Abstract
For many in vivo gene therapy clinical applications, it is desirable to control the expression of the transferred transgene using pharmacologic agents. To evaluate the feasibility of accomplishing this using corticosteroids, pharmacologic agents widely used in clinical medicine, we constructed replication deficient adenoviral (Ad) vectors containing an expression cassette with a chimeric promoter comprised of five glucocorticoid response elements (GRE) and the chloramphenicol acetyltransferase reporter gene (AdGRE.CAT) or the murine thrombopoietin cDNA (AdGRE.mTPO). In vitro studies showed the vectors functioned as expected, with marked glucocorticoid-induced upregulation of the CAT or mTPO transgenes. To evaluate the inducibility of the GRE promoter in vivo, the AdGRE.CAT vector was administered intravenously to C57B1/6 mice, and CAT activity was quantified in liver before and after intraperitoneal administration of dexamethasone. The GRE promoter activity was dependent on the dexamethasone dose, with a 100-fold increase in CAT expression with 50 μg dexamethasone, similar to the levels observed in vivo with the Rous sarcoma virus long terminal repeat constitutive promoter. After dexamethasone administration, maximum CAT activity was observed at day 2, with a slow decline to baseline levels by 2 weeks. Based on these observations, we hypothesized that a single administration of an Ad vector-mediated transfer of the chimeric GRE inducible promoter driving the mTPO cDNA would enable repetitive administration of corticosteroids to repetitively upregulate platelet levels for 1 to 2 weeks. The data show that this occurs, with dexamethasone administration every 3 weeks associated with 1-week elevations (at each 3-week interval) of serum mTPO levels, megakaryocyte numbers in bone marrow, and platelet levels fourfold to sixfold over baseline. Thus, with the appropriate promoter, it is possible to use a commonly used pharmacologic agent to upregulate the expression of a newly transferred gene on demand.
© 1998 by The American Society of Hematology.
THE SUCCESSFUL application of in vivo gene transfer technology to treat human disease requires the ability to transfer the gene of interest to a specific organ without significant toxicity, and to express the transferred gene at the level, and for the duration, required by the clinical problem. One strategy to control the expression of this newly transferred gene is to transfer the gene in the context of an expression cassette with a promoter that can be regulated by exogenous agents.1 Examples of inducible promoters that have been evaluated in the context of in vivo gene transfer include the metallothionein promoter,2,3 the tetracycline-responsive promoter,4-6 a chimeric promoter with multiple cyclic adenosine monophosphate (cAMP) response elements superimposed on a minimal fragment of the 5′-flanking region of the cystic fibrosis transmembrane conductance regulator (CFTR) gene,7,8 a chimera of the thymidine kinase promoter and the thyroid hormone/retinoic acid-response element,9 complement factor 3 and serum amyloid A3 promoters responsive to inflammatory stimuli,10 and the EGR1 promoter responsive to radiation.11
The focus of this study is to evaluate the hypothesis that transfer of expression cassettes containing a chimeric promoter with multiple glucocorticoid response elements (GRE)12 driving a transgene will function in vivo in the liver to upregulate expression of the transgene following administration of corticosteroids. To evaluate this concept, we have constructed adenovirus (Ad) gene transfer vectors with multiple GRE12 driving a reporter gene (chloramphenicol acetyl transferase [CAT])13 or the murine thrombopoietin cDNA (mTPO, the megakaryocyte growth and maturation factor that stimulates thrombopoiesis14-17), and used the Ad vectors to transfer these chimeric cassettes to the liver of C57B1/6 mice. The data show that the expression cassettes are responsive in vivo to systemically administered dexamethasone in a dose-dependent fashion, but with little if any expression without administration of dexamethasone. As a functional demonstration of this strategy, with the mTPO cDNA in the expression cassette, intermittent administration of dexamethasone to the mice is associated with intermittent elevation of murine TPO levels in serum, numbers of megakaryocyte in bone marrow, and blood platelet levels.
MATERIALS AND METHODS
Construction of replication-deficient adenovirus vectors.
Plasmids used for recombination with the adenovirus type 5 (Ad5) backbone were prepared by inserting the expression cassette containing the chimeric promoter described by Mader and White12 using five GRE from the rat tyrosine aminotransferase gene18 in tandem with the insertion of adenovirus 2 major late promoter (Ad2MLP) TATA box/initiation site (referred to as the “GRE promoter”) and a reporter gene (CAT gene13 or the mTPO cDNA [courtesy of D. Eaton, Genentech, South San Francisco, CA]14-17) into pCMV.SV2+19 after removing the cytomegalovirus (CMV) early promoter/enhancer from the plasmid (Fig1). The replication-deficient Ad vectors AdGRE.CAT and AdGRE.mTPO were generated by cotransfecting the plasmids and the pJM17 Ad5-based backbone20 into the 293 embryonic kidney cell line (HEK 293, CRL1573; American Type Culture Collection [ATCC], Rockville, MD), grown in improved Eagle's minimum essential media (Biofluids, Rockville, MD) containing 10% fetal bovine serum, 2 mmol/L glutamine, 50 U/mL penicillin, and 50 μg/mL streptomycin. Two vectors were used as a positive control, the AdRSV.CAT vector, containing CAT gene controlled by the Rous sarcoma virus long terminal repeat (RSV-LTR) promoter.21 The AdNull vector containing the CMV promoter22 but no transgene in the expression cassette was used as a negative control.23 All of the Ad vectors were purified by cesium chloride density gradient ultracentrifugation, and the titers of the virus stocks were determined by plaque-forming assay on 293 cells.24-26
Schematic representation of the expression cassette including the chimeric GRE promoter with the CAT gene or mTPO cDNA as reporter genes. The chimeric promoter includes five GRE from the rat tyrosine aminotransferase gene inserted upstream of the adenovirus-2 major late promoter (Ad2MLP).12 The SV40 polyA stop signal follows the reporter genes.
Schematic representation of the expression cassette including the chimeric GRE promoter with the CAT gene or mTPO cDNA as reporter genes. The chimeric promoter includes five GRE from the rat tyrosine aminotransferase gene inserted upstream of the adenovirus-2 major late promoter (Ad2MLP).12 The SV40 polyA stop signal follows the reporter genes.
In vitro evaluation of AdGRE.CAT.
To evaluate the time-dependent response of the GRE promoter in the context of an Ad vector to the addition of dexamethasone in vitro, HeLa cells (105/well) were incubated in Dulbecco's modified Eagle's medium (GIBCO-BRL, Grand Island, NY) containing 10% fetal bovine serum, and infected with the AdGRE.CAT or AdRSV.CAT at a multiplicity of infection (moi) of 25 for 90 minutes. After 24 hours, the cells were incubated with or without dexamethasone (25 nmol/L; Sigma, St Louis, MO) for 1 to 48 hours. The promoter function was assessed by measuring CAT activity27 and standardized by total cellular protein concentration (BCA protein assay; Pierce Chemical, Rockford, IL).
To demonstrate that the modulation of the chimeric GRE promoter by dexamethasone was mediated via the glucocorticoid receptor, HeLa cells (105/well) were infected with AdGRE.CAT (25 moi) and, after 24 hours, the cells were incubated with various concentrations of glucocorticoid receptor antagonist, mifepristone (RU486, 10−7 to 10−5 mol/L; BIOMOL, Plymouth Meeting, PA), and dexamethasone (25 nmol/L). Parallel studies were performed with HeLa cells (105/well) infected with AdGRE.CAT (25 moi) and, 24 hours later, incubated with: (1) dexamethsone (25 nmol/L), and then after 6 hours with RU486 (10−5 mol/L) for an additional 18 hours; or (2) RU468 (10−5 mol/L), and then after 6 hours with dexamethasone (25 nmol/L) for an additional 18 hours. The promoter function was assessed by measuring CAT activity and standardized by total protein concentration.
Experimental animals.
C57B1/6 mice (6 to 10 weeks of age) were from Charles River Laboratories (Wilmington, MA). The age, sex, and body weight (>20 g) of mice were matched for each experiment. Each experiment included at least three animals for each data point.
In vivo evaluation of AdGRE.CAT.
To quantify the dose response of the AdGRE.CAT vector to dexamethasone in vivo, AdGRE.CAT (108, 5 × 108, 109 plaque-forming units [pfu]) was administered intravenously to C57B1/6 mice in 100 μL phosphate-buffered saline (PBS), pH 7.4. To activate the GRE promoter, the animals were treated (24 hours after Ad vector administration) with a single dose of 50 μg dexamethasone intraperitoneally. Based on the knowledge that intravenous administration of Ad vectors is associated with more than 90% of the vector genome transferred to the liver,28,29 we focused the analysis on liver. Two days after vector administration, the liver was removed, and homogenized and centrifuged to remove debris. CAT activity was measured as described by Neumann et al,27 and values were reported after standardization to total protein concentration.
To evaluate the dose response of dexamethasone to AdGRE.CAT-mediated gene expression, C57B1/6 mice were treated with various doses of dexamethasone (1 to 500 μg) intraperitoneally 24 hours after intravenous administration of AdGRE.CAT (5 × 108 pfu). Two days after vector administration, CAT activity in the liver was quantified and standardized to total protein concentration.
To examine the time-dependent response of the GRE promoter to dexamethasone in the liver, the AdGRE.CAT vector (5 × 108 pfu) or AdRSV.CAT (as a positive control vector, 5 × 108 pfu) was administered intravenously to C57B1/6, mice and 24 hours later 50 μg dexamethasone was administered intraperitoneally. CAT activity in the liver, standardized to total protein concentration, was evaluated before and 1 to 14 days after Ad vector administration.
To quantify the time response of the GRE promoter to repeated administration of dexamethasone, the AdGRE.CAT vector (5 × 108 pfu) was administered intravenously to C57B1/6 mice and dexamethasone was administered intraperitoneally (50 μg/d) either 1 day or up to 6 days after Ad vector administration. CAT activity in the liver, referenced to total protein concentration, was evaluated before and 1 to 14 days after Ad vector administration.
In vitro evaluation of AdGRE.mTPO.
To evaluate the upregulation of the mTPO cDNA in the GRE.mTPO cassette transferred to HeLa cells by the AdGRE.mTPO vector, HeLa cells were infected (90 minutes, 37°C) in a serum-free medium with AdGRE.mTPO, at moi of 5 or 25. After 24 hours, 25 nmol/L dexamethasone was added to the culture medium to stimulate the GRE promoter. To access the upregulation of mTPO at the mRNA level, total RNA (10 μg) was isolated using guanidine isothiocyanate phenol-chloroform extraction,30 separated on a 1% agarose gel containing 2.2 mol/L formaldehyde, transferred to a nylon membrane (NYTRAN; Schleicher & Schuell, Keene, NH), and hybridized with a 32P-labeled mTPO cDNA probe and a glyceroaldehyde-3-phosphate dehydrogenase (GAPDH) cDNA probe31 (as an internal control) prepared by random priming and evaluated by autoradiography.32 To access the upregulation of mTPO at the protein level, Western blotting was performed by infecting HeLa cells with AdGRE.mTPO (25 moi), AdNull (25 moi), or AdCMV.mTPO (5 moi). After 24 hours, the cells were incubated with dexamethasone (25 nmol/L) or without dexamethasone for an additional 24 hours. Cells were lysed in 100 mmol/L Tris-HCl, pH 7.5, 75 mmol/L NaCl, 1% Triton X-100, 0.1% sodium dodecyl sulfate (SDS), 20 mmol/L EDTA, 0.1% phenylmethylsulfonyl fluoride (Sigma), and 1 μg/mL aprotinin (Sigma). Total protein (50 μg per lane) was separated on 10% SDS-polyacrylamide gels, transferred to nitrocellulose membrane (BIORAD, Hercules, CA), and incubated with a goat anti-mTPO antibody (R&D, Minneapolis, MN) at a 1:1,000 dilution. Alkaline phosphatase-conjugated swine anti-goat secondary antibody (Boehringer Mannheim, Indianapolis, IN) was used at 1:1,000 dilution and developed with nitroblue tetrazolium and 5-bromo-4-chloro-3-indolyl phosphate (BIORAD).
In vivo evaluation of AdGRE.mTPO.
Preliminary evaluation of the in vivo response of the inducible GRE promoter to dexamethasone was performed by administering the AdGRE.mTPO (5 × 108) vector intravenously to C57B1/6 mice and dexamethasone (50 μg/d) intraperitoneally on 1 to 3 successive days. As a negative control, AdNull (109 pfu) was administered intravenously to C57B1/6 mice with or without dexamethasone (50 μg/d; at 1 to 3 days after Ad vector administration). Platelet levels were determined in blood samples drawn from the tail vein with a capillary pipette (Unopette; Fisher Scientific, Springfield, MA) using a Neubauer hemocytometer (Fisher Scientific) 4 to 22 days after Ad vector administration.
Repeated in vivo upregulation of the GRE promoter in the AdGRE.mTPO by dexamethasone.
To examine the ability of repeated administration of dexamethasone to repetitively upregulate the GRE promoter after one-time administration of the AdGRE.mTPO vector, the AdGRE.mTPO vector (5 × 108 pfu) was administered intravenously to C57B1/6 mice and dexamethasone (50 μg/d) was administered intraperitoneally on 3 consecutive days starting at days 1, 22, and 43. The animals were then assessed for the amount of Ad genome DNA in liver, anti-Ad vector cytotoxic T-lymphocytes (CTL) and anti-Ad neutralizing antibodies, mTPO concentration in serum, megakaryocyte number in bone marrow, and the level of blood platelets before and at various times 1 to 64 days after vector administration.
To quantify the amount of AdGRE.mTPO Ad genome DNA in the liver over time, total genomic DNA was extracted from the liver by homogenizing in 3 mL lysis buffer (20 mmol/L Tris-HCl, pH 7.5, 600 mmol/L NaCl, 1% SDS, 10 mmol/L EDTA, 200 μg/mL proteinase K [Boehringer-Mannheim]). DNA was digested with HindIII, subjected to agarose gel electrophoresis, transferred to a nylon membrane (NYTRAN), and hybridized with a 32P-labeled Ad5 E4 cDNA probe, as described by Worgall et al.29 The relative amount of Ad genome was quantified by phosphorimager (Molecular Dynamics, Sunnyvale, CA).
To evaluate for the presence of CTL against AdGRE.mTPO, splenocytes were isolated from animals 43 days after administration of AdGRE.mTPO, mixed with irradiated syngeneic C57SV cells infected with AdGRE.mTPO (cell density 6 × 106 cells/mL), and cultured for 5 days.33 The 51Cr assay was performed as described previously.34 Briefly, the in vitro stimulated splenocytes were incubated 4 hours with 51Cr-labeled syngeneic C57SV target cells (104, uninfected or infected with AdGRE.mTPO, or AdNull) at an effector/target ratio of 6, 20, and 60. The percent specific cytotoxicity was calculated as: % Specific Lysis = (Mean dpm of Test 51Cr Release − Mean dpm of Spontaneous 51Cr Release) × 100/(Mean dpm of Maximum Isotope Release − Mean dpm of Spontaneous51Cr Release).
To quantify the humoral immune response directed toward intravenously administered AdGRE.mTPO vector after dexamethasone administration, serum samples were obtained from animals before and 22 to 64 days after Ad administration. Serum anti-Ad neutralizing antibodies were measured by evaluating the ability of the serum to prevent infection of A549 cells (human lung carcinoma cell line, CCL 185; ATCC) by wild-type adenovirus type 5 (Ad5) as previously described.35 The A549 cells were seeded in 96-well plates (Falcon 3072; Becton Dickinson, Lincoln Park, NJ) at a density of 3 × 104 cells/well. Serum samples were diluted serially and added in twofold serial dilution to a 96-well plate. Ad5 (1 moi) was added, and the plates were incubated for 1 hour at 37°C. The mixture was then added to the A549 cells, and the cells were incubated until the serum free-control wells exhibited greater than 95% cytopathic effect (typically 5 to 8 days). The neutralizing antibody titer (per 4.5 μL serum) was calculated at the product of the reciprocal of the initial dilution times the reciprocal of the dilution in the last well showing greater than 95% cytopathic effect.
The mTPO concentration in serum samples was determined in a double-sandwich enzyme-linked immunosorbent assay (ELISA; mouse TPO immunoassay kit, R&D) following the protocol provided by the manufacturer. To evaluate the number of megakaryocytes in the bone marrow, femurs were removed from mice, fixed in 4% paraformaldehyde in PBS, and stained with hematoxylin and eosin. The number of megakaryocytes in bone marrow was evaluated as number of cells/high power field. Platelet number was evaluated by counting as described above.
Statistical analysis.
The results are expressed as mean ± standard error of the mean. Statistical comparisons were made using the unpaired two-tailed Student's t-test, unless otherwise noted.
RESULTS
In vitro evaluation of the AdGRE.CAT vector.
Consistent with the previous observations that the transient or stable transfection of the plasmid containing the GRE promoter with a CAT reporter gene provides a low level of basal level of gene expression in HeLa cells in vitro that can be upregulated with dexamethasone,12 transfer of the GRE promoter CAT expression cassette into HeLa cells using the AdGRE.CAT adenovirus vector demonstrated a low basal level of CAT reporter gene expression that was markedly upregulated induced by the addition of dexamethasone (Fig 2). Transfer to HeLa cells of the highly active RSV promoter-CAT expression cassette with the AdRSV.CAT vector resulted in high levels of CAT expression, but with little increase with the addition of dexamethasone (+dexamethasone vno dexamethasone, P > .05 for 1, 6, and 24 hours after dexamethasone addition, threefold increase at 48 hours,P < .03; Fig 2A). In marked contrast, dexamethasone was required to achieve high levels of CAT activity following transfer of the GRE.CAT expression cassette at all time points more than 1 hour after dexamethasone addition (1 hour, P > .1; 6 hours, 17-fold increase, P < .0003; 24 hours, 75-fold increase,P < .0007; 48 hours, 85-fold increase,P < .002; Fig 2B). In contrast to the increase with the addition of dexamethasone, the expression of CAT was minimally increased from 1 to 48 hours without dexamethasone (fivefold,P < .02). Importantly, the level of CAT expression achieved at 48 hours with the AdGRE.CAT vector plus dexamethasone was similar to that achieved with AdRSV.CAT and dexamethasone (P > .5). Thus, the AdGRE.CAT vector expressed at low levels of the reporter gene, with little “leak” of expression over 48 hours, but with marked (85-fold) upregulation at 48 hours with dexamethasone, achieving the same levels as a highly active, constitutive viral promoter.
AdGRE.CAT-mediated in vitro time course of CAT activity in HeLa cells upregulated by dexamethasone (Dex). (A) HeLa cells infected with AdRSV.CAT (25 moi), a control vector driven by the RSV-LTR constitutive promoter. (B) HeLa cells infected with AdGRE.CAT (25 moi). For both panels, after 24 hours, cells were incubated with or without dexamethasone (25 nmol/L) for an additional 1 to 48 hours, and CAT activity was quantified relative to total protein concentration. Shown are data for AdRSV.CAT with dexamethasone (▴) or without dexamethasone (▵); and for AdGRE.CAT infection with dexamethasone (•) or without dexamethasone (○). The data are presented as mean ± SEM of three independent experiments.
AdGRE.CAT-mediated in vitro time course of CAT activity in HeLa cells upregulated by dexamethasone (Dex). (A) HeLa cells infected with AdRSV.CAT (25 moi), a control vector driven by the RSV-LTR constitutive promoter. (B) HeLa cells infected with AdGRE.CAT (25 moi). For both panels, after 24 hours, cells were incubated with or without dexamethasone (25 nmol/L) for an additional 1 to 48 hours, and CAT activity was quantified relative to total protein concentration. Shown are data for AdRSV.CAT with dexamethasone (▴) or without dexamethasone (▵); and for AdGRE.CAT infection with dexamethasone (•) or without dexamethasone (○). The data are presented as mean ± SEM of three independent experiments.
To show that the upregulation of this GRE promoter was mediated by the glucocorticoid receptor, we examined the inhibitory effect of the glucocorticoid receptor antagonist RU486 on AdGRE.CAT-mediated gene expression in vitro. The addition of RU486 led to a dose-dependent inhibition of dexamethasone-stimulated CAT activity in HeLa cells (P < .002, all doses of RU486 compared with no RU486 but with dexamethasone, Fig 3A). When RU486 was added to HeLa cells in vitro after 6 hours of incubation with dexamethasone, there was some inhibition of CAT activity (compared with dexamethasone with added RU486 simultaneously, panel A,P < .0004), but the inhibitory effect of RU486 was far more if added 6 hours before dexamethasone (compared with dexamethasone added first, P < .0001; compared with dexamethasone added simultaneously, P > .2) (Fig 3B). These data are consistent with the hypothesis that activation of GRE promoter of AdGRE.CAT vector by dexamethasone occurs via the glucocorticoid receptor.
Effect of the glucocorticoid receptor antagonist RU486 on GRE promoter activity after AdGRE.CAT infection of HeLa cells in vitro. The cells were incubated with the AdGRE.CAT vector (25 moi) for 24 hours to transfer the GRE.CAT expression cassette, followed by the addition of dexamethasone (Dex) and RU486 as indicated. (A) Effect of dexamethasone and RU486 added together. Twenty-four hours after infection with AdGRE.CAT, dexamethasone (25 nmol/L) and various concentrations of RU486 (10−7 to 10−5mol/L) were added together, and the incubation continued for 24 hours. Shown are data for CAT activity with dexamethasone (•) or without dexamethasone (○). (B) Effect of dexamethasone or RU486 added in series. Twenty-four hours after vector administration, the cells were pre-incubated for 6 hours with dexamethasone, then with RU486 for an additional 18 hours. Parallel cultures were evaluated in reverse order (RU486 for 6 hours and then dexamethasone for an additional 18 hours). Shown is CAT activity at the end of the incubation. The results are expressed as the mean ± SEM of three experiments.
Effect of the glucocorticoid receptor antagonist RU486 on GRE promoter activity after AdGRE.CAT infection of HeLa cells in vitro. The cells were incubated with the AdGRE.CAT vector (25 moi) for 24 hours to transfer the GRE.CAT expression cassette, followed by the addition of dexamethasone (Dex) and RU486 as indicated. (A) Effect of dexamethasone and RU486 added together. Twenty-four hours after infection with AdGRE.CAT, dexamethasone (25 nmol/L) and various concentrations of RU486 (10−7 to 10−5mol/L) were added together, and the incubation continued for 24 hours. Shown are data for CAT activity with dexamethasone (•) or without dexamethasone (○). (B) Effect of dexamethasone or RU486 added in series. Twenty-four hours after vector administration, the cells were pre-incubated for 6 hours with dexamethasone, then with RU486 for an additional 18 hours. Parallel cultures were evaluated in reverse order (RU486 for 6 hours and then dexamethasone for an additional 18 hours). Shown is CAT activity at the end of the incubation. The results are expressed as the mean ± SEM of three experiments.
In vivo evaluation of AdGRE.CAT.
Based on the knowledge that Ad-mediated gene transfer to the liver can be efficiently achieved by the intravenous route of vector administration,28 29 the responsiveness of the GRE promoter to dexamethasone was evaluated after administration of the Ad CAT-expressing vectors via the intravenous route to C57B1/6 mice. Consistent with the data obtained from in vitro Ad transfection of HeLa cells, CAT activity of the liver following intravenous administration of AdGRE.CAT was upregulated by dexamethasone (50 μg) with vector doses of 5 × 108 pfu (41-fold, P < .000006, comparison to no dexamethasone treatment) and 109 pfu (fivefold, P < .000005, comparison to no dexamethasone at 109 pfu), but not at 108 pfu (P > .3; Fig 4A). Since 109 pfu Ad administration without dexamethasone provides a higher level of basal level of gene expression compared with 5 × 108 pfu, but no additional advantage in the presence of dexamethasone, 5 × 108 pfu of the Ad vector was used in subsequent experiments.
In vivo upregulation of CAT activity in the liver by dexamethasone (Dex) after intravenous administration of the AdGRE.CAT vector to C57B1/6 mice. (A) Dexamethasone-induced expression of CAT as a function of vector dose. The AdGRE.CAT vector (108, 5 × 108 or 109 pfu) was administered intravenously to C57B1/6 mice and 24 hours later, dexamethasone (50 μg) was administered intraperitoneally. (B) Expression of CAT as a function of dexamethasone dose. The AdGRE.CAT vector (5 × 108 pfu) was administered intravenously to C57B1/6 mice, and 24 hours later various doses of dexamethasone (1, 5, 10, 50, 100, 500 μg) were administered intraperitoneally. Two days later, CAT activity was quantified in the liver. Shown are data for AdGRE.CAT infection with dexamethasone (•) or without dexamethasone (○). The data are presented as mean ± SEM of three experiments.
In vivo upregulation of CAT activity in the liver by dexamethasone (Dex) after intravenous administration of the AdGRE.CAT vector to C57B1/6 mice. (A) Dexamethasone-induced expression of CAT as a function of vector dose. The AdGRE.CAT vector (108, 5 × 108 or 109 pfu) was administered intravenously to C57B1/6 mice and 24 hours later, dexamethasone (50 μg) was administered intraperitoneally. (B) Expression of CAT as a function of dexamethasone dose. The AdGRE.CAT vector (5 × 108 pfu) was administered intravenously to C57B1/6 mice, and 24 hours later various doses of dexamethasone (1, 5, 10, 50, 100, 500 μg) were administered intraperitoneally. Two days later, CAT activity was quantified in the liver. Shown are data for AdGRE.CAT infection with dexamethasone (•) or without dexamethasone (○). The data are presented as mean ± SEM of three experiments.
Evaluation of the dose dependency of the GRE promoter-mediated CAT reporter activity with various amounts of dexamethasone (0 to 500 μg) in vivo showed that the CAT activity in the liver of C57B1/6 mice after AdGRE.CAT (5 × 108 pfu) administration increased with doses of 1 to 50 μg dexamethasone, and reached a plateau with 50 to 500 μg dexamethasone, with the plateau 93-fold greater than no dexamethasone (P < .02, all comparisons to no dexamethasone; Fig 4B). Based on these observations, 50 μg dexamethasone was used to induce the GRE promoter in vivo in subsequent experiments.
Based on the dependency on the dose of Ad-vector (Fig 4A) and dependency on dexamethasone (Fig 4B), evaluation of the time dependency of the 5 × 108 pfu AdGRE.CAT vector-mediated CAT activity in the liver of C57B1/6 mice with a single administration of dexamethasone (50 μg) demonstrated that the maximum CAT activity was observed at 2 to 4 days after Ad vector administration (P < .000002, both comparisons to no dexamethasone treatment at the same day), with a decrease to baseline levels at 2 weeks (Fig 5A). Repetitive daily administration of dexamethasone (50 μg daily for 6 days after Ad vector administration) induced a similar increase in CAT activity at 2 to 4 days, but it was sustained for 7 days (P < .001, days 2 to 7 + dexamethasone compared with no dexamethasone), compared to the decrease after 4 days with a single dexamethasone administration (Fig 5B). The maximum value achieved with multiple administrations of dexamethasone was similar to that of the peak value achieved with the AdRSV.CAT positive control vector-mediated CAT activity (P > .1, compare Fig 5B with Fig 5C).
In vivo time-dependent expression of CAT in response to dexamethasone (Dex) after administration of the AdGRE.CAT vector. CAT activity in the liver was evaluated before and 1 to 14 days after intravenous administration of the vector to C57B1/6 mice. (A) Time-dependent expression of CAT following administration of the AdGRE.CAT vector and dexamethasone. AdGRE.CAT (5 × 108pfu) was administered intravenously and dexamethasone and (50 μg) was administered intraperitoneally at day 1. Shown are data for CAT expression with dexamethasone (•) or without dexamethasone (○). (B) Effect of multiple daily administration of dexamethasone on CAT expression after administration of the AdGRE.CAT vector. The vector administration was identical to (B), but dexamethasone (50 μg/d) was administered intraperitoneally on 6 consecutive days. (C) Time-dependent expression of CAT following intravenous administration of AdGRE.CAT (5 × 108 pfu; ○) or AdRSV.CAT (5 × 108 pfu; ▵); no dexamethasone was administered. Shown are data for AdGRE.CAT after 6 days' administration of dexamethasone (▴) or without dexamethasone (○). The data are presented as mean ± SE of three independent experiments.
In vivo time-dependent expression of CAT in response to dexamethasone (Dex) after administration of the AdGRE.CAT vector. CAT activity in the liver was evaluated before and 1 to 14 days after intravenous administration of the vector to C57B1/6 mice. (A) Time-dependent expression of CAT following administration of the AdGRE.CAT vector and dexamethasone. AdGRE.CAT (5 × 108pfu) was administered intravenously and dexamethasone and (50 μg) was administered intraperitoneally at day 1. Shown are data for CAT expression with dexamethasone (•) or without dexamethasone (○). (B) Effect of multiple daily administration of dexamethasone on CAT expression after administration of the AdGRE.CAT vector. The vector administration was identical to (B), but dexamethasone (50 μg/d) was administered intraperitoneally on 6 consecutive days. (C) Time-dependent expression of CAT following intravenous administration of AdGRE.CAT (5 × 108 pfu; ○) or AdRSV.CAT (5 × 108 pfu; ▵); no dexamethasone was administered. Shown are data for AdGRE.CAT after 6 days' administration of dexamethasone (▴) or without dexamethasone (○). The data are presented as mean ± SE of three independent experiments.
In vitro evaluation of the AdGRE.mTPO vector.
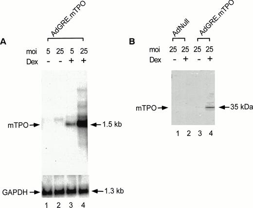
Based on the success of CAT reporter gene upregulation by using GRE promoter in vitro and in vivo, we applied this inducible promoter Ad vector strategy to one clinically applicable model in which an Ad vector was used to transfer the GRE promoter controlling the murine TPO cDNA. Evaluation of the AdGRE.mTPO vector in vitro confirmed that this vector expressed the mTPO cDNA in vitro as expected (Fig6). In this regard, a 1.5-kb mRNA transcript of the murine thrombopoietin cDNA was visible in HeLa cells infected with AdGRE.mTPO (5 or 25 moi) incubated with 25 nmol/L dexamethasone (Fig 6A, lanes 3 and 4) but no mTPO mRNA was detected without the addition of dexamethasone (lanes 1 and 2). Cells infected with the positive control vector, AdCMV.mTPO, demonstrated expression of the same size mTPO transcripts compared with AdGRE.mTPO with dexamethasone (not shown). The mRNA level for GAPDH, used as internal control, did not change with the addition of dexamethasone in cells infected with the AdGRE.mTPO vector.
Dexamethasone (Dex) stimulated expression of mouse TPO (mTPO) mRNA transcripts and mTPO protein in HeLa cells after infection with the AdGRE.mTPO vector. (A) Northern analyses of total RNA (10 μg/lane) isolated from HeLa cells infected with Ad vectors. Cells were infected with AdGRE.mTPO (5 or 25 moi), an Ad vector containing a chimeric corticosteroid inducible promoter controlling the expression of the mTPO cDNA (lanes 1 through 4). After 24 hours, the cells were incubated with dexamethasone (25 nmol/L; lanes 3 and 4) or without dexamethasone (lanes 1 and 2) for an additional 24 hours. The RNA was hybridized with a mTPO cDNA probe (top) or a GAPDH (bottom) probe. Lane 1, AdGRE.CAT (5 moi) alone; lane 2, AdGRE.CAT (25 moi) alone; lane 3, AdGRE.CAT (5 moi) + Dex; lane 4, AdGRE.CAT (25 moi) + Dex. (B) Western blot analysis of total protein (50 μg/lane) isolated from HeLa cells infected with Ad vectors. Cells were infected with either AdNull (25 moi, lanes 1 and 2), or AdGRE.mTPO (25 moi, lanes 3 and 4). After 24 hours, the cells were incubated with dexamethasone (25 nmol/L) (lanes 2 and 4) or without dexamethasone (lanes 1 and 3) for an additional 24 hours. Anti-mTPO serum was used to detect the 35-kD mTPO protein.
Dexamethasone (Dex) stimulated expression of mouse TPO (mTPO) mRNA transcripts and mTPO protein in HeLa cells after infection with the AdGRE.mTPO vector. (A) Northern analyses of total RNA (10 μg/lane) isolated from HeLa cells infected with Ad vectors. Cells were infected with AdGRE.mTPO (5 or 25 moi), an Ad vector containing a chimeric corticosteroid inducible promoter controlling the expression of the mTPO cDNA (lanes 1 through 4). After 24 hours, the cells were incubated with dexamethasone (25 nmol/L; lanes 3 and 4) or without dexamethasone (lanes 1 and 2) for an additional 24 hours. The RNA was hybridized with a mTPO cDNA probe (top) or a GAPDH (bottom) probe. Lane 1, AdGRE.CAT (5 moi) alone; lane 2, AdGRE.CAT (25 moi) alone; lane 3, AdGRE.CAT (5 moi) + Dex; lane 4, AdGRE.CAT (25 moi) + Dex. (B) Western blot analysis of total protein (50 μg/lane) isolated from HeLa cells infected with Ad vectors. Cells were infected with either AdNull (25 moi, lanes 1 and 2), or AdGRE.mTPO (25 moi, lanes 3 and 4). After 24 hours, the cells were incubated with dexamethasone (25 nmol/L) (lanes 2 and 4) or without dexamethasone (lanes 1 and 3) for an additional 24 hours. Anti-mTPO serum was used to detect the 35-kD mTPO protein.
The 35-kD mouse thrombopoietin protein was visible in HeLa cells infected with AdGRE.mTPO (25 moi) plus 25 nmol/L dexamethasone (Fig 6B, lane 4), but no mTPO protein was detected without the administration of dexamethasone (Fig 6B, lane 3). In the context that the mTPO cDNA codes for the full length of the TPO coding sequences, and the fully glycosylated secreted mTPO is a 70-kD protein,36 37 it is likely that the 35-kD band represents intracellular, nonglycosylated mTPO. Cells infected with the positive control vectorAdC-MV.mTPO demonstrated the same size mTPO protein compared with AdGRE.mTPO (not shown). Infection with the AdNull vector did not yield mTPO bands (without or with dexamethasone, Fig 6B, lanes 1 and 2).
In vivo evaluation of the AdGRE.mTPO.
Based on the in vitro observation that levels of mTPO mRNA transcripts derived from the AdGRE.mTPO vector could be upregulated by dexamethasone, we hypothesized that an increased expression of mTPO by AdGRE.mTPO with dexamethasone administration would induce an increase in the platelet count in vivo. As expected, AdGRE.mTPO (5 × 108 pfu) administration together with dexamethasone (50 μg per day for 1 to 3 days after vector administration) was associated with the upregulation of the platelet levels (Fig 7A). The peak platelet level was observed at day 8 (P < .05, all dexamethasone strategies of administration compared with no dexamethasone), but the platelet levels remained elevated at 15 days (P < .002, all dexamethasone strategies of administration compared with no dexamethasone), decreasing to baseline by day 22 (P > .4 for dexamethasone at days 0 and 0 and 1 compared with no dexamethasone), except where dexamethasone was administered for 3 days (P < .04 compared with no dexamethasone). Administration of AdNull (5 × 108 pfu) as a negative control vector, with or without dexamethasone, administered for 3 consecutive days showed no upregulation of platelet number compared with the normal range of platelet levels (P > .06, all comparisons; Fig 7B).
In vivo upregulation of platelet number by dexamethasone (Dex) after intravenous administration of the of AdGRE.mTPO vector. The AdGRE.mTPO vector (5 × 108 pfu) was administered intravenously. (A) Dose-dependent increase in platelet number in C57B1/6 mice after dexamethasone administration for 1 to 3 successive days (50 μg/d) intraperitoneally. Platelet number was evaluated before and 4 to 22 days after vector administration. Shown are the platelet levels without dexamethasone (○), and with dexamethasone administered for 1 day (•), 2 days (▵), and 3 days (▴). (B) Platelet levels after administration of the AdNull control vector and dexamethasone. As a negative control, the AdNull vector (5 × 108 pfu) was injected intravenously to C57B1/6 mice with dexamethasone administered on 3 successive days (50 μg/d; intraperitoneal; •) or without dexamethasone (○). The platelet level was counted before and 4 to 22 days after vector administration. The data are presented as mean ± SE of three independent experiments.
In vivo upregulation of platelet number by dexamethasone (Dex) after intravenous administration of the of AdGRE.mTPO vector. The AdGRE.mTPO vector (5 × 108 pfu) was administered intravenously. (A) Dose-dependent increase in platelet number in C57B1/6 mice after dexamethasone administration for 1 to 3 successive days (50 μg/d) intraperitoneally. Platelet number was evaluated before and 4 to 22 days after vector administration. Shown are the platelet levels without dexamethasone (○), and with dexamethasone administered for 1 day (•), 2 days (▵), and 3 days (▴). (B) Platelet levels after administration of the AdNull control vector and dexamethasone. As a negative control, the AdNull vector (5 × 108 pfu) was injected intravenously to C57B1/6 mice with dexamethasone administered on 3 successive days (50 μg/d; intraperitoneal; •) or without dexamethasone (○). The platelet level was counted before and 4 to 22 days after vector administration. The data are presented as mean ± SE of three independent experiments.
Intermittent upregulation of platelet levels in vivo.
To evaluate the hypothesis that intermittent administration of dexamethasone will result in repeated upregulation of expression of the GRE.mTPO expression cassette transferred to the liver by the AdGRE.mTPO vector, the AdGRE.mTPO vector was administered one time intravenously to C57B1/6 mice and dexamethasone was administered intermittently. After administration of the AdGRE.mTPO vector (5 × 108), dexamethasone was administered intraperitoneally (50 μg/dose) on 3 consecutive days starting at days 1, 22, and 43. Quantification of the amount of vector DNA in the liver showed a decrease in the first 4 days after vector administration, but thereafter the rate of decrease slowed dramatically, and the Ad genome could be easily detected in the liver 64 days after vector administration (Fig 8). The amount of Ad genome in the liver with or without dexamethasone was similar at all time points (P > .05) except for day 64 where the group receiving dexamethasone had 2.9-fold more AdGRE.mTPO genome in the liver compared with the untreated group (P < .002).
Amount of adenovirus genome DNA in the liver after intravenous administration of the AdGRE.mTPO vector. Following administration of AdGRE.mTPO (5 × 108 pfu), dexamethasone (Dex) was administered intraperitoneally (50 μg/dose) on 3 consecutive days starting at days 1, 22, and 43. Following 10 minutes and 1, 4, 22, and 64 days after vector administration, the liver was removed, and the amount of vector genome determined by Southern analysis and quantified by phosphorimager. Data are presented as relative percent of data at 10 minutes on day 0 (defined as 100%). Shown are data for adenovirus genome with dexamethasone (•) and without dexamethasone (○). The data are presented as mean ± SE of three independent experiments.
Amount of adenovirus genome DNA in the liver after intravenous administration of the AdGRE.mTPO vector. Following administration of AdGRE.mTPO (5 × 108 pfu), dexamethasone (Dex) was administered intraperitoneally (50 μg/dose) on 3 consecutive days starting at days 1, 22, and 43. Following 10 minutes and 1, 4, 22, and 64 days after vector administration, the liver was removed, and the amount of vector genome determined by Southern analysis and quantified by phosphorimager. Data are presented as relative percent of data at 10 minutes on day 0 (defined as 100%). Shown are data for adenovirus genome with dexamethasone (•) and without dexamethasone (○). The data are presented as mean ± SE of three independent experiments.
Mice receiving dexamethasone and mice not receiving dexamethasone both developed CTL directed against the Ad vector (Fig 9A and B). The splenocytes recovered at day 43 (before the timing of the third cycle of dexamethasone administration) exhibited similar levels of destruction of target cells either infected with AdNull or infected with the AdGRE.mTPO vector, independent of dexamethasone treatment. These data are consistent with the concept that the CTL were directed toward the Ad vector-derived antigens, not the mTPO transgene, and that dexamethasone therapy did not prevent the development of anti-vector CTL.
Evaluation of the cellular and humoral immune response against AdGRE.mTPO vector with or without dexamethasone (Dex) administration in vivo. After administration of the AdGRE.mTPO vector (5 × 108), dexamethasone was administered intraperitoneally (50 μg/dose) on 3 consecutive days starting at days 1, 22, and 43. (A and B) CTL at day 43 after administration of AdGRE.mTPO with and without dexamethasone. Splenocytes were evaluated for their ability to lyse syngeneic cells infected with AdGRE.mTPO or AdNull. Data are presented as percent lysis of target cells mixed at various ratios with splenocytes relative to the total amount of51Cr that could be released by lysing 100% of the cells. Shown are data for uninfected target cells (“alone,” ▵), target cells infected with AdNull (○), and target cells infected with AdGRE.mTPO (•). (A) Mice receiving AdGRE.mTPO vector alone (no Dex). (B) Mice receiving AdGRE.mTPO vector plus dexamethasone administration (+Dex). (C) Serum concentration (titer/4.5 μL) of neutralizing antibody directed against Ad vectors before and 22 to 64 days following AdGRE.mTPO administration (5 × 108 pfu) with or without dexamethasone. The dashed line indicates the limit of sensitivity of the assay (titer < 10). Shown are data for serum anti-Ad neutralizing antibodies titer with dexamethasone (•) and without dexamethasone (○). The data are presented as individual time points for each animal.
Evaluation of the cellular and humoral immune response against AdGRE.mTPO vector with or without dexamethasone (Dex) administration in vivo. After administration of the AdGRE.mTPO vector (5 × 108), dexamethasone was administered intraperitoneally (50 μg/dose) on 3 consecutive days starting at days 1, 22, and 43. (A and B) CTL at day 43 after administration of AdGRE.mTPO with and without dexamethasone. Splenocytes were evaluated for their ability to lyse syngeneic cells infected with AdGRE.mTPO or AdNull. Data are presented as percent lysis of target cells mixed at various ratios with splenocytes relative to the total amount of51Cr that could be released by lysing 100% of the cells. Shown are data for uninfected target cells (“alone,” ▵), target cells infected with AdNull (○), and target cells infected with AdGRE.mTPO (•). (A) Mice receiving AdGRE.mTPO vector alone (no Dex). (B) Mice receiving AdGRE.mTPO vector plus dexamethasone administration (+Dex). (C) Serum concentration (titer/4.5 μL) of neutralizing antibody directed against Ad vectors before and 22 to 64 days following AdGRE.mTPO administration (5 × 108 pfu) with or without dexamethasone. The dashed line indicates the limit of sensitivity of the assay (titer < 10). Shown are data for serum anti-Ad neutralizing antibodies titer with dexamethasone (•) and without dexamethasone (○). The data are presented as individual time points for each animal.
To evaluate the anti-Ad humoral immune response following intravenously administered AdGRE.mTPO vector without or with dexamethasone administration, the sera recovered before and at days 22, 43, and 64 were evaluated for the presence of anti-Ad neutralizing antibodies (Fig9C). Anti-Ad neutralizing antibodies were present in both groups at day 22 to 64. There were no significant differences among animals receiving AdGRE.mTPO vector receiving dexamethasone and animals receiving AdGRE.mTPO vector alone (P > .3, Mann-Whitney test).
Consistent with the presence of the vector genome in the liver (Fig 8), and independent of the anti-Ad vector CTL and the anti-Ad vector neutralizing immunity (Fig 9), there were intermittent increases in mTPO serum levels after administration of the AdGREm.TPO vector (Fig10A). In this regard, there was a peak of mTPO level in serum at day 2 (13-fold, P < .00005), day 24 (9-fold, P < .000005), and day 45 (4-fold,P < .0000005) (all compared with no dexamethasone treatment on the same day). For each cycle of increase of mTPO levels, there was a rapid decrease to baseline levels by 1 week after each dexamethasone administration. Without dexamethasone, the serum mTPO levels remained similar or only slightly elevated (<twofold) compared with the background range (2.9 to 6.6 ng/mL; days 2 to 24, P > .07; days 26 to 50, P < .02; day 64, P > .9; all comparisons to 0 time).
Intermittent upregulation of mTPO levels in serum, megakaryocyte number in bone marrow, and blood platelet levels in C57B1/6 mice by intermittent administration of dexamethasone (Dex) following one-time intravenous administration of the AdGRE.mTPO vector. After administration of AdGRE.mTPO (5 × 108 pfu), dexamethasone was administered intraperitoneally (50 μg/dose) on 3 consecutive days starting at days 1, 22, and 43. (A) The mTPO concentration in serum evaluated before and 4 to 64 days after vector administration. Shown are data for mTPO level in serum with dexamethasone (•) and without dexamethasone (○). (B) The number of megakaryocytes in bone marrow before and 4 to 64 days following vector administration. Shown are data for megakaryocytes with dexamethasone (•) and without dexamethasone (○). (C) Platelet levels before and 4 to 64 days after vector administration. Shown are data for platelet levels with dexamethasone (•) and without dexamethasone (○). The data are presented as mean ± SE of three independent experiments.
Intermittent upregulation of mTPO levels in serum, megakaryocyte number in bone marrow, and blood platelet levels in C57B1/6 mice by intermittent administration of dexamethasone (Dex) following one-time intravenous administration of the AdGRE.mTPO vector. After administration of AdGRE.mTPO (5 × 108 pfu), dexamethasone was administered intraperitoneally (50 μg/dose) on 3 consecutive days starting at days 1, 22, and 43. (A) The mTPO concentration in serum evaluated before and 4 to 64 days after vector administration. Shown are data for mTPO level in serum with dexamethasone (•) and without dexamethasone (○). (B) The number of megakaryocytes in bone marrow before and 4 to 64 days following vector administration. Shown are data for megakaryocytes with dexamethasone (•) and without dexamethasone (○). (C) Platelet levels before and 4 to 64 days after vector administration. Shown are data for platelet levels with dexamethasone (•) and without dexamethasone (○). The data are presented as mean ± SE of three independent experiments.
In parallel with the intermittent elevation of serum mTPO levels, the numbers of megakaryocytes in bone marrow showed intermittent elevations of megakaryocyte numbers of day 4 (8-fold, P < .00002), day 26 (15-fold, P < .0005), and day 47 (11-fold,P < .00005); all comparisons to no dexamethasone treatment at the same day; Fig 10B. All peak numbers of megakaryocytes were at 4 days after the first day of dexamethasone administration for each cycle, with a rapid decrease to baseline levels within 4 days after the last administration of dexamethasone (for each cycle). Similar to the mTPO in serum, without dexamethasone, the megakaryocyte number in marrow remained the same as baseline (P > .1, all comparisons to 0 time). Importantly, there were no pathologic changes in the bone marrow, such as myelofibrosis, after 64 days (and three cycles of stimulation with dexamethasone, not shown).
Finally, the platelet levels intermittently increased concomitantly with the intermittent administration of dexamethasone (Fig 10C). Three peaks of platelet levels were observed, at day 8 (4-fold,P < .0001), day 29 (6-fold, P < .00001), and day 50 (4-fold, P < .00001); all compared with no dexamethasone treatment at the same day. All of the peaks were at day 8 after first dexamethasone administration for each cycle, with a slow decrease to baseline levels within 2 weeks after each administration of dexamethasone. Without dexamethasone administration, the platelet count remained within the normal range. Interestingly, the second peak of platelets was higher than the first peak. One explanation for this phenomenon is that thrombopoietin has an effect on primitive hematopoietic cells, such as stem cells.38
DISCUSSION
Now that gene transfer has proven to be feasible in experimental animals and humans,39 efforts have focused on a myriad of challenges that must be overcome before gene transfer can be used therapeutically. For many of these applications one challenge is to be able to control the expression of the newly transferred gene. The present study shows this can be achieved by using an adenovirus vector to transfer to the liver of C57B1/6 mice an expression cassette containing a chimeric promoter comprised of multiple glucocorticoid response elements driving the CAT reporter gene or the murine thrombopoietin cDNA, a gene coding for a secreted thrombopoietic hormone that activates bone marrow megakayocyte, resulting in elevation of blood platelet levels.14-17 The ability to control the GRE expression cassette in vivo was dependent on the dose of the vector and on the amount of dexamethasone administered, with maximum levels of transgene expression similar to that achieved with the active constitutive RSV viral promoter. Strikingly, administration of the AdGRE.mTPO vector followed by dexamethasone every 3 weeks was associated with intermittent elevations of serum mTPO levels, megakaryocyte numbers in bone marrow and blood platelet levels fourfold to sixfold over baseline, ie, intermittent regulation of the transferred gene with intermittent changes in platelet-related phenotype. In the context that corticosteroids are widely used in clinical medicine, and can be used safely when administered intermittently, this strategy may be useful for a variety of clinical applications.
Advantages of using a glucocorticoid responsive promoter.
There are a variety of advantages to using a glucocorticoid response promoter to intermittently control a newly transferred gene. First, the glucocorticoid receptor is expressed in a variety of cell types, and the structure and function of the ligand and receptor, as well as the signal transduction, and transcriptional response elements for corticosteroids are well understood.40,41 Second, ligand activation of corticosteroid receptor-dependent transcription is specific and dose dependent.42-47 In this context, the chimeric promoter was responsive to the dose and chronicity of dexamethasone administration. Third, corticosteroids can be administered by a variety of routes, and the safety profile of corticosteroid in humans is well defined.48 Finally, the expression cassette of the chimeric GRE promoter is small (total 1 kb for the promoter and the polyA stop signal), and thus is adaptable to a variety of vector systems.
One interesting characteristic observed of the chimeric GRE promoter is that there was very little “leak” of transgene expression without the administration of glucocorticoids, at least for applications involving gene transfer to the liver. In this regard, even with the very sensitive CAT reporter gene, little CAT activity was observed in the liver at AdGRE.CAT vector doses of ≤5 × 108 pfu without added dexamethasone. However, an impressive, dose-dependent upregulation of CAT was observed with dexamethasone, reaching levels 100-fold above baseline. Further, the upregulation of expression could be sustained by repetitive daily administration of dexamethasone, maintaining increased CAT levels in liver for 1 week after six daily doses of dexamethasone compared to a 1-day peak level with single dose. These properties compare favorably with other controllable promoters that have been evaluated in in vivo, ex vivo/in vivo, and transgenic experimental animal models.2-11 49-63 The dose of dexamethasone used in this study (175 mg) are equivalent to doses of 1 to 1.5 g/d of methylprednisolone in humans. Although such doses are used in short-term human therapies, additional studies will have to be performed to determine the lowest dose that will turn on the GRE promoter in vivo before this strategy is applied to humans.
Application to controlling platelet levels.
There is increasing evidence that gene transfer vectors can be used effectively in vivo to express secreted hematopoietic hormones such as erythropoietin, thrombopoietin, granulocyte-monocyte colony-stimulating factor, and granulocyte colony-stimulating factor.63-70 For all of these hematologic mediators, overexpression and/or inappropriate persistence of expression could be associated with adverse effects from the relevant transgene both from inappropriate levels of the blood element, abnormalities in bone marrow, or nonhematologic adverse effects.68,69 71 Although the data in the present study are not necessarily applicable to all hematologic hormones, it shows the ability to upregulate a potent hematologic-mediator, thrombopoietin, intermittently for a 1-week period over 2 months. In the context of the potential for adverse effects such as stroke from excess platelet levels, such a strategy may be useful for gene transfer applications using transfer of the thrombopoietin cDNA for the available upregulation of platelet levels.
Use of the mTPO cDNA as a reporter gene.
The mTPO cDNA is a useful “reporter” for gene transfer studies. First, the phenotype for successful expression is clear (platelet levels), and easily carried out, requiring only a hemocytometer. Second, because measurement of platelet levels requires only 20 μL of blood, the phenotype can be assessed in the same mouse over months, using repetitive blood sampling from the tail vein with a capillary pipette. Third, because the mTPO cDNA is of murine origin, it serves to code for an autologous “reporter” that is not recognized by the murine immune system. Finally, like α1-antitrypsin,72,73the combination of the mTPO cDNA and Ad vectors can persist for considerable periods in strains such as C57B1/6, despite the generation of that anti-Ad cytotoxic T cells, consistent with the emerging concept that anti-Ad cellular immunity does not limit Ad vector expression in all applications.34,68 74-76
ACKNOWLEDGMENT
We thank Ben-Gary Harvey and Satish Deshmane for helpful advice and assistance in carrying out these studies; and N. Mohamed for help in preparation of the manuscript.
Supported in part by the National Institutes of Health/National Heart, Lung and Blood Institute Grants No. P01 HL51746 and P01 HL59312; the Cystic Fibrosis Foundation (Bethesda, MD); Will Rogers Memorial Fund (White Plains, NY); and GenVec, Inc (Rockville, MD). M.A.S.M. is supported by the Gar Reichman Fund of the Cancer Research Institute (New York, NY).
Address reprint requests to Ronald G. Crystal, MD, Division of Pulmonary and Critical Care Medicine, The New York Hospital-Cornell Medical Center, 520 E 70th St, ST505, New York, NY 10021; e-mail:nmohamed@mail.med.cornell.edu.
The publication costs of this article were defrayed in part by page charge payment. This article must therefore be hereby marked "advertisement" is accordance with 18 U.S.C. section 1734 solely to indicate this fact.











