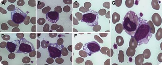
A 7-year-old girl presented with coarse facial features, cardiomegaly, intellectual disability, seizures, and macular cherry red spot. A mucopolysaccharidosis (MPS) disorder was suspected. Hepatosplenomegaly was absent. A comprehensive metabolic panel revealed normal kidney, liver, and thyroid function (thyrotropin: 1.75 μU/mL; T4: 9.5 μg/dL; blood urea nitrogen: 17 mg/dL; creatinine: 0.38 mg/dL), and the level of glycosaminoglycans in urine was normal (urine MPS: 4.2 mg/mmol creatinine), which excludes most of the common MPS disorders. Hematologic parameters showed hemoglobin:11.8 g/dL; white blood cells: 4.48 × 109/L; platelets: 234 × 109/L. There was mild neutropenia (absolute neutrophil count: 1.75 × 109/L). However, the blood film showed prominent cytoplasmic vacuoles in peripheral blood lymphocytes (panels A-F; 100× objective, total magnification ×1000; Wright's stain) suggestive of a storage disorder. Whole exome sequencing revealed a diagnosis of galactosialidosis due to homozygous mutations in the CTSA gene (c.556C>A: p. P186T).
Lysosomal storage disorders (LSDs) are a group of rare inherited diseases, and patients frequently encounter delay in diagnosis. Cytoplasmic vacuoles in neutrophils and monocytes are seen in a variety of conditions due to the phagocytic function of these cells (panel G; 100× objective, total magnification ×1000; Wright's stain). Vacuoles in mature lymphocytes should raise suspicion of an LSD.
For additional images, visit the ASH Image Bank, a reference and teaching tool that is continually updated with new atlas and case study images. For more information, visit http://imagebank.hematology.org.
© 2023 by The American Society of Hematology
2023

This feature is available to Subscribers Only
Sign In or Create an Account Close Modal