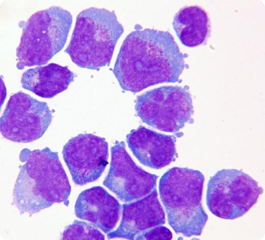
A 65-year-old woman with acute myeloid leukemia (AML), subtype acute myelomonocytic leukemia with normal karyotype in her second complete remission developed week-long severe headaches and leg weakness 3 months after completing her last chemotherapy. Computed tomography and magnetic resonance imaging revealed multiple foci of enhancement within the brain parenchyma and the leptomeninges. Lumbar puncture obtained a clear colorless fluid that was infiltrated by a large myeloblast population with cytoplasmic granules and irregularly shaped nuclei. Flow cytometry on the cerebrospinal fluid confirmed the presence of a myeloblast population expressing CD117, partial CD34, CD 13, CD33, dim CD15, dim CD4, and human leukocyte antigen–DR similar to the original myeloblast phenotype. A bone marrow aspirate and biopsy done concurrently did not show evidence of leukemic relapse, and her complete blood count was essentially unremarkable (white cell count 5.5 × 109/L, hemoglobin 130 g/L, platelets 121 × 109/L). The patient received palliative cranial radiation with progressive neurologic symptoms and succumbed to severe sepsis.
AML involving the central nervous system is rare, but it can precede systemic relapse. A normal bone marrow exam does not preclude the possibility of extramedullary disease. Prognosis is extremely poor and therapeutic options are limited to cranial radiation or intrathecal chemotherapy, usually with palliative intent.
A 65-year-old woman with acute myeloid leukemia (AML), subtype acute myelomonocytic leukemia with normal karyotype in her second complete remission developed week-long severe headaches and leg weakness 3 months after completing her last chemotherapy. Computed tomography and magnetic resonance imaging revealed multiple foci of enhancement within the brain parenchyma and the leptomeninges. Lumbar puncture obtained a clear colorless fluid that was infiltrated by a large myeloblast population with cytoplasmic granules and irregularly shaped nuclei. Flow cytometry on the cerebrospinal fluid confirmed the presence of a myeloblast population expressing CD117, partial CD34, CD 13, CD33, dim CD15, dim CD4, and human leukocyte antigen–DR similar to the original myeloblast phenotype. A bone marrow aspirate and biopsy done concurrently did not show evidence of leukemic relapse, and her complete blood count was essentially unremarkable (white cell count 5.5 × 109/L, hemoglobin 130 g/L, platelets 121 × 109/L). The patient received palliative cranial radiation with progressive neurologic symptoms and succumbed to severe sepsis.
AML involving the central nervous system is rare, but it can precede systemic relapse. A normal bone marrow exam does not preclude the possibility of extramedullary disease. Prognosis is extremely poor and therapeutic options are limited to cranial radiation or intrathecal chemotherapy, usually with palliative intent.
For additional images, visit the ASH IMAGE BANK, a reference and teaching tool that is continually updated with new atlas and case study images. For more information visit http://imagebank.hematology.org.

This feature is available to Subscribers Only
Sign In or Create an Account Close Modal