Abstract
Abstract 1894
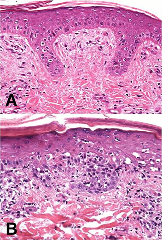
Graft-versus-host disease (GVHD) remains a frequent complication of hematopoietic cell transplantation with skin being a principal target organ. Murine models have provided some insight into the mechanisms of this complex disease process. However, mouse skin differs from human skin, and results of studies in rodents may not translate well to the clinic. Miniature swine is a well-recognized animal model for preclinical studies of skin including dermal toxicology, transdermal drug delivery and wound healing. Unlike skin of rodents, dogs or non-human primates, porcine skin is similar to human skin in terms of structure of epidermal rete ridges (Figure 1A), hair follicle structure and density, and presence of sweat glands and subcutaneous fat.
We have developed a miniature swine model of haploidentical hematopoietic cell transplantation that results in stable stem cell engraftment, hematopoietic chimerism and donor skin flap tolerance without GVHD. Swine leukocyte antigen (SLA)ad animals receive 100cGy total body irradiation and T cell depletion using porcine CD3 immunotoxin prior to cytokine mobilized peripheral blood hematopoietic cell transplantation from a haploidentical SLAac donor. Daily cyclosporine is administered at doses adjusted to maintain serum levels between 400–800 ng/ml starting one day prior to transplantation and continued for 30 days with taper until day 45.
Mixed hematopoietic cell chimerism persists in these animals and donor vascularized skin flaps are accepted without the need for maintenance immunosuppression regardless of whether they are placed at the time of hematopoietic cell transplantation or greater than 100 days later. Despite the initial resistance to GVHD in this model, acute cutaneous GVHD could be induced through infusion of a high dose of donor leukocytes (DLI) including 15 million donor T cells/kg recipient body weight administered 463 days post hematopoietic cell transplantation and 314 days post vascularized donor skin flap transplantation. Conversion to full donor hematopoiesis was observed between 3–4 weeks post DLI. At this time a mild skin rash was evident in both donor and host skin which appeared to progress specifically within host skin. The presence of both donor and host skin on a tolerant animal whose peripheral blood consists of a mixture of both donor and host derived hematopoietic cells provides a novel model to evaluate specific targets of acute GVHD.
In this study we assess histologically the manifestations of acute GVHD in both donor and host skin and compare it to typical histological manifestations of acute GVHD observed in patients. Specifically, recipient skin developed superficial lymphoid infiltrates that progressed to confluence along the dermal-epidermal junction by day 21. These infiltrates were associated with intraepidermal migration, prominent basal cell layer keratinocyte apoptosis, and satellitosis virtually indistinguishable from grade 3–4 human cutaneous acute GVHD (Figure 1B). Superficial portions of hair follicles were involved, as also seen in human disease. Of interest, mild disease was detected in the donor skin grafts by day 62 post-DLI, where selective lymphoid infiltration in the tips of the epidermal rete ridges and in association with target cell apoptosis/satellitosis was documented, a finding remarkably similar to early targeting events in humans.
These findings emphasize the value of the porcine model for translational studies of cutaneous GVHD. Preliminary data suggest differences in cellular targeting between recipient and donor skin whereby the latter may be triggered by the presence of chimeric recipient-derived hematopoietic elements that have populated donor grafts. Further studies are now possible to explore the effector-target cell interactions in this clinically-relevant model of human cutaneous GVHD.
Comparison of normal porcine skin (A) resembling epidermal and dermal layers of human integument, and (B) recipient skin 34 days post DLI, showing brisk superficial lymphoid infiltrate associated with basal layer epidermal apoptosis.
Comparison of normal porcine skin (A) resembling epidermal and dermal layers of human integument, and (B) recipient skin 34 days post DLI, showing brisk superficial lymphoid infiltrate associated with basal layer epidermal apoptosis.
No relevant conflicts of interest to declare.
Author notes
Asterisk with author names denotes non-ASH members.

This feature is available to Subscribers Only
Sign In or Create an Account Close Modal