Congenital afibrinogenemia (Mendelian Inheritance in Man #202400) is a rare, autosomal recessive disorder characterized by the complete absence of circulating fibrinogen. Our recent studies on the molecular basis of the disease showed that the most common genetic defect is a donor splice mutation in fibrinogen alpha gene (FGA)intron 4, IVS4+1G>T. Two other FGA donor splice mutations, in intron 1 (IVS1+3A>G) and intron 3 (IVS3+1_+4delGTAA), were identified in afibrinogenemia patients. Because it was impossible to directly study the effect of these mutations on mRNA splicing in patient hepatocytes, we used a transfected cell approach, which previously allowed us to show that the common IVS4 mutation causes afibrinogenemia due to the activation of multiple cryptic donor splice sites. In this study, analysis of the IVS3delGTAA mutation showed exon 3 skipping in 99% of transcripts and exons 2 and 3 skipping in 1% of transcripts. The different outcomes of these donor splice mutations appear to follow the model proposed in a study of fibrillar collagen genes, where donor splice mutations occurring in a rapidly spliced intron with respect to upstream introns lead in most cases to exon skipping, while mutations in later-spliced introns lead to intron inclusion or cryptic splice-site utilization. Indeed, we found that inFGA intron 3 was preferentially spliced first, followed by intron 2, intron 4, and intron 1.
Introduction
Mutations affecting splice sites are common in human genetic disease. The majority of these are single-point mutations affecting the conserved bases at the donor or acceptor splice sites. A study of more than a hundred splice-site mutations1,2 showed that point mutations affecting the 5′ donor splice site were more common than those at the 3′ acceptor site (62% vs 26%). At the 5′ donor splice site, mutations affecting the G residue at position +1 are the most common, followed by mutations at position +5. Mutations at these 2 positions are thought to significantly reduce the pairing of the donor splice site with the complementary site in the small nuclear ribonucleoprotein particle U1snRNP, which is one of the first steps in the complex process of mRNA splicing.3 4 At the 3′ acceptor site, mutations affecting the conserved −1 and −2 sites are most common, although mutations affecting the −3 site are also observed. Mutations at donor or acceptor sites can lead to exon skipping, intron retention or insertions and deletions due to utilization of cryptic splice sites.
Congenital afibrinogenemia (Mendelian Inheritance in Man #202400;http://www.ncbi.nlm.nih.gov/omim/), an autosomal recessive disorder originally described in 1920,5 is characterized by the complete absence of functional fibrinogen.6-8 Fibrinogen is produced predominantly in hepatocytes from 3 homologous polypeptide chains, Aα, Bβ and γ, which assemble to form the hexameric structure (AαBβγ)2.The 3 genes coding for fibrinogen gamma (FGG), alpha (FGA), and beta(FGB) are clustered in a region of approximately 50 kb on chromosome 4q28-q31.9 We previously identified the first causative mutations for congenital afibrinogenemia10,11; the genetic defect in a nonconsanguineous Swiss family was a recurrent deletion of approximately 11 kb DNA, which eliminates the majority of the FGA gene and so leads to a complete absence of functional fibrinogen. Subsequent studies of the molecular basis of congenital afibrinogenemia showed that the most common mutation is a donor splice mutation in FGA intron 4 (IVS4+1G>T).12,13 The IVS4+1G>T mutation was shown to cause premature FGA chain truncation due to the utilization of multiple cryptic donor splice sites.14 Two otherFGA donor splice mutations, in intron 1 (IVS1+3A>G) and in intron 3 (IVS3+1_+4delGTAA), were identified in afibrinogenemia patients. In this study we determined the consequence of the IVS3+1_+4delGTAA mutation on mRNA splicing. Different outcomes were found for the IVS4 mutation (cryptic splice-site activation) and the IVS3 mutation (exon skipping). Because the outcome of splice-site mutations in the fibrillar collagen genes COL1A1, COL1A2, COL3A1, and COL5A1 has been proposed to differ according to the order of intron removal,15-17 we determined the order of intron splicing in the FGA gene using a reverse transcriptase–polymerase chain reaction (RT-PCR)–based approach adapted from Kessler et al.18
Materials and methods
Control and mutant FGA genomic constructs
COS-7 cells were cultured in Dulbecco Modified Eagle Medium (DMEM)–10% fetal calf serum (FCS) and passaged using standard procedures. The wild-type genomic construct (Figure1) was generated by PCR amplification from a control individual using oligonucleotides situated inFGA exon 1 and exon 5 (FGAx1L: 5′CAGCCCCACCCTTAGAAAAG3′; FGAx5R: 5′GCGGCATGTCTGTTAATGCC3′) as previously described.14 The PCR fragment was cloned into the pcDNA3.1/V5-His TOPO-TA mammalian expression vector (Invitrogen, Groningen, the Netherlands), and all coding sequences and intron-exon junctions were verified by sequencing using standard dye-terminator protocols (PE Biosystems, Foster City, CA). Because a stop codon is present in frame after the cloned insert, the V5 and His tags normally encoded by the vector are not expressed by our constructs. The mutant plasmid pcDNA3.1V5-HisTOPO FGA IVS3+1_+4delGTAA was generated by site-directed mutagenesis (QuikChange Site-directed Mutagenesis Kit, Stratagene, La Jolla, CA) of the previous FGA wt V5-His TOPO construct (Figure 1) according to the manufacturer's protocol with primers FGAms3-F (5′GAGAGGCGATTTTTCCTCAGCCAATAGTATTACATATTTACTTC3′) and FGAms3-R (5′GAAGTAAATATGTAATACTATTGGCTGAGGAAAAATCGCCTCTC 3′). The mutagenesis reaction was carried out during 18 cycles with 19 minutes of elongation per cycle. All coding sequences and intron-exon junctions were verified by sequencing using standard dye-terminator protocols (PE Biosystems).
Control and mutant constructs used.
The genomic FGA fragments contain the complete coding sequences from exons 1 to 4, complete introns 1 to 4, and part of exon 5. All the natural splice sites are therefore present in the inserts. The oligonucleotides used for RT-PCR analysis of mRNA transcripts produced by the mutant constructs are indicated by the white arrows.
Control and mutant constructs used.
The genomic FGA fragments contain the complete coding sequences from exons 1 to 4, complete introns 1 to 4, and part of exon 5. All the natural splice sites are therefore present in the inserts. The oligonucleotides used for RT-PCR analysis of mRNA transcripts produced by the mutant constructs are indicated by the white arrows.
mRNA analysis
The sequence-verified plasmids were transfected into COS-7 cells using Lipofectin (Life Technologies, Basel, Switzerland). Stable transformants were selected with G-418 (Promega, Wallisellen, Switzerland). RNA was extracted using the RNeasy kit (Qiagen, Basel, Switzerland), and RT-PCR was performed with Ready-To-Go beads (AP Biotech, Dubendorf, Switzerland) and the same FGA-specific oligonucleotides (forward primer FGAx1L, reverse primer FGAx5R; Figure1). The RT-PCR products were separated on a 1% or 1.5% agarose gel and sequenced in order to identify the major mRNA transcript. A DNA size marker (1-kb ladder, Life Technologies, Basel, Switzerland) was loaded on each gel. RT-PCR products were then individually cloned into the pCR2.1 TOPO-TA vector (Invitrogen) to allow detection of rarer mRNA products by allele-specific oligonucleotide hybridization and/or sequencing as previously described.14 The presence of anFGA insert was verified first by hybridization with 2 coding region primers (FGAx1L and FGAx5R). We then performed colony hybridization for the predicted mutant mRNA using an exon2-exon4 probe, FGAhs2,4 (5′GTATTATCACGGTCCAGTCTTC3′). Colonies with inserts that did not hybridize with this probe were characterized by sequencing.
Order of intron removal
We used the strategy previously described by Kessler et al18 (Figure 2). Total RNA was extracted from COS-7 cells transfected with the wild-typeFGA genomic construct. RT-PCR was performed with Ready-To-Go beads (AP Biotech), using overlapping sets of primer pairs, each pair containing one intron and one exon primer (Figure 2; Table1) for a total of 35 cycles (10 touchdown cycles: 95°C, 30 seconds; 60°C-50°C, 30 seconds; 72°C, 3 minutes, followed by 25 cycles: 95°C, 30 seconds; 50°C, 30 seconds; 72°C, 3 minutes). The use of the intron primer allows the detection of pre-mRNA molecules without interference from the predominant mature mRNA. Controls without reverse transcription were included in each reaction to check for DNA contamination of the RNA sample. RT-PCR products were separated on 1% agarose gels containing ethidium bromide. A DNA size marker (1-kb ladder, Life Technologies) was loaded on each gel. All the major bands were gel-purified using the High Pure PCR product purification kit (Roche, Basel, Switzerland) and verified by sequencing.
Strategy for determination of the order of intron splicing in the FGA gene.
This approach was previously described by Kessler et al.18PCR primers used for pairwise comparison of the splicing of adjacent introns are shown. Exons (gray boxes) and introns are drawn to scale, with sizes of each exon and intron shown.
Strategy for determination of the order of intron splicing in the FGA gene.
This approach was previously described by Kessler et al.18PCR primers used for pairwise comparison of the splicing of adjacent introns are shown. Exons (gray boxes) and introns are drawn to scale, with sizes of each exon and intron shown.
Primers used for determination of order of intron splicing
| Primer Pair . | Forward (5′ > 3′) . | Reverse (5′ > 3′) . |
|---|---|---|
| A | CAGCCCCACCCTTAGAAAAG | AGAGGGAAGGAATCTCCTGC |
| B | CTGGCTAACATTGCTGTTGC | TTGGCTGAGGAAAAATCGCC |
| C | CAGATAGTGGTGAAGGTGAC | TCAGGGATATTATGAAGGTATG |
| D | TCTGGAAGAGAAAGGGTAG | CTCAGATCCTCTGACACTCG |
| E | ACAAATGCCCTTCTGGCTGCA | GTGCATAACTATCGCCTTCC |
| F | CCATAGGTTTTGAACTCACAC | GTACCTTCTGAAGCTGGCTC |
| G | CAGCCCCACCCTTAGAAAAG | TCAGGGATATTATGAAGGTATG |
| H | CTGGCTAACATTGCTGTTGC | CTCAGATCCTCTGACACTCG |
| I | CAGATAGTGGTGAAGGTGAC | GTGCATAACTATCGCCTTCC |
| J | TCTGGAAGAGAAAGGGTAG | GTACCTTCTGAAGCTGGCTC |
| K | CAGCCCCACCCTTAGAAAAG | GTGCATAACTATCGCCTTCC |
| L | CTGGCTAACATTGCTGTTGC | GTACCTTCTGAAGCTGGCTC |
| Primer Pair . | Forward (5′ > 3′) . | Reverse (5′ > 3′) . |
|---|---|---|
| A | CAGCCCCACCCTTAGAAAAG | AGAGGGAAGGAATCTCCTGC |
| B | CTGGCTAACATTGCTGTTGC | TTGGCTGAGGAAAAATCGCC |
| C | CAGATAGTGGTGAAGGTGAC | TCAGGGATATTATGAAGGTATG |
| D | TCTGGAAGAGAAAGGGTAG | CTCAGATCCTCTGACACTCG |
| E | ACAAATGCCCTTCTGGCTGCA | GTGCATAACTATCGCCTTCC |
| F | CCATAGGTTTTGAACTCACAC | GTACCTTCTGAAGCTGGCTC |
| G | CAGCCCCACCCTTAGAAAAG | TCAGGGATATTATGAAGGTATG |
| H | CTGGCTAACATTGCTGTTGC | CTCAGATCCTCTGACACTCG |
| I | CAGATAGTGGTGAAGGTGAC | GTGCATAACTATCGCCTTCC |
| J | TCTGGAAGAGAAAGGGTAG | GTACCTTCTGAAGCTGGCTC |
| K | CAGCCCCACCCTTAGAAAAG | GTGCATAACTATCGCCTTCC |
| L | CTGGCTAACATTGCTGTTGC | GTACCTTCTGAAGCTGGCTC |
Analysis of nuclear RNA intermediates
Actinomycin treatment and nuclear RNA extraction were performed according to Schwarze et al.16 COS-7 cells transfected with the FGA wild-type genomic construct were incubated with serum-free DMEM containing 5 μg/mL actinomycin D to halt transcription. Incubation was stopped after 5, 10, 20, 40, and 60 minutes by washing with ice-cold phosphate-buffered saline (PBS). Nuclear RNA was isolated using the RNeasy kit (Qiagen) after incubating scraped cell pellets in Triton X-100 buffer and centrifugation in order to eliminate cytoplasmic components. RT-PCR was performed with γP32–end-labeled sense oligonucleotides and products were separated on 6% denaturing polyacrylamide gels. PCR products amplified from genomic DNA were used as size markers. Again, controls without reverse transcription were included in each reaction. In addition, RT-PCR amplification of exon 3 was performed as a control for RNA quantity in each reaction and gel loading.
Results
We previously used the transfected COS-7 cell model to show that the common FGA IVS4+1G>T mutation led to afibrinogenemia through the activation of cryptic donor splice sites situated 4 bp downstream in intron 4 (85% of aberrant mRNAs) or upstream in FGA exon 4.14 No skipping of exon 4 was observed. The same approach was used to determine the effect of the IVS3+1_+4delGTAA mutation on mRNA splicing.
Analysis of the IVS3+1_+4delGTAA mutation
Agarose gel electrophoresis of the RT-PCR product issued from the expression of the mutant construct showed only one product. Direct sequencing of this product demonstrated that the 4-bp deletion at the donor splice site of exon 3 caused exon skipping (Figure3). Thus, although Spliceview19 computer prediction (http://www.itba.mi.cnr.it/webgene/) of the region surrounding the IVS3 donor site detected several potential cryptic donor splice sites in intron 3, it appears that in COS cells none of them is activated. To verify whether other potential aberrant mRNAs were produced by the IVS3delGTAA mutation, the RT-PCR product was cloned and 149 individual inserts were analyzed by hybridization; approximately 99% of the transcripts showed skipping of exon 3, while 1% of transcripts showed skipping of both exon 2 and exon 3 (Figure 3C). In both cases, the exon skipping disrupts the original reading frame, leading to a premature stop codon.
Analysis of the IVS3+1_+4delGTAA mutation in transfected COS-7 cells.
(A) Electrophoresis profile of the uncloned RT-PCR product. M denotes the 1-kb ladder DNA size marker. (B) Sequence of the uncloned RT-PCR product. The IVS3+1_+4delGTAA mutation leads to exon 3 skipping. (C) Cloning of the RT-PCR reaction shows that this product accounts for more than 99% of the aberrant transcripts (148 of 149 clones); fewer than 1% of clones (1 of 149) showed exon 2 and exon 3 skipping.
Analysis of the IVS3+1_+4delGTAA mutation in transfected COS-7 cells.
(A) Electrophoresis profile of the uncloned RT-PCR product. M denotes the 1-kb ladder DNA size marker. (B) Sequence of the uncloned RT-PCR product. The IVS3+1_+4delGTAA mutation leads to exon 3 skipping. (C) Cloning of the RT-PCR reaction shows that this product accounts for more than 99% of the aberrant transcripts (148 of 149 clones); fewer than 1% of clones (1 of 149) showed exon 2 and exon 3 skipping.
Order of intron splicing in the FGA gene
Two different outcomes were found for the IVS4 mutation (cryptic splice-site activation) and the IVS3 mutation (exon skipping). Because outcome of splice-site mutations in the fibrillar collagen genes COL1A1, COL1A2, COL3A1, and COL5A1 has been proposed to differ according to the order of intron removal,15-17 we determined the order of intron splicing in the FGA gene using an RT-PCR–based approach described by Kessler et al.18 In this experiment, it is the observation of the partially spliced intermediates that is instructive, since products containing all the introns may derive from the primary RNA transcript and are uninformative for the order of intron splicing. The data and the deduced preferential order of intron removal in the FGAgene are summarized in Table 2.
Observed pre-mRNA intermediates and deduced preferential order of splicing
| Introns . | Primer pair . | Introns spliced . | Size, bp . | Order . |
|---|---|---|---|---|
| 1 vs 2 | A | None | 1309 | 2 before 1 |
| B | Intron 2 | 360 | ||
| 2 vs 3 | C | None | 905 | (2 before 3)† |
| D | Intron 2 | 446 | or | |
| None | 1463 | 3 before 2† | ||
| Intron 3 | 331 | |||
| 3 vs 4 | E | None | 1530 | 3 before 4 |
| F | Intron 3 | 398 | ||
| None | 1181 | |||
| 1 vs 3 | G | None | 2052 | 3 before 1 |
| H | Intron 2 | 1593 | ||
| Introns 1 + 2* | 524* | |||
| Introns 2 + 3 | 402 | |||
| 2 vs 4 | I | Introns 2 + 3 | 524 | 2 before 4 |
| J | Intron 3 | 1245 | ||
| 1 vs 4 | K | Intron 3 | 2130 | 4 before 1 |
| L | Introns 1 + 2 + 3 | 603 | ||
| Introns 2 + 3 + 4 | 731 |
| Introns . | Primer pair . | Introns spliced . | Size, bp . | Order . |
|---|---|---|---|---|
| 1 vs 2 | A | None | 1309 | 2 before 1 |
| B | Intron 2 | 360 | ||
| 2 vs 3 | C | None | 905 | (2 before 3)† |
| D | Intron 2 | 446 | or | |
| None | 1463 | 3 before 2† | ||
| Intron 3 | 331 | |||
| 3 vs 4 | E | None | 1530 | 3 before 4 |
| F | Intron 3 | 398 | ||
| None | 1181 | |||
| 1 vs 3 | G | None | 2052 | 3 before 1 |
| H | Intron 2 | 1593 | ||
| Introns 1 + 2* | 524* | |||
| Introns 2 + 3 | 402 | |||
| 2 vs 4 | I | Introns 2 + 3 | 524 | 2 before 4 |
| J | Intron 3 | 1245 | ||
| 1 vs 4 | K | Intron 3 | 2130 | 4 before 1 |
| L | Introns 1 + 2 + 3 | 603 | ||
| Introns 2 + 3 + 4 | 731 |
Transcripts that may result from minor pathways of splicing involving intron 1 (see “Discussion”).
The preferential splice order between intron 3 and intron 2 was determined by analyzing nuclear RNA intermediates (Figure 5B).
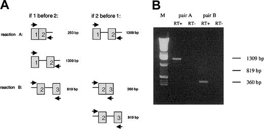
Intron 1 versus intron 2.
Figure 4 shows the strategy for intron 1 versus intron 2. Primer pair A, with a forward primer in FGAexon 1 and a reverse primer in intron 2, amplified the nonspliced exon 1–intron 1–exon 2 pre-mRNA (1309 bp). In contrast, primer pair B, with a forward primer in intron 1 and a reverse primer in exon 3, amplified the spliced intron 1–exon 2–exon 3 intermediate (360 bp), with traces of the unspliced product (819 bp). These results allow us to conclude that in the FGA gene, intron 2 is preferentially spliced before intron 1 (Figure 4; Table 2).
Splicing order of introns 1 and 2.
(A) Splice intermediates expected for RT-PCR reactions A and B if intron 1 is spliced before intron 2, or vice versa. (B) RT-PCR products obtained for primer pairs A and B, separated on a 1% agarose gel. For each reaction, a PCR amplification was performed without prior reverse transcription (RT−) to exclude DNA contamination. The bands correspond to the unspliced exon 1–intron 1–exon 2 product for reaction A and the spliced intron 1–exon 2–exon 3 product for reaction B, demonstrating splicing of intron 2 before intron 1 (see Table 2).
Splicing order of introns 1 and 2.
(A) Splice intermediates expected for RT-PCR reactions A and B if intron 1 is spliced before intron 2, or vice versa. (B) RT-PCR products obtained for primer pairs A and B, separated on a 1% agarose gel. For each reaction, a PCR amplification was performed without prior reverse transcription (RT−) to exclude DNA contamination. The bands correspond to the unspliced exon 1–intron 1–exon 2 product for reaction A and the spliced intron 1–exon 2–exon 3 product for reaction B, demonstrating splicing of intron 2 before intron 1 (see Table 2).
Intron 2 versus intron 3.
Reaction C, with the intronic primer in intron 3, amplified predominantly the unspliced product (905 bp), but the spliced exon 2–exon 3 intermediate (446 bp) was also observed (Figure5). Reaction D, with the intronic primer in intron 2, also amplified both unspliced and spliced forms (1463 bp and 331 bp, respectively). The preferential order of splicing of these 2 introns could not be clearly determined solely by the analysis of these reactions.
Order of intron splicing in the FGA gene.
(A) RT-PCR products obtained for reactions C-L were separated on a 1% agarose gel. For each reaction, a PCR amplification was performed without prior reverse transcription (RT−) to exclude DNA contamination. The splice intermediates corresponding to each band and the deduced order of intron splicing are detailed in Table 2. M denotes the 1-kb ladder DNA size marker. (B) RT-PCR was performed for reactions C and D with radioactively end-labeled sense primers on nuclear RNA intermediates isolated after actinomycin treatment (0, 5, 10, 20, 40, and 60 minutes). The products were separated on 6% denaturing polyacrylamide gels. PCR products amplified from genomic DNA were used as size markers.
Order of intron splicing in the FGA gene.
(A) RT-PCR products obtained for reactions C-L were separated on a 1% agarose gel. For each reaction, a PCR amplification was performed without prior reverse transcription (RT−) to exclude DNA contamination. The splice intermediates corresponding to each band and the deduced order of intron splicing are detailed in Table 2. M denotes the 1-kb ladder DNA size marker. (B) RT-PCR was performed for reactions C and D with radioactively end-labeled sense primers on nuclear RNA intermediates isolated after actinomycin treatment (0, 5, 10, 20, 40, and 60 minutes). The products were separated on 6% denaturing polyacrylamide gels. PCR products amplified from genomic DNA were used as size markers.
Intron 3 versus intron 4.
Analysis of RT-PCR reactions E and F demonstrated splicing of intron 3 before intron 4, since the only partially spliced intermediate amplified (398-bp product in reaction E) contained intron 4 but not intron 3 (Figure 5).
Intron 1 versus intron 3.
Reaction G, with the intronic primer in intron 3, amplified several bands, including a product without intron 2 (1593 bp) and one without intron 1 and intron 2 (524 bp). The latter product may result from a minor alternative pathway of splicing involving intron 1 (see “Discussion”), since primer pair H amplified a single strong 402-bp band containing intron 1 but not introns 2 and 3, demonstrating preferential splicing of intron 3 (and intron 2) before intron 1. The relatively low intensities of the bands amplified in reaction G may reflect the low abundance of partially spliced intermediates containing intron 3 in the FGA gene, consistent with the hypothesis that intron 3 is rapidly removed from the primary transcript.
Intron 2 versus intron 4.
Primer pair I, with the intronic primer in intron 4, amplified only the spliced exon 2–exon 3–exon 4 product (524 bp), demonstrating, as expected, preferential splicing of intron 2 (and intron 3) before intron 4. Primer pair J amplified a product containing introns 2 and 4 but not intron 3 (1245 bp).
Intron 1 versus intron 4.
Reaction K amplified a 1671-bp band containing intron 4 but not introns 2 and 3 and a 603-bp band containing intron 4 but not introns 1, 2, and 3. Again, the latter product may result from a minor pathway in which intron 1 is spliced before intron 4, since reaction L amplified a single strong 731-bp band product containing intron 1 but not intron 4 (or introns 2 and 3).
The results demonstrate a preferential order of intron removal in theFGA gene where introns 3 and 2 are removed before intron 4 and intron 1. In order to determine which of the 2 introns, intron 2 or intron 3 was preferentially spliced first, we analyzed nuclear RNA intermediates isolated after actinomycin treatment to halt transcription.16 When primers were placed in exon 2 and intron 3 (reaction C, Figure 5B), there was no transfer of radioactivity from the unspliced intermediate to the spliced exon 2–exon 3 fragment (446 bp). In fact, the majority of radioactivity disappeared during the actinomycin treatment, which is consistent with the removal of intron 3 before intron 2. On the contrary, when primers were placed in intron 2 and exon 4, (reaction D, Figure 5B) the unspliced intermediate disappeared over time while the total radioactivity remained constant, again consistent with preferential removal of intron 3 before intron 2. These data, in addition to those obtained for RT-PCR reaction J, which amplified a product containing introns 2 and 4 but not intron 3, allow us to conclude that the preferential order of splicing in the FGA gene is intron 3 before intron 2, followed by intron 4 and intron 1.
Discussion
We studied the effects of donor splice-site mutations affecting 2 different introns in the FGA gene, identified in patients with congenital afibrinogenemia, using a transfected cell approach. Although it is not immediately possible to conclude from the experiments in COS-7 cells that exactly the same aberrant mRNAs are being produced in the patient's hepatocytes, since cell-specific mRNA splicing of numerous genes, including the fibrinogen γ-chain(FGG) gene,20 has been proven, Gantla et al previously demonstrated the utility of the COS-7 model in evaluating the effects of potential splice-site mutations, particularly for genes expressed only in inaccessible tissues.21
Two different outcomes were found for the common IVS4+1G>T mutation (cryptic splice-site activation) and the IVS3+1_+4delGTAA mutation (exon 3 skipping). Outcome of splice-site mutations in the fibrillar collagen genes COL1A1, COL1A2, COL3A1, and COL5A1 has been proposed to differ according to the order of intron removal.15-17 For example, identical IVS+1G>A substitutions in intron 47 and intron 48 of the COL1A1 gene caused, respectively, a mild and a lethal form of osteogenesis imperfecta, due to exon skipping in one case and cryptic splice-site activation in the other. Subsequent analysis of up to 12 splice-site mutations showed that, in general, donor splice-site mutations occurring in a rapidly spliced intron with respect to upstream introns lead preferentially to exon skipping, while donor splice-site mutations in later-spliced introns lead to intron inclusion or cryptic splice-site utilization.15 In some cases, introns were spliced along 2 pathways (“major” and “minor” pathways), and the outcome of mutations in these introns reflected the relative frequencies of these pathways.16 17
We determined the order of intron splicing in the FGA gene using an RT-PCR–based approach.18 We found that introns 3 and 2 were spliced early, followed by intron 4 and intron 1. This preferential order of splicing leads to an RNA intermediate containing intron 1 followed by a large “exon” comprising exons 2, 3, and 4, and then by intron 4 and exon 5 (Figure6). In this situation, a donor splice-site mutation occurring in intron 4 can only lead to intron 4 inclusion (if the intron is small) or cryptic donor splice-site activation. This is exactly the outcome of the common afibrinogenemia mutation IVS4+1G>T. In contrast, since intron 3 is the first intron to be spliced, followed by intron 2, the most likely outcome for the IVS3delGTAA mutation is exon 3 skipping due to utilization of the intron 2 donor site (Figure 6). This is what we observed in close to 100% of transcripts produced by cells expressing the IVS3delGTAA mutation. In summary, the results obtained for the FGA gene appear to be consistent with the model proposed for the collagen genes.
Predicted outcomes for donor splice site mutations according to order of intron removal in the
FGA gene. See “Discussion” for details. * indicates the mutant splice site.
Predicted outcomes for donor splice site mutations according to order of intron removal in the
FGA gene. See “Discussion” for details. * indicates the mutant splice site.
The factors controlling the order of intron removal are not known. The “quality” of the donor/acceptor sites; the presence of cryptic sites, splice enhancers or suppressors, or RNA secondary structures; or the size of introns and exons may all contribute.22-27 For the FGA gene, however, as for the aprt gene,18 the strength of the donor and acceptor sites as estimated by Spliceview19 scores is not sufficient to determine the order of intron splicing. Indeed,FGA intron 4 has the highest donor and acceptor scores (91 and 95, respectively) followed by intron 2 (84 and 91) and intron 3 (83 and 82). For intron 1, the donor score was 80, while the acceptor site was undetected by the analysis, reflecting poor agreement with acceptor consensus sequences. Splicing of the “poor” intron 1 may be dependent on prior splicing of the downstream introns, with the exon 1–intron 1–exon 2–exon 3–exon 4–exon 5 intermediate a better substrate for the spliceosome.
If the order of intron splicing determines the outcome of donor splice-site mutations in the majority of genes, if not all, it should be possible to predict the order of intron splicing based on studies of splice-site mutations. For congenital afibrinogenemia, other than theFGA mutations described here, 2 mutations affectingFGG splice sites have been identified and their effect on mRNA splicing characterized. Asselta and coworkers28studied a Pakistani patient with afibrinogenemia who was homozygous for a mutation in FGG intron 1: IVS1+5G>A. Expression of the IVS1+5G>A mutant in transfected HeLa cells followed by RT-PCR and sequencing revealed that the mutation led to retention of intron 1 in the mRNA. Using a similar experimental approach, Margaglione et al29 identified a homozygous FGG intron 3 mutation affecting the same conserved +5 donor splice-site position, IVS3+5G>A, in an Italian patient. Expression of the mutantFGG sequence in HEK 293 cells showed skipping of exon 3, resulting in a deletion of the corresponding 60 amino acid residues encoded by this exon and a frame shift leading to premature γ-chain truncation. One might therefore predict that FGG intron 3, like FGA intron 3, is rapidly spliced, while FGGintron 1, like FGA intron 1, is one of the last introns, if not the last, to be spliced. The 3 fibrinogen genes derive from a common ancestor gene, which most likely duplicated to form theFGA gene and a pre–FGB-FGG gene approximately 1 billion years ago.9 The pre–FGB-FGG gene again duplicated to form the β and γ genes, with inversion of theFGB gene. The genomic structure of the 3 genes is not identical. In particular, the number of introns differs: 4 (or 5) introns for FGA (there is an additional exon in the fibrinogen α-E chain, which accounts for 1% of FGAtranscripts30), 9 for FGG, and 8 forFGB. The latter 2 each have 4 similarly spaced exons at the 3′ ends, while the FGA gene has a large exon 5, apparently equivalent to the last 3 exons of FGB andFGG.31 A comparison of intron positions in the rat and human fibrinogen genes based on amino acid alignments31 showed that only 2 of these (ie, introns 2 and 3) are conserved in all 3 fibrinogen genes, with an additional intron position conserved between the FGB and FGG genes. This suggests either that introns present in the ancestral gene were selectively lost, implying that the retained introns may contain essential sequences or structures, or that additional introns were randomly inserted since the successive duplications of the ancestral gene.31 Whichever evolutionary mechanism is responsible, it is possible that the preferential order of intron splicing is at least partially conserved among the 3 fibrinogen genes. The order of intron splicing in the FGG and FGB genes is currently being determined.
We thank Prof Laurent Roux for the COS-7 cell line. We thank the reviewers of this article for their useful comments and suggestions.
Prepublished online as Blood First Edition Paper, October 24, 2002; DOI 10.1182/blood-2002-03-0853.
Supported by Swiss National Science Foundation (SNF) grant 31-64987.01 and by the Dr Henri Dubois Ferrière-Dinu Lipatti Foundation. M.N.-A. is the recipient of an SNF Professorship.
C.A. and A.D. contributed equally.
The publication costs of this article were defrayed in part by page charge payment. Therefore, and solely to indicate this fact, this article is hereby marked “advertisement” in accordance with 18 U.S.C. section 1734.
References
Author notes
Marguerite Neerman-Arbez, Centre Médical Universitaire, 1 rue Michel Servet, CH-1211 Geneva, Switzerland; e-mail:marguerite.arbez@medecine.unige.ch.






This feature is available to Subscribers Only
Sign In or Create an Account Close Modal