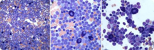
An asymptomatic 66-year-old woman presented with an elevated total protein of 9.1 g on routine blood work. Serum protein electrophoresis showed an immunoglobulin A (IgA) κ (kappa) M-spike measuring 3570 mg/dL with depression of immunoglobulins M and G (IgM and IgG). Renal function and calcium level were normal. Twenty-four–hour urine protein electrophoresis detected a faint band, too low to quantify. Lytic lesions or hepatosplenomegaly were absent. Marrow biopsy revealed a small lymphocytic infiltrate with scattered mast cells. Flow cytometry detected clonal κ-restricted B cells (CD20+CD5 subset+) and plasma cells (CD56−CD38++). A diagnosis of IgA-positive lymphoplasmacytic lymphoma was made. Lymphoplasmacytic lymphoma with IgM monoclonal gammopathy is characteristic of Waldenström macroglobulinemia. Rarely (as in the current case), lymphoplasmacytic lymphoma is associated with IgG or IgA monoclonal gammopathy. Rituximab treatment initially led to a decline in serum-free light chains. However, a subsequent rise led to ibrutinib treatment. Follow-up marrow biopsy was hypercellular with a diffuse lymphoplasmacytic infiltrate. Panels A-C (marrow aspirate smears) illustrate the predominant lymphoplasmacytic infiltrate with a prominent admixture of reactive mast cells, which were positive for CD117 and mast cell tryptase and negative for CD2 and CD25 (neoplastic markers). Panel A shows scattered mast cells with numerous lymphoplasmacytic cells. In panel B, higher magnification shows 4 reactive mast cells (with deeply basophilic granules). Panel C shows lymphoplasmacytic cells with 7 mast cells (with deeply basophilic granules). Original magnifications: A, ×100; B-C, ×200. A-C, Wright-Giemsa stain.
Reactive mast cells are often seen in lymphoplasmacytic lymphoma and have rarely been reported in chronic lymphocytic leukemia and marginal zone lymphoma.
An asymptomatic 66-year-old woman presented with an elevated total protein of 9.1 g on routine blood work. Serum protein electrophoresis showed an immunoglobulin A (IgA) κ (kappa) M-spike measuring 3570 mg/dL with depression of immunoglobulins M and G (IgM and IgG). Renal function and calcium level were normal. Twenty-four–hour urine protein electrophoresis detected a faint band, too low to quantify. Lytic lesions or hepatosplenomegaly were absent. Marrow biopsy revealed a small lymphocytic infiltrate with scattered mast cells. Flow cytometry detected clonal κ-restricted B cells (CD20+CD5 subset+) and plasma cells (CD56−CD38++). A diagnosis of IgA-positive lymphoplasmacytic lymphoma was made. Lymphoplasmacytic lymphoma with IgM monoclonal gammopathy is characteristic of Waldenström macroglobulinemia. Rarely (as in the current case), lymphoplasmacytic lymphoma is associated with IgG or IgA monoclonal gammopathy. Rituximab treatment initially led to a decline in serum-free light chains. However, a subsequent rise led to ibrutinib treatment. Follow-up marrow biopsy was hypercellular with a diffuse lymphoplasmacytic infiltrate. Panels A-C (marrow aspirate smears) illustrate the predominant lymphoplasmacytic infiltrate with a prominent admixture of reactive mast cells, which were positive for CD117 and mast cell tryptase and negative for CD2 and CD25 (neoplastic markers). Panel A shows scattered mast cells with numerous lymphoplasmacytic cells. In panel B, higher magnification shows 4 reactive mast cells (with deeply basophilic granules). Panel C shows lymphoplasmacytic cells with 7 mast cells (with deeply basophilic granules). Original magnifications: A, ×100; B-C, ×200. A-C, Wright-Giemsa stain.
Reactive mast cells are often seen in lymphoplasmacytic lymphoma and have rarely been reported in chronic lymphocytic leukemia and marginal zone lymphoma.
For additional images, visit the ASH IMAGE BANK, a reference and teaching tool that is continually updated with new atlas and case study images. For more information visit http://imagebank.hematology.org.

This feature is available to Subscribers Only
Sign In or Create an Account Close Modal