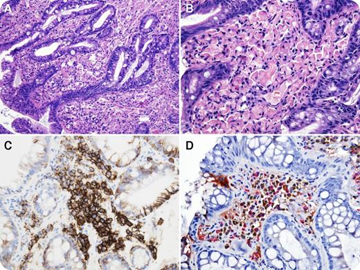
An 80-year-old man presented with chronic pain in the epigastrium. An upper gastrointestinal endoscopy with esophageal biopsy was performed. Histopathologic sections showed Barrett’s mucosa (panel A; original magnification ×20, hematoxylin and eosin stain) with marked plasmacytic infiltrate laden with numerous Russell bodies in the lamina propria (panel B; original magnification ×40, hematoxylin and eosin stain). Helicobacter pylori immunostain was negative. Immunohistochemical stain for CD138 was positive in the plasma cells (panel C; original magnification ×40). Dual immunohistochemical stain for κ and λ showed a polytypic immunoglobulin light chain pattern (panel D; original magnification ×40). Congo red stain for amyloid was negative. CD20-positive B cells and a few scattered CD3-positive T cells were seen. The overall morphology and immunophenotype were consistent with the diagnosis of Mott cell (Russell body) Barrett's esophagitis.
Russell body gastroenteritis is an incidental and rare chronic inflammatory condition, characterized by abundant intramucosal polyclonal plasma cells, and has been reported in association with Barrett’s esophagus, H pylori infection, HIV, gastric carcinoma, monoclonal gammopathy, and hepatitis C. Overstimulation of plasma cells leads to accumulation of nondegradable immunoglobulin in dilated rough endoplasmic reticulum cisternae, which is seen as Russell bodies. It is important to recognize this unusual pattern of inflammation and do a complete workup to exclude all the above conditions. Also, this entity can sometimes be confused with extranodal marginal zone lymphoma of mucosa-associated lymphoid tissue, plasmacytoma, and signet ring cell carcinoma.
An 80-year-old man presented with chronic pain in the epigastrium. An upper gastrointestinal endoscopy with esophageal biopsy was performed. Histopathologic sections showed Barrett’s mucosa (panel A; original magnification ×20, hematoxylin and eosin stain) with marked plasmacytic infiltrate laden with numerous Russell bodies in the lamina propria (panel B; original magnification ×40, hematoxylin and eosin stain). Helicobacter pylori immunostain was negative. Immunohistochemical stain for CD138 was positive in the plasma cells (panel C; original magnification ×40). Dual immunohistochemical stain for κ and λ showed a polytypic immunoglobulin light chain pattern (panel D; original magnification ×40). Congo red stain for amyloid was negative. CD20-positive B cells and a few scattered CD3-positive T cells were seen. The overall morphology and immunophenotype were consistent with the diagnosis of Mott cell (Russell body) Barrett's esophagitis.
Russell body gastroenteritis is an incidental and rare chronic inflammatory condition, characterized by abundant intramucosal polyclonal plasma cells, and has been reported in association with Barrett’s esophagus, H pylori infection, HIV, gastric carcinoma, monoclonal gammopathy, and hepatitis C. Overstimulation of plasma cells leads to accumulation of nondegradable immunoglobulin in dilated rough endoplasmic reticulum cisternae, which is seen as Russell bodies. It is important to recognize this unusual pattern of inflammation and do a complete workup to exclude all the above conditions. Also, this entity can sometimes be confused with extranodal marginal zone lymphoma of mucosa-associated lymphoid tissue, plasmacytoma, and signet ring cell carcinoma.
For additional images, visit the ASH IMAGE BANK, a reference and teaching tool that is continually updated with new atlas and case study images. For more information visit http://imagebank.hematology.org.

This feature is available to Subscribers Only
Sign In or Create an Account Close Modal