Abstract
Lipid rafts are sphingolipid- and cholesterol-rich membrane microdomains that are insoluble in nonionic detergents, have a low buoyant density, and preferentially contain lipid-modified proteins, like glycosyl phosphatidylinositol (GPI)-anchored proteins. The lipid rafts were isolated from human erythrocytes and major protein components were identified. Apart from the GPI-anchored proteins, the most abundant integral proteins were found to be the distantly related membrane proteins stomatin (band 7.2b), flotillin-1, and flotillin-2. Flotillins, already described as lipid raft components in neurons and caveolae-associated proteins in A498 kidney cells, have not been recognized as red cell components yet. In addition, it was shown that the major cytoskeletal proteins, spectrin, actin, band 4.1, and band 4.2, are partly associated with the lipid rafts. Stomatin and the flotillins are present as independently organized high-order oligomers, suggesting that these complexes act as separate scaffolding components at the cytoplasmic face of erythrocyte lipid rafts.
Introduction
The concept of lipid rafts as domains of lateral organization of the plasma membrane1-3 has gained great importance recently, because it helps to understand diverse membrane processes such as signal transduction in hematopoietic cells2-4 and sorting of glycosyl phosphatidylinositol (GPI)-anchored proteins.2 In erythrocytes, these membrane microdomains have not been investigated in detail. Fluorescence microscopy revealed that in the red cell membrane there are domains of unequal enrichment of different phospholipids,5 and GPI-anchored proteins were shown to resist membrane extraction by Triton X-100 at 4°C.6 The recent finding that lipid rafts of epithelial cells are enriched in stomatin7 raised the question of whether stomatin is similarly organized in the red cell membrane, where it is a major integral protein.8-12
The aim of this study was, therefore, to isolate the lipid rafts of erythrocytes and identify their major protein components. We show that stomatin, flotillin-1, and flotillin-2 are highly abundant integral proteins in these rafts.
Study design
Cells
Whole blood was obtained from healthy donors by venipuncture and collected into heparinized tubes. Erythrocytes were pelleted (200g, 10 minutes) and subsequently washed 5 times with 150 mM NaCl and 10 mM Tris-Cl, pH 7.5 (TBS). Blood samples from 2 patients with overhydrated hereditary stomatocytosis (OHSt) were kindly provided by Dr Arnulf Pekrun, University of Göttingen; the red cells were stored at −80°C.
Identification of proteins
Protein samples were analyzed by gel electrophoresis/silver staining, as previously described.13 For the identification of protein bands, CNBr cleavage and mixed peptide sequencing14 (ABI model 476A) was performed, or Western blotting13 was performed using monoclonal antibodies against α-spectrin, band 3, and β-actin (Sigma, St Louis, MO), flotillin-1 and ESA/flotillin-2 (Transduction Laboratories, San Diego, CA), glycophorin-C and stomatin,8 with subsequent detection by horseradish peroxidase–goat–antimouse immunoglobulin G (Promega, Madison, WI) and the Supersignal chemiluminescence kit (Pierce, Rockford, IL). Additionally, proteins were identified by mass spectrometry (Bruker Reflex III MALDI-TOF-MS) of their tryptic peptides.
Preparation of lipid rafts
Method A.
Erythrocytes were lysed in 9 vol ice-cold 0.5% Triton X-100 in TBS, incubated for 20 minutes on ice, and centrifuged (10 minutes, 15 000g, 4°C). The pellet was resuspended in cold 60% sucrose and 0.5% Triton X-100 in TBS, with a final sucrose concentration of 40%. A total of 500 μL of this suspension was placed in centrifuge tubes (Beckman 13 × 51 mm), overlayed with 1.5 mL 30% sucrose in TBS, and 1 mL 10% sucrose in TBS, and centrifuged in a precooled SW50.1 rotor (Beckman) for 17 hours, 230 000g, 4°C. Fractions (150 μL) were collected from the top; lipid raft fractions were pooled, diluted with an equal volume TBS, pelleted (10 minutes, 15 000g, 4°C), and stored at 4°C for subsequent analyses.
Method B.
Erythrocytes were similarly lysed in 4 vol ice-cold 1% Triton X-100 in TBS and, after 20 minutes on ice, mixed with an equal volume 80% sucrose in 0.2 M Na2CO3, overlayed with 2 mL 30% and 1 mL 10% sucrose in TBS, and centrifuged as above. The diluted lipid raft fraction was pelleted at 100 000g for 1 hour (Beckman TLA-100.1).
Extraction of lipid rafts with sodium carbonate
Lipid rafts isolated by method A were resuspended in 200 μL ice-cold 0.1 M Na2CO3, incubated for 10 minutes on ice, and pelleted by ultracentrifugation (Beckman TLA-100.1, 200 000g, 15 minutes, 4°C). The pellet was resuspended in 200 μL 0.1 M Na2CO3, and aliquots of the supernatant and suspended pellet were analyzed by gel electrophoresis/silver staining, immunoblotting, and for acetylcholinesterase (AChE) activity.15
Analysis of oligomeric complexes
Proteins of isolated lipid rafts were dissolved in 200 μL 0.5% Triton X-100 in TBS, by incubation at 37°C for 20 minutes. After centrifugation (10 minutes, 15 000g) the supernatant was placed on top of a linear 5%-to-30% sucrose gradient (12 mL) in 0.5% Triton X-100 in TBS, and centrifuged for 17 hours at 180 000g in a Beckman SW40 rotor at 4°C. Eighteen fractions (0.68 mL) were collected from the top. Aliquots were analyzed by immunoblotting. For gradient calibration, molecular weight standards were used: albumin (66 kd), β-amylase (200 kd), and apoferritin (440 kd). AChE (150 kd) was used as internal membrane protein marker.
Results and discussion
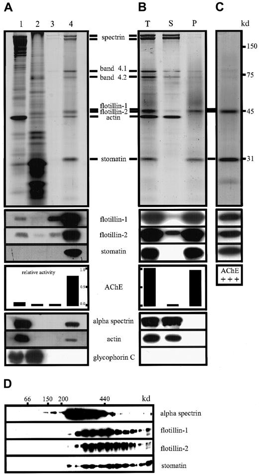
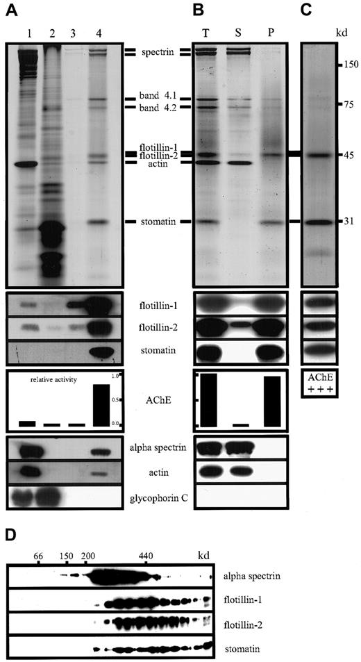
To isolate erythrocyte lipid rafts, we incubated red cells with Triton X-100 on ice, followed by centrifugation to concentrate the detergent-insoluble material and to separate it from the soluble membrane proteins band 3 and glycophorin and from hemoglobin, which disturbs immunoblot analyses. Step gradient ultracentrifugation of this pellet yielded a whitish band floating in the low-density region of the gradient (method A). This material, which we further refer to as lipid rafts, contained over 70% of the GPI-anchored protein AChE and virtually all of stomatin (Figure 1A). Stomatin's unusually low solubility in Triton X-100 8,10,11 can be explained now by its association with lipid rafts rather than binding to the cytoskeleton. Variable amounts of the cytoskeletal proteins actin, spectrin, and proteins 4.1 and 4.2 were also present in the floating fractions. The cytoskeleton-interacting membrane proteins glycophorin C (Figure1A) and band 3 (not shown) were absent from the rafts. Lipid raft-associated cytoskeletal components have already been described in other cells,16,17 and actin was identified in raft-related caveolae.18 For red cells, the interacting proteins or lipids remain to be determined.
Identification and characterization of human erythrocyte lipid raft-associated proteins.
(A) A total of 150 μL of packed red cells was extracted with 0.5% Triton X-100 on ice and centrifuged. The lipid rafts were prepared from the detergent-insoluble pellet by discontinuous density gradient centrifugation as described in method A. Twenty 150 μL fractions were collected from the top and pooled according to their contents. Aliquots of these pools were analyzed by 11% polyacrylamide gel electrophoresis/silver staining (top panel), Western blotting, and for AChE activity, as indicated. Lane 1, pellet resuspended in 300 μL TBS; lane 2, fractions 17 to 20 (high density); lane 3, fractions 9 to 16 (medium density); lane 4, fractions 7 to 8 (lipid rafts). Fractions 1 to 6 (low density, not shown) did not contain protein. (B) Lipid rafts prepared by method A were extracted with Na2CO3 and pelleted. Aliquots of the total sample before extraction (T), the supernatant (S), and resuspended pellet (P) were analyzed by silver staining/immunoblotting and for AChE activity. (C) Lipid rafts containing only integral proteins were prepared in one step from 100 μL of packed red cells as described in method B. The raft proteins were analyzed by gel electrophoresis/silver staining, Western blotting, and for AChE activity, as indicated. (D) Analysis of oligomeric complexes. Lipid rafts prepared by method A were solubilized in 0.5% Triton X-100 at 37°C, and 200 μL of the extract was subjected to sucrose density (5%-30%) centrifugation. Eighteen fractions were collected and analyzed by immunoblotting, as indicated. Molecular masses of marker proteins are in kilodaltons.
Identification and characterization of human erythrocyte lipid raft-associated proteins.
(A) A total of 150 μL of packed red cells was extracted with 0.5% Triton X-100 on ice and centrifuged. The lipid rafts were prepared from the detergent-insoluble pellet by discontinuous density gradient centrifugation as described in method A. Twenty 150 μL fractions were collected from the top and pooled according to their contents. Aliquots of these pools were analyzed by 11% polyacrylamide gel electrophoresis/silver staining (top panel), Western blotting, and for AChE activity, as indicated. Lane 1, pellet resuspended in 300 μL TBS; lane 2, fractions 17 to 20 (high density); lane 3, fractions 9 to 16 (medium density); lane 4, fractions 7 to 8 (lipid rafts). Fractions 1 to 6 (low density, not shown) did not contain protein. (B) Lipid rafts prepared by method A were extracted with Na2CO3 and pelleted. Aliquots of the total sample before extraction (T), the supernatant (S), and resuspended pellet (P) were analyzed by silver staining/immunoblotting and for AChE activity. (C) Lipid rafts containing only integral proteins were prepared in one step from 100 μL of packed red cells as described in method B. The raft proteins were analyzed by gel electrophoresis/silver staining, Western blotting, and for AChE activity, as indicated. (D) Analysis of oligomeric complexes. Lipid rafts prepared by method A were solubilized in 0.5% Triton X-100 at 37°C, and 200 μL of the extract was subjected to sucrose density (5%-30%) centrifugation. Eighteen fractions were collected and analyzed by immunoblotting, as indicated. Molecular masses of marker proteins are in kilodaltons.
The prominent 45-kd band (Figure 1A-C) was analyzed by peptide sequencing, mass spectrometry, and Western blotting and found to contain the raft proteins flotillin-1 and flotillin-2.19-23 Flotillins form hetero-oligomeric complexes with caveolins in A498 kidney cells,21whereas in neurons they cocluster with activated GPI-anchored adhesion molecules in noncaveolar micropatches.22 23
To distinguish between the integral and peripheral raft-associated proteins, we performed alkaline extraction using 0.1 M Na2CO3 (Figure 1B). Stomatin, flotillins, and AChE proved to be integral components of the lipid rafts, whereas the cytoskeletal proteins were solubilized. An alternative one-step approach to purify lipid rafts devoid of peripheral proteins (method B) yielded essentially the same results (Figure 1C). These data also indicate that potentially different lipid raft populations (small rafts) were not lost during the first pelleting step of detergent-insoluble complexes (method A).
Because stomatin forms homo-oligomers in epithelial cells,13 we addressed the question of the oligomeric state of stomatin and the flotillins in red cell lipid rafts. After solubilization, these proteins showed similar high-migration velocities in a linear sucrose gradient (Figure 1D), indicating that they are organized in high-order oligomeric complexes. However, immunoprecipitation experiments failed to coprecipitate stomatin and flotillins (not shown), suggesting that these proteins form independent oligomeric aggregates. These complexes probably act as different scaffolding components at the cytoplasmic face of red cell lipid rafts. It remains to be determined whether they function as docking sites for the cytoskeleton or signaling components.
Stomatin is missing in erythrocytes from OHSt patients,10,11 but the cause of this disease is still unknown.24 In the light of our findings, it is conceiveable that OHSt erythrocytes have a defect in the assembly and/or maintenance of lipid rafts leading to the loss of stomatin and possibly other lipid raft proteins; however, flotillin-1 and flotillin-2 are present in OHSt erythrocytes (Figure2). Future studies on OHSt will have to consider possible alterations of red cell lipid rafts.
Identification of stomatin, flotillin-1, and flotillin-2 in normal and OHSt erythrocyte membranes.
Erythrocytes from a healthy donor (N) and 2 OHSt patients (1,2) were hypotonically lysed, and the prepared ghosts were analyzed by Western blotting, as indicated.
Identification of stomatin, flotillin-1, and flotillin-2 in normal and OHSt erythrocyte membranes.
Erythrocytes from a healthy donor (N) and 2 OHSt patients (1,2) were hypotonically lysed, and the prepared ghosts were analyzed by Western blotting, as indicated.
In conclusion, the present study shows that the distantly related membrane proteins25 stomatin, flotillin-1, and flotillin-2 are the most abundant integral proteins of red cell lipid rafts, where they are independently organized in high-order oligomeric complexes.
Acknowledgments
We thank Diethelm Gauster for peptide sequencing and Edina Csaszar for mass spectrometric analyses.
Supported by grant P12907 from the Fonds zur Förderung der wissenschaftlichen Forschung (FWF).
The publication costs of this article were defrayed in part by page charge payment. Therefore, and solely to indicate this fact, this article is hereby marked “advertisement” in accordance with 18 U.S.C. section 1734.
References
Author notes
Rainer Prohaska, Institute of Medical Biochemistry, University of Vienna, Vienna Biocenter, Dr Bohr-Gasse 9/3, A-1030 Vienna, Austria; e-mail: prohaska@bch.univie.ac.at.



