Abstract
Invasive surgery brings with it a unique set of post-surgical risks that are directly dependent on various factors including the specific surgical approach used, pre-existing comorbidities and features such as gender and age. Pulmonary thromboembolism is one of the most feared complications following surgery, and diagnosis and treatment of this entity is a challenging task for the clinician. Here we describe a case of massive pulmonary thromboembolism and associated coronary artery thromboemboli status post spinal fusion surgery in a 68 year-old man with an undetected patent foramen ovale (PFO). Although the decedent was managed clinically with proper deep venous thrombosis prophylaxis protocols and physical rehabilitation, he went into cardiorespiratory arrest after experiencing acute oxygen desaturation and newly detected right bundle branch block. PFO can be incidentally found in 25% of the adult population. Several clinical syndromes including stroke, migraine headaches and obstructive sleep apnea have been associated in patients with PFO, the last two from which the decedent suffered. The pathology of this unique case of massive pulmonary thromboembolism resulting in coronary artery thromboemboli in the setting of an undetected PFO is discussed. The discovery of PFO in patients prior to surgery, if detected early, may improve post-surgical outcomes.
Massive pulmonary artery thromboembolism in situ, gross examination.
Massive pulmonary artery thromboembolism in situ, gross examination.
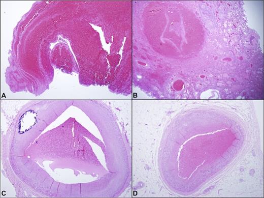
Histology, hematoxylin and eosin. A. Pulmonary thromboembolus at the bifurcation of the pulmonary arteries and pulmonary trunk. B. Hemorrhagic infarct and thromboemboli in varying stages of organization, right lower lobe, lung. C. Cross section of the proximal left anterior descending coronary artery with thromboembolus. D. Cross section of the posterior descending coronary artery with thromboembolus.
Histology, hematoxylin and eosin. A. Pulmonary thromboembolus at the bifurcation of the pulmonary arteries and pulmonary trunk. B. Hemorrhagic infarct and thromboemboli in varying stages of organization, right lower lobe, lung. C. Cross section of the proximal left anterior descending coronary artery with thromboembolus. D. Cross section of the posterior descending coronary artery with thromboembolus.
Patent foramen ovale, gross examination.
No relevant conflicts of interest to declare.
Author notes
Asterisk with author names denotes non-ASH members.



This feature is available to Subscribers Only
Sign In or Create an Account Close Modal