Abstract
The AML1 gene encodes a DNA-binding protein that contains the runt domain and is the most frequent target of translocations associated with human leukemias. Here, point mutations of the AML1 gene, V105ter (single-letter amino acid code) and R139G, (single-letter amino acid codes) were identified in 2 cases of myelodysplastic syndrome (MDS) by means of the reverse transcriptase–polymerase chain reaction single-strand conformation polymorphism method. Both mutations are present in the region encoding the runt domain of AML1 and cause loss of the DNA-binding ability of the resultant products. Of these mutants, V105ter has also lost the ability to heterodimerize with polyomavirus enhancer binding protein 2/core binding factor β (PEBP2β/CBFβ). On the other hand, the R139G mutant acts as a dominant negative inhibitor by competing with wild-type AML1 for interaction with PEBP2β/CBFβ. This study is the first report that describes mutations of AML1 in patients with MDS and the mechanism whereby the mutant acts as a dominant negative inhibitor of wild-type AML1.
Introduction
The human AML1 gene was first identified on chromosome 21 as the gene that is disrupted in the (8;21)(q22;q22) translocation; this is one of the most frequent chromosome abnormalities associated with human acute myelogeneous leukemia (AML).1,2 In t(8;21)(q22;q22), the rearrangement results in the production of the AML1/MTG8 (ETO) fusion protein.3-5 We and another group previously reported that the AML1 gene is also disrupted in t(3;21)(q26;q22), which is found in the blastic crisis phase of chronic myelogeneous leukemia and therapy-related AML.6-10 Furthermore, it was reported that the AML1 gene is rearranged in acute lymphoblastic leukemia carrying t(12;21)(p12;q22).11-14,PEBP2αB/CBFα2, which is a murine homolog ofAML1, was first identified as the gene encoding a member of the polyomavirus enhancer binding protein 2 α (PEBP2α) family or a CBF of Moloney leukemia virus enhancer. PEBP2α/core binding factor α (CBFα) and PEBP2β/CBFβ are components of the PEBP2/CBF heterodimer, which binds to the cores of polyomavirus and Moloney leukemia virus enhancers.15,16 Human PEBP2β/CBFβ is known to be disrupted in the inv(16)(p13;q22) chromosome abnormality associated with AML.17 These findings suggest that the structural alteration of AML1 triggers leukemic transformation and that intact AML1 may play important roles in hematopoietic cell differentiation and proliferation. We have shown that AML1 regulates myeloid cell differentiation and transcriptional activation antagonistically by 2 alternative spliced forms, suggesting that the transcriptional property of AML1 is necessary for myeloid cell differentiation.18 It has also been reported that AML1regulates the transcription of various genes that are important in hematopoiesis, such as those for myeloperoxidase, neutrophil elastase, the receptor for macrophage colony-stimulating factor (M-CSF), granulocyte-macrophage colony-stimulating factor, and T-cell receptors.19-25 AML1 includes 3 alternative splicing forms: AML1a, AML1b, and AML1c.26 AML1b is known to be a transcriptionally active form, which we refer to as AML1 in this manuscript. It was shown that mice lacking AML1 die during mid-embryonic development, secondary to the complete absence of liver-derived hematopoiesis.27 28
Recently, somatic point mutations of the AML1gene were demonstrated in patients with AMLs.29 This indicates that the structural alterations of AML1 caused by non–translocation-generated mutations may also play a role in leukemogenesis. Furthermore, it was reported that haploinsufficiency of AML1 caused by the mutations of the AML1 gene in one allele results in familial thrombocytopenia with propensity to develop AML.30 However, no mutations have been described in sporadic cases of preleukemic diseases. Myelodysplastic syndrome (MDS) is a preleukemic state in which multistep progression to AML is documented by serial acquisition of genetic abnormalities associated with progression of disease.31 32 Here, among 37 cases of MDS, we have identified 2 mutations of the AML1 gene in the region encoding the runt domain. One patient exhibited a frame-shift mutation resulting in termination in the middle of the runt domain of AML1. The other has a missense mutation that causes a single amino acid change in the adenosine triphosphate (ATP)–binding motif in the runt domain. Both mutants have lost the ability to activate transcription of target genes. Furthermore, we have found that the latter mutant acts as a dominant negative inhibitor of wild-type AML1 by competing for interaction with PEBP2β/CBFβ. These results suggest that a mutation in the AML1 gene is associated with pathogenesis of MDS and provide useful insights into the mechanism whereby the dysfunction of AML1 could lead to hematological disease.
Patients, materials, and methods
Patients and cell preparation
Screening was performed for 37 cases of MDS. Diagnosis was made by morphological analyses according to French-American-British (FAB) criteria.33 After informed consent was obtained, mononuclear cells were isolated from peripheral blood or bone marrow samples of patients by Ficoll-Conray density gradient centrifugation, and total RNA of cells was extracted as described previously.34 The genomic DNAs of the formalin-fixed and paraffin-embedded specimens were obtained with the use of Dexpat (Takara, Japan) according to the manufacturer's instruction.
Reverse transcriptase–polymerase chain reaction–single-strand conformation polymorphism
We analyzed the status of 4 exons (exons 3, 4, 5, and 6) of the AML1 gene. Point mutations, small nucleotide deletions, and insertions in these exons were examined by the reverse transcriptase–polymerase chain reaction–single-strand conformation polymorphism (RT-PCR-SSCP) and sequencing analyses according to previously described methodology.35 Complementary DNAs (cDNAs) were synthesized with use of total RNA and random hexamer primers with M-MLV reverse transcriptase (GIBCO BRL, Gaithersburg, MD). The primary cDNA products were amplified by PCR with the following primers: 5′-GCATGCGTATCCCCGTAGATGCC-3′ and 5′-GCGTGCCATCTGGAACATCCCC-3′ for exon 3; 5′-GCGGCGCTGCAACAAGACCCTG-3′ and 5′-GCCCGCTCGGAAAAGGACAAG-3′ for exons 4, 5, and 6. PCR products that showed polymorphic bands were subcloned into pCR2.1-TOPO vector (Invitrogen, Carlsbad, CA), and 2 independent clones were sequenced in both directions to confirm mutations.
Plasmid constructions
The pME-AML1 and pME-PEBP2β/CBFβ plasmids were constructed by ligation of human AML1 and mouse PEBP2β/CBFβ cDNAs, respectively, to the pME18S expression vector as described previously.18 For tagging AML1 at the N-terminus, the FLAG octapeptide (DYKDDDDK) was inserted after the first methionine by PCR as described previously.36 To generate the FLAG-tagged constructs of AML1 mutants, we replaced theEcoRI-BamHI fragment of pME-AML1-FLAG with the corresponding fragment derived from cDNAs of the patients. A reporter plasmid containing an M-CSF receptor promoter (pM-CSF-R-luc) and a neutrophil elastase promoter (pNE-luc) were described elsewhere.19 21
Cell culture and DNA transfection
COS-7 and HeLa cells were grown in a 5% CO2environment in Dulbecco's modified Eagle's medium (DMEM) supplemented with penicillin/streptomycin and 10% fetal calf serum (FCS). COS-7 cells were transfected with expression plasmids by the DEAE-dextran method as described previously.37HeLa cells were transfected with expression and reporter plasmids by the calcium phosphate–DNA method as described previously.38
Transient transfections and transcriptional response assays
Luciferase assays were performed as described previously.18 Briefly, reporter and expression plasmids were transfected into HeLa cells by the calcium phosphate–DNA method. For analysis of luciferase activities observed in cotransfection with several expression plasmids, the equivalent-molar plasmid DNAs were transfected, and the total amount of DNA in terms of weight was adjusted to be equal by adding the plasmid pUC13. HeLa cells were cultured in DMEM containing 10% FCS for 30 to 36 hours, then harvested and subjected to the luciferase assay. The data were normalized with the use of the internal control of transfection efficiency, as described previously.39
Electrophoretic mobility shift assay
Nuclear extracts were obtained from COS-7 cells transfected with the corresponding cDNAs in pME18S by the DEAE-dextran method. The procedures for electrophoretic mobility shift assay (EMSA) were described previously.18 The M4 probe, which includes a partial A core of the polyomavirus enhancer and a mutated PEBP4 site (the introduced mutation abolishes the binding of PEBP4), was produced by annealing oligonucleotides 5′-GATCTAACTGACCGCAGCTGTCAGTGCGAG-3′ and 5′-GATCCTCGCACTGACAGCTGCGGTCAGTTA-3′.40 The M24 probe, in which the sequence of the PEBP2 site in the M4 probe was changed to one different from the PEBP2 consensus sequence, was obtained by annealing oligonucleotides 5′-GATCTAACTCACGGCAGCTGTCAGTGCGAG-3′ and 5′-GATCCTCGCACTGACAGCTGCCGTGAGTTA-3′. For radioisotope labeling, [α-32P]deoxycytidine triphosphate was incorporated into the probes by incubation with Klenow fragment.
In vivo binding assays
We coexpressed FLAG-tagged AML1 or AML1 mutants together with PEBP2β/CBFβ in COS-7 cells. The COS-7 cells were lysed by the lysis buffer (10 mmol/L Tris-HCl, pH 7.4; 5 mmol/L EDTA; 150 mmol/L NaCl; 1% Triton-X; 10% glycerol; 10 U/mL aprotinin; 2 mmol/L phenylmethylsulfonyl fluoride; 1 mmol/L Na3VO4; 5 μg/mL leupeptin; 1 μg/mL pepstatin A; 2 mmol/L benzamidine; 1 μg/mL antipain; 1 μg/mL chymostatin; and 2 μg/mL soybean trypsin inhibitor). These cell lysates were precleared by protein G–sepharose (Pharmacia, Uppsala, Sweden), mixed with the anti-FLAG M2 monoclonal antibody (Sigma, St Louis, MO), and rotated for 3 hours; this was followed by recovery of the FLAG-tagged protein on protein G–sepharose beads. The beads were washed 4 times with the lysis buffer. Immunoprecipitates were subjected to sodium dodecyl sulfate–polyacrylamide gel electrophoresis (SDS-PAGE) and Western blotting with the anti–PEBP2β/CBFβ antibody. The anti–PEBP2β/CBFβ antibody was prepared as described elsewhere.18 41
In vitro binding assays
The COS-7 cells expressing wild-type or mutant AML1 were lysed by the lysis buffer described above. The cell lysates containing the same amount of wild-type or mutant AML1 were incubated with those containing PEBP2β/CBFβ in the same lysis buffer for 2 hours. These cell lysates were precleared by protein G–sepharose, mixed with the anti-FLAG M2 monoclonal antibody, and rotated for 3 hours; this was followed by recovery of the FLAG-tagged protein on protein G–sepharose beads. The beads were washed 4 times with the lysis buffer. Immunoprecipitates were subjected to SDS-PAGE and Western blotting with the anti–PEBP2β/CBFβ antibody.
Results
Frameshift and missense mutations of theAML1 gene
We screened 37 MDS patients for mutations in 4 exons (exons 3, 4, 5, and 6) of the AML1 gene, which include the runt domain, using the RT-PCR-SSCP and sequencing analyses. The specific subtypes of MDS analyzed and their relative frequency are summarized in Table1. Abnormally migrating bands were detected on the RT-PCR-SSCP analyses in 2 patients with MDS; 1 was a patient with chronic myelomonocytic leukemia (CMMoL) and the other was a patient with AML secondary to refractory anemia (RA) (Figure1). The sequencing analyses showed nucleotide alterations of the AML1 gene in exon 4 in both patients. The mutation found in the patient with CMMoL was a GT insertion at codon 105 resulting in V105 termination (V105) (single-letter amino acid code) (Figure2). The other patient had a missense mutation at codon 139 (CGA to GGA), which leads to a change of amino acid, R139G (single-letter amino acid code) (Figure 2). From the sample of the patient with CMMoL, the normal and the mutated sequences were obtained, conforming to the results from the RT-PCR-SSCP analysis, in which both normally and abnormally migrating bands were detected. On the other hand, the RT-PCR-SSCP analysis of the other MDS patient showed abnormally migrating bands exclusively. Consistently, only the abnormal sequence was obtained from sequencing of the PCR product. These results suggest that an allelic loss of the runt-domain–encoding region also exists in this patient. To determine whether the AML1 gene is mutated at the germ line or the somatic level, we examined the genomic DNA sequences of the formalin-fixed and paraffin-embedded specimen of the rectum from the patient with CMMoL and the lung and liver from the patient with AML secondary to RA. Both of the genomic DNA sequences examined were normal; this reveals that the AML1 mutations are somatic events (data not shown).
RT-PCR-SSCP analyses of exons 3, 4, 5, and 6 of the
AML1 gene in patients with MDS. (A) An abnormal migrating band was detected in lane 3 (a case with CMMoL) in addition to bands with normal mobility. (B) Abnormal migrating bands were detected in lane 3 (a case with AML secondary to MDS). The other lanes are also derived from the cDNA samples of MDS patients. Shifted bands are marked with arrows.
RT-PCR-SSCP analyses of exons 3, 4, 5, and 6 of the
AML1 gene in patients with MDS. (A) An abnormal migrating band was detected in lane 3 (a case with CMMoL) in addition to bands with normal mobility. (B) Abnormal migrating bands were detected in lane 3 (a case with AML secondary to MDS). The other lanes are also derived from the cDNA samples of MDS patients. Shifted bands are marked with arrows.
The structure of the AML1 mutants found in patients with MDS.
RUNT indicates the runt domain, while PST indicates the PST region, the transcriptional activation domain that is rich in proline, serine, and threonine residues.
The structure of the AML1 mutants found in patients with MDS.
RUNT indicates the runt domain, while PST indicates the PST region, the transcriptional activation domain that is rich in proline, serine, and threonine residues.
AML1 mutants found in patients with MDS lack transcriptional activities
AML1 has been shown to regulate expression of several hematopoietic-lineage–specific genes by affecting transcription from the cognate promoters or enhancers.19,42-46 To elucidate functional alterations of AML1 in preleukemic states, we investigated transcriptional activities of the AML1 mutants found in MDS. Previous studies show that coexpression of AML1 and its heterodimeric partner PEBP2β/CBFβ can activate the M-CSF receptor promoter in transcriptional response assays.21 When AML1 and PEBP2β/CBFβ were cotransfected with a reporter plasmid containing an M-CSF receptor promoter into HeLa cells, there was a 4-fold induction of the promoter activity (Figure3A, lane 2). On the other hand, when the V105ter or the R139G mutant was cotransfected with PEBP2β/CBFβ, there was no induction of the promoter activity (Figure 3A, lane 3, 4). AML1 and its mutants were expressed with PEBP2β/CBFβ at comparable levels in each transfection (Figure 3A). These results indicate that those 2 mutants of AML1 found in MDS lack transcriptional activities. Furthermore, we investigated whether these mutants act as a dominant negative inhibitor of wild-type AML1. It is known that AML1 activates transcription from the neutrophil elastase (NE) promoter that includes a potential binding site for AML1.19 Concomitant expression of the V105ter mutant with wild-type AML1 did not affect transcriptional activation of the NE promoter induced by wild-type AML1 (data not shown). In contrast, the R139G mutant represses the transcriptional activity of wild-type AML1 in a dose-dependent manner (Figure 3B). The expression level of AML1 is invariable in each transfection (Figure 3B). Although the physiological significance of these overexpression experiments should be interpreted carefully, these results suggest that R139G could act as a dominant negative inhibitor for AML1.
Transcriptional response assays of the AML1 mutants found in patients with MDS.
(A) HeLa cells were transfected only with pM-CSF-R-luc (lane 1), 3.2 μg of pM-CSF-R-luc and 1.6 μg of pME-AML1-FLAG (lane 2), pME-AML1 V105ter-FLAG (lane 3), or pME-AML1 R139G-FLAG (lane 4), in combination with pME-PEBP2β/CBFβ. The relative expression levels of AML1 and PEBP2β/CBFβ proteins are indicated in Western blotting with the anti-FLAG and the anti-PEBP2β antibody. (B) HeLa cells were transfected only with pNE-luc (lane 1), 3.2 μg of pNE-luc and 1.6 μg of pME-AML1-FLAG (lanes 2, 3, and 4), 0.8 μg of pME-AML1 R139G-FLAG (lane 3), or 1.6 μg of pME-AML1 R139G-FLAG (lane 4). The relative expression levels of AML1 proteins are indicated in Western blotting with the anti-FLAG antibody. Luciferase activities were normalized by using the internal control of transfection efficiency. The means and SD of 2 independent transfections are shown. Similar results were obtained in 6 additional independent transfection in 3 separate experiments.
Transcriptional response assays of the AML1 mutants found in patients with MDS.
(A) HeLa cells were transfected only with pM-CSF-R-luc (lane 1), 3.2 μg of pM-CSF-R-luc and 1.6 μg of pME-AML1-FLAG (lane 2), pME-AML1 V105ter-FLAG (lane 3), or pME-AML1 R139G-FLAG (lane 4), in combination with pME-PEBP2β/CBFβ. The relative expression levels of AML1 and PEBP2β/CBFβ proteins are indicated in Western blotting with the anti-FLAG and the anti-PEBP2β antibody. (B) HeLa cells were transfected only with pNE-luc (lane 1), 3.2 μg of pNE-luc and 1.6 μg of pME-AML1-FLAG (lanes 2, 3, and 4), 0.8 μg of pME-AML1 R139G-FLAG (lane 3), or 1.6 μg of pME-AML1 R139G-FLAG (lane 4). The relative expression levels of AML1 proteins are indicated in Western blotting with the anti-FLAG antibody. Luciferase activities were normalized by using the internal control of transfection efficiency. The means and SD of 2 independent transfections are shown. Similar results were obtained in 6 additional independent transfection in 3 separate experiments.
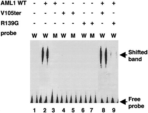
Analyses of DNA binding of the AML1 mutants
The runt domain of AML1 is reported to be responsible for binding to the PEBP2/CBF site, which is a consensus DNA sequence for AML1 binding.43,47 In a previous study, we demonstrated that AML1 specifically binds to the PEBP2/CBF site and that the DNA binding is required for AML1-induced transactivation.18 We next investigated the DNA-binding affinity of the AML1 mutants obtained from patients with MDS by means of EMSA. For this assay, a double-stranded oligonucleotide containing the PEBP2/CBF site was used as a probe (M4 probe).37 When this probe was incubated and electrophoresed with nuclear extracts from COS-7 cells containing wild-type AML1, we observed a significantly shifted band (Figure4, lane 2), which is not seen in the control lane derived from mock-transfected cells (Figure 4, lane 1). This band was not detected when we used a mutant probe, M24, in which the PEBP2/CBF site was changed to a sequence different from the consensus sequence (Figure 4, lane 3). On the other hand, no band was detected when the M4 probe was incubated and electrophoresed with nuclear extracts containing the V105ter or the R139G mutant (Figure 4, lane 4, 6). Because a large amount of endogeneous PEBP2β/CBFβ should accumulate in the nucleus of COS-7 cells where AML1 is overexpressed, these results indicate that V105ter and R139G fail to bind to the PEBP2 site even in the presence of PEBP2β/CBFβ. These findings account for loss of the transcriptional activity of these 2 mutants in the transcriptional response assays. Furthermore, we evaluated the affinity of wild-type AML1 to DNA when it is coexpressed with each AML1 mutant in COS-7 cells. The DNA-binding ability of wild-type AML1 was not affected when the V105ter mutant was coexpressed (Figure 4, lane 8). However, when the R139G mutant was coexpressed with wild-type AML1, there was a marked reduction of the DNA-binding ability of wild-type AML1 (Figure 4, lane 9). These results suggest that the R139G mutant blocks binding of wild-type AML1 to the PEBP2/CBF site. Because AML1-induced transcription from the M-CSF receptor or the NE promoter is dependent on binding to the PEBP2 site, these findings are compatible with the results that the R139G mutant acts as a dominant negative inhibitor of wild-type AML1 in the transcriptional response assays.19-21
EMSA of wild-type and mutant AML1.
32P-labeled M4 (lanes 1, 2, 4, 6, 8, and 9) or M24 (lanes 3, 5, and 7) was incubated with nuclear extracts containing 30 μg of protein from COS-7 cells transfected with pME18S (lane 1), pME-AML1 (lanes 2, 3, 8, and 9), pME-AML1 V105ter (lanes 4, 5, and 8), or pME-AML1 R139G (lanes 6, 7, and 9). W indicates M4 probe; M, M24 probe. Arrows indicate the shifted bands and free probes.
EMSA of wild-type and mutant AML1.
32P-labeled M4 (lanes 1, 2, 4, 6, 8, and 9) or M24 (lanes 3, 5, and 7) was incubated with nuclear extracts containing 30 μg of protein from COS-7 cells transfected with pME18S (lane 1), pME-AML1 (lanes 2, 3, 8, and 9), pME-AML1 V105ter (lanes 4, 5, and 8), or pME-AML1 R139G (lanes 6, 7, and 9). W indicates M4 probe; M, M24 probe. Arrows indicate the shifted bands and free probes.
The R139G mutant binds to PEBP2β/CBFβ more efficiently than wild-type AML1
AML1 is known to heterodimerize with PEBP2β/CBFβ, which does not have a DNA-binding ability per se, and heterodimerization with PEBP2β/CBFβ enhances the DNA-binding ability of AML1, resulting in enhanced transactivational potency of the AML1-PEBP2β/CBFβ complex.48 Thus, association with PEBP2β/CBFβ is one of the key determinants for AML1 functions. In these lines, we previously demonstrated that chimeric products of AML1 in t(8;21) and t(3;21) leukemias inhibit the transcriptional activity of AML1 by sequestering PEBP2β/CBFβ from AML1.41 Therefore, we investigated heterodimerizing properties of the AML1 mutants that we have identified in the patients with MDS. We coexpressed FLAG-tagged forms of wild-type AML1, V105ter, or R139G together with PEBP2β/CBFβ in COS-7 cells. PEBP2β/CBFβ was coimmunoprecipitated with wild-type AML1 by the anti-FLAG antibody (Figure 5A, lane 2). In contrast, PEBP2β/CBFβ was not detected in the coprecipitates of V105ter (Figure 5A, lane 3). On the other hand, PEBP2β/CBFβ was coimmunoprecipitated with the R139G mutant (Figure 5A, lane 4). These results show that V105ter has lost the ability to heterodimerize with PEBP2β/CBFβ while R139G can associate with PEBP2β/CBFβ. In these coimmunoprecipitation assays, PEBP2β/CBFβ was apparently coimmunoprecipitated with R139G more efficiently than with wild-type AML1. To compare the abilities of heterodimerization with PEBP2β/CBFβ between wild-type AML1 and the R139G mutant more precisely, we used an in vitro binding assay. The COS-7 cell lysates containing the same amount of FLAG-tagged forms of wild-type AML1 or the R139G mutant were incubated with the COS-7 cell lysates containing the same amount of PEBP2β/CBFβ. The resultant lysates were subjected to immunoprecipitation with the anti-FLAG antibody followed by recovery on protein G-sepharose. Amounts of these proteins were confirmed by Western blotting of the corresponding lysates (Figure6, middle and bottom). As shown in Figure6, PEBP2β/CBFβ was coimmunoprecipitated with the R139G mutant more efficiently than with wild-type AML1. These data indicate that the R139G mutant, having an enhanced binding affinity with PEBP2β/CBFβ, competes with wild-type AML1 for heterodimerization with PEBP2β/CBFβ, resulting in reduced DNA-binding and transactivational ability of wild-type AML1.
In vivo interaction between the AML1 mutants and PEBP2β/CBFβ.
COS-7 cells were transfected only with the pME/85 vector (lane 1). FLAG-tagged wild-type AML1 (lane 2), AML1 V105ter (lane 3), or AML1 R139G (lane 4) was coexpressed along with PEBP2β/CBFβ in COS-7 cells, and the cell lysates were precleared by protein G–sepharose and incubated with the anti-FLAG antibody for 3 hours. Then the FLAG-tagged proteins were recovered on protein G–sepharose beads. Washed beads were then subjected to SDS-PAGE and Western blotting with the anti-PEBP2β antibody.
In vivo interaction between the AML1 mutants and PEBP2β/CBFβ.
COS-7 cells were transfected only with the pME/85 vector (lane 1). FLAG-tagged wild-type AML1 (lane 2), AML1 V105ter (lane 3), or AML1 R139G (lane 4) was coexpressed along with PEBP2β/CBFβ in COS-7 cells, and the cell lysates were precleared by protein G–sepharose and incubated with the anti-FLAG antibody for 3 hours. Then the FLAG-tagged proteins were recovered on protein G–sepharose beads. Washed beads were then subjected to SDS-PAGE and Western blotting with the anti-PEBP2β antibody.
In vitro interaction between the AML1 mutants and PEBP2β/CBFβ.
The total cell lysates of COS-7 cells containing the same amount of FLAG-tagged wild-type AML1 (lane 1) or AML1 R139G (lane 2) were incubated with the cell lysates containing PEBP2β/CBFβ for 2 hours. These cell lysates were precleared by protein G–sepharose and incubated with the anti-FLAG antibody for 3 hours; this was followed by recovery of the FLAG-tagged protein on protein G–sepharose beads. The beads were subjected to SDS-PAGE and Western blotting with the anti-PEBP2β antibody. The arrow indicates migration of PEBP2β/CBFβ.
In vitro interaction between the AML1 mutants and PEBP2β/CBFβ.
The total cell lysates of COS-7 cells containing the same amount of FLAG-tagged wild-type AML1 (lane 1) or AML1 R139G (lane 2) were incubated with the cell lysates containing PEBP2β/CBFβ for 2 hours. These cell lysates were precleared by protein G–sepharose and incubated with the anti-FLAG antibody for 3 hours; this was followed by recovery of the FLAG-tagged protein on protein G–sepharose beads. The beads were subjected to SDS-PAGE and Western blotting with the anti-PEBP2β antibody. The arrow indicates migration of PEBP2β/CBFβ.
Discussion
We analyzed the AML1 gene in patients with MDS by the RT-PCR-SSCP method and found 2 mutations of the AML1 gene among 37 patients. In a previous study, sporadic point mutations were found in the AML1 gene of the patients with AML.29 These mutations all clustered in the runt domain. In addition, other genes containing the runt domain, such asPEBP2αA or CBFA1, have been implicated in the origin of cleidocranial dysplasia (CCD), an autosomal dominant disorder affecting skeletal patterning. Point mutations of the runt domain ofPEBP2αA/CBFA1 are found in cases with CCD.49,50 These facts reveal that mutational changes of the runt domain could also be related to the pathogenesis of human diseases other than hematological diseases. The results in our study suggest that the structural alterations of the runt domain ofAML1 could trigger MDS, a heterogeneous group of stem cell disorders characterized by dysplastic and ineffective blood cell production with a variable risk of transformation to acute leukemia.51,52 In a recent study, it was shown that haploinsufficiency of AML1 caused by mutations in the runt-domain–encoding region in one allele results in familial thrombocytopenia with propensity to develop AML.30 These findings suggest that altered transcriptional regulation by AML1 may cause a predisposition for acquisition of additional mutations leading to leukemias. In fact, 2 of the 3 cases of AML having mutations in the runt domain also harbored translocation-generated mutations.29 Detailed mechanisms whereby the second mutations are promoted to occur through dysfunction of AML1 are to be elucidated.
Both of the AML1 mutants found in patients with MDS in our study lack the transcriptional activity through the M-CSF receptor or the NE promoter assessed by the overexpression experiments. It is shown that the runt domain of AML1 is responsible for DNA binding and interaction with PEBP2β/CBFβ.16,43,44,47,48 This conforms to the result of our study that the V105ter mutation abolishes both DNA binding and interaction with PEBP2β/CBFβ, because V105ter lacks a large portion of the runt domain. The runt domain contains a consensus ATP-binding motif in which the R139G mutation is located.53 Intriguingly, the R139G mutation abolishes DNA binding in our study, suggesting that ATP-binding motif is responsible for DNA binding. Although a physiologic role of AML1-ATP interactions remains to be determined, it was shown that the K144M (single-letter amino acid codes) mutation, which targets the ATP-binding motif in the runt domain, also severely diminishes DNA binding, while the interaction with PEBP2β/CBFβ is little affected.53Furthermore, it was recently reported that the mutation of the same codon in which the mutation we found is located was also found from a patient with familial thrombocytopenia with propensity to develop AML.30 These results indicate that the ATP-binding motif plays an important role in AML1 functions and that the mutational change of the ATP-binding motif could make a contribution to human leukemia. Especially, the point mutation of R139 that is common to the 2 independent hematologic diseases suggests that the mutational change of R139 plays an important role in the pathogenesis of hematological diseases. In this regard, R139G has gained higher ability to interact with PEBP2β/CBFβ, compared with wild-type AML1. As a result, it is suggested that the R139G mutant could compete with wild-type AML1 for interaction with PEBP2β/CBFβ. Taken together with the fact that the R139G mutation abolishes DNA binding, these results may account for one mechanism by which the R139G mutant inhibits DNA binding of wild-type AML1 and acts as a dominant negative inhibitor of wild-type AML1.
A recent study of the crystal structure of AML1 suggests that 3 distinct regions of the runt domain should be involved in DNA binding.54 One of them is the βE′-F loop, which is composed of residues R139-S145 (single-letter amino acid code). Mutagenesis of S140 to G140 or N140 and L148 to D148 (single-letter amino acid codes) substantially weaken the DNA-binding ability of the runt domain in vitro.49,53 55These results support our findings that R139 plays a crucial role in the DNA-binding ability of AML1.
In the present study, the RT-PCR-SSCP and sequencing analyses showed that the V105ter mutation was heterozygous. We obtained V105ter from a case with CMMoL, in which nearly 30% of the mononuclear cells of the bone marrow of the case were leukemic cells when the sample was obtained. On the other hand, the examination of the germ-line tissue revealed that the AML1 mutations represent somatic events. Therefore, it remains elusive whether the normal allele detected in the case with CMMoL is derived from the leukemic cells or nonleukemic cells.
Our study is the first report that describes mutations of theAML1 gene in patients with MDS. It provides important insights into the molecular basis for dominant negative inhibition of AML1 and leukemogenesis derived from dysfunction of AML1.
Acknowledgments
The authors thank Dr Y. Ito for providing the cDNA of mouse PEBP2β, Dr D. Zhang for the pM-CSF-R-luc vector, and Dr A. D. Friedman for the pNE-luc vector.
Supported in part by Grants-in-Aid for Cancer Research from the Ministry of Education, Science, and Culture of Japan.
The publication costs of this article were defrayed in part by page charge payment. Therefore, and solely to indicate this fact, this article is hereby marked “advertisement” in accordance with 18 U.S.C. section 1734.
References
Author notes
Hisamaru Hirai, Dept of Hematology and Oncology, Graduate School of Medicine, University of Tokyo, 7-3-1 Hongo, Bunkyo-ku, Tokyo 113-8655, Japan.











