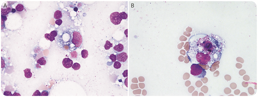
A 47-year-old man with refractory epilepsy was started on lamotrigine. A few days later, he presented to our hospital with a fever, diffuse rash, and splenomegaly. Laboratory tests revealed a transaminitis, leukopenia (1.6 × 109/L), and thrombocytopenia (77 × 109/L). During the initial evaluation, an infectious process, connective tissue disorder, and overt malignancy were ruled out. Given the reported association between lamotrigine and hemophagocytic lymphohistiocytosis (HLH) since at least 2007 and a recent US Food and Drug Administration warning about this serious adverse effect of lamotrigine, HLH was suspected. Ferritin and CD25 levels were requested. Both were found to be very elevated (35 335 ng/mL and 10 680 pg/mL, respectively). Based on the Treatment Protocol of Hemophagocytic Lymphohistiocytosis 2004 trial criteria, the clinical picture was consistent with HLH. A subsequent bone marrow biopsy supported the diagnosis by showing myeloid and megakaryotic hyperplasia and increased histiocytes showing hemophagocytosis (panels A and B, respectively; Wright-Giemsa stain, original magnification ×1000). Genetic testing for HLH revealed no germline mutations, deletions, or duplications.
Shortly after admission, lacosamide was substituted for lamotrigine and treatment with etoposide and dexamethasone was initiated. Soon after, the fever subsided and the rash resolved. Over the following weeks, ferritin declined and the cytopenias improved steadily until normalization of both. Hematologists should be aware of this potentially fatal complication with lamotrigine therapy.
A 47-year-old man with refractory epilepsy was started on lamotrigine. A few days later, he presented to our hospital with a fever, diffuse rash, and splenomegaly. Laboratory tests revealed a transaminitis, leukopenia (1.6 × 109/L), and thrombocytopenia (77 × 109/L). During the initial evaluation, an infectious process, connective tissue disorder, and overt malignancy were ruled out. Given the reported association between lamotrigine and hemophagocytic lymphohistiocytosis (HLH) since at least 2007 and a recent US Food and Drug Administration warning about this serious adverse effect of lamotrigine, HLH was suspected. Ferritin and CD25 levels were requested. Both were found to be very elevated (35 335 ng/mL and 10 680 pg/mL, respectively). Based on the Treatment Protocol of Hemophagocytic Lymphohistiocytosis 2004 trial criteria, the clinical picture was consistent with HLH. A subsequent bone marrow biopsy supported the diagnosis by showing myeloid and megakaryotic hyperplasia and increased histiocytes showing hemophagocytosis (panels A and B, respectively; Wright-Giemsa stain, original magnification ×1000). Genetic testing for HLH revealed no germline mutations, deletions, or duplications.
Shortly after admission, lacosamide was substituted for lamotrigine and treatment with etoposide and dexamethasone was initiated. Soon after, the fever subsided and the rash resolved. Over the following weeks, ferritin declined and the cytopenias improved steadily until normalization of both. Hematologists should be aware of this potentially fatal complication with lamotrigine therapy.
For additional images, visit the ASH Image Bank, a reference and teaching tool that is continually updated with new atlas and case study images. For more information, visit http://imagebank.hematology.org.

This feature is available to Subscribers Only
Sign In or Create an Account Close Modal