granulocyte-macrophage colony-forming units (CFUs-GM) were assayed by diluting murine bone marrow cells to 2.0 × 104cells/35 × 10-mm dish in triplicate in cytokine-supplemented (10 ng/mL murine recombinant [mr] IL-3, 10 ng/mL human recombinant [hr] IL-6, 50 ng/mL murine recombinant stem cell factor [mrSCF]) methylcellulose (Methocult GF M3534) obtained from Stem Cell Technologies, incubated according to manufacturer's recommendations for 12 days, and counted.
Tissue pathology
Bone marrow chimeras were killed 40 weeks after BMT, at the age of 48 to 56 weeks. The tissues were fixed in 10% formalin, routinely processed, and embedded in paraffin. Tissue sections 4 μm thick were stained with hematoxylin and eosin and examined under light microscopy. Slides of control and treated mice were assessed in a blind manner. The sections of the spleen were evaluated for the amount of red and white pulp based on percentage of cross-sectional area of the tissue section. In the spleen the amount of EMH was visually estimated based on the percentage of nucleated erythroid precursor cells and mature erythroid cells seen. In the liver, the amount of EMH was evaluated semiquantitatively as marked, moderate, mild, or absent. In addition, 4-μm sections were stained for iron using Gomori iron stain (Poly Scientific, Bayshore, NY). The amount of iron deposition in the spleen, liver, and kidney tissues was characterized semiquantitatively on a scale of 0 (no iron present) to 4+ (maximum amount of iron identified in a given organ).
Statistical analysis
We used the permutation rank sum statistic to determine whether hematologic parameters differed between treated and mock-treated groups. A low P value is evidence that the 2 proportions are different.
Results
Persistent production of chimeric hemoglobin in thalassemic mice
To investigate long-term expression of the transduced humanβ-globin gene and its therapeutic efficacy, we generated bone marrow chimeras engrafted with TNS9-transduced Hbbth3/+ bone marrow cells (n = 5) and studied them over a 40-week period. Age-matched chimeras engrafted with eGFP-transduced Hbbth3/+ (n = 5) and Hbb+/+ (n = 5) bone marrow cells served as controls. Vector copy number was monitored in peripheral blood by quantitative Southern blot analysis, and found to remain stable, between 0.5 and 1.0 copy/cell on average (data not shown). Protein expression was assessed by quantitative hemoglobin analysis, to measure the proportion of hemoglobin tetramers that incorporate human βA (Hbbhu, mu α2:huβ) or murine β-globin (Hbbmu, muα2:muβ2), and immunofluorescence, to determine the fraction of mature RBCs that contain human βA protein. Transgenic mice bearing one copy of a 230-kb yeast artificial chromosome encompassing the entire human β-globin–like gene cluster28 served as reference, showing 14% of their total hemoglobin incorporating human βA and 100% βA+ RBCs.19 28Hbbhu accounted for 19% to 22% of the total hemoglobin in TNS9 chimeras. These levels remained stable up to 40 weeks after transplantation (Figure 1A,B). Over this same time period, the proportion of mature peripheral RBCs expressing human βA also remained elevated and stable (about 70%-80%), as shown by dual staining of human βA and TER-119 (Figure 1A,C).
Sustained production of human β-globin protein (βA) in the peripheral blood of TNS9-transduced bone marrow chimeras.
(A) The percent of hemoglobin tetramers that incorporate βA, termed Hbbhu (filled squares), and the percent of peripheral RBCs that stain positive for βAchain (filled circles) remained stable up to 40 weeks after BMT. (B) Cellulose acetate gel electrophoresis shows Hbbhu levels in 3 TNS9-transduced bone marrow chimeras (TNS9) 40 weeks after transplantation. Control lanes contain normal C57BL/6 (B6) and transgenic mouse line A85.68 (Tg28) blood samples. The fraction of Hbbhu relative to total hemoglobin (Hbbhu/Hbbhu + Hbbmu) is indicated below each sample. (C) Peripheral blood erythrocytes from TNS9-transduced bone marrow chimeras were stained for TER-119 (red) and βA (green, becoming yellow when superimposed on the red signal), then analyzed under an immunofluorescence microscope. Upper left panel shows normal C57BL/6 RBCs; upper right panel shows 50:50 mix of RBCs from normal C57BL/6 and A85.68 mice; lower panel is a representative blood sample from a TNS9-treated bone marrow chimera analyzed 40 weeks after transplantation. Original magnification × 40.
Sustained production of human β-globin protein (βA) in the peripheral blood of TNS9-transduced bone marrow chimeras.
(A) The percent of hemoglobin tetramers that incorporate βA, termed Hbbhu (filled squares), and the percent of peripheral RBCs that stain positive for βAchain (filled circles) remained stable up to 40 weeks after BMT. (B) Cellulose acetate gel electrophoresis shows Hbbhu levels in 3 TNS9-transduced bone marrow chimeras (TNS9) 40 weeks after transplantation. Control lanes contain normal C57BL/6 (B6) and transgenic mouse line A85.68 (Tg28) blood samples. The fraction of Hbbhu relative to total hemoglobin (Hbbhu/Hbbhu + Hbbmu) is indicated below each sample. (C) Peripheral blood erythrocytes from TNS9-transduced bone marrow chimeras were stained for TER-119 (red) and βA (green, becoming yellow when superimposed on the red signal), then analyzed under an immunofluorescence microscope. Upper left panel shows normal C57BL/6 RBCs; upper right panel shows 50:50 mix of RBCs from normal C57BL/6 and A85.68 mice; lower panel is a representative blood sample from a TNS9-treated bone marrow chimera analyzed 40 weeks after transplantation. Original magnification × 40.
Long-term amelioration of anemia
The stability of TNS9-encoded βA expression detected in peripheral blood suggested that long-term hematologic and systemic therapeutic benefits could be obtained. To investigate whether Hbbhu production would suffice to treat the anemia, we closely monitored hematologic parameters over 40 weeks. The marked increase in hemoglobin concentration, RBC counts, and hematocrit was sustained throughout this time period (Figure2A). Control mice that received transplants of eGFP-transduced Hbbth3/+ bone marrow cells remained severely anemic, indicating that the transplantation procedure itself did not alter the anemic state. The reticulocyte counts decreased to 5% to 8% in TNS9 treated-chimeras, compared to 19% to 21% in control eGFP-treated Hbbth3/+ chimeras and age-matched Hbbth3/+ mice, suggesting an increase in RBC life span and a decrease in erythropoietic activity (Figure2A).
Sustained amelioration of hematologic parameters in bone marrow chimeras reconstituted with TNS9-transduced Hbbth3/+bone marrow cells.
(A) Hemoglobin levels, hematocrit, RBC counts, and reticulocyte counts are shown at weeks 15, 30, and 40 after transplantation. All measured parameters show significant increases in recipients of TNS9-transduced Hbbth3/+ versus eGFP-transduced Hbbth3/+ bone marrow cells at week 40 after transplantation (P = .03 for each parameter). (B) Colony-forming assays were performed using spleen cells isolated from age-matched Hbb+/+ (black fill) and Hbbth3/+ mice (horizontal lines), along with cells from chimeras engrafted with eGFP-transduced Hbb+/+ (white fill), eGFP-transduced Hbbth3/+ (vertical lines), or TNS9-transuced Hbbth3/+ (gray fill) bone marrow cells. CFU-E, BFU-E, and CFU-GM colonies were analyzed 40 weeks after transplantation (TNS9-transduced Hbbth3/+ versus eGFP-transduced Hbbth3/+ CFU-E, BFU-E, and CFU-GM,P = .03).
Sustained amelioration of hematologic parameters in bone marrow chimeras reconstituted with TNS9-transduced Hbbth3/+bone marrow cells.
(A) Hemoglobin levels, hematocrit, RBC counts, and reticulocyte counts are shown at weeks 15, 30, and 40 after transplantation. All measured parameters show significant increases in recipients of TNS9-transduced Hbbth3/+ versus eGFP-transduced Hbbth3/+ bone marrow cells at week 40 after transplantation (P = .03 for each parameter). (B) Colony-forming assays were performed using spleen cells isolated from age-matched Hbb+/+ (black fill) and Hbbth3/+ mice (horizontal lines), along with cells from chimeras engrafted with eGFP-transduced Hbb+/+ (white fill), eGFP-transduced Hbbth3/+ (vertical lines), or TNS9-transuced Hbbth3/+ (gray fill) bone marrow cells. CFU-E, BFU-E, and CFU-GM colonies were analyzed 40 weeks after transplantation (TNS9-transduced Hbbth3/+ versus eGFP-transduced Hbbth3/+ CFU-E, BFU-E, and CFU-GM,P = .03).
Correction of EMH
To determine the impact of sustained human β-globingene expression on hematopoiesis, we studied the degree of splenomegaly (enlargement of the spleen) and EMH in 1-year-old chimeras and age-matched control mice. Spleen weights measured in TNS9-treated Hbbth3/+ chimeras were indistinguishable from recipients of eGFP-transduced normal bone marrow, as were the total number of cells per spleen (Table 1). In contrast, mice engrafted with eGFP-transduced Hbbth3/+ bone marrow cells showed spleen weights and total cell numbers that were about 3-fold greater. The correction of spleen weight in TNS9 bone marrow chimeras corresponded to a concomitant normalization in total hematopoietic progenitor cell content. Spleen CFU-Es, BFU-Es, and CFUs-GM were reduced to levels measured in recipients of eGFP-transduced Hbb+/+ bone marrow (Figure 2B), whereas they remained elevated in control chimeras engrafted with eGFP-transduced Hbbth3/+ bone marrow cells and in age-matched Hbbth3/+ mice, as previously observed in another murine model of β-thalassemia.29
Summary of morphologic findings
| Mouse . | Spleen red pulp . | Spleen total cell no.* . | Spleen weight (mg) . | Liver EMH . | Liver iron . |
|---|---|---|---|---|---|
| Hbb+/+ | Area 40%-50%; nRBCs ≤ 20% | 190 ± 21 | 113 ± 21 | None | 0 |
| Hbbth3/+ | Area 70%-90%; nRBCs 80%-90% | 509 ± 69 | 383 ± 33 | Marked† | 1 -3+ |
| Hbbth3/+-GFP | Area 70%-90%; nRBCs 80%-90% | 465 ± 99 | 343 ± 15 | Moderate | 1 -4+ |
| Hbbth3/+-TNS9 | Area 50%-60%; nRBCs 20%-70% | 204 ± 37 | 120 ± 27 | None | 0 -1+ |
| Mouse . | Spleen red pulp . | Spleen total cell no.* . | Spleen weight (mg) . | Liver EMH . | Liver iron . |
|---|---|---|---|---|---|
| Hbb+/+ | Area 40%-50%; nRBCs ≤ 20% | 190 ± 21 | 113 ± 21 | None | 0 |
| Hbbth3/+ | Area 70%-90%; nRBCs 80%-90% | 509 ± 69 | 383 ± 33 | Marked† | 1 -3+ |
| Hbbth3/+-GFP | Area 70%-90%; nRBCs 80%-90% | 465 ± 99 | 343 ± 15 | Moderate | 1 -4+ |
| Hbbth3/+-TNS9 | Area 50%-60%; nRBCs 20%-70% | 204 ± 37 | 120 ± 27 | None | 0 -1+ |
nRBCs indicates nucleated red blood cells.
Cell number × 106.
Two of 3 Hbbth3/+ mice showed EMH.
The regression of EMH was corroborated by morphologic examination of spleen and liver in long-term chimeras and age-matched controls. The histopathology of spleens of mice that received transplants of eGFP-transduced Hbbth3/+ marrow was virtually identical to that of spleens from control Hbbth3/+ mice. Specifically, the red pulp was significantly expanded, accounting for 80% to 90% of the cross-sectional area, and densely occupied by nucleated erythroid precursors (Figure 3A,B and Table 1). The white pulp, based on cross-sectional area, was relatively decreased and the marginal zones were obscured by the large number of nucleated RBCs, reflecting major expansion of the red pulp and erythroid precursors. In TNS9-treated chimeras, the amount of red pulp was considerably decreased, accounting for only about 50% to 60% of the cross-sectional area (Figure 3A). In addition, the number of nucleated erythroid precursors in the red pulp was decreased (Figure 3B and Table1). Other immature hematopoietic cells were present in the red pulp, but much less frequently than in the spleens of control Hbbth3/+ thalassemic mice (Figure 3B). The livers from TNS9-treated chimeras were similar to those of the normal control mice in that no EMH was detected (Figure 4A, lower right panel). In contrast, livers from mice engrafted with eGFP-transduced Hbbth3/+ bone marrow cells showed several small foci of intrasinusoidal EMH (Figure 4A, lower left panel).
Amelioration of splenic architecture and erythropoiesis in TNS9-treated chimeras.
(A) Upper left: spleens from the normal control mice showed distinct red and white pulp areas. Upper right: spleens from the Hbbth3/+ control mice showed marked expansion of the red pulp. Lower left: spleens from mice that received transplants of control eGFP-transduced Hbbth3/+ bone marrow showed marked expansion of the red pulp. Lower right: spleens of Hbbth3/+ mice that received transplants of Hbbth3/+ bone marrow treated with TNS9 showed less expansion of the red pulp and were morphologically intermediate between those of the normal and Hbbth3/+ control mice. Table 1presents a complete analysis. Chimeras and control mice were age-matched. Original magnification × 22. (B) Upper left: red pulp from the normal control mice contained only a small number of nucleated erythroid cells. Upper right: red pulp of Hbbth3/+ control mice was almost entirely composed of nucleated erythroid precursors packing the cords and compressing the sinuses. The latter contained anucleated cells, but in reduced proportions (here, about 10%-20% of the red pulp), along with a significant number of megakaryocytes and some myeloid precursors. Lower left: red pulp of mice that received transplants of control eGFP-transduced Hbbth3/+ bone marrow showed a similar amount of EMH as the Hbbth3/+ control mice. Lower right: the splenic red pulp of the Hbbth3/+mice that received transplants of TNS9-treated Hbbth3/+bone marrow contained significantly fewer nucleated erythrocytes (here, about 20% of the red pulp), indicating a decreased amount of EMH compared to both Hbbth3/+ control mice and mice that received transplants of eGFP-transduced Hbbth3/+ bone marrow. Original magnification × 132.
Amelioration of splenic architecture and erythropoiesis in TNS9-treated chimeras.
(A) Upper left: spleens from the normal control mice showed distinct red and white pulp areas. Upper right: spleens from the Hbbth3/+ control mice showed marked expansion of the red pulp. Lower left: spleens from mice that received transplants of control eGFP-transduced Hbbth3/+ bone marrow showed marked expansion of the red pulp. Lower right: spleens of Hbbth3/+ mice that received transplants of Hbbth3/+ bone marrow treated with TNS9 showed less expansion of the red pulp and were morphologically intermediate between those of the normal and Hbbth3/+ control mice. Table 1presents a complete analysis. Chimeras and control mice were age-matched. Original magnification × 22. (B) Upper left: red pulp from the normal control mice contained only a small number of nucleated erythroid cells. Upper right: red pulp of Hbbth3/+ control mice was almost entirely composed of nucleated erythroid precursors packing the cords and compressing the sinuses. The latter contained anucleated cells, but in reduced proportions (here, about 10%-20% of the red pulp), along with a significant number of megakaryocytes and some myeloid precursors. Lower left: red pulp of mice that received transplants of control eGFP-transduced Hbbth3/+ bone marrow showed a similar amount of EMH as the Hbbth3/+ control mice. Lower right: the splenic red pulp of the Hbbth3/+mice that received transplants of TNS9-treated Hbbth3/+bone marrow contained significantly fewer nucleated erythrocytes (here, about 20% of the red pulp), indicating a decreased amount of EMH compared to both Hbbth3/+ control mice and mice that received transplants of eGFP-transduced Hbbth3/+ bone marrow. Original magnification × 132.
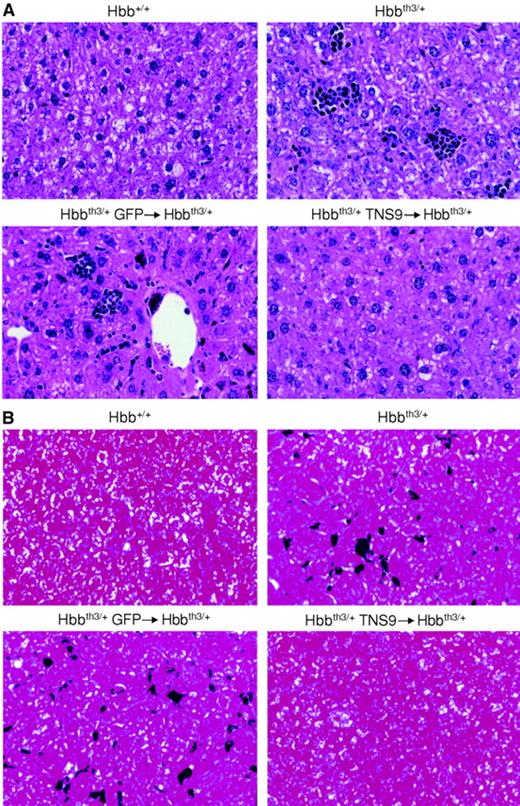
Correction of liver pathology in TNS9-treated chimeras.
(A) Upper left: livers from Hbb+/+ control mice showed no evidence of EMH. Upper right: livers from Hbbth3/+ control mice showed a significant amount of EMH as evidenced by the presence of erythroid precursors in the sinusoids. Lower left: livers from Hbbth3/+ mice that received transplants of eGFP-transduced Hbbth3/+ bone marrow showed evidence of EMH. Lower right: similar to the normal control livers, the Hbbth3/+ mice that received transplants of TNS9-treated Hbbth3/+ bone marrow showed no evidence of EMH. Original magnification × 88. (B) Upper left: no iron was identified in the livers of Hbb+/+control mice. Upper right: a moderate amount of iron was seen in livers from Hbbth3/+ control mice. Lower left: a large amount of iron was seen in the livers of Hbbth3/+ mice that received transplants of eGFP-treated Hbbth3/+ bone marrow. Lower right: iron was only rarely identified in the Hbbth3/+mouse that received a transplant of TNS9-treated Hbbth3/+bone marrow cells. Original magnification × 88.
Correction of liver pathology in TNS9-treated chimeras.
(A) Upper left: livers from Hbb+/+ control mice showed no evidence of EMH. Upper right: livers from Hbbth3/+ control mice showed a significant amount of EMH as evidenced by the presence of erythroid precursors in the sinusoids. Lower left: livers from Hbbth3/+ mice that received transplants of eGFP-transduced Hbbth3/+ bone marrow showed evidence of EMH. Lower right: similar to the normal control livers, the Hbbth3/+ mice that received transplants of TNS9-treated Hbbth3/+ bone marrow showed no evidence of EMH. Original magnification × 88. (B) Upper left: no iron was identified in the livers of Hbb+/+control mice. Upper right: a moderate amount of iron was seen in livers from Hbbth3/+ control mice. Lower left: a large amount of iron was seen in the livers of Hbbth3/+ mice that received transplants of eGFP-treated Hbbth3/+ bone marrow. Lower right: iron was only rarely identified in the Hbbth3/+mouse that received a transplant of TNS9-treated Hbbth3/+bone marrow cells. Original magnification × 88.
Hepatic iron accumulation is markedly decreased
Toxic iron accumulation in the organs of thalassemic patients is a consequence of RBC destruction and increased gastrointestinal iron uptake. To determine whether sustained expression from the TNS9 vector reduced iron overload, we studied tissue sections of liver and heart, stained using Gomori iron stain. No iron deposition was seen in the livers of normal Hbb+/+ control mice, whereas Hbbth3/+ mice showed variable amounts of iron, including some large aggregates (Figure 4B, upper left and right panels, respectively). TNS9-transduced treated chimeras demonstrated low to undetectable levels of iron in the livers (Figure 4B, lower right panel), whereas iron was readily detected in the livers of all mice that received transplants of eGFP-transduced Hbbth3/+ bone marrow cells (Figure 4B, lower left panel, and Table 1). No iron accumulation was found in the heart of treated or control mice, as previously observed in another murine model of β-thalassemia,30 in contrast to what is found in the human disease.1-3
Discussion
Our findings indicate that stable engraftment with TNS9-transduced HSCs results in sustained amelioration of anemia, regression of splenomegaly and EMH, and a marked decrease in iron accumulation. Hepatic iron content, often measured to estimate total body iron,31 was low to undetectable by histochemical analysis. Further quantitative analyses of iron accumulation in chimeras treated at different ages will be needed to elucidate whether the remaining iron reflects either active iron accumulation or irreversible damage preceding transplantation. The most spectacular response achieved is the regression of splenomegaly and EMH. Spleen size, total cellularity, BFU-E, CFU-E, and CFU-GM content are all normalized. Foci of EMH in the liver, highly prevalent in age-matched control mice and mock-treated chimeras, are not found in chimeras expressing human β-globin. Altogether, these findings indicate that the chimeric Hbbhu hemoglobin is functional and that anemia is improved to a sufficient degree that EMH is abolished in the liver and greatly reduced in the spleen of TNS9-treated mice. This suggests that the human β-globin expression afforded by the TNS9 vector substantially improved erythroid maturation, suppressing ineffective erythropoiesis and restoring predominantly IMH.
There is currently no therapy in humans that leads to pathophysiologic correction of hemolysis, ineffective erythropoiesis, and secondary organ damage, short of allogeneic HSC replacement. Anemia is reduced by chronic transfusion, administered every 2 weeks in severely affected patients; RBC destruction is alleviated by splenectomy.2,3 Current inducers of γ-chain expression show activity in some patients, though their effects are often limited to increases of hemoglobin levels on the order of 1 to 2 g/dL.6,32 Iron accumulation is treated by iron-chelating agents such as deferoxamine.1-3,6 The treatment is, however, not devoid of complications, and requires strict compliance to a demanding regimen. Furthermore, iron chelation is not available to all patients, especially in developing countries. Newer drugs aiming to either improve iron chelation or augment production of fetal hemoglobin are sorely needed.6
In this context, a genetic treatment based on globin gene transfer is highly desirable. In addition to circumventing limitations of allogeneic BMT, it offers the prospect of correcting both the anemia and secondary complications, as we show here in a murine model of β-thalassemia intermedia. These findings suggest that this approach may also be effective in sickle cell disease and in β-thalassemia major. Engraftment with TNS9-transduced bone marrow cells increased hemoglobin levels by 3 to 4 g/dL, a magnitude that would undoubtedly be of great benefit in human patients.1,3 This would require, however, that highly efficient gene transfer be achieved in human HSCs, which remains a challenge despite recent progress,11-13and that the TNS9 vector function at least as well in human cells. In this regard, studies in nonhuman primates will be highly valuable.11 Furthermore, safety features of the gene delivery system will have to be further ascertained.33Lentiviral vectors have not yet been approved for human use by the United States Food and Drug Administration. It is encouraging that no replication-competent retrovirus has been reported to date in patients treated with oncoretroviral vectors.34
The genetic therapy of inherited disorders is still in early stages of research and it is too early to predict what place it will eventually occupy in the treatment of blood disorders. Remarkable results were recently obtained in children with severe combined immunodeficiency.35 In this instance, engraftment of autologous CD34+ cells transduced with a non–tissue-specific vector encoding the interleukin receptor common γ chain36 allowed for the generation of T lymphocytes in unconditioned transplant recipients. Selective pressure very likely favored lymphocyte generation and lymphoid repopulation in these recipients. The possible occurrence of mechanisms facilitating selective erythroid reconstitution in β-thalassemic recipients remains to be further studied and eventually exploited.37Our data are consistent with moderate selection, insofar that chimeras harboring comparable vector copies showed 54% ± 12% βA+ cells in Hbb+/+ recipients19and 74% ± 7% in Hbbth3/+ mice, as shown here. However, host conditioning is likely to remain a requirement for productive stem cell engraftment if the competitive advantage is confined to the erythroid compartment. Importantly, the toxicity of the conditioning regimen may be markedly reduced if the genetically modified cells are endowed with enhanced repopulating capacity.10,12,38 39Ultimately, the genetic treatment of β-thalassemias and other inherited blood disorders will have to combine phenotypic correction with safe transplantation conditions to be broadly applicable.
We thank Drs P. Giardina and I. Rivière for critical review of the manuscript and Dr G. Heller for assistance with statistical analyses.
Supported by National Institutes of Health grants HL-57612, HL-66952, and HL-59312 (M.S.), and a postdoctoral award from the Cooley's Anemia Foundation (S.R.).
The publication costs of this article were defrayed in part by page charge payment. Therefore, and solely to indicate this fact, this article is hereby marked “advertisement” in accordance with 18 U.S.C. section 1734.
References
Author notes
Michel Sadelain, Box 182, Memorial Sloan-Kettering Cancer Center, 1275 York Ave, New York, NY 10021; e-mail:m-sadelain@ski.mskcc.org.




This feature is available to Subscribers Only
Sign In or Create an Account Close Modal