Abstract
As a dendritic cell (DC) matures, it becomes more potent as an antigen-presenting cell. This functional change is accompanied by a change in DC immunophenotype. The signal transduction events underlying this process are poorly characterized. In this study, we have investigated the signal transduction pathways involved in the lipopolysaccharide (LPS)-induced maturation of human monocyte–derived DCs (MoDCs) in vitro. We show that exposure of immature MoDCs to LPS activates the p38 stress-activated protein kinase (p38SAPK), extracellular signal–regulated protein kinase (ERK), phosphoinositide 3-OH kinase (PI3 kinase)/Akt, and nuclear factor (NF)-κB pathways. Studies using inhibitors demonstrate that PI3 kinase/Akt but not the other pathways are important in maintaining survival of LPS-stimulated MoDCs. Inhibiting p38SAPK prevented activation of the transcription factors ATF-2 and CREB and significantly reduced the LPS-induced up-regulation of CD80, CD83, and CD86, but did not have any significant effect on the LPS-induced changes in macropinocytosis or HLA-DR, CD40, and CD1a expression. Inhibiting the NF-κB pathway significantly reduced the LPS-induced up-regulation of HLA-DR as well as CD80, CD83, and CD86. Inhibiting the p38SAPK and NF-κB pathways simultaneously had variable effects depending on the cell surface marker studied. It thus appears that different aspects of LPS-induced MoDC maturation are regulated by different and sometimes overlapping pathways.
Dendritic cells (DCs) are the most potent of all antigen-presenting cells and are unique in their ability to stimulate naive T cells.1 DCs are found in almost all tissues where, in their immature state, they take up antigens from their environment with high efficiency. Upon encounter with foreign antigen, DCs undergo a complex maturation process and become specialized in antigen presentation. This is achieved by up-regulation of cell surface major histocompatibility complex (MHC) class I and II and the costimulatory molecules CD80, CD86, and CD40. Concomitantly, the DC down-regulates its antigen-capture mechanisms.2 In addition, DCs migrate from the tissues via the afferent lymphatics to the paracortical areas of regional lymph nodes. This is achieved by a change in the cell surface expression of receptors, which alter their responsiveness to various chemokines.3 The constant traffic of T cells through the paracortical areas of lymph nodes makes this a prime site for antigen-laden DCs to encounter the low-frequency antigen-specific naive or memory T cells, which recognize the MHC–peptide complexes displayed on the surface of the DCs. In this way, a specific immune response can be initiated.
The maturation process is central to the function of the DC and enables one cell to perform different, highly specialized functions sequentially. There are many stimuli that can initiate this maturation process in vitro. These include the proinflammatory cytokines tumor necrosis factor (TNF)-α and interleukin (IL)-1β, and bacterial products such as lipopolysaccharide (LPS).4,5 Ligation of CD40 by CD40L and the engagement of Fcγ receptor by immune complexes have also been shown to stimulate maturation, as have CpG DNA motifs found in prokaryotic DNA and viral double-stranded RNA.6-9LPS has also been shown to lead to the maturation of DCs in vivo.10
Signal transduction via mitogen-activated protein (MAP) kinases plays an important role in cellular responses including growth factor–induced cell proliferation, differentiation, and survival. Three groups of MAP kinases have been identified in mammals: the extracellular signal–regulated protein kinases (ERKs),11,12 the c-Jun N-terminal kinases (JNKs),13,14 and the p38 stress-activated protein kinases (p38SAPKs).15 16 These kinases are activated by phosphorylation of both threonine and tyrosine residues in a regulatory TXY motif present in all MAP kinases. This phosphorylation is carried out by upstream MAP kinase kinases. Activated MAP kinases subsequently phosphorylate their respective substrates on serine or threonine residues. The ERK pathway appears mainly to respond to mitogens and growth factors that regulate cell proliferation and differentiation. The JNK and p38SAPK pathways are predominantly activated by stress, such as osmotic changes and heat shock, but also by inflammatory cytokines such as IL-1β and TNF-α.
In addition to MAP kinases, other signal transduction pathways may mediate cellular responses to external stimuli. These include the phosphoinositide-3-OH kinase (PI3 kinase) pathway, a downstream target of which is the Akt kinase known to be important in cell survival,17 and the NF-κB transcription factor, which is stimulated by proinflammatory cytokines and growth factors.18 It is becoming increasingly clear that there is cooperation between different signaling pathways and, with the development of specific inhibitors, it has become possible to dissect out further the roles of each component in important cellular processes.
Despite their pivotal role in DC function, little is known regarding the signal transduction events involved in DC maturation. In this study, we have looked at the activation of several signaling pathways in LPS-stimulated DCs. Using specific inhibitors, we have found that the PI3 kinase/Akt pathway is important in the survival of LPS-stimulated human monocyte–derived DCs (MoDCs) and that the p38SAPK and NF-κB pathways play important and sometimes overlapping roles in regulating some, but not all, aspects of LPS-induced MoDC maturation.
Materials and methods
Cytokines and inhibitors
Recombinant human granulocyte–macrophage colony-stimulating factor (rhGM-CSF) (Hoechst, Marburg, Germany) and IL-4 (Schering Plough, England) were used at a final concentration of 100 ng/mL. SB203580 (Calbiochem-Novabiochem UK, Nottingham, UK) was used at a final concentration of 40 μmol/L. This concentration was used because it was required to be present in some cultures for up to 48 hours in some instances. PD98059 (Biomol Research Labs Inc., Plymouth Meeting, PA) was used at a final concentration of 50 μmol/L. LY294002 (Biomol Research Labs, Plymouth Meeting, PA) was used at a final concentration of 25 μmol/L. SN50 peptide and a control peptide (Calbiochem-Novabiochem UK) were used at a final concentration of 50 μg/mL. SB203580, PD98059, and LY294002 were all dissolved in dimethylsulfoxide (DMSO), whereas SN50 peptide was made as an aqueous solution.
Cell selection
Peripheral blood was collected from normal volunteers in EDTA. Red cells were largely removed by dextran sedimentation using 1% w/v dextran (Pharmacia Biotech, Uppsala, Sweden); the supernatant was then layered on Ficoll-Paque (Pharmacia Biotech, Uppsala, Sweden) and centrifuged at 800g for 15 minutes at 20°C. Interface cells were removed, diluted with phosphate-buffered saline (PBS; Gibco BRL, Paisley, Scotland), and centrifuged at 725g. The resulting cell pellet was resuspended in 200 μL of PBS, and monocytes were positively selected using a murine anti-human CD14 antibody (Dako A/S, Glostrup, Denmark) with which the cells were incubated for 30 minutes at 4°C. After this, the cells were washed and further incubated with goat anti-mouse microbeads (Miltenyi Biotec, Bergisch Gladbach, Germany) for 30 minutes. The monocytes were then magnetically selected using a VS+ column (Miltenyi Biotec). The resulting samples were greater than 90% pure monocytes by morphology. The manufacturer (Miltenyi Biotec) has shown that cells that have been selected using their antibodies have shed 25% of their microbeads (50 nm diameter) after 4 hours in culture at 37°C, and that by 24 hours almost nothing remains on the cells (personal communication, E. Schultz).
Cell culture and flow cytometric analysis of cell surface antigens
Monocyte-enriched cells were cultured at a starting concentration of between 5 × 105 and 1 × 106cells/mL in RPMI 1640 (Gibco BRL) supplemented with 10% fetal calf serum (FCS; Gibco BRL) containing GM-CSF and IL-4 for 7 days in 6-well plates (Costar, Cambridge, MA). On days 3 and 5, half of the original medium was removed and replaced by fresh medium containing growth factors. On day 7, the resulting immature DCs were split as appropriate, and LPS (100 ng/mL; Sigma Chemical Co., St. Louis, MO) and/or inhibitors were added. The resulting cells were analyzed at varying time points afterward.
Cells at 2.5 × 105 were pelleted and resuspended in 100 μL of 50:50 PBS and human AB serum. These cells were stained for 60 minutes on ice using an antibody to which a fluorochrome was directly conjugated. Cells were then washed once in ice-cold PBS. Appropriate isotype controls were used at the same protein concentration as the test antibody. Samples were analyzed using the Beckman-Coulter EPICS Elite flow cytometer. Fluorochrome-conjugated murine antibodies directed against the following antigens were used: CD1a, CD40, CD80, and CD86 (Serotec, Oxford, UK); HLA-DR (Dako A/S); and CD83 (Immunotech, Marseille, France). In preliminary studies, we were able to show that DMSO (at the same concentrations as diluent for SB203580) did not inhibit the LPS-induced changes in expression of these cell surface antigens (ratio of LPS [% positive × MCF]:LPS/DMSO [% positive × MCF) = 1.00:1.05 [n = 7]).
Endocytosis assay with fluoroisothiocyanate (FITC)–dextran
The method described by Sallusto et al5 was used. In brief, FITC–dextran (Molecular Probes, Eugene, OR) was added to the DCs or mononuclear cells, resuspended in RPMI/10% FCS, at a final concentration of 1 mg/mL. After incubation for varying time intervals of up to 1 hour at 37°C, the cells were removed and washed 4 times with ice-cold PBS and analyzed on a Beckman-Coulter EPICS Elite flow cytometer. Dead cells were excluded by propidium iodide staining.
Quantification of cell survival
At indicated time points, cells were washed in annexin V binding buffer (140 mmol/L NaCl, 5 mmol/L CaCl2, 10 mmol/L HEPES, pH 7.4) and resuspended in buffer containing annexin V–FITC (Boehringer Mannheim, Lewes, UK) and propidium iodide, according to the manufacturer's instructions. After 10 minutes of incubation at room temperature, samples were placed on ice and directly analyzed by flow cytometry. Cells negative for annexin V and propidium iodide staining were considered viable.
Sodium dodecyl sulfate/polyacrylamide gel electrophoresis (SDS/PAGE) and Western blotting
Immature MoDCs were washed twice and incubated in RPMI 1640 alone for 2 hours at 37°C. Cells were stimulated with LPS (100 ng/mL) and, at indicated time points, 1 × 106 cells were removed and washed once with cold PBS, and the pellet was resuspended in 2× SDS sample buffer and boiled for 5 minutes. When inhibitors were used, cells were incubated for 30 minutes before the addition of LPS. Proteins were separated by SDS/PAGE and blotted onto nitrocellulose membranes (Hybond C-Extra; Amersham, Amersham, UK). Membranes were blocked with 5% (w/v) nonfat dry milk (Marvel, Premier Brands, Wirral, UK)/0.1% (v/v) Tween 20 in PBS for 1 hour at room temperature and incubated overnight with primary antibody at 4°C. Antibodies to phospho- and total p38, phospho- and total Akt, phospho- and total ERK, phospho- and total ATF2, and phospho- and total CREB were all from New England Biolabs (Hitchin, UK). Anti-IκBα was from Santa Cruz Biotechnology (Santa Cruz, CA) and anti-tubulin was from Boehringer Mannheim. Detection was by enhanced chemiluminescence (ECL) or ECL Plus (Pharmacia Biotech, Amersham)
Nuclear NF-κB pull-down assay
Day-7 MoDCs (5 × 106 per point) were stimulated with LPS after preincubation with SN50 or control SN50M peptide (concentration 50 μg/mL), and nuclear extracts were prepared. Cells were pelleted and resuspended in 0.4 mL hypotonic lysis buffer (20 mmol/L HEPES, pH 7.9, 10 mmol/L KCl, 1 mmol/L EDTA, 0.2% Triton X-100, 1 mmol/L sodium orthovanadate plus protease inhibitors) and kept on ice for 20 minutes. After centrifugation at 14 000g for 5 minutes at 4°C, the nuclear pellet was extracted with 0.1 mL hypertonic lysis buffer (20 mmol/L HEPES, pH 7.9, 0.4 mol/L NaCl, 1 mmol/L EDTA, 1 mmol/L sodium orthovanadate plus protease inhibitors) on ice for a further 20 minutes. After centrifugation at 14 000g for 5 minutes at 4°C, the supernatant was diluted to 100 mmol/L NaCl and incubated with 25 μL of agarose beads conjugated to a consensus NF-κB binding oligonucleotide (Santa Cruz) for 1 hour at 4°C. After 3 washes, 25 μL of 2× sample buffer was added and boiled for 5 minutes. The result was analyzed by SDS/PAGE and immunoblotting using a polyclonal anti-p65 NF-κB antibody (Santa Cruz).
Results
LPS induces phenotypic maturation of MoDCs
Peripheral blood monocytes were cultured with GM-CSF and IL-4 for 7 days to generate immature MoDCs. We have previously shown that these cells have the functional attributes of DCs, being able to present both primary and secondary antigens to CD4+ T cells and being potent stimulators of a mixed lymphocyte reaction.19 Incubation of these cells with LPS at a concentration of 100 ng/mL for a further 48 hours led to significant up-regulation of cell surface CD80, CD86, HLA-DR, CD83, and CD40 (Table1). Incubation of immature MoDCs with LPS has been shown to result in the down-regulation of CD1a; in our series of experiments, although there was a decrease in CD1a expression, this was not statistically significant (Table 1). The uptake of FITC–dextran is known to be maximal in the immature MoDC and occurs by a combination of macropinocytosis and binding to the mannose receptor. Accordingly, we were able to demonstrate a reduction in FITC–dextran uptake over 1 hour by 70% ± 10% (n = 4) when the MoDCs were matured with LPS.
LPS activates p38SAPK, ERK, and Akt in immature MoDCs
LPS has been shown to activate multiple signaling pathways in macrophages, including ERK, JNK, and p38SAPK.15,20 21The classic MAP kinase pathway (MEK/ERK), the PI3 kinase/Akt pathway, and the p38SAPK pathway are known to be important in many cell types as regulators of cell survival, proliferation, and differentiation. We therefore looked for activation of these pathways in MoDCs treated with LPS. Activation of ERK, Akt, and p38SAPK results in their phosphorylation, and this can be detected by Western blotting using phosphorylation-specific antibodies. We found that within 15 to 30 minutes of the addition of LPS to immature MoDCs, p38SAPK, Akt, and ERK were activated (Figure 1).
LPS induces the phosphorylation of p38SAPK, ERK, and Akt kinase.
Peripheral blood monocytes cultured with GM-CSF and IL-4 for 7 days (immature MoDCs) were exposed to LPS (100 ng/mL) and, after variable lengths of time, samples were removed and analyzed by probing Western blots and with phosphorylation-specific antibodies. In some cases, the day-7 MoDCs were preincubated with signal transduction pathway inhibitors for 30 minutes before exposure to LPS. (A) The phosphorylation (and hence activation) of p38SAPK induced by LPS occurs within 15 minutes and persists for at least 60 minutes. The lower part shows the same blot probed for total p38SAPK to demonstrate equal loading of samples. (B) The phosphorylation (and hence activation) of Akt and ERK induced by LPS occurs within 30 minutes after exposure of MoDCs to LPS. The phosphorylation of Akt is inhibited if MoDCs are preincubated with the PI3 kinase inhibitor LY294002. Similarly, the phosphorylation of ERK is inhibited if MoDCs are preincubated with the MKK1/MEK inhibitor PD98059. PD98059 and LY294002 were both dissolved in DMSO; therefore, MoDCs that had been incubated with DMSO alone were used as controls (d). The lower part shows the same blot probed for total Akt to demonstrate equal loading of samples. Similar results were obtained in 4 separate experiments.
LPS induces the phosphorylation of p38SAPK, ERK, and Akt kinase.
Peripheral blood monocytes cultured with GM-CSF and IL-4 for 7 days (immature MoDCs) were exposed to LPS (100 ng/mL) and, after variable lengths of time, samples were removed and analyzed by probing Western blots and with phosphorylation-specific antibodies. In some cases, the day-7 MoDCs were preincubated with signal transduction pathway inhibitors for 30 minutes before exposure to LPS. (A) The phosphorylation (and hence activation) of p38SAPK induced by LPS occurs within 15 minutes and persists for at least 60 minutes. The lower part shows the same blot probed for total p38SAPK to demonstrate equal loading of samples. (B) The phosphorylation (and hence activation) of Akt and ERK induced by LPS occurs within 30 minutes after exposure of MoDCs to LPS. The phosphorylation of Akt is inhibited if MoDCs are preincubated with the PI3 kinase inhibitor LY294002. Similarly, the phosphorylation of ERK is inhibited if MoDCs are preincubated with the MKK1/MEK inhibitor PD98059. PD98059 and LY294002 were both dissolved in DMSO; therefore, MoDCs that had been incubated with DMSO alone were used as controls (d). The lower part shows the same blot probed for total Akt to demonstrate equal loading of samples. Similar results were obtained in 4 separate experiments.
Inhibition of PI3 kinase leads to decreased survival of LPS-stimulated MoDCs
To evaluate the role of these pathways in MoDC survival and maturation, we used specific inhibitors of these pathways. PD98059 suppresses the activation of MAPK/ERK by inhibiting the upstream MAPK kinase-1 (MKK1/MEK).22 LY294002 is a specific inhibitor of PI3 kinase and prevents activation of the Akt kinase and other targets of PI3 kinase.23 SB203580 binds to the ATP-binding pocket of p38SAPK, inhibiting its activity but not its own phosphorylation.24 Figure 1B shows that incubation of MoDCs with LY294002 or PD98059 effectively blocked the LPS-induced activation of the PI3 kinase/Akt and MEK/ERK pathways, respectively. Inhibition of PI3 kinase with LY294002 led to reduced viability as a result of increased apoptosis (Figure 2), with only a quarter of MoDCs remaining viable at 48 hours. Inhibition of either the MEK/ERK or p38SAPK pathways did not affect MoDC survival (Figure 2).
Viability of LPS-stimulated MoDCs exposed to inhibitors.
Peripheral blood monocytes cultured with GM-CSF and IL-4 for 7 days were incubated with LPS with or without inhibitors for 24 or 48 hours. The percentage of cells surviving at the end of this incubation was measured by flow cytometry. Only cells that did not bind FITC-conjugated annexin V and did not take up propidium iodide were classified as viable. PD indicates PD98059 (MKK1/MEK inhibitor); LY, LY294002 (PI3 kinase inhibitor); SB, SB203580 (p38SAPK inhibitor). Blocking the PI3 kinase pathway has a marked effect on MoDC survival, whereas blocking the MAPK or p38SAPK pathway does not affect MoDC survival even after 48 hours. Results are the mean ± SEM of 4 experiments.
Viability of LPS-stimulated MoDCs exposed to inhibitors.
Peripheral blood monocytes cultured with GM-CSF and IL-4 for 7 days were incubated with LPS with or without inhibitors for 24 or 48 hours. The percentage of cells surviving at the end of this incubation was measured by flow cytometry. Only cells that did not bind FITC-conjugated annexin V and did not take up propidium iodide were classified as viable. PD indicates PD98059 (MKK1/MEK inhibitor); LY, LY294002 (PI3 kinase inhibitor); SB, SB203580 (p38SAPK inhibitor). Blocking the PI3 kinase pathway has a marked effect on MoDC survival, whereas blocking the MAPK or p38SAPK pathway does not affect MoDC survival even after 48 hours. Results are the mean ± SEM of 4 experiments.
Inhibition of p38SAPK prevents some, but not all, of the maturation changes induced by LPS
Because inhibition of PI3 kinase resulted in apoptosis, the effect of blocking this pathway on MoDC maturation could not be reliably assessed. Inhibition of MEK with PD98059 had no effect on any measure of MoDC maturation (data not shown). Blocking the p38SAPK pathway with SB203580 significantly inhibited the LPS-induced up-regulation of CD83, CD86, and, to a lesser extent, CD80 (Figure3; Table 2). Inhibition of p38SAPK did not, however, affect the LPS-induced up-regulation of CD40 and HLA-DR. The reduced uptake of FITC–dextran seen in LPS-matured MoDCs was also unaffected. The effects of SB203580 were not likely to be due to nonspecific toxicity because there was no increase in apoptosis. In addition, washout experiments showed that the effects of SB203580 once removed from the culture system did not prevent the subsequent phenotypic changes normally induced by LPS (data not shown). These results show that certain features of MoDC maturation are regulated by signaling via p38SAPK and imply that different aspects of the maturation process induced by LPS may be regulated by distinct signal transduction pathways.
Inhibition of LPS-induced up-regulation of CD80, CD83, and CD86.
Bar charts showing the expression of various cell surface markers on MoDCs. Immature MoDCs were split on day 7 of culture and exposed to either diluent control, LPS (100 ng/mL), SB203580 (40 μmol/L), or SB203580 together with LPS for 48 hours, before incubation with fluorochrome-conjugated antibodies directed against cell surface antigens and analysis using a flow cytometer. The data shown are the product of the percentage of cells expressing various cell surface antigens and the mean cell fluorescence of the whole population of cells under scrutiny. The value obtained for cells exposed to LPS alone has been normalized to 1. Error bars indicate the SEM. (A) The LPS-induced up-regulation of CD80, CD83, and CD86 is inhibited by the p38SAPK inhibitor SB203580. Representative single-parameter histograms show the expression of CD80, CD83, and CD86 by day-7 MoDCs 48 hours after the addition of LPS (shaded gray), SB203580 plus LPS (shaded black), or nothing (unshaded). (B) Inhibiting p38SAPK has little or no effect on the LPS-induced changes with regard to CD1a, CD40, HLA-DR, and macropinocytosis.
Inhibition of LPS-induced up-regulation of CD80, CD83, and CD86.
Bar charts showing the expression of various cell surface markers on MoDCs. Immature MoDCs were split on day 7 of culture and exposed to either diluent control, LPS (100 ng/mL), SB203580 (40 μmol/L), or SB203580 together with LPS for 48 hours, before incubation with fluorochrome-conjugated antibodies directed against cell surface antigens and analysis using a flow cytometer. The data shown are the product of the percentage of cells expressing various cell surface antigens and the mean cell fluorescence of the whole population of cells under scrutiny. The value obtained for cells exposed to LPS alone has been normalized to 1. Error bars indicate the SEM. (A) The LPS-induced up-regulation of CD80, CD83, and CD86 is inhibited by the p38SAPK inhibitor SB203580. Representative single-parameter histograms show the expression of CD80, CD83, and CD86 by day-7 MoDCs 48 hours after the addition of LPS (shaded gray), SB203580 plus LPS (shaded black), or nothing (unshaded). (B) Inhibiting p38SAPK has little or no effect on the LPS-induced changes with regard to CD1a, CD40, HLA-DR, and macropinocytosis.
The addition of LPS results in the phosphorylation of CREB and ATF-2 transcription factors in a p38SAPK-dependent manner
It is likely that activation of p38SAPK influences the transcription of various genes involved in the maturation process of MoDCs. Therefore, we studied changes in the phosphorylation of CREB and ATF-2, which are known downstream transcription factors in the p38SAPK pathway. Figure 4 shows that these transcription factors are activated by phosphorylation within 30 minutes of the addition of LPS to immature MoDCs. Inhibiting the p38SAPK pathway with SB203580 before the addition of LPS resulted in inhibition of the activation of CREB and ATF-2.
LPS induces phosphorylation of the transcription factors ATF-2 and CREB in a p38SAPK-dependent manner.
Peripheral blood monocytes cultured with GM-CSF and IL-4 for 7 days (immature MoDCs) were exposed to LPS (100 ng/mL), and after variable lengths of time, samples were removed, separated by SDS/PAGE, and then probed with phosphorylation-specific antibodies to the transcription factors CREB and ATF-2. In some cases, the day-7 MoDCs were preincubated with the p38SAPK inhibitor SB203580 for 30 minutes before exposure to LPS. Because SB203580 was dissolved in DMSO, MoDCs that had been incubated with DMSO alone were used as controls (d). The Western blots show that phosphorylation (and hence activation) of the transcription factors ATF-2 and CREB is induced by the addition of LPS within 30 minutes. This appears to be mediated via the p38SAPK pathway because blocking this prevents the LPS-induced phosphorylation of these transcription factors. The faint bands that appear below the phospho-CREB bands in the middle panel are due to cross-reactivity of the anti-phospho–ATF-2 antibody with ATF-1, which runs in this position. The lowest panel shows the blot probed for total ATF-2 and CREB to demonstrate loading of samples. Similar results were obtained in 3 separate experiments.
LPS induces phosphorylation of the transcription factors ATF-2 and CREB in a p38SAPK-dependent manner.
Peripheral blood monocytes cultured with GM-CSF and IL-4 for 7 days (immature MoDCs) were exposed to LPS (100 ng/mL), and after variable lengths of time, samples were removed, separated by SDS/PAGE, and then probed with phosphorylation-specific antibodies to the transcription factors CREB and ATF-2. In some cases, the day-7 MoDCs were preincubated with the p38SAPK inhibitor SB203580 for 30 minutes before exposure to LPS. Because SB203580 was dissolved in DMSO, MoDCs that had been incubated with DMSO alone were used as controls (d). The Western blots show that phosphorylation (and hence activation) of the transcription factors ATF-2 and CREB is induced by the addition of LPS within 30 minutes. This appears to be mediated via the p38SAPK pathway because blocking this prevents the LPS-induced phosphorylation of these transcription factors. The faint bands that appear below the phospho-CREB bands in the middle panel are due to cross-reactivity of the anti-phospho–ATF-2 antibody with ATF-1, which runs in this position. The lowest panel shows the blot probed for total ATF-2 and CREB to demonstrate loading of samples. Similar results were obtained in 3 separate experiments.
Inhibition of NF-κB signaling prevents MoDC maturation in response to LPS
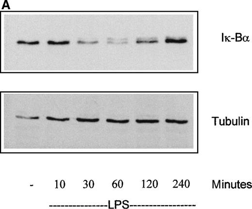
NF-κB knockout mice are known to have defective DCs.25In addition, NF-κB plays a significant role in LPS-induced signaling in macrophages, and there is growing evidence that p38SAPK can interact with signaling by the NF-κB pathway.26 27 Therefore, we investigated the role of NF-κB in LPS-induced maturation in MoDCs. The transcription factor NF-κB is bound to IκB-α in the cytoplasm and retained there in an inactive form. Various stimuli result in the phosphorylation and subsequent ubiquitination of IκB-α, leading to its being targeted to the proteasome for destruction. Free NF-κB is able to translocate to the nucleus and activate the transcription of various genes. Western blotting revealed that IκB-α is rapidly degraded upon addition of LPS to immature MoDCs (Figure5A), allowing NF-κB to translocate to the nucleus and become active as a transcription factor.
Role of the NF-κB pathway in MoDC maturation.
(A) LPS induces the degradation of Iκ-Bα in MoDCs. Day-7 immature MoDCs were exposed to LPS (100 ng/mL) for variable lengths of time (as shown), after which samples were removed and analyzed by Western blotting with an antibody directed against Iκ-Bα. The blot shows the degradation of Iκ-Bα induced in MoDCs by the addition of LPS. The lower panel shows the blot probed for tubulin to demonstrate equal loading of samples. Similar results were obtained in 3 separate experiments. (B) SN50 peptide inhibits the LPS-induced nuclear translocation of NF-κB. Day-7 immature MoDCs were stimulated with LPS (100 ng/mL) after preincubation with SN50 or control SN50M peptide (50 μg/mL), after which nuclear extracts were prepared. Oligonucleotides (containing the consensus binding sequence for NF-κB) bound to agarose beads were used to pull down nuclear NF-κB. The resulting samples were analyzed by SDS/PAGE and immunoblotting using a polyclonal anti-p65 NF-κB antibody. LPS can be seen to induce the nuclear translocation of NF-κB within 30 minutes of its addition to MoDCs. This is prevented by the addition of the SN50 peptide. The control peptide had no such effect.
Role of the NF-κB pathway in MoDC maturation.
(A) LPS induces the degradation of Iκ-Bα in MoDCs. Day-7 immature MoDCs were exposed to LPS (100 ng/mL) for variable lengths of time (as shown), after which samples were removed and analyzed by Western blotting with an antibody directed against Iκ-Bα. The blot shows the degradation of Iκ-Bα induced in MoDCs by the addition of LPS. The lower panel shows the blot probed for tubulin to demonstrate equal loading of samples. Similar results were obtained in 3 separate experiments. (B) SN50 peptide inhibits the LPS-induced nuclear translocation of NF-κB. Day-7 immature MoDCs were stimulated with LPS (100 ng/mL) after preincubation with SN50 or control SN50M peptide (50 μg/mL), after which nuclear extracts were prepared. Oligonucleotides (containing the consensus binding sequence for NF-κB) bound to agarose beads were used to pull down nuclear NF-κB. The resulting samples were analyzed by SDS/PAGE and immunoblotting using a polyclonal anti-p65 NF-κB antibody. LPS can be seen to induce the nuclear translocation of NF-κB within 30 minutes of its addition to MoDCs. This is prevented by the addition of the SN50 peptide. The control peptide had no such effect.
To assess the role of the NF-κB pathway in MoDC maturation, we used the cell-permeable SN50 peptide, which inhibits the nuclear translocation of NF-κB.28 We initially demonstrated the efficacy of this peptide using agarose-bound oligonucleotides that contained the consensus binding motifs for NF-κB. Appropriate mutant controls were also used. Nuclear extracts were made from unstimulated MoDCs and MoDCs that were stimulated with LPS, either in the presence of the SN50 peptide or not. These nuclear extracts were incubated with the oligonucleotide–agarose conjugate. Any NF-κB that had translocated to the nucleus would bind to the oligonucleotide–agarose conjugate and would be detected by probing a Western blot with an antibody directed against NF-κB p65. We were able to demonstrate that the addition of LPS to MoDCs resulted in the nuclear translocation of NF-κB and that this was prevented by the SN50 peptide (Figure 5B).
Addition of SN50, but not a control peptide, resulted in partial inhibition of the LPS-induced up-regulation of CD80, CD83, CD86, and HLA-DR (Figure 6). To assess any potential interactions between p38SAPK and NF-κB, we investigated the effect of inhibiting both pathways simultaneously. This appeared to have varying effects depending on the phenotypic marker examined. For example, blocking both pathways virtually abolished the LPS-induced up-regulation of CD80, which did not occur when either pathway was blocked in isolation, suggesting an additive effect and thus independent but overlapping signaling pathways. In the case of CD86, inhibiting both pathways did not appear to be additive, nor was the up-regulation of this molecule entirely abolished. In contrast to the minimal effect seen with blocking p38SAPK signaling, inhibiting NF-κB significantly reduced the LPS-induced up-regulation of HLA-DR (Figure6).
The effect of inhibiting the NF-κB and/or p38SAPK pathways on the LPS-induced up-regulation of CD80, CD83, CD86, and HLA-DR.
Day-7 immature MoDCs were pretreated with either nothing, a cell-permeable peptide that inhibits NF-κB nuclear translocation (SN50 peptide; 50 μg/mL), the p38SAPK inhibitor SB203580 (40 μmol/L), or both for 2 hours before the addition of LPS (100 ng/mL) for 24 hours. Control cells were pretreated with a control peptide plus or minus LPS. The cell surface expression of CD80, CD83, CD86, and HLA-DR was then measured using the flow cytometer. Figures obtained are the product of the percentage of cells expressing the various cell surface antigens and the mean cell fluorescence of the whole population of cells under scrutiny. The value obtained for cells exposed to LPS alone has been normalized to 1. Mean ± SEM of 3 to 4 experiments is shown.
The effect of inhibiting the NF-κB and/or p38SAPK pathways on the LPS-induced up-regulation of CD80, CD83, CD86, and HLA-DR.
Day-7 immature MoDCs were pretreated with either nothing, a cell-permeable peptide that inhibits NF-κB nuclear translocation (SN50 peptide; 50 μg/mL), the p38SAPK inhibitor SB203580 (40 μmol/L), or both for 2 hours before the addition of LPS (100 ng/mL) for 24 hours. Control cells were pretreated with a control peptide plus or minus LPS. The cell surface expression of CD80, CD83, CD86, and HLA-DR was then measured using the flow cytometer. Figures obtained are the product of the percentage of cells expressing the various cell surface antigens and the mean cell fluorescence of the whole population of cells under scrutiny. The value obtained for cells exposed to LPS alone has been normalized to 1. Mean ± SEM of 3 to 4 experiments is shown.
Discussion
Fundamental to the specialized function of the DC is the maturation process, during which the cell changes from being highly efficient in taking up exogenous antigen to being specialized in antigen presentation.2 This maturation process is multifaceted: (1) Antigen-uptake mechanisms are down-regulated (mannose receptor and Fcγ receptor–mediated uptake, macropinocytosis, and phagocytosis); (2) there is up-regulation of cell surface MHC molecules, which in the case of both MHC I and II is due to increased biosynthesis, and in the case of MHC II is due to a prolongation of the half-life of MHC–peptide complexes; and (3) the costimulatory molecules CD80, CD86, and CD40 are up-regulated, as is the DC-specific molecule CD83, to which no function has currently been assigned.29 Clearly, any antigen that is encountered in the peripheral tissues must be presented to T cells in the lymph nodes; thus, the maturation process also must encompass the migration of DCs from the peripheral tissues to the paracortical area of lymph nodes, through which large numbers of T cells circulate. This occurs by a rapid and coordinated switch in chemokine receptor expression after DCs receive a maturation stimulus.3
Consistent with the findings of others, we found that exposing MoDCs to LPS for 48 hours led to a change to a mature phenotype. FITC–dextran uptake, which occurs by macropinocytosis and via the mannose receptor, was reduced by 70% ± 10%, and there was an increase in cell surface MHC class II molecules and the costimulatory molecules CD80, CD86, and CD40. The marker for mature DCs, CD83, was also increased.2,4,5,10,30 31
Little is known about the signal transduction pathways involved in the maturation of MoDCs. We have shown that the classic MAP kinase pathway (MEK/ERK), the PI3 kinase/Akt pathway, and the p38 SAP kinase pathway were all activated when immature MoDCs were exposed to LPS, suggesting a role of these pathways in the maturation process. To our knowledge, this is the first demonstration of Akt activation in DCs triggered with a maturation stimulus, and we show that PI3 kinase activity is important for MoDC survival. The Akt kinase, which is regulated by PI3 kinase, has been shown to control survival in many cell types, including fibroblasts,32 hemopoietic cells,33epithelial cells,34 and neuronal cells,35 and is likely to be involved in MoDC survival.
Inhibiting the MAPK/ERK pathway with PD98059 did not have any effect on MoDC survival. This is in contrast to the findings of Rescigno et al.36 Using a growth factor–dependent murine DC cell line (D1 cells) that maintains its immature phenotype in vitro, they showed that LPS promoted the survival of D1 cells after growth factor withdrawal. LPS was shown to activate ERK in these cells, and inhibiting this pathway using PD98059 abrogated the survival effect of the LPS. These differences may reflect the different biology of primary human cells compared with murine cell lines. In addition, in our experiments, we found that inhibiting the MAPK/ERK pathway with PD98059 did not affect any of the parameters of MoDC maturation that we measured.
Inhibiting the p38SAPK pathway with SB203580 was found to significantly reduce the LPS-induced up-regulation of CD80, CD83, and CD86, but did not significantly affect the up-regulation of CD40 or HLA-DR or the down-regulation of CD1a or endocytotic capacity. Thus, it appears that some, but not all, aspects of DC maturation are regulated via the p38SAPK pathway. There are many known targets of p38SAPK. These include transcription factors such as ATF-2, CHOP/GADD153, Elk-1, and MEF-2C; and other kinases such as MAPKAP kinase 2 and 3, Mnk 1 and 2, and Msk-1. MAPKAP kinase 2 and Msk-1 in turn activate the transcription factors ATF-1 and CREB.
We were able to detect phosphorylation, and hence activation, of the transcription factors ATF-2 and CREB soon after the MoDCs were exposed to LPS. This was shown to occur in a p38SAPK-dependent manner. Using the MatInspector V2.2 database,37,38 we were able to identify at least 1 binding site for ATF and CREB in the promoter sequence of CD86. The human CD80 promoter sequence also has 1 binding site for CREB.38 Thus, one possible mechanism by which LPS causes up-regulation of the costimulatory molecules is at the transcriptional level mediated by the actions of CREB or ATF.
The p38SAPK pathway is involved in many aspects of immune cell function, being important in the innate immune response15as well as in the adaptive immune response. In addition, p38SAPK may play an important role in T-cell development because it is found to be activated in T cells in the thymus.39 The cytokines IL-2 and IL-7 also activate p38SAPK in T cells.40 In B cells, it is activated during CD40-induced B-cell proliferation.41 In macrophage cell lines, p38SAPK has been shown to be phosphorylated in response to LPS.15 Cytokine release by various cell types, including IL-12 by DCs and macrophages42 and interferon (IFN)-γ by TH1 cells,43 is mediated via the p38SAPK pathway. CpG DNA–specific activation of murine DCs is also mediated by p38SAPK,9 as is the IL-10–mediated selective repression of TNF-α–induced MoDC maturation.44Hence, the finding that the p38SAPK pathway is important in MoDC maturation is in keeping with its central role in immune cell signal transduction.
The activation of macrophages by LPS occurs via a Toll-like receptor and CD14.45 This, in turn, results in activation of NF-κB. Because of this and in view of findings that RelB, a member of the NF-κB/Rel family, is highly expressed in DCs46 and that RelB knockout mice have greatly decreased numbers of DCs, we investigated the role of the NF-κB pathway in LPS-induced DC maturation.
We have shown that LPS results in activation of the NF-κB pathway. Inhibiting NF-κB translocation to the nucleus with an inhibitory peptide decreases the up-regulation of HLA-DR, as well as that of CD80, CD83, and CD86. Rescigno et al36 have also shown that LPS activates NF-κB in DCs and that blocking nuclear translocation using the serine protease inhibitor TPCK (N-tosyl-L-phenylalanine chloromethyl ketone), which prevents IκB-α degradation, reduces LPS-induced up-regulation of HLA-DR and CD86. We found that blocking NF-κB had no effect on MoDC survival, whereas in other cell types, this pathway can regulate apoptosis.47-49
It thus appears that the up-regulation of CD80, CD83, and CD86 by LPS is controlled by at least 2 signal transduction pathways. The up-regulation of HLA-DR, however, is NF-κB dependent but not p38SAPK dependent. Interestingly, blocking the NF-κB and p38SAPK pathways was additive for CD80, whereas for CD83, maximal inhibition was achieved by blocking p38SAPK alone. For CD86, blocking both NF-κB and p38SAPK did not completely abolish the effect of LPS, suggesting the existence of an unrelated regulatory pathway. The LPS-induced up-regulation of CD40 and down-regulation of CD1a and endocytosis did not appear to be mediated by the p38SAPK or NF-κB pathways, and further work will be needed to dissect out the pathways involved in these processes. It will also be of interest to see whether other stimuli that result in MoDC maturation (such as TNF-α, IL-1β, or monocyte-conditioned medium) also use the same pathways. In keeping with this possibility, Sato et al44 have shown that TNF-α can activate the ERK2, JNK, and p38SAPK pathways in MoDCs.
It thus appears that different aspects of DC maturation are regulated by different signal transduction pathways. It may be possible in the future to selectively block these pathways and thus manipulate the immune response toward anergy or activity, which could be useful in the treatment of autoimmune disease, malignancy, or chronic infection.
Supported by grants from the Leukaemia Research Fund and the Medical Research Council (U.K.).
Reprints:Kirit M. Ardeshna, Department of Haematology, University College Medical School, 98 Chenies Mews, London WC1E 6HX United Kingdom; e-mail: k.ardeshna@ucl.ac.uk.
The publication costs of this article were defrayed in part by page charge payment. Therefore, and solely to indicate this fact, this article is hereby marked “advertisement” in accordance with 18 U.S.C. section 1734.






