A 49-year-old man, with HIV positivity for 10 years, was hospitalized with fatigue, dyspnea, fever, and weight loss. The HIV infection was controlled despite a low CD4 count (113/mm3). Gastrointestinal leishmaniasis had been successfully treated with liposomal amphotericin B. Three months earlier, he had moderate pancytopenia with no serological or molecular evidence for leishmaniasis in peripheral blood. On admission, he had petechiae, purpura, and splenomegaly.
The white blood cell count was 1.0 × 103/mL, hemoglobin 6.6 g/dL, and platelets 6 × 106/mL. The bone marrow was dry. The core biopsy showed numerous lymphohistiocytic aggregates with intracellular and extracellular protozoa (left) and histiocytes with heavy parasitization by Leishmania amastigotes (right), aflagellate, round forms 2 to 4 mm in diameter (Leishman-Donovan bodies). The pancytopenia of the patient was related to the massive Leishmania donovani invasion of the bone marrow. Despite prompt treatment with liposomal amphotericin B, he died of severe bleeding.
HIV infection increases the risk of developing visceral leishmaniasis in areas where the organism is endemic. Patients on highly active antiviral therapy with an insufficient CD4 cell count despite undetectable HIV viral load are still at major risk of a first episode and of relapse of leishmaniasis.
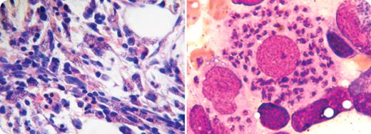
A 49-year-old man, with HIV positivity for 10 years, was hospitalized with fatigue, dyspnea, fever, and weight loss. The HIV infection was controlled despite a low CD4 count (113/mm3). Gastrointestinal leishmaniasis had been successfully treated with liposomal amphotericin B. Three months earlier, he had moderate pancytopenia with no serological or molecular evidence for leishmaniasis in peripheral blood. On admission, he had petechiae, purpura, and splenomegaly.
The white blood cell count was 1.0 × 103/mL, hemoglobin 6.6 g/dL, and platelets 6 × 106/mL. The bone marrow was dry. The core biopsy showed numerous lymphohistiocytic aggregates with intracellular and extracellular protozoa (left) and histiocytes with heavy parasitization by Leishmania amastigotes (right), aflagellate, round forms 2 to 4 mm in diameter (Leishman-Donovan bodies). The pancytopenia of the patient was related to the massive Leishmania donovani invasion of the bone marrow. Despite prompt treatment with liposomal amphotericin B, he died of severe bleeding.
HIV infection increases the risk of developing visceral leishmaniasis in areas where the organism is endemic. Patients on highly active antiviral therapy with an insufficient CD4 cell count despite undetectable HIV viral load are still at major risk of a first episode and of relapse of leishmaniasis.
Many Blood Work images are provided by the ASH IMAGE BANK, a reference and teaching tool that is continually updated with new atlas images and images of case studies. For more information or to contribute to the Image Bank, visit http://imagebank.hematology.org.

This feature is available to Subscribers Only
Sign In or Create an Account Close Modal