Abstract
The expression of protein kinase C (PKC) isozymes in human basophils and the regulation of PKC isozymes during basophil activation by phorbol 12-myristate 13-acetate (PMA) ± ionomycin, f-met-leu-phe (FMLP), and anti-IgE antibody were examined. In human basophils (> 98% purity), PKCβΙ, βΙΙ, δ, and were expressed, PKC was difficult to detect, and PKCγ and η were undetectable. In unstimulated basophils, PKCβI and βII were found primarily in the cytosol fraction (95% ± 3% of total and 98% ± 1%, respectively). Within 5 minutes of stimulation with PMA (100 ng/mL), both PKCβI and βII were translocated to the membrane fraction (85% ± 4% and 83% ± 6%, respectively). In resting cells, 48% ± 3% and 61% ± 10% of PKCδ and , respectively, existed in the membrane fraction. Within 1 minute of stimulation with PMA, 90% ± 6% of PKC was found in the membrane fraction, however, no translocation of PKCδ was apparent. Stimulation with FMLP caused modest translocation (≈20%) of all PKC isozymes by 1 minute, whereas stimulation with anti-IgE antibody led to no detectable changes in PKC location throughout a 15-minute period of measurement. However, concentrations of PMA and ionomycin that alone caused no PKC translocation and little histamine release, together caused significant histamine release but no apparent PKC translocation. Studies with bis-indolylmaleimide analogs showed inhibition of PMA-induced, but not anti–IgE-induced, histamine release. These pharmacological studies suggest that PKC does not play a prodegranulatory role in human basophil IgE-mediated secretion.
© 1998 by The American Society of Hematology.
HUMAN BASOPHILS, AS WELL as human mast cells, express high-affinity IgE receptors (FcεRI) on their cell surface and release a variety of mediators1-3 in response to aggregation of these receptors. Basophils may play an important role in the allergic inflammatory reaction that follows the initial exposure to antigen because it has been shown that these cells infiltrate and secrete their mediators at specific reaction sites in the skin, nose, and lung.4-6 As a participant in these reactions, an understanding of the mechanisms underlying their activation may be useful in future therapies. Although many details of FcεRI-mediated signal transduction have become elucidated for mast cell lines such as the rat basophilic leukemia cell (eg, the RBL-2H3), much less is known about their human counterparts.
In many cell types, protein kinase C (PKC) activation plays a central role in the early stages of signal transduction. It is often found that the coapplication of phorbol esters, which are thought to directly activate PKC enzymes with significant specificity,7 and calcium ionophores leads to functional behaviors that reasonably mimic physiological stimulation. A similar result is found for human mast cells and basophils but with the interesting caveat that phorbol 12-myristate 13-acetate (PMA) alone can induce marked histamine release in human basophils.8 This does not occur in human lung or skin mast cells.9 There are unusual characteristics to this release.8,10 For example, only histamine release results from PMA stimulation, no LTC4 or IL-4 secretion occurs.11,12 Furthermore, the kinetics of release are very slow compared with other natural secretagogues. PMA-induced release occurs in the absence of extracellular calcium and under conditions where intracellular Ca++ is heavily buffered by an intracellular chelator like 1,2-bis(o-Aminophenoxy)ethane-N,N,N′,N′-tetraacetic acid (BAPTA; unpublished results). These observations suggested that the signaling pathway that induces degranulation in human basophils might be regulated by PKC in a different way from that in other cells such as human mast cells and RBL-2H3 cells. However, such results also suggested that histamine release could result from the activation of PKC(s) alone. The amount of histamine release associated with activation of basophils through IgE receptor aggregation, among different preparations of basophils, was found to be correlated to an increase in membrane-bound PKC-like activity.13 These results also suggested that PKC activation may have a role in IgE-mediated histamine release in human basophils.
PKC may also have a role in downregulating cellular responses, and studies in RBL cells support this possibility.14-16 In human basophils, the process of desensitization has been hypothesized to result from the activity of a PKC and recent studies of IL-4 secretion from human basophils also suggest a downregulatory role for PKC. Activation of PKC(s) with PMA is known to inhibit the cytosolic-free Ca++ ([Ca++] i) elevation that follows receptor-mediated stimulation. Multiple roles for PKC are thought to result, in part, from the activity of different isoforms of PKC and studies in RBL cells support this perspective.15-17 At present, 12 different PKC isozymes are known.18-22 They are divided into three major groups: the calcium-dependent or conventional PKC (α, βΙ, βΙΙ, and γ), the calcium-independent or novel PKC (δ, ε, η, θ, and μ), and the atypical PKC (ζ and λ).18-22 Marked differences in tissue distribution exist among the PKC isozymes. PKC α, βΙ, βΙΙ, δ, ε, and ζ have a wide distribution, whereas PKC γ, η, and θ are restricted to one or a few tissues.18 Such differences in distribution suggest a divergence in function between isozymes.23 A role for some of the PKC isozymes in antigen-induced secretion in RBL-2H3 cells has been demonstrated.15-17 It was suggested that antigen-induced secretion was mediated primarily by PKC β and δ and feedback-inhibition of phospholipase C was mediated primarily by PKC α and ε.
The conventional PKC α, βΙ, βΙΙ, and γ contain the putative Ca2+-binding region C2 in the regulatory domain and are Ca2+-responsive and dependent on Ca2+for activity.18,24,25 A role for Ca2+ in the translocation of conventional PKC induced by phorbol esters was indicated by the study of the binding of the kinase to plasma membranes in a cell-free system26 and the study of PKC isozyme translocation induced by calcium ionophore or calcium ionophore plus phorbol esters in intact cells.27 In human basophils, phorbol esters and calcium ionophore operate synergistically such that subeffective concentrations of both stimuli induce significant histamine release.10 As a starting point for understanding the role of PKC in the human basophil response, we have examined which enzymes are present in basophils and characterized the response of the PKC profile to direct stimulation with phorbol esters. This report then explores whether changes in the location of these isozymes can be detected after receptor-mediated stimulation.
Previous studies by our group and others have noted that first generation PKC inhibitors (eg, H7 and staurosporine) inhibit histamine release from human basophils stimulated through the IgE receptor. However, these first generation inhibitors are nonselective, eg, staurosporine was also found to be a potent inhibitor of tyrosine kinases. Because IgE-mediated secretion in basophils is likely to use tyrosine kinases early in the signal transduction cascade, as has been found for RBL cells,28-34 these older studies become ambiguous. One group has also examined a newer PKC inhibitor, calphostin C, and found inhibition of IgE-mediated release.35 To determine whether some PKC isozymes have either a positive or negative role in IgE-mediated secretion, the current studies examine a more recent generation of PKC inhibitors. With the exception of calphostin C, these inhibitors competively bind to the catalytic domain of PKC (presumably competing with ATP). Calphostin C is thought to bind to the regulatory domain, possibly interfering with activation of PKC by diacylglycerols or phorbol esters.
MATERIALS AND METHODS
Reagents.
The following were purchased: piperazine-N,N′-bis-2-ethanesulfonic acid (PIPES), bovine serum albumin (BSA), ethyleneglycoltetrcetic acid (EGTA), ethylenediamine tetraacetic acid (EDTA), D-glucose, human IgG, Phorbol 12-myristate 13-Acetate (PMA), β-mercaptoethanol, NP-40 (Sigma, St Louis, MO); crystallized human serum albumin (HSA) (Miles Laboratories, Elkhart, IN); fetal calf serum (FCS) and RPMI 1640 containing 25 mmol/L HEPES (GIBCO-BRL, Grand Island, NY); Percoll, (Pharmacia, Piscataway, NJ); Tris (hydroxymethyl)-aminomethane, Tween-20 (Bio-Rad, Hercules, CA); leupeptin, dithiothreitol, phenylmethylsulfonyl fluoride (PMSF) (Boehringer Mannheim, Indianapolis, IN); 4α-Phorbol 12-Myristate 13-Acetate (4α-PMA) (LC Laboratories, Woburn, MA); ionomycin (Calbiochem, La Jolla, CA). BPO (benzylpenicilloyl)-human serum albumin (HSA) and BPO-EACA (e-aminocaproic acid) were synthesized as previously described 36 and the antigen gp120(HIV)-OVA (ovalbumin) was the gift of Dr Frances Davis of Tanox, Corp (Houston, TX). Bis-indolylmaleimide I and II, Ro 31-8820, calphostin C and Go-6976 were purchased from Calbiochem.
Antibodies.
Rabbit peptide-specific antibodies (IgG fraction) against PKC βΙ and ε and blocking peptides for these antibodies were from GIBCO-BRL. Rabbit peptide-specific antibodies against α, βΙΙ, δ, η, and ζ and blocking peptides for these antibodies were obtained from Oxford Biomedical Research, Inc (Oxford, MI). The specificity of antibody binding to specific bands on the Western blots was determined by either excluding the primary antibodies or blocking primary antibody binding with the peptides provided by the manufacturer. Two commercial anti-PKC α antibodies were used. They recognize different epitopes corresponding to residues #662-672 (Oxford) of PKC α and #313-326 (GIBCO). Partial genomic analysis has indicated that βΙ and βΙΙ isozymes are derived from a single RNA transcript by alternative splicing and differ from each other only in a short range of about 50 amino acid residues at the C-terminal V5 region.20 The antibodies we used recognized this region of each isozyme. Peroxidase-labeled donkey antirabbit Ig antibody was from Amersham Life Science (Arlington Heights, IL). BPO-specific IgE was purified from the serum of penicillin allergic patients as previously described36 and anti-gp120(HIV) IgE was the gift of Dr Frances Davis of Tanox, Corp.
Buffers and media.
PIPES-albumin-glucose (PAG) buffer contained 25mmol/L PIPES, 110 mmol/L NaCl, 5mmol/L KCl, 0.1% glucose, and 0.003% HSA. PAGCM was PAG supplemented with 1 mmol/L CaCl2 and 1 mmol/L MgCl2. PAG-EGTA was PAG supplemented with 50 nmol/L EGTA. PAG-EDTA was PAG supplemented with 4 mmol/L EDTA. Countercurrent elutriation was conducted in PAG containing 0.25% BSA in place of 0.003% HSA.
Basophil purification.
Basophils were purified from residual cells of normal donors undergoing leukapheresis as previously described.1 The leukocytes were partially purified by Percoll density gradient and by counter-current elutriation. Basophils were placed into culture (RPMI 1640 with 2% FCS and 20 μg/mL gentamycin) for 1 hour after elutriation and one subsequent Percoll separation on a two-step gradient (1.066/1.079). Typically, the last step in the procedure was a two-step Percoll gradient (1.069/1.079) that results in purities greater than 70%. For these studies, purities ranged from 71% to 90% (median = 80% ± 2%) and for the preliminary studies of basophil PKC profile, these cells were used for positive selection using anti-IgE antibody. For the remaining studies, the cells were used without positive selection. To minimize concerns that the positive selection technique might induce changes in the PKC status, the entire procedure was carefully performed below 4°C and the cells were suspended in PAG-EGTA (50 μmol/L). Proteases (calpains) that induce proteolytic degradation of PKC are calcium dependent.37 The cells were incubated for 10 minutes with 1 μg/mL mouse antihuman IgE (TES-19) (provided by Tanox Corp) in the presence of 4 mg/mL normal human IgG to block FcγR.38 After a subsequent 20-minute incubation with rat-antimouse IgG2a+b paramagnetic beads (8 μL per 107cells), the cells were passed through a MACS mini-column (MACS system, Miltenyi Biotec Inc, Sunnyvale, CA). Flow-through cells were collected and the eluted basophil purities were found to be between 98% to 99.4%. Alcian blue staining was used to assess basophil purity.39 Cell viability was determined by trypan blue exclusion.
Stimulation of basophils for Western analysis of PKC.
To examine PKC isozyme translocation, the cell preparations were suspended in PAGCM at a concentration of 1 × 107cells/mL. Appropriate stimuli were added as described in the Results and the cells were incubated at 37°C for the indicated times. The incubations were stopped by a rapid centrifugation and the addition of 4 volumes of ice-cold PAG-EDTA. The cells were then lysed as described below. To examine PKC isozyme downregulation, basophil preparations were suspended in RPMI-1640 supplemented with 2% FCS at a concentration of 5 × 106 cells/mL and incubated with indicated concentrations of PMA for the indicated times. The cells were then harvested by centrifugation and the pellet lysed.
Western blot analysis of whole cell lysates.
High-speed cell pellets (∼14,000 G for 5 to 10 seconds) were resuspended at 2 × 107 cells/mL in lysis buffer (50mmol/L Tris-HCl, pH 7.5, 5 mmol/L EDTA, 10 mmol/L EGTA, 5 mmol/L dithiothreitol, 1% Nonidet P-40, 1 mmol/L PMSF, 20 μg/mL leupeptin, 100 μg/mL aprotinine, 10 mmol/L benzamidine). After 20 seconds of vortexing, the cell lysates were kept on ice for 20 minutes and microfuged for 15 minutes at 4°C. Supernatant was collected as a protein extract containing lysed cell components without nuclei.40 Extracts containing equal numbers of basophils (2 × 105 cell equivalents/lane) were diluted with an equal volume of 2x loading buffer (0.125 mol/L Tris-HCl, pH 6.8, 4% sodium dodecyl sulfate (SDS) 0.005% bromophenol blue, 20% Glycerol) (NOVEX, San Diego, CA) containing 0.05% β-mercaptoethanol, and separated by electrophoresis on 4% to 20% Tris glycine density-gradient gels (NOVEX) (for experiments comparing basophils and contaminating cells from the same preparations, the samples were loaded in adjacent lanes). Gels were then transferred to pure nitrocellulose membrane (Schleicher & Schuell, Keene, NH) by Trans Blot (NOVEX). Electrophoresis and transfers were performed according to the manufacturer’s recommendations. After transfer, membranes were immersed in Tris-buffered saline-Tween (TBST; 50 mmol/L Tris, pH 7.5, 0.15 mol/L NaCl, 0.05% Tween-20) containing 5% nonfat dry skim milk (Carnation, Los Angeles, CA) overnight to block nonspecific binding. Membranes were then washed three times for 5 minutes with TBST. Immunoreactive proteins were detected using the isozyme-specific antibodies that were diluted in TBST containing 1% skim milk as follows: 2 μg/mL for antibodies against βI and ε isozymes; and 1/250 dilution for antibodies against α, βΙΙ, γ, δ, and η. After a 4-hour incubation, membranes were washed with TBST and were incubated with peroxidase-labeled donkey antirabbit Ig antibody for 1 hour. After five 10-minute washes, membrane-bound antirabbit Ig antibody was visualized using enhanced chemiluminescence (ECL) Western blotting detection reagents (Pierce, Rockford, IL), and Hyper-ECL chemiluminescence detection film (Amersham). The ECL films were converted to digital format with a URL digital camera and the images analyzed with NIH Image (Wayne Rasband, NIH).1 These studies were designed to obtain a reasonable estimate of the relative amounts of the PKC isozymes, so the Western blot technique was evaluated for linearity. Serial dilutions of both PKC standards and cell samples were examined and the relative band intensities found to be linear if the ECL development was allowed to proceed for restricted periods of time. These times were optimized for each gel by exposing the films for several different times and the exposure chosen that bracketed the range of band intensities. The comparisons were made on the basis of equal numbers of cells. However, the protein content of these samples was also found to be equal.
Membrane and cytosol preparation of cells.
After stimulation, medium was removed for assay of histamine (see below). Cells were suspended at 2 × 107 cells/mL in ice-cold hypotonic lysis buffer (20 mmol/L Tris-HCl, pH 7.5, 5 mmol/L EDTA, 5 mmol/L EGTA, 5 mmol/L dithiothreitol, 1 mmol/L PMSF, 200 μg/mL leupeptin, 100 μg/mL aprotinine, 10 mmol/L benzamidine). The cell suspension was sonicated 3 times at 5-second bursts by an ultrasonic cell disruptor (Heat System Ultrasonics, Inc, Farmingdale, NY). After centrifugation at 500g for 5 minutes at 4°C to remove unlysed cells and the nuclei, the supernatant was centrifuged at 100,000g for 10 minutes at 4°C. The supernatant was collected as the cytosol preparation (2 × 107 cell equivalent/mL). The pellet was resuspended at 2 × 107cell equivalent/mL of hypotonic lysis buffer containing 1% Nonidet P-40 and sonicated. The samples were subjected to Western blot analysis as described above.
Lactate dehydrogenase (LDH) determination.
To determine the cross-contamination of membrane fractions with residual cytosolic proteins, the two fractions were analyzed for LDH content, which should be a cytosolic marker. LDH was measured with a commercial kit obtained from Sigma. LDH activity in cytosol and membrane fractions was 14.7 ± 0.5 and 0.28 ± 0.12 mU/106 basophils, respectively (n = 2), indicating that very little cytosolic protein (1.9% ± 0.7% of total) contaminated the membrane fraction.
Histamine release and sensitization.
For the pharmacological experiments, basophils were obtained by venipuncture and partially enriched over a single-step Percoll gradient. The cells were challenged and supernatants were harvested for analysis by automated fluorimetry.41 Histamine release is expressed as a ratio of sample to total histamine, obtained by lysis of an equivalent number of cells with perchloric acid, after subtracting spontaneous release. Purified basophils were processed the same way when histamine release data were needed. Calphostin C requires activation by incubation under strong fluorescent lights.42The experiments with calphostin C were performed in a water bath that was covered with two 40-watt fluorescent bulbs. Lighting was used during the preincubation of the cells with the drug as well as during the challenge phase. Preliminary experiments established that this lighting was required for adequate potency. For the data analysis in the pharmacological experiments, the relevant analysis within each experiment required expressing the amount of inhibition as a fraction of the control histamine release (cells treated with equivalent carrier). After expressing the data this way (histamine release from all samples calculated as a fraction of the response of untreated cells to stimulus, expressed as a percentage), the results were averaged for the replicate experiments.
Cytosolic calcium measurements.
Purified basophils were labeled with fura-2AM (1 mmol/L for 25 minutes at 37°C in RPMI-1640 containing 2% FBS and 0.3 mmol/L EDTA), washed once with PAG and kept on ice before loading into a Dvorak-Stotler chamber for observation under the microscope. A field of 30 to 50 cells was monitored by sequential dual excitation, 352 and 380 nm, and ratios of the images were converted to calcium concentrations according to methods and parameters we have previously published.43 Ratio images were acquired every 3 seconds early in the reaction and every 10 seconds later in the reaction. The data were compiled for the average of the 50 to 100 cells under observation. In the plots shown, the stimulus was added at the time point marked zero after obtaining several images before stimulation. Cell perimeters were measured for these fura-2 labeled cells using algorithms previously published.44 45
RESULTS
Expression of PKC isozymes in human basophils.
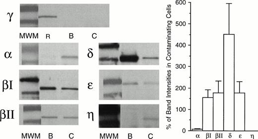
To clarify which PKC isozymes were present in basophils, basophils that were very close to 100% purity were examined; these cells were obtained by positive selection as described in Materials and Methods. These studies included a comparative analysis with the contaminating cells that typically contaminate enriched basophil preparations. Starting with basophil preparations of 70% to 90% and collecting the cells that wash through the magnetized mini-MACs column yields contaminating cells that contain ≤ 1% basophils. The subsequently collected basophils ranged in purity between 98% and 99.4%. The cells were lysed at a density of 20 × 106/mL and the equidense solutions were immunoblotted with antibodies specific for each of the seven isozymes (Fig 1). The basophil data shown in Fig 1 (right) were expressed as a percentage of the contaminating cell band intensities. Both basophils and contaminating cells expressed essentially equivalent levels of PKC βΙ, βΙΙ and ε. PKC δ was expressed at a much higher level in basophils (452% ± 142%) than that observed in contaminating cells. Interestingly, PKC α was barely detectable in these basophil preparations (7% ± 3%) compared with contaminating cells. Two commercial anti-PKC α antibodies yielded similar results. PKC η was undetectable in basophils but was present in contaminating cells. PKC γ was undetectable in both populations of cells. The data are normalized for equal cell numbers but an analysis of the protein content also showed essentially equal levels of protein in the basophil and contaminating cell lysates. To place the relative values in a more general context, we compared the band intensities from one preparation with serial dilutions of PKC isozyme standards. We estimate that PKC δ was present at 100 ng/106 basophils and at 14 ng/106 contaminating cells, and PKC α was present at 26 ng/106 contaminating cells but not detectable in the basophil sample used for this particular quantitative comparison.
Expression of PKC isozymes in basophils and contaminating cells. Basophils (purity: 98% to 99.4%) and contaminating cells (lymphocytes and monocytes) were lysed and subjected to Western blot analysis as described in Material and Methods. (MWM) Molecular weight marker (upper band: 97.4 kD, lower band: 68 kD). (R) Rat brain extract. (B) Human basophils. (C) Contaminating cells (lymphocytes and monocytes). The blots are representative of five experiments for PKC and δ and, three experiments for the other isozymes. The band intensities were quantified by digital imaging. The data are expressed as the amount of each isozyme present in basophils expressed as a percent of the amount in contaminating cells (right panel). The data represent the mean ± SEM.
Expression of PKC isozymes in basophils and contaminating cells. Basophils (purity: 98% to 99.4%) and contaminating cells (lymphocytes and monocytes) were lysed and subjected to Western blot analysis as described in Material and Methods. (MWM) Molecular weight marker (upper band: 97.4 kD, lower band: 68 kD). (R) Rat brain extract. (B) Human basophils. (C) Contaminating cells (lymphocytes and monocytes). The blots are representative of five experiments for PKC and δ and, three experiments for the other isozymes. The band intensities were quantified by digital imaging. The data are expressed as the amount of each isozyme present in basophils expressed as a percent of the amount in contaminating cells (right panel). The data represent the mean ± SEM.
Downregulation of PKC isozymes with overnight PMA treatment.
In many cell types, prolonged treatment with phorbol esters results in depletion of cellular PKC by proteolytic cleavage that follows activation37 and often there is a difference in the susceptibility of the various isozymes to downregulation with phorbol esters.15 18 Purified basophils (purity = 76% ± 3%, n = 4) were cultured for 18 hours with PMA (100 ng/mL) and the cells lysed for Western blots. In one of these experiments, 4- and 18-hour time points were examined. PMA completely downregulated PKC βI and βII by 18 hours and ∼80% downregulation occurred by 4 hours (data not shown). The downregulation of PKC δ and ε was inconsistent after 18 hours and the changes were not statistically significant (76% ± 18% and 73% ± 14% of the 18-hour incubation without PMA for PKC δ and ε, respectively). The cell viability after overnight treatment with or without PMA was 92% ± 3% and 94% ± 1%, respectively (n = 4). As expected, 4α-PMA (an inactive analog) did not induce downregulation of PKC isozymes (data not shown). Marked downregulation of PKC βI and βII also occurred with 1 ng/mL (PKC βI and βII were 10% and 34% of controls, respectively).
Translocation of PKC isozymes with PMA.
Human basophils (purity = 80% ± 3%, n=4) were incubated with or without 100 ng/mL PMA for 15 minutes and the asssociation of PKC isozymes with either membrane or cytosolic cell fractions was examined. In unstimulated cells, PKC βI and βII were present in the cytosol (95% ± 3% of total and 98% ± 1%, respectively) (Fig 2). Fifteen minutes after stimulation, 85% ± 4% of total PKC βI and 82% ± 6% of total PKC were found in the membrane fraction (P < .001 for both βI and βII). It should be pointed out that the summation of membrane and cytosolic PKC band intensities with or without PMA stimulation was not equal. PMA treatment decreased the total (membrane + cytosol) band intensities of PKC βI and βII to 64% ± 10% and 57% ± 5% of control, respectively. However, total PKC δ and ε levels were not affected by PMA (96% ± 11% and 99% ± 27% of control, respectively). These results indicate that the loss of PKC βI and βII did not result from poorer recovery because the total band intensities of PKC δ and ε were not changed. Therefore, some proteolytic cleavage of PKC βI and βII appears to occur within 15 minutes at this high concentration of PMA.
Translocation of PKC isozymes in basophils stimulated with PMA. Basophils (purity = 80% ± 3%, n = 4) were incubated with or without PMA (100 ng/mL) for 15 minutes. The membrane and cytosol fractions were subjected to Western blot analysis and the band intensities were quantified by digital imaging. The top panel shows a representative Western blots from one experiment and the lower panel shows the amount of each isozyme in the cytosol or membrane expressed as a percentage of either component divided by the sum of both components [eg, cytoscol/(cytosol + membrane)]. Data are presented as mean ± SEM for four experiments. * P < .05, ***P < .001 (paired t-test).
Translocation of PKC isozymes in basophils stimulated with PMA. Basophils (purity = 80% ± 3%, n = 4) were incubated with or without PMA (100 ng/mL) for 15 minutes. The membrane and cytosol fractions were subjected to Western blot analysis and the band intensities were quantified by digital imaging. The top panel shows a representative Western blots from one experiment and the lower panel shows the amount of each isozyme in the cytosol or membrane expressed as a percentage of either component divided by the sum of both components [eg, cytoscol/(cytosol + membrane)]. Data are presented as mean ± SEM for four experiments. * P < .05, ***P < .001 (paired t-test).
Compared with PKC βI and βII, a larger fraction of PKC δ (48% ± 3% of total) and ε (61% ± 10%) was located in the membrane fraction of unstimulated cells. Membrane-associated PKC ε increased significantly (P < .05) after treatment with PMA. Similar results were obtained at basophil purities ranging from 75% to 93%, indicating that the small shift was not due to changes occurring only in contaminating cells (a potential consideration given the similar levels of expression for this PKC isozyme). However, translocation of PKC δ was not apparent and any observed changes were not statistically significant. 4α-PMA did not cause translocation of these four isozymes nor did it induce histamine release at 100 ng/mL and 15 minutes of incubation (data not shown). Treatment with 100 ng/mL PMA induced almost complete translocation of PKC ε within 1 minute and translocation of PKC βI and βII within 5 minutes (Fig 3A). As noted previously, histamine release after challenge with PMA is slow (requiring at least 60 minutes to reach 60%8) and the data in Fig 3A reflects this slow release because a 15-minute incubation with 100 ng/mL resulted in marginal histamine release (for the four experiments shown in Fig 2, histamine release was 12% ± 3%). The concentration dependence is shown in Fig 3B and there were minor differences among PKC ε, or βI and PKC βII.
Time course of PKC isozyme translocation after stimulation with PMA and the dose-response curve for PMA. In panel A, basophils were incubated with PMA (100 ng/mL) for the times indicated (n = 1) and in panel B cells were incubated with various concentrations of PMA for 15 minutes (n = 1). The membrane and cytosol fractions were prepared, analyzed by Western blotting, and the bands quantified by digital imaging. The data are expressed as the amount of membrane-associated PKC as a percentage of the summed band intensities for membrane + cytosol. PKC βI (○), βII (•), δ (▪), ε (□), and histamine (▵).
Time course of PKC isozyme translocation after stimulation with PMA and the dose-response curve for PMA. In panel A, basophils were incubated with PMA (100 ng/mL) for the times indicated (n = 1) and in panel B cells were incubated with various concentrations of PMA for 15 minutes (n = 1). The membrane and cytosol fractions were prepared, analyzed by Western blotting, and the bands quantified by digital imaging. The data are expressed as the amount of membrane-associated PKC as a percentage of the summed band intensities for membrane + cytosol. PKC βI (○), βII (•), δ (▪), ε (□), and histamine (▵).
Receptor-mediated PKC translocation.
Figure 4 shows a PKC translocation study of basophils stimulated with FMLP (basophil purity = 73%). There were apparent shifts in location for all four isozymes of PKC. PKC βI showed the greatest translocation whereas there were also smaller shifts in the location of PKC βII, δ and ε . With the exception of PKC ε, the timing of the changes for each of the isozymes was similar. Most notably, PKC βI, βII, and δ did not shift during the first 30 seconds of the reaction, whereas PKC ε showed shifts that occurred more rapidly, measurable changes occurring at the earliest time point tested in this experiment, 30 seconds. In a second FMLP experiment (basophil purity of 81%), no increase in membrane-associated PKC ε was evident after 15 seconds although an increase was evident by 30 seconds as noted in the first experiment. In contrast, human basophils stimulated with an optimal concentration of anti-IgE antibody showed no measurable shifts in any of the PKC isozymes. Figure 5 shows the results from the best case, basophils treated overnight with IL-3 (10 ng/mL) followed by stimulation that led to 71% histamine release, a strong response for an IgE-mediated process. Even under these conditions, no changes were observed. In three experiments where cells were tested with or without the overnight incubation with IL-3 but with lesser secretion, no shifts in the location of the four tested PKC isozymes were observed. The summation of membrane and cytosolic PKC band intensities following either FMLP or anti-IgE did not vary with time, ie, there was no apparent degradation and loss of any of the isozymes after stimulation in this time frame (data not shown).
PKC translocation in basophils stimulated with FMLP. Basophils (purity: 73%) were stimulated with 1 μmol/L FMLP and after the times indicated the cells were harvested, membrane and cytosol fractions were prepared, analyzed by Western blotting, and the bands quantified by digital imaging. The data shows one of two experiments. The data on the lower panel is expressed as the amount of membrane-associated PKC as a percentage of the summed band intensities for membrane + cytosol. PKC βI (○), βII (□), δ (▪), ε (•), and histamine (▴).
PKC translocation in basophils stimulated with FMLP. Basophils (purity: 73%) were stimulated with 1 μmol/L FMLP and after the times indicated the cells were harvested, membrane and cytosol fractions were prepared, analyzed by Western blotting, and the bands quantified by digital imaging. The data shows one of two experiments. The data on the lower panel is expressed as the amount of membrane-associated PKC as a percentage of the summed band intensities for membrane + cytosol. PKC βI (○), βII (□), δ (▪), ε (•), and histamine (▴).
PKC translocation in basophils stimulated with anti-IgE antibody. Basophils (purity of 71%) were stimulated with 0.2 μg/mL of anti-IgE antibody and after the times indicated the cells were harvested, membrane and cytosol fractions were prepared, analyzed by Western blotting and the bands quantified by digital imaging. The results shown in the top half of the figure are from one of three experiments, the one with the highest histamine release (71%), and the bottom half of the figure shows the average of three experiments (average histamine release was 34%).
PKC translocation in basophils stimulated with anti-IgE antibody. Basophils (purity of 71%) were stimulated with 0.2 μg/mL of anti-IgE antibody and after the times indicated the cells were harvested, membrane and cytosol fractions were prepared, analyzed by Western blotting and the bands quantified by digital imaging. The results shown in the top half of the figure are from one of three experiments, the one with the highest histamine release (71%), and the bottom half of the figure shows the average of three experiments (average histamine release was 34%).
From previous studies we have noted that IgE-mediated histamine release results from changes in several early signal transduction events that are quite modest. It has been noted in studies of RBL cells (as well as many other cell types) that the synergistic effect of several early signal transduction events is likely to be responsible for observed levels of antigen-induced secretion. The combination of PMA and a calcium ionophore such as ionomycin is often used to mimic some of this synergism. As noted in the one experiment shown in Fig 3B, 1 ng/ml of PMA did not induce measurable (or marginally measurable) changes in PKC βI or βII location. Figure 6 shows the average results of two experiments in which PKC translocation and histamine release were examined for cells stimulated with 1 ng/mL PMA, 0.1 μg/mL ionomycin or a combination of the two. PMA at 1 ng/mL and ionomycin at 0.1 μg/mL alone caused little histamine release (2% ± 1% and 4% ± 3%, respectively), whereas the combination caused 32% ± 10% histamine release. No translocation of any PKC isozyme was observed under these conditions, including the combination of both PMA and ionomycin. The summation of membrane and cytosolic PKC band intensities did not vary with the conditions, ie, there was no apparent degradation and loss of any of the isozymes under any of the conditions tested for the 15-minute period examined (data not shown).
PKC translocation in basophils stimulated with PMA and/or ionomycin. Basophils (purity: 82% ± 2%, n = 2 ) were incubated with or without PMA (1 ng/mL) and with or without ionomycin (0.1 μg/mL) for 15 minutes. Membrane and cytosol fractions were prepared, analyzed by Western blotting, and the bands quantified by digital imaging. Data are presented as mean ± range for two experiments. Histamine release for these samples is also plotted.
PKC translocation in basophils stimulated with PMA and/or ionomycin. Basophils (purity: 82% ± 2%, n = 2 ) were incubated with or without PMA (1 ng/mL) and with or without ionomycin (0.1 μg/mL) for 15 minutes. Membrane and cytosol fractions were prepared, analyzed by Western blotting, and the bands quantified by digital imaging. Data are presented as mean ± range for two experiments. Histamine release for these samples is also plotted.
Effects of PKC inhibitors on secretion.
Figure 7 summarizes the data for the five different PKC inhibitors tested. PMA induces histamine release from human basophils in the apparent absence of any other costimulus. This provides a useful test of the ability of these five inhibitors to inhibit secretion presumably dependent on the activation of PKC. It can be observed in Fig 7A that all of the inhibitors inhibited PMA-induced release with an IC50 of approximately 100 nmol/L (or ∼400 nmol/L for BIS I [Bis-indolylmaleimide I]). In experiments not shown, it was determined that a 10-minute preincubation with each of these drugs resulted in inhibition that was the same as 40 minutes of preincubation. Figure 7B shows that for four of the inhibitors, there was no inhibition of ionomycin-induced histamine release. Unexpectantly, calphostin C was found to inhibit ionomycin-induced histamine release with an IC50 that was somewhat lower than its IC50 for PMA-induced release. It should be noted that calphostin C also markedly induced histamine release in the absence of any stimulus such that at concentrations of 1 μmol/L, spontaneous release increased to an average of 27% ± 10%. Thus, the apparent inhibition at 1 μmol/L calphostin C was a combination of increased spontaneous release subtracted from stimulus-induced histamine release that was also decreased in absolute magnitude at these higher concentrations. The concentration-dependence of this enhanced spontaneous release was quite steep such that no enhancement was observed at 300 nmol/L calphostin C (data not shown).
Effects of various PKC inhibitors on stimulation of basophil histamine release by PMA (panel A), ionomycin (panel B), anti-IgE antibody (panel C), and FMLP (panel D). In each panel, basophils obtained by single step Percoll (low purity) were first incubated with the inhibitor for 10 minutes before the addition of the stimulus. After a 45-minute challenge the supernatants were harvested for histamine analysis. Each panel represents the average of five experiments for each stimulus, (○) bis-indolylmaleimide I, (•) bis-indolylmaleimide II, (▪) Ro 31-8220, (□) Go 6976, and (⧫) calphostin C. Control release averaged 58%, 73%, 38%, and 32% for PMA (30 ng/mL), ionomycin (0.5 μg/mL), anti-IgE antibody (0.2 μg/mL) and FMLP (1 μmol/L), respectively.
Effects of various PKC inhibitors on stimulation of basophil histamine release by PMA (panel A), ionomycin (panel B), anti-IgE antibody (panel C), and FMLP (panel D). In each panel, basophils obtained by single step Percoll (low purity) were first incubated with the inhibitor for 10 minutes before the addition of the stimulus. After a 45-minute challenge the supernatants were harvested for histamine analysis. Each panel represents the average of five experiments for each stimulus, (○) bis-indolylmaleimide I, (•) bis-indolylmaleimide II, (▪) Ro 31-8220, (□) Go 6976, and (⧫) calphostin C. Control release averaged 58%, 73%, 38%, and 32% for PMA (30 ng/mL), ionomycin (0.5 μg/mL), anti-IgE antibody (0.2 μg/mL) and FMLP (1 μmol/L), respectively.
The indolylmaleimide analogs were also found to inhibit the synergy between PMA and ionomycin. In pilot experiments, basophils were stimulated with serial twofold dilutions of ionomycin (0.0125 μg/mL to 0.4 μg/mL) in the presence or absence of several concentrations of PMA (0.01 ng/mL to 10 ng/mL) to establish the concentration-dependence of the synergism. In these pilot experiments, the ionomycin dose-response curve in the presence of 0.5 ng/mL to 1 ng/mL PMA was midway between the curves found for no PMA and 10 ng/mL of PMA. BIS II, at concentrations of 400 nmol/L, almost completely reversed the synergy observed when using the combination of 0.6 ng/mL of PMA and the serial dilutions of ionomycin (reducing the response of the cells to the levels observed with ionomycin alone) and partially reduced the synergy between 10 ng/mL of PMA and the serial dilutions of ionomycin (data not shown).
Figure 7C and D shows a summary of the data for the five inhibitors in cells stimulated with either anti-IgE antibody or FMLP. The surprising result is that the three indolylmaleimide compounds caused no inhibition of IgE-mediated histamine release. Indeed, there was an inconsistent but sometimes marked enhancement of histamine release with concentrations of BIS II or Ro-31-8220 in the 0.5-10 μmol/L range. This enhancement was not observed across an anti-IgE antibody dose response curve, ie, using a single concentration of Ro-31-8220 (1 μmol/L) and several concentrations of anti-IgE antibody, the Ro compound slightly inhibited supraoptimal concentrations of anti-IgE and slightly enhanced suboptimal concentrations of anti-IgE (data not shown). As noted in Fig 7C, there is also a suggestion that Ro-31-8220 enhanced histamine release somewhat better than noted when BIS II was used, although the variability among donor preparations did not allow statistical significance to be achieved. This difference between Ro-31-8220 and BIS II persisted when cells were stimulated with antigen. The test with antigen differed from a simple dose-response curve. Basophils were sensitized with serial dilutions of anti-gp120-IgE such that in the absence of any drug, histamine release after challenge with an optimal concentration of gp120-OVA conjugate (50 ng/mL), varied from 10% and 60% according to the concentration of IgE used for sensitization (320 ng/mL, 800 ng/mL, 2,000 ng/mL, or 5,000 ng/mL). In cells sensitized with low concentrations of IgE, enhancement with Ro-31-8220 was marked, 2.26- ± 0.37-fold. Although BIS II did result in statistically significant enhancement, the effects were modest (1.5- ± 0.15-fold at the lowest sensitization condition, P = .042; Table 1).
In contrast, both calphostin C and Go-6976 completely inhibited histamine release. Go-6976 inhibited IgE-mediated histamine release with an IC50 that was threefold lower than required for inhibition of PMA-induced release. This observation is readdressed below. All of the five compounds inhibited FMLP-induced histamine release to varying extents although, with the exception of calphostin C, the concentrations required were markedly higher than required for inhibition of PMA-induced release.
The disparity in results with the indolylmaleimide compounds versus Go-6976 suggested a problem with the specificity of Go-6976. We examined whether these compounds had any effect on the IgE-mediated cytosolic calcium response, [Ca++]i. Our expectation was that there would be no inhibition if the compounds were acting in ideal manner, inhibition of PKC only. Figure 8A shows that this held true for BIS II, the kinetic curves for the IgE-mediated [Ca++]i response were very similar in the presence or absence of the compound. In a single experiment not shown, treatment with 2 μmol/L Ro-31-8220 also had no effect on the [Ca++]i response. On the other hand, Go-6976 completely inhibited the IgE-mediated [Ca++]iresponse (Fig 8B). The ability of BIS II to reverse the PMA-induced inhibition of the [Ca++]i elevation that follows stimulation with anti-IgE antibody was also examined. Figure 8C shows that BIS II at 400 nmol/L partially reversed this inhibition and 1 μmol/L BIS II almost completely reversed the inhibition. For these experiments, it was possible to measure another distinct PMA-induced response: PMA induces morphological changes that are manifested as flattening and spreading of the cells. Before the stimulation with anti-IgE antibody in these experiments, cells were incubated ± BIS II for 10 minutes followed by ± PMA for 5 minutes (see Fig 8legend). Both preceeding and following the 5 minutes ± PMA, the cell perimeters were measured. We have previously used this measure to study shape change in basophils.44 45 For a 5-minute incubation, 10 ng/mL of PMA induced modest but consistent changes in the cell perimeters: expressed as a fraction of the starting cell perimeter, the increase averaged 1.45 ± .02 after PMA. Buffer alone for 5 minutes shows a slight increase (due to continued cell attachment) of 1.21 ± .01 whereas pretreatment with BIS II led to a change similar to buffer alone, 1.23 ± .02. For this endpoint, 400 nmol/L BIS II completely reversed the effect of PMA.
Effect of PKC inhibitors on the [Ca++]i response to anti-IgE antibody in basophils. Purified basophils (88% ± 4%) were labeled with fura-2 and analyzed by digital microscopy for changes in [Ca++]i in the presence or absence of the noted drugs. Panel A shows the results for 400 nmol/L bis-indolylmaleimide II and panel B the results for 100 nmol/L Go 6976 where the basophils were stimulated with 0.5 μg/mL anti-IgE antibody (n = 2 for each drug tested). Panel C shows the average results for three experiments in which basophils were incubated with or without 400 nmol/L BIS II for 10 minutes followed by a 5-minute treatment with or without 10 ng/mL PMA and then a stimulation with 0.5 μg/mL anti-IgE antibody. The conditions were (1) neither BIS nor PMA before challenge with anti-IgE antibody, (2) BIS II before incubation with anti-IgE antibody, (3) PMA before anti-IgE antibody, (4) BIS II (400 nmol/L) before PMA that preceeded anti-IgE antibody, and (5) same as 4 but with 1 μmol/L BIS II.
Effect of PKC inhibitors on the [Ca++]i response to anti-IgE antibody in basophils. Purified basophils (88% ± 4%) were labeled with fura-2 and analyzed by digital microscopy for changes in [Ca++]i in the presence or absence of the noted drugs. Panel A shows the results for 400 nmol/L bis-indolylmaleimide II and panel B the results for 100 nmol/L Go 6976 where the basophils were stimulated with 0.5 μg/mL anti-IgE antibody (n = 2 for each drug tested). Panel C shows the average results for three experiments in which basophils were incubated with or without 400 nmol/L BIS II for 10 minutes followed by a 5-minute treatment with or without 10 ng/mL PMA and then a stimulation with 0.5 μg/mL anti-IgE antibody. The conditions were (1) neither BIS nor PMA before challenge with anti-IgE antibody, (2) BIS II before incubation with anti-IgE antibody, (3) PMA before anti-IgE antibody, (4) BIS II (400 nmol/L) before PMA that preceeded anti-IgE antibody, and (5) same as 4 but with 1 μmol/L BIS II.
DISCUSSION
These studies first established the presence or absence of several PKC isozymes in human basophils. PKC α is expressed in many cells,18,19 however, PKC α was barely detectable in human basophils compared with contaminating cells (lymphocytes and monocytes). Basophils expressed only 7% ± 3% of the PKC α in contaminating cells. Studies in human neutrophils and eosinophils48-50 indicate that PKC α is also absent and the authors of these studies suggest that low levels of platelet contamination probably contribute to faint banding sometimes observed for this isozyme. We did not explicitly determine the amount of platelet contamination in our preparations and although it should be quite low given the nature of the preparative technique, there is a possibility that the low level we observed was derived from platelets. Devalia et al48 has suggested that the PKC α isozyme is specifically downregulated during human neutrophil terminal differentiation. A similar process may apply to basophils and eosinophils during their terminal differentiation.
In studies of RBL cells, PKC δ and PKC α appear to have different roles. Washing permeabilized RBL cells resulted in the loss of PKC isozymes and the secretory response to antigen. A full secretory response could be reconstituted by the subsequent addition of PKC β and δ , which suggested that PKC β and δ promoted exocytosis.15 However, these same studies also suggested that PKC α and ε had an inhibitory effect on phospholipid hydrolysis mediated by phospholipase C and probably on exocytosis.16 Therefore, PKC α (and to a lesser extent, ε ) are suggested to downregulate the response whereas PKC δ (and to a lesser extent, β) participates in activating secretion. With this perspective in mind, the ratio of PKC α:PKC δ in basophils (0.041 ± 0.023 based on calibrated mass measurements) is very low and leads to the interesting speculation that the absence of PKC α eliminates a normally strong downregulatory aspect to PMA signaling, resulting in PMA-induced histamine release in human basophils.
Other PKC isozymes such as PKC βΙ, βΙΙ, and ε are ubiquitously expressed.18,19 These three isozymes were expressed in both human basophils and contaminating cells (lymphocytes and monocytes) (Fig 1). Although PKC βs are found in most cells, PKC βΙ and βΙΙ are differentially expressed in many tissues.20,51 Both PKC βΙ and βΙΙ appeared equally expressed in human basophils, as in human neutrophils.49 The band of PKC η in contaminating cells was detectable but appears to be expressed at a low level in these cells because it took a 20-minute exposure (ECL detection) to observe a band. However, it was undetectable in human basophils even after 60-minute exposures. Not surprisingly, PKC γ was undetectable in both basophils and contaminating cells because PKC γ has thus far been found exclusively in the central nervous system.18 19
On a practical level, these data place some constraints on studies of PKC isozymes in human basophils. For example, if PKC α is present in basophils, it is clearly not practical to study at this time. With equal levels of PKC βI, βII, and ε, in basophils and contaminating cells, basophil preparations of greater than 75% should be used, although it would be preferable to use preparations of greater than 90%. With respect to PKC δ, greater than 75% cells should be adequate (less than 6% contribution from contaminants).
In RBL-2H3 cells, antigen-induced secretion was suppressed by a long treatment with PMA. This result indicated a possible contribution for the downregulated PKC isozymes, PKC α and β, in secretion. Overnight treatment of human basophils with PMA caused downregulation of PKC βI and βII. Unfortunately, treatment with phorbol esters also causes histamine release from human basophils 8 so that after overnight treatment with PMA, we could not detect histamine in the treated cells (data not shown). Therefore, we were not able to determine the role of downregulated PKC isozymes in histamine release in human basophils. Studies in progress are examining the ability of these treated cells to release other mediators.
On treatment of these cells with certain stimuli, a redistribution of PKC isozymes can be observed. The biological significance of translocation remains debatable. Translocation to the cellular membrane has been regarded as equivalent to the activation of the respective PKC isozyme, therefore, an examination of translocation provides evidence of which isozymes are involved in certain signal pathway.18However, in various cell types, rather significant portions of certain PKC isozymes are constitutively present in the particulate fraction. This may indicate constitutive activity although in many instances, this seems unlikely. Thus, the role of membrane-associated PKC isozymes in unstimulated cells remains unclear. In our studies of human basophils, PKC βΙ and βΙΙ were mainly found in the cytosol fraction in resting cells, and were nearly completely translocated to the membrane fraction by PMA. These results were also consistent with the results for PKC β in the RBL-2H3 cells,15 Jurkat cells,40 and other cell types.18 However, a larger fraction of PKC δ and ε existed in the membrane fraction in unstimulated basophils compared with PKC β I and β II. Depending on the cell type, PKC δ and ε seem to be differentially distributed within the cells18 with PKC δ and ε often found associated with the particulate fraction.40,52-54 PKC ε in human basophils was translocated to the membrane fraction by PMA. However, translocation of PKC δ was not apparent. These results were consistent with the translocation of PKC δ induced by PMA in Jurkat cells.40 As noted previously, activation of PKC(s) by PMA itself can induce histamine release from human basophils. Therefore, with significant translocation of PKC βΙ, βΙΙ, and ε to the membrane fraction, the results support the involvement of these three isozymes in signals that induce histamine release. However, the involvement of PKC δ remains unclear from this type of study but as noted previously, studies in RBL cells suggest that alterations in PKC phosphorylation occur that may affect function without translocation.55
The absence of translocation for the isozymes studied after IgE-mediated stimulation was surprising. Clearly, it was possible to detect significant changes in PKC βI, βII, ε and even PKC δ after another receptor-dependent event, stimulation with FMLP, although the changes were modest and occurred after histamine release was essentially complete. It has been noted previously that the response to FMLP in these purified basophil preparations is generally more robust than their response to anti-IgE antibody, but no changes were observed even with marked levels of anti-IgE–induced histamine release. However, it is relevant that histamine release could be shown with combinations of ionomycin and PMA that did not result in measurable translocation of any of the PKC isozymes studied. It is plausible that a similar situation occurred after stimulation with anti-IgE antibody. In addition, not all PKC isozymes have been studied in these experiments.
If there is translocation of PKC that we could not measure or there is activation that doesn’t require translocation after stimulation with anti-IgE antibody, PKC inhibitors should inhibit IgE-mediated secretion, as they do in RBL cells.56 However, the pharmacological studies raised the possibility that IgE-mediated histamine release is not dependent on a PKC isozyme, or not by an isozyme known to be inhibited by the indolylmaleimide class of inhibitors. To arrive at this interpretation, we are required to dismiss the results with Go-6976 and calphostin C. This seems justified because it is clear that Go-6976 is inhibiting other kinases (on the basis of the [Ca++]i studies presented here and studies in RBL cells57) and because calphostin C seems to have a multiplicity of effects (including enhancement of spontaneous release) as well as inhibiting ionomycin-induced release (whereas the others do not). It is interesting that the core structure of Go-6976 and staurosporine are similar and have the same effect on the [Ca++]i signal, presumably by inhibiting tyrosine kinases. Also underlying these pharmacological studies is the assumption that PMA-induced histamine release from human basophils reflects the activation of PKC and not some other signaling event (eg, GTPases) and that this non-PKC event is also inhibitable by the indolylmaleimide compounds. However, it should be noted that PMA can be shown to cause other changes in basophils that are thought to be dependent on PKC activation and that are also well inhibited by the indolylmaleimide compounds. We have found five other endpoints of PMA activation: (1) the synergy between PMA and ionomcyin; (2) inhibition of the IgE-mediated calcium elevation; (3) morphological changes; (4) phosphorylation of cPLA258 (which also occurs following stimulation with IL-3, anti-IgE antibody, C5a, or fMLP, but phosphorylation induced by these agents is not inhibitable by the indolylmaleimides); and (5) inhibition of ionomycin-induced IL-4 secretion.59 The first example may simply be a reflection of a signaling event also involved in the induction of histamine release in the presence of PMA alone. However, endpoints 2 and 3 are generally thought to result from PKC activation. The last two endpoints (derived from studies that are presented elsewhere) are also thought to result from the activation of PKC but the evidence remains tentative. In each instance, concentrations up to 1 μmol/L BIS II either completely reversed or nearly reversed the PMA-induced effects. Therefore, the indolylmaleimides appear to be effective inhibitors of PKC-dependent events in basophils and the absence of an inhibitory effect on IgE-mediated release raises questions about the role of PKC in signaling degranulation in these cells. The bis-indolylmaleimide compounds inhibited FMLP-induced histamine release although the concentrations required (≥ 3 μmol/L) raise concerns about their selectivity. It is interesting to note that the changes in PKC isozyme location after FMLP occurred after degranulation was nearly complete. Taken together, these results also raise questions about the role of PKC in FMLP-mediated degranulation.
As noted previously, PKC may have a role in both upregulating and downregulating the activation cascade. Although it seems unlikely that balanced inhibition of both types of function might result in little apparent change in the functional endpoint, histamine release, it is possible the PKC inhibitors had such an effect. At lower levels of response, especially with antigen, the indolylmaleimide inhibitors could significantly enhance histamine release, suggesting that if PKC is regulating release, it may be predominantly active in downregulation rather than activation. In studies to be published elsewhere, the indolylmaleimides were not found to inhibit IgE-mediated desensitization. However, recent studies suggest the downregulation events differ when cells are stimulated in the presence or absence of calcium60 and the ability of the indolylmaleimides to enhance ongoing secretion might be another reflection of the difference between stimulation in the presence or absence of extracellular calcium. Provided that the effect by indolylmaleimides under these conditions was restricted to PKC, the results suggest that PKC may have a downregulatory role under these conditions. Previous studies have suggested that PKC may regulate the duration of the cytosolic calcium response, however, as shown in Fig 8, inhibition of PKC activity with BIS II or Ro-31-8220 did not markedly alter the time course of the calcium response. These results suggest that during IgE-mediated secretion, the negative influence of PKC may operate on an unidentified signal transduction pathway. One distinction between stimulation in the presence or absence of extracellular calcium is a sustained [Ca++]i response. One might speculate that the PKC that is active during normal secretion is calcium dependent. Basophils express little if any PKC α but express easily demonstrable levels of PKC βI and βII, which may be the active components in this calcium-sensitive downregulation. However, in RBL cells, PKC β appears to have an opposite role, promoting secretion, whereas PKC α and ε appear to downregulate secretion.16 17
Previous studies of PKC activation in basophils relied on an ex situ assay of PKC activity. At the time, this type of assay used histone III protein as a target for extracted kinases (cytosol or membrane) and categorized the measured phosphorylating ability of the extracts as PKC if the exclusion of phosphatidylserine and Ca++significantly inhibited the kinase activity. In human basophils13 and PT18 rat mast cells,61IgE-mediated increases in this activity were unusual in that only the membrane component increased, without the usual commensurate decrease in the cytosolic component. Stimulation with FMLP in human basophils62 did lead to an increase in membrane activity with a commensurate decrease in cytosolic activity, more in keeping with the traditional view of PKC translocation. Without measuring a known PKC target protein, the IgE-mediated changes in phosphorylation activity should be interpreted cautiously. In the context of this paper’s results, it is possible that the ex situ phosphorylation previously noted did not result from the activity of a classical PKC isozyme. Alternatively, if the enhancement of mediator release observed with indolylmaleimides indicates inhibition of a PKC activity, the histone phosphorylating activity previously observed might reflect this activation of PKC.
In summary, our in vitro studies show that basophils have a profile of PKC isozymes that differs from lymphocytes/monocytes but is similar to other granulocytes. Most notably, there was a near absence of PKC α, no PKC η, and a strong presence of PKC δ . Translocation of some of these isozymes can be shown after PMA stimulation but not when cells are stimulated with anti-IgE antibody. It is possible that the combined action of [Ca++]i elevations and small levels of translocation that are difficult to detect are sufficient to induce histamine release. However, pharmacological studies raise the possibility that if low level changes in PKC translocation and/or activation occur after stimulation with anti-IgE antibody, they may be insensitive to the indolylmaleimide compounds or not be a dominant component of the pro-degranulatory cascade.
Supported by NIH Grant No. AI20253.
Address reprint requests to Donald W. MacGlashan, Jr, MD, Johns Hopkins Asthma and Allergy Center, 5501 Hopkins Bayview Circle, Baltimore, MD 21224; e-mail: dmacglas@welchlink.welch.jhu.edu.
The publication costs of this article were defrayed in part by page charge payment. This article must therefore be hereby marked "advertisement" is accordance with 18 U.S.C. section 1734 solely to indicate this fact.

![Fig. 2. Translocation of PKC isozymes in basophils stimulated with PMA. Basophils (purity = 80% ± 3%, n = 4) were incubated with or without PMA (100 ng/mL) for 15 minutes. The membrane and cytosol fractions were subjected to Western blot analysis and the band intensities were quantified by digital imaging. The top panel shows a representative Western blots from one experiment and the lower panel shows the amount of each isozyme in the cytosol or membrane expressed as a percentage of either component divided by the sum of both components [eg, cytoscol/(cytosol + membrane)]. Data are presented as mean ± SEM for four experiments. * P < .05, ***P < .001 (paired t-test).](https://ash.silverchair-cdn.com/ash/content_public/journal/blood/92/4/10.1182_blood.v92.4.1206/5/m_blod41601002w.jpeg?Expires=1765571376&Signature=V0goUFFcwH4cs9f~CpIS3a8q2IFEbM7381ZVtt7rEG~EjxSDUSoI6qURmGpgYQQ1U4dHxDq6EgS0kzijplEijbt8rTnkqCTjt7N6uoPWHkeMC86P5j2yBMJ5lNHyBGjwaVj~l5RH1xSezHNCp~BHssPNtkzdEli3PPUL6iEmzl1v7eGdCy-lDDqYPtS1cGcZV~C0~geWfBBD0demuD3A5QT7n~LpTzyFggF29onOrIRrp9bb0aDbJ~IXA~f6EgoplufogoLtcTwjsmY6BeH79ZgKbjV3r5w2rWHcskbead--~hAFXSZ6LmY67GyPWnZUxT1i8DKKga~gxCcUsY1-FQ__&Key-Pair-Id=APKAIE5G5CRDK6RD3PGA)





![Fig. 8. Effect of PKC inhibitors on the [Ca++]i response to anti-IgE antibody in basophils. Purified basophils (88% ± 4%) were labeled with fura-2 and analyzed by digital microscopy for changes in [Ca++]i in the presence or absence of the noted drugs. Panel A shows the results for 400 nmol/L bis-indolylmaleimide II and panel B the results for 100 nmol/L Go 6976 where the basophils were stimulated with 0.5 μg/mL anti-IgE antibody (n = 2 for each drug tested). Panel C shows the average results for three experiments in which basophils were incubated with or without 400 nmol/L BIS II for 10 minutes followed by a 5-minute treatment with or without 10 ng/mL PMA and then a stimulation with 0.5 μg/mL anti-IgE antibody. The conditions were (1) neither BIS nor PMA before challenge with anti-IgE antibody, (2) BIS II before incubation with anti-IgE antibody, (3) PMA before anti-IgE antibody, (4) BIS II (400 nmol/L) before PMA that preceeded anti-IgE antibody, and (5) same as 4 but with 1 μmol/L BIS II.](https://ash.silverchair-cdn.com/ash/content_public/journal/blood/92/4/10.1182_blood.v92.4.1206/5/m_blod41601008x.jpeg?Expires=1765571376&Signature=GsKBjedOnlmMP38ZtyzRoBusWX4G2xpRar9dw2ynU3Alyu9lTS3e9TXErICz5VnBGC-yUWp7j0rS4yPiRQvAiTF7zBsJxyyxbDUfRQ2ADGf5xoCd4o9mJpptfT2wGJLHXM2hZT2nAl03~a7-zVqJ1dCpMiXseRrRx13r-zwRdta2OyGNfEDfwmw3AU3Z5q-GPSGrVnBDb8A2lWFdY8QoXwMRHuOXYl8D5s3vUMYowswKPWgTSEswenDbPbnKiSM2WOCfdPqpnxIWupXioyURBHrpVhDoJsOupnQC5X7uTsCOYE2-WyutmLXD47OUd3Ala8cSBLn-mq-W038X9mrZOQ__&Key-Pair-Id=APKAIE5G5CRDK6RD3PGA)