Abstract
Chronic immune activation is a major cause for progressive immunodeficiency in human immunodeficiency virus type-1 (HIV) infection. The underlying trigger, however, remains largely unknown. HIV single-stranded RNA is a potent immune activator by triggering Toll-like receptor (TLR) 7/8. Thus, we hypothesized that sustained TLR7 triggering induces chronic immune activation and thereby contributes to progressive immunodeficiency. We used the synthetic compound R848 or a mixture of uridine-rich HIV single-stranded (ss) RNA oligonucleotides—both are potent TLR7/8 agonists—to explore the effects of sustained TLR7 triggering on the murine lymphoid system. Sustained TLR7 triggering induced an immunopathology reminiscent of progressive lymphoid destruction in HIV disease; we observed lymphopenia, elevated proinflammatory cytokines, splenomegaly, contracted lymphoid subsets, and lymphoid microarchitecture alteration with reduced marginal zone B-lymphocytes. Upon exposure to inactivated vesiculo-stomatitis virus, antibody production was abolished, although splenic lymphocytes were activated and total IgG was elevated. Our data imply that HIV itself may directly contribute to immune activation and dysfunction by stimulating TLR7. Thus, manipulation of TLR7 signaling may be a potential strategy to reduce chronic hyper-immune activation and, thereby, disease progression in HIV infection.
Introduction
Progressive CD4+ T-cell depletion and chronic immune activation are hallmarks of HIV infection. Chronic immune activation includes aberrant cytokine production, redistribution of lymphocyte subpopulations, polyclonal B-cell activation, increased T-cell turnover, and increased numbers of activated T cells.
Several observations suggest a crucial role of chronic immune activation in HIV pathogenesis: (1) Increased numbers of activated CD4+ T cells expressing the activation markers CD69, CD25, and MHC class II and activated CD8+ T cells expressing the activation marker CD38 correlate with HIV disease progression and CD4+ T-cell loss in untreated infection;1 (2) Immune activation is absent in nonpathogenic simian immunodeficiency virus (SIV) infection. In particular, the natural hosts of SIV, sooty mangabeys and African green monkeys, show only minimal increases in immune activation and rarely progress to immunodeficiency despite high levels of viral replication2 ; (3) Immune activation facilitates HIV infection of T cells by promoting co-receptor, adhesion molecule, and nuclear factor (NF)–κB expression;3-5 (4) Persistent immune activation in mice that constitutively express CD70 can induce lethal T-cell immunodeficiency.6
The precise mechanism and underlying trigger by which HIV causes immune activation remain poorly understood: Schindler and colleagues7 noted that Nef from nonpathogenic SIV strains mediated down-modulation of the host T-cell receptor and thereby suppressed T-cell activation, whereas Nef from HIV did not. This hypothesis remains controversial when considering that only a small fraction of cells are infected, while a general immune activation is present.8 Alternatively, T-cell recognition of HIV antigens, gp120- and Nef-mediated signaling,9,10 and regulatory CD4+ T-cell depletion11 have also been proposed as major contributors to immune activation.
TLRs belong to the family of pattern recognition receptors, are essential in innate immunity in mammals by recognizing conserved patterns of microorganisms (PAMP), are selectively expressed on cells of the immune system, and subsequent to their ligation, induce a complex signaling resulting in antimicrobial activity.12 Sustained TLR triggering by circulating microbial products (TLR4 ligands), likely derived from the gastrointestinal tract through breaks in the mucosal barrier, was recently proposed as a cause of HIV-related systemic immune activation.13
Immune activation correlates with HIV viremia and declines rapidly after initiation of HAART, long before peripheral CD4+ T-cell recovery.14 These observations suggest a direct role for viral replication products in immune activation. In this context, HIV ssRNA is likely to contribute directly to immune activation: human TLR7/8 and murine TLR7 recognize HIV ssRNA and trigger the corresponding signaling pathway.14-16 Importantly, the HIV genome encodes for multiple potent TLR7/8 ligands.14 Moreover, chronic, untreated HIV infection is associated with increased TLR7 responsiveness and expression, which correlates with plasma HIV-RNA load.17 Funderburg et al recently proposed that systemic exposure to microbial TLR agonists (ie, HIV ssRNA and bacterial LPS and DNA translocated from the damaged gut) may drive immune dysfunction in chronic HIV infection.18
In natural HIV infection, the immune system fails to eliminate the virus, resulting in persistent virion and thus ssRNA production, although only a minor fraction of these virions (ie, 1/60 000) is infectious.
Here we hypothesized that sustained immune activation through TLR7/8 is a main driver for chronic immune activation and thereby contributes to the progressive immunodeficiency observed in HIV infection. To explore the effects of sustained TLR7 triggering on the molecular and cellular components of the lymphoid system of mice, we used the synthetic compound R848 or HIV ssRNA oligonucleotides. R848 triggers TLR7/8 in a manner similar to HIV ssRNA.14,15,19 While there are cross-species differences in TLR7/8 triggering in human versus mice such as the lack of triggering murine TLR8 by R848 or HIV ssRNA,15,20,21 the main function of TLR7 triggering is common in both species, that is, DC activation and induction of IFN-α.20 Thus, irrespective of differences in TLR signaling, we consider the mouse valid for examining our hypothesis. We demonstrate here that chronic triggering of TLR7 in mice results in immune activation, functional impairment and disruption of the lymphoid system reminiscent of HIV-associated pathology.
Methods
Mice and treatment
C57BL/6 mice were purchased from Harlan (The Netherlands). Interferon receptor (IFNAR)−/− and TLR7−/− mice22,23 were kindly provided by Karl S. Lang (Institute of Experimental Immunology, University Hospital of Zurich, Switzerland). Interferon regulatory factor (IRF) 7−/− mice24 were provided by Kenya Honda. MyD88−/− mice25 were obtained through the Swiss Immunological Mutant Mouse Repository (Zurich, Switzerland). All procedures were approved by the veterinarian authorities from the Canton of Zurich, Switzerland.
Age- and sex-matched mice (6-8 weeks) were injected intraperitoneally for 7 days with 0.01, 0.1, or 1 mg/kg per day R848 and for 21 or 42 days with 0.01 or 0.1 mg/kg per day R848. Control mice were treated with 50 μg/mouse per day polyinosinic-polycytidylic acid (polyI:C, Sigma-Aldrich, St Louis, MO) or with phosphate buffered saline (PBS). R848 was kindly provided by 3M Pharmaceuticals. Substances were dissolved in PBS and administered intraperitoneally at 200 μL/dose. Mice were analyzed 1 hour after the last injection unless otherwise stated.
HIV ssRNA application: mice were injected intravenously with 50 μg synthetic, phosphothioate modified, uridine-rich HIV ssRNA (a mixture of Gag1166-1185, VIF327-346, VPR203-222, GP160 2093-2112,14 and RNA4015 ; 10 μg each) or control ssRNA (A variants14 and RNA4115 ), which were complexed to 50 μL DOTAP (Roche, Basel, Switzerland).
Quantification of peripheral blood leukocytes
Blood samples were collected in heparinized microtainers (BD Biosciences) by terminal bleeding from the heart. Absolute and relative numbers of leukocytes, lymphocytes, monocytes, neutrophils, and thrombocytes were quantified on an Abbott Zelldyn 3500 or counted manually after staining on Hematec (Bayer, Tarrytown, NY) at the veterinarian-medical hospital, Zurich, Switzerland.
Flow cytometry
Absolute counts of lymphocyte subpopulations were determined by BD truCOUNT technology and by staining the samples for CD4 (clone L3T4), CD8 (Ly-2), and B220 (RA3-6B2), according to the manufacturer's protocol. The activation status of the splenocytes was analyzed by 4-color flow cytometry with monoclonal antibodies against CD4, CD8, B220, and CD69 (H1.2F3) after lysis of erythrocytes with ACK lysis buffer. Similarly, frequencies of myeloid cells in spleen were determined by staining for CD11b (M1/70), CD11c (HL3), and/or Gr-1 (RB6-8C5). Splenic germinal center B-cell frequencies were evaluated by staining for B220 in conjunction with FITC-labeled peanut agglutinin (PNA; Vector Laboratories, Burlingame, NH) or GL7 antibody. Relative cell numbers in thymocyte subsets were measured by staining for CD4 and CD8. Antibodies were from BD PharMingen (Heidelberg, Germany). Cells were acquired on a FACS Calibur (BD Biosciences). Data were analyzed with FlowJo 7.1 software.
VSV-specific serum neutralization test and determination of total IgG
Before injection in mice, vesicular stomatitis virus (VSV; Mudd-Summers isolate) was ultraviolet-inactivated (UV Stratalinker 1800; Stratagene) for5 minutes in an open 60-mm Petri dish. Titers of VSV neutralizing antibodies in sera were determined as described before.26 Total IgG was quantified with mouse IgG ELISA quantification kit (Bethyl Laboratories), according to the manufacturer's instructions.
Histology and immunohistochemistry
Spleens were stored in HBSS and flash frozen in liquid nitrogen for immunohistological analysis. Frozen spleen sections (6 μm) were stained with H&E. Antibodies FDC-M1 (4C11; 1:50, Becton Dickinson) and CD21/35 (8C12; 1:100; PharMingen), and antibodies to CD45RO/B220 (RA3-6B2; 1:400; PharMingen), MOMA-1 (1:50; BMA; Augst), F4/80 (1:50; Serotec), PNA (1:100; Vector Laboratories), CD4 (YTS 191; 1:200), and CD8 (YTS 169; 1:50) were used as primary reagents for immunohistochemistry and lectin histochemistry, as described.27 Antibodies against CD4 and CD8 were kindly provided by R. Zinkernagel (University Hospital of Zurich, Switzerland). Image acquisition was performed on an Axiophot-microscope (Zeiss) equipped with a JVC digital camera (KY-F70; 3CCD) and analyzed with their software.
Measurement of serum cytokines
Mouse blood was collected into serum separator microtubes (BD Biosciences) and centrifuged for 10 minutes at 5400g. Cytokine levels in serum were measured using a multiplexed particle-based flow cytometric cytokine assay. Bioplex mouse kits were purchased from BioRad. The analysis was conducted using FC 500 flow cytometer (Beckman Coulter).
Statistical analyses
Data are depicted as means and SEM. Means were compared using the unpaired t test, unless otherwise stated (*P < .05, **P < .01, ***P < .001, ns = not significant). Confidence intervals of 95% of normalized data were computed using GraphPad software, according to EC Fieller.28
Results
Sustained TLR7 stimulation resulted in lymphopenia and increased neutrophil and monocyte numbers
To assess the effects of sustained TLR7 triggering in vivo, C57BL/6 mice were treated with R848 daily for up to 42 days. We sought to replicate the persistent nature of HIV infection with sustained exposure of lymphoid tissue to the HIV ssRNA burden.
Mice treated with R848 showed no loss of body weight or signs of overt toxicity: liver enzymes and markers of renal, hepatic, cardiac, and pancreatic functions remained the same as those in PBS-treated control mice (data not shown). In general, no or only minor blood-parameter changes were observed at the lowest dose of 0.01 mg/kg per day R848, whereas pronounced effects were observed at 0.1 and 1 mg/kg per day R848. At neither dose did TLR7 triggering alter the absolute numbers of circulating leukocytes as determined by flow cytometry (Figure 1A left) and by an automatic hemocounter (Figure 1A right). Similar data were observed when mice were given a single dose and analyzed after 30, 90, and 180 minutes (data not shown) in contrast to recently reported data.29
Sustained TLR7 stimulation induces lymphopenia and increased neutrophil and monocyte numbers. (A-D) Mice were treated with the TLR7 ligand R848 in a daily fashion. After 7 days of treatment, blood was analyzed for the presence of leukocytes, lymphocytes, monocytes, neutrophils, and thrombocytes 1 hour after the last injection. (A) R848 treatment did not affect absolute numbers of circulating leukocytes. Left: 1 mg R848/kg per day; analysis by flow cytometry before and after treatment. Numbers signify percentage of viable leukocytes as determined by FSC/SSC characteristics. Arrowhead indicates monocytes and neutrophils (ie, large granular cells with high FSC/SSC properties). Right: analysis by hemocounter. (B) Total lymphocytes and all major lymphocytic cellular subsets (ie, B220+ B cells, CD4+, and CD8+ T cells) were massively decreased, whereas (C) monocyte and neutrophil numbers increased. Effects are dose and TLR7 dependent. Lymphocyte, monocytes, and neutrophils numbers were determined mechanically; absolute numbers of lymphocyte subpopulations were determined using BD truCOUNT technology. (D) Thrombocyte numbers were determined with hemocounter. (E) Similar analysis after 21 days of TLR7 stimulation. Error bars indicate standard error. Data of at least 3 individually measured animals are shown. pIC indicates polyI:C.
Sustained TLR7 stimulation induces lymphopenia and increased neutrophil and monocyte numbers. (A-D) Mice were treated with the TLR7 ligand R848 in a daily fashion. After 7 days of treatment, blood was analyzed for the presence of leukocytes, lymphocytes, monocytes, neutrophils, and thrombocytes 1 hour after the last injection. (A) R848 treatment did not affect absolute numbers of circulating leukocytes. Left: 1 mg R848/kg per day; analysis by flow cytometry before and after treatment. Numbers signify percentage of viable leukocytes as determined by FSC/SSC characteristics. Arrowhead indicates monocytes and neutrophils (ie, large granular cells with high FSC/SSC properties). Right: analysis by hemocounter. (B) Total lymphocytes and all major lymphocytic cellular subsets (ie, B220+ B cells, CD4+, and CD8+ T cells) were massively decreased, whereas (C) monocyte and neutrophil numbers increased. Effects are dose and TLR7 dependent. Lymphocyte, monocytes, and neutrophils numbers were determined mechanically; absolute numbers of lymphocyte subpopulations were determined using BD truCOUNT technology. (D) Thrombocyte numbers were determined with hemocounter. (E) Similar analysis after 21 days of TLR7 stimulation. Error bars indicate standard error. Data of at least 3 individually measured animals are shown. pIC indicates polyI:C.
Total lymphocytes and all major lymphocytic cellular subsets (ie, B220+, CD4+, and CD8+ cells) were significantly decreased after 7 days of TLR7 triggering in a dose-dependent fashion (Figure 1B). In contrast, absolute and relative monocyte and neutrophil numbers dramatically increased (Figure 1A,C, and data not shown). Blood from R848-treated mice also showed a tendency toward reduced thrombocyte counts (Figure 1D), which is frequently associated with HIV infection.30 The detected changes in blood are specific for TLR7 and not a universal phenomenon in response to triggering TLRs, since equivalent triggering of TLR3 by its ligand polyI:C did not lead to changes in any of the above described parameters. The observed effects were nearly abolished in TLR7−/− mice. In contrast, type I interferon–mediated signaling via IFNAR and IRF7 signaling seemed not to be critically involved, since changes in white blood cell counts were similar in R848 versus mock-treated IFNAR−/−, IRF7−/−, or C57BL/6 mice (Figure S1, available on the Blood website; see the Supplemental Materials link at the top of the online article).
We next addressed whether chronic TLR7 triggering with low doses over a longer time would have the same effect as the 7-day high-dose regimen. Treatment with R848 for 21 and 42 days induced similar effects. Minor effects were detected at the lowest dose of 0.01 mg/kg per day, while profound lymphopenia and increased neutrophil and monocyte numbers were seen at the 10-fold dose (Figure 1E, and not shown). In conclusion, sustained triggering of TLR7 dramatically alters white blood cell counts, including profound lymphopenia and increased neutrophil and monocyte levels.
Reduced antigen-specific humoral immune response and immune activation
Defective humoral immunity is a hallmark of HIV infection.31 We sought to determine the effect of chronic TLR7 activation on humoral immune responses. After 7 days of R848 treatment (1 mg/kg per day), mice were immunized intravenously with 106 plaque forming units (PFUs) of ultraviolet-inactivated VSV (UV-VSV). Antigen exposure is a major determinant for a subsequent VSV-specific humoral immune response. Since the milieu generated by sustained triggering of TLR7 may affect the strength of VSV replication and thus the antigen exposure, we used inactivated VSV that guaranteed the same antigen load in the mock- and R848-treated mice. All mice showed an IgM-IgG class switch between days 3 and 7 after immunization (Figure 2A). However, triggering TLR7 caused reduced IgM titers at day 3 after UV-VSV challenge and a striking reduction in immunoglobulin class switch with very low IgG titers 7 and 10 days after UV-VSV challenge. Thereafter, IgG titers slowly recovered, perhaps because stopping R848 treatment upon immunization led to gradual reversion of TLR7-mediated effects and because antigen was gradually released from its local depot. Nonetheless, VSV-specific IgG titers were still slightly lower 20 days after immunization.
Sustained TLR7 triggering results in a weakened antigen-specific humoral immune response despite immune activation. (A) Attenuation of humoral immune response after treatment with UV-VSV. Mice were treated with PBS or 1 mg/kg per day R848 for 7 days and subsequently immunized with UV-VSV. Neutralizing IgM and IgG titers were monitored for the following 20 days. Means from mock- and R848-treated animals were compared using unpaired t test. N = 5. (B) Immunosuppression is not due to a general incapability of B cells to produce IgG. Total IgG levels were measured at day 0, after treatment with 1 mg/kg per day R848 for 7 and 20 days after UV-VSV inoculation. Means were compared using paired t test. N ≥ 5. (C,D) Splenic lymphoid subpopulations from R848-treated animals displayed an activated phenotype after 7 days of treatment. Receptor expression was analyzed by flow cytometry. (C) Dose-dependent increase of CD69 mean fluorescence intensity on B220+ B cells. Gray and black lines indicate cells stained with isotype or specific monoclonal antibody, respectively. One representative mouse from each group is shown. (D) TLR7-dependent increase in the percentage of lymphoid subsets expressing CD69. Error bars indicate standard error. N ≥ 5.
Sustained TLR7 triggering results in a weakened antigen-specific humoral immune response despite immune activation. (A) Attenuation of humoral immune response after treatment with UV-VSV. Mice were treated with PBS or 1 mg/kg per day R848 for 7 days and subsequently immunized with UV-VSV. Neutralizing IgM and IgG titers were monitored for the following 20 days. Means from mock- and R848-treated animals were compared using unpaired t test. N = 5. (B) Immunosuppression is not due to a general incapability of B cells to produce IgG. Total IgG levels were measured at day 0, after treatment with 1 mg/kg per day R848 for 7 and 20 days after UV-VSV inoculation. Means were compared using paired t test. N ≥ 5. (C,D) Splenic lymphoid subpopulations from R848-treated animals displayed an activated phenotype after 7 days of treatment. Receptor expression was analyzed by flow cytometry. (C) Dose-dependent increase of CD69 mean fluorescence intensity on B220+ B cells. Gray and black lines indicate cells stained with isotype or specific monoclonal antibody, respectively. One representative mouse from each group is shown. (D) TLR7-dependent increase in the percentage of lymphoid subsets expressing CD69. Error bars indicate standard error. N ≥ 5.
B-cell activation, with the consequent hypergammaglobulinaemia, is one of the most characteristic features of the intricate immune impairment observed in HIV infection.31 This phenomenon involves all immunoglobulin subclasses and results in the augmented production of HIV-specific and, mostly, HIV-unrelated antibodies. By contrast, chronic hyper-activation of B lymphocytes could lead to B-cell exhaustion or anergy and to concomitant low levels of immunoglobulin. We thus tested whether sustained triggering of TLR7 affected total IgG levels. UV-VSV inoculation and subsequent antibody response resulted in a 2-fold increase of total IgG on day 20 after immunization in both mock- and R848-treated mice (Figure 2B). Strikingly, total IgG levels were increased by approximately 50% in R848-treated mice as compared with mock-treated mice after 7 days of R848 treatment. Thus, immunosuppression was not due to a general incapability of B cells to produce IgG.
Splenic lymphoid subpopulations from R848-treated C57BL/6 mice displayed an activated phenotype as determined by an increased mean fluorescence intensity of the early activation marker CD69 and an increased percentage of CD69-expressing cells (Figure 2C,D). The extent of activation was dose dependent (Figure 2C). In particular, 3-fold or greater increase in the percentage of CD69+ B220+ B lymphocytes and CD69+ CD8+ T cells was detected in C57BL/6 mice treated with 1 mg/kg per day R848 for 7 days. CD69+ CD4+ T cells were increased 2-fold (Figure 2D). CD69 up-regulation was not observed in TLR7−/− mice and less pronounced in IFNAR−/− or IRF7−/− mice.
Effects were not cumulative, because the degree of CD69 up-regulation was similar after 7, 21, or 42 days. When mice were treated with 0.1 mg/kg per day R848 for 21 and 42 days, we observed a consistent 2- to 3-fold increase of splenic CD69 expression.
Thus, our data suggest that sustained triggering of TLR7 induces particular lymphocyte activation in secondary lymphoid organs, but prevents an adequate antibody response against UV-VSV.
Disruption of the lymphoid structure
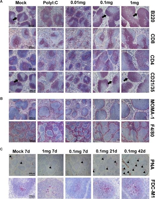
Since efficient immune responses rely on intact lymphoid organs, we investigated the splenic follicular and germinal center microarchitecture upon sustained TLR7 stimulation. Treatment with 0.1 or 1 mg/kg per day R848 led to malformed and severely enlarged white-pulp follicles (Figure 3). Moreover, sustained TLR7 triggering resulted in a dose-dependent hypertrophy of B-cell follicles as well as CD8+ and CD4+ T-cell zones in the splenic white pulp (Figure 3A). Conversely, marginal zone B lymphocytes were strongly reduced (B220 and CD21/35; arrowhead). Marginal zone metallophilic MOMA-1+ macrophages, which appear to play a role in the initial response to systemic infection,32 and F4/80+ red pulp macrophages, which are extensively involved in the clearance of senescent erythrocytes32 were not affected (Figure 3B). Repetitive treatment with PBS, polyI:C, or 0.01 mg/kg per day R848 did not induce any derangement of lymphoid micro-architecture.
Disruption of the lymphoid structure after 7 days of sustained TLR7 stimulation. Spleen cryosections of C57BL/6 mice treated for 7 days with R848. (A) Applied dose correlated with malformation of splenic lymphoid follicles with enlarged T- (CD4 and CD8) and B- (B220) cell zones, and reduced marginal zone B lymphocytes (B220 and CD21/35; arrowhead). (B) MOMA-1+ and F4/80+ macrophages were not affected. (C) PNA+ germinal centers (arrowheads) and FDC-M1+ networks were reduced at day 7 but not at day 21 or 42 of treatment. R848 concentrations were as indicated (mg/kg per day). N ≥ 3.
Disruption of the lymphoid structure after 7 days of sustained TLR7 stimulation. Spleen cryosections of C57BL/6 mice treated for 7 days with R848. (A) Applied dose correlated with malformation of splenic lymphoid follicles with enlarged T- (CD4 and CD8) and B- (B220) cell zones, and reduced marginal zone B lymphocytes (B220 and CD21/35; arrowhead). (B) MOMA-1+ and F4/80+ macrophages were not affected. (C) PNA+ germinal centers (arrowheads) and FDC-M1+ networks were reduced at day 7 but not at day 21 or 42 of treatment. R848 concentrations were as indicated (mg/kg per day). N ≥ 3.
Again, the effects detected were likely to be persistent rather than cumulative or mitigated. When mice were treated for a longer period (ie, 21 and 42 days), splenic microarchitecture was not further compromised. After 21 and 42 days of 0.01 mg/kg per day R848 treatment, spleen microarchitecture was only slightly disturbed, and B- and T-cell areas were nearly unaltered, in contrast to a massive enlargement in 0.1 mg/kg R848-treated mice (Figures S2A,B and S3A,B) that was already evident after 7 days.
Disruption of the lymphoid structure was TLR7 dependent since TLR7−/− mice showed neither disrupted white pulp follicles with enlarged B- and T-cell zones nor diminished marginal zone B lymphocytes after 7 days of treatment with 1 mg/kg per day R848 (Figure S4A,B). IRF7−/− mice had no obvious histopathology, in particular no lymphoid follicle malformation. In contrast, IFNAR−/− mice showed some degree of inflated follicles with loosened rings of marginal zone B cells (Figure S4A,B), indicating that IFNAR and IRF7 signaling partly contributed to R848-mediated pathology.
PNA+ germinal center B-cell clusters and FDC-M1+ follicular dendritic cell networks were reduced upon treatment with 1 mg/kg per day R848 for 7 days (Figure 3C). PNA+ clusters were increased after 21 and, even more pronounced, after 42 days of treatment with 0.1 mg/kg per day R848, whereas FDC-M1+ cell networks seemed not to be affected. Flow cytometric and RT-PCR analysis confirmed these histological findings: relative frequencies of B220/PNA+ and B220/ (germinal center B-cell antibody GL7)+ splenocytes were reduced after 7 days of TLR7 triggering at 0.1 and 1 mg/kg per day R848 and were increased after 21 and 42 days of treatment at 0.1 mg/kg per day R848 (Figure S5A). Milk fat globule EGF 8 (MFG-E8) mRNA, a marker for follicular dendritic cells33 (FDC), was reduced after 7 days of TLR7 triggering at1 mg/kg per day and unchanged after 21 or 42 days of treatment at 0.1 mg/kg per day (Figure S5B).
Expansion of relative frequencies of myeloid cells and a relative contraction of lymphoid subsets
An efficient immune response also requires spatially and temporally orchestrated interactions of proper cell types, and this requires organized frequencies and proportions of respective immune cells. We sought to assess splenic immune cell distribution upon triggering TLR7.
After 7 days, spleen weight was 3.3-fold greater in R848-treated than in PBS-treated wild-type mice (Figure 4A). Notably, splenomegaly is found in almost 70% of asymptomatic HIV-infected adults.34 Splenomegaly was absent in TLR7−/− mice and less pronounced in IFNAR−/− or IRF7−/− mice after R848 treatment.
Splenomegaly is associated with an expansion of relative frequencies of myeloid cells and a relative contraction of lymphoid subsets. (A) Splenomegaly is dose and TLR7 dependent. Splenomegaly was less pronounced in IFNAR−/− or IRF7−/− mice and absent in TLR7−/− mice upon 1 mg/kg per day of R848 treatment. Spleen weight was first normalized to total body weight of each individual mouse and, second, normalized to the spleen weight of mock-treated animals. Error bars indicate 95% confidence intervals. (B) The prevalence of CD11b+ macrophages, CD11c+ dendritic cells, and CD11b+/Gr-1+ neutrophils was increased, whereas that of lymphoid subpopulations was decreased as compared with mock-treated animals (C). Mice were treated with PBS or 1 mg/kg per day R848 for 7 days. Splenocytes were stained with indicated antibodies and relative numbers were assessed by flow cytometry. Error bars indicate standard error. N ≥ 3.
Splenomegaly is associated with an expansion of relative frequencies of myeloid cells and a relative contraction of lymphoid subsets. (A) Splenomegaly is dose and TLR7 dependent. Splenomegaly was less pronounced in IFNAR−/− or IRF7−/− mice and absent in TLR7−/− mice upon 1 mg/kg per day of R848 treatment. Spleen weight was first normalized to total body weight of each individual mouse and, second, normalized to the spleen weight of mock-treated animals. Error bars indicate 95% confidence intervals. (B) The prevalence of CD11b+ macrophages, CD11c+ dendritic cells, and CD11b+/Gr-1+ neutrophils was increased, whereas that of lymphoid subpopulations was decreased as compared with mock-treated animals (C). Mice were treated with PBS or 1 mg/kg per day R848 for 7 days. Splenocytes were stained with indicated antibodies and relative numbers were assessed by flow cytometry. Error bars indicate standard error. N ≥ 3.
Hyperplasia was probably due to myeloid and possibly due to erythroid expansion in the red pulp. Levels of CD11b+ macrophages, CD11c+ dendritic cells (Figure 4B top panel), and CD11b+/Gr-1+ neutrophils (Figure 4B bottom panel) were increased by about 30% to 40% and 100%, respectively, whereas that of lymphoid subpopulations was decreased. Relative numbers of B220+ B lymphocytes were reduced by about half as were levels of CD4+ and CD8+ T cells (Figure 4C). Again, reductions were absent in TLR7−/− mice and less pronounced in IFNAR−/− or IRF7−/− mice, indicating that the observed effects depend only in part on IFNAR and IRF7 signaling (Figure 4C).
Rapid and long-lasting cytokine deregulation
TLR7 activation induces an array of cytokines, including IFNs and proinflammatory cytokines. Aberrant cytokine production is a hallmark of HIV infection and may represent a mode by which HIV induces immunodeficiency. Notably, TNF-α, IL-6, and IL-10 levels increase in plasma with kinetics paralleling the raise in plasma viraemia in acute HIV infection and are elevated in chronic infection.35 Mice treated with 1 mg/kg per day R848 for 7 days were analyzed for plasma cytokine levels in a mouse 23-BioPlex cytokine assay. IL-10, IL-6, TNF-α, and IL-12p40 were the cytokines that were altered to greatest degree (not shown) and therefore investigated in more detail.
Injection of polyI:C or 0.1 and 1 mg/kg per day R848 resulted in an immediate increase of IL-10, IL-6, and TNF-α plasma levels within 90 minutes, whereas injection of 0.01 mg/kg per day R848 had almost no effect (Figure 5A). Moreover, 1 mg/kg per day R848 resulted in a rapid increase of IL-12p40 as measured 6 hours after injection (Figure 5A). IL-10 and IL-12p40 levels remained high after several daily injections, respectively. IL-6 and TNF-α levels were lower at day 3 than at 90 minutes, but levels were still higher than in mock-treated mice.
Rapid and long-lasting cytokine deregulation upon triggering TLR7. Mice were bled from the tail vein, and cytokine levels were measured using a multiplexed particle-based flow cytometric cytokine assay. (A) Rapid cytokine deregulation. Cytokine levels were measured before (baseline, BL), 90 minutes after the first injection, and on day 3 of repetitive treatment. IL-12p40 levels were measured 6 hours after a single dose and on day 7 of repetitive treatment. (B) Long-lasting cytokine deregulation. Mice were treated daily at indicated concentrations, and cytokine levels were monitored over time (ie, on days 7, 21, and 42 of treatment). (C) Cytokine deregulation is TLR7 dependent. C57BL/6 and knockout mice were treated with 1 mg/kg per day of R848 for 7 days. Cytokine levels at day 0 (left bars) and at day 7 (right bars) are shown. Mean values from mock- and R848-treated animals at analogous time points were compared using unpaired t-test. Error bars indicate standard error. N ≥ 3.
Rapid and long-lasting cytokine deregulation upon triggering TLR7. Mice were bled from the tail vein, and cytokine levels were measured using a multiplexed particle-based flow cytometric cytokine assay. (A) Rapid cytokine deregulation. Cytokine levels were measured before (baseline, BL), 90 minutes after the first injection, and on day 3 of repetitive treatment. IL-12p40 levels were measured 6 hours after a single dose and on day 7 of repetitive treatment. (B) Long-lasting cytokine deregulation. Mice were treated daily at indicated concentrations, and cytokine levels were monitored over time (ie, on days 7, 21, and 42 of treatment). (C) Cytokine deregulation is TLR7 dependent. C57BL/6 and knockout mice were treated with 1 mg/kg per day of R848 for 7 days. Cytokine levels at day 0 (left bars) and at day 7 (right bars) are shown. Mean values from mock- and R848-treated animals at analogous time points were compared using unpaired t-test. Error bars indicate standard error. N ≥ 3.
Long-term treatment (Figure 5B) with PBS or 0.01 mg/kg per day R848, again, had no effect, whereas IL-10 and TNF-α were permanently elevated upon treatment with 0.1 mg/kg per day. IL-6 slowly decreased to almost normal values. IL-12p40 consistently was more than 1300 pg/mL.
R848 treatment (7 days, 1 mg/kg per day) of IRF7−/− or IFNAR−/− mice induced IL-10 and IL-12p40, but to a lesser degree than in C57BL/6 mice (Figure 5C). In contrast, TLR7−/− mice had normal cytokine levels. In conclusion, the immediate and persistent cytokine deregulation by the action of R848 is TLR7 dependent and reminiscent of HIV infection in humans.
Induction of thymic hypocellularity
The thymus is the primary lymphoid organ supplying new T lymphocytes to the periphery and might compensate for the loss of T cells caused by HIV. HIV infection, however, results in thymic dysfunction and involution that may recover with potent antiretroviral therapy.36 To investigate whether long-term TLR7 triggering affects thymic function, we examined thymus cellularity and the percentage of cells in each thymocyte subset by measuring the surface expression of CD4 and CD8 antigens in mice treated with 1 mg/kg per day R848 for 7 days. Total thymocytes were reduced 1.9-fold in R848-treated C57BL/6 mice as compared with mock-treated animals (Figure 6A). No thymic hypocellularity was detected in IFNAR−/−, IRF7−/−, or TLR7−/− mice.
Thymic hypocellularity upon triggering TLR7. Mice were treated with PBS or 1 mg/kg per day of R848 for 7 days. (A) Thymus was hypocellular in C57BL/6 mice but not in knockout mice upon treatment with R848. Thymocytes were counted manually and normalized to total thymocyte counts of the corresponding mock-treated animals. Error bars indicate 95% confidence intervals. (B) Relative cell numbers in each thymocyte subset were measured in C57BL/6 mice by staining for CD4 and CD8, followed by flow cytometric analysis. Error bars indicate standard error. For C57BL/6 animals data from 3 independent experiments, each with N = 3, were pooled; N = 3 for knockout mice.
Thymic hypocellularity upon triggering TLR7. Mice were treated with PBS or 1 mg/kg per day of R848 for 7 days. (A) Thymus was hypocellular in C57BL/6 mice but not in knockout mice upon treatment with R848. Thymocytes were counted manually and normalized to total thymocyte counts of the corresponding mock-treated animals. Error bars indicate 95% confidence intervals. (B) Relative cell numbers in each thymocyte subset were measured in C57BL/6 mice by staining for CD4 and CD8, followed by flow cytometric analysis. Error bars indicate standard error. For C57BL/6 animals data from 3 independent experiments, each with N = 3, were pooled; N = 3 for knockout mice.
Flow cytometric analysis of thymocytes from R848-treated mice revealed an increase in the prevalence of mature CD4+ and CD8+ single-positive thymocytes from 6.9% to 9.7% and 1.9% to 4.5%, respectively, together with a reciprocal reduction in cells that expressed both CD4 and CD8 from 79.8% to 72.4% (Figure 6B). Prevalence of double-negative thymocytes was slightly increased, although not significantly. However, in absolute numbers, all thymocyte subsets were decreased, with the exception of CD8+ single-positive cells. Absolute reduction of double-positive thymocytes was most prominent.
Immune activation and disruption of the lymphoid system upon systemic and repetitive treatment with HIV ssRNA
HIV encodes multiple TLR7/8 ligands that have a strong MyD88-dependent immunostimulatory activity.14-16 To substantiate a direct action of HIV ssRNA on immune activation, we used a mixture of HIV ssRNA complexed to DOTAP. We titrated first the HIV ssRNA by examining the activation at 5 hours after injection and found 50 μg of ssRNA to be optimal for our purposes (data not shown). DOTAP or control ssRNA, in which all U nucleotides were replaced with A, had no effect. Mice were then treated daily with 50 μg HIV ssRNA for 7 days. HIV ssRNA treatment induced lymphopenia and increased relative monocyte and neutrophil numbers in 3 of 4 mice (Figure 7A). Moreover, we observed consistent immune activation (Figure 7B), disruption of the splenic structure with malformation of lymphoid follicles and reduced marginal zone B-lymphocytes (Figure 7C), a relative contraction of CD4+ and CD8+ lymphoid subsets (Figure 7D), splenomegaly (Figure 7E), and cytokine deregulation (Figure 7F). We would like to emphasize that the degree of immune dysfunction upon ssRNA or R848 treatment was remarkably similar suggesting that HIV may indeed directly contribute to immune activation and dysfunction by stimulating TLR7.
Immune activation and lymphoid system disruption upon HIV ssRNA treatment. Mice were treated intravenously with a mixture of uridine-rich HIV ssRNA (RNA U, 50 μg/mouse per day) or control RNA (RNA A) for 7 days. (A) HIV ssRNA treatment induced lymphopenia and increased relative monocyte and neutrophil numbers in 3 of 4 mice. Blood was analyzed 1 hour after the last injection. (B) Splenic lymphoid subpopulations from ssRNA-treated animals displayed an activated phenotype. CD69 expression was analyzed by flow cytometry. (C) Disruption of the lymphoid structure upon ssRNA treatment. There was malformation of splenic lymphoid follicles (CD4 and not shown) and reduced marginal zone B lymphocytes (CD21/35; arrowhead). (D) Relative contraction of CD4+ and CD8+ lymphoid subsets upon ssRNA treatment. Splenocytes were stained with indicated antibodies, and relative numbers were assessed by flow cytometry. (E) Splenomegaly upon ssRNA treatment. Spleen weight was first normalized to total body weight and, second, normalized to the spleen weight of mock-treated animals. Error bars indicate 95% confidence intervals. (F) Cytokine deregulation upon ssRNA treatment. Cytokine levels at day 7 are shown. Error bars indicate standard error. N = 4 for ssRNA-treated mice.
Immune activation and lymphoid system disruption upon HIV ssRNA treatment. Mice were treated intravenously with a mixture of uridine-rich HIV ssRNA (RNA U, 50 μg/mouse per day) or control RNA (RNA A) for 7 days. (A) HIV ssRNA treatment induced lymphopenia and increased relative monocyte and neutrophil numbers in 3 of 4 mice. Blood was analyzed 1 hour after the last injection. (B) Splenic lymphoid subpopulations from ssRNA-treated animals displayed an activated phenotype. CD69 expression was analyzed by flow cytometry. (C) Disruption of the lymphoid structure upon ssRNA treatment. There was malformation of splenic lymphoid follicles (CD4 and not shown) and reduced marginal zone B lymphocytes (CD21/35; arrowhead). (D) Relative contraction of CD4+ and CD8+ lymphoid subsets upon ssRNA treatment. Splenocytes were stained with indicated antibodies, and relative numbers were assessed by flow cytometry. (E) Splenomegaly upon ssRNA treatment. Spleen weight was first normalized to total body weight and, second, normalized to the spleen weight of mock-treated animals. Error bars indicate 95% confidence intervals. (F) Cytokine deregulation upon ssRNA treatment. Cytokine levels at day 7 are shown. Error bars indicate standard error. N = 4 for ssRNA-treated mice.
Discussion
Chronic immune activation is a major cause for progressive immunodeficiency in HIV infection. We used a murine model to assess whether sustained TLR7 stimulation contributes to immune activation by studying the effects on the lymphoid system. Sustained triggering of TLR7 led to (1) altered white blood cell counts, including profound lymphopenia and increased neutrophil and monocyte levels; (2) immune activation and attenuated humoral immune responses, (3) disruption of the lymphoid structure, including splenomegaly, enlarged T- and B- cell zones, reduced marginal zone B lymphocytes, and a relative contraction of lymphoid subsets; (4) cytokine deregulation, and (5) thymic hypocellularity. We also showed that the observed effects were TLR7- and dose dependent and that IRF-7– and IFNAR-mediated signaling only partly contributed to R848-mediated pathology. Triggering TLR7 was done primarily using the synthetic compound R848 for practical and financial reasons. Notably, we performed the key experiments also using HIV ssRNA as TLR ligand for corroborating the data obtained with R848. Very importantly, the effects subsequent to triggering TLR7 by HIV ssRNA were similar to the effects with R848 that substantiates their significance for the HIV pathogenesis.
We first monitored blood parameters, because hematological abnormalities are common in HIV-infected patients. Repetitive TLR7 triggering resulted in a depletion of lymphocytes from the blood together with a reciprocal increase of neutrophils and monocytes. This effect was dose dependent and, more importantly, stable as long as TLR7 stimulation was maintained. In fact, TLR7 stimulation did not lead to steadily increasing amounts of damage or to an attenuated response over time, pointing to the possibility that the level of TLR7 signaling over time is a major determinant of the observed effects. Of note, individuals with higher HIV RNA levels 6 months after seroconversion had faster progression to AIDS.37 Blood from R848-treated mice also showed a tendency toward lower thrombocyte counts. In HIV infection, the number of platelets can be low38 due to trapping of platelets in the enlarged spleen or abnormally high levels of TNF-α,39 which in fact is released upon TLR7 engagement. Two recent studies investigated lymphopenia in acute viral infection and in treatment with a single systemic dose of immunomodulatory agents, such as TLR ligands.29,40 Our results revealed 2 net differences: (1) lymphocytes but not granulocytes or monocytes were depleted from the blood by R848, and (2) lymphopenia was rather specific to TLR7 activation than an universal phenomenon of TLR triggering, since triggering TLR3 had no effect. The latter may be explained by different doses that were applied in the different studies. The facts that TLR3 and TLR7 activation both induced similar cytokine patterns, but only TLR7 activation induced lymphopenia, also indicate that chronic activation of distinct TLRs over time results in characteristic lesions.
Gunzer et al suggested that the R848-induced lymphopenia with its concurrent reduction of immune effector cells might lead to immunodeficiency and increased susceptibility to infections.29 Otherwise, R848 is currently discussed as an effective vaccine adjuvant to stimulate humoral immune responses41 since TLR7 ligands directly stimulate B cells.42 Our observation that sustained TLR7 triggering led to immunosuppression with weakened antigen-specific immune responses suggests that sustained TLR7 stimulation may be harmful, while temporary and time-limited triggering may result in antiviral and protective effects. Indeed, guinea pigs infected with Herpes simplex virus showed impaired antibody responses upon repetitive TLR7 triggering.43
The findings that TLR7 triggering stimulated B cells to express an activated phenotype and secrete unspecific antibodies indicated that immunosuppression was not due to a general incapability of B cells to produce IgG. B-cell activation and hypergammaglobulinemia are characteristic for HIV infection.31 The changes in spleen morphology and composition subsequent to sustained TLR7 triggering may account for the weakened antigen-specific humoral immune response: indeed, the prevalence and density of splenic lymphoid subsets was substantially decreased probably due to disproportionate myeloid expansion that may result in a dysfunctional microenvironment likely underlying the observed immunosuppression.
Secondary lymphoid organs are the critical place of HIV replication in vivo, and HIV expression is active throughout the period of asymptomatic HIV infection,44 resulting in perpetual triggering of TLR7 from the early time point of infection. Sustained TLR7 triggering caused splenomegaly, follicular hyperplasia, T- and B-cell zone enlargement, and a loss of marginal zone B lymphocytes, further emphasizing that sustained TLR7 triggering may contribute to disease progression in HIV infection. Notably, splenomegaly is often found in HIV-infected individuals,34 and follicular hyperplasia has been reported in early-stage disease.44 As HIV disease progresses, there is a shift from follicular hyperplasia to follicular involution, with disruption of the FDC network being characteristic during this transition.45 Upon R848 treatment for 7 days, FDC networks were reduced. At day 21 or 42, however, FDC networks seemed not to be affected. Involution might occur after much longer periods of TLR triggering or if higher doses of R848 would be applied. Nevertheless, the R848-induced hyperplasia and the loss of intact lymphoid tissue architecture may give way to follicular involution, fibrosis, and even lymphocyte depletion. Our data also fit with data from a study in lupus-prone mice with a translocated copy of TLR7 resulting in a 2-fold TLR7 expression. These mice develop pronounced splenomegaly, increased numbers of activated T cells, and aberrant expansion of most immune cell lineages, especially monocytes and neutrophils.46
TLR7 triggering induced permanently elevated IL-10, IL-6, and TNF-α levels, which also are elevated in chronic HIV infection.35 IL-10 may have a crucial role in immunoregulation by balancing pathogen-specific immunity and immune-mediated tissue damage. Observations from LCMV models have suggested that IL-10 blocking strategy may positively affect chronic viral infections, such as HIV or hepatitis C virus (HCV) in humans.47,48 Similarly, polymorphisms that reduce IL-10 expression have been associated with slower progression to AIDS.49 Finally, IFN-α and ribavirin, the current therapy for HCV, down-modulate IL-10 secretion.50 Because IL-6 plays an essential role in the differentiation of activated B cells, IL-6 overproduction may contribute to polyclonal B-cell activation and to the pathogenesis of AIDS by inducing HIV replication.51
Chronic, low-level TNF expression causes profound disturbances in tissue development, especially a diminution of thymic tissue.52 In line with these data, R848-treated mice showed thymic hypocellularity, indicating that TLR7 stimulation may damage thymic function and thereby impair the thymus' capacity to compensate for the loss of T cells caused by HIV.
Indeed, R848 and a mixture of HIV ssRNA oliogonucleotides resulted in remarkably similar changes in the lymphoid system. We cannot make any firm statements how the daily dose of R848 and ssRNA used compares to the viral particle numbers in HIV-infected humans. Estimations based on the assumption of approximately 3 × 107 HIV DNA+ cells in chronically HIV-infected patients may result in more than 1010 RNA copies with multiple TLR7/8 motifs every day53 ; RNA concentrations in tissue reservoirs can even be higher.54 Notwithstanding the obvious differences between our model and real HIV infection, the data reported propose a potentially very important factor in HIV pathogenesis.
Using mice deficient for TLR7−/− and MyD88−/−, we show that R848-mediated effects were dependent upon TLR7 and the adaptor protein MyD88, respectively (Figure S6). These data are in line with Hemmi's results that neither MyD88- nor TLR7-deficient mice showed any immune activation in response to R848.23 Superprofiling of 84 genes related to TLR-mediated signal transduction [TLR signaling pathway microarray RT2 Profiler PCR array; Bioscience Corporation, Gene Expression Omnibus (GEO) accession number GSE12957] did not reveal any substantial gene regulation in TLR7−/− mice that corroborates R848's exclusive triggering of TLR7. In contrast, various TLR signaling related genes were deregulated in splenocytes from wild-type and IFNAR−/− mice after 1 mg/kg per day R848 treatment for 7 days (data not shown). Nevertheless, we cannot completely exclude off-target effects of R848 with adenosine receptors as they were described for imiquimod by Schön et al.55,56
IFNAR and IRF7 signaling only partly contributed to R848-mediated pathology. Upon ligand recognition, TLR7 triggers innate immune responses and IFNs through NF-κB– and IRF7-dependent signaling pathways, respectively.57 IRF7 is essential for the induction of IFN-α/β genes via the TLR-activated MyD88-dependent pathway,24 and R848-mediated increases of IFN-α/β directly regulates lymphocyte recirculation and causes transient blood lymphopenia.40 Although effects upon TLR7 triggering in IFNAR−/− or IRF7−/− mice were generally less pronounced, they were still present in our mice such as lymphopenia. This was unexpected since lymphopenia is critically dependent on IFNAR signaling.40 Also counterintuitively, we did not see elevated IFN-α levels upon repetitive R848 treatment (not shown). Daily dosing with high doses of TLR7 ligands for 5 consecutive days led to tachyphylaxis: IFNs were almost completely down-regulated,58 which is normally not seen when doses are separated by more than 2 days. This implies that short- and long-term TLR7 activation may have different mechanisms of action.
In conclusion, our data demonstrate that sustained TLR7 triggering in mice results in immune activation and disruption of the lymphoid system reminiscent of HIV-associated pathology. There are differences in the regulation of innate and adaptive immunity between men and mice, and thus data obtained in mice need to be interpreted cautiously when considering human disease pathology. However, the common main function of TLR7 triggering irrespective of cross-species differences20 speaks in favor that HIV ssRNA indeed contributes to persistent immune activation and pathology by signaling through TLR7 and may explain in part the chronic immune dysfunction in HIV infection. Hence, manipulating TLR7 triggering or down-stream signaling may be therapeutically valuable to reduce chronic hyper-immune activation and immune dysfunction.
An Inside Blood analysis of this article appears at the front of this issue.
The online version of this article contains a data supplement.
The publication costs of this article were defrayed in part by page charge payment. Therefore, and solely to indicate this fact, this article is hereby marked “advertisement” in accordance with 18 USC section 1734.
Acknowledgments
We thank K. Lang for kindly providing IFNAR−/− and TLR7−/− mice. A. Urwyler (Cytolab, Muelligen, Switzerland) is acknowledged for the measurement of serum cytokines.
This work was supported by grants from the OPO (Zurich, Switzerland), Roche Research (Basel, Switzerland), and the EMPIRIS Foundation (Zurich, Switzerland) to S.B. and R.F.S.
Authorship
Contribution: S.B. and M.H. designed and performed research, analyzed data, and wrote the paper; P.J., E.S., U.H., R.C.M., and S.D. performed research; K.H. contributed vital new reagents; T.M.K. and A.A. wrote the paper; and R.F.S. designed research and wrote the paper.
Conflict-of-interest disclosure: The authors declare no competing financial interests.
Correspondence: Roberto F. Speck, Division of Infectious Diseases and Hospital Epidemiology, University Hospital of Zurich, Raemistrasse 100, 8091 Zurich, Switzerland; e-mail: roberto.speck@usz.ch.
References
Author notes
*S.B. and M.H. contributed equally to this study.







This feature is available to Subscribers Only
Sign In or Create an Account Close Modal