Abstract
The nucleoporin gene NUP98 was found fused to theHOXA9, HOXD13, or DDX10 genes in human acute myelogenous leukemia (AML) with chromosome translocations t(7;11)(p15;p15), t(2;11)(q35;p15), or inv(11)(p15;q22), respectively. We report here the fusion between the NUP98 gene and another homeobox gene PMX1 in a case of human AML with a t(1;11)(q23;p15) translocation. The chimeric NUP98-PMX1transcript was detected; however, there was no reciprocalPMX1-NUP98 fusion transcript. Like the NUP98-HOXA9fusion, NUP98 and PMX1 were fused in frame and the N-terminal GLFG-rich docking region of the NUP98 and the PMX1 homeodomain were conserved in the NUP98-PMX1 fusion, suggesting that PMX1 homeodomain expression is upregulated and that the fusion protein may act as an oncogenic transcription factor. The fusion to NUP98 results in the addition of the strong transcriptional activation domain located in the N-terminal region of NUP98 to PMX1. These findings suggest that constitutive expression and alteration of the transcriptional activity of the PMX1 homeodomain protein may be critical for myeloid leukemogenesis.
HOMEOBOX GENES represent a class of transcription factors that share a conserved DNA binding motif called the homeodomain. This domain defines the DNA binding specificity of the protein and plays an important role in transcriptional regulation of downstream target genes.1 Homeobox proteins control embryonic development in organisms and function in adult tissue, including the hematopoietic system,2,3 in which expression of class I HOX genes has been well characterized. TheHOXA and HOXB genes in the 3′ region of the clusters are expressed in most primitive bone marrow cells and are downregulated as CD34+ hematopoietic progenitors differentiate toward erythroid and myeloid phenotypes. Genes in the 5′ regions are expressed at nearly equal levels in CD34+ subpopulations.4 There is also good evidence that several non-class I homeobox genes, such asHox11,5,Hex,6 andOct-2,7 are important in maintaining normal myeloid, erythroid, or lymphoid populations. These findings indicate that a broad range of homeobox genes are required for proper differentiation and function of hematopoietic lineages.
The important role of homeobox genes in the hematopoietic system is also indicated by the fact that several homeobox genes are involved in leukemogenesis.2,3,8 In the mouse, a retrovirus-like intracisternal A particle is integrated in the 5′ end of theHoxb8 gene in the myelo-monocytic cell line WEHI-3B.9,10 Recently, cooperative activation ofHoxa7/a9 and another homeobox gene Meis1 has been identified in retrovirus-induced BXH-2 mouse myeloid leukemia.11 Cooperative leukemogenic action ofHoxa9 and Meis1 was further demonstrated by the induction of leukemia using retroviral transfer of the genes to mouse primary bone marrow cells.12 In humans, overexpression of the HOX11 gene occurs in rare cases of human T-cell acute lymphoblastic leukemia (ALL) that have the chromosomal translocations t(10;14)(q24;q11) or t(7;10)(q35;q24) in which the HOX11 gene is activated due to juxtaposition of promoter elements from the T-cell receptors.13-16 In these cases, upregulation of the homeobox genes is thought to cause inhibition of hematopoietic differentiation and/or abnormal proliferation of primitive bone marrow cells by deregulating expression of downstream target genes.
Another type of homeobox gene involvement in human leukemias is the synthesis of a fusion protein owing to specific chromosomal translocation. Gene fusion between E2A and PBX1 was identified in pre-B ALL with t(1;19)(q23;p13.3).17,18Expression of E2A-PBX1 induces both myeloid and T-cell leukemia in a transgenic mouse model,19 and expression ofE2A-PBX1 in cultured bone marrow cells blocks differentiation of myeloid progenitors.20,21 We and another group have recently found that the nucleoporin gene NUP98 is fused toHOXA9 in human acute myelogenous leukemia (AML) with the chromosomal translocation t(7;11)(p15;p15).22 23 As a result of the gene fusion, the major part of the HOXA9including the DNA binding homeodomain was fused in frame to aNUP98 domain encoding the N-terminal GLFG repeat. Both mouse and human data indicated that abnormal expression of the HOXA9homeodomain might play an important role in leukemogenesis.
NUP98 has been found fused to the putative RNA helicase geneDDX10 in a few cases of human AML with inv(11)(p15;q22),24 suggesting that the N-terminal domain of NUP98 might also have a leukemogenic potential. In this study, we have shown that the NUP98 is involved in the t(1;11)(q23;p15) translocation in a case of the secondary AML and that the gene is fused to another homeobox gene PMX1 located at chromosome 1q23.NUP98-PMX1 fusion transcripts were detected, and our data suggested that the chimeric protein consisting of the NUP98 N-terminal docking site and the PMX1 homeodomain might function as an oncogenic transcriptional activator.
MATERIALS AND METHODS
Patient material.
Leukemia cells were obtained from a 55-year-old man with AML of an M2 subtype associated with a t(1;11)(q23;p15) translocation. Details of clinical data and karyotypic analysis will be reported elsewhere (Hatano et al, manuscript submitted). The patient had a history of treatment for non-Hodgkin’s lymphoma as the primary malignancy and had received chemotherapy, including the use of topo II inhibitors. He developed AML 3 years after the initial chemotherapy against the lymphoma.
DNA extraction and Southern blot analysis.
High molecular weight genomic DNA was extracted from frozen leukemia cell suspensions. Samples of 5 μg of genomic DNA were subjected to restriction endonuclease digestion, agarose gel electrophoresis, Southern blot transfer, and hybridization according to the methods previously described.25 A 350-bp HaeIII fragment22 was used as a probe to detect NUP98rearrangements.
cDNA cloning of the NUP98 fusion partner.
Poly(A)+ RNA was isolated from frozen leukemia cell suspensions using the FastTrack 2.0 kit (Invitrogen, Carlsbad, CA). To isolate the unknown gene at chromosome 1q23, 3′-rapid amplification of cDNA ends (3′-RACE)26 was performed using the Marathon cDNA Amplification kit (Clontech, Palo Alto, CA) withNUP98 gene-specific primers 3R-1 (5′-TCTTGGTACAGGAGCCTTTGGG-3′) and 3R-2 (5′-CTCTTGGTGCTGGACAGGCATC-3′) and adaptor primers AP-1 (5′-CCATCCTAATACGACTCACTATAGGGC-3′) and AP-2 (5′-ACTCACTATAGGGCTCGAGCGGC-3′). The 3′-RACE products were subcloned into the pCR2.1 vector (Invitrogen), and plasmid clones were sequenced using a Thermo Sequenase dye terminator cycle sequencing kit (Amersham, Cleveland, OH).
Reverse transcription-polymerase chain reaction (RT-PCR).
Total RNA was extracted from leukemic cell suspensions by using the RNAzol method (TelTest, Friendswood, TX). First-strand cDNA was synthesized from 1 μg total RNA using random hexamers and Superscript II reverse transcriptase (Life Technologies, Rockville, MD) in a total volume of 20 μL. The mixture was diluted to 50 μL, and 2 μL was used for PCR. PCR was performed using 2.5 U of Taq DNA polymerase (Boehringer Mannheim, Mannheim, Germany) and a Perkin Elmer Thermal Cycler (Perkin Elmer, Norwalk, CT) using the following temperature cycling protocol: 94°C for 30 seconds, 60°C for 1 minute, and 72°C for 2 minutes for 35 cycles. PCR products were separated by electrophoresis through a 2.5% GTG gel (FMC Bioproducts, Rockland, ME), subcloned into the pCR2.1 plasmid, and sequenced. The PCR primers for NUP98 and PMX1 used were as follows: n1, 5′-CTCTTGGTGCTGGACAGGCATC-3′; n2, 5′-CTAGGGATGGTTCATCGTC-3′; p1, 5′-AGCTACGGGCACGTTCTGG-3′; P2, 5′-AGGGGTCTGCGATGGTGGTGTGG-3′; and P3, 5′-GCACAAAAGCATCAGGATAGTG-3′.
Northern blot analysis.
The full-length human PMX1 cDNA was used to probe Human Multiple Tissue Northern blots (Clontech). Membranes were hybridized and washed according to the method of Church and Gilbert.27
Construction of expression plasmids.
cDNAs containing full-length NUP98-PMX1 and wild-typePMX1 coding sequences were obtained by RT-PCR on RNA samples extracted from leukemia cells and by PCR of the human heart cDNA (Clontech), respectively. The 5′ and 3′ oligonucleotides used for PCR contained unique EcoRI and BamHI restriction sites to facilitate cloning into the pM eukaryotic expression plasmid in frame with sequences encoding the GAL4 DNA binding domain.28 These full-length cDNAs were also subcloned into pCDNA3.1 expression vector (Invitrogen). TruncatedNUP98 and PMX1 sequences were obtained by PCR amplification of full-length clones. To generate the pMCK1-1 reporter plasmid that contains the 246-bp murine muscle creatine kinase (MCK) basal enhancer,29 the region from bp −1250 to −1048 relative to the MCK transcription start site was amplified by PCR and subcloned into the pGL3 promoter vector (Promega, Madison, WI). All constructs were verified by sequencing.
Transient transfection assays.
HeLa cells were seeded 18 to 24 hours before transfection at 5 × 105 cells per 60-mm dish in Dulbecco’s modified Eagle’s medium supplemented with 10% fetal calf serum. One microgram of each pM fusion construct, 1 μg of 5 × GAL4-pGL2 plasmid,30 and 0.1 μg of pRL-SV40 plasmid (Promega) were cotransfected by using Lipofectamin and Opti-MEM (Life Technologies). The pCDNA vectors containing full-length cDNAs of PMX1 orNUP98-PMX1, and pMCK1-1 were cotransfected into Jurkat cells (2 × 106 cells) using DIMRIE-C reagent (Life Technologies) and Opti-MEM. Cells were harvested 24 hours posttransfection in 1× passive lysis buffer (Promega). Luciferase activity was measured in a luminometer using a Dual-Luciferase Reporter Assay System (Promega) according to the manufacturer’s protocol. The firefly luciferase activity derived from the reporter constructs was normalized to levels of renilla luciferase activity as an internal control for transfection efficiency. Experiments were repeated three times. The expression of GAL4 fusion proteins was analyzed by Western blotting as described below. The 5 × GAL4-pGL2 expression plasmid was a generous gift of Cory Abate-Shen (UMDNJ, Piscataway, NJ).
Western blot analysis.
Each transfectant (5 × 105 cells) was lysed in 100 μL of sodium dodecyl sulfate (SDS) sample buffer containing 50 mmol/L Tris (pH 6.8), 2% SDS, 10% glycerol, 100 mmol/L dithiothreitol, and 0.1% bromophenol blue, and 10-μL aliquots were subjected to SDS-polyacrylamide gel electrophoresis. The size-fractionated proteins were transferred by electrical field (Trans-Blot cell; Bio-Rad, Hercules, CA) onto a nitrocellulose membranes. Membranes were blocked in Trisbuffered saline (pH 8.0) containing 5% nonfat dry milk. The monoclonal anti-GAL4 DNA binding domain antibody (Santa Cruz Biotechnology, Santa Cruz, CA) was used as a primary antibody. The signals were detected using ECL Western blotting detection reagents (Amersham).
RESULTS
Cloning the breakpoint gene at 1q23.
Chromosomal analysis of the patient bone marrow cells at the onset of AML showed a t(1;11)(q23;p15) (Hatano et al, manuscript submitted). This finding suggested the involvement ofNUP98 in chromosome 11 break. Southern blot analysis using aNUP98 intron probe showed the DNA rearrangement in the t(1;11) patient sample (Fig 1A). The result indicated that the chromosome 11 break was within the same intron as was seen in t(7;11) AML, resulting in a NUP98-HOXA9fusion.22 Because the vast majority of human AML with reciprocal chromosomal translocations have shown that chimeric transcripts of the fused genes are synthesized,8,31 we attempted to isolate the affected gene on chromosome 1q23 by using the 3′-RACE method.25 Two RACE products of different sizes were identified (Fig 1B), and the t(1;11) DNA rearrangement was observed using the 3′-end of the shorter product as a probe (Fig1C), indicating that the product contained a cDNA fragment derived from chromosome 1q23.
(A) Southern blot analysis of the leukemia cell sample derived from t(1;11)(q23;p15) AML. Genomic DNA samples from the t(7;11)(p15;p15) AML patient as well as healthy control were also shown. Rearranged bands were detected both in t(1;11) patient as well as t(7;11) by Sac I digestion using a NUP98 probe. (B) 3′-RACE products of NUP98 fusion cDNA. MWM, 123-bp ladder molecular weight marker; RT(+), reverse transcribed and PCR-amplified patient poly(A)+ RNA sample; RT(−), patient RNA without reverse transcription. (C) Southern blot analysis of the patient genomic DNA with the 3′-fragment of shorter RACE product as a probe. Rearranged band was detected in patient sample digested withBamHI.
(A) Southern blot analysis of the leukemia cell sample derived from t(1;11)(q23;p15) AML. Genomic DNA samples from the t(7;11)(p15;p15) AML patient as well as healthy control were also shown. Rearranged bands were detected both in t(1;11) patient as well as t(7;11) by Sac I digestion using a NUP98 probe. (B) 3′-RACE products of NUP98 fusion cDNA. MWM, 123-bp ladder molecular weight marker; RT(+), reverse transcribed and PCR-amplified patient poly(A)+ RNA sample; RT(−), patient RNA without reverse transcription. (C) Southern blot analysis of the patient genomic DNA with the 3′-fragment of shorter RACE product as a probe. Rearranged band was detected in patient sample digested withBamHI.
Sequence analysis confirmed that both the two 3′-RACE products contained unique sequences. Genetic database searching showed that the 3′-region of the longer product was identical to humanPMX1 (PHOX1).32 The shorter product did not show significant homology to PMX1; however, further analysis showed that both products were located on the same genomic DNA fragment derived from chromosome 1, which was produced by Sanger Centre Human Chromosome 1 Genome Project (EMBL/GenBank Accession No. Z97200). The chromosome 1 derived parts of the RACE products were situated at 50 kb (Fig 2A). The shorter fragment was thought to contain the noncoding exon 1b of thePMX1 gene that is located 5.2 kb downstream of exon 1a (Fig2A). The longer product contains exons 2 and 3 that encode the DNA binding homeodomain of PMX1.
(A) Breakpoint at chromosomes 1 and 11. The 5′ exons of NUP98 were previously described.22 The location of the primers used for RT-PCR is indicated. (B) Detection of fusion transcripts between NUP98 and PMX1 exon 2 and between NUP98 and PMX1 exon 1b. A 270-bp product ofNUP98-PMX1 exon 2 fusion and a 168-bp product ofNUP98-PMX1 exon 1b fusion were observed, whereas noPMX1 exon 1a-NUP98 fusion was seen. MWM, 123-bp ladder molecular weight marker. + and − indicate the presence and absence of RT reaction, respectively. (C) Nucleotide and deduced amino acid sequences of NUP98-PMX1 fusions.
(A) Breakpoint at chromosomes 1 and 11. The 5′ exons of NUP98 were previously described.22 The location of the primers used for RT-PCR is indicated. (B) Detection of fusion transcripts between NUP98 and PMX1 exon 2 and between NUP98 and PMX1 exon 1b. A 270-bp product ofNUP98-PMX1 exon 2 fusion and a 168-bp product ofNUP98-PMX1 exon 1b fusion were observed, whereas noPMX1 exon 1a-NUP98 fusion was seen. MWM, 123-bp ladder molecular weight marker. + and − indicate the presence and absence of RT reaction, respectively. (C) Nucleotide and deduced amino acid sequences of NUP98-PMX1 fusions.
Gene fusion between NUP98 and PMX1.
RT-PCR analysis showed two NUP98-PMX1–derived chimeric transcripts, suggesting that the NUP98-PMX1 protein may have a biological function; however, no reciprocal PMX1-NUP98 fusion transcript was detected (Fig 2B). Sequence analysis of 3′-RACE and RT-PCR products showed that NUP98-PMX1 exon 1b encoded a protein that lacked PMX1 functional domain (Fig 2C).NUP98 and PMX1 exon 2 were fused in frame, resulting in production of a chimeric protein containing the N-terminal half of NUP9833 and most of the coding region of PMX1, including the entire homeodomain (Figs 2C and 3). HOX proteins, which show cooperative DNA binding with PBX, contain short conserved peptide motifs, including a key tryptophan required for the interaction with PBX.34 35 The PBX-interaction domain is conserved in NUP98-HOXA9, and we observed cooperative DNA binding with PBX (Fujino and Nakamura, unpublished data). However, neither wild-type PMX1 nor NUP98-PMX1 contained such a motif.
Structure of the wild-type proteins and predicted chimeric protein. HD, homeodomain; RNA binding, putative RNA binding domain of NUP98.
Structure of the wild-type proteins and predicted chimeric protein. HD, homeodomain; RNA binding, putative RNA binding domain of NUP98.
Because murine Pmx1 is expressed mainly in embryonic mesoderm, adult heart, and adult muscle tissue,36 we analyzed the expression pattern of PMX1 in human normal tissue. Northern blot analysis showed that PMX1 was expressed in heart, muscle, thymus, prostate, testis, and ovary tissues, whereas no expression was detected in peripheral blood leukocytes (Fig 4). This suggested that PMX1may be downregulated in mature myeloid cells. Previous reports have shown ubiquitous NUP98 expression,23 24 and the expression is observed throughout the myeloid differentiation of murine 32D cells (Nakamura et al, unpublished data). Thus, expression of the C-terminal region of PMX1 as part of the fusion gene, which includes the entire homeodomain, may be driven by theNUP98 promoter, leading to constitutive upregulation.
Expression of PMX1 in human tissues. The gene is highly expressed in heart, skeletal muscle, thymus, prostate, testis, and ovary, although RNAs of heart and muscle were overloaded. No expression was detected in peripheral blood leukocytes.
Expression of PMX1 in human tissues. The gene is highly expressed in heart, skeletal muscle, thymus, prostate, testis, and ovary, although RNAs of heart and muscle were overloaded. No expression was detected in peripheral blood leukocytes.
The N-terminal domain of NUP98 modulates the transcriptional activity of PMX1.
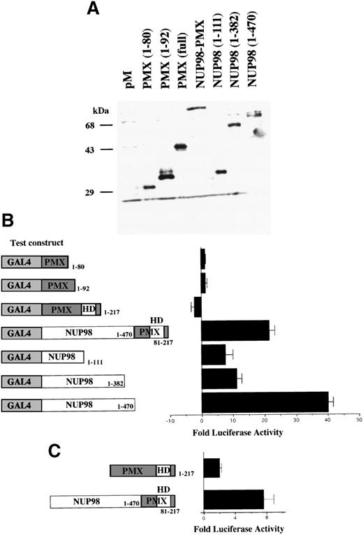
PMX1 encodes a homeodomain protein that acts as a sequence-specific transcription factor.32 To assess the transcriptional activities of both wild-type and fusion PMX1 proteins, transient-transfection assays were performed. Wild-type PMX1, chimeric NUP98-PMX1, and deletion constructs of bothNUP98 and PMX1 were subcloned into the pM eukaryotic expression vector in frame with sequences encoding the GAL4 DNA binding domain.28 Constructs and the 5 × GAL4 pGL2 reporter plasmid, which contains GAL4 binding sequences, were cotransfected to HeLa cells. After production of GAL4 fusion proteins was confirmed by Western blotting (Fig 5A), luciferase activity was determined using a luminometer. As shown in Fig 5B, the wild-type PMX1 construct showed weak repression of the luciferase activity. The N-terminal part of PMX1, removed by the translocation, did not significantly modulate the luciferase activity. The N-terminal NUP98 encodes a strong transcriptional activation domain that resulted in significant enhancement of transcriptional activity by the fusion protein construct. Similar results were seen when the human T-lymphocyte cell line Jurkat was transfected with the same series of constructs (data not shown).
The N-terminal NUP98 contains a transactivation domain. (A) Western blot analysis of GAL4 DNA binding domain fusion proteins that were expressed in transiently transfected HeLa cells. Fusion proteins were detected by using a monoclonal antibody directed against the GAL4 DNA binding domain. (B) Transfection assay of HeLa cells using the GAL4 luciferase reporter plasmid and expression plasmids encoding GAL4 fusion proteins (left panel). (C) Jurkat cells were cotransfected with pMCK1-1 and pCDNA-PMX1 or pCDNA-NUP98-PMX1 expression plasmids as described in the text. Data in (B) and (C) are expressed as the fold difference in luciferase activity obtained with test constructs compared with that obtained with the GAL4 DNA binding domain alone (B) or the empty pCDNA3.1 vector (C) (right panels). The assays were repeated three times and error bars are indicated.
The N-terminal NUP98 contains a transactivation domain. (A) Western blot analysis of GAL4 DNA binding domain fusion proteins that were expressed in transiently transfected HeLa cells. Fusion proteins were detected by using a monoclonal antibody directed against the GAL4 DNA binding domain. (B) Transfection assay of HeLa cells using the GAL4 luciferase reporter plasmid and expression plasmids encoding GAL4 fusion proteins (left panel). (C) Jurkat cells were cotransfected with pMCK1-1 and pCDNA-PMX1 or pCDNA-NUP98-PMX1 expression plasmids as described in the text. Data in (B) and (C) are expressed as the fold difference in luciferase activity obtained with test constructs compared with that obtained with the GAL4 DNA binding domain alone (B) or the empty pCDNA3.1 vector (C) (right panels). The assays were repeated three times and error bars are indicated.
Transcriptional properties of PMX1 and NUP98-PMX1 were also assessed using the murine MCK regulatory element, a known target of the PMX1 protein.29 37 PMX1 showed only slight activation (1.9-fold) of luciferase activity, whereas NUP98-PMX1 showed significantly enhanced transactivation (7- to 8-fold; Fig 5C). Thus, NUP98-PMX1 fusion resulted in transactivation against the endogenous enhancer for PMX1.
DISCUSSION
We show here a novel fusion gene encoding a homeodomain protein that is synthesized due to a t(1;11) reciprocal chromosomal translocation. This is the fourth example of chimeric NUP98 gene in leukemia. To date, this is the only case of a NUP98-PMX1 gene fusion; however, there are similarities between the predicted NUP98-PMX1 protein structure and the NUP98-HOXA9 and NUP98-HOXD1338fusion. Our data showed that the addition of the NUP98 N-terminal domain significantly altered the transcriptional activity of PMX1. In addition, upregulation of PMX1 homeodomain, under the control of the ubiquitously expressed NUP98 promoter, may be relevant. The functional alterations of PMX1 activity might result in deregulation of target genes in bone marrow cells. Recently, Kasper et al39also reported potent transactivation of the NUP98-HOXA9 fusion protein.
PMX1 was first identified as a cofactor of a serum response factor.32 PMX1 has sequence similarity to thedrosophila paired protein; however, it contains a homeodomain as a unique DNA binding domain and lacks a paired domain.32The gene is mainly expressed in the embryonic mesoderm and in adult heart and skeletal muscle36 and binds to the muscle creatine kinase gene enhancer element.37 Mice homozygous for a mutant PMX1 allele show defects in the formation and growth of chondrogenic and osteogenic precursors and defective skeletogenesis.40 However, the function of PMX1 in the hematopoietic system and leukemogenesis remains unknown. Further study is required to clarify the physiological role of PMX1 in regulating myeloid differentiation and proliferation.
The present t(1;11) case of AML belongs to the M2 subtype that was also found in t(7;11) AML cases.22,23 Although the homeodomain sequences are not highly similar between PMX1 and HOXA9, the similarities of the disease phenotype and structures of the fusion proteins suggest that PMX1 functions in a manner equivalent to that of HOXA9 in human AML. However, half of the inv(11) cases were myelodysplastic syndrome.24 This phenotypic difference might be ascribed to functional distinctions between DDX10 RNA helicase and homeodomain proteins. NUP98-PMX1 fusion was not detected in 27 human acute leukemia samples, including AML subclasses M1 to M5, and B-cell and T-cell leukemias by RT-PCR (data not shown). The result is not very surprising, because genetic abnormalities of acute leukemias are very heterogeneous, with even common mutations seen in less than 1% of all the leukemia cases.8 The t(1;11) case, 2 of 4 inv(11) patients,24 and the t(2;11) case38 were secondary leukemias and received chemotherapy, including topo II inhibitors against the primary neoplasms. There is growing evidence that cancer chemotherapies that include topo II inhibitors are one of the major causes of human AML.41 Although the nucleotide sequences of genomic DNA at the breakpoints remain unknown, it might be speculated that topo II-sensitive sequences exist around the breakpoint of NUP98. The identical NUP98 N-terminal domain seen in the NUP98-HOXA9 fusion22 23 was contained in the chimeric NUP98-PMX1 protein, suggesting that this domain may play a critical role in leukemogenesis.
The importance of the NUP98 N-terminal domain to leukemogenesis is also suggested by other examples of nucleoporin involvement in human AML. NUP214/CAN is fused to DEK in t(6;9)(p23;q34) AML42 and to SET in a case of acute undifferentiated leukemia with an apparently normal karyotype.43 In both NUP214/CAN-DEK and NUP214/CAN-SET fusion, the C-terminal domain of NUP214, which contains multiple FG repeat-rich docking sites, is retained in the fusion products. Both NUP98 and NUP214 are components of the nuclear pore complex.35,44 When proteins with nuclear localization signals (NLS) are imported to the nucleus, they bind karyopherin α and β. After the binding of the karyopherin heterodimers to the FXFG motif of nucleoporin docking sites and release caused by GTP bound form of Ran protein, the NLS-proteins are transferred into the nucleus.45 This suggests that the docking site may facilitate the interaction of homeodomain proteins with their partners. The human homologue of yeast CRM1 protein, which interacts with NUP214, DEK-NUP214, and SET-NUP214, has been recently identified.46Although it is currently unknown whether hCRM1 can interact with homeodomain proteins such as PMX1 and HOXA9, specific cofactors of these homeodomain proteins may be recruited by the NUP98 docking domain.
ACKNOWLEDGMENT
The authors thank Neal G. Copeland and Yuriko Saiki for critical comments, Cory Abate-Shen for 5 × GAL4-pGL2 plasmid, Eric N. Olson for the murine MCK enhancer fragment, and Ryoko Iwata for technical assistance.
Supported in part by a Grant-in-Aid for Scientific Research from the Ministry of Education of Japan.
The publication costs of this article were defrayed in part by page charge payment. This article must therefore be hereby marked “advertisement” in accordance with 18 U.S.C. section 1734 solely to indicate this fact.
REFERENCES
Author notes
Address reprint requests to Takuro Nakamura, MD, PhD, PRESTO, JST, The Cancer Institute, 1-37-1 Kami-ikebukuro, Toshima-ku, Tokyo 170-8455, Japan; e-mail: takuro-ind@umin.u-tokyo.ac.jp.





This feature is available to Subscribers Only
Sign In or Create an Account Close Modal