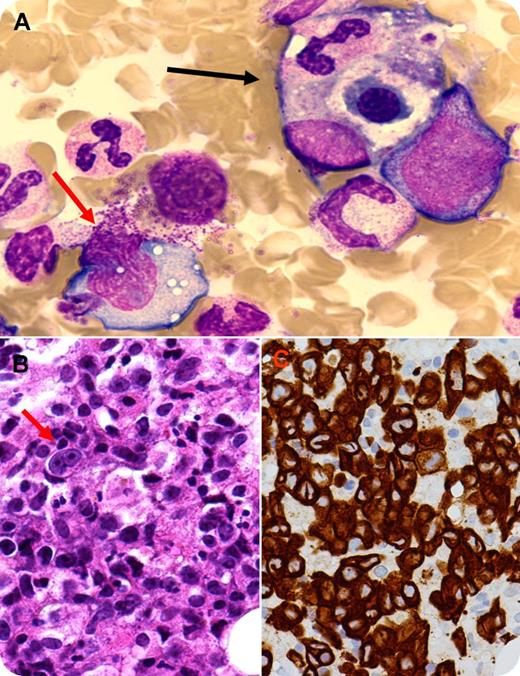
A 52-year-old HIV-positive man with a history of 2 weeks of intermittent fevers ≥38.7°C was admitted to the intensive care unit with treatment for a presumed infection. Cultures of his blood, urine, and sputum were negative for infection. Computed tomography of the thorax/abdomen/pelvis area detected hepatosplenomegaly and intrathoracic lymphadenopathy. Blood work revealed a possible hemophagocytic lymphohistiocytosis (HLH) with a hemoglobin value of 66 g/L, platelets 68 × 109/L, hypertriglyceridemia 7.67 mmol/L, and ferritin, 19 939 µg/L. Core inguinal lymph node biopsy results were nondiagnostic. Marrow aspirate showed significant hemophagocytosis, in which a histiocyte was engulfing an erythroid precursor and a neutrophil (panel A, black arrow). An adjacent large cell with irregular nuclear contour and basophilic cytoplasm with vacuoles were also observed (panel A, red arrow). Biopsy results highlighted the typical “hallmark” cell (panel B) and background hemophagocytosis. The abnormal cells were strongly positive for CD30 (panel C), CD3, CD4, CD25, EMA, and P53 but negative for ALK. T-cell receptor (TCR) gene rearrangement for the δ chain was clonal. A diagnosis of hemophagocytosis caused by marrow anaplastic large cell lymphoma (ALCL), ALK–, was made because the patient’s symptoms fulfilled 6 of the 8 diagnostic criteria. The patient died 2 weeks later.
HLH can be associated with many causes, such as infection, rheumatologic disorders, and immunodeficiency syndromes and malignancy—especially lymphomas—which include B, T/NK, and ALCL. Patients with lymphoma in whom HLH develops usually have an acute infectious/inflammatory trigger and are facing imminent death.
A 52-year-old HIV-positive man with a history of 2 weeks of intermittent fevers ≥38.7°C was admitted to the intensive care unit with treatment for a presumed infection. Cultures of his blood, urine, and sputum were negative for infection. Computed tomography of the thorax/abdomen/pelvis area detected hepatosplenomegaly and intrathoracic lymphadenopathy. Blood work revealed a possible hemophagocytic lymphohistiocytosis (HLH) with a hemoglobin value of 66 g/L, platelets 68 × 109/L, hypertriglyceridemia 7.67 mmol/L, and ferritin, 19 939 µg/L. Core inguinal lymph node biopsy results were nondiagnostic. Marrow aspirate showed significant hemophagocytosis, in which a histiocyte was engulfing an erythroid precursor and a neutrophil (panel A, black arrow). An adjacent large cell with irregular nuclear contour and basophilic cytoplasm with vacuoles were also observed (panel A, red arrow). Biopsy results highlighted the typical “hallmark” cell (panel B) and background hemophagocytosis. The abnormal cells were strongly positive for CD30 (panel C), CD3, CD4, CD25, EMA, and P53 but negative for ALK. T-cell receptor (TCR) gene rearrangement for the δ chain was clonal. A diagnosis of hemophagocytosis caused by marrow anaplastic large cell lymphoma (ALCL), ALK–, was made because the patient’s symptoms fulfilled 6 of the 8 diagnostic criteria. The patient died 2 weeks later.
HLH can be associated with many causes, such as infection, rheumatologic disorders, and immunodeficiency syndromes and malignancy—especially lymphomas—which include B, T/NK, and ALCL. Patients with lymphoma in whom HLH develops usually have an acute infectious/inflammatory trigger and are facing imminent death.
For additional images, visit the ASH IMAGE BANK, a reference and teaching tool that is continually updated with new atlas and case study images. For more information visit http://imagebank.hematology.org.

This feature is available to Subscribers Only
Sign In or Create an Account Close Modal