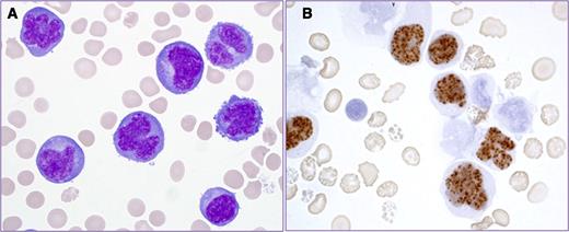
A 48-year-old HIV-positive man on highly active retroviral therapy presented with fevers, chills, and a new pleural effusion. Imaging did not identify organomegaly or mass lesions. A cytospin of thoracentesis fluid showed large, highly pleomorphic neoplastic cells with prominent nucleoli and deeply basophilic cytoplasm with perinuclear hofs (clearing), consistent with plasmacytic differentiation (panel A). Flow cytometry showed the neoplastic cells lacked T- or B-cell markers but expressed plasma cell-associated antigens. Immunohistochemistry for human herpesvirus-8 (HHV-8)–encoded latency-associated nuclear antigen demonstrated positive, stippled nuclear staining (panel B). The findings are characteristic for primary effusion lymphoma (PEL). This patient developed septic shock and died prior to therapy initiation.
PEL occurs most frequently in HIV-infected individuals and primarily involves body cavities. HHV-8 is present in all cases and serves as a key diagnostic criterion; Epstein-Barr virus coinfection is common. In contrast to PEL, HHV-8–negative effusion-based lymphomas tend to occur in HIV-negative elderly, are sometimes associated with hepatitis C infection or chronic inflammation-related pyothorax, and are reported to have better prognosis. PEL is generally resistant to chemotherapy with a short survival of <6 months. However, recent advances exploring mechanisms of HHV-8 oncogenesis have suggested potential novel therapeutic targets, such as nuclear factor κB, the proteasome, and cytokine signaling.
A 48-year-old HIV-positive man on highly active retroviral therapy presented with fevers, chills, and a new pleural effusion. Imaging did not identify organomegaly or mass lesions. A cytospin of thoracentesis fluid showed large, highly pleomorphic neoplastic cells with prominent nucleoli and deeply basophilic cytoplasm with perinuclear hofs (clearing), consistent with plasmacytic differentiation (panel A). Flow cytometry showed the neoplastic cells lacked T- or B-cell markers but expressed plasma cell-associated antigens. Immunohistochemistry for human herpesvirus-8 (HHV-8)–encoded latency-associated nuclear antigen demonstrated positive, stippled nuclear staining (panel B). The findings are characteristic for primary effusion lymphoma (PEL). This patient developed septic shock and died prior to therapy initiation.
PEL occurs most frequently in HIV-infected individuals and primarily involves body cavities. HHV-8 is present in all cases and serves as a key diagnostic criterion; Epstein-Barr virus coinfection is common. In contrast to PEL, HHV-8–negative effusion-based lymphomas tend to occur in HIV-negative elderly, are sometimes associated with hepatitis C infection or chronic inflammation-related pyothorax, and are reported to have better prognosis. PEL is generally resistant to chemotherapy with a short survival of <6 months. However, recent advances exploring mechanisms of HHV-8 oncogenesis have suggested potential novel therapeutic targets, such as nuclear factor κB, the proteasome, and cytokine signaling.
For additional images, visit the ASH IMAGE BANK, a reference and teaching tool that is continually updated with new atlas and case study images. For more information visit http://imagebank.hematology.org.

This feature is available to Subscribers Only
Sign In or Create an Account Close Modal