We investigated the role of the thrombin-activated platelet in modulating the rate and extent of activated protein C (APC)-catalyzed inactivation of platelet-derived factor Va and factor VaLeiden. Platelet-derived factor Va and factor VaLeiden were inactivated by APC at near identical rates; however, complete inactivation of the cofactors was never achieved. Greater residual cofactor activity remained when using thrombin-activated platelets compared with that observed with synthetic phospholipid vesicles and platelet-derived microparticles, suggesting that thrombin-activated platelets protect the cofactors from APC-catalyzed inactivation. This apparent protection was not due to (1) an insufficient number of membrane binding sites for APC or factor Va; (2) the destruction of these sites; or (3) the presence of a platelet-associated APC inhibitor. Results from a plasma-based clotting assay (with or without APC) with platelets or PCPS vesicles added to induce clot formation indicated that, even in the presence of high concentrations of APC, platelets offered protection of the cofactor by delaying cleavage at Arg506. This resulted in incomplete proteolysis of the heavy chain, suggesting that platelets can also protect plasma-derived factor Va from APC-catalyzed inactivation. However, additional experiments indicated that the plasma-derived cofactor, bound to thrombin-activated platelets, was completely inactivated by APC, suggesting that the plasma and platelet-derived cofactor pools represent different substrates for APC. Collectively, these results indicate that platelets sustain procoagulant events by providing a membrane surface that delays cofactor inactivation and by releasing a cofactor molecule that displays an APC resistant phenotype. Thus, at sites of arterial injury, the factor VLeidenmutation may not as readily predict arterial thrombosis, because the normal and variant platelet-derived cofactors are equally resistant to APC at the activated platelet surface.
PLATELETS PLAY AN essential role in the normal hemostatic process by adhering and aggregating at sites of vascular injury, thus providing a physical barrier to control blood loss. However, platelets also participate in the generation and regulation of thrombin by providing a suitable membrane surface that localizes, amplifies, and subsequently modulates procoagulant enzymatic reactions.1 Activated human platelets promote the catalysis of at least two procoagulant reactions: the conversion of factor X to Xa by the intrinsic tenase complex and the conversion of prothrombin to thrombin by the prothrombinase complex.2-4 Prothrombinase is a stoichiometric enzymatic complex consisting of the serine protease factor Xa and the nonenzymatic cofactor factor Va derived from platelet or plasma stores,5 assembled on an appropriate cellular membrane surface in the presence of Ca2+ions.1,4 Human platelets are also able to promote the catalysis of at least one anticoagulant reaction, the activated protein C (APC)-catalyzed inactivation of factor Va,6,7 which downregulates the assembly and function of prothrombinase. Deletion of factor Va from the prothrombinase complex reduces the rate of thrombin generation by four orders of magnitude.8 Hence, significant variations in prothrombin activation can be accomplished via proteolytic alterations in factor Va.
Recently, the mechanism of inactivation of human plasma-derived factor Va by APC on phospholipid vesicles has been detailed. Proteolysis of plasma-derived factor Va by APC occurs within the heavy chain of the cofactor at position Arg506 followed by cleavages at positions Arg306 and Arg679.9Cleavage at Arg306 only occurs when the cofactor is membrane-bound and is the major inactivating cleavage site.9,10 Although cleavage at Arg506 is membrane independent, proteolysis at this site is significantly enhanced in the presence of a membrane surface.9 10
In addition to the progress that has been made in unraveling the mechanism of plasma-derived factor Va inactivation by APC, our understanding of the protein C pathway and thrombophilia have expanded greatly in recent years with the discovery of APC resistance. In 1993, Dahlback et al11,12 described a new mechanism of familial thrombophilia characterized by a poor anticoagulant response to APC (APC resistance). The molecular defect in APC-resistant individuals was identified in several laboratories as a single point mutation in the factor V gene (G1691 → A), predicting a single amino acid substitution in the factor V protein (Arg506→ Gln).13-17 However, in about 10% of the APC-resistant patients, the Arg506 → Gln mutation is not present,17 but no alternative molecular basis for this finding has yet been identified. Resistance to APC is the most common identifiable defect among patients with venous thrombosis (20% to 60% in patients with venous thrombosis)18,19 and is also quite common in the general Caucasian population with an allelic frequency of approximately 3% to 5%.18-21 The most common clinical manifestation of APC resistance is venous thrombosis; however, few studies have established a correlation between the factor VLeiden mutation and arterial thrombosis.22-24
The molecular basis of APC-resistance (factor VLeiden) is due, at least in part, to the slower rate of inactivation (∼10- to 20-fold, relative to wild-type) of the plasma-derived factor VaLeiden heavy chain due to a change in the initial APC cleavage site at position 506.25-28 However, the contribution of platelet-derived factor Va and factor VaLeiden to the APC resistance phenotype is not known. Our laboratory has recently shown that the mechanism of inactivation of platelet-derived factor Va by APC may be different from its plasma counterpart. Initial cleavage of platelet-derived factor Va occurs at either Arg506 or Arg306, and complete inactivation of the platelet-derived cofactor could not be achieved.29 In studies of platelet-derived factor Va from an individual heterozygous for the factor VLeiden mutation, platelet-derived factor VaLeiden was initially cleaved at position Arg306 followed by cleavage at Arg679. However, as observed with the normal platelet-derived cofactor, complete inactivation could not be achieved. Collectively, these results indicated that a platelet-derived factor Va molecule that does not have the initial cleavage site at Arg506 (factor VLeiden) or is in a structural conformation such that cleavage by APC at Arg306 is preferred over Arg506 may be observed to be APC-resistant.29
Elucidating how platelet-derived factor Va is inactivated by APC at the platelet surface is critical to our understanding of how the coagulation system is downregulated, especially because previous studies have demonstrated that the platelet-derived cofactor plays an essential role in maintaining normal hemostasis. This concept is perhaps best shown in studies of a family (factor VQuebec) whose afflicted members lack functional platelet-derived factor V, but have normal plasma-derived factor V and exhibit a severe bleeding diathesis.30 In addition, a patient with a neutralizing inhibitor to plasma-derived factor V, but not to platelet-derived factor V, shows no bleeding tendency.31 These studies directly implicate platelet-bound, platelet-derived factor Va, whose concentration within a platelet-rich thrombus may be significantly greater (>100-fold) than plasma-derived factor Va31 in the generation of thrombin at the site of vascular injury, thus maintaining the normal hemostatic balance.
The current study was initiated to compare the rate and extent of the APC-catalyzed inactivation of platelet-derived factor Va and factor VaLeiden and to determine if thrombin-activated platelets would modulate this reaction when compared with synthetic phospholipid vesicles. The results of these studies should provide insight into how the platelet-derived cofactors (normal or variant) and the intact thrombin-activated platelet contribute to the APC-resistant phenotype.
MATERIALS AND METHODS
Materials and reagents.
Tris[hydroxymethyl]aminomethane (Trizma-Base), L-α-phosphatidyl-L-serine [bovine brain] (PS), L-α-phosphatidylcholine [egg yolk] (PC), ARG-GLY-ASP-SER (RGDS) peptide, Tween-20, 4-(2-Hydroxyethyl)-1-piperazineethanesulfonic acid (HEPES), prostaglandin E1 (PGE1), heparin (bovine lung), and glycine were purchased from Sigma (St Louis, MO). Sodium chloride and calcium chloride dihydrate were purchased from J.T. Baker (Phillipsburg, NJ). Pure nitrocellulose membrane sheets (0.45 μm) were purchased from Bio-Rad (Hercules, CA). The chemiluminescent substrate, Luminol, and Reflection autoradiography film were purchased from DuPont, NEN Research Products (Boston, MA). Crystallized bovine serum albumin was purchased from ICN ImmunoBiologicals (Aurora, OH). The α-thrombin inhibitor hirudin was obtained from Genentech (South San Francisco, CA). The fluorescent α-thrombin inhibitor dansylarginine N-(3-ethyl-1,5-pentanediyl)amide (DAPA)32 and human APC were gifts from Haematologic Technologies Inc (Essex Junction, VT). Phospholipid vesicles composed of 75% (% wt/wt) PC and 25% (% wt/wt) PS (PCPS) were prepared as previously described.33 The concentration of the phospholipid vesicles was determined by phosphorous assay.34
Preparation of coagulation proteins.
All proteins were of human origin and purified from fresh-frozen plasma. Plasma-derived factor V was isolated by immunoaffinity chromatography as described and was activated to factor Va with 1 to 2 NIH U/mL (10 to 20 nmol/L) of α-thrombin for 10 minutes at 37°C.35,36 Factor X and prothrombin were purified by the method of Bajaj et al.37 Factor X was activated with the factor X activator purified from Russell's viper venom.38 α-Thrombin was prepared by activation of prothrombin with taipan snake venom as described by Owen and Jackson.39 All proteins used were greater than 95% pure as judged by sodium dodecyl sulfate-polyacrylamide gel electrophoresis (SDS-PAGE) before and after disulfide bond reduction according to the method of Laemmli.40 Molecular weights and extinction coefficients (E1%280nm) of the various proteins used were taken as follows: prothrombin 72,000, 14.237; thrombin 37,000, 17.441; factor V 330,000, 9.636; factor Xa 50,000, 11.637; and APC 56,200, 14.5.42
Isolation of platelets.
Platelets were isolated from consenting normal or homozygous (as determined by DNA analysis13) factor VLeidenindividuals. Briefly, 26 mL of blood was collected into a 30-mL syringe (8 syringes, ∼200 mL of blood) containing 4 mL of ACD (0.022 mol/L citrate, 0.014 mol/L dextrose, final concentrations) and 5 μmol/L PGE1 (final concentration). The blood in each syringe was transferred to a 50-mL conical polypropylene centrifuge tube, everted twice, split into two tubes, and centrifuged (190g for 15 minutes) at ambient temperature to obtain platelet-rich plasma (PRP). The PRP (∼7.5 mL/centrifuge tube) was removed as well as the buffy coat into a second centrifuge tube, and this suspension was combined with another tube to bring the volume to approximately 15 mL. The PRP suspension was centrifuged at 1,100g for 15 minutes at ambient temperature. The platelet-poor plasma (PPP) was removed and the remaining platelet pellet was gently resuspended in a small volume (∼10 mL) of PPP. All platelets from the same donor were pooled (∼30 to 40 mL) to generate a platelet concentrate. This platelet concentrate was then shipped from Padua, Italy to Burlington, VT via express mail (∼72 hours). Upon receipt, the platelet suspensions were placed immediately at 37°C and platelets were isolated as previously described.29 43 Platelets were counted on a Coulter counter (Coulter Electronics, Ltd, Hialeah, FL) and brought to a final platelet concentration of 1 × 109/mL in 5 mmol/L HEPES-Tyrode's (0.14 mol/L NaCl, 2.7 mmol/L KCl, 12 mmol/L NaHCO3, 0.42 mmol/L NaH2PO4·H2O, 1 mmol/L MgCl2, 2 mmol/L CaCl2, 5 mmol/L dextrose) buffer, pH 7.4, for all experiments. Control studies performed on site indicated that the time of shipment and the presence of PGE1 had no influence on the rate or mechanism of platelet-derived factor Va inactivation by APC on activated platelets or PCPS vesicles.
APC-catalyzed inactivation and proteolysis of platelet-derived factor Va and factor VaLeiden.
The inactivation of normal platelet-derived factor Va (n = 3) and factor VaLeiden (n = 3) by APC was performed in the presence of PCPS vesicles or thrombin-activated platelets. For experiments in which activated platelets provided the membrane surface, RGDS peptide (1 mmol/L) was added to platelets before activation to prevent aggregation. Platelet-derived factor Va release and activation was accomplished by platelet incubation (1 × 109/mL) with 50 nmol/L α-thrombin (5 NIH U/mL) for 5 minutes at ambient temperature, followed by the addition of 60 nmol/L hirudin. In experiments in which thrombin-activated platelets did not provide the membrane surface, activated platelets were removed from platelet-derived factor Va by gentle centrifugation (1,100g for 5 minutes) and PCPS vesicles (20 μmol/L) were then added. In experiments such as those shown in Fig 4, normal human platelets were removed by centrifugation (1,100g for 5 minutes) and the resulting centrifugation-induced platelet microparticles were used as the presumed membrane surface. In all experiments, the initial concentration of platelet-derived factor Va was donor-dependent and ranged from 0.81 to 2.7 nmol/L.
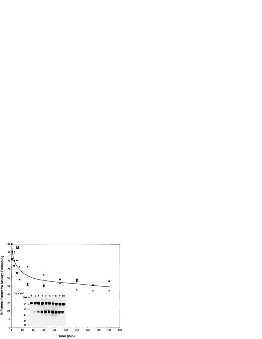
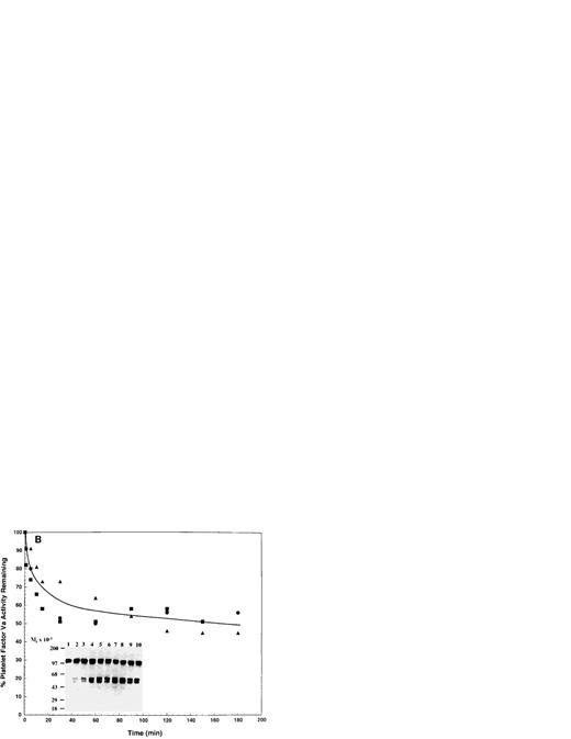
APC-catalyzed inactivation of platelet-derived factor Va bound to thrombin-activated platelets or centrifugation-induced platelet microparticles. Platelets (1 × 109/mL) in the presence of RGDS peptide (1 mmol/L) from a normal individual were treated with 2 NIH U/mL (20 nmol/L) of α-thrombin for 5 minutes to both activate the platelet and release and activate platelet-derived factor Va. Hirudin (30 nmol/L) was then added to inhibit thrombin. The thrombin-activated platelets were either used as the required membrane surface (•; initial cofactor concentration, 2.5 nmol/L) or platelets were centrifuged out of solution (1,100g for 5 minutes) generating platelet microparticles that presumably provided an adequate membrane surface (▪; initial cofactor concentration, 1.9 nmol/L). APC (0.25 nmol/L) was then added and at selected time points residual cofactor activity was monitored as described in Fig 1. The data points were normalized to the initial concentration of released cofactor for each donor. Upon stabilization of the platelet-derived cofactor activity on thrombin-activated platelets (∼120 minutes), 20 μmol/L PCPS vesicles were added (arrowhead) to the platelet membrane/platelet-derived factor Va/APC mixture and a substantial loss of platelet-derived cofactor activity was observed after 30 minutes of incubation (▴).
APC-catalyzed inactivation of platelet-derived factor Va bound to thrombin-activated platelets or centrifugation-induced platelet microparticles. Platelets (1 × 109/mL) in the presence of RGDS peptide (1 mmol/L) from a normal individual were treated with 2 NIH U/mL (20 nmol/L) of α-thrombin for 5 minutes to both activate the platelet and release and activate platelet-derived factor Va. Hirudin (30 nmol/L) was then added to inhibit thrombin. The thrombin-activated platelets were either used as the required membrane surface (•; initial cofactor concentration, 2.5 nmol/L) or platelets were centrifuged out of solution (1,100g for 5 minutes) generating platelet microparticles that presumably provided an adequate membrane surface (▪; initial cofactor concentration, 1.9 nmol/L). APC (0.25 nmol/L) was then added and at selected time points residual cofactor activity was monitored as described in Fig 1. The data points were normalized to the initial concentration of released cofactor for each donor. Upon stabilization of the platelet-derived cofactor activity on thrombin-activated platelets (∼120 minutes), 20 μmol/L PCPS vesicles were added (arrowhead) to the platelet membrane/platelet-derived factor Va/APC mixture and a substantial loss of platelet-derived cofactor activity was observed after 30 minutes of incubation (▴).
After platelet activation with α-thrombin (50 nmol/L for 5 minutes), the inactivation of platelet-derived factor Va was initiated immediately by APC addition (0.25 nmol/L). At selected time intervals, samples of the inactivation mixture were withdrawn and assayed for residual cofactor activity in a prothrombinase assay using purified protein components with saturating amounts of factor Xa (5 nmol/L) and PCPS vesicles (20 μmol/L) as the membrane surface, as previously described.8,29,36 At the same time intervals, samples were withdrawn and prepared for SDS-PAGE followed by immunoblotting analyses as described previously.29 The platelet-derived factor Va antigen (∼50 ng/lane) was probed with a mouse antihuman factor Va heavy chain IgG monoclonal antibody (MoAb) αHFVaHC#625,29,44 or αHFVaHC#17,45 both of which recognize an epitope between amino acids 307-506 in the factor Va heavy chain. The secondary antibody used was a horse antimouse IgG coupled to horseradish peroxidase (HRP; Southern Biotechnologies, Birmingham, AL).
Proteolysis of factor Va by APC in a plasma-based clotting assay.
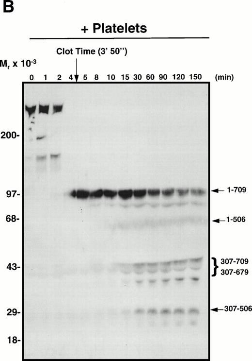
Pooled normal human plasma was diluted (1:10) in a glass test tube with 20 mmol/L HEPES/0.15 mol/L NaCl, pH 7.4. Phospholipid vesicles (PCPS; 10 μmol/L) or freshly isolated washed normal human platelets (1 × 108/mL) were added. CaCl2 (5 mmol/L, final) was then added to initiate clot formation, which was observed visually.46 In some experiments, exogenous APC (2.0 nmol/L) was added subsequent to clot formation. At selected time intervals, samples of the reaction mixture (60 μL or ∼60 ng/lane of FV/Va) were analyzed by SDS-PAGE and Western blotting techniques with MoAb αHFVaHC#17, as described previously.45 46
RESULTS
Effects of PCPS vesicles or thrombin-activated platelets on the APC-catalyzed inactivation of platelet-derived factor Va and factor VaLeiden.
Previous results from our laboratory25 and other laboratories26,28 have shown that there is an approximately 10- to 20-fold difference in the rate of the APC-catalyzed inactivation between normal plasma-derived factor Va and factor VaLeidenwhen bound to synthetic phospholipid vesicles. Studies were initiated here to directly compare the ability of APC to inactivate platelet-derived factor Va and factor VaLeiden on both PCPS vesicles (Fig 1) and thrombin-activated platelets (Fig 2) to determine if the platelet-derived cofactors exhibited a similar differential rate of inactivation on these surfaces. Upon addition of APC, both the normal (Fig 1A) and variant (Fig 1B) platelet-derived cofactors were rapidly inactivated when bound to PCPS vesicles, with 60% to 70% of the activity lost within 10 minutes; the inactivation profiles were very similar. Even though it is difficult to compare rates of inactivation directly between these platelet-derived cofactors because of the rapid rate of inactivation, our data suggest that the substantial (∼10-fold) difference in the rates of inactivation observed previously with the plasma-derived cofactors bound to PCPS vesicles25,26 28 was not mimicked by the platelet-derived cofactors. Immunoblotting studies indicated that platelet-derived factor VaLeiden was cleaved at Arg306 followed by cleavage at Arg679 (appearance of the 60-kD and 54-kD fragments, respectively; Fig 1B, inset) and normal platelet-derived factor Va was cleaved at Arg506 followed by cleavage at Arg306 (appearance of the 75-kD and 30-kD fragments, respectively; Fig 1A, inset). Additionally, platelet-derived factor Va was also initially cleaved at Arg306 followed by cleavage at Arg506 (appearance of the 60-kD and 30-kD fragments, respectively). Complete proteolysis of the heavy chain of either platelet-derived cofactor could not be achieved even after ≥150 minutes of incubation with APC. Approximately 20% residual activity remained for both cofactors, suggesting that a subpopulation of both platelet-derived factor Va and factor VaLeiden may be completely resistant to APC.
APC-catalyzed inactivation of platelet-derived factor Va and factor VaLeiden bound to phospholipid vesicles. Platelets (1 × 109/mL) from normal (n = 3) or homozygous factor VLeiden individuals (n = 3) were treated with 5 NIH U/mL (50 nmol/L) of α-thrombin for 5 minutes to both activate the platelets and release and activate the platelet-derived factor V. Hirudin (60 nmol/L) was then added to inhibit thrombin. The activated platelets were immediately removed from suspension by gentle centrifugation (1,100g for 5 minutes), and PCPS vesicles (20 μmol/L) were added to the supernatant to provide an appropriate alternate anticoagulant surface. APC (0.25 nmol/L) was added and at selected time points residual cofactor activity was monitored in a prothrombinase assay using purified protein components with saturating amounts of factor Xa (5 nmol/L) and PCPS vesicles (20 μmol/L) as previously described.8,36 At the same time intervals, samples of the reaction mixture were withdrawn and subjected to SDS-PAGE using a 5% to 15% gradient gel. After transfer to nitrocellulose, fragments were visualized using an MoAb (αHFVaHC#6), as described,25,29 44 that recognizes an epitope on the heavy chain of factor Va between amino acids 307-506. The line drawn through the inactivation profiles (A and B) represents the average of the three donors at each given time point and does not represent an attempt to fit the data to a first-order rate equation. The data points were normalized to the initial concentration of released cofactor for each donor. In (A), each of the symbols represents the time-dependent, APC-catalyzed inactivation of the platelet-derived factor Va cofactor activity from three normal donors (initial cofactor concentrations: 0.88, 0.91, and 2.70 nmol/L). The inset represents the proteolytic fragments derived from the inactivation on PCPS vesicles as visualized using immunoblotting techniques. Lane 1, platelet-derived factor Va, no APC; lanes 2 through 9, membrane-bound platelet-derived factor Va with APC for 1, 5, 10, 15, 30, 60, 90, and 120 minutes. In (B), each of the symbols represents the time-dependent, APC-catalyzed inactivation of the platelet-derived factor VaLeiden cofactor activity from three factor VLeiden donors (initial cofactor concentrations: 0.81, 0.91, and 1.30 nmol/L). The inset represents the proteolytic fragments derived from the inactivation on PCPS vesicles. Lane 1, platelet-derived factor VaLeiden, no APC; lanes 2 through 10, membrane-bound platelet-derived factor VaLeiden with APC for 1, 5, 10, 15, 30, 60, 90, and 120 minutes. The position of the molecular weight markers are indicated at the left of the insets. Controls here, and in other experiments, indicated that, in the absence of APC, platelet-derived factor Va and factor VaLeidenretained full cofactor activity throughout the time course either in the presence of PCPS vesicles or thrombin-activated platelets.
APC-catalyzed inactivation of platelet-derived factor Va and factor VaLeiden bound to phospholipid vesicles. Platelets (1 × 109/mL) from normal (n = 3) or homozygous factor VLeiden individuals (n = 3) were treated with 5 NIH U/mL (50 nmol/L) of α-thrombin for 5 minutes to both activate the platelets and release and activate the platelet-derived factor V. Hirudin (60 nmol/L) was then added to inhibit thrombin. The activated platelets were immediately removed from suspension by gentle centrifugation (1,100g for 5 minutes), and PCPS vesicles (20 μmol/L) were added to the supernatant to provide an appropriate alternate anticoagulant surface. APC (0.25 nmol/L) was added and at selected time points residual cofactor activity was monitored in a prothrombinase assay using purified protein components with saturating amounts of factor Xa (5 nmol/L) and PCPS vesicles (20 μmol/L) as previously described.8,36 At the same time intervals, samples of the reaction mixture were withdrawn and subjected to SDS-PAGE using a 5% to 15% gradient gel. After transfer to nitrocellulose, fragments were visualized using an MoAb (αHFVaHC#6), as described,25,29 44 that recognizes an epitope on the heavy chain of factor Va between amino acids 307-506. The line drawn through the inactivation profiles (A and B) represents the average of the three donors at each given time point and does not represent an attempt to fit the data to a first-order rate equation. The data points were normalized to the initial concentration of released cofactor for each donor. In (A), each of the symbols represents the time-dependent, APC-catalyzed inactivation of the platelet-derived factor Va cofactor activity from three normal donors (initial cofactor concentrations: 0.88, 0.91, and 2.70 nmol/L). The inset represents the proteolytic fragments derived from the inactivation on PCPS vesicles as visualized using immunoblotting techniques. Lane 1, platelet-derived factor Va, no APC; lanes 2 through 9, membrane-bound platelet-derived factor Va with APC for 1, 5, 10, 15, 30, 60, 90, and 120 minutes. In (B), each of the symbols represents the time-dependent, APC-catalyzed inactivation of the platelet-derived factor VaLeiden cofactor activity from three factor VLeiden donors (initial cofactor concentrations: 0.81, 0.91, and 1.30 nmol/L). The inset represents the proteolytic fragments derived from the inactivation on PCPS vesicles. Lane 1, platelet-derived factor VaLeiden, no APC; lanes 2 through 10, membrane-bound platelet-derived factor VaLeiden with APC for 1, 5, 10, 15, 30, 60, 90, and 120 minutes. The position of the molecular weight markers are indicated at the left of the insets. Controls here, and in other experiments, indicated that, in the absence of APC, platelet-derived factor Va and factor VaLeidenretained full cofactor activity throughout the time course either in the presence of PCPS vesicles or thrombin-activated platelets.
APC-catalyzed inactivation of platelet-derived factor Va and factor VaLeiden bound to thrombin-activated platelets. Platelets (1 × 109/mL) in the presence of RGDS peptide (1 mmol/L) from normal (A; n = 3) and factor VLeidenindividuals (B; n = 3) were treated with 5 NIH U/mL (50 nmol/L) of α-thrombin for 5 minutes. Hirudin (60 nmol/L) was then added to inhibit thrombin. The resulting thrombin-activated platelets were then used as the required membrane surface for the APC-catalyzed inactivation of platelet-derived factor Va. APC (0.25 nmol/L) was added and residual cofactor activity and proteolytic fragments derived from APC-catalyzed inactivation were monitored as described in Fig 1. The line drawn through the inactivation profiles (A and B) represents the average of the three donors at each given time point and does not represent an attempt to fit the data to a first-order rate equation. The data points were normalized to the initial concentration of released cofactor for each donor. In (A), each of the symbols represents the time-dependent, APC-catalyzed inactivation of the platelet-derived factor Va cofactor activity from three normal donors (initial cofactor concentrations: 1.40, 1.90, and 2.30 nmol/L). The inset represents the proteolytic fragments derived from the inactivation on thrombin-activated platelets. Lane 1, platelet-derived factor Va, no APC; lanes 2 through 9, platelet-bound platelet-derived factor Va with APC for 1, 5, 10, 15, 30, 90, 120, and 180 minutes. In (B), each of the symbols represents the platelet-derived factor VaLeiden cofactor activity from three factor VLeiden donors (initial cofactor concentrations: 0.91, 0.93, and 1.40 nmol/L). The inset represents the proteolytic fragments derived from the inactivation on thrombin-activated platelets. Lane 1, platelet-derived factor VaLeiden, no APC; lanes 2 through 10, platelet-bound platelet-derived factor VaLeiden with APC for, 1, 5, 10, 15, 30, 90, 120, 150, and 180 minutes. The position of the molecular weight markers are indicated at the left of the insets.
APC-catalyzed inactivation of platelet-derived factor Va and factor VaLeiden bound to thrombin-activated platelets. Platelets (1 × 109/mL) in the presence of RGDS peptide (1 mmol/L) from normal (A; n = 3) and factor VLeidenindividuals (B; n = 3) were treated with 5 NIH U/mL (50 nmol/L) of α-thrombin for 5 minutes. Hirudin (60 nmol/L) was then added to inhibit thrombin. The resulting thrombin-activated platelets were then used as the required membrane surface for the APC-catalyzed inactivation of platelet-derived factor Va. APC (0.25 nmol/L) was added and residual cofactor activity and proteolytic fragments derived from APC-catalyzed inactivation were monitored as described in Fig 1. The line drawn through the inactivation profiles (A and B) represents the average of the three donors at each given time point and does not represent an attempt to fit the data to a first-order rate equation. The data points were normalized to the initial concentration of released cofactor for each donor. In (A), each of the symbols represents the time-dependent, APC-catalyzed inactivation of the platelet-derived factor Va cofactor activity from three normal donors (initial cofactor concentrations: 1.40, 1.90, and 2.30 nmol/L). The inset represents the proteolytic fragments derived from the inactivation on thrombin-activated platelets. Lane 1, platelet-derived factor Va, no APC; lanes 2 through 9, platelet-bound platelet-derived factor Va with APC for 1, 5, 10, 15, 30, 90, 120, and 180 minutes. In (B), each of the symbols represents the platelet-derived factor VaLeiden cofactor activity from three factor VLeiden donors (initial cofactor concentrations: 0.91, 0.93, and 1.40 nmol/L). The inset represents the proteolytic fragments derived from the inactivation on thrombin-activated platelets. Lane 1, platelet-derived factor VaLeiden, no APC; lanes 2 through 10, platelet-bound platelet-derived factor VaLeiden with APC for, 1, 5, 10, 15, 30, 90, 120, 150, and 180 minutes. The position of the molecular weight markers are indicated at the left of the insets.
When platelets derived from normal or homozygous factor VLeiden individuals were thrombin-activated (50 nmol/L for 5 minutes) to provide both the cofactor and the required membrane surface for APC inactivation, near identity in the rate and extent of inactivation was observed for all platelet donors (Fig 2A and B). These rates were markedly attenuated when compared with PCPS vesicles (Fig 1A and B). Approximately 70% to 75% cofactor activity remained after 10 minutes of incubation with APC, with as much as 50% residual cofactor activity persisting after 3 hours of incubation. Additional studies with three normal donors indicated that complete inactivation of platelet-bound, platelet-derived factor Va could not be achieved even in the presence of high concentrations of APC (50 nmol/L), with as much as 15% residual cofactor activity remaining after 1 hour of incubation (data not shown).
A direct comparison of the initial (30 minutes) phase of the APC-catalyzed inactivation of normal platelet-derived factor Va (Fig 3, solid symbols; n = 3) and factor VaLeiden (Fig 3, open symbols; n = 3) indicated that the rates of inactivation between the normal and the variant cofactors on thrombin-activated platelets could not be distinguished. Experiments with 5 additional normal donors (Fig 3, inset) confirmed this observation and also indicated that the moderate normal donor variability (n = 4) observed previously29 is not consistent with the results of the expanded normal donor pool (n = 12) in this study. In fact, in our previous experiments, only one normal donor did not give results represented in Fig 3 (inset).
Comparison of the initial phase of the APC-catalyzed inactivation of platelet-derived factor Va and factor VaLeiden bound to thrombin-activated platelets. Data points from Fig 2A (normal platelet-derived factor Va; solid symbols, solid line) and 2B (platelet-derived factor VaLeiden; open symbols, dashed line) were plotted such that the initial 30 minutes of the reaction could be compared. The inset represents the initial (30 minutes) phase of the APC-catalyzed inactivation of platelet-derived factor Va on thrombin-activated platelets from 5 normal donors. The line drawn through the inactivation profiles for both graphs represents the average of the donors at a given time point and does not represent an attempt to fit the data to a first-order rate equation.
Comparison of the initial phase of the APC-catalyzed inactivation of platelet-derived factor Va and factor VaLeiden bound to thrombin-activated platelets. Data points from Fig 2A (normal platelet-derived factor Va; solid symbols, solid line) and 2B (platelet-derived factor VaLeiden; open symbols, dashed line) were plotted such that the initial 30 minutes of the reaction could be compared. The inset represents the initial (30 minutes) phase of the APC-catalyzed inactivation of platelet-derived factor Va on thrombin-activated platelets from 5 normal donors. The line drawn through the inactivation profiles for both graphs represents the average of the donors at a given time point and does not represent an attempt to fit the data to a first-order rate equation.
Immunoblotting experiments indicated that the APC-catalyzed cleavage at Arg506 in the normal platelet-derived cofactor (Fig 2A, inset) was substantially delayed when thrombin-activated platelets were used as the membrane surface as compared with that observed with PCPS vesicles. Thrombin-activated platelets were also unable to promote complete proteolysis of the platelet-derived factor Va heavy chain (normal or variant), confirming that a subpopulation of platelet-derived factor Va exists that is completely resistant to APC-induced proteolysis.
The substantial amounts of cofactor activity (normal or variant) remaining on thrombin-activated platelets relative to PCPS vesicles suggest that platelets protect platelet-derived factor Va or factor VaLeiden from inactivation by APC. We next investigated whether platelet-derived microparticles shared this unique ability. Platelet-derived microparticles (Fig 4, ▪) more closely mimicked PCPS vesicles rather than the intact, thrombin-activated platelet (Fig 4, •) with respect to supporting the rate and extent of APC-catalyzed inactivation of the cofactor. Platelet-derived microparticles supported the rapid inactivation of platelet-derived factor Va with only 12% cofactor activity remaining after 2 hours of incubation with APC, and Western blotting analyses indicated that APC promoted the rapid cleavage at Arg506 in a manner analogous to that observed with PCPS vesicles (data not shown). In contrast, the inactivation of platelet-derived factor Va (derived from the same donor) bound to thrombin-activated platelets was approximately fivefold slower, such that approximately 40% cofactor activity remained after 2 hours of incubation. Western blotting analyses indicated that cleavage of the platelet-bound cofactor at Arg506 was delayed and substantial amounts of the heavy chain remained (data not shown), consistent with results in Fig 2A (inset). Our results indicate that, once intact thrombin-activated platelets are removed, the apparent protection of platelet-derived factor Va from APC is lost and rapid cleavage at Arg506 occurs, suggesting that this protective effect resides with the intact thrombin-activated platelet and not centrifugation-induced microparticles. We were also able to show that the addition of PCPS vesicles to the thrombin-activated platelet/platelet-derived factor Va/APC mixture led to the rapid, yet again incomplete inactivation of platelet-derived factor Va (Fig 4, arrowhead, ▴). Thus, the addition of an anticoagulant surface could overcome the apparent protective effect imparted by thrombin-activated platelets.
Effect of thrombin-activated platelets on plasma-derived factor Va inactivation catalyzed by APC.
The apparent protective effect imparted by thrombin-activated platelets could result from the presence of an APC inhibitor released by platelets and/or the destruction of membrane binding sites for APC or factor Va. The observation that the addition of PCPS vesicles to an activated platelet/platelet factor Va/APC mixture (Fig 4, arrowhead) resulted in further inactivation of the platelet-derived cofactor, even though the cofactor activity had remained stable at approximately 45% for 1 hour, indicated that the protective effect imparted by the intact, activated platelets was not due to the presence of a membrane-associated or released, slow-acting inhibitor of APC. To verify this observation and to test the hypothesis that the membrane-binding sites required to support either platelet-derived factor Va or APC binding were being destroyed during the assay, experiments such as those shown in Fig 5were performed. Subsequent to thrombin-mediated platelet activation as described previously to effect platelet-derived factor Va release and activation and to provide an appropriate membrane surface for the APC-catalyzed inactivation of the bound cofactor, APC was added and approximately 60% of the platelet-derived factor Va cofactor activity was lost within 10 minutes. However, approximately 40% of the cofactor activity remained for more than 2 hours, at which time purified, plasma-derived factor Va (3 nmol/L, Fig 5, arrowhead) was added to the reaction mixture. A sharp increase in cofactor activity was observed, consistent with the presence of additional cofactor. However, this cofactor activity was lost such that, within 20 minutes, the cofactor activity once again stabilized at approximately 40% of the original activity, suggesting that the added plasma-derived factor Va was completely inactivated by APC and that the cofactor activity that remained was most likely due to the residual platelet-derived factor Va that appeared to be resistant to APC-catalyzed inactivation. These results indicate (1) that a sufficient number of membrane binding sites remain on the activated platelet surface for effective inactivation; (2) that the APC is fully functional during the course of the assay verifying the absence of a platelet-associated or released APC inhibitor; and (3) again suggest that the platelet- and plasma-derived cofactors represent different substrates for APC.
APC-catalyzed inactivation of plasma-derived factor Va bound to thrombin-activated platelets. Platelets (1 × 109/mL) in the presence of RGDS peptide (1 mmol/L) from a normal individual were treated with 2 NIH U/mL (20 nmol/L) of α-thrombin for 5 minutes to both activate the platelet and release and activate platelet-derived factor Va. Hirudin (30 nmol/L) was added to inhibit thrombin. APC (0.25 nmol/L) was then added to initiate the reaction and residual cofactor activity was monitored as described in Fig 1. (▪) The inactivation of platelet-derived factor Va on thrombin-activated platelets. After 2.5 hours, purified normal plasma-derived factor Va (3.0 nmol/L) was added (arrowhead) to the activated platelet/platelet factor Va/APC mixture (•). After the addition of plasma-derived factor Va, samples of the reaction mixture were immediately assayed for cofactor activity. Values are expressed as the initial rate (in micromoles per liter of IIa generation per minute) of prothrombinase activity, which is directly proportional to the amount of functional cofactor. No additional APC was added to the reaction mixture.
APC-catalyzed inactivation of plasma-derived factor Va bound to thrombin-activated platelets. Platelets (1 × 109/mL) in the presence of RGDS peptide (1 mmol/L) from a normal individual were treated with 2 NIH U/mL (20 nmol/L) of α-thrombin for 5 minutes to both activate the platelet and release and activate platelet-derived factor Va. Hirudin (30 nmol/L) was added to inhibit thrombin. APC (0.25 nmol/L) was then added to initiate the reaction and residual cofactor activity was monitored as described in Fig 1. (▪) The inactivation of platelet-derived factor Va on thrombin-activated platelets. After 2.5 hours, purified normal plasma-derived factor Va (3.0 nmol/L) was added (arrowhead) to the activated platelet/platelet factor Va/APC mixture (•). After the addition of plasma-derived factor Va, samples of the reaction mixture were immediately assayed for cofactor activity. Values are expressed as the initial rate (in micromoles per liter of IIa generation per minute) of prothrombinase activity, which is directly proportional to the amount of functional cofactor. No additional APC was added to the reaction mixture.
Effect of thrombin-activated platelets on the APC-catalyzed proteolysis of plasma-derived factor Va subsequent to clot formation.
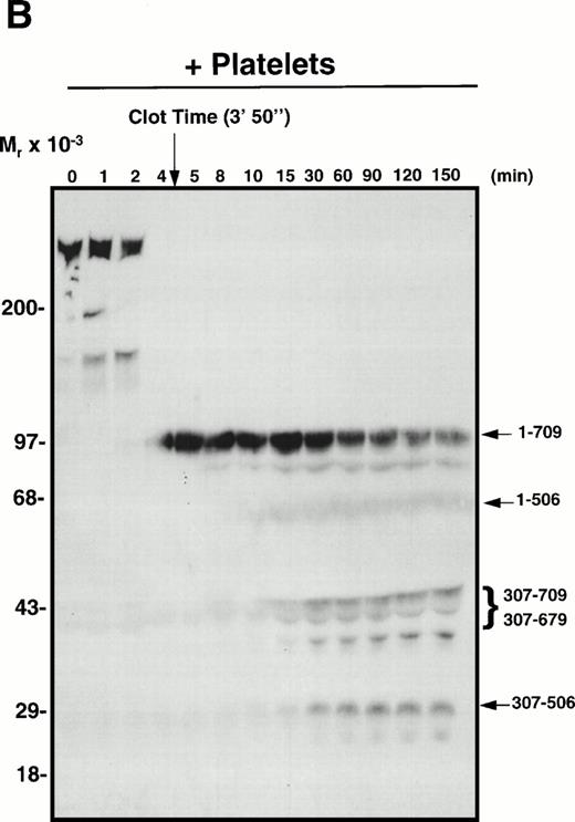
Studies were performed to analyze and compare what effect platelets and PCPS vesicles have on the APC-catalyzed proteolysis of plasma-derived factor Va (predominately) in a plasma-based clotting assay46 subsequent to clot formation. Addition of PCPS vesicles (10 μmol/L) and 5 mmol/L Ca2+ to platelet-free plasma (Fig 6A) resulted in clot formation by approximately 4 minutes, consistent with the loss of the procofactor factor V (Mr = 330,000) and the appearance of the 105-kD heavy chain. Subsequent to clot formation and in the absence of added APC (Fig 6A), time-dependent proteolysis of the factor Va heavy chain was observed with initial cleavage occurring at Arg506 (appearance of 75-kD fragment) followed by cleavage at Arg306 (appearance of 30-kD fragment). Because these fragments are identical in molecular weight to fragments obtained using purified plasma-derived factor Va and purified APC,9 25 we can conclude that plasma-derived factor Va is cleaved by endogenous APC that is generated during the assay. The addition of platelets (1 × 108/mL) and 5 mmol/L Ca2+ to platelet-free plasma resulted in clot formation by approximately 4 minutes (Fig 6B). The near identical time to clot formation in both experiments indicated that both plasma-based assay systems contained equivalent amounts of procoagulant surface required for thrombin formation. Subsequent to clot formation and in the absence of added APC (Fig 6B), cleavage of the factor Va heavy chain appeared slightly delayed, relative to that observed in the presence of PCPS vesicles, which is most likely due to slow initial cleavage at Arg506. However, once cleavage at Arg506occurred, rapid cleavage at Arg306 followed, as seen by the appearance of the 30-kD fragment. These results suggest that both plasma-based clotting assay systems contained not only similar amounts of procoagulant surface required for thrombin generation, but also contained similar amounts of anticoagulant surface required for APC-catalyzed inactivation of the formed factor Va.
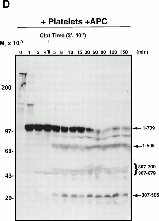
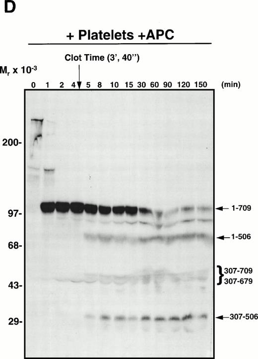
APC-catalyzed inactivation of plasma-derived factor Va subsequent to clot formation in the presence of PCPS vesicles or platelets. Pooled normal human plasma was diluted (1:10) in a glass test tube with 20 mmol/L HEPES/0.15 mol/L NaCl, pH 7.4. Phospholipid vesicles (PCPS; 10 μmol/L; A and C) or washed normal human platelets (1 × 108/mL; B and D) were added. CaCl2 (5 mmol/L, final) was then added to initiate clot formation, which was observed visually. In (C) and (D), exogenous APC (2.0 nmol/L) was added subsequent to clot formation as indicated by the arrow above the blots. At selected time intervals (indicated above each gel), samples of the reaction mixture were analyzed by SDS-PAGE and Western blotting techniques with MoAb α-HFVaHC#17, as described.45 The position of the molecular weight markers are indicated at the left of each blot and residue numbers corresponding to factor Va fragments are given at the right of each blot. Fragments migrating at approximately 45 kD and approximately 40 kD, which represent amino acids 307-709 and 307-679, respectively, normally migrate at approximately 60 kD and approximately 54 kD. However, because we are working with dilute plasma, the mobility of these fragments appears increased because of the high concentration of albumin present.
APC-catalyzed inactivation of plasma-derived factor Va subsequent to clot formation in the presence of PCPS vesicles or platelets. Pooled normal human plasma was diluted (1:10) in a glass test tube with 20 mmol/L HEPES/0.15 mol/L NaCl, pH 7.4. Phospholipid vesicles (PCPS; 10 μmol/L; A and C) or washed normal human platelets (1 × 108/mL; B and D) were added. CaCl2 (5 mmol/L, final) was then added to initiate clot formation, which was observed visually. In (C) and (D), exogenous APC (2.0 nmol/L) was added subsequent to clot formation as indicated by the arrow above the blots. At selected time intervals (indicated above each gel), samples of the reaction mixture were analyzed by SDS-PAGE and Western blotting techniques with MoAb α-HFVaHC#17, as described.45 The position of the molecular weight markers are indicated at the left of each blot and residue numbers corresponding to factor Va fragments are given at the right of each blot. Fragments migrating at approximately 45 kD and approximately 40 kD, which represent amino acids 307-709 and 307-679, respectively, normally migrate at approximately 60 kD and approximately 54 kD. However, because we are working with dilute plasma, the mobility of these fragments appears increased because of the high concentration of albumin present.
APC addition (2 nmol/L), subsequent to clot formation supported by PCPS vesicles (Fig 6C), resulted in the rapid and complete proteolysis of the factor Va heavy chain within 5 minutes, with cleavage occurring at Arg506 followed by rapid cleavage at Arg306. These results indicate that the incomplete proteolysis of the factor Va heavy chain observed in the previous experiment (Fig 6A) was a result of the very low concentrations of APC generated during the assay, because the addition of high concentrations of APC resulted in rapid proteolysis of the factor Va heavy chain. In marked contrast to these results, APC addition (2.0 nmol/L), subsequent to clot formation supported by platelets (Fig 6D), resulted in the delayed proteolysis of the plasma-derived factor Va heavy chain. Thus, even in the presence of high concentrations of APC, platelets were ineffective in accelerating the membrane-independent cleavage at Arg506, and as a result significant amounts of the factor Va heavy chain remained even after 150 minutes.
These combined results suggest (1) that activated platelets are less effective in promoting the APC-catalyzed inactivation of plasma-derived factor Va than PCPS vesicles; (2) that the activated platelet membrane surface can protect plasma-derived factor Va, in part by delaying the initial membrane-independent cleavage at Arg506, a mechanism not mimicked by PCPS vesicles; and (3) that both plasma- and platelet-derived factor Va will have sustained cofactor activity on the surface of thrombin-activated platelets even in the presence of APC.
DISCUSSION
Results from this study indicate that platelet-derived factor Va and factor VaLeiden are inactivated by APC at near identical rates, which is in marked contrast to the substantial difference observed (∼10- to 20-fold) in the APC-catalyzed rate of inactivation of plasma-derived factor Va and factor VaLeiden.25,26 28 Our results also indicate that complete inactivation of the platelet-derived cofactors could never be accomplished, with greater residual cofactor activity remaining on thrombin-activated platelets than that observed on platelet-derived microparticles or PCPS vesicles, suggesting that the thrombin-activated platelet protects the platelet-derived cofactor from inactivation by APC. In addition, the plasma-derived cofactor showed delayed inactivation on the platelet, indicating that activated platelets can also protect plasma-derived factor Va from APC-catalyzed inactivation. However, in contrast to the platelet-derived cofactor, plasma-derived factor Va was completely inactivated on the thrombin-activated platelet surface, indicating that the two cofactor pools must represent different substrates for APC.
What makes these two cofactor pools different substrates for APC is currently not known; however, differences in factor Va posttranslational modification events may provide some insight. Factor V undergoes several posttranslational modification events, such as sulfation,47,48 phosphorylation,49,50 and glycosylation,51,52 which may positively or negatively regulate its activity. For example, sulfation of factor V appears to be important for full procoagulant activity and for efficient thrombin cleavage and activation.48 Our group of investigators have demonstrated that plasma-derived factor Va is phosphorylated on the heavy and light chains by two platelet kinases.49,50 These phosphorylation events, especially within the heavy chain, appear to modulate its activity, because fully phosphorylated plasma-derived factor Va is inactivated approximately threefold faster by APC than its native dephosphorylated counterpart.49,53 Interestingly, platelet-derived factor Va only incorporates phosphate on the light chain upon release from the platelet,50 and this differential phosphorylation relative to plasma-derived factor Va may explain in part why platelet-derived factor Va is a poorer substrate for APC. Alternatively, recent studies indicate that removal of the N-linked carbohydrate from the heavy chain of plasma-derived factor Va increases its susceptibility to inactivation by APC.52Thus, elucidation of the variations in the platelet-derived factor V glycosylation pattern compared with plasma-derived factor V may help explain why the platelet-derived cofactor pool appears more resistant to APC.
Sustained cofactor activity at the activated platelet surface in the presence of APC is not due solely to the release of a more resistant cofactor. The observation that the APC-catalyzed rate of inactivation of platelet-derived factor Va and factor VaLeiden on thrombin-activated platelets is substantially attenuated compared with that observed on PCPS vesicles and platelet-derived microparticles suggests that a component of the intact, thrombin-activated platelet is involved in regulating this reaction. Support for this conclusion comes from the observation that the rate of inactivation was increased approximately fivefold upon removal of intact platelets from suspension, leaving platelet-derived microparticles. This increased rate of inactivation was paralleled by enhanced cleavage at Arg506, suggesting that activated platelets protect platelet-derived factor Va in part by delaying cleavage at Arg506. This concept is supported by the observations of Tans et al,7 who reported that platelet (<1 × 107/mL) anticoagulant activity increased more than 10-fold when reaction mixtures were stirred as compared with unstirred mixtures, suggesting that the generation of platelet-derived microparticles increased cofactor inactivation and overcame the apparent protection afforded by the intact platelet.
The ability of activated platelets to protect factor Va from APC-catalyzed inactivation is not due to either an insufficient number of membrane binding sites for APC or the cofactor or to the destruction of these sites, because the addition of plasma-derived factor Va to the reaction mixture resulted in its delayed, yet complete, inactivation by APC. This observation also eliminates the possibility that platelets contain and secrete an APC inhibitor, an hypothesis articulated by Jane et al,54 who observed that intact platelets require substantially higher concentrations of APC to inactivate plasma-derived factor Va compared with phospholipid vesicles. Rather, we would argue that activated platelets express a membrane component(s) that can protect both the plasma- and platelet-derived cofactors from APC-catalyzed inactivation. This membrane component may represent a specific platelet binding site for factor Va that has yet to be identified.
Although the mechanism by which platelets protect their associated factor Va from APC-catalyzed inactivation remains to be elucidated, our data clearly indicate that both normal platelet-derived factor Va and factor VaLeiden express an apparent APC-resistant phenotype in that they are inactivated at near identical rates and retain substantial cofactor activity, despite the presence of APC and independent of the membrane surface to which they are bound. These combined observations and the differences between the composition of an arterial and venous thrombus may help explain at the molecular level why there is a lack of association between factor VLeidenand arterial thrombosis.22-24 The composition of a thrombus is highly dependent on location and hemodynamic factors and differs greatly in arterial and venous thrombosis. Venous thrombi are formed under conditions of hypercoagulability in areas of stasis and are mainly composed of fibrin and red blood cells, but with relatively few platelets. Hence, plasma-derived factor Va or factor VaLeiden would be the predominant cofactor involved in thrombus formation. Because of increased resistance of plasma-derived factor VaLeiden to APC, this mutation would predispose to and be associated with venous thrombosis. In contrast, arterial thrombi form in regions of high flow, subsequent to injury (eg, atherosclerotic plaque rupture) and are composed mainly of platelets bound by fibrin strands. Because the main cellular procoagulant surface in arterial thrombi is the platelet, the predominant cofactor pool at the site of arterial injury would be platelet-bound, platelet-derived factor Va or factor VaLeiden. In fact, studies have indicated that the concentration of platelet-derived factor Va within a platelet-rich arterial thrombus is significantly increased (>100-fold) over plasma-derived factor Va.31 Because platelet-derived factor Va from both normal individuals and individuals homozygous for factor VLeiden are equally resistant to APC, factor VLeiden may not demonstrate a strong association with arterial thrombosis.
The ability of normal platelets to contribute to an apparent APC-resistant phenotype is supported by several studies55-57 that have shown that the addition of platelets into an APC-resistance assay (APTT ± APC) results in a decrease in the APC-sensitivity ratio. This effect is enhanced if the platelet samples have been freeze-thawed before use.55-57 Results from our plasma-based clotting assay reconstituted with platelets extend these studies and provide more insight into the mechanism of this effect. APC addition to a plasma clot formed in the presence of platelets resulted in substantially delayed factor Va heavy chain proteolysis at Arg506 relative to observations made when APC was added to a plasma clot formed in the presence of PCPS vesicles, which were present at an equivalent concentration of procoagulant/anticoagulant sites (Fig 6C and D). These observations were interpreted to indicate that platelets also protect plasma-derived factor Va from inactivation by APC. As a result of delayed cofactor inactivation in the presence of platelets, thrombin generation would be prolonged and an APC resistant phenotype would be observed compared with assay systems that use synthetic vesicles or rabbit brain phospholipid.
Delaying APC-catalyzed factor Va inactivation at the activated platelet surface would lead to the sustained activity of prothrombinase, resulting in ongoing thrombin generation at a site of arterial injury. One possible consequence of sustained thrombin generation is the inhibition of fibrinolysis through the enhanced activation of thrombin-activatable fibrinolysis inhibitor (TAFI). Studies from our laboratory indicate that APC, which is profibrinolytic in the absence of platelets,58-60 is virtually ineffective in augmenting fibrinolysis in the presence of platelets and TAFI.61 This effect could be attributed specifically to the release of APC-resistant platelet-derived factor Va. Thus, in that setting, platelets played both a procoagulant and antifibrinolytic role, resulting in formation of a thrombus resistant to fibrinolysis. This observation is consistent with studies performed in experimental models of arterial disease.62-65 One study demonstrated that recombinant tick anticoagulant peptide (rTAP), a potent factor Xa inhibitor, when administered conjunctively with recombinant tissue plasminogen activator, can significantly accelerate thrombolytic reperfusion and prevent acute reocclusion, whereas standard heparin appeared to be far less effective.63 Therefore, the effects of rTAP in this system directly implicate de novo ongoing thrombin formation as a major source of procoagulant activity within a platelet-rich thrombus, with the sustained thrombin formed most likely due to the APC-resistance of the released and bound platelet-derived factor Va.
Although the studies reported here demonstrate that platelet-derived factor Va and factor VaLeiden are not effectively inactivated at the platelet surface by APC, in vivo studies with primates suggest that, under arterial flow conditions,66,67infused APC may be an effective antithrombotic by partially inhibiting both platelet and fibrin thrombus formation as well as by enhancing the thrombolytic effectiveness of infused urokinase.68Thrombin, through activation of protein C, was shown to have similar effects.69 Although these in vivo studies could be interpreted to argue that APC is effective in preventing arterial thrombosis, the mechanism(s) of this effect is not clear. APC may be exerting this effect by acting as an anticoagulant through inactivation of the procofactors factors V and VIII as well as the cofactors factors Va and VIIIa. Alternatively, APC may be exerting a profibrinolytic effect or reducing platelet activation. Direct conclusions regarding the mechanism of APC antithrombotic effects may be difficult to make because, to our knowledge, the concentration of baboon platelet-derived factor Va and its susceptibility to APC inactivation have not been investigated, parameters that are essential to consider when evaluating the effects of APC on a system that involves platelets and the regulation of thrombin generation at their surface.
Collectively, the results of our study underscore the role that activated platelets play in sustaining procoagulant events. Platelets fulfill this function in part by delaying and/or preventing inactivation of their membrane-bound factor Va and through the release of a pool of factor Va molecules expressing an APC-resistant phenotype. Such mechanisms will allow for the continuous assembly and function of the prothrombinase complex via platelet-bound factor Va, which will lead to the sustained generation of thrombin. Whereas these mechanisms that platelets use to sustain procoagulant events are a vital part of their physiological function in preventing hemorrhage subsequent to vascular injury, these same mechanisms appear to contribute to the formation and maintenance of thrombi formed in pathological arterial disease states. APC may not be as effective an inhibitor/inactivator of those processes. Therefore, effective strategies in attenuating ongoing thrombin generation in arterial thrombosis will require inhibition of the bound factor Xa or displacement of the prothrombinase complex from the surface of the activated platelet.
Supported by Grant No. HL P01-46703, Project 4 (to P.B.T.), and Regione del Veneto, Giunta Regionale-Ricerca Sanitaria Finalizzata No. 483/03/94, Venezia, Italia (to P.S.).
Presented in part in abstract form at 37th Annual Meeting of the American Society of Hematology, December 1-5, 1995, Seattle, WA (Blood 86:201a, 1995 [abstr, suppl 1]) and the XVIth Congress of the International Society on Thrombosis and Haemostasis, June 6-12, 1997, Florence, Italy (Thromb Haemost June 1997 [abstr 2504, suppl]).
Address reprint requests to Paula B. Tracy, PhD, Department of Biochemistry, Given C409, University of Vermont, College of Medicine, Burlington, VT 05405-0001.
The publication costs of this article were defrayed in part by page charge payment. This article must therefore be hereby marked “advertisement” in accordance with 18 U.S.C. section 1734 solely to indicate this fact.





















