Abstract
The occurrence of acute myeloid leukemia (AML) after the treatment for multiple myeloma (MM) is well described in several cases. The simultaneous presentation of MM and AML is very rare, with only 17 cases reported in articles found at PubMed.
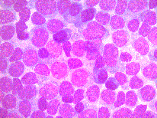
A 69 years old woman was sent at our institution for consultation due to pancitopenia at check-up. Past medical history was irrelevant. The CBC reported Hb 11.3 g/dL, Htc 33.8 %, ESR 32 mm/hr, Rouleaux formation +++, WBC 24.5 K/µL; differential showing nuetrophils 0.748 K/μL, lymphocytes 2.2 K/μL and myeloid blasts 20.1 K/µL, platelets 23.4 K/µL. The bone marrow aspiration was hypercellular with infiltration by myeloid blasts counting 95 %, and plasma cells with neoplastic morphology counting the remaining 5 %, no normal hematopoietic cells were observed. Hematological malignancy work up, also for MM, was performed, including flow cytometry (FC) and G band karyotype (GBK). FC revealed three populations: 1) representing 82.9 % that expressed CD11b +, CD13 ++, CD33 +, CD34 +, CD 38 +, HLA-DR + and MPO +; 2) representing 4.6 % and expressed CD38 +++, CD56 +, CD138 +++, kappa ++; 3) mixed population of normal B and T cells, representing 12.5 %. GBK showed 18 normal metaphases and 2 metaphases with t(11:14) (q13:q32) and del(13q). Stratification tests reported creatinin 2.3 mg/dL, , Ca 10.15 mg/dL, us-CRP 23 mg/dL, β-2-microglobulin 7.751 mg/L, albumin 2.35 g/dL, globulin 5.75 g/dL, serum protein electrophoresis with M-spike in the gamma region with 4.12 g/dL, positive Bence Jones protein, X-ray from the skull showed multiple lytic lesions. High risk MM and AML M4 were diagnosed. The patient did not accept any treatment and died few days later due a pulmonary hemorrhage.
There is no pathophysiologic mechanism that explains the simultaneous occurrence. MM is a slowly disease, it may lead to chromosomal instability and immunosuppression with failure to eliminate clones of leukemic cells. No effective treatment is currently available, allogeneic stem cell transplantation is the best option.
No relevant conflicts of interest to declare.
Author notes
Asterisk with author names denotes non-ASH members.



This feature is available to Subscribers Only
Sign In or Create an Account Close Modal