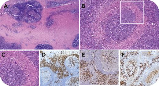
A 64-year-old woman presented with a submandibular lump. Physical examination and imaging were unremarkable except for 2.2 × 2-cm submandibular mass. Excisional biopsy revealed a lymph node showing prominent fibrosis (panel A, 2.5× objective, hematoxylin and eosin [H&E] stain) containing plasma cells and eosinophils. Multifocal, perifollicular histiocytic granulomas with multinucleated giant cells, forming a wreath-like pattern around the follicles, were present (panel B, 5× objective; panel C, 10× objective, H&E stain). Numerous intrafollicular plasma cells, increased IgG+ cells, and increased IgG4+ cells were present (panel D, 5× objective, CD138 immunostain; panel E, 5× objective, IgG immunostain; panel F, 5× objective, IgG4 immunostain). Stains for microorganisms, including spirochaete stains, were negative. The patient was subsequently lost to follow-up.
This case presents multifocal perifollicular granulomatous inflammation with features of IgG4-related lymphadenopathy, including increased IgG4+ cells and IgG4+ cells and eosinophils in fibrotic and interfollicular areas. Although perifollicular granulomas are a distinctive histologic feature, limited data exist on their association with IgG4-related lymphadenopathy. This case highlights the distinctive morphologic finding of perifollicular concentric granulomas in conjunction with features of IgG4-related disease in lymph nodes. It raises awareness that IgG4-related lymphadenopathy should be considered in differential diagnoses of reactive lymph nodes, particularly when perifollicular concentric granulomas and plasmacytosis are present. However, a definitive diagnosis of IgG4-related lymphadenopathy should be made with integration with clinical, laboratory, and radiological findings.
For additional images, visit the ASH Image Bank, a reference and teaching tool that is continually updated with new atlas and case study images. For more information, visit https://imagebank.hematology.org.

This feature is available to Subscribers Only
Sign In or Create an Account Close Modal