Abstract
Microcytic anemia (mk) mice and Belgrade (b) rats are severely iron deficient because of impaired intestinal iron absorption and defective iron metabolism in peripheral tissues. Both animals carry a glycine to arginine substitution at position 185 in the iron transporter known as Nramp2/DMT1 (divalent metal transporter 1). DMT1 messenger RNA (mRNA) and protein expression has been examined in the gastrointestinal tract ofmk mice. Northern blot analysis indicates that, by comparison to mk/+ heterozygotes, mk/mkhomozygotes show a dramatic increase in the level of DMT1 mRNA in the duodenum. This increase in RNA expression is paralleled by a concomitant increase of the 100-kd DMT1 isoform I protein expression in the duodenum. Immunohistochemical analyses show that, as for normal mice on a low-iron diet, DMT1 expression in enterocytes ofmk/mk mice is restricted to the duodenum. However, and in contrast to normal enterocytes, little if any expression of DMT1 is seen at the apical membrane in mk/mk mice. These results suggest that the G185R mutation, which was shown to impair the transport properties of DMT1, also affects the membrane targeting of the protein in mk/mk enterocytes. This loss of function of DMT1 is paralleled by a dramatic increase in expression of the defective protein in mk/mk mice. This is consistent with a feedback regulation of DMT1 expression by iron stores.
Introduction
Homeostasis of iron is extremely well balanced, thereby providing sufficient iron for cellular functions, and yet preventing a toxic excess of the metal. There is no physiologic pathway for iron excretion, and absorption into the intestine is assumed to have a primary role in regulating whole body iron stores.1,2 Intestinal iron uptake occurs in the proximal portion of the small intestine (duodenum)3,4 where it involves at least 2 transport steps: one from the lumen across the apical membrane of absorptive epithelial cells, termed the mucosal uptake, and another across the basal membrane of enterocytes into the blood stream, termed mucosal transfer.5 Recently, the characterization of genes and proteins affected in inherited disorders of iron metabolism in humans and in animal models has clarified the mechanistic basis of iron transport in enterocytes.5 The apical iron uptake system (Nramp2/DCT1, recently renamed DMT1) of enterocytes was identified by several groups.6-8 DMT1 is a divalent metal transporter identified by functional cloning inXenopus laevis oocytes as an electrogenic metal transporter of broad substrate specificity, transporting Fe2+, Zn2+, Mn2+, and other ions.6DMT1-mediated Fe2+ transport was shown to be pH dependent and coupled to proton symport. Independently, the DMT1 gene was found to be mutated in 2 rodent models of iron deficiency, the microcytic anemia (mk) mouse and the Belgrade (b) rat.7,8 Both the mk mouse and the brat exhibit severe microcytic, hypochromic anemia because of a defect in iron uptake in the intestine and utilization in peripheral tissues, including red cell precursors.9 The DMT1 gene produces 2 alternatively spliced transcripts generated by differential use of two 3′ exons encoding distinct C-termini of the protein as well as distinct 3′ untranslated regions (UTRs).8,10 Interestingly, one DMT1 messenger RNA (mRNA) contains an iron responsive element (IRE) in its 3′ UTR. The second DMT1 splice isoform does not contain an IRE. It encodes a protein (isoform II) in which the C-terminal 18 amino acids of the IRE form (isoform I) are replaced by a novel 25 amino acid segment.8,10 Protein11 and mRNA expression studies6,12 indicate that the IRE-containing isoform I is the one expressed in the proximal portion of the duodenum, where it is dramatically up-regulated by dietary iron deprivation. DMT1 expression is restricted to the distal half of the villi, where it localizes to the brush border of absorptive epithelial cells.11
DMT1 is an integral membrane protein composed of 12 transmembrane (TM) domains, several of which contain charged residues. This structural unit defines a protein family highly conserved from bacteria to man,13,14 including the closely related macrophage-specific mammalian homologue Nramp1 (78% similarity)15. In macrophages, Nramp1 is recruited to the phagosomal membrane,16 where it may modulate divalent metal content to affect microbial replication.16,17Indeed, naturally occurring (G169D)18 or experimentally induced mutations19 in Nramp1 abrogate natural resistance to infection with intracellular parasites.
The mk mouse and the b rat carry the same mutation at the DMT1 locus, a nonconservative glycine to arginine substitution that introduces a bulky, positively charged residue into predicted TM4 of the protein.7,8 Transient expression studies in HEK293T cells have shown that the G185R DMT1 mutant is severely impaired and cannot significantly stimulate Fe2+uptake.20 Surprisingly, the G185R mutation in DMT1 maps to a residue that is adjacent to the corresponding Nramp1 residue mutated G169D in inbred mouse strains susceptible to infections. In macrophages from mouse strains bearing a Nramp1G169D allele, no mature protein is detected,21 suggesting that this mutation causes protein instability and degradation. The similarity in nature and position of these naturally occurring loss-of-function mutations in Nramp1 and Nramp2/DMT1 suggests that these 2 adjacent glycine residues play an important structural or functional role. In the present report, we have analyzed the expression, tissue distribution, and subcellular localization of the G185R DMT1 variant in the intestine of anemic mk mice to gain insight into the molecular basis of defect in intestinal iron absorption in these mice.
Materials and methods
Animals
MK/ReJ-mk/+ were originally obtained from the Jackson Laboratory and subsequently maintained as an inbred stock by breeding male homozygotes (Nramp2/DMT1G185R/G185R) to obligate female heterozygotes, as previously described.7Animals were maintained on a standard rodent diet in the animal facility at Children's Hospital (Boston, MA). At the time of the study, mk/mk homozygotes had significantly reduced liver iron compared with mk/+ animals (49.4 ± 23 μg/g versus 88.71 ± 5 μg/g). The 129sv mice were initially purchased from Taconic Farms (Germantown, NY) and subsequently maintained as a breeding colony in the Animal Care Center at McGill University (Montreal, QC, Canada). For iron depletion experiments, control inbred 129sv mice (Nramp2/DMT1+/+) were fed either a low-iron diet (−Fe; ICN, Montreal, QC, Canada) or an identical diet supplemented with 3% ferric phosphate (+Fe; ICN) for 8 weeks before isolation of tissues.11 Decreased levels of plasma ferritin (128 ± 20 ng/L for low iron compared to 225 ± 34 ng/L for normal diet) in addition to decreased expression of ferritin protein in proximal duodenum and liver (data not shown) suggest that mice kept on the low-iron diet indeed become iron deficient.
Tissue preparation
For immunoblotting and immunohistochemistry, the first portion of the small intestine (approximately 4 cm) from mk/+ andmk/mk mice was harvested and dissected in 2 equal segments, I1 and I2, corresponding to the proximal and distal duodenum, respectively, as previously described.11 A distal segment (approximately 2 cm) of the small intestine, I3, corresponding to the ileum, as well as a segment (approximately 2 cm) of the colon were also dissected (see Figure 2 in Canonne-Hergaux et al11). Tissue samples were snap-frozen in liquid nitrogen and used to prepare crude membrane fractions or used to isolate RNA. Fresh tissues were also fixed in Bouin solution (picric acid 9 g/L, acetic acid 4%, methanol 3.6%, and formaldehyde 25%) for immunohistochemical studies.
Cell culture
LR73 Chinese hamster ovary (CHO) cells22 were grown in α-minimal essential medium supplemented with 10% fetal calf serum, 2 mmol/L L-glutamine, 50 U/mL penicillin, and 50 μg/mL streptomycin. A DMT1 isoform II complementary DNA (cDNA) modified by the insertion of an antigenic c-Myc epitope at the carboxy terminus23 was introduced in LR73 cells. A cell clone stably expressing the tagged DMT1-cMyc protein was isolated and propagated as previously described.24
RNA isolation and hybridization studies
Total mouse duodenal RNA was isolated from the proximal 2 cm of duodenum (I1), using RNA STAT-60 (Leedo Medical Laboratories, Houston, TX). Total RNA (10 μg) was electrophoresed on a 1% agarose, 0.7% formaldehyde gel and blotted onto Hybond N (Amersham, Piscataway, NJ). DMT1 expression was detected, using a hybridization probe corresponding to positions 731-1240 of DMT1 (Genbank L33415) incubated in UltraHyb (Ambion, Austin, TX) and washed according to the manufacturer's instructions. The blot was stripped and reprobed with either a probe, consisting of the noncoding portion (1.6 kilobase [kb]) of a mouse transferrin receptor cDNA (kindly provided by Dr P. Ponka, Lady Davis Institute, Montreal, QC, Canada) or with a cDNA probe, consisting of the entire open reading frame of mouse β-actin.
Crude membrane extracts
Crude membrane fractions from cultured CHO cells and from portions of the gastrointestinal tract were prepared, exactly as we have previously described.11 Briefly, tissue homogenates and CHO cell lysates were centrifuged at 6000g for 15 minutes (4°C) to eliminate nuclei and intact cells, and membrane fractions were recovered from the supernatant by centrifugation at 80 000g for 60 minutes at 4°C. Final pellets were resuspended in sucrose histidine buffer (0.25 mol/L sucrose, 0.03 mol/L histidine, pH 7.2), supplemented with protease inhibitors, and stored frozen at −80°C until use. Protein concentrations of the various membrane fractions were determined by the Bradford assay (commercially supplied by Biorad, Hercules, CA).
Production and purification of DMT1 antibodies
For the production of rabbit polyclonal antisera to analyze isoforms I and II of DMT1 (IRE: isoform I and non-IRE: isoform II), 2 glutathione-S-transferase (GST) fusion proteins were constructed. The first protein contained a DMT1 peptide segment corresponding to the amino terminus (residues 1 to 73) that is identical in isoforms I and II, and a second consisted in GST fusion containing the carboxy terminal region (residues 532-568) of isoform II. The respective polyclonal antiserum generated against these immunogens were purified against the same DMT1 peptide segments (NT and CT) fused to dihydrofolate reductase, as previously described.11 The specificities of the anti–DMT1-NT and anti–DMT1-CT sera were established by immunoblotting.11
Immunoblot analysis
Crude membrane preparations from tissues (80 μg of protein) or control CHO cells (5 μg of protein) were separated by sodium dodecylsulfate–polyacrylamide gel electrophoresis (SDS-PAGE; 10% polyacrylamide) and transferred by electroblotting to polyvinylidene fluoride membranes (16 hours, 4°C). For DMT1 detection, samples were incubated for 30 minutes at room temperature in 1× Laemmli sample buffer (with occasional vortexing) prior to SDS-PAGE because, as for other integral membrane proteins, heat treatment of DMT1-containing samples was found to cause aggregation of the protein. For transferrin receptor and Biliary glycoprotein 1 (Bgp1) immunodetection, samples in 1× Laemmli sample buffer were boiled for 5 minutes prior to SDS-PAGE. Similar loading on gel and similar transfer of proteins to the membrane was verified by staining the blots with Ponceau S Red (Sigma, St Louis, MO). Immunoblots were pre-incubated with blocking solution (0.02% Tween20, 7% skim milk in phosphate-buffered saline [PBS]) for 2 hours at 20°C prior to incubation with primary antibodies for 16 hours at 4°C in blocking solution. Primary antibodies were used at the following concentrations: rabbit anti–DMT1-NT, 1/200; rabbit anti– DMT1-CT, 1/100; rat monoclonal antimouse transferrin receptor (TfR), 1/500 (Biosource International, Camarillo, CA); rabbit polyclonal anti-Bgp1 (provided by Dr N. Beauchemin, McGill University), 1/4000. Membranes were washed (PBS + 0.2% Tween20) and then incubated with peroxidase-labeled antirat or antirabbit secondary antibodies (1/10 000; Amersham, Buckinghamshire, England; 1 hour, 20°C). The signals were visualized by Enhanced ChemiLuminescence (ECL, Amersham). In certain experiments, membranes were stripped (100 mmol/L β2-mercaptoethanol, 2% SDS, 62.5 mmol/L Tris-HCl pH 6.8; 50°C, 30 minutes) and then reprobed with a different primary antibody.
Immunohistochemistry
Portions of the gastrointestinal tract were fixed in Bouin solution (72 hours, 20°C). They were then dehydrated in a series of ethanol (3 × 20 minutes: 70%, 95%, 100%), ethanol/xylene (1/1), and xylene solutions, followed by embedding in paraffin. Sections (5 μm) were cut and mounted with gelatin on glass slides. Immunohistochemical staining was performed, using the peroxidase-antiperoxidase procedure, as previously described.11 Dilutions of antibodies were as follows: DMT1-NT, 1/40; DMT1-CT, 1/25; nonimmune serum, 1/40; and anti-Bgp1, 1/500. Following incubation with the primary antibody, 3 washes in PBS, and incubation with the secondary antibody (swine antirabbit immunoglobulin G, 1:100; DAKO, Carpinteria, CA), subsequent rabbit peroxidase-antiperoxidase immunostaining (PAP, 1:100; DAKO) was revealed, using 3′-diaminobenzidine tetrahydrochloride (DAB) in solution, followed by counterstaining with 0.1% methylene blue in PBS.
Results
The mRNA and polypeptide corresponding to the IRE-containing isoform I of DMT1 are normally expressed at low levels throughout the intestine, but their expression is dramatically increased in the duodenum on dietary iron deprivation.6 11 This finding suggests a possible feedback regulatory loop of DMT1 isoform I by iron stores. Thus, the current study aimed at analyzing the effect of DMT1 G185R loss-of-function mutation on the regulation of expression of the DMT1 mRNA and protein. In addition, the effect of the G185R mutation on cellular and subcellular localization of DMT1 protein was investigated.
DMT1 mRNA is overexpressed in duodenum ofmk/mk mice
The effect of the G185R mutation on the level of DMT1 mRNA expression was studied by Northern blot analysis. The duodenum was dissected from 4- to 5-week-old mk/mk mice and from their normal mk/+ heterozygous littermates. Total RNA was prepared, and equal amounts of duplicate duodenum RNA samples (2 animals in each group mk/+ or mk/mk) were separated in denaturing formaldehyde gels and analyzed by Northern blot analysis, using a DMT1 probe (nucleotide position 731-1240). Results in Figure 1A indicate that the DMT1 probe detects low-level expression of a 3- to 3.5-kb mRNA species in the duodenum of mk/+ controls. However, DMT1 mRNA expression is dramatically increased in RNA samples from mk/mk duodenum. The level of expression of another transcript containing IREs in its 3′ untranslated region, the TfR, was also found increased inmk/mk mice when compared with the heterozygotesmk/+ (Figure 1B). Results from hybridization to a control β-actin probe (Figure 1C) indicate that similar amounts of RNA were loaded on the gel and transferred to the hybridization membrane. These results indicate that DMT1 and TfR mRNA are up-regulated in the duodenum of anemic mk/mk mice.
DMT1 mRNA expression in intestine from anemicmk/mk mice.
The proximal portion of the small intestine immediately adjacent to the stomach was dissected from mk/+ heterozygotes andmk/mk homozygous anemic mice (2 animals in each group). Total RNA from each tissue was prepared, separated by electrophoresis through a denaturing agarose gel, and followed by blotting to a hybridization membrane. The blot was probed with a DMT1 cDNA probe that recognizes both the IRE (isoform I) and non-IRE (isoform II) containing mRNAs (A) and was washed under highly stringent conditions. After removal of the probe, the blot was sequentially rehybridized with probes for TfR (B) and β-actin (C).
DMT1 mRNA expression in intestine from anemicmk/mk mice.
The proximal portion of the small intestine immediately adjacent to the stomach was dissected from mk/+ heterozygotes andmk/mk homozygous anemic mice (2 animals in each group). Total RNA from each tissue was prepared, separated by electrophoresis through a denaturing agarose gel, and followed by blotting to a hybridization membrane. The blot was probed with a DMT1 cDNA probe that recognizes both the IRE (isoform I) and non-IRE (isoform II) containing mRNAs (A) and was washed under highly stringent conditions. After removal of the probe, the blot was sequentially rehybridized with probes for TfR (B) and β-actin (C).
DMT1 protein is overexpressed in duodenum ofmk/mk mice
The mouse DMT1 gene produces 2 alternatively spliced mRNAs that differ at their 3′ ends. We have raised an anti-DMT1 rabbit polyclonal antiserum (DMT1-NT) against the N-terminus of DMT1 (identical in isoforms I and II) and a similar antiserum directed against the C-terminus of isoform II (the non-IRE isoform). With the use of these antibodies in combination, we have shown that the IRE-containing DMT1 isoform I is the predominant isoform expressed in the intestine.11 The effect of the G185R mutation on the level of DMT1 protein expression was initially studied by immunoblotting. For this process, crude microsomal membrane fractions from intestinal segments of anemic mk/mk homozygous animals and control mk/+ heterozygotes were analyzed by immunoblotting with anti-DMT1 antibody, DMT1-NT (Figure2A). Two additional controls were included for comparison with mk/mk and mk/+tissues. The first consisted of crude microsomal fractions of proximal duodenum (I1) from normal (+/+) mice fed either a normal (lane 1) or a low-iron diet (lane 2). The second control was membranes from CHO cells that stably expressed DMT1 protein (CHO-DMT1 isoform II, lane 12) or the parental, untransfected cell line (CHO, lane 11). The specificity of the DMT1-NT antibody is shown by the presence of a single immunoreactive species of approximate molecular mass 90 to 100 kd in the CHO-DMT1 transfectant that is absent in CHO control membranes.
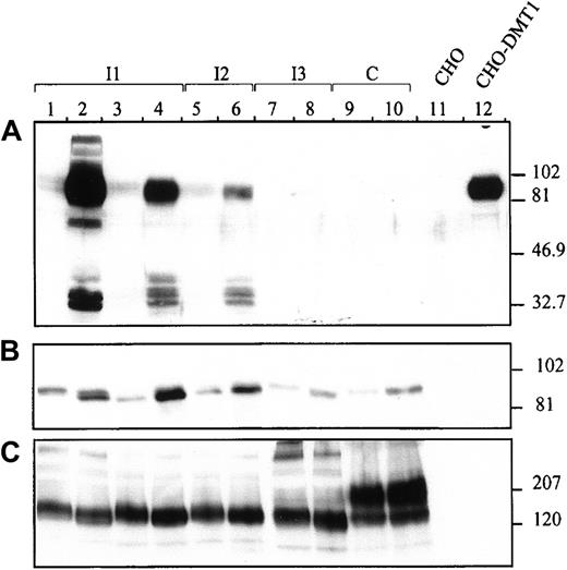
Expression of DMT1 protein in the gastrointestinal tract of anemic mk/mk mice.
Proximal (I1) and distal (I2) sections of the duodenum as well as ileum (I3) and colon (C) were harvested from heterozygous mk/+(lanes 3, 5, 7, and 9) or homozygous mk/mk mice (lanes 4, 6, 8, and 10). Microsomal fractions were prepared as previously described11 and 80 μg samples of membrane proteins were resolved on a 10% acrylamide gel and transferred to a polyvinylidene fluoride membrane. For comparison, microsomal fractions isolated from proximal duodenum (I1) of wild type mice (+/+) fed a normal diet (lane 1) or a low-iron diet (lane 2) were included in the analysis. To demonstrate the specificity of the anti-DMT1 antibody, 5 μg of membrane proteins from CHO cells (lane 11) or CHO cells expressing cMyc-tagged DMT1 isoform II (lane 12) were also included. Immunoblotting was performed with antibodies raised against the amino terminus of DMT1 (DMT1-NT) (A), the transferrin receptor (B), and Bgp1 proteins (C). The positions and sizes (in kilodaltons) of molecular mass markers are indicated on the right.
Expression of DMT1 protein in the gastrointestinal tract of anemic mk/mk mice.
Proximal (I1) and distal (I2) sections of the duodenum as well as ileum (I3) and colon (C) were harvested from heterozygous mk/+(lanes 3, 5, 7, and 9) or homozygous mk/mk mice (lanes 4, 6, 8, and 10). Microsomal fractions were prepared as previously described11 and 80 μg samples of membrane proteins were resolved on a 10% acrylamide gel and transferred to a polyvinylidene fluoride membrane. For comparison, microsomal fractions isolated from proximal duodenum (I1) of wild type mice (+/+) fed a normal diet (lane 1) or a low-iron diet (lane 2) were included in the analysis. To demonstrate the specificity of the anti-DMT1 antibody, 5 μg of membrane proteins from CHO cells (lane 11) or CHO cells expressing cMyc-tagged DMT1 isoform II (lane 12) were also included. Immunoblotting was performed with antibodies raised against the amino terminus of DMT1 (DMT1-NT) (A), the transferrin receptor (B), and Bgp1 proteins (C). The positions and sizes (in kilodaltons) of molecular mass markers are indicated on the right.
A low level of DMT1 was detected in membrane fractions from proximal duodenum of normal mice fed a normal diet (Figure 2, lane 1) and from proximal (I1, lane 3) and distal duodenum (I2, lane 5) of control heterozygous mk/+ animals. As previously described,11 depletion of dietary iron results in a dramatic increase in expression of DMT1 in the duodenum (lane 2) of normal mice. Similarly, the level of DMT1 expression was clearly increased in membrane fractions from the proximal (I1, lane 4) and to a lesser extent the distal portion of the duodenum (I2, lane 6) of homozygous mk/mk mice, when compared with controlmk/+ heterozygotes (I1, lane 3; I2, lane 5). Although strongly induced, the level of expression of DMT1 in mk/mkduodenum appears lower than that observed in iron-depleted animals (compare lanes 4 and 2). The electrophoretic mobility of DMT1 from tissues of iron-deficient mice (lane 2) was indistinguishable from that of the DMT1 G185R protein seen in tissues from mk/mk mice (lanes 4 and 6). These results suggest that the G185R mutation does not grossly impair posttranslational modification of the DMT1 protein, including glycosylation to 90 to 100 kd from a 56-kd precursor.24,25 In agreement with previous studies in normal mice,11 no DMT1 protein was detected with our antibody in more distal portions of the small intestine (I3; lanes 7 and 8) or colon (C; lanes 9 and 10) in either mk/+ ormk/mk samples. In duodenal samples containing increased amounts of DMT1 (lanes 2, 4, and, to lesser extent, lane 6), other immunoreactive species of faster electrophoretic mobility were also detected by the DMT1-NT antiserum (Figure 2A). Other species of low apparent molecular weight (< 45 kd) were not seen consistently and tended to increase in proportion to repeated freezing and thawing of the specimens. This finding suggests that they correspond to degradation products of the mature 90-kd polypeptide, as previously observed elsewhere.11 In lane 2 of Figure 2, an approximately 60-kd band is seen and could correspond to the nonglycosylated precursor of DMT1 that is only observed when DMT1 expression is extremely high. Finally, the DMT1-NT reactive protein detected in tissues from normal11 or mk/mk mice (data not shown) did not react with the DMT1-CT antiserum. Together, these immunoblotting results indicate that DMT1 isoform I expression is strongly increased in the duodenum of anemic mk/mk mice.
The same microsomal membrane fractions were also analyzed for expression of the TfR (Figure 2B) and Bgp1 (Figure 2C), a cell surface adhesion molecule expressed in epithelial cells throughout the intestinal tract.26 In normal mice (+/+) and inmk/+ heterozygotes, TfR was expressed as an approximately 90-kd protein species in all intestinal segments tested. Interestingly, in mk/mk mice, TfR was present at higher levels than inmk/+ heterozygotes. This finding was observed for all intestinal segments tested, but it was particularly apparent in the duodenum. These observations at the TfR protein levels are in agreement with results from Northern blot analysis (Figure 1B). TfR expression level also increased in duodenum from iron-depleted mice (Figure 2B, compare lane 2 with lane 1). However, Bgp1 was expressed at high levels in all intestinal sections of +/+, mk/+, andmk/mk mice (Figure 2C), indicating that protein degradation, unequal loading, or unequal transfer to the blot were unlikely to be responsible for differences in levels of DMT1 and TfR expression detected between wild-type and mk/mk mice.
Cellular and subcellular localization of DMT1 inmk/mk mouse duodenum
Cellular and subcellular localization of the DMT1 protein was investigated by immunostaining fixed sections of duodenum from control heterozygous mk/+ (Figure3D-F) or homozygous mk/mk mice (Figure 3G-I). As a positive control in these studies, duodenal sections from wild type (+/+) animals maintained on a low-iron diet (−Fe) were also examined (Figure 3A-C). Freshly dissected tissues were fixed in Bouin solution, embedded in paraffin, and immunostained with either rabbit anti–DMT1-NT polyclonal antiserum (Figure 3A,D,G), rabbit anti–DMT1-CT specific for the non-IRE isoform II (Figure 3B,E,H), normal pre-immune rabbit serum (not shown), or a rabbit anti-Bgp1 antiserum (Figure 3C,F,I). Sections were then counterstained with methylene blue and examined under 400 × magnification.
Immunohistochemical staining of DMT1 in the intestine of anemic mk/mk mice.
Tissues were fixed in Bouin solution, embedded in paraffin, and sectioned as described.11 Sections from the proximal duodenum (I1) of wild type mice on low-iron diet [+/+ (−Fe); A, B, and C], heterozygous mk/+ (D, E, and F), and homozygousmk/mk mice (G, H, and I) were immunostained with rabbit polyclonal antisera directed against the amino terminus of DMT1 (DMT1-NT; A, D, and G), or the carboxy terminus of isoform II (non-IRE containing) DMT1 (DMT1-CT; B, E, and H), or biliary glycoprotein 1 (Bgp1; C, F, and I). Sections were stained with DAB, counterstained with methylene blue, and photographed at a magnification of 400 ×. Arrows in (A) show intense DMT1 staining at the brush border (arrows) and intracellularly in the apical region of villus enterocytes (arrowhead). In mk/+ mice (D), DMT1 is not detectable. Inmk/mk mice (G), strong DMT1 staining is apparent in the apical region of villus enterocytes (arrowhead) but not at the brush border. In (C), (F), and (I), arrows identify Bgp1 staining at the brush border (black arrows), in the supranuclear, intracellular region (white arrows) of villus enterocytes as well as in crypts cells (arrowhead). The development time for DAB was generally longer formk/+ and mk/mk (4-6 minutes) than for low-iron diet (3 minutes), indicating that the level of DMT1 expression is stronger in normal mice on low-iron diet than inmk/mk homozygotes.
Immunohistochemical staining of DMT1 in the intestine of anemic mk/mk mice.
Tissues were fixed in Bouin solution, embedded in paraffin, and sectioned as described.11 Sections from the proximal duodenum (I1) of wild type mice on low-iron diet [+/+ (−Fe); A, B, and C], heterozygous mk/+ (D, E, and F), and homozygousmk/mk mice (G, H, and I) were immunostained with rabbit polyclonal antisera directed against the amino terminus of DMT1 (DMT1-NT; A, D, and G), or the carboxy terminus of isoform II (non-IRE containing) DMT1 (DMT1-CT; B, E, and H), or biliary glycoprotein 1 (Bgp1; C, F, and I). Sections were stained with DAB, counterstained with methylene blue, and photographed at a magnification of 400 ×. Arrows in (A) show intense DMT1 staining at the brush border (arrows) and intracellularly in the apical region of villus enterocytes (arrowhead). In mk/+ mice (D), DMT1 is not detectable. Inmk/mk mice (G), strong DMT1 staining is apparent in the apical region of villus enterocytes (arrowhead) but not at the brush border. In (C), (F), and (I), arrows identify Bgp1 staining at the brush border (black arrows), in the supranuclear, intracellular region (white arrows) of villus enterocytes as well as in crypts cells (arrowhead). The development time for DAB was generally longer formk/+ and mk/mk (4-6 minutes) than for low-iron diet (3 minutes), indicating that the level of DMT1 expression is stronger in normal mice on low-iron diet than inmk/mk homozygotes.
As we previously reported,11 intense DMT1 staining in the duodenum of control mice fed a low-iron diet (Figure 3A) was limited to villi with no expression in the lamina propria or in intestinal crypts of Lieberkuhn. In villi, DMT1 was mostly localized at the luminal surface (Figure 3A, black arrow) and to a much lesser extent in the apical cytoplasm (Figure 3A, arrowhead) of villus cells. In heterozygous mk/+ mice, no DMT1 staining was observed in the columnar epithelial cells of the villi (Figure 3D). This result was anticipated, considering the low level of DMT1 protein expression detected in this tissue by immunoblotting (Figure 2A, lane 3). However, strong DMT1 staining was detected in duodenal villi from homozygousmk/mk mice (Figure 3G). Again, DMT1 staining was restricted to the villi and was absent in both the vascular and lymphatic cells of the lamina propria and in crypts cells. In contrast to the staining seen in iron-deficient mice, DMT1 staining in mk/mkenterocytes was largely intracellular, mostly in the apical side of epithelial cells (Figure 3G, arrowhead) with little or no brush border staining (Figure 3G). Incubation with either normal preimmune serum (not shown) or with the anti–DMT1-CT antiserum (Figure 3B,E,H) produced no detectable staining, indicating that the IRE-containing isoform I of DMT1 is the one up-regulated in iron-deficient mice and inmk/mk homozygotes. Occasionally, staining was detected with the anti–DMT1-NT antibody in rare crypts cells (Figure 3D, white arrowhead). This latter staining appeared only after prolonged DAB reaction times and was independent of iron status of animals.
Anti-Bgp1 antiserum was used as a positive control in these sections because Bgp1 is known to be highly expressed in the mouse gastrointestinal tract. Bgp1 protein is localized to the brush border of crypts and villus epithelial cells.27 28 As expected (Figure 3C,F,I), Bgp1 was detected in all tissue sections at the luminal surface of the epithelium (black arrows), at the supranuclear, at the intracellular region of villi epithelial cells (white arrows), and in the crypts of Lieberkuhn (arrowheads).
Subcellular localization of DMT1 protein in villus epithelial cells from mk/mk mice was further studied by examination of additional sections under high magnification (Figure4C-D). Similar sections from iron-depleted wild type mice were used as controls [+/+ (−Fe); Figure4A-B]. Analysis of transverse (Figure 4A,C, × 600) and longitudinal (Figure 4B,D, × 1000) sections of villi show a similar cellular distribution of DMT1 protein expression in normal, iron-depleted mice (Figure 4A) and in mk/mk homozygotes (Figure 4C) that was restricted to the absorptive enterocytes with no expression in mucus-secreting goblet cells (white arrows). In wild type mice (Figure4A-B), DMT1 was concentrated at the brush border (black arrows) but also was found to a lesser extent within the intracellular apical area (arrowheads) of villus enterocytes. In mk/mk mice (Figure4C-D), DMT1 was present in a strong intracellular pattern, predominantly in the apical half of the epithelial cells (arrowheads). However, little or no staining of DMT1 was apparent at the luminal surface of mk/mk enterocytes, suggesting that little of the protein reached the brush border where it is normally expressed in iron-deficient controls.
Subcellular localization of DMT1 in enterocytes from anemic mk/mk mice.
Sections from proximal duodenum (I1) from either wild-type mice on a low-iron diet [+/+ (−Fe); panels A and B] or mk/mk mice (panels C and D) were analyzed for DMT1 expression with a rabbit polyclonal antiserum directed against the amino terminus of DMT1, and examined under high magnification (600 ×, panels A and C; 1000×, panels B and D). Transverse (A and C) and longitudinal (B and D) sections are shown. In iron-depleted +/+ mice (A and B), DMT1 is concentrated at the brush border (arrow) and also detectable in the apical region (arrowhead) of villus enterocytes. Inmk/mk mice (C and D), DMT1 staining is intracellular (arrowhead) and is not (or weakly) detectable at the brush border. In all sections, mucus-secreting goblet cells remain negative (white arrows).
Subcellular localization of DMT1 in enterocytes from anemic mk/mk mice.
Sections from proximal duodenum (I1) from either wild-type mice on a low-iron diet [+/+ (−Fe); panels A and B] or mk/mk mice (panels C and D) were analyzed for DMT1 expression with a rabbit polyclonal antiserum directed against the amino terminus of DMT1, and examined under high magnification (600 ×, panels A and C; 1000×, panels B and D). Transverse (A and C) and longitudinal (B and D) sections are shown. In iron-depleted +/+ mice (A and B), DMT1 is concentrated at the brush border (arrow) and also detectable in the apical region (arrowhead) of villus enterocytes. Inmk/mk mice (C and D), DMT1 staining is intracellular (arrowhead) and is not (or weakly) detectable at the brush border. In all sections, mucus-secreting goblet cells remain negative (white arrows).
Together, these results establish that DMT1 protein is abundantly expressed in the duodenum of mk/mk mice, but it is not efficiently targeted to the brush border of the epithelial absorptive cells.
Discussion
In the present study, we have investigated the consequences of loss of function of DMT1 on the level of expression and on cellular and subcellular localization of the protein in enterocytes from iron-deficient mk/mk mice. We report that mk/mkmice show a dramatic increase in the expression of DMT1 mRNA in the duodenum associated with a concomitant increase in isoform I DMT1 protein expression. In contrast to the situation observed in iron-deficient wild-type animals, little of the overexpressed DMT1 protein is found at the brush border of mk/mkenterocytes.
The dramatic induction of DMT1 mRNA and protein observed in animals deprived of dietary iron6,11 and in mk/mk mice (this study) suggests a feedback regulatory loop for regulation of DMT1 expression by iron stores. One possibility is that up-regulation of DMT1 may be through the action of the IRE located in the 3′ UTR of isoform I. IREs mediate changes in protein levels in response to iron availability.29,30 When iron is scarce within cells, IRE-binding proteins (IRP1 and IRP2) are available to bind IREs. It has previously been established that IRP binding to IREs in the 3′ UTR of the TfR mRNA increases message stability and translation.29 The observations that in iron-deprived animals, the nonheme iron content of enterocytes and the IRP activity in the duodenum decreased and increased, respectively,31,32 and that transferrin binding activity and both RNA and protein expression of TfR are increased in wild-type deficient animals31 (this study; Figure 2B) and inmk/mk mice (this study; Figures 1B and 2B) are consistent with a regulatory role for IRPs in the up-regulation of DMT1. In duodenal crypts cells of iron-deprived and of mk mice, the level of intracellular iron decreases, reflecting the change in body iron status. We speculate that this results in programming of the developing enterocyte to absorb more iron when it arrives at the villus. The mechanism of programming may in part be related to induction of IRP activity, resulting in stabilization of DMT1 mRNA and consequent up-regulation of apical iron transport function. However, we do not have direct evidence of such a regulatory mechanism. Therefore, we cannot exclude the possibility that regulation of DMT1 expression operates without the participation of the IRE element itself; rather it may reflect changes at the transcriptional or translational level. Indeed, no absolute correlation between the level of DMT1 mRNA and protein expressed could be established in mk/+ andmk/mk mice. Interestingly, and despite a dramatic induction of DMT1 expression, the rate of iron absorption increases modestly (3-fold to 8-fold) in iron-deficient animals when compared to normal groups.31,32 This observation also points to possible roles of other proteins in the regulation of intestinal iron absorption, most likely ferrireductase or the basal membrane iron transporter,33 that could also be rate limiting in iron acquisition.
Immunohistochemical localization studies of DMT1 protein inmk/mk mice indicate that the mutated protein is highly expressed in absorptive enterocytes of the villi. This pattern of tissue and cellular expression is similar to that seen for the wild-type protein in normal mice fed a low-iron diet. However, and in contrast to the wild-type protein, the G185R variant of DMT1 was not expressed at the brush border of duodenal enterocytes, but rather was present intracellularly (Figures 3 and 4). Thus, although the G185R mutation clearly has a deleterious effect on the transport properties of the protein measured in vitro,20 it also appears to interfere with proper targeting to the brush border of the absorptive epithelium in vivo, indicating that integrity of TM4 is important for proper targeting of DMT1 to that site. We conclude that replacement of the glycine residue at position 185 by an arginine affects both the transport function and the membrane targeting of DMT1. The mechanism by which the G185R mutation affects targeting of the protein is unknown, as TM4 does not contain obvious targeting or sorting signals. Interestingly, transient transfection and expression of wild type and G185R mutant in human embryonic kidney HEK293 cells show similar localization of both wild type and mutant proteins to the plasma membrane and to Tf-positive recycling endosomes.20 The reason for different results is unclear, but it may reflect differences in the cell types expressing the mutant proteins (differentiated mouse enterocytes versus undifferentiated HEK immortalized human cells20). Moreover, the fact that this study reflects a physiologic situation as opposed to a transfected cell clone, and the fact that the effect of the G185R mutation was assessed on the background of isoform I (this study) as opposed to isoform II20 may also contribute to this discrepancy.
The Nramp2/DMT1 gene was initially cloned by virtue of its cross-hybridization to the Nramp1 gene that is involved in macrophage function and host resistance to infection.15,25,34 Interestingly, a single G169D mutation in predicted TM4 of Nramp1 that corresponds to the glycine residue immediately adjacent to the G185R mutation of DMT1 in mkmice impairs resistance of mice to infection with intracellular parasites. Previous observations21 suggest that the G169D mutation in Nramp1 affects normal processing of the protein, with possible targeting for degradation. Although these results with Nramp1 also suggest that integrity of TM4 is important for proper targeting of Nramp proteins, the G169D-induced degradation of Nramp1 is different in several respects from the consequences of the G185R mutation in DMT1 of mk mice. Indeed, the G185R variant appears quite stable and is readily detected at high levels in the duodenum of mk mice. Second, DMT1 is extensively modified by asparagine-linked glycosylation in primary and transfected cells,24 and this posttranslational modification is preserved in the G185R mutant, as indicated by the similar electrophoretic mobility of the wild type and mutant proteins in duodenal protein extracts (Figure 2). This suggests that the G185R mutant can pass the quality control check imposed by the endoplasmic reticulum and Golgi apparatus. Thus, as opposed to the G169D Nramp1 variant, the G185R mutation in DMT1 does not markedly affect stability or maturation of the protein. However, we observed higher level DMT1 protein expression in the normal mice fed a low-iron diet than inmk/mk homozygotes mice. Thus, we cannot formally exclude the possibility that the G185R mutation may indeed have a certain effect on protein stability in mk/mk mice. The balance between the up-regulation of RNA expression and the degradation of the mutant protein may lead to a detection of DMT1 in mk mice that is important but lower than the one observed in iron-depleted wild type mice.
The present study shows that the G185R mutation in DMT1 affects targeting of the protein to the brush border of the intestinal epithelium, the normal physiological site for iron uptake. In mutantmk/mk homozygotes, this loss of function at DMT1 contributes to the systemic iron deficiency and the severe anemia characteristic of these mice. In response to their iron deficiency, there is a dramatic increase in expression of the mutant DMT1 protein in mk/mkhomozygotes, most likely mediated by a feedback regulatory mechanism sensing the level of body iron stores.
Acknowledgments
The authors are indebted to Dr N. Beauchemin (McGill University, Montreal, QC, Canada) and to Dr P. Ponka (Lady Davis Institute, Montreal, QC, Canada) for the generous gifts of the anti-Bgp1 antiserum and the transferrin receptor cDNA sequence, respectively.
Supported by National Institutes of Health (NIH) grant AI35237 (P.G.) and partially supported by NIH grants DK53813 (N.C.A), HL03600 (M.D.F.), and HL03503 (J.E.L.). P.G. is an International Research Scholar of the Howard Hughes Medical Institute (HHMI) and a Senior Scientist of the Medical Research Council of Canada. N.C.A. is an associate investigator of the HHMI.
The publication costs of this article were defrayed in part by page charge payment. Therefore, and solely to indicate this fact, this article is hereby marked “advertisement” in accordance with 18 U.S.C. section 1734.
References
Author notes
Philippe Gros, Department of Biochemistry, McGill University, 3655 Drummond, Room 907, Montreal, Quebec, Canada, H3G-1Y6; e-mail: gros@med.mcgill.ca.


![Fig. 3. Immunohistochemical staining of DMT1 in the intestine of anemic mk/mk mice. / Tissues were fixed in Bouin solution, embedded in paraffin, and sectioned as described.11 Sections from the proximal duodenum (I1) of wild type mice on low-iron diet [+/+ (−Fe); A, B, and C], heterozygous mk/+ (D, E, and F), and homozygousmk/mk mice (G, H, and I) were immunostained with rabbit polyclonal antisera directed against the amino terminus of DMT1 (DMT1-NT; A, D, and G), or the carboxy terminus of isoform II (non-IRE containing) DMT1 (DMT1-CT; B, E, and H), or biliary glycoprotein 1 (Bgp1; C, F, and I). Sections were stained with DAB, counterstained with methylene blue, and photographed at a magnification of 400 ×. Arrows in (A) show intense DMT1 staining at the brush border (arrows) and intracellularly in the apical region of villus enterocytes (arrowhead). In mk/+ mice (D), DMT1 is not detectable. Inmk/mk mice (G), strong DMT1 staining is apparent in the apical region of villus enterocytes (arrowhead) but not at the brush border. In (C), (F), and (I), arrows identify Bgp1 staining at the brush border (black arrows), in the supranuclear, intracellular region (white arrows) of villus enterocytes as well as in crypts cells (arrowhead). The development time for DAB was generally longer formk/+ and mk/mk (4-6 minutes) than for low-iron diet (3 minutes), indicating that the level of DMT1 expression is stronger in normal mice on low-iron diet than inmk/mk homozygotes.](https://ash.silverchair-cdn.com/ash/content_public/journal/blood/96/12/10.1182_blood.v96.12.3964/5/m_h82300425003.jpeg?Expires=1766122874&Signature=IM75wC8Zgf7LvpjcJL6vsAlP3UD~gHKsm5iPOQVQ02a88cP3V~YcvtxonwSrsG3VrtBR5r3NiWYe2Yq8CSgMtG0WTdqpVEUV5LIqiBGoKMm0Qfc36loFOWvm~et20bMrz3phGqfJPVBDTYKgBSpCA4bv3Q4iwTOPy0wSHnH-0rRfYM1rojMR8WJAhT6pDb5Xnu2S4NqU1gsnSW4~cCsVqEWOBts0HGURAugxlIr2opsiCECvqpEoTwpV1dymgHDcqWpeF~~UE-Gjj2Fu1NjxAAJUM6JRRJPBSmVm8R5MghvhiMOEKyA5MeCrwLPcIUYfhpSFRKqH9UvxutwjWAlKHg__&Key-Pair-Id=APKAIE5G5CRDK6RD3PGA)
![Fig. 4. Subcellular localization of DMT1 in enterocytes from anemic mk/mk mice. / Sections from proximal duodenum (I1) from either wild-type mice on a low-iron diet [+/+ (−Fe); panels A and B] or mk/mk mice (panels C and D) were analyzed for DMT1 expression with a rabbit polyclonal antiserum directed against the amino terminus of DMT1, and examined under high magnification (600 ×, panels A and C; 1000×, panels B and D). Transverse (A and C) and longitudinal (B and D) sections are shown. In iron-depleted +/+ mice (A and B), DMT1 is concentrated at the brush border (arrow) and also detectable in the apical region (arrowhead) of villus enterocytes. Inmk/mk mice (C and D), DMT1 staining is intracellular (arrowhead) and is not (or weakly) detectable at the brush border. In all sections, mucus-secreting goblet cells remain negative (white arrows).](https://ash.silverchair-cdn.com/ash/content_public/journal/blood/96/12/10.1182_blood.v96.12.3964/5/m_h82300425004.jpeg?Expires=1766122874&Signature=ONN9inaZMw5BJuQhbipevClLgyM2l0GFTK0uoqRKxCUK2Or1y8n9zcMiOXmmtQMT8n2ByyapMLdqyd~MeURQJ9ZFzTBciEFOtYjIFDIUm-ulo0PKykoErWFrwT6hErSkNePEm9m5Tr7psZZQYPfL8zguy30gacS9x0x4wT33Bzb5a6hepJB06UDJgD5zECT4rBCecXjH8krdQyTZK4HfDOqcYU-LRv9ziWgdqIY9U8-NM4iFvXzs50wRIKq0nyKqCXb-enusAT~AaA8e2nR3h~gdo-a~REWP5J4MNG340PAVydn2KSuKSvmHn9P9uNY~3Z-nFBnaJChjqzonCB8rZg__&Key-Pair-Id=APKAIE5G5CRDK6RD3PGA)


![Fig. 3. Immunohistochemical staining of DMT1 in the intestine of anemic mk/mk mice. / Tissues were fixed in Bouin solution, embedded in paraffin, and sectioned as described.11 Sections from the proximal duodenum (I1) of wild type mice on low-iron diet [+/+ (−Fe); A, B, and C], heterozygous mk/+ (D, E, and F), and homozygousmk/mk mice (G, H, and I) were immunostained with rabbit polyclonal antisera directed against the amino terminus of DMT1 (DMT1-NT; A, D, and G), or the carboxy terminus of isoform II (non-IRE containing) DMT1 (DMT1-CT; B, E, and H), or biliary glycoprotein 1 (Bgp1; C, F, and I). Sections were stained with DAB, counterstained with methylene blue, and photographed at a magnification of 400 ×. Arrows in (A) show intense DMT1 staining at the brush border (arrows) and intracellularly in the apical region of villus enterocytes (arrowhead). In mk/+ mice (D), DMT1 is not detectable. Inmk/mk mice (G), strong DMT1 staining is apparent in the apical region of villus enterocytes (arrowhead) but not at the brush border. In (C), (F), and (I), arrows identify Bgp1 staining at the brush border (black arrows), in the supranuclear, intracellular region (white arrows) of villus enterocytes as well as in crypts cells (arrowhead). The development time for DAB was generally longer formk/+ and mk/mk (4-6 minutes) than for low-iron diet (3 minutes), indicating that the level of DMT1 expression is stronger in normal mice on low-iron diet than inmk/mk homozygotes.](https://ash.silverchair-cdn.com/ash/content_public/journal/blood/96/12/10.1182_blood.v96.12.3964/5/m_h82300425003.jpeg?Expires=1766212334&Signature=k-qRrgeVzKDVePTIleTmIpY-wOUvWgAmeSPcxZLGKBMRmmzaqlcJ-ZqG5oq-MCMNKG2nd5aIkd5EyVNrvnVXoWRjPKXuaKGx2jhry-RoulfvVe3OyQ3YpUoFU6vLOkOSCypoLBYneBdKN0XVa7V0HTUBHfLbqB10C72I8cv8Nvni8SYwbipNpQ3gL1qGpA6I22Ko7qr0rTR26KEgVA9tEeU~7qiXuEkdyr08-j5Argf1CCjt0~CET3LwndRKzmtm9N0ayJPPntCg1I936uV6dJZpnROGgUoasLuibzFfHOD6HsUiGJiKHwh6jM94UVOMm64iRYVU161xfqS7ECD~7g__&Key-Pair-Id=APKAIE5G5CRDK6RD3PGA)
![Fig. 4. Subcellular localization of DMT1 in enterocytes from anemic mk/mk mice. / Sections from proximal duodenum (I1) from either wild-type mice on a low-iron diet [+/+ (−Fe); panels A and B] or mk/mk mice (panels C and D) were analyzed for DMT1 expression with a rabbit polyclonal antiserum directed against the amino terminus of DMT1, and examined under high magnification (600 ×, panels A and C; 1000×, panels B and D). Transverse (A and C) and longitudinal (B and D) sections are shown. In iron-depleted +/+ mice (A and B), DMT1 is concentrated at the brush border (arrow) and also detectable in the apical region (arrowhead) of villus enterocytes. Inmk/mk mice (C and D), DMT1 staining is intracellular (arrowhead) and is not (or weakly) detectable at the brush border. In all sections, mucus-secreting goblet cells remain negative (white arrows).](https://ash.silverchair-cdn.com/ash/content_public/journal/blood/96/12/10.1182_blood.v96.12.3964/5/m_h82300425004.jpeg?Expires=1766212334&Signature=nRdgOf3JzXqorc~G7rg5ISkTyx44jg5df1R0CSM5SK4gHUEjG7JM5NjsxmClgNOCHxT1ff96~frKeNDn1-CVmVGVF-DJelFSobO3lApLQNQqZcbAtMq7s9i8T6ol6iK0U8k6Om3aTZIKmdv2q3pa8AMspVfnHbKmh99ASkN7Wio3QB~BPLIbCJirEBdoof8Y9Hmb93lnyZIux41VorG8Vc9zjzKFW7FsbfxWcWD4YCUiP2aytvcD8EXu5iYIcsqB5wut22zbKAgGHrgastaoX9wPjh1~COmRmdQUozURFnHGXHccPcbazAuoxCmeFcXKF8f~Z7XM0cQrzEW6~Z7Yrg__&Key-Pair-Id=APKAIE5G5CRDK6RD3PGA)