Abstract
Glycolipid-reactive Vα24+ invariant natural killer T (iNKT) cells have been implicated in regulating a variety of immune responses and in the induction of immunologic tolerance. Activation of iNKT cells requires interaction with professional antigen-presenting cells, such as dendritic cells (DCs). We have investigated the capacity of distinct DC subsets to modulate iNKT cell functions. We demonstrate that tolerogenic DCs (tolDCs), generated by treatment of monocyte-derived DC with interleukin (IL)-10, induced regulatory functions in human iNKT cells. tolDCs, compared with immunogenic DCs, had reduced capacity to induce iNKT-cell proliferation, but these cells produced large amounts of IL-10 and acquired an anergic phenotype. These anergic Vα24+ iNKT cells were able to potently inhibit allogeneic CD4+ T-cell proliferation in vitro. Furthermore, the anergic Vα24+ iNKT cells could suppress DC maturation in vitro. We conclude that the interaction of iNKT cells with tolDCs plays an important role in the immune regulatory network, which might be exploited for therapeutic purposes.
Introduction
Human CD1d-restricted invariant natural killer T (iNKT) cells are a unique class of T lymphocytes, which express NK cell receptors and an invariant T-cell receptor (TCR) containing a Vα24-JαQ α-chain.1 This invariant TCR on iNKT cells recognizes glycolipids, such as α-galactosylceramide (α-GalCer), presented by the CD1d molecule on antigen-presenting cells (APCs), such as dendritic cells (DCs).2,3 α-GalCer potently stimulates iNKT cells to rapidly produce large amounts of T helper type (Th) 1 cytokines, such as interferon (IFN)-γ and Th2 cytokines such as interleukin-4 (IL-4).3 Human iNKT cells have been implicated in the regulation of autoimmune responses in various diseases4-6 (ie, type 1 diabetes,7-9 multiple sclerosis,10,11 and others12,13 ) and graft-versus-host disease (GVHD).14 Patients with autoimmune diseases or GVHD typically have reduced frequency of iNKT cells7-14 with reduced capacity to produce Th2 cytokines, including IL-4 and IL-10.7-11 The secretion of Th2 cytokines polarizes naive T cells toward a Th2 response and is thought to shift the balance from a pathogenic Th1 toward a protective Th2 response in Th1-dominant autoimmunity. Thus, iNKT cells can play a regulatory role in the immune response by promoting Th2 responses that are capable of suppressing T cell-mediated autoimmunity.3 In addition, recent studies have reported that repeated administration of α-GalCer to mice can elicit iNKT cells producing IL-4 and IL-10 but not IFN-γ, resulting in prevention of experimental autoimmune diseases in murine models.15-17 Specifically, in the murine system, IL-10 produced by iNKT cells with regulatory functions shifts DCs to IL-10–producing regulatory DCs. These regulatory DCs have been implicated in the induction of regulatory CD4+ T cells that, in turn, suppress the development of autoimmunity in vivo.17
It has been reported that DCs can influence the differentia-tion of iNKT cells through cytokine production and expression of distinct accessory molecules.18 Human neonatal iNKT cells developed into IFN-γ–producing cells through direct interaction with type 1 DCs (DC1), whereas they were polarized toward IL-4 production by type 2 DCs (DC2).18 Interaction between iNKT cells and α-GalCer-loaded DCs in the context of CD40-CD40 ligand (CD40L)2,19-21 and/or CD80/CD86-CD2821,22 molecules induces DC maturation and cytokine production. IL-12 secreted by mature DCs promotes IFN-γ production by iNKT cells.2,19,20,22 Furthermore, strong interactions between iNKT cells and DCs through CD28 and CD80/86 also promote IFN-γ production.23 Thus, cytokine production by iNKT cells is regulated by the maturation and differentiation status of DCs and by the types of cytokines that they produce.
Tolerogenic DCs (tolDCs), expressing low levels of MHC molecules, CD40, CD80, and CD86, play a critical role in the maintenance of antigen (Ag)-specific unresponsiveness or tolerance.24,25 tolDCs can be generated in vitro from human monocyte-derived immature DCs (MoDCs) by treatment with exogenous IL-10. tolDCs can suppress the stimulation and proliferation of conventional T cells26 and induce anergy and promote the immune suppressive activity of CD4+ and CD8+ T cells in peripheral blood.27 Thus, tolDCs play a critical role in the induction of regulatory T cells. However, how tolDCs affect the polarization of iNKT cells remains unknown. In this study, we have examined the effects of tolDCs on the effector functions of iNKT cells. Our findings revealed that tolDCs, induced by treatment of MoDCs with IL-10, promoted the generation of IL-10–producing Vα24+ iNKT cells in vitro, which were capable of potently suppressing the proliferation of allogeneic T cells in vitro.
Methods
All research reported in this manuscript has been conducted according to Yokohama City University's human subjects research guideline, institutional review board policies and procedures, regarding the safety and protection of human participants.
Generation of monocyte-derived DCs
Human peripheral blood was obtained from adult healthy donors after informed consent was obtained in accordance with the Declaration of Helsinki. Peripheral blood mononuclear cells (PBMCs) were separated from peripheral blood by density gradient centrifugation using Histopaque (Sigma-Aldrich, St Louis, MO). Monocytes were enriched by plastic adherence of PBMCs onto 6-well plates (Sumitomo Bakelite, Tokyo, Japan). DCs were generated by culturing monocytes in RPMI 1640 medium (Invitrogen, Carlsbad, CA) supplemented with 10% fetal calf serum (FCS) (Biological Industries, Haemek, Israel), 10 mM N-2-hydroxyethylpiperazine-N′-2-ethanesulphonic acid (Dojindo Laboratories, Kumamoto, Japan), and 50 μM 2-mercaptoethanol (Wako Pure Chemical Industries, Osaka, Japan), in the presence of IL-4 (500 IU/mL; R&D Systems, Minneapolis, MN) and granulocyte macrophage-colony stimulation factor (GM-CSF, 1000 IU/mL; R&D Systems). On day 6, nonadherent and loosely adherent cells were harvested and used as MoDCs. To induce mature DCs (mDCs), tumor necrosis factor (TNF)-α (10 ng/mL; Wako Pure Chemical Industries), IL-1β (10 ng/mL) (Wako Pure Chemical Industries), and IL-6 (10 ng/mL) (PeproTech EC, London, United Kingdom) were added to the culture on day 5 and cells were incubated for an additional 24 hours. For induction of tolDCs, IL-10 (PeproTech EC) was added to the cultures on day 2 at a concentration of 50 ng/mL, and cells were cultured until day 6. DCs were harvested and absence of CD14 expression was confirmed by using fluorescence-activated cell sorting (FACS), as described in “Flow cytometric analysis.” For cytokine analysis, 105 tolDCs or MoDCs were stimulated with 1 μg/mL lipopolysaccharide (LPS) (serotype 055B5) (BD PharMingen, San Diego, CA) or 50 μg/mL Escherichia coli DNA and calf thymus DNA in 200 μL of culture medium in 96-well, flat-bottomed plates (BD Biosciences, Franklin Lakes, NJ). After 24 hours of culture, the culture supernatants were collected and stored at −80°C until cytokine examination using human Inflammatory Cytokine CBA Kit, as described in “Cytokine assays.”
Flow cytometric analysis
Surface molecules of DCs were analyzed by flow cytometry using a FACScan flow cytometer and CellQuest analysis software (BD Biosciences). The following monoclonal antibodies (mAbs) were purchased from Beckman Coulter (Fullerton, CA): fluorescein isothiocyanate (FITC)–conjugated anti-CD80 (MAB104, IgG1), anti-CD83 (HB15a, IgG2b), phycoerythrin (PE)-conjugated anti-CD14 (RMO52, IgG2a), anti-CD40 (MAB89, IgG1), and anti-CD86 (HA5.2B7, IgG2b) mAbs. PE-conjugated anti-CD1d (CD1d42, IgG1) and anti-HLA-DR (L243, IgG2a) mAbs were purchased from BD Biosciences.
Assessment of iNKT cell function induced by stimulation with MoDC, mDC, and tolDC
We determined the capacity of distinct DC subsets to influence iNKT cell functions. To assess cytokine production by iNKT cells after coculture with different DCs, PBMCs (105) were cocultured with syngeneic DCs (104), including MoDCs, mDCs, or tolDCs, loaded with 100 ng/mL α-GalCer or vehicle in 100 μL AIM-V medium (Invitrogen) supplemented with 10% FCS in the absence of cytokine supplements in 96-well plates. The culture supernatants were collected at days 1, 2, and 3 of the culture and stored at −80°C until cytokine examination using human Th1/Th2 Cytokine CBA II Kit assay as described in “Cytokine assays.” To assess the proliferation of iNKT cells after stimulation with different DCs, PBMCs (105) were cocultured with syngeneic DCs (104), including MoDCs, mDCs, or tolDCs, loaded with α-GalCer or vehicle in 200 μL AIM-V medium supplemented with 10% FCS in the presence of 10 μg/mL anti-IL-10 blocking mAb (BD Biosciences) or isotype control rat IgG1 in 96-well plates. After 7 days, the cells were counted under the microscope and stained with anti-Vα24 mAb (C15, IgG1) and anti-CD3 mAb (UCHT1, IgG1; Beckman Coulter) to detect the proportion (%) of Vα24+ cells by FACS analysis. Actual cell numbers of Vα24+CD3+ iNKT cells were calculated and compared with the actual cell numbers of Vα24+CD3+ cells on day 0. To detect apoptosis of iNKT cells, 105 PBMCs were cocultured with 104 syngeneic DCs (MoDCs, mDCs or tolDCs) loaded with α-GalCer. After 24, 48, and 72 hours, PBMCs were collected and apoptotic cells were detected by annexin V and PI staining using FACS.
Generation of moDC-NKT, mDC-NKT, and tolDC-NKT cells
To expand Vα24+ iNKT cells for functional assays, PBMCs (1 × 106) were cocultured with syngeneic DCs (105), including MoDCs, mDCs, or tolDCs, loaded with 100 ng/mL α-GalCer in 1 mL AIM-V medium supplemented with 10% FCS in the absence of cytokine supplements in 24-well plates (Sumitomo Bakelite). On day 7, the expanded iNKT cells were stained with Biotin-conjugated anti-Vα24 mAb (Beckman Coulter) and anti-Biotin MicroBeads (Miltenyi Biotec, Bergisch Gladbach, Germany) and cells were enriched using autoMACS beads. These Vα24+ cell preparations were more than 98% pure, and there was no contamination of Foxp3-positive cells as demonstrated by flow cytometry (data not shown). The isolated Vα24+ iNKT cells, generated in the presence of DCs (MoDCs, mDCs, or tolDCs), were designated moDC-NKT, mDC-NKT, or tolDC-NKT cells, respectively.
Cytokine assays
The amounts of human cytokines, including IL-12p70, TNF-α, IFN-γ, IL-10, and IL-4, were assessed using human Inflammatory Cytokine CBA Kit or human Th1/Th2 Cytokine CBA II Kit (BD Biosciences) according to the manufacturer's protocols.
Proliferation, apoptosis, cytokine responses, and cytotoxicity of iNKT cells
For proliferation assays, 5 × 104 moDC-NKT, mDC-NKT, or tolDC-NKT cells were cultured with irradiated syngeneic MoDCs (5 × 104) into 96-well, U-bottomed plates (BD Biosciences) with or without α-GalCer (100 ng/mL) in 200 μL AIM-V medium supplemented with 10% FCS. After 2 to 3 days of culture, 0.5 μCi [methyl-3H] thymidine (MP Biomedicals, Irvine, CA) was added to each well for the last 12 hours of culture. Thymidine incorporation was determined by Multi-Purpose Scintillation Counter (LS-6500; Beckman Coulter). For cytokine analysis, 105 moDC-NKT, mDC-NKT, or tolDC-NKT cells were cocultured with 104 MoDCs pulsed with α-GalCer in 200 μL culture medium for 48 hours. The supernatants were collected and stored at −80°C until used for cytokine analysis. For intracellular cytokine staining, 105 iNKT cells expanded by moDC, mDC, or tolDC were cocultured with 104 α-GalCer–pulsed MoDCs in the presence of 1 μM monensin for 24 hours. After stimulation, cells were collected and stained with anti-Vα24 and anti-CD3 mAbs. After fixation with 2% paraformaldehyde, the cells were permeabilized by incubation in phosphate buffered saline (PBS) supplemented with 2% FCS and 0.5% saponin (Sigma-Aldrich). Permeabilized iNKT cells were incubated with PE-conjugated anti-IFN-γ and anti–IL-10 mAb (BD Biosciences). After washing, the cells were analyzed using flow cytometry. For analysis of cytotoxicity, the killing activity of Vα24+ NKT cells against the NKT cell-sensitive target cell line U937 was assessed with a standard 6-hour 51Cr-release assay. moDC-NKT, mDC-NKT, or tolDC-NKT cells were incubated with 104 of 51Cr (MP Biomedicals)-labeled U937 cells at distinct effector-to-target ratios (5:1 or 10:1) for 6 hours in a 96-well, U-bottomed plate. Then, the supernatants were collected and counted in a γ-counter (Gamma 5500; Beckman Coulter). The cytotoxicity (%) was calculated as follows: cytotoxicity (%) = (experimental release − spontaneous release)/(maximum release − spontaneous release) × 100.
Western blotting
moDC-NKT, mDC-NKT, or tolDC-NKT cells were stimulated with prewashed phorbol myristate acetate (PMA) (10 ng/mL) and calcium ionophore (1 μg/mL) for 1, 5, 15, or 30 minutes at 37°C and washed once in ice-cold PBS. Cells were resuspended in TNE buffer containing 10 mM Tris-HCl (pH 7.5), 150 mM NaCl, 1% NP-40, 1 mM EDTA, 1 μg/mL aprotinin, and 1 μg/mL leupeptin for 60 minutes on ice. Lysates were spun at 120g in the cold for 30 minutes to remove debris. An equal amount of total protein was mixed with 5 × SDS sample buffer, heated for 5 minutes at 100°C, and loaded on a 12.5% SDS-PAGE gel. After electrophoresis and membrane transfer, nitrocellulose membranes (GE Healthcare, Little Chalfont, United Kingdom) were blocked in 5% nonfat milk in 0.1%Tween-20/TBS overnight at 4°C. Membranes were incubated with 1:1000 diluted first antibody of total p44/42 MAPK (ERK1/2; Cell Signaling Technology, Danvers, MA), phospho-JNK MAPK, phospho-p44/42 MAPK (phospho-ERK1/2), phospho-p38 MAPK (Promega, Madison, WI), and IκB (Santa Cruz Biotechnology, Santa Cruz, CA) overnight at 4°C, and then with 1:1000 diluted goat anti–rabbit IgG or rabbit anti–mouse IgG Abs conjugated to horseradish peroxidase (GE Healthcare). Protein was detected by developing nitrocellulose membranes using an ECL detection kit (GE Healthcare) and exposure to X-ray film.
Evaluation of alloreactive T-cell responses
To assess the suppressive capacity of tolDC-NKT cells, syngenic MoDCs were used as stimulators for allogeneic CD4+ T-cell responses. Allogeneic CD4+ T cells were purified from PBMCs of unrelated donors by autoMACS with PE-conjugated anti-CD4 mAbs (13B8.2, IgG1; Beckman Coulter) and anti-PE MicroBeads (Miltenyi Biotec). Purified CD4+ T cells were suspended in PBS at 107/mL and stained by a final concentration of 10 μM 5-(and-6)-carboxyfluorescein diacetate succinimidyl ester (CFSE; Invitrogen) for 10 minutes at 37°C. Then, the cells were washed 2 times in RPMI 1640 medium. Responder cells (5 × 104) were stimulated with MoDCs (104) pulsed with α-GalCer (100 ng/mL) or vehicle in a 96-well, flat-bottomed plate. Vα24+ moDC-NKT or tolDC-NKT cells (5 × 104) were prepared from the same donor as the stimulating MoDCs and added to appropriate wells. The cells were cultured for 4 to 5 days in 200 μL 10% FCS/AIM-V media in the presence of 10 μg/mL anti-IL-10 blocking mAb or rat IgG1. Proliferation of the CFSE-labeled CD4+ T cells was analyzed by gating on the CD3+CD4+CFSE+ cell population using flow cytometry.
Assessment of the effects of tolDC-NKT cells on DC maturation and function
To compare the effect of moDC-NKT and tolDC-NKT cells on DC function, 3 × 105 moDC-NKT cells or tolDC-NKT cells were cultured with 3 × 105 α-GalCer- or vehicle-pulsed MoDC in 300 μL of culture media in the presence of 10 μg/mL anti–IL-10 blocking Ab or rat IgG1 in a 48-well plate (Sumitomo Bakelite). After 48 hours of culture, cells were harvested by scraping and iNKT cells were removed from the harvested cells by negative selection of Vα24+ cells. To define the capacity of DCs cocultured with moDC-NKT or tolDC-NKT cells to stimulate alloreactive T-cell responses, mixed leukocyte reactions (MLRs) were performed. Irradiated DCs were cultured with allogeneic PBMCs (2 × 105) at various ratios between 1:40 and 1:10 in 200 μL 10% FCS/AIM-V media in 96-well plates for 4 to 5 days. Proliferation was determined by addition of 0.5 μCi/well [methyl-3H] thymidine for the last 12 to 16 hours of culture. Thymidine incorporation was determined by a Betaplate Scintillation Counter. Alternatively, DCs harvested by scraping were analyzed for DC cell markers by flow cytometry.
Statistical analysis
All analyses for statistically differences were performed with Student paired t test. Values of P less than .05 were considered significant.
Results
Characterization of tolDCs
As described in “Generation of monocyte-derived DCs,” MoDCs were generated from monocytes in the presence of IL-4 and GM-CSF. mDCs were generated by culture of MoDCs in a maturation cytokine cocktail. For the generation of tolDCs, IL-10 was added into the culture along with IL-4 and GM-CSF for 6 days. To characterize the MoDCs, mDCs, and tolDCs used in this study, we performed a phenotypical FACS analysis. As shown in Figure 1A, tolDCs showed low levels of CD86 expression and comparable expression of CD40, CD80, and HLA-DR compared with MoDCs. mDCs showed increased expression of HLA-DR, CD80, CD86, and CD40 compared with MoDCs. CD83 was detected only on mDCs but not on MoDCs and tolDCs. CD1d was detected on all 3 DC subsets, and tolDCs showed the highest expression of CD1d. To compare the antigen presenting abilities of these DC populations, MLRs were performed using MoDCs, mDCs, or tolDCs as stimulator cells. The proliferation of allogeneic T cells against tolDCs, compared with that to MoDCs or mDCs, was low (data not shown). Furthermore, we examined cytokine production by MoDCs or tolDCs stimulated with LPS for 24 hours (Figure 1B). After LPS stimulation, MoDCs secreted large amounts of IL-12p70 and TNF-α. In sharp contrast, tolDCs produced only small amounts of IL-12p70 and TNF-α but produced high amounts of IL-10. Although tolDCs showed comparable cytokine production as MoDCs, they produced high amounts of IL-10 when stimulated with E coli DNA (Figure 1C). Thus, tolDCs generated in this manner expressed low levels of costimulatory molecules, exhibited low antigen-presenting capacity, and produced large amounts of IL-10 in response to LPS stimulation. In contrast, both MoDCs and mDCs were immunogenic, but mDCs were more potent than MoDCs.
Phenotypic features of MoDCs, mDCs and tolDCs, generated from human monocytes. (A) Surface expression of differentiation markers (solid lines) was assessed by FACS analysis. Shaded regions represent staining with isotype control antibodies. The numbers represent MFI values of the respective markers. The data are representative of the results of 5 separate experiments. (B) Cytokine synthesis by the DCs was evaluated using culture supernatants of MoDCs or tolDCs stimulated with or without LPS for 24 hours. Results are the mean concentration plus or minus SD of triplicate experiments. (C) Cytokine synthesis by the DCs was evaluated using culture supernatants of MoDCs or tolDCs stimulated with E coli DNA or calf thymus DNA for 24 hours. Results are the mean concentration plus or minus SD of triplicate experiments.
Phenotypic features of MoDCs, mDCs and tolDCs, generated from human monocytes. (A) Surface expression of differentiation markers (solid lines) was assessed by FACS analysis. Shaded regions represent staining with isotype control antibodies. The numbers represent MFI values of the respective markers. The data are representative of the results of 5 separate experiments. (B) Cytokine synthesis by the DCs was evaluated using culture supernatants of MoDCs or tolDCs stimulated with or without LPS for 24 hours. Results are the mean concentration plus or minus SD of triplicate experiments. (C) Cytokine synthesis by the DCs was evaluated using culture supernatants of MoDCs or tolDCs stimulated with E coli DNA or calf thymus DNA for 24 hours. Results are the mean concentration plus or minus SD of triplicate experiments.
TolDCs induce IL-10–producing iNKT cells
Vα24+ iNKT cells are known to produce various cytokines in response to stimulation with α-GalCer presented by DCs.1 We analyzed cytokine production in supernatants of PBMCs cultured for various time periods with α-GalCer– or vehicle-pulsed DCs (MoDCs, mDCs, or tolDCs). As shown in Figure 2A, large amounts of IFN-γ and TNF-α were detected in the supernatants of PBMCs with α-GalCer–loaded MoDCs and mDCs for 72 hours. In contrast, when PBMCs were stimulated with α-GalCer–loaded tolDCs, large amounts of IL-10, but not IFN-γ or TNF-α, were produced. Although the cytokine levels at 48 hours were lower than those at 72 hours, the cytokine production patterns at both time points were similar. We failed to detect IL-4 in cultures of PBMCs stimulated with any of the DC subsets. Cytokine production was very low at 24 hours of culture (data not shown).
Activation of iNKT cells by α-GalCer presented by distinct DC subsets. (A) Cytokine production of primary iNKT cells was assessed in culture supernatants of PBMCs after 72 hours of stimulation with distinct subsets of syngeneic DCs pulsed with α-GalCer (αGC) or vehicle (Veh). Results are the mean concentration plus or minus SD of triplicate experiments. (B) Mean plus or minus SE fold expansion of total iNKT cells after 7 days of stimulation of PBMCs with distinct subsets of syngeneic DCs loaded with α-GalCer (αGC) or vehicle (Veh) in the presence of anti–IL-10 mAb or rat control IgG1 from 3 different subjects (*P < .05). (C) Detection of apoptosis of PBMCs cocultured with α-GalCer-pulsed DCs (MoDCs, mDCs, or tolDCs) for 24, 48, or 72 hours. The percentage of cell death was measured by annexin V and PI staining using FACS analysis.
Activation of iNKT cells by α-GalCer presented by distinct DC subsets. (A) Cytokine production of primary iNKT cells was assessed in culture supernatants of PBMCs after 72 hours of stimulation with distinct subsets of syngeneic DCs pulsed with α-GalCer (αGC) or vehicle (Veh). Results are the mean concentration plus or minus SD of triplicate experiments. (B) Mean plus or minus SE fold expansion of total iNKT cells after 7 days of stimulation of PBMCs with distinct subsets of syngeneic DCs loaded with α-GalCer (αGC) or vehicle (Veh) in the presence of anti–IL-10 mAb or rat control IgG1 from 3 different subjects (*P < .05). (C) Detection of apoptosis of PBMCs cocultured with α-GalCer-pulsed DCs (MoDCs, mDCs, or tolDCs) for 24, 48, or 72 hours. The percentage of cell death was measured by annexin V and PI staining using FACS analysis.
TolDCs exhibit low capacity to induce iNKT-cell proliferation
We next examined the capacity of MoDCs, mDCs, and tolDCs to induce iNKT-cell proliferation. Expansion of iNKT cells during primary stimulation was assessed by flow cytometry rather than 3H-thymidine uptake as described in “Assessment of iNKT cell function induced by stimulation with MoDC, mDC, and tolDC” because Vα24+ iNKT cells represent a very small fraction of PBMCs. PBMCs were cultured with α-GalCer- or vehicle-loaded MoDCs, mDCs, and tolDCs for 7 days and Vα24+ iNKT cell expansion was assessed by flow cytometry (Figure 2B). Vα24+ iNKT cells expanded extensively in the presence of α-GalCer–loaded MoDCs or mDCs (59- and 87-fold, respectively). In sharp contrast, when α-GalCer–loaded tolDCs were used, expansion of Vα24+ iNKT cells was approximately 25-fold. These results suggested that tolDCs have limited capacity to expand Vα24+ iNKT cells, compared with MoDCs or mDCs, even though expression of CD1d was the highest on tolDCs. The reduced expansion observed for the tolDCs-PBMCs was not the result of faster activation kinetics accompanied by subsequent cell death because the percentage of apoptotic cells among PBMCs cultured with tolDCs was comparable with those for PBMCs cultured with MoDCs or mDCs at 24, 48, and 72 hours (Figure 2C). In addition, when anti–IL-10 blocking mAb was added in the coculture of tolDCs and PBMCs, expansion of Vα24+ iNKT cells was restored (Figure 2B). On the other hand, anti–IL-10 mAb did not affect expansion of Vα24+ iNKT cells cultured with MoDCs or mDCs.
TolDCs induce iNKT cell anergy
We evaluated the capacity of iNKT cells cultured with distinct DCs to be restimulated with α-GalCer–loaded MoDCs. For this purpose, PBMCs were cultured for 7 days with α-GalCer–loaded MoDCs, mDCs, or tolDCs. The expanded Vα24+ iNKT cells were purified using magnetic beads and termed moDC-NKT cells, mDC-NKT cells, or tolDC-NKT cells, respectively. We examined the proliferative responses of tolDC-NKT cells and moDC-NKT cells by restimulating these cells with MoDCs in the presence of α-GalCer. Proliferation was assessed by [3H]TdR uptake. Results showed that tolDC-NKT cells were unable to proliferate, whereas moDC-NKT cells proliferated extensively (Figure 3A). The percentage of apoptotic and necrotic cells among tolDC-NKT cells at 24 and 48 hours was less than 5% and comparable with that among moDC-NKT cells (data not shown). These results suggest that Vα24+ iNKT cells were rendered anergic by culture with α-GalCer–loaded tolDCs.
Functional properties of Vα24+ iNKT cells expanded by distinct subsets of DCs. PBMCs were stimulated with α-GalCer–loaded, syngeneic DCs (MoDCs, mDCs, or tolDCs) for 7 days and enriched for Vα24-positive fractions by magnetic bead separation. Functional assays were performed using the enriched Vα24+ iNKT cells, which were designated moDC-NKT, mDC-NKT, and tolDC-NKT cells. (A) Proliferation assay. Proliferation of Vα24+ iNKT cells, restimulated by MoDCs with or without α-GalCer for 48 hours, was assessed by [3H]TdR uptake. The results shown represent one of 3 experiments. (B) Cytolysis assay. The enriched Vα24+ iNKT cells were tested for cytotoxicity against U937 cells in a standard 6-hour 51Cr release assay. The data are representative of the results of 2 separate experiments. (C) Cytokine production assay. Culture supernatants from Vα24+ iNKT cells stimulated by syngeneic MoDCs loaded with α-GalCer were assayed for IFN-γ, TNF-α, IL-4, and IL-10. The results shown represent 1 of 3 experiments. (D) Intracellular cytokine production assay. IL-10– or IFN-γ–producing Vα24+ iNKT cells stimulated by syngeneic MoDCs loaded with α-GalCer were assayed by FACS analysis. Similar results were obtained in 2 additional experiments. (E) Intracellular cytokine production assay. IL-10-producing Vα24+ iNKT cells stimulated by syngeneic MoDCs loaded with α-GalCer in the presence of anti-IL-10 mAb were assayed by FACS analysis.
Functional properties of Vα24+ iNKT cells expanded by distinct subsets of DCs. PBMCs were stimulated with α-GalCer–loaded, syngeneic DCs (MoDCs, mDCs, or tolDCs) for 7 days and enriched for Vα24-positive fractions by magnetic bead separation. Functional assays were performed using the enriched Vα24+ iNKT cells, which were designated moDC-NKT, mDC-NKT, and tolDC-NKT cells. (A) Proliferation assay. Proliferation of Vα24+ iNKT cells, restimulated by MoDCs with or without α-GalCer for 48 hours, was assessed by [3H]TdR uptake. The results shown represent one of 3 experiments. (B) Cytolysis assay. The enriched Vα24+ iNKT cells were tested for cytotoxicity against U937 cells in a standard 6-hour 51Cr release assay. The data are representative of the results of 2 separate experiments. (C) Cytokine production assay. Culture supernatants from Vα24+ iNKT cells stimulated by syngeneic MoDCs loaded with α-GalCer were assayed for IFN-γ, TNF-α, IL-4, and IL-10. The results shown represent 1 of 3 experiments. (D) Intracellular cytokine production assay. IL-10– or IFN-γ–producing Vα24+ iNKT cells stimulated by syngeneic MoDCs loaded with α-GalCer were assayed by FACS analysis. Similar results were obtained in 2 additional experiments. (E) Intracellular cytokine production assay. IL-10-producing Vα24+ iNKT cells stimulated by syngeneic MoDCs loaded with α-GalCer in the presence of anti-IL-10 mAb were assayed by FACS analysis.
TolDC-NKT cells demonstrate low cytotoxicity and selective IL-10 secretion
Next, we examined the cytotoxic activity and cytokine production profile of tolDC-NKT cells, moDC-NKT cells, and mDC-NKT cells. mDC-NKT cells showed high cytotoxicity and moDC-NKT cells showed moderate cytotoxicity against U937 cells (Figure 3B). However, cytotoxicity of tolDC-NKT cells against U937 cells was very low. Furthermore, expression of perforin by tolDC-NKT cells was lower than that for moDC-NKT cells (data not shown). We determined the cytokine production capacity of moDC-NKT cells, mDC-NKT cells, and tolDC-NKT cells after restimulation with α-GalCer–loaded MoDCs for 48 hours (Figure 3C). MoDC-NKT cells and mDC-NKT cells produced large amounts of IFN-γ and TNF-α after restimulation with α-GalCer–loaded MoDCs. Although tolDC-NKT cells produced less IFN-γ and TNF-α, they released greater amounts of IL-10 than moDC-NKT cells or mDC-NKT cells (Figure 3C). Intracellular cytokine staining further showed a higher percentage of IL-10–producing cells and a lower percentage of IFN-γ–producing cells among tolDC-NKT cells compared with moDC-NKT cells and mDC-NKT cells (Figure 3D). Addition of anti–IL-10 blocking Ab into cocultures of tolDC-NKT cells and α-GalCer–pulsed MoDCs reduced the percentage of IL-10–producing tolDC-NKT cells (Figure 3E).
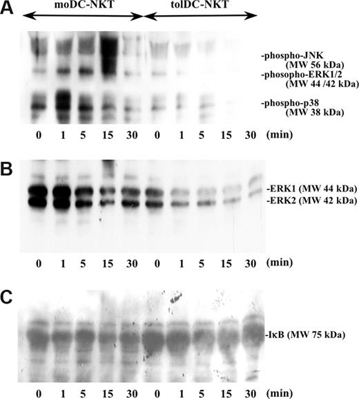
TolDC-NKT cells exhibit reduced activation of the MAPK pathway
It has been previously shown that anergic T cells have a specific defect in the activation of the RAS/MAPK signaling pathway.28 We therefore determined the amount of total ERK1/2 and phosphorylation of ERK1/2, p38, JNK in tolDC-NKT cells after activation with PMA and calcium ionophore. Decreased phosphorylated MAPKs were observed in activated tolDC-NKT cells, whereas phosphorylation was observed after 1 to 15 minutes of stimulation in moDC-NKT cells (Figure 4A). In addition, total amounts of ERK1/2 in tolDC-NKT cells were reduced compared with moDC-NKT cells (Figure 4B). Total amounts of IκB in tolDC-NKT cells were comparable with those in moDC-NKT cells (Figure 4C).
Activation of MAPKs is impaired and expression of IκB is maintained in tolDC-NKT cells. (A) TolDC-NKT and moDC-NKT cells were activated with 10 ng/mL PMA and 1 μg/mL calcium ionophore for the indicated times. Cells were lysed, and a Western blot was performed to detect phosphorylated MAPKs (ERK1/2, p38, JNK) with specific Abs. (B) The blot was stripped and reprobed with an Ab that is specific for total ERK1/2. (C) The blot was stripped and reprobed with an Ab that is specific for total IκB.
Activation of MAPKs is impaired and expression of IκB is maintained in tolDC-NKT cells. (A) TolDC-NKT and moDC-NKT cells were activated with 10 ng/mL PMA and 1 μg/mL calcium ionophore for the indicated times. Cells were lysed, and a Western blot was performed to detect phosphorylated MAPKs (ERK1/2, p38, JNK) with specific Abs. (B) The blot was stripped and reprobed with an Ab that is specific for total ERK1/2. (C) The blot was stripped and reprobed with an Ab that is specific for total IκB.
TolDC-NKT cells potently suppress the proliferation of alloreactive T cells
To determine whether tolDC-NKT cells can modulate immune responses mediated by conventional T cells, we stimulated allogeneic T cells with α-GalCer–loaded MoDCs in the presence or absence of tolDC-NKT cells. Cell division of CFSE-labeled allogeneic CD4+ T cells was analyzed by FACS analysis. After 5 days of culture, the percentage of responder CD4+ T cells in each division was analyzed by FACS analysis (Figure 5). Allogeneic CD4+ T cells divided multiple times in the presence (27%-66% of cells had undergone division) or absence of moDC-NKT cells (23.8%-26.7% of cells had undergone division). In contrast, in the presence of tolDC-NKT cells, allogeneic CD4+ T cells divided poorly (7.3%-18.7% of cells had undergone division). These results indicate that tolDC-NKT cells possess regulatory functions that can inhibit the proliferation of conventional T cells. Furthermore, addition of anti–IL-10 blocking Ab into the culture resulted in blockade of the suppression mediated by tolDC-NKT cells (14.0%-62.8% of cells had undergone division).
Suppressor function of Vα24+ iNKT cells against the proliferation of alloreactive CD4+ T cells. 5 × 104 allogeneic CD4+ T responder cells from 3 different subjects were labeled with CFSE and cultured with 104 α-GalCer– or vehicle-loaded MoDCs and 5 × 104 moDC-NKT or tolDC-NKT cells in the presence of anti-IL-10 mAb or rat control IgG1. Cultures without Vα24+ iNKT cells were used as a control. Five days later, cell division in the cultures was analyzed using flow cytometry. Dot plots show CFSE fluorescence (x-axis) vs CD4 expression (y-axis) gated on CFSE-labeled CD3+CD4+ T cells. The percentage of live divided cells is shown in the table below the flow cytometry plots.
Suppressor function of Vα24+ iNKT cells against the proliferation of alloreactive CD4+ T cells. 5 × 104 allogeneic CD4+ T responder cells from 3 different subjects were labeled with CFSE and cultured with 104 α-GalCer– or vehicle-loaded MoDCs and 5 × 104 moDC-NKT or tolDC-NKT cells in the presence of anti-IL-10 mAb or rat control IgG1. Cultures without Vα24+ iNKT cells were used as a control. Five days later, cell division in the cultures was analyzed using flow cytometry. Dot plots show CFSE fluorescence (x-axis) vs CD4 expression (y-axis) gated on CFSE-labeled CD3+CD4+ T cells. The percentage of live divided cells is shown in the table below the flow cytometry plots.
TolDC-NKT cells suppress DC maturation
Finally, we investigated the effects of tolDC-NKT cells on DC functions (Figure 6). For this purpose, we examined the capacity of DCs cocultured with tolDC-NKT cells to stimulate alloreactive T-cell responses. DCs cocultured with tolDC-NKT cells, compared with DCs cocultured with moDC-NKT cells, had reduced capacity to stimulate alloreactive T-cell responses (Figure 6A). Furthermore, α-GalCer–pulsed MoDCs were cultured with tolDC-NKT cells for 48 hours, and surface expression of costimulatory molecules on the DCs was assessed by flow cytometry (Figure 6B). Coculture of DCs with moDC-NKT cells resulted in increased expression of CD40 and CD86 on the DCs. However, coculture of DCs with tolDC-NKT cells had minimal effect on the expression of CD40 and CD86 on the DCs. In addition, we added anti–IL-10 Ab into the culture and analyzed the expression of CD40. Anti–IL-10 blocking Ab reduced the suppressive effect of tolDC-NKT cells on DC maturation. Thus, tolDC-NKT cells generated by tolDCs have regulatory properties that can affect DC maturation and function.
Effect of Vα24+ iNKT cells on DC maturation. MoDC-NKT or tolDC-NKT cells were cultured with α-GalCer– or vehicle-loaded MoDCs for 48 hours. (A) Allogeneic MLR. MoDC-NKT or tolDC-NKT cells were cultured with α-GalCer–loaded MoDCs for 48 hours. After removing Vα24-positive cells, DCs isolated from cultures of MoDCs with moDC-NKT or tolDC-NKT cells were cultured with allogeneic PBMCs for 5 days in MLR assays. The results shown represent one of 2 experiments. (B) DC phenotype in subjects 1 and 2. MoDC-NKT or tolDC-NKT cells were cultured with α-GalCer (αGC)- or vehicle (Veh)-loaded MoDCs for 48 hours (subject 1) in the presence of anti–IL-10-blocking mAb or rat control IgG1 (subject 2). Cell surface markers displayed by the DCs were assessed by FACS. The numbers represent the geometric MFI of the respective markers.
Effect of Vα24+ iNKT cells on DC maturation. MoDC-NKT or tolDC-NKT cells were cultured with α-GalCer– or vehicle-loaded MoDCs for 48 hours. (A) Allogeneic MLR. MoDC-NKT or tolDC-NKT cells were cultured with α-GalCer–loaded MoDCs for 48 hours. After removing Vα24-positive cells, DCs isolated from cultures of MoDCs with moDC-NKT or tolDC-NKT cells were cultured with allogeneic PBMCs for 5 days in MLR assays. The results shown represent one of 2 experiments. (B) DC phenotype in subjects 1 and 2. MoDC-NKT or tolDC-NKT cells were cultured with α-GalCer (αGC)- or vehicle (Veh)-loaded MoDCs for 48 hours (subject 1) in the presence of anti–IL-10-blocking mAb or rat control IgG1 (subject 2). Cell surface markers displayed by the DCs were assessed by FACS. The numbers represent the geometric MFI of the respective markers.
Discussion
Results of this study have demonstrated that Vα24+ iNKT cells stimulated with α-GalCer–loaded tolDCs differentiate into iNKT cells that display regulatory properties. The regulatory Vα24+ iNKT cells induced by tolDCs are characterized by the following properties: (1) production of a characteristic cytokine profile, with high IL-10 and low IFN-γ production; (2) an anergic state; (3) low cytotoxicity against NKT cell–sensitive target cells; (4) suppression of alloreactive CD4+ T-cell responses; and (5) down-regulation of the antigen-presenting capacity of DCs. These features of Vα24+ iNKT cells induced by tolDCs might characterize a novel subset of iNKT cells involved in the induction of peripheral tolerance.
Human iNKT cells are capable of producing large amounts of both IL-4 and IFN-γ rapidly on activation.29,30 In the present study, we showed that activation of Vα24+ iNKT cells from freshly isolated PBMCs with α-GalCer presented by immunogenic monocyte-derived DCs, such as MoDCs and mDCs, resulted in strong iNKT cell expansion with production of large amounts of IFN-γ and TNF-α (Figure 2A). These results are consistent with prior in vitro and in vivo studies, indicating that activation of iNKT cells with α-GalCer–loaded myeloid DCs is associated with increased IFN-γ production.18,31-33 In contrast to these results, we showed that Vα24+ iNKT cells stimulated with α-GalCer presented primarily by tolDCs produced only limited amounts of IFN-γ and TNF-α (Figure 2A). It has been generally considered that CD28-CD80/CD86 interactions play a key role in the production of both IFN-γ and IL-4 by iNKT cells.23 Furthermore, IL-12 derived from DCs promotes IFN-γ secretion by iNKT cells.2 Compared with MoDCs or mDCs, tolDCs used in this study exhibited low CD86 expression levels and diminished IL-12 p70 production (Figure 1A,B). These properties of tolDCs may lead to decreased production of Th1 cytokines, such as IFN-γ and TNF-α by iNKT cells. Interestingly, Vα24+ iNKT cells stimulated with α-GalCer–loaded tolDCs not only exhibited reduced Th1 cytokine production but also enhanced secretion of IL-10 (Figure 2A). It has been previously shown that a human PBMC-derived CD83−CD80/CD86low DC population can induce the differentiation of naive, conventional CD4+ T cells into IL-10–producing T cells.34 In addition, chronic activation of human naive CD4+ T cells in the presence of IL-10 converts them into IL-10–producing CD4+ T cells.35 As depicted in Figure 1, tolDCs expressed low levels of CD86 and were capable of producing large amounts of IL-10 on stimulation with LPS or E. coli DNA. Therefore, IL-10 production and low expression of accessory molecules by tolDCs may be partially associated with the induction of IL-10–producing iNKT cells with regulatory functions. However, induction of IL-10–producing Vα24+ iNKT cells by tolDCs could not be blocked by anti–IL-10 mAb (data not shown), indicating that factors other than IL-10 must play a role as well.
MoDCs are known to be potent inducers of iNKT cell activation in cell culture assays.36-38 In our experiments, α-GalCer–loaded MoDCs or mDCs strongly expanded Vα24+ iNKT cells (Figure 2B). Although CD1d was expressed on all types of DCs, including tolDCs, investigated in this study (Figure 1A), α-GalCer–loaded tolDCs induced limited expansion of primary Vα24+ iNKT cells (Figure 2B). In addition, Vα24+ iNKT cells cultured with tolDCs during the first culture became unresponsive to further stimulation with MoDCs (Figure 3A) and displayed decreased amounts of total ERK1/2 and low levels of phosphorylation of MAPK (Figure 4A,B). Thus, tolDCs induced a state of hyporesponsiveness or anergy in Vα24+ iNKT cells. The anergic tolDC-NKT cells lost their killing activity against NKT cell–sensitive U937 target cells (Figure 3B). These findings provide evidence that distinct subsets of DCs play a key role in the induction of an anergic state in iNKT cells. One possible explanation for the capacity of tolDCs to induce anergic iNKT cells could be IL-10 production by these cells. Indeed, addition of anti–IL-10 blocking mAb into the cultures of iNKT cells and α-GalCer–loaded tolDCs resulted in significant recovery of iNKT cell proliferation (Figure 2B). Another possible explanation for the induction of iNKT cell anergy by tolDCs is the low expression of costimulatory molecules, including CD86, by these cells, which may lead to incomplete signaling in iNKT cells. In conventional T cells, antigen recognition with incomplete or absent costimulatory signaling results in T-cell anergy.39 In addition, a recent study showed that injection of α-GalCer–pulsed B cells, which express low levels of costimulatory molecules, induced iNKT cell anergy in mice.40 The tolDCs studied in our experiments expressed low but detectable levels of CD86. Therefore, we cannot exclude the possibility that molecules other than CD86 are responsible for the induction of iNKT cell anergy. Several investigators have reported that DCs pretreated with IL-10 inhibited the proliferative responses of conventional T cells and induced Ag-specific anergy in human CD4+ and CD8+ T cells.26,27,41 The precise mechanisms responsible for the generation of Ag-specific anergy in T cells primed with IL-10–treated DCs remain unknown.
Prior studies have described a subset of regulatory CD4+ T cells, termed T regulatory type 1 (Tr1) cells, which developed by addition of IL-10 to primary cultures of naive, murine CD4+ T cells.35,42 Tr1 cells produce high levels of IL-10 and can suppress immune responses in vitro and in vivo.35,43 Furthermore, Steinbrink et al27 reported that IL-10–treated human semimature DCs induced anergic T cells, which are capable of suppressing T-cell responses in an antigen-specific manner. Our results showed that anergic tolDC-NKT cells secreted high levels of IL-10 and retained their primary cytokine production profile on restimulation with α-GalCer presented by MoDCs (Figure 3C,D). Furthermore, tolDC-NKT cells exhibited suppressive activities against allogeneic T-cell responses. TolDC-NKT cells inhibited the proliferation of CD4+ T cells stimulated with allogeneic MoDCs (Figure 5). In addition, the capacity of tolDC-NKT cells to inhibit proliferation of alloreactive CD4+ T cells was blocked by addition of anti–IL-10 blocking mAb into the cultures. In contrast, moDC-NKT cells enhanced the proliferation of alloreactive CD4+ T cells compared with control allogeneic MLR, which is consistent with findings reported by Patterson et al.44 At least 3 possibilities can account for the suppressed proliferation of allogeneic CD4+ T cells in the presence of tolDC-NKT cells in our experiments. First, IL-10 derived from tolDC-NKT cells may be responsible for suppressing alloreactive T cells directly. IL-10 is a suppressive cytokine and is known to inhibit the activation and proliferation of T cells in PBMCs.45 An earlier report by Sonoda et al46 noted that IL-10 produced by murine NKT cells suppressed Ag-specific T cells during tolerance induction in a model of peripheral tolerance induced in immune privileged sites. Second, tolDC-NKT cells may exert their regulatory effect against allogeneic CD4+ T cells through down-regulation of the Ag-presenting capacity of DCs. We showed that coculture of MoDCs with IL-10–producing tolDC-NKT cells, but not with moDC-NKT cells, resulted in down-regulation of CD40 and CD86 on MoDCs (Figure 6B). In addition, the down-regulation of costimulatory molecules induced by tolDC-NKT cells was partially prevented by addition of anti–IL-10 mAb. Furthermore, when DCs were cocultured with tolDC-NKT cells, their capacity to induce allogeneic T-cell proliferation was decreased (Figure 6A). Recently, Kojo et al17 proposed that IL-10 derived from iNKT cells by repeated activation with α-GalCer induced IL-10–producing regulatory DCs in vivo. IL-10 derived from tolDC-NKT cells described in the present study may down-regulate the APC function of MoDCs. Third, suppression may be mediated by cellular contact between tolDC-NKT cells and effector cells. Novak et al47 demonstrated that cell contact between NKT cells and effector T cells is crucial for inhibiting Th1 differentiation in NOD mice. However, the molecular and cellular mechanisms for this cell contact–dependent suppression remain unclear.
In conclusion, this study provides important information regarding the interaction between distinct subsets of DCs and Vα24+ iNKT cells, resulting in the conversion of conventional iNKT cells into regulatory Vα24+ iNKT cells producing IL-10. These regulatory Vα24+ iNKT cells have suppressive properties against allogeneic CD4+ T-cell responses and DC functions. Further studies will be needed to investigate the precise mechanisms for induction of regulatory Vα24+ iNKT cell by tolerogenic DCs and for the molecular mechanisms underlying the suppressive functions of regulatory Vα24+ iNKT cells. Our findings suggest that tolerogenic DCs and/or regulatory Vα24+ iNKT cells might be exploited for immunotherapy of autoimmune diseases or for preventing transplant rejection.
The publication costs of this article were defrayed in part by page charge payment. Therefore, and solely to indicate this fact, this article is hereby marked “advertisement” in accordance with 18 USC section 1734.
Acknowledgments
The authors thank Dr Martin E. Dorf for critical reading of this manuscript as well as Kirin Brewery for providing α-GalCer for this research.
Authorship
Contribution: A.Y. performed the research experiments, analyzed the data, and contributed to paper drafting; C.H. designed and established the research and analyzed and interpreted data; M.N. analyzed and interpreted data; L.V.K. interpreted data and provided critical discussion; M.M. designed and established research and supervised studies.
Conflict-of-interest disclosure: The study has not been provided with any financial support. The authors have been provided with material support, α-GalCer, from Kirin Beverage, but all authors have declared no financial interests in Kirin Beverage Company whose product was studied in the present work. The authors declare no competing financial interests.
Correspondence: Mutsuhiko Minami, Department of Immunology, Graduate School of Medicine, Yokohama City University, 3-9 Fuku-ura, Kanazawa-ku, Yokohama, Japan; e-mail: mminami@med.yokohama-cu.ac.jp.


![Figure 3. Functional properties of Vα24+ iNKT cells expanded by distinct subsets of DCs. PBMCs were stimulated with α-GalCer–loaded, syngeneic DCs (MoDCs, mDCs, or tolDCs) for 7 days and enriched for Vα24-positive fractions by magnetic bead separation. Functional assays were performed using the enriched Vα24+ iNKT cells, which were designated moDC-NKT, mDC-NKT, and tolDC-NKT cells. (A) Proliferation assay. Proliferation of Vα24+ iNKT cells, restimulated by MoDCs with or without α-GalCer for 48 hours, was assessed by [3H]TdR uptake. The results shown represent one of 3 experiments. (B) Cytolysis assay. The enriched Vα24+ iNKT cells were tested for cytotoxicity against U937 cells in a standard 6-hour 51Cr release assay. The data are representative of the results of 2 separate experiments. (C) Cytokine production assay. Culture supernatants from Vα24+ iNKT cells stimulated by syngeneic MoDCs loaded with α-GalCer were assayed for IFN-γ, TNF-α, IL-4, and IL-10. The results shown represent 1 of 3 experiments. (D) Intracellular cytokine production assay. IL-10– or IFN-γ–producing Vα24+ iNKT cells stimulated by syngeneic MoDCs loaded with α-GalCer were assayed by FACS analysis. Similar results were obtained in 2 additional experiments. (E) Intracellular cytokine production assay. IL-10-producing Vα24+ iNKT cells stimulated by syngeneic MoDCs loaded with α-GalCer in the presence of anti-IL-10 mAb were assayed by FACS analysis.](https://ash.silverchair-cdn.com/ash/content_public/journal/blood/111/8/10.1182_blood-2007-04-085142/6/m_zh80080818320003.jpeg?Expires=1765978142&Signature=uVaNvxdCUGQNgpKrc3ImW45XX1Zeyg7ysPVaP7tYcgeWXdyj7JA2d7dcgGbiljLuC6YU4VCB4LZCKYs4jz1IUv3MZoNULrvwGFK1Yt7m-xR4pq1baJt6GFZce~yG8FR9jhEDv4Hk3jYv3eVvih4TidqyYnDTVoQVXMTTPMveraUoZbbKugeUZIEUm5Yj4SQy3r3mlPx7l0xcnCHwe1iI7o9Fk~cByieUvuSG52wrdt5XeRhwpLkx4k8gZMpG2AE2eR5gtQddaRxmHNivZpGGqSGk5TbHAKhKYYdOCmv959vq-kxJgjIsv-6qI7PIbJ9WEOnjbUTJ0~kImT98-Ur~4Q__&Key-Pair-Id=APKAIE5G5CRDK6RD3PGA)



This feature is available to Subscribers Only
Sign In or Create an Account Close Modal