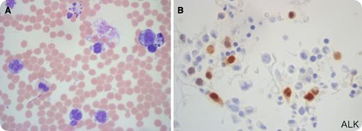
This peripheral blood (PB) smear from a 24-year-old man with retroperitoneal lymphadenopathy and a white blood cell count of 77 × 109 cells/L (66% lymphocytes) showed variably-sized atypical lymphocytes with irregular nuclear contours and basophilic vacuolated cytoplasm including numerous flower cells and apoptotic cells (panel A). Hallmark cells with reniform nuclei, small to large in size, were a minor proportion (panels A and B). Flow cytometric analysis (FC) of the PB and bone marrow (BM) samples detected a T-cell population with low forward scatter and CD2+(dim), CD3+(dim), CD7+, CD8+(dim), CD4–, CD5–, and CD25+; CD30 expression was dim in the BM and negative in the PB by FC. BM morphology showed scattered interstitial infiltration of small- to medium-sized atypical lymphocytes that were variably CD30+ and ALK+ (nuclear staining) by immunohistochemistry (panel B). BM fluorescence in situ hybridization and karyotype studies revealed ALK rearrangement and t(2;5)(p23;q35), respectively.
Strong uniform CD30 expression, typical of the common variant, was not observed in these samples. Furthermore, the flower cells seen raise the possibility of adult T-cell leukemia/lymphoma. This case highlights the broad morphologic spectrum of ALK+ ALCL and underscores the importance of a multimodal diagnostic approach in T-cell lymphoma that includes investigation of ALK rearrangement and/or staining, defining features of this entity.
This peripheral blood (PB) smear from a 24-year-old man with retroperitoneal lymphadenopathy and a white blood cell count of 77 × 109 cells/L (66% lymphocytes) showed variably-sized atypical lymphocytes with irregular nuclear contours and basophilic vacuolated cytoplasm including numerous flower cells and apoptotic cells (panel A). Hallmark cells with reniform nuclei, small to large in size, were a minor proportion (panels A and B). Flow cytometric analysis (FC) of the PB and bone marrow (BM) samples detected a T-cell population with low forward scatter and CD2+(dim), CD3+(dim), CD7+, CD8+(dim), CD4–, CD5–, and CD25+; CD30 expression was dim in the BM and negative in the PB by FC. BM morphology showed scattered interstitial infiltration of small- to medium-sized atypical lymphocytes that were variably CD30+ and ALK+ (nuclear staining) by immunohistochemistry (panel B). BM fluorescence in situ hybridization and karyotype studies revealed ALK rearrangement and t(2;5)(p23;q35), respectively.
Strong uniform CD30 expression, typical of the common variant, was not observed in these samples. Furthermore, the flower cells seen raise the possibility of adult T-cell leukemia/lymphoma. This case highlights the broad morphologic spectrum of ALK+ ALCL and underscores the importance of a multimodal diagnostic approach in T-cell lymphoma that includes investigation of ALK rearrangement and/or staining, defining features of this entity.
For additional images, visit the ASH IMAGE BANK, a reference and teaching tool that is continually updated with new atlas and case study images. For more information visit http://imagebank.hematology.org.

This feature is available to Subscribers Only
Sign In or Create an Account Close Modal