In this issue of Blood, Ahn et al report on Pneumocystis jirovecii pneumonia (PCP) complicating ibrutinib monotherapy for progressive chronic lymphocytic leukemia (CLL). These clinically important data evoke important questions about PCP, CLL, and ibrutinib therapy.1
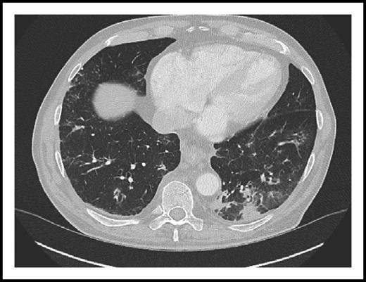
CT scan of the chest from a patient on ibrutinib monotherapy showing interstitial (ground glass) pulmonary infiltrates caused by Pneumocystis pneumonia. See the complete Figure 1 in the article by Ahn et al that begins on page 1940.
CT scan of the chest from a patient on ibrutinib monotherapy showing interstitial (ground glass) pulmonary infiltrates caused by Pneumocystis pneumonia. See the complete Figure 1 in the article by Ahn et al that begins on page 1940.
P. jirovecii is an unusual fungus with an interesting evolution of classification and nomenclature.2 PCP became a public health concern during the AIDS epidemic but is now more common in patients with non–HIV-related acquired immune deficiency who have a distinct clinical presentation and outcome.2,3 The report by Ahn et al could herald the next chapter in the saga of this opportunistic disease in patients with CLL.
Therapy naïve CLL patients can have early onset and profound immune deficiency.4 Treatment of progressive CLL with alemtuzumab or chemoimmunotherapy (CIT) exacerbates this immune deficiency and increases the risk of PCP.5 Despite extensive experience with these regimens, the incidence, risk factors, and utility of prophylactic antimicrobial therapies in patients being treated for CLL are not well defined. Predictions of the risk of PCP in CLL patients undergoing treatment have usually been based on the decrease in CD4+ T-cell counts (<0.2 × 109/L) caused by therapy.2 Consequently, treatment of CLL by inhibiting B-cell receptor (BCR) pathway activity using ibrutinib targeting Bruton tyrosine kinase (BTK) or idelalisib targeting the δ isoform of phosphatidylinositol-4,5-bisphosphonate 3-kinase (PI3Kδ) was not expected to increase the risk of PCP. Previous reports of clinical trials using ibrutinib-containing regimens have not specifically noted increased rates of PCP, and most did not detail the use of PCP prophylaxis. The report by Ahn et al of 5 cases of PCP among 96 CLL patients receiving ibrutinib monotherapy is thus surprising and suggests that ibrutinib could be more immune suppressive than previously recognized.
Most CLL patients with PCP have previously presented with severe respiratory symptoms (cough and dyspnea), hypoxia, interstitial (ground glass) pulmonary infiltrates on computed tomography (CT) scans (see figure), and fewer P. jirovecii organisms in bronchoalveolar lavage (BAL) fluid than patients with AIDS.2,3 Initiation of anti-Pneumocystis therapy often exacerbated respiratory compromise, a complication that could respond to treatment with corticosteroid therapy. PCP in patients with hematological malignancies including CLL has previously been associated with a high risk of mortality.2 In contrast, the CLL patients with PCP reported by Ahn et al had higher CD4+ T-cell counts, less severe and more treatment responsive PCP, and no mortality.
There are several potential explanations for these differences. The CLL patients with PCP reported by Ahn et al were managed in clinical trials of ibrutinib mandating close monitoring including serial CT scans at considerably shorter intervals than the standard of care.6 Patients with respiratory symptoms or asymptomatic imaging abnormalities were evaluated with bronchoscopy and BAL fluid was tested for P. jirovecci DNA with sensitive and specific polymerase chain reaction–based assays. The clinical trial patient population was selected for good organ function and performance status with few having prior immune suppressive therapy. The surveillance bias toward earlier diagnosis in a fitter patient population could have contributed to the low morbidity and favorable outcome for PCP. However, the apparent increase in risk of PCP and differences in the clinical presentation and therapeutic responses in this population could also reflect the immune modulatory effects of ibrutinib therapy in CLL patients.
Ibrutinib covalently binds and permanently inactivates BTK resulting in decreased BCR pathway signaling in both CLL and nonmalignant B cells. Inhibition of BTK and other Tyrosine-protein kinase Tec family proteins by ibrutinib in T cells, natural killer cells, monocytes, macrophages, and neutrophils could alter cellular and innate immunity and increase susceptibility to PCP even in CLL patients with absolute CD4+ T-cell counts >0.4 × 109/L and immunoglobulin G >500 mg/dL.7,8 The clinical presentation and response to treatment of PCP could also be altered by the immune modulatory effects of ibrutinib. Recent reports by the US Food and Drug Administration and the European Medicines Agency warn that initial treatment of progressive CLL with regimens including the PI3Kδ inhibitor idelalisib increase the risk of opportunistic infections including PCP. The apparent increase in risk of PCP in CLL patients treated with ibrutinib or idelalisib provides an additional rationale for further examination of the immune suppressive effects of drugs inhibiting the BCR pathway.
The immediate clinical impact of the report by Ahn et al will be to raise the index of suspicion for PCP in CLL patients on ibrutinib therapy irrespective of their CD4+ T-cell counts, resulting in earlier diagnosis and more effective management. As recognized by the authors, their data are derived from a small sample of patients that are not fully representative of the general CLL population requiring treatment. In addition, the 5 patients with PCP had lower morbidity and mortality than previously experienced by HIV-negative patients with hematological malignancies.3 Given the potential risks of long-term use of anti-PCP drugs,9 there is not yet sufficient evidence to make informed recommendations on whether CLL patients on ibrutinib monotherapy will benefit from primary PCP prophylaxis.
In conclusion, PCP remains an important complication of CLL treatments including ibrutinib. Because ibrutinib is less immune suppressive than older CLL therapies (eg, CIT, alemtuzumab) and can extend survival in patients with very high-risk CLL, the challenge will be to diagnose the more subtle presentation of PCP described by Ahn et al. The effects of BCR pathway inhibitors on immune function and the risk of infection in patients with CLL need further study to provide the data required to optimize management with this important class of drugs.
Conflict-of-interest disclosure: The author declares no competing financial interests.

This feature is available to Subscribers Only
Sign In or Create an Account Close Modal