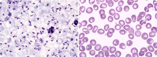
A 2-year-old boy presented to a clinic in rural Mali with fever and malaise. Thick and thin blood films stained with Giemsa (left and right, respectively) revealed that 25.7% of circulating erythrocytes were parasitized with Plasmodium falciparum (273 450 ring-stage parasites per microliter of whole blood). The child had an axillary temperature of 36.9°C and a hemoglobin level of 78 g/L. Eight hours after the first blood smear, a second thin blood film showed 0.6% parasitemia. The child was treated with oral artesunate and amodiaquine over 3 days. Cure was documented on the fourth day by a negative blood smear.
Only ring-stage parasitized erythrocytes circulate in the bloodstream. As ring-stage parasites mature to trophozoites, parasitized erythrocytes sequester by adhering to host endothelial cells in microvessels. In this child, the synchronicity of P falciparum maturation produced a large wave of ring-stage parasitized erythrocytes that were sequestered en masse or removed by the spleen. This case illustrates that individuals with very low or undetectable parasitemia on blood smears may harbor exceedingly high and life-threatening parasite burdens. Of additional interest, this child had sickle cell trait, which may have prevented the development of severe manifestations of malaria.
A 2-year-old boy presented to a clinic in rural Mali with fever and malaise. Thick and thin blood films stained with Giemsa (left and right, respectively) revealed that 25.7% of circulating erythrocytes were parasitized with Plasmodium falciparum (273 450 ring-stage parasites per microliter of whole blood). The child had an axillary temperature of 36.9°C and a hemoglobin level of 78 g/L. Eight hours after the first blood smear, a second thin blood film showed 0.6% parasitemia. The child was treated with oral artesunate and amodiaquine over 3 days. Cure was documented on the fourth day by a negative blood smear.
Only ring-stage parasitized erythrocytes circulate in the bloodstream. As ring-stage parasites mature to trophozoites, parasitized erythrocytes sequester by adhering to host endothelial cells in microvessels. In this child, the synchronicity of P falciparum maturation produced a large wave of ring-stage parasitized erythrocytes that were sequestered en masse or removed by the spleen. This case illustrates that individuals with very low or undetectable parasitemia on blood smears may harbor exceedingly high and life-threatening parasite burdens. Of additional interest, this child had sickle cell trait, which may have prevented the development of severe manifestations of malaria.
Many Blood Work images are provided by the ASH IMAGE BANK, a reference and teaching tool that is continually updated with new atlas images and images of case studies. For more information or to contribute to the Image Bank, visit http://imagebank.hematology.org.
National Institutes of Health

This feature is available to Subscribers Only
Sign In or Create an Account Close Modal