Abstract
Anaplastic large cell lymphoma (ALCL) is an aggressive lymphoma that is frequently associated with the t(2;5)(p23;q35), resulting in expression of a fusion protein, nucleophosmin-anaplastic lymphoma kinase (NPM-ALK), which can be detected by either monoclonal or polyclonal antibodies to the ALK protein. The clinical features of adults with ALCL are incompletely described, and the prognostic factors that are useful for predicting survival remain unclear. This report describes the clinical and laboratory findings in 70 adults with systemic ALCL who were treated with curative intent. We attempted to identify the clinical and pathological factors of prognostic importance, including the International Prognostic Index (IPI), immunophenotype, and expression of the ALK protein. The median age of the patients was 49 years (range, 15 to 75). There were 26 women and 44 men with a median follow-up of 50 months for living patients. Advanced stage was present in 56% and B symptoms were noted in 70% of the patients. Immunostains showed that 46% of the cases had a T-cell phenotype, 36% a null phenotype, and 18% a B-cell phenotype. The expression of ALK protein was found in 51% of the cases. The IPI factors were evenly distributed between the ALK+ and ALK− groups, except that the ALK+ patients were younger (median age, 30 v 61 years; P < .002). The ALK+ cohort included cases with null (44%), T-cell (42%), and B-cell (14%) phenotypes. All 10 cases with cytogenetic or molecular evidence of a t(2;5) were ALK+. The 5-year overall survival (OS) of the entire cohort was 65%. The 5-year OS of the ALK+ and ALK− cases was 79% and 46%, respectively (P < .0003). Analysis of only the T-cell/null cases (n = 57) showed a 5-year OS of 93% for the ALK+ cases and only 37% for the ALK− cases (P < .00001). Univariate analysis of the clinical features showed that age ≤60 years (P < .007), a normal serum lactate dehydrogenase (LDH) (P < .00001), a good performance status (Eastern Cooperative Oncology Group [ECOG] <2) (P< .03), ≤1 extranodal site of disease (P < .012), and an IPI score ≤3 (P < .00001) were associated with improved OS. Although a younger age correlated with ALK positivity, multivariate analysis showed that only a normal serum LDH (P < .00001), an IPI score of ≤3 (P < .0005), and ALK protein expression (P < .005) predicted independently for an improved OS. We conclude that ALCL is a heterogeneous disorder. However, ALK protein expression is an independent predictor of survival and serves as a useful biologic marker of a specific disease entity within the spectrum of ALCL.
ANAPLASTIC LARGE CELL lymphoma (ALCL) was first described by Stein et al1 in 1985 as a pleomorphic large cell non-Hodgkin’s lymphoma (NHL) with sinus infiltration and anaplastic cytomorphology. Many of these cases had been previously diagnosed as malignant histiocytosis. The neoplastic cells in ALCL express CD30 (Ki-1, Ber-H2) antigen and can be of T-cell, B-cell, or null phenotype. ALCL of B- or T-cell type is recognized in the revised Kiel classification.2 However, the Revised European-American Lymphoma (REAL) classification includes B-cell ALCL with all other diffuse large B-cell NHLs, whereas ALCL of T-cell or null phenotype is considered a distinct disease entity.3Although some investigators argue that a B-cell phenotype is incompatible with the diagnosis of ALCL, a recent study of adults with ALCL found the B-cell phenotype to be the most common (38%), in contrast to the T-cell (34%) and null (22%) types.4Numerous histologic subtypes of ALCL have now been described including monomorphic, pleomorphic, small cell, lymphohistiocytic, sarcomatoid, signet-ring, and neutrophil-rich variants.5-12 In a recent series, the monomorphic variant was the most common type of ALCL.12 Because CD30 expression is shared with many other NHL subtypes and with Hodgkin’s disease, it does not on its own represent a definitive marker of ALCL.13-15 Therefore, unique biologic markers that better define ALCL as a disease entity are needed, analogous to cyclin D1 expression in mantle cell lymphoma.16 Although it is not a common NHL, the recently completed clinical evaluation of the International Lymphoma Study Group (ILSG) proposal found that T-cell/null ALCL accounted for 2.4% of all NHL.17
In 1989, the association of ALCL with a characteristic t(2;5)(p23;q35) cytogenetic abnormality was first described.18-20 This was followed 5 years later by the cloning of the translocation breakpoints and the discovery that the chromosomal rearrangement fuses part of the nucleophosmin (NPM) gene on chromosome 5q35 to a portion of the anaplastic lymphoma kinase (ALK) gene on chromosome 2p23, generating a chimeric mRNA molecule and a unique 80-kD NPM-ALK fusion protein (also referred to as p80).21,22Polyclonal and monoclonal antibodies specific for the ALK portion of the molecule have been studied, and neither show any detectable staining of normal or reactive lymphoid tissues.23,24 Thus, a positive immunostain signal serves as a phenotypic marker of the t(2;5). The sole exception reported to date is an uncommon diffuse large B-cell lymphoma that expresses the full-length ALK protein through unknown mechanisms and does not possess the (2;5) translocation.25 The neoplastic cells in this entity have characteristic plasmacytoid immunoblastic morphology, fail to express CD30, and are frequently positive for cytoplasmic IgA. The association of aberrant ALK expression with ALCL is well established, but the frequency of its detection varies greatly, reflecting different methodologies, variable case definition, and the ages of the particular study population (ALCL in the pediatric age group being more frequently NPM-ALK+ than adult cases).26-28 The association is further confounded by the lack of cytogenetic data in many cases, as well as the fact that variant breakpoints such as the t(1;2)(q25;p23) and inv(2)(p23;q35) also result in ALK expression, but are not detected by the current reverse transcriptase-polymerase chain reaction (RT-PCR) techniques used to identify the t(2;5).29-31 The specificity of the t(2;5) has been questioned after reports of NPM-ALK rearrangements in some large B-cell lymphomas, as well as peripheral T-cell lymphomas (PTCL) lacking the typical features of ALCL.26,27 32
Very few data are available concerning the clinical and pathological features that are useful for predicting outcome in ALCL.5,6,33-37 Interpretation of these data are further confounded by the lack of precise critieria to distinguish primary cutaneous ALCL from systemic ALCL.34 Even less is known about the prognostic significance of NPM-ALK/p80 protein expression. Although three reports have suggested that NPM-ALK/p80+cases of ALCL are associated with a younger median age at diagnosis and an improved survival, no treatment details were provided and, more importantly, these studies did not perform multivariate analysis.23,38,39 A single pediatric study of the prognostic role of ALK immunostaining in diffuse large cell lymphoma failed to show a significant difference in outcome between ALK+ and ALK−cases.40
The purpose of this study was to investigate the frequency of ALK expression in a series of adult ALCL patients diagnosed on the basis of histopathologic features and CD30 expression. We also sought to determine the prognostic relevance of ALK protein expression in this cohort of patients who were treated with curative intent, and to investigate whether this biologic variable has independent predictive value for survival. Lastly, in a small subset of cases with cytogenetic and/or molecular evidence of the t(2;5), we wished to determine the frequency of ALK protein expression.
MATERIALS AND METHODS
Patients.
This study consists of 70 patients, including 50 from the British Columbia Cancer Agency (BCCA) and 20 from the University of Nebraska Medical Center in Omaha. All patients had a diagnosis of systemic ALCL, and no cases of primary cutaneous ALCL or secondary ALCL were included. Eligibility criteria included age from 15 to 75 years, a diagnosis of systemic ALCL, therapy given with curative intent, and an available diagnostic paraffin block for immunophenotyping. Lymphomas occurring in the setting of acquired immunodeficiency syndrome or organ transplantation were excluded. No patients had prior lymphoma therapy. Eligible patients were treated with chemotherapy, radiotherapy, or both, dependent on the stage of disease and the era in which the patients were treated. Specific multiagent chemotherapy protocols containing doxorubicin were used at each center, as previously published.41-43
Histology and immunophenotyping.
Histologic sections were processed routinely from either buffered formalin or B5-fixed paraffin blocks, cut at 3 μm and mounted on slides. All cases were reviewed independently by three hematopathologists (R.D.G., P.A., and D.D.W.), with consensus reached using a multiheaded microscope. The diagnostic criteria for ALCL were those of the original description by Stein et al.1 Cases were also included if they showed the histologic features of the more recently identified variants of ALCL.5-12 Cases were not excluded based on lineage assignment, which was determined by paraffin section immunperoxidase staining, flow cytometric analysis, and/or gene rearrangement studies. All cases were stained with hematoxylin and eosin (H&E), CD20 (L26), CD79a, CD3 (polyclonal), CD45RO (UCHL-1), and CD30 (Ber-H2) (Dako, Carpenteria, CA). The majority of the cases were also stained routinely in paraffin sections with CD45 (LCA) and epithelial membrane antigen (EMA; Dako). Microwave antigen retrieval was used as required with appropriate controls. Cases were assigned a B-cell lineage if they showed positive staining with either CD20 or CD79a and failed to stain with any T-cell markers. Cases were also assigned to the B-cell lineage if they failed to express either CD20 or CD79a, but expressed monotypic immunoglobulin light chain and/or had a clonal immunoglobulin heavy-chain gene rearrangement without rearrangement of the T-cell receptor genes. A T-cell lineage was assigned if the tumor cells in a case stained with CD3 and/or CD45RO and failed to stain with either CD20 or CD79a. Cases were classified as null if all lineage markers were negative and/or molecular genetic studies were negative for either immunoglobulin heavy chain or T-cell receptor gene rearrangements. All such cases had the typical morphology of ALCL and expressed CD30. All B-cell cases with available paraffin blocks were further immunostained for cytoplasmic IgA, and kappa and lambda light chains, including both the ALK+ and ALK− groups. These data were correlated with the cellular morphology and the results of EMA immunostaining.
All 70 cases were stained with both the polyclonal (ALK11) and monoclonal (ALK1) antibodies to residues 419-520 of the NPM-ALK chimeric protein product of the t(2;5). The polyclonal antibody was supplied by Stephan W. Morris and the monoclonal antibody kindly provided by Karen A.F. Pulford and David Y. Mason (Oxford, UK). The details of the production and specificity of both these antibodies have been previously published.24,40 44 Staining was performed on sections from formalin and/or B5-fixed, paraffin-embedded tissue using a standard avidin-biotin complex technique. Briefly, paraffin sections were mounted on superfrost/plus glass slides and deparaffinized. Antigen retrieval was performed by heating the slides in 10 mmol sodium citrate buffer (pH 6.0) for 30 minutes in a 95°C waterbath. Slides were cooled for 15 minutes and immunostaining was performed on a Ventana ES automated immunohistochemistry stainer (Ventana, Tucson, AZ) using the polyclonal ALK11 antibody at 1:200 and 1:400 dilutions, and the monoclonal ALK1 antibody at a 1:2 dilution. Cases were considered positive when there was staining with either the polyclonal, monoclonal, or both antibodies.
Molecular genetics and cytogenetics.
Immunoglobulin heavy-chain and T-cell receptor beta gene Southern blot analysis were performed in 13 cases using routine techniques, as previously described.45 Immunoglobulin heavy chain and T-cell receptor gamma gene polymerase chain reaction (PCR) studies were performed in 17 cases, as previously described.46 Reverse transcriptase (RT)-PCR for the NPM-ALK rearrangement was performed in 12 cases.47 Cytogenetic studies were performed in 15 cases using routine techniques. Cells were cultured in vitro for 24 hours, harvested, and Giemsa-banded with karyotypes classified according to the International System for Human Cytogenetic Nomenclature (ISCN) (1995).48
Statistical analysis.
Overall survival (OS) was calculated from the date of diagnosis until the patient’s death or last follow-up. Failure-free survival (FFS) was calculated as the interval between diagnosis and relapse, progression if the patient had less than a complete response, or death due to any cause. Survival curves were calculated by the method of Kaplan and Meier.49 Statistical comparisons between curves were made using the log-rank test.50 Significant differences in the distribution of clinical prognostic factors between the ALK+ and ALK− groups were determined by the Pearson χ2 test. Univariate analysis was performed with each of the individual clinical variables, the International Prognostic Index (IPI) score, and ALK protein expression.51Multivariate survival analysis was performed using the stepwise proportional hazards model.52 Multivariate Cox analysis was performed using all five of the clinical variables, the IPI score, and ALK expression. The prognostic impact of ALK protein expression was determined by adding ALK after the individual clinical variables or the IPI score were included in the model.
RESULTS
A total of 70 patients with ALCL were included in this study. There were 26 women and 44 men ranging in age from 15 to 75 years, with a median age of 49 years at diagnosis (three patients were ≤19 years). The median follow-up of living patients was 50 months (range, 2 to 240). Details of the clinical features and immunophenotypes of the cases are shown in Table 1. The ALK+ patients were significantly younger than the ALK− patients (30 v 61 years; P < .002). Additionally, the ALK+ patients had less frequent involvement of multiple extranodal sites (P < .047), but otherwise the clinical variables were evenly distributed between the ALK+ and ALK− groups. There were seven cases with primary extranodal presentations, including three involving soft tissue and one each of lung, bone, stomach, and tonsil, all of which also had nodal sites of involvement.
Frequency of Clinical Prognostic Factors and Immunophenotypes for ALK-Positive and ALK-Negative Groups
| Factors . | ALK+ No. (%) . | ALK− No. (%) . | P Value . |
|---|---|---|---|
| Median age (yr) | 30 | 61 | <.002 |
| Age range (yr) | 15-64 | 27-75 | — |
| Age ≤60 yr | 31 (86) | 18 (53) | <.001 |
| Normal serum LDH | 25 (69) | 17 (50) | .097 |
| Good performance status | 26 (72) | 19 (56) | .194 |
| Stage I or II | 17 (47) | 12 (35) | .309 |
| Extranodal sites ≤1 | 29 (81) | 20 (59) | .047 |
| B-cell | 5 (14) | 8 (24) | .256 |
| T-cell | 15 (42) | 17 (50) | .753 |
| Null | 16 (44) | 9 (26) | .246 |
| Total | 36 (51) | 34 (49) | — |
| Factors . | ALK+ No. (%) . | ALK− No. (%) . | P Value . |
|---|---|---|---|
| Median age (yr) | 30 | 61 | <.002 |
| Age range (yr) | 15-64 | 27-75 | — |
| Age ≤60 yr | 31 (86) | 18 (53) | <.001 |
| Normal serum LDH | 25 (69) | 17 (50) | .097 |
| Good performance status | 26 (72) | 19 (56) | .194 |
| Stage I or II | 17 (47) | 12 (35) | .309 |
| Extranodal sites ≤1 | 29 (81) | 20 (59) | .047 |
| B-cell | 5 (14) | 8 (24) | .256 |
| T-cell | 15 (42) | 17 (50) | .753 |
| Null | 16 (44) | 9 (26) | .246 |
| Total | 36 (51) | 34 (49) | — |
Abbreviations: LDH, lactate dehydrogenase; good performance status, Eastern Cooperative Oncology Group (ECOG) score <2.
The majority of cases had the typical pleomorphic cytology and sinusoidal infiltration of ALCL. Zonal necrosis was also a frequent finding. So-called hallmark cells with eccentric horseshoe or kidney-shaped nuclei were present in all cases, including both ALK+ and ALK− cases.12 Most of the cases also had scattered neoplastic cells with multiple nuclei and a prominent perinuclear eosinophilic inclusion that appeared to represent the Golgi apparatus. One case each of a small cell variant of ALCL and a Hodgkin’s-like variant were included in this study. The most frequent histologic subtype was the common type, including six monomorphic cases and 62 with pleomorphic features. The frequency of histologic subtypes reflects the study design, whereby the majority of cases enrolled from the 1980s and early 1990s were the pleomorphic subtype. These cases fulfilled the diagnostic criteria of Stein et al and were diagnosed before the description of most of the histologic variants of ALCL.1 Nonetheless, a similar study of 83 peripheral T-cell lymphomas during the same era at the BCCA failed to disclose any additional ALK+ cases, with or without CD30 expression (R.D.G., unpublished data, August 1998).
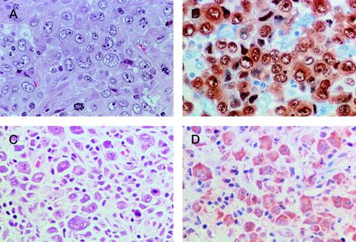
Immunophenotypic analysis showed that 32 of the 70 cases (46%) were of T-cell type, 25 (36%) were of null type, and 13 (18%) were of B-cell type. CD30 expression was present in 67 of the 70 cases (96%). CD45 and EMA were studied in a subset of the cases and were positive in 27 of 41 (68%) and 40 of 53 cases (75%), respectively. ALK protein expression was determined using both polyclonal and monoclonal antibodies. Cases were considered to be positive if tumor cells stained with either antibody. A total of 36 cases were positively stained using the polyclonal ALK11, and 32 were positive with monoclonal ALK1. Typical staining was seen within both the nucleus and the cytoplasm in the majority of positive cases. Representative examples of T-cell and B-cell cases, including ALK stains, are shown in Fig 1. In total, 36 of the 70 cases (51%) were ALK protein-positive, and included 15 (42%) T-cell, 16 (44%) null, and five (14%) B-cell cases. Interestingly, of the ALK+ cases also stained for EMA, 26 of the 31 (84%) were EMA+. All B-cell cases with sufficient tissue remaining in the block (10 of 13) were also stained for cytoplasmic IgA, and kappa and lambda light chains using paraffin section immunoperoxidase techniques. Of the five ALK+ cases analyzed, only one case expressed cytoplasmic IgA, and none of these cases had the morphology of immunoblasts that was previously described in the rare B-cell lymphoma expressing full-length ALK protein.25 Details of the five ALK+ B-cell cases are shown in Table 2. The remaining eight ALK− B-cell cases all failed to express cytoplasmic IgA, kappa, or lambda light chains.
Representative photomicrographs of a T-cell ALCL case stained with H&E (A) and polyclonal anti-ALK antibody ALK11 (B) and a B-cell case stained with H&E (C) and polyclonal anti-ALK antibody ALK11 (D). Original magnification × 400.
Representative photomicrographs of a T-cell ALCL case stained with H&E (A) and polyclonal anti-ALK antibody ALK11 (B) and a B-cell case stained with H&E (C) and polyclonal anti-ALK antibody ALK11 (D). Original magnification × 400.
Immunophenotypic, Molecular, and Cytogenetic Results for the Five B-Cell ALK-Positive ALCL Cases
| Case* . | CD20 . | CD3 . | IgH/L . | CD30 . | Molecular . | RT-PCR . | Cytogenetics . |
|---|---|---|---|---|---|---|---|
| 1 | + | − | NA | + | VJ-C | NA | NA |
| 2 | + | − | IgMλ | − | NA | NA | NA |
| 3 | + | − | − | + | NA | NA | NA |
| 4 | + | − | IgMλ | + | NA | NA | NA |
| 5 | − | − | IgAκ | − | VJ-C | − | t(2;5) |
| Case* . | CD20 . | CD3 . | IgH/L . | CD30 . | Molecular . | RT-PCR . | Cytogenetics . |
|---|---|---|---|---|---|---|---|
| 1 | + | − | NA | + | VJ-C | NA | NA |
| 2 | + | − | IgMλ | − | NA | NA | NA |
| 3 | + | − | − | + | NA | NA | NA |
| 4 | + | − | IgMλ | + | NA | NA | NA |
| 5 | − | − | IgAκ | − | VJ-C | − | t(2;5) |
Abbreviations: IgH/L, immunoglobulin heavy- (IgH) and light-chain immunophenotypic analysis using either paraffin section and/or frozen-section techniques; molecular, polymerase chain reaction for IgH and T-cell receptor gamma; VJ-C, clonal immunoglobulin variable region rearrangement; RT-PCR, reverse transcriptase PCR for NPM-ALK rearrangements; NA, not available; (−), negative.
All five cases showed ALK expression in both the nucleus and cytoplasm.
Of the 70 cases included in this series, cytogenetic and/or molecular genetic data concerning the presence of the t(2;5) were available for 15 cases. Ten of the 15 cases had evidence of the characteristic t(2;5) of ALCL, and all 10 cases were positive for ALK protein expression. Clonal karyotypes of the five t(2;5)-negative cases are shown in Table3.
Clonal Karyotypes of the Five Cases of ALCL Without the t(2;5)
| Case . | Phenotype . | Karyotype . |
|---|---|---|
| 1 | B | 94,XX,−Y,+add(1)(p21)x2,add(3)(q26)x2,−4,4,+6,I(6)(p10)x2−7, add(7)(q32),del(7)(p13),−8,+9,+10,+12,−13,−15,−16,+18,+20,+mar1x3, +mar2[5] |
| 2 | T | 48,XX,+5,t(5;7;19)(p15;p13q11;p13),+6,der(13)t(1;13)(q12;p11),add(17)(p13) |
| 3 | B | 51,XX,dup(1)(q41q44),ins(3;?)(q?21;?),+del(7)(p13),t(13;15)(p11;q11),+15, +15,+18,+mar[cp8]/100,idemx2,−X,−t(13;15)(p11;q11)[cp10] |
| 4 | T | 47,XY,add(6)(p25),−7,add(10)(p15),del(12)(q22),+mar1,+mar2[2] |
| 5 | T | 97,XXYY,t(1;3)(q21;p23),add(2)(p13),+add(2)(q35),3,add(3)(p23),4,+7,+9, add(10(q24),del(11)(q23),+12,add(13)(q34),add(17)(p13),+r,+,mar1, +mar2[cp13] |
| Case . | Phenotype . | Karyotype . |
|---|---|---|
| 1 | B | 94,XX,−Y,+add(1)(p21)x2,add(3)(q26)x2,−4,4,+6,I(6)(p10)x2−7, add(7)(q32),del(7)(p13),−8,+9,+10,+12,−13,−15,−16,+18,+20,+mar1x3, +mar2[5] |
| 2 | T | 48,XX,+5,t(5;7;19)(p15;p13q11;p13),+6,der(13)t(1;13)(q12;p11),add(17)(p13) |
| 3 | B | 51,XX,dup(1)(q41q44),ins(3;?)(q?21;?),+del(7)(p13),t(13;15)(p11;q11),+15, +15,+18,+mar[cp8]/100,idemx2,−X,−t(13;15)(p11;q11)[cp10] |
| 4 | T | 47,XY,add(6)(p25),−7,add(10)(p15),del(12)(q22),+mar1,+mar2[2] |
| 5 | T | 97,XXYY,t(1;3)(q21;p23),add(2)(p13),+add(2)(q35),3,add(3)(p23),4,+7,+9, add(10(q24),del(11)(q23),+12,add(13)(q34),add(17)(p13),+r,+,mar1, +mar2[cp13] |
The OS of all 70 patients is shown in Fig 2 (median survival, 133 months). The 5-year OS and FFS of the entire cohort was 65% and 63%, respectively. The 5-year OS for the entire cohort and the subgroup of T-cell/null cases based on the IPI score is shown in Table 4. The 5-year OS was not significantly affected by immunophenotype (B-cell v T-cell v null; 55% v56% v 83%, P = .38) or monomorphic versus pleomorphic cytology (P = .54). Figure 3 shows the OS for all 70 patients based on the expression of ALK protein. The 5-year OS of the ALK+ cases was 79% versus only 46% for the ALK− cases (P < .0003). The 5-year FFS for ALK+ and ALK− cases was 82% and 45%, respectively (P < .001). Figure 4 shows the OS for those cases with either a T-cell or null phenotype. The 5-year OS of the ALK+ cases was 93% versus only 37% for the ALK negative cases (P < .00001). The corresponding 5-year FFS was 88% for ALK+ cases and 37% for ALK−cases (P < .0001). The 5-year OS of B-cell cases (n = 13) when comparing the ALK+ and ALK− groups showed a trend in favor of the ALK+ group, but was not statistically different (75% v 20%, P = .15); similarly, FFS for B-cell cases was not significantly different (P= .34). However, the number of cases included in this analysis is small (n = 13).
Five-Year OS Based on the IPI
| IPI Score . | Clinical Risk Group . | 5-Year OS All Cases % (no. of patients) . | 5-Yr OS T/Null % (no. of patients) . |
|---|---|---|---|
| 0, 1 | Low | 85 (29) | 84 (27) |
| 2 | Low-intermediate | 69 (18) | 75 (10) |
| 3 | High-intermediate | 37 (11) | 56 (8) |
| 4, 5 | High | 18 (12) | 18 (11) |
| Total | 65 (70) | 67 (57) |
| IPI Score . | Clinical Risk Group . | 5-Year OS All Cases % (no. of patients) . | 5-Yr OS T/Null % (no. of patients) . |
|---|---|---|---|
| 0, 1 | Low | 85 (29) | 84 (27) |
| 2 | Low-intermediate | 69 (18) | 75 (10) |
| 3 | High-intermediate | 37 (11) | 56 (8) |
| 4, 5 | High | 18 (12) | 18 (11) |
| Total | 65 (70) | 67 (57) |
Log-rank analysis of the 5-year OS for either the entire cohort (P < .0001) or the T-cell/null immunophenotype cases (P = .006) based on the IPI score was significant.
Overall survival curve of all 70 patients with ALCL studied for the expression of ALK protein, including 36 ALK+ and 34 ALK− cases.
Overall survival curve of all 70 patients with ALCL studied for the expression of ALK protein, including 36 ALK+ and 34 ALK− cases.
Overall survival curve of the T-cell/null ALCL cases (n = 57) studied for expression of ALK protein, including 31 ALK+ and 26 ALK− cases.
Overall survival curve of the T-cell/null ALCL cases (n = 57) studied for expression of ALK protein, including 31 ALK+ and 26 ALK− cases.
The results of univariate analysis of the various prognostic factors for the entire cohort are given in Table 5. Of note, stage was not found to be prognostically important. Factors associated with improved OS included age ≤60 years, a normal serum lactate dehydrogenase (LDH), good performance status, none or only one extranodal site of disease, an IPI score ≤3, and ALK protein expression. Multivariate analysis was performed using two different models. First, using the individual clinical variables in the model showed that a normal serum LDH (P < .0001) and age ≤60 years (P < .007) were associated with improved survival. In the second model, analysis of the five clinical variables as an IPI score showed that an IPI score of ≤3 was also associated with improved OS (P < .00001). When ALK protein expression was added to either model, age was no longer a significant predictor of outcome, but normal serum LDH (P < .00001), an IPI score of ≤3 (P < .0005) and ALK positivity (P < .005) remained highly significant. Thus, although ALK protein expression tended to be associated with a younger age, ALK expression was the more powerful independent variable. Of the patients less than or equal to 35 years of age, 19 of 26 (73%) were ALK+. The multivariate analysis was repeated on the subset of patients with a T-cell/null immunophenotype (n = 57). Without ALK expression in the models, only a normal serum LDH (P = .0001), age ≤60 years (P = .0026), and an IPI score of ≤3 (P = .0008) were significant predictors of a favorable outcome. When ALK was added to the model, age was no longer significant, but a normal serum LDH (P < .00001), an IPI score of ≤3 (P = .023), and ALK protein expression (P = .0007) were associated with improved survival.
Results of Univariate Analysis for Known Clinical Prognostic Factors and for ALK Protein Expression
| Factor . | Association With Improved OS (P Value) . |
|---|---|
| Age ≤60 yr | .007 |
| Normal serum LDH | <.00001 |
| Good performance status | .03 |
| Stages I/II | .23 |
| Extranodal sites ≤1 | .012 |
| IPI score ≤3 | .00001 |
| ALK positivity | .0003 |
| Factor . | Association With Improved OS (P Value) . |
|---|---|
| Age ≤60 yr | .007 |
| Normal serum LDH | <.00001 |
| Good performance status | .03 |
| Stages I/II | .23 |
| Extranodal sites ≤1 | .012 |
| IPI score ≤3 | .00001 |
| ALK positivity | .0003 |
Abbreviations: OS, overall survival; LDH, lactate dehydrogenase; good performance status, ECOG score <2; IPI, International Prognostic Index.
DISCUSSION
This study shows for the first time that a combination of clinical and biological factors can be used to predict survival in ALCL. A normal serum LDH at diagnosis, an IPI score of 3 or less, and expression of the ALK protein are associated with a favorable clinical outcome and have been shown in this study to be independent prognostic variables. Stage was not a predictor of outcome unlike previous studies.33,53 However, we did not include cases of primary cutaneous ALCL, an entity known to be associated with a favorable outcome.34 It is likely that some of the previous studies that have identified limited stage as a favorable prognostic factor have included cases of primary cutaneous ALCL and related CD30+ lymphoproliferative disorders.33,53Moreover, age was a predictor of outcome in both univariate and multivariate analysis when ALK expression was not included in the model, it was not a significant variable following multivariate analysis that included all factors. There is a relationship between young age and ALK protein expression, but the latter was the more important prognostic factor in this patient cohort. Although ALK expression has previously been associated with patient age, these variables have not been subjected to multivariate analysis. Shiota et al23 first reported the association of NPM-ALK/p80 expression and patient outcome in 1995. In a study of 105 patients with ALCL, they found NPM-ALK/p80 expression in 30 patients (29%) and reported an association with younger age and improved 5-year OS. However, their study included pediatric cases and did not provide details regarding either clinical features or treatment. Multivariate analysis was performed only in relation to those factors associated with NPM-ALK/p80 expression, but not the factors usually predictive of survival in NHL.23,38 In a follow-up report from the same group, 67 cases of ALCL were analyzed for NPM-ALK/p80 expression with 64% being positive. An association of NPM-ALK/p80 with both younger age and improved 5-year survival was again found.39 Twenty of the cases analyzed were common to both studies.23,38,39Although some treatment details were provided in the more recent study, multivariate analysis was not performed and, as before, many of the patients were in the pediatric age group. In 1997, Hutchison et al40 reported a study of 44 cases of diffuse large cell lymphoma in children including 20 CD30+ cases, 16 of which had morphology consistent with ALCL. Nineteen of the 20 CD30+ cases were ALK+. Interestingly, 5 of the 24 CD30− cases were also ALK+, but survival analysis failed to show a difference in event-free survival for ALK+ versus ALK− cases and multivariate analysis was not performed. Of note, this study included one ALK+ B-cell case. To our knowledge, no other studies of the clinical significance of ALK expression in ALCL have been published.
A recent study from the Groupe d’Etudes des Lymphomes de l’Adulte reported on 146 patients with ALCL, defined on the basis of morphology and CD30 expression.4 These cases were compared with a large cohort of similarly treated nonanaplastic diffuse large cell lymphomas, with the ALCL patients showing a superior survival. This study found that patients with ALCL were more likely to be male, younger, to have B symptoms, as well as skin and lung involvement, in comparison with the non-ALCL cases. The tumor immunophenotype of the ALCL cases was predominantly B-cell, but the event-free survival and OS of the B-cell cases was similar to those of the T-cell and null cases of ALCL. Importantly, all ALCL patients, independent of immunophenotype, had superior responses to chemotherapy, event-free survival, and OS as compared with non-ALCL patients, suggesting that recognition of ALCL based on morphology and CD30 expression was important. ALK protein expression was not analyzed in this study.
At present, ALCL remains a heterogeneous disorder using standard morphologic and immunophenotypic criteria. Since its original description, the morphologic spectrum of ALCL has been greatly expanded, now including at least eight different histologic variants5,7-12 Not surprisingly, there is little agreement as to what constitutes the important criteria for defining ALCL as a disease entity. Unfortunately, histologic definitions alone result in significant immunologic and molecular genetic heterogeneity. However, biologic definitions allow for substantial morphologic variability, including the possibility of numerous histologic subtypes. This is clearly the case for ALCL. From its inception, the definition of ALCL has been fraught with controversy.54 Many initially advocated use of the term “Ki-1 lymphoma,” because of the presumed unique expression of the Ki-1 (CD30, Ber-H2) antigen by these tumors. Subsequently, it has been shown that CD30 is an activation antigen that can be expressed by normal lymphoid cells and the neoplastic cells of many lymphoproliferative disorders in addition to ALCL.55 Thus, CD30 antigen does not constitute a unique phenotypic marker of ALCL, and indeed may be negative in bona fide cases.40 Unfortunately, the term “anaplastic” is no longer helpful in defining ALCL as an entity, as many cases do not show the cytologic atypia usually reserved for the term “anaplastic.”12 Rather, the monomorphic subtype of the “common” variant appears to be a frequent form of the disease, although the architectural features of sinusoidal infiltration and cohesive growth are often retained. Thus, without the use of biologic criteria, resolving the heterogeneity of ALCL would be a difficult task.
A recent publication from Benharroch et al12 appears to have brought some clarity to this problem. These investigators studied 123 cases from the consultative files of one of the authors. The cases were selected from a larger group of 145 cases with a diagnosis of ALCL. By definition, the cases expressed both CD30 and EMA, and cases expressing B-cell antigens were specifically excluded. Using these criteria, 123 of the 145 cases (85%) expressed ALK protein and were the subject of the report. Key morphologic features of the ALK+ cases were highlighted including the presence of so-called hallmark cells with eccentric, horseshoe-shaped nuclei and a characteristic prominent Golgi apparatus in some of the tumor cells, and a typical perivascular infiltration pattern seen in almost half of the cases.12 It was concluded, based on these results, that the diverse histologic subtypes observed in ALK+ ALCL are part of the spectrum of a single disease entity, all sharing a common molecular pathogenesis, ie, expression of a constitutively activated abnormal ALK protein. Based on these observations, the investigators suggested the term “ALKoma” to refer to these lymphomas. Although we would agree that the expression of ALK is important in further defining ALCL, our data do not agree completely with theirs. For example, they claim that the hallmark cells are only seen in ALK+ ALCL, whereas we found these cells with equal frequency in our ALK− cases, indicating that these cells are not specific for ALK+ ALCL. Moreover, not all of the ALK+ cases in our series expressed EMA.
Our study identified a small number of ALK+ B-cell ALCLs and, importantly, none of these cases had the morphology and immunophenotype of the rare cases reported to express full-length ALK.25 Specifically, our five cases lacked immunoblastic morphology, failed to express cytoplasmic IgA except in one case, and three of the five expressed CD30. Additionally, the case expressing IgA was found to have a t(2;5) by classical cytogenetics and express ALK protein. These observations, together with other data from the literature, indicate that ”true” B-cell ALK+ ALCL cases do exist.4,26,40 However, our results differ from those of Tilly et al4 in several respects. B-cell ALCL was the least frequent immunophenotypic subgroup in our study and the 5-year OS and FFS were similar to that of nonanaplastic diffuse large B-cell lymphoma. The addition of ALK immunostaining in our study did not delineate clinically distinct subgroups, as we were unable to show a statistically significant survival difference when comparing the ALK+ versus ALK− cases. Only 13 B-cell ALCL (18%) cases were identified in this study of 70 adult patients based on histologic and phenotypic criteria, and this small number of cases precludes definitive conclusions regarding the clinical implications of ALK protein expression in this cohort. Although the ALK+ cases showed a trend toward improved OS, we urge caution in the interpretation of these data based on a small number of events. Therefore, we believe that insufficient data are currently available to warrant the exclusion of B-cell cases from the disease entity presently classified as ALCL, and that additional studies are clearly needed.
The association of the t(2;5) with ALCL is widely recognized.27 Nonetheless, estimates of the frequency of the t(2;5), using either classical cytogenetics or RT-PCR, vary from 15% to 80% of cases.28 Moreover, the translocation has been detected in some peripheral T-cell lymphomas other than classical ALCL and in some diffuse large cell lymphomas of B-lineage.26,27,32 In our series of ALCL, one half of the cases expressed ALK. Certainly, some of this apparent heterogeneity results from changing diagnostic criteria for ALCL, but it is likely that some of these findings represent true biologic heterogeneity. Additionally, variant translocations have been identified that result in aberrant ALK expression and can only be detected by classical cytogenetics.29,30 More recently, a cryptic cytogenetic abnormality has been descibed that is most easily recognized using fluorescence in situ hybridization, inv(2)(p23q35), resulting in a distinct pattern of ALK protein expression restricted to the cytoplasm of the neoplastic cells.31 The report of rare diffuse large B-cell lymphomas expressing full-length ALK is a further testament to the present lack of understanding of the various molecular mechanisms responsible for dysregulation of this novel tyrosine kinase.25
In summary, in this series of 70 adults with ALCL, we have shown that, in addition to such well-known factors as a normal serum LDH and an IPI score of ≤3, ALK protein expression by the tumor cells is an independent prognostic factor that predicts a favorable clinical outcome. We conclude that aberrant ALK expression is critical in the definition of ALCL as a disease entity, and we believe that the inclusion of this biologic marker as a diagnostic criterion further refines this heterogeneous category. We recommend that more cases be surveyed to further define the morphologic and immunophenotypic spectrum of this disease entity, with emphasis on clinical correlations including patient outcome. Moreover, we recognize the need for more studies that examine potential alternative molecular mechanisms that may result in overexpression of ALK protein in NHL.
ACKNOWLEDGMENT
The authors thank Yulia D’yachkova for assistance with statistical analysis and our clinical colleagues in medical and radiation oncology for inclusion of patients treated under their care. We also thank Dr Warren Sanger for providing the karyotypes listed in Table3.
Supported in part by National Cancer Institute Grants No. CA 69129 (to S.W.M.) and Cancer Center Support (CORE) CA 21765, and by the American Lebanese Syrian Associated Charities (ALSAC), St Jude Children’s Research Hospital.
The publication costs of this article were defrayed in part by page charge payment. This article must therefore be hereby marked “advertisement” in accordance with 18 U.S.C. section 1734 solely to indicate this fact.
REFERENCES
Author notes
Address reprint requests to Randy D. Gascoyne, MD, Department of Pathology, British Columbia Cancer Agency, 600 W 10th Ave, Vancouver, BC, Canada V5Z 4E6; e-mail: rgascoyn@bccancer.bc.ca.




This feature is available to Subscribers Only
Sign In or Create an Account Close Modal