The prognosis for patients with mantle cell lymphoma (MCL) is poor, and at present there is no truly effective therapy. Gene translocation-mediated constitutive expression of cyclin D1 seems to play the key role in the pathogenesis of MCL. Here we report that although 3 of 4 MCL cell lines expressed the recently identified, highly oncogenic cyclin D1b isoform, as well as the canonical cyclin D1a, 8 MCL patient samples expressed only the cyclin D1a protein despite expressing detectable cyclin D1b mRNA. Cell lines and tissue samples displayed constitutive activation of the cyclin D1 signaling cascade, as evidenced by strong expression of CDK4, Rb phosphorylation, and cyclin D1/CDK4 coassociation. All MCL cell lines and tissues examined displayed nondetectable to diminished expression of the cyclin D1 inhibitor p16. Novel small molecule CDK4/CDK6 inhibitor PD0332991 profoundly suppressed—at low nanomolar concentrations—Rb phosphorylation, proliferation, and cell cycle progression at the G0/G1 phase of MCL cells. These findings provide evidence that MCL should be very sensitive to targeted therapy aimed at functional inhibition of the cyclin D1/CDK4 complex.
Introduction
Mantle cell lymphoma (MCL) is a distinct category of B-cell lymphoma that typically manifests as a widespread disease with generalized lymphadenopathy and extranodal involvement of bone marrow, spleen, and sometimes gastrointestinal tract. The prognosis for patients is poor, and the median survival time is 3.5 years.1 No therapy has been effective enough to extend the overall survival time of patients with MCL. Chromosomal translocation t(11;14), which results in ectopic expression of cyclin D1, represents the hallmark of MCL and seemingly the critical oncogenic event.2 Cyclin D1 promotes cell proliferation by triggering G1 progression by virtue of its ability to activate its associated kinases, CDK4 and CDK6, and through phosphorylation by the activated kinases of specific residues that promote the functional inactivation of Rb protein. In turn, Rb inactivation permits the activation of E2F transcription factors that induce the transcription of genes whose protein products promote S-phase progression. Recently, 2 isoforms of cyclin D1, designated a and b, have been described.3,4 Whereas cyclin D1a displays both cytoplasmic and nuclear localization, cyclin D1b is exclusively nuclear and more oncogenic than cyclin D1a.
To better understand the pathogenesis of MCL and, specifically, the role of the cyclin D1-triggered signaling in the malignant cell transformation, we examined expression status of the cyclin D1 isoforms and the activation status of the cyclin D1/CDK4/CDK6-Rb pathway. Although cultured MCL cells typically expressed both isoforms of cyclin D1 protein, the native, directly patient-derived MCL cells expressed only the cyclin D1a isoform though they contained detectable cyclin D1b mRNA. Cultured and native MCL cells strongly expressed CDK4 but not CDK6 and displayed activation of the cyclin D1/CDK4 complex, as determined by extensive phosphorylation of the Rb protein. Treatment of the MCL cells with a novel, pharmacologic-grade, small-molecule inhibitor of CDK4 and CDK6 suppressed at low nanomolar doses Rb phosphorylation and proliferation and cell cycle progression of MCL cells. These data provide evidence that MCL cells predominantly express the cyclin D1a isoform and that the inhibition of cyclin D1 functional activity may represent an attractive therapeutic target in MCL.
Materials and methods
Cell lines
Four MCL cell lines (Jeko-1, Mino, SP-49, and SP-53) were established from lymphoma cells circulating in the peripheral blood of patients with MCL, as described previously.5,6 The VAL cell line was obtained from a diffuse large B-cell lymphoma of germinal center cell (follicular) derivation. Cell lines were maintained at 37°C with 5% CO2 in standard RPMI 1640 medium supplemented with 10% heat-inactivated fetal bovine serum, 1% penicillin/streptomycin/fungizone mixture, and 2 mM l-glutamine.
Primary MCL cells
MCL samples (parts of resected lymph nodes or Ficoll-purified peripheral blood mononuclear cells), identified according to patient history of lymphoma, peripheral blood flow cytometry analysis, or frozen section findings, were collected from patients treated at the University of Pennsylvania using a protocol approved by the IRB specifically for this study. The diagnosis of MCL was made on the basis of architectural and cytologic features, and cell immunophenotype (CD5- and cyclin D1+ and CD23- B lymphocytes that displayed clonally restricted moderate to high expression of immunoglobulin light chain). In most cases, cyclin D1 expression was also confirmed by fluorescence in situ hybridization (FISH) using DNA probes specific for immunoglobulin heavy-chain and cyclin D1 genes. Six cases were diagnosed as the standard variant and 3 as the blastoid variant based on cell morphology, high mitotic rate, and staining of at least 40% of MCL cells for the proliferation-associated Ki-67/mib1 antigen. Each sample analyzed contained a high (more than 90) percentage of MCL cells, as confirmed by lymph node immunohistochemistry using anti-B-cell CD20 and anti-T-cell CD3 antibodies and antibodies against cyclin D1 and MCL/T-cell marker CD5. The high purity of all peripheral blood (leukemic) and nodal MCL samples examined in the study was also determined (or confirmed) by flow cytometry by demonstrating a high percentage of CD19+/CD5+ B cells that were immunoglobulin light-chain expression-restricted. All experiments to evaluate protein phosphorylation status in MCL cells were initiated within 30 to 60 minutes of the sample harvest. In selected cell proliferation experiments, MCL cells were even further enriched by negative purification using a B-cell isolation kit (Kit II; Miltenyi Biotec, Auburn, CA). The kit permitted removal of the non-B lymphocytes by application of a cocktail of biotin-conjugated antibodies against CD2, CD14, CD16, CD36, CD43, and CD235a (glycophorin A) and avidin-coated magnetic microbeads. Patients with chronic lymphocytic leukemia/small lymphocytic lymphoma (CLL/SLL) were diagnosed using the standard morphologic and immunophenotypic (CD5-, CD23+, and cyclin D1- B cells with clonally restricted dim expression of immunoglobulin light chain) criteria. As did MCL samples, CLL/SLL samples consisted of more than 90% malignant cells.
Cyclin D1 isoform-specific and other antibodies
Antibody against the cyclin D1a isoform was obtained from NeoMarkers (clone AB3; Stratech Scientific, Cambridgeshire, United Kingdom). Another anti-cyclin D1 antibody that has not been characterized previously with regard to its isoform specificity (clone DCS-6; murine, monoclonal) was purchased from DAKO Cytometrics (Glostrup, Denmark). The cyclin D1b-specific antibody used in most of the experiments was custom-made as described previously.4 The second anti-cyclin D1b antibody7 was a kind gift of Dr Eric Knudsen (Department of Cell Biology, University of Cincinnati, OH). Antibodies against CDK2, CDK4, CDK6, and Rb, total and phosphorylated at serines 780, 795, and 807/811, were purchased from Cell Signaling Technology (Beverly, MA).
RT-PCR
Total RNA was isolated using Trizol reagent (Life Technologies, Bethesda, MD), as decribed.8 Isolated RNA was used for first-strand cDNA synthesis with Superscript II (Life Technologies) and an oligo-dT primer for 1 hour at 42°C. The cDNA was PCR amplified by Taq DNA polymerase (Life Technologies) with primers specific for cyclin D1a, cyclin D1b, and beta-actin in 30 cycles at standard conditions with the primers specific for cyclin D1a, 5′CAAATGGAGCTGCTCCTGGTG3′ (forward) and 5′CTTCGATCTGCTCCTGGCAGG3′ (reverse); cyclin D1b, 5′CAAATGGAGCTGCTCCTGGTG3′ (forward) and 5′TGGCACCAGCCTCGGCATTTC3′ (reverse); and beta-actin, 5′ATCTGGCACCACACCTTCTAC3′ (forward) and 5′GTGGTGGTGAGGCTGTAGCC3′ (reverse). PCR products were visualized by ethidium bromide staining in 2% agarose gels.
In vitro proliferation assay (BrdU incorporation)
Cells were seeded in 96-well plates (Corning Glassworks, Corning, NY) at a concentration of (1 × 104) cells/well in RPMI medium supplemented with 10% FBS with PD0332991 at the concentration depicted in Figure 4. Cell proliferation was measured with the Cell Proliferation enzyme-linked immunosorbent assay (ELISA) system (Roche, Basel, Switzerland) according to the manufacturer's manual. Briefly, after 16 hours, BrdU-labeling solution was added (final concentration, 10 μM), and cells were cultured for an additional 4 hours. Then the plates were centrifuged (10 minutes, 300g), supernatant was discarded, and plates were dried. Cells were fixed, and the DNA was denatured by the addition of 200 μL FixDenat Reagent included in the ELISA kit. Incorporated BrdU was recognized by specific antibody conjugated with peroxidase. Immune complexes were detected by subsequent substrate reaction. Results were measured using ELISA.
Cell-cycle analysis
After cell culture at (0.5 × 106) cells/mL for 24 hours with PD0332991 at the concentration depicted in Figure 4, the cells were harvested, washed twice with PBS, and permeabilized with 75% ice-cold ethanol for at least 1 hour at 4°C. After permeabilization, the cells were washed twice with PBS and resuspended in Master Mix (950 μL phosphate-buffered saline [PBS], 0.1 mg RNase; Roche) and 40 μg propidium iodine (PI; Sigma) and were incubated for 15 minutes at 37°C. The cells were analyzed by flow cytometry (FACSort; Becton Dickinson Biosciences, San Jose, CA) using CellQuest Pro (Becton Dickinson Biosciences) and ModFit (Verity Software House, Topsham, ME) software.
Cell apoptosis assays
We used the ApoAlert DNA Fragmentation Assay Kit (Becton Dickinson Biosciences) according to the manufacturer's protocol. In brief, after the cell culture at (0.5 × 106) cells/mL for 24 hours with PD0332991 at the concentration depicted in Figure 4, the cells were collected, washed twice in PBS, and fixed with 1% formaldehyde/PBS. After a wash, the cells were permeabilized with 70% ice-cold ethanol for at least 2 hours, washed, and incubated in TdT incubation buffer for 1 hour at 37°C. The reaction was stopped by the addition of 20 mM EDTA, and the cells were washed twice in 0.1% Triton X-100/bovine serum albumin (BSA)/PBS. Finally, samples were resuspended in 0.5 mL PI/RNase/PBS, collected, and analyzed by Flow Cytometry (FACSort; Becton Dickinson) with the CellQuest Pro software (Becton Dickinson Biosciences).
Western blot
Cells were washed briefly in PBS, centrifuged, and lysed in RIPA buffer (50 mM Tris-HCl, pH 7.4, 1% NP-40, 0.25% sodium deoxycholate, 150 mM NaCl, 1 mM EDTA) supplemented with 0.5 mM PMSF, phosphatase inhibitor cocktails I and II (Sigma, St Louis, MO), and protease inhibitor cocktail (Roche), as described.9,10 For normalization of the gel loading, the protein extracts were assayed according to the Lowry method (Dc protein assay; Bio-Rad, Hercules, CA). Typically, 20 to 30 mg protein per lane was loaded. To detect proteins, both total and in phosphorylated form, membranes were incubated with the appropriate secondary, peroxidase-conjugated antibody. Blots were developed with SuperSignal West Dura (Pierce, Rockford, IL).
Expression of cyclin D1 isoforms by cultured MCL cells. Four MCL cell lines (Jeko-1, SP53, SP49, and Mino) and the control, germinal center-derived diffuse large B-cell lymphoma cell line (VAL) were examined for expression of cyclin D1 protein isoforms using commercially available antibodies against cyclin D1a (A) and cyclin D1, which was not further characterized (B), and 2 different custom-made, cyclin D1b-specific antibodies (C4 , D7 ). Bands corresponding to cyclin D1a (37 kDa) and cyclin D1b (33 kDa) are marked by the open and solid arrowheads, respectively. Results are representative of 2 to 4 independent experiments.
Expression of cyclin D1 isoforms by cultured MCL cells. Four MCL cell lines (Jeko-1, SP53, SP49, and Mino) and the control, germinal center-derived diffuse large B-cell lymphoma cell line (VAL) were examined for expression of cyclin D1 protein isoforms using commercially available antibodies against cyclin D1a (A) and cyclin D1, which was not further characterized (B), and 2 different custom-made, cyclin D1b-specific antibodies (C4 , D7 ). Bands corresponding to cyclin D1a (37 kDa) and cyclin D1b (33 kDa) are marked by the open and solid arrowheads, respectively. Results are representative of 2 to 4 independent experiments.
Immunofluorescence staining
To detect the CDK4/CDK6 inhibitor-induced changes in Rb phosphorylation, a standard immunofluorescence using Rb-pSER 807/811 antibody was performed. In brief, MCL cells were harvested 16 hours after exposure to the drug, washed twice in 1× PBS, fixed (0.02% PBS/Triton X-100, 1% BSA) for 30 minutes. Next, slides were incubated for 2 hours with a primary antibody and, after washing, for 30 minutes with a secondary antibody. The staining was visualized using a standard fluorescence microscope (Eclipse E800; Nikon, Osaka, Japan) equipped with a Plan APOboxA 60×/1.4 NA oil objective lens and a SensiCamQE (Cooke, Eugene, OR). Images were acquired with IPLab 3.65 (BD Biosciences, Rockville, MD) and were assembled as figures in Adobe Photoshop 7.0 (Adobe Systems, San Jose, CA).
Coimmunoprecipitation
Cells were lysed with lysis buffer that contained protease and phosphatase inhibitors. Next, immunoprecipitation with the CDK4 goat polyclonal antibody (Santa Cruz Biotechnology, Santa Cruz, CA), and 20 μL Protein G Agarose (Gibco BRL, Carlsbad, CA) was performed for 2 hours at 4°C. Immunoprecipitates were washed, boiled, suspended in reducing SDS loading buffer, separated on an 11% polyacrylamide/SDS gel, and transferred electrophoretically to hybridization transfer membranes. The membranes were blocked with 5% milk in TBST buffer for 30 minutes and incubated with relevant primary antibody overnight. Then they were washed, incubated with peroxidase-conjugated secondary antibody, and washed again. Blots were developed using the ECL chemiluminescence reagent (Pierce).
CDK4/CDK6 inhibitor
The compound PD0332991 (Pfizer, New York, NY) is from the pyridopyrimidine structural family and has been described in detail previously.11 PD0332991 displayed an IC50 of 11 and 16 nM against CDK4 and CDK6, respectively. In the in vitro kinase inhibition assays, it did not reach IC50 at 10 μM for 34 other kinases tested, including CDK1, CDK2, and CDK5. The compound was stored at -20°C in DMSO at the stock concentration of 10 mM.
Results
Cultured MCL cells express cyclin D1a and cyclin D1b proteins
To determine which cyclin D1 isoform is expressed by the MCL cells, we first examined 4 different MCL-derived cell lines by Western blot analysis using antibodies specific for either cyclin D1a or cyclin D1b. As shown in Figure 1A, cyclin D1a protein was strongly expressed by all MCL cell lines, with the germinal center-type diffuse large B-cell lymphoma cell line (VAL) serving as a negative control. The anti-cyclin D1 antibody from DAKO (Glostrup, Denmark), which is widely used as the key diagnostic tool in MCL, also detected only the cyclin D1a isoform (Figure 1B). In contrast, the cyclin D1b-specific antibody, described in detail previously,4 detected this isoform in 3 of 4 MCL cell lines (Figure 1C). Unexpectedly, the antibody recognized an additional 35-kDa protein in 3 of the MCL lines. However, the same protein was detected in the control diffuse large B-cell lymphoma cell line VAL, suggesting that the protein most likely did not represent a genuine novel splice variant of cyclin D1. To provide additional evidence that this indeed is the case, we used a second, recently described7 anti-cyclin D1b antibody that has an epitope specificity similar, if not identical, to that of the first antibody because of the considerable overlap between the peptides used for immunization (YRGRHLVPRKCRGWCQGPQG and SEGDVPGSLAGAYRGRHLVPRK, respectively). As can be seen in Figure 1D, the antibody yielded only the 33-kDa cyclin D1b band but not the 35-kDa band.
Native MCL cells express only cyclin D1a protein but express cyclin D1b mRNA
To determine the pattern of cyclin D1 isoform expression in the primary MCL cells, we examined by Western blot analysis samples derived directly from 8 patients with MCL (Figure 2A) with samples from 9 patients with CLL/SLL serving as a negative control. All MCL tissues expressed cyclin D1a; none, however, expressed detectable cyclin D1b protein. Although all contained the additional 35-kDa protein, the same band-but not the cyclin D1 a or b isoform—was also detected in all CLL/SLL samples (Figure 2B), providing more evidence that the 35-kDa band corresponds to a non-cyclin D1 protein.12 We also examined whether the native MCL cells contain cyclin D1b mRNA. As shown in Figure 2C, reverse transcription-polymerase chain reaction (RT-PCR) with cyclin D1b-specific primers revealed—rather surprisingly, given the lack of cyclin D1b protein—the presence of the cyclin D1b message in all 5 patient samples examined, but not the control, normal PBMCs.
Constitutive activation of the cyclin D1 signaling cascade in MCL cells
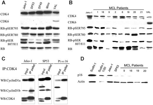
To determine the activation status of cyclin D1 in cultured and primary MCL cells, we assessed the expression of CDK4 and CDK6 proteins and the phosphorylation status of Rb protein. As shown in Figure 3, all MCL cell lines (Fig. 3A) and patient samples (Fig. 3B) strongly expressed CDK4 but failed to express detectable CDK6. Analysis with 3 different phospho-RB-specific antibodies revealed strong phosphorylation of the protein at the serine sites examined (795, 780, and 807/811) in all 4 MCL cell lines. With the exception of 2 sites in 2 different patients, extensive Rb phosphorylation was observed in all 8 patient samples evaluated, indicating the activation of cyclin D1 in such cells. To determine whether cyclin D1 forms complexes with CDK4, coprecipitation experiments were performed in the selected MCL cell populations. Protein cell lysates prepared from the indicated samples were subjected to precipitation with a CDK4-specific antibody, and the associated cyclin D1a or D1b was detected by immunoblot. As shown in Figure 3C, cyclin D1a and, if expressed, cyclin D1b coassociated with CDK4. The aforementioned 35-kDa protein failed to coprecipitate with CDK4, providing the final argument in favor of it not being a novel cyclin D1 isoform.
Expression of cyclin D1 isoforms by native MCL cells. MCL (A) and the control CLL/SLL (B) patient samples were examined for the expression of cyclin D1a (top rows; open arrowheads), cyclin D1b (middle rows; solid arrowheads), and actin (bottom rows) proteins with Jeko-1 MCL line serving as a positive control. (C) Expression by MCL cells of mRNA coding for cyclin D1a, cyclin D1b, and control actin. Results are representative of at least 3 independent experiments.
Expression of cyclin D1 isoforms by native MCL cells. MCL (A) and the control CLL/SLL (B) patient samples were examined for the expression of cyclin D1a (top rows; open arrowheads), cyclin D1b (middle rows; solid arrowheads), and actin (bottom rows) proteins with Jeko-1 MCL line serving as a positive control. (C) Expression by MCL cells of mRNA coding for cyclin D1a, cyclin D1b, and control actin. Results are representative of at least 3 independent experiments.
Because p16, a known inhibitor of cyclin D1/CDK4/CDK6 complex activity,13 is frequently eliminated in malignant cells, we determined next whether p16 expression was preserved in the MCL cells under study. As shown in Figure 3D, all MCL cell lines and tissue samples examined displayed nondetectable to low expression of p16, which seemed at least 20 times lower than in the control, p16-expressing, Sudhl-1 T-cell lymphoma cell line.
Inhibition of the cyclin D1 signaling cascade by a CDK4/CDK6 inhibitor
Recently, a novel small molecule inhibitor of CDK4 and CDK6, designated PD0332991, was developed.11 To determine the activity of this highly specific CDK4/CDK6 inhibitor in intact MCL cells, we examined its effect on Rb phosphorylation using various concentrations of the compound. As shown in Figure 4A, SP53 cells that expressed both cyclin D1 isoforms required approximately 100 nM of the compound to effectively inhibit Rb phosphorylation within the 2-hour time frame. Mino cells that displayed the expression of only cyclin D1a appeared to be more sensitive, with the major effect seen at 50 nM.
To determine the length of time required for the maximal drug effect, a time-course experiment was performed (Figure 4B). Interestingly, the most effective Rb phosphorylation inhibition was not seen until 24 hours for SP53 cells and 6 hours for Mino cells (data not shown), suggesting a slow rate of drug uptake or Rb dephosphorylation in such cells. The profound inhibition of Rb phosphorylation upon prolonged exposure to the drug could also be visualized by immunofluorescence (Figure 4C). Finally, to demonstrate that PD 0332991 is also effective in native MCL cells, we examined cell samples from 5 patients (Figure 4D). As shown, we were able to document profound to complete inhibition of phosphorylation for all 3 serine sites of Rb in all patient samples.
Functional effects of the CDK4/CDK6 inhibitor on MCL cells
We next examined the effect of PD0332991 on the proliferation of the MCL cell lines. As shown in Figure 5A, BrdU incorporation by 3 MCL cell lines exposed to the drug for 24 hours was essentially completely inhibited by the drug at low 10- to 50-nM doses. Similarly, the MCL cell lines showed profound inhibition of cell cycle progression within the same time frame (Figure 5B; upper panel) at the G0/G1 phase, as documented by the dramatic decrease in the percentage of cells in the S phase. We also demonstrated the inhibition of cell cycle progression in the native MCL cells (lower panel). Overall, however, the measurable effect was less pronounced because of the variable but typically low proliferative rate of the primary MCL cells under the in vitro culture conditions. To ascertain that the small proportion of normal lymphocytes present in the MCL isolates did not contribute in a significant manner to the noted cell proliferation, we further enriched the MCL cells using a cocktail of biotin-conjugated anti-CD3, -CD2, -CD14, -CD16, -CD36, -CD43, and -CD235a antibodies against various non-B cell populations and the biotin-coated magnetic microbeads. As shown in Figure 5C, the purity of the negatively selected MCL cells derived from 2 patients was 99.75% and 98.27% (upper panel), and the proliferative rate of these highly purified MCL cells was markedly reduced by the CDK4 inhibitor (lower panel). Finally, we determined the effect of the compound on cell survival (Figure 5D). In contrast to the effect on cell proliferation, cell survival was essentially not affected in cell lines or primary MCL cells at the 24-hour (Figure 5D), 48-hour, and 72-hour time points (data not shown).
Expression and activation status of the cyclin D1 target proteins CDK4 and RB in MCL cells. Expression of CDK4, CDK6, and RB (both total and phosphorylated at the depicted serines) by MCL cell lines (A) and primary MCL samples (B). (C) Persistent association of cyclin D1 isoforms with CDK4 in MCL cells. Cell lysates from 2 MCL cell lines (Jeko-1 and SP53) and one MCL patient (patient16) immunoprecipitated with the anti-CDK4 antibody and probed in Western blot with antibodies against cyclin D1a (top row), cyclin D1b (middle row), and CDK4 (bottom row). Detected protein bands are depicted in the rows designated IP pellet. Expression of the proteins in the cell lysates not subjected to the CDK4 antibody precipitation served as the control (rows designated as input). (D) Expression of the p16 protein by the depicted MCL cell lines and primary tumor samples. Cell lysate from the p16 protein-expressing SUDHL-1 cell line used at the matching protein concentration (first lane) and after 1:20 dilution (second lane) served as control. Results are representative of at least 2 independent experiments.
Expression and activation status of the cyclin D1 target proteins CDK4 and RB in MCL cells. Expression of CDK4, CDK6, and RB (both total and phosphorylated at the depicted serines) by MCL cell lines (A) and primary MCL samples (B). (C) Persistent association of cyclin D1 isoforms with CDK4 in MCL cells. Cell lysates from 2 MCL cell lines (Jeko-1 and SP53) and one MCL patient (patient16) immunoprecipitated with the anti-CDK4 antibody and probed in Western blot with antibodies against cyclin D1a (top row), cyclin D1b (middle row), and CDK4 (bottom row). Detected protein bands are depicted in the rows designated IP pellet. Expression of the proteins in the cell lysates not subjected to the CDK4 antibody precipitation served as the control (rows designated as input). (D) Expression of the p16 protein by the depicted MCL cell lines and primary tumor samples. Cell lysate from the p16 protein-expressing SUDHL-1 cell line used at the matching protein concentration (first lane) and after 1:20 dilution (second lane) served as control. Results are representative of at least 2 independent experiments.
Effect of CDK4/CDK6 inhibitor on Rb phosphorylation in MCL cells. (A) SP53 and Mino MCL cell lines were exposed to the depicted concentrations of PD 0332991 for 2 hours and analyzed in Western blot for the Rb phosphorylation at serines 795, 780, and 807/811. (B) Kinetics of Rb dephosphorylation in the presence of PD 0332991 at 50 nM. (C) Visualization of the Rb phosphorylation at serine 807/811 in the MCL cells by immunofluorescence before (left panel) and after (right panel) 16-hour exposure of Mino cells to 100 nM PD 0332991. (D) Rb phosphorylation at the depicted serine moieties in patient-derived primary MCL cells after 1-hour exposure to 200 nM PD 0332991. N/D indicates not done. Results are representative of at least 3 independent experiments.
Effect of CDK4/CDK6 inhibitor on Rb phosphorylation in MCL cells. (A) SP53 and Mino MCL cell lines were exposed to the depicted concentrations of PD 0332991 for 2 hours and analyzed in Western blot for the Rb phosphorylation at serines 795, 780, and 807/811. (B) Kinetics of Rb dephosphorylation in the presence of PD 0332991 at 50 nM. (C) Visualization of the Rb phosphorylation at serine 807/811 in the MCL cells by immunofluorescence before (left panel) and after (right panel) 16-hour exposure of Mino cells to 100 nM PD 0332991. (D) Rb phosphorylation at the depicted serine moieties in patient-derived primary MCL cells after 1-hour exposure to 200 nM PD 0332991. N/D indicates not done. Results are representative of at least 3 independent experiments.
Discussion
Here we report that established MCL cell lines typically express both isoforms of cyclin D1. In contrast, only the D1a protein was detected in native MCL cells obtained directly from the 8 patients examined. Furthermore, function of the constitutively expressed cyclin D1 is critical for the proliferation of MCL cells, as determined by the effect on these cells of a highly specific small molecule CDK4/CDK6 inhibitor.
Effect of the CDK4/CDK6 inhibitor PD 0332991 on the functional properties of the MCL cells. (A) Cell proliferation as determined by 3-hour BrdU incorporation after 21-hour exposure of the MCL cell lines to the drug at the listed concentrations. (B) Cell cycle progression in MCL cell lines (i) and patient samples (ii) as determined by changes in the percentage of cells in the S phase after cell exposure to 200 nM PD 0332991 for the indicated lengths of time. (C) Effect of PD 0332991 on highly purified primary MCL cells. (i) Flow cytometry analysis with an anti-CD20 antibody of cells from 2 MCL patients after cell purification with a mixture of anti-non-B-cell antibodies (see “Materials and methods”). (ii) BrdU incorporation by the purified MCL cells exposed to medium alone or to 200 nM PD 0332991. (D) Cell apoptosis as determined by DNA fragmentation (TUNEL) assay after 24-hour cell exposure to 200 nM PD 0332991. Results are representative of at least 2 independent experiments. Error bars indicate standard deviation.
Effect of the CDK4/CDK6 inhibitor PD 0332991 on the functional properties of the MCL cells. (A) Cell proliferation as determined by 3-hour BrdU incorporation after 21-hour exposure of the MCL cell lines to the drug at the listed concentrations. (B) Cell cycle progression in MCL cell lines (i) and patient samples (ii) as determined by changes in the percentage of cells in the S phase after cell exposure to 200 nM PD 0332991 for the indicated lengths of time. (C) Effect of PD 0332991 on highly purified primary MCL cells. (i) Flow cytometry analysis with an anti-CD20 antibody of cells from 2 MCL patients after cell purification with a mixture of anti-non-B-cell antibodies (see “Materials and methods”). (ii) BrdU incorporation by the purified MCL cells exposed to medium alone or to 200 nM PD 0332991. (D) Cell apoptosis as determined by DNA fragmentation (TUNEL) assay after 24-hour cell exposure to 200 nM PD 0332991. Results are representative of at least 2 independent experiments. Error bars indicate standard deviation.
Although the native MCL cells derived directly from patients did not express detectable cyclin D1b protein (Figure 2A), they expressed the corresponding mRNA (Figure 2C). The presence of cyclin D1b mRNA in patient-derived MCL cells was also recently identified by others.14 Given that our cyclin D1b protein detection assay was sensitive, as documented by the easy detection of the protein in the MCL cell lines (Figures 1, 2A), it is most likely that the mRNA remained untranslated in the primary MCL cells. Interestingly, in vitro3,4 and in vivo studies15,16 indicate that the nonactivated, wild-type cyclin D1a is poorly oncogenic.3,4 Accordingly, only the engineered cyclin D1a mutant T286A transgene, which displays constitutive nuclear localization of the kinase but not the wild-type cyclin D1a, is able to induce MCL-like B-cell lymphomas in recipient mice.17 Although the T286A mutation has recently been found in carcinomas of the head and neck and uterine cervix (S. Benzeno, M. Guo, A.B.G., J.A.D., manuscript submitted), none of the 8 MCL samples examined displayed mutation of this or any other residue within the C-terminus of cyclin D1a that is responsible for its nuclear localization (data not presented). Given that, as described in this report, perpetual cyclin D1a signaling is critical for the proliferation of MCL cells and cyclin D1a does display nuclear localization and coassociation with CDK4 (Figure 3C) in MCL cells, other mechanisms seem responsible for cyclin D1a activation in MCL cells. The complete or partial loss of the cyclin D1 inhibitor p16 (Figure 3D) reported here provides one mechanism that likely contributes to the persistent activation of cyclin D1a in this type of lymphoma. It is also unclear why 3 of 4 MCL cell lines examined expressed cyclin D1b protein (Figure 1), whereas this isoform was not detected in any of the patient samples (Figure 2A). Given that only a few MCL cell lines have ever been established, one explanation may be that in rare instances this more oncogenic isoform is also expressed by the primary MCL cells and may facilitate the growth of such cells under in vitro conditions. Further studies, preferably using immunohistochemistry, with large numbers of samples are needed to fully address this question. However, the currently available custom-made, cyclin D1b-specific antibodies4,7 are not well suited for such large-scale analysis because of their relatively low affinity. Furthermore, the custom-made, commercially available anti-cyclin D1 antibodies suitable for immunohistochemistry recognize only the a isoform (Figures 1A-B); similar specificity is expected for other marketed antibodies18,19 typically raised against the isoform a-specific C-terminus of cyclin D1 to avoid cross-reactivity with cyclins D2 and D3.
Although our own anti-cyclin D1b antibody4 detected an unexpected 35-kDa band in addition to the expected 33-kDa band (Figures 1, 2), several findings indicate that this extra band does not correspond to a novel cyclin D1 isoform. First, it was present in all non-MCL malignant lymphoid populations examined, including primary cells from CLL/SLL (Figures 1, 2B), which have a very low proliferative index. Second, another anti-cyclin D1 antibody7 that detected essentially the same epitope did not detect the band (Figure 1D). Third, the 35-kDa protein failed to coassociate with the cyclin D1 partner CDK4 (Figure 3C). Finally, the presence of the protein was not associated with simultaneous detection of cyclin D1 mRNA in non-MCL (VAL) cells using combinations of 5 different primers against exons specific for cyclins D1a and D1b (exons 5 and exon 4a, respectively) and shared (exon 1 and exon 3) by these isoforms (data not presented).
Our data provide direct evidence that CDK4, as the functional effector of cyclin D1, is a novel, attractive therapeutic target in MCL cells. In this sense, they represent the proof-of-concept preclinical experiment that abrogating functional consequence of the fundamental genetic abnormality in MCL—that is, aberrant expression of cyclin D1 caused by chromosomal translocation of its gene—may be beneficial for patients with this type of lymphoma. Accordingly, the constitutive ectopic expression of the translocated cyclin D1 gene placed under control of the promoter of the immunoglobulin heavy-chain gene seemingly plays the key role in malignant transformation of mantle cell B cells1 despite the suggested overexpression of other pro-proliferative genes.20-22 Interestingly, in this regard, CDK4 not only interacts with cyclin D1 but is markedly overexpressed in MCL cells,12 strongly suggesting the dependence of MCL cells on the activity of the cyclin D1/CDK4 complex. This, in turn, indicates potential high sensitivity of MCL cells to functional inhibition of the complex. Our finding that complete inhibition of cell proliferation can be achieved in MCL cell lines with low nanomolar doses of the CDK4/CDK6 inhibitor PD0332991, while cell lines obtained from other types of cancer require 10 to 20 times higher doses of the drug,11 supports such a conclusion. The strong dependence of MCL cells on cyclin D1/CDK4 activation is particularly important in light of recent data indicating that cyclin D1 and other cyclins,23 as well as CDK4 and CDK6,24 are dispensable in fibroblasts and presumably some other types of nonhematopoietic cells. It is, therefore, possible that in some malignancies in which activation of the cyclin D1/CDK4/CDK6 complex may not be critical for their oncogenesis, the inhibition of CDK4 and CDK6 might be circumvented.
Several properties of PD0332991 indicate that it should be particularly effective in the treatment of MCL and other malignancies.11 This orally bioavailable compound is a potent and highly selective inhibitor of CDK4 kinase activity and exhibits an IC50 value of 11 nM against the enzyme. It also inhibits CDK6 with comparable potency (IC50, 16 nM) but displays little (IC50 > 10 mM) or no activity against 34 additional protein kinases composed of other CDKs and a wide variety of tyrosine and serine/threonine kinases.11 This high selectivity combined with a profound impact on MCL cells, as demonstrated here, strongly suggest the high effectiveness of the drug in the clinical setting.
In contrast to the profound effect on cell proliferation, the inhibition of CDK4 did not induce apoptotic cell death of MCL cells (Figure 4) in our in vitro cell culture model. Although this apparently mostly, if not exclusively, cytostatic effect might limit the efficacy of the drug in lymphoma patients, aberrant cell proliferation rather than impaired apoptosis lies at the core of MCL pathogenesis.12 Accordingly, the recent gene expression profiling study has identified the “proliferation signature” consisting of a set of 20 genes involved in cell proliferation as the most important prognostic factor in MCL.20 The degree of expression of a proliferation signature strongly correlated with shortened patient survival. Patients with MCL who did not express any or a few of these genes lived, on average, for 8 years from the time of diagnosis, whereas almost all patients with lymphomas that expressed most or all of the 20 signature genes died within 2 years. One could argue, therefore, that a CDK4/CDK6 inhibitor may have the highest impact on the most aggressive, highly proliferative variants of MCL.20,25 It may be important that within the 20-gene set of the proliferation signature, expression of 4 genes (CDC2,ASPM, tubulin a, and CENP-F) correlated best with patient survival.20 This observation might lead to the development of immunohistochemical assays to detect proteins encoded by these genes, which, in turn, could result in broad use of the assays in the diagnosis of MCL to better identify patients at high risk and to supplement the current morphologic and other criteria, such as detection of the cell cycle-related marker Ki-67/mib1.
The CDK4/CDK6 inhibitor may prove particularly effective when used in combination with other, possibly cytotoxic, agent(s). Modeling studies indicate that combinations of effective cytostatic and cytotoxic drugs should markedly increase the cure rate by delaying the development of drug resistance and preventing tumor growth between doses of the cytotoxic agents.26 It is also interesting that the inhibition of another serine/threonine kinase mTOR that typically results in a purely cytostatic effect, with cell accumulation at the G0/G1 cell cycle phase, dramatically enhanced the cell apoptotic rate when combined with the DNA-damaging agent cisplatin.27 Pairing the CDK4/CDK6 inhibitor with a proteosome inhibitor already shown to induce apoptotic cell death of MCL cells28 represents one such possible combination.
In summary, we document the prevalence of expression of the cyclin D1a isoform in MCL cells, the dependence of the MCL cells on persistent activity the cyclinD1/CDK4-triggered signaling cascade, and the high sensitivity of such cells to a potent, pharmacologic-grade CDK4/CDK6 inhibitor. These findings provide the proof-of-principle evidence that MCL should be particularly sensitive to small-molecule-based targeted therapy aimed at functional inhibition of cyclin D1/CDK4 complexes.
Prepublished online as Blood First Edition Paper, May 11, 2006; DOI 10.1182/blood-2006-04-016634.
Supported in part by National Institutes of Health grants CA96856 and CA93237 and by research funding from Pfizer Global Research and Development (M.A.W.).
S.E.D., S.S., and S.E. are employed by Pfizer Global Research and Development, whose potential product was studied in the present work.
M.M. performed protein expression analysis; M.K. performed functional studies in response to the drug; R.L. characterized and provided cell lines and several patient samples; A.B.G. assisted with the cyclin D1 isoform experiments; P.W. performed PCR expression analysis; E.T. performed cytogenetic analysis of the patient samples; P.N. supervised the cytogenetic analysis and reviewed the manuscript; S.E.D. provided key information about the CDK4/6 inhibitor and assisted in data interpretation; S.S. assisted in experiment design and data interpretation for the inhibitor (Rb activation) and reviewed the manuscript; S.E. assisted in the experimental design of CDK4/6-related experiments (functional studies) and reviewed the manuscript; S.J.S. identified patients, provided samples, provided context for the clinical aspects of the project, and reviewed the manuscript; J.A.D. participated in the design of the cyclin D1 isoform experiments and reviewed the manuscript; and M.A.W. supervised the entire project and wrote the manuscript.
The publication costs of this article were defrayed in part by page charge payment. Therefore, and solely to indicate this fact, this article is hereby marked “advertisement” in accordance with 18 U.S.C. section 1734.





This feature is available to Subscribers Only
Sign In or Create an Account Close Modal