To the editor:
MAP kinase localizes to the platelet-yielding demarcation membrane system in megakaryocytes
Megakaryopoiesis and increased platelet levels are greatly promoted by the c-Mpl ligand, thrombopoietin (TPO), which binds to the c-Mpl receptor.1 Among the signal transduction pathways emanating from the c-Mpl receptor is the Ras/MEK/MAP kinase pathway.2 MAP kinases (also known as ERK) were originally identified as the microtubule-associatedprotein kinases by virtue of their ability to phosphorylate microtubule-associated proteins.3-5 A recent study by Lecine et al indicated that β-tubulin is an essential component for platelet fragmentation.6
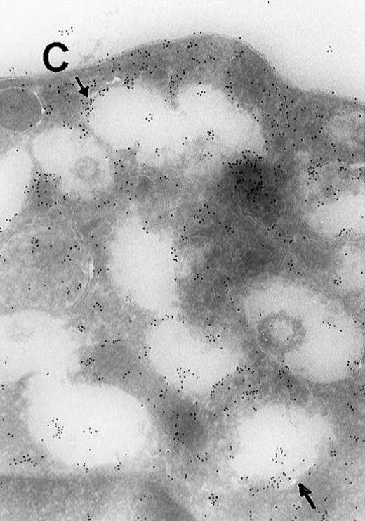
In view of these reports, we determined the cellular localization of MAP kinase in megakaryocytes, with a particular attention to the platelet-yielding demarcation membranes.7As a control, we determined the localization of another TPO-upregulated serine/threonine kinase, Mst1.8 Our current Electron Microscopic (EM) studies, performed as we described before,9 reveal that a significant fraction of MAP kinase, but none of Mst1, localizes to the demarcation membranes. In resting platelets, MAP kinase is found in a cluster pattern associated with the plasma membrane (which is believed to originate from the megakaryocytic demarcation membranes),7 as well as over electron-dense cytoplasmic domains (Figure). In view of our finding that MAP kinase is localized to the demarcation membranes in megakaryocytes, it is of interest to note that this kinase was also shown to be localized in Golgi membranes and involved in their fragmentation during mitosis in a microtubule-dependent manner.10 Platelet fragmentation likely involves the cytoskeleton, and perhaps MAP kinases are also involved in this process.
Immunogold Electron Microscopic assays (performed as described before)9.
(A) Ultrathin frozen sections of rat platelets immunolabeled with antibodies to ERK (magnification ×45 000). (B) Well-developed demarcation membranes in a rat (Wistar), TPO-treated megakaryocyte7 9 immunostained with an antibody to Mst1 (magnification ×48 000), or (C) with an antibody to ERK, which recognizes ERK1 and ERK2 (magnification ×65 400). The arrows point to the demarcation membranes. The Mst1 antiserum (gift of Dr Jonathan Chernoff, Fox Chase Cancer Center, Philadelphia, PA) and anti-ERK2 (K-23) (Santa Cruz Biotechnology, Santa Cruz, CA) or TR2, anti-ERK (gift of Michael Weber, University of Virginia Medical School) were diluted 1:10.
Immunogold Electron Microscopic assays (performed as described before)9.
(A) Ultrathin frozen sections of rat platelets immunolabeled with antibodies to ERK (magnification ×45 000). (B) Well-developed demarcation membranes in a rat (Wistar), TPO-treated megakaryocyte7 9 immunostained with an antibody to Mst1 (magnification ×48 000), or (C) with an antibody to ERK, which recognizes ERK1 and ERK2 (magnification ×65 400). The arrows point to the demarcation membranes. The Mst1 antiserum (gift of Dr Jonathan Chernoff, Fox Chase Cancer Center, Philadelphia, PA) and anti-ERK2 (K-23) (Santa Cruz Biotechnology, Santa Cruz, CA) or TR2, anti-ERK (gift of Michael Weber, University of Virginia Medical School) were diluted 1:10.
Acknowledgments
We thank Dr. Paula Stenberg at the Oregon Health Sciences University for skilful EM analyses. This work was supported by NIHBI grants HL53080 and HL58547 to K.R. K.R. is an established investigator with the American Heart Association.


