De novo presentation of acute myeloid leukemia (AML) expressing the Philadelphia (Ph) chromosomal abnormality is rare and is associated with a dismal prognosis. To date, reported cases of Ph+ AML have expressed either the e13a2 or e14a2 BCR-ABL fusion transcripts. We report a unique case of de novo AML expressing the e6a2 fusion transcript and describe disease sensitivity to both imatinib before allogeneic stem-cell transplantation and dasatinib for AML relapse after allogeneic stem-cell transplantation. Furthermore, we report that sustained molecular remission has been achieved despite withdrawal of tyrosine kinase inhibitor (TKI) therapy.
Introduction
More than 90% of patients with chronic myeloid leukemia (CML) have b2a2 (e13a2) and/or b3a2 (e14a2) BCR-ABL fusion transcripts, which are translated into the p210 bcr-abl protein. CML with p190 BCR-ABL (breakpoints in mbcr) or p230 BCR-ABL (breakpoints in μbcr) fusion genes (e1a2 and e19a2 transcripts, respectively) are less frequent. Further variant BCR-ABL rearrangements affecting other regions of the BCR gene have also been described.1,,,,,,,,,,–12
A very rare fusion transcript joining the first 6 exons of BCR to exon 2 of ABL (e6a2) has been reported in 4 cases of CML with an aggressive clinical course.2,,–5 More recently, this translocation has been reported in single cases of chronic myelomonocytic leukemia,13 T-cell acute lymphoblastic leukemia,14 and acute basophilic leukemia.15 We describe a unique case in which the e6a2 was found in a patient with de novo Ph+ acute myeloid leukemia (AML). Despite the previously described poor prognosis of this rare group of patients, the current patient achieved sustained disease control with imatinib, reduced intensity allogeneic stem-cell transplantation and subsequently dasatinib.
Methods
RNA was prepared from peripheral blood or marrow. After red cell lysis, pelleted white cells were resuspended in Trizol (Invitrogen, Carlsbad, CA) and cDNA prepared by reverse transcription (RT) with Superscript II (Invitrogen); 2 μL of cDNA was used in a single round of polymerase chain reaction (PCR) amplification using AmpliTaq Gold (Applied Biosystems, Foster City, CA) with 200 nM of each gene-specific primer pair with appropriate RT negative and positive controls were used. Primers for the CML p210 b2a2 (e13a2) and b3a2 (e14a2) transcripts were used in addition to primers e1C (BCR exon e1) and a2B (ABL exon a2) for detection the e1a2 (p190) transcript.16 Amplification products were visualized by ethidium bromide staining of agarose gels.
Polymerase chain reaction (PCR) products were column purified using the PCR-M kit (Viogene, Taipei, Taiwan) and were eluted in a 30-μL volume, 6 μL was treated with ExoSapIT (GE Healthcare, Little Chalfont, United Kingdom). The PCR product was then used as template in cycle sequencing with the Big Dye Terminator v3.1 kit (Applied Biosystems). The reactions were run on a GeneAmp 9700 thermocycler (Applied Biosystems). The sequencing reactions were ethanol precipitated and run on a 3100 Genetic Analyser (Applied Biosystems) and analyzed using Sequencer 4.6 (Gene Codes, Ann Arbor, MI).
The slide was viewed with an Olympus BX50 Clinical Microscope (Olympus, Tokyo, Japan) using an Olympus 100× objective lens. The image was acquired using a SPOT Flex 64 Mp Digital Camera (Sterling Heights, MI), and processed with SPOT 4.6 PC software and Adobe Photoshop version 7.0 software (Adobe Systems, San Jose, CA).
Case report
Computed tomography and isotope bone scanning of the painful right hip in a 53-year-old woman demonstrated a solitary destructive lesion of the femoral head, a core biopsy of which showed myeloblastic chloroma. At presentation, there was a normocytic anemia (hemoglobin = 90 g/L) with anisopoikilocytosis, mild thrombocytopenia (133 × 109/L), and a white blood cell count of 4.3 × 109/L with normal differential and morphology. Splenomegaly was absent.
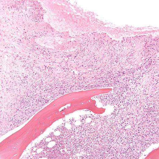
Cytogenetic assessment by fluorescence in situ hybridization of the core biopsy revealed t(9:22) with a deletion of the derivative chromosome 9. Bone marrow aspiration was a dry tap. The trephine biopsy demonstrated acute panmyelosis with myelofibrosis along with abnormal localization of immature precursors with an absence of typical CML megakaryocyte morphology (Figure 1).
Section of bone marrow trephine taken at diagnosis, demonstrating hyperplasia, areas of marked panmyelosis and fibrosis, and clusters of blasts.
Section of bone marrow trephine taken at diagnosis, demonstrating hyperplasia, areas of marked panmyelosis and fibrosis, and clusters of blasts.
RT-PCR on peripheral blood was negative for the p210 e13a2 (e14a2) transcripts. Primers to detect the e1a2 (p190) transcript revealed an atypical band, 642 bp larger than the e1a2 PCR product (Figure 2). Direct sequencing of this product revealed an e6a2 BCR- ABL transcript.
Detection of the e6a2 transcript. M is a 100-bp ladder marker. A no RNA negative control (nr) and a no template (nt) negative control are shown. Amplification of the usual e1a2 transcript (PCR product of 389 bp) from the ALL-1 cell line, and absence of product from the HL-60 cell line are shown in lanes 7 and 8, respectively. The abnormal 1033-bp band seen at presentation in blood and bone marrow is demonstrated in lanes 1 and 2. Lane 3 reveals the absence of abnormal band from the remission bone marrow after initial therapy. A positive control sample is shown in lane 4.
Detection of the e6a2 transcript. M is a 100-bp ladder marker. A no RNA negative control (nr) and a no template (nt) negative control are shown. Amplification of the usual e1a2 transcript (PCR product of 389 bp) from the ALL-1 cell line, and absence of product from the HL-60 cell line are shown in lanes 7 and 8, respectively. The abnormal 1033-bp band seen at presentation in blood and bone marrow is demonstrated in lanes 1 and 2. Lane 3 reveals the absence of abnormal band from the remission bone marrow after initial therapy. A positive control sample is shown in lane 4.
Two weeks after total hip joint replacement and commencement of imatinib mesylate 400 mg/day, induction chemotherapy with cytarabine (3 g/m2 twice a day, days 1, 3, 5, and 7) and idarubicin (12 mg/m2, days 1-3) was administered. Imatinib mesylate continued until the development of neutropenic enterocolitis on day 22. A bone marrow biopsy on day 37 demonstrated no blasts, residual fibrosis, and absence of the e6a2 BCR-ABL transcript by RT-PCR. Imatinib was recommenced on day 45.
Consolidation chemotherapy (cytarabine 100 mg/m2 con-tinuous intravenous infusion daily for 5 days and idarubicin 9 mg/m2 for 2 days) began on day 56. Imatinib was withheld from the onset of neutropenia until completion of an autologous stem-cell collection yielding 5 × 106 CD34+ cells/kg. The stem-cell product was e6a2 negative.
A second identical consolidation chemotherapy cycle commenced on day 106. Marrow examination following recovery from the second consolidation demonstrated ongoing remission with reduced fibrosis.
Given the poor prognosis of Ph+ AML, a matched sibling (sister) allogeneic stem-cell transplantation was undertaken in first remission with 3.6 × 106/kg CD34+ peripheral blood cells following reduced intensity conditioning with fludarabine (25 mg/m2, day −6 to day −2) and cyclophosphamide (1 g/m2, day −2 and day −1). Rapid engraftment ensued and peripheral blood and bone marrow chimerism analysis confirmed 100% donor hematopoiesis at day 28. In the absence of acute graft-versus-host disease (GVHD), cyclosporin was tapered from day 100 and fully withdrawn by 5 months after transplantation. Imatinib 400 mg/day maintenance, started at 1-month after transplantation, was poorly tolerated because of peripheral edema, neutropenia, and disturbed liver function tests and was discontinued at 4 months after transplantation.
At 6 months after transplantation, recurrent neutropenia and thrombocytopenia occurred. Marrow examination revealed relapsed AML identical to diagnosis and reappearance of the e6a2 BCR-ABL transcript. Chimerism analysis on peripheral blood CD3+ lymphocytes was 100% donor.
Donor ill health made donor lymphocyte infusion impossible. Dasatinib, 70 mg twice a day, was commenced on the START-B study.17 Improvement of peripheral blood parameters, complete suppression of the e6a2 BCR-ABL transcript, a return to morphologic marrow remission, and 100% donor myeloid (CD15) and lymphoid (CD3) chimerism were achieved after 1 month of therapy. Subsequent intolerance to dasitinib, including transfusion dependence, edema, anorexia, and diarrhea, necessitated dose reduction and then cessation after 6 months of therapy.
Despite remaining off all tyrosine kinase inhibitor (TKI) therapy for a total of 18 months, the patient remains in complete molecular remission, with normal peripheral blood counts, 100% donor chimerism, and full resolution of myelofibrosis on bone marrow examination. There has been no GVHD.
Discussion
The presence of shorter BCR-ABL transcripts in CML has been associated with aggressive clinical phenotype and early transformation, perhaps because of the lack of important regulatory bcr sequences within the fusion proteins.2,,–5 The observed poor clinical outcome associated with e6a2 BCR-ABL protein is likely to be the result of increased kinase activity due to the partial loss of the guanine exchange factor/dbl-like domain, which is also completely absent in p190 BCR-ABL protein, and which mediates the interaction with several Ras-like G proteins involved in cell proliferation, signal transduction, and cytoskeletal organization
Our case is unusual because the presence of the e6a2 transcript and the development of AML occurred without evidence of preceding CML. The absence of prior clinical or laboratory features of CML, such as preexisting leukocytosis or basophilia, along with absence of splenomegaly at presentation are all supportive of a diagnosis of Ph+ AML.18 Furthermore, the achievement of early complete hematologic response without residual features of CML also supports this diagnosis.
We have demonstrated the sensitivity of this disease to 2 separate TKIs in the clinical course of our patient. Critically, despite the withdrawal of TKI therapy because of poor tolerance after stem-cell transplantation, there has been no recurrence of the e6a2 clone, possibly because of a sustained allogeneic graft-versus-leukemia effect even in the absence of GVHD. Alternatively, the brief exposure to dasatinib may have led to disease eradication. This, however, is less likely in light of the demonstrated moderate rate of hematologic remissions induced by dasatinib in myeloid blast crisis of CML and the lack of reported complete molecular responses in this setting.17
The publication costs of this article were defrayed in part by page charge payment. Therefore, and solely to indicate this fact, this article is hereby marked “advertisement” in accordance with 18 USC section 1734.
Acknowledgment
The authors thank Prof Junia Melo for discussion of the unusual transcript.
Authorship
Contribution: D.S.R., J.F.S., and A.D. drafted the paper; M.M., D.A.W., S.K., and A.D. performed the assays and reported results; and D.S.R., M.M., D.A.W., S.K., J.F.S., and A.D. approved the final version.
Conflict-of-interest disclosure: The authors declare no competing financial interests.
Correspondence: David S. Ritchie, Department of Haematology and Medical Oncology, Peter MacCallum Cancer Centre, Locked Bag No. 1 A'Beckett St, Melbourne, Victoria, 8006, Australia; e-mail: david.ritchie@petermac.org.


This feature is available to Subscribers Only
Sign In or Create an Account Close Modal