Abstract
Mouse monocytic Mm-A, Mm-P, Mm-S1, and Mm-S2 cells are sublines of mouse monocytic and immortalized Mm-1 cells derived from spontaneously differentiated, mouse myeloblastic M1 cells. Although these subline cells retain their monocytic characteristics in vitro, Mm-A and Mm-P cells are highly leukemogenic to syngeneic SL mice and athymic nude mice, whereas Mm-S1 and Mm-S2 cells are not or are only slightly leukemogenic. To better understand the molecular mechanisms of these levels of leukemogenicity, we investigated putative leukemogenesis-associated genes or oncogenes involved in the maintenance of growth, especially in vivo, by means of differential mRNA display. We isolated a fragment clone (15T01) from Mm-P cells. The mRNA probed with 15T01 was expressed at high levels in leukemogenic Mm-P and Mm-A cells but not in nonleukemogenic Mm-S1 and Mm-S2 cells. The gene corresponding to 15T01, named TRA1, was isolated from an Mm-P cDNA library. The longest open reading frame of the TRA1 clone predicts a peptide containing 204 amino acids with a calculated molecular weight of 23,049 D. The predicted TRA1 protein is cysteine-rich and contains multiple cysteine doublets. A putative normal counterpart gene, named NOR1, was also isolated from a normal mouse kidney cDNA library and sequenced. NOR1 cDNA predicts a peptide containing 234 amino acids. The sequence of 201 amino acids from the C-terminal NOR1 was completely identical to that of TRA1, whereas the remaining N-terminal amino acids (33 amino acids) were longer than that (3 amino acids) of TRA1 and the N-terminus of NOR1 protein contained proline-rich sequence. A similarity search against current nucleotide and protein sequence databases indicated that the NOR1/TRA1 gene(s) is conserved in a wide range of eukaryotes, because apparently homologous genes were identified in Caenorhabditis elegans and Saccharomyces cerevisiae genomes. Northern blotting using TRA1-specific and NOR1-specific probes indicated that TRA1 mRNA is exclusively expressed in leukemogenic but not in nonleukemogenic Mm sublines and normal tissues and also indicated that NOR1 mRNA is expressed in normal tissues, especially in kidney, lung, liver, and bone marrow cells but not in any Mm sublines. After leukemogenic Mm-P cells were induced to differentiate into normal macrophages by sodium butyrate, the normal counterpart, NOR1, was expressed, whereas the TRA1 level decreased. Furthermore, transfection of TRA1 converted nonleukemogenic Mm-S1 cells into leukemogenic cells. These results indicate that the TRA1 gene is associated at least in part with the leukemogenesis of monocytic Mm sublines.
CELL LINES ESTABLISHED from transformants of a variety of tissues provide excellent tools with which to study malignancy as well as the properties of corresponding normal cells in a homogeneous cell population. Several murine and human monocyte/macrophage-like cell lines have been isolated.1-9 Because the biochemical and physiologic functions of these cell lines seem to represent different stages of arrest of development within the monocyte and macrophage series of cells, these monocyte/macrophage-like cell lines are useful in studies of the relationships between cell functions and differentiation stages. However, little is known about the relationship between the in vitro characteristics of these monocyte/macrophage-like cells and their in vivo leukemogenicity.10-12
The mouse monocytic Mm-1 cell line was derived from spontaneously differentiated mouse myeloblastic M1 cells.3 We obtained variant sublines of Mm-1 cells with high (Mm-A and Mm-P) and little or no (Mm-S1 and Mm-S2) leukemogenic potential in syngeneic SL mice.10 These differences were also evident in athymic nude mice. There were no significant differences in the proliferation rates of these cells in vitro in liquid medium containing 10% calf serum. Furthermore, all the variants retain their monocytic characteristics in vitro; they phagocytize latex beads and sensitized sheep erythrocytes, produce lysozyme, and adhere to culture dishes. We used these Mm-1 sublines as models in studies on the growth and differentiation of leukemic cells in the intermediate stage of differentiation and models in studies on the development of new strategies for the control of monocytic leukemias that are refractory to conventional cytotoxic antileukemic drugs.10 13-17 However, the reasons for the different leukemogenic potentials between Mm-A and Mm-P cells and Mm-S1 and Mm-S2 cells remain unknown. Studies on the characteristics of Mm variants may provide us with valuable information about how the malignant growth of monocytic leukemia cells is controlled.
A polymerase chain reaction (PCR)-based procedure termed differential mRNA display has been proven to be very useful in rapidly identifying genes that are differentially expressed under a variety of conditions. Many genes subject to growth factor induction as well as those involved in tumorigenesis or metastasis were thus identified.18-27 We applied the differential mRNA display to RNA prepared from leukemogenic (Mm-A and Mm-P) and nonleukemogenic monocyte sublines (Mm-S1 and Mm-S2). We identified and characterized a gene designated TRA1 that was exclusively expressed in the leukemogenic monocytic sublines. The normal-type of TRA1, named NOR1, was also isolated from a mouse kidney cDNA library and characterized. Both TRA1 and NOR1 are novel genes and the predicted TRA1 protein was a truncated form (30-amino acid deletion from the N-terminus) of the NOR1 protein. We examined whether the expression of TRA1 and NOR1 mRNAs could be modulated during the induction of normal differentiation of leukemogenic Mm-P cells. We also examined whether the TRA1-transfected Mm-S1 or Mm-S2 cells became leukemogenic in syngeneic mice.
MATERIALS AND METHODS
Cells and cell culture.Mm-A, Mm-P, Mm-S1, and Mm-S2 cells10 are mouse monocytic sublines of monocytic and nonleukemogenic Mm-1 cells3 that originally developed spontaneously from mouse myeloblastic leukemia M1 cells.28 Mm-A and Mm-P are leukemogenic in syngeneic SL mice, whereas Mm-S1 and Mm-S2 cells have little or no leukemogenicity.10 These subline cells adhere to culture dishes and have similar monocytic properties. They were cultured in Eagle's minimum essential medium containing 10% heat-inactivated calf serum and twice the normal concentrations of amino acids and vitamins.
RNA extraction and Northern blotting.RNA was extracted as described by Chomczynski and Sacchi29 using guanidium thiocyanate. Poly(A)+ RNA was purified with oligo(dT)-cellulose chromatography. Fifteen micrograms of total RNA or 1 μg of poly(A)+ RNA was size-fractionated on a denaturing formaldehyde agarose (1%) gel and transferred onto a nitrocellulose membrane (Schleicher & Schuell, Dassel, Germany). Northern hybridization was performed as described.30 To determine the relative amounts of mRNAs, the intensities of individual mRNA bands were quantified using a Fujix BAS 2000 Bioimaging analyzer (Fuji Film Co, Ltd, Tokyo, Japan) and then normalized to that of β-actin mRNA.
Differential display of mRNA.Differential mRNA display was performed using RNAmap Kits A, B, C, and D (GenHunter Corp, Brookline, MA) according to the manufacturer's recommendations. Briefly, 0.2 μg of DNase-treated total RNA from four Mm subline cells was reverse transcribed with T12MA, T12MG, T12MC, or T12MT (where M may be dG, dA, dT, or dC) as a primer, followed by PCR amplification in the presence of [35S]dATP (Amersham, Buckinghamshire, UK) using the corresponding T12MN (downstream) and an arbitrary 10 mer (AP1-20, upstream) as a primer (1 primer set per reaction). PCR-amplified fragments of four Mm sublines were resolved by electrophoresis on a 6% denaturing polyacrylamide gel, which was then dried and exposed to Amersham Hyperfilm-βmax. The reaction showing differentially expressed fragments between leukemogenic (Mm-A and Mm-P) and nonleukemogenic (Mm-S1 and Mm-S2) sublines was repeated (reverse transcribed followed by PCR) to confirm the findings. The fragments that reproducibly expressed among the sublines were excised from the dried gels and reamplified by PCR using the corresponding set of primers. The amplified PCR fragments were purified from agarose gels using a Qiaex kit (Qiagen, Chatworth, CA) and used as probes for Northern blotting. The probes detecting differentially expressed mRNAs among Mm sublines on a Northern blot were subcloned into the PCRII vector by the TA cloning system (Invitrogen, San Diego, CA) according to the manufacturer's instructions. Subcloned fragments were again used as probes for Northern blotting. One (15T01) mRNA was sequenced using the ALF DNA Sequencer II and an AutoRead Sequencing kit (Pharmacia LKB, Uppsala, Sweden). The novelty of the isolated clone was confirmed by a computer search against the EMBL/Genbank/DDBJ DNA databases by BLASTN (BLAST service at the Human Genome Center of the University of Tokyo, Tokyo, Japan) program.31
cDNA library screening.Because the expression of TRA1 was highest in Mm-P cells among Mm sublines, we constructed an Mm-P cDNA library using a ZAP-cDNA synthesis kit (Stratagene, La Jolla, CA) according to the manufacturer's instructions. The cloned 15T01 cDNA fragment was used to screen about 1 × 106 plaques from the bacteriophage ZAP-cDNA library prepared from poly(A)+ RNA of Mm-P cells. Positive clones were isolated and rescued as plasmids. The partial 3′ cDNA fragment was also used to screen normal mouse kidney cDNA library (Clontech, Palo Alto, CA) to obtain its normal counterpart.
Assay of lysozyme activity.Lysozyme activity was determined by using lysoplates as described.10 Lysoplates contained 1% agar, 67 mmol/L sodium phosphate buffer (pH 6.6), 40 mmol/L NaCl, and 0.5 mg/mL of heat-killed Micrococcus lysodeikticus. The lysoplates were incubated for 24 hours at 27°C, and then the diameters of the clear zones on the plates were measured.
DNA transfection.The TRA1 cDNA was subcloned into pRc/cytomegalovirus (CMV) expression vector plasmid (Invitrogen) carrying CMV promoter and neoR genes. Nonleukemogenic Mm-S1 and Mm-S2 cells were transfected with 50 μg of linearized (Bgl II) plasmid DNA by electroporation using a Bio-Rad Gene Pulser (Bio-Rad, Hercules, CA) with voltage and capacitance set at 320 V and 960 μF, respectively. After 48 hours, the cells were subjected to selection in growth medium containing 400 μg of geneticin (GIBCO, Grand Island, NY) per milliliter. Within 4 weeks, surviving cells were detected. As judged from the frequency of positive wells, each well contained a clonal population of transfectants that were maintained in 200 μg of drug per milliliter. Cells (0.5 to 1 × 107) were injected intraperitoneally (IP) into SL mice. Leukemogenicity was determined as the survival time of animals with leukemia.10
Detection of transfected TRA1 mRNA by reverse transcriptase-PCR (RT-PCR).Total RNA (0.2 μg) from TRA1 cDNA-transfected and mock-transfected cells was converted to first-strand cDNA primed with random hexamer using the GeneAmp RNA PCR kit (Takara Shuzo, Ohtsu, Japan). The oligonucleotides used in PCR amplification were as follows: for transfected TRA1: sense strand, 5′-GACTCACTATAGGGAGACCC-3′; and antisense strand, 5′-GCTACTGCATCTCAGAGGTC-3′; and for GAPDH: sense strand, 5′-TGGTGAAGGTCGGTGTGAAC-3′; and antisense strand, 5′-GCCTTGACTGTGCCGTTGAA-3′. The PCR comprised 30 cycles for transfected TRA1 and 25 cycles for GAPDH, with denaturing at 94°C for 30 seconds, annealing at 60°C for 30 seconds, and extension at 72°C for 1.5 minutes. The reaction was performed in a GeneAmp PCR system 9600 (Perkin Elmer, Norwalk, CT). The PCR products were then subjected to 2% agarose gel electrophoresis.
RESULTS
Differentially expressed mRNAs in leukemogenic and nonleukemogenic Mm sublines detected by differential mRNA display.We used leukemogenic (Mm-A and Mm-P) and nonleukemogenic Mm sublines (Mm-S1 and Mm-S2)10 to isolate putative leukemogenesis-associated gene(s) and/or oncogene(s) sustaining in vivo growth. For each subline, 80 combinations of primer sets consisting of four degenerate anchored oligo(dT) primers, T12MA, T12MG, T12MC, or T12MT, where M refers to mixture of A, G, C, and T, and 20 short arbitrary 10 mers (AP1-20) were used for RT-PCR to obtain differential displays. The reactions showing differentially expressed bands among the sublines in sequencing gels were repeated to ensure reproducibility. The profiles of the amplified cDNA species among Mm sublines were largely identical (data not shown). A total of eight fragments were reproducibly and differentially expressed among the sublines. These fragments were PCR-reamplified and used as probes for Northern hybridization. Two (15T01 and 15C01) of eight were confirmed to be differentially expressed among the sublines, whereas the remaining six were false-positives. The differential display of PCR-amplified 15T01 and 15C01 fragments is shown in Fig 1.
Differential mRNA display of Mm subline cells. Total RNA isolated from Mm-A, Mm-P, Mm-S1, and Mm-S2 cells was reverse transcribed and amplified by PCR in the presence of [35S]dATP. AP-15 (5′-AGGGCCTGTT-3′ ) was used as an arbitrary primer and T12MT (A) or T12MC (B) was used as an anchored oligo(dT) primer. The PCR fragments were displayed on a 6% DNA sequencing gel and autoradiogrammed as detailed in the Materials and Methods. Fragments 15T01 (A) and 15C01 (B) are indicated by arrows.
Differential mRNA display of Mm subline cells. Total RNA isolated from Mm-A, Mm-P, Mm-S1, and Mm-S2 cells was reverse transcribed and amplified by PCR in the presence of [35S]dATP. AP-15 (5′-AGGGCCTGTT-3′ ) was used as an arbitrary primer and T12MT (A) or T12MC (B) was used as an anchored oligo(dT) primer. The PCR fragments were displayed on a 6% DNA sequencing gel and autoradiogrammed as detailed in the Materials and Methods. Fragments 15T01 (A) and 15C01 (B) are indicated by arrows.
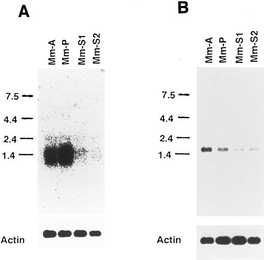
Differentially expressed mRNAs between leukemogenic and nonleukemogenic Mm sublines detected by Northern hybridization.The 15T01 PCR fragment was subcloned into the TA cloning vector. Six pure clones from the subcloning reaction were again used as probes for Northern blotting to identify the clone that detected differentially expressed mRNA. All probes from the six clones showed the same Northern blot pattern and one (15T01 Cl. 9) of them is shown in Fig 2A. Although the signal was quite broad, a 1.4-kb mRNA transcript was expressed in Mm-A and Mm-P cells but scarcely evident in Mm-S1 and Mm-S2 cells. The 15C01 fragment was also subcloned into the TA cloning vector. Only one (15C01 Cl. 24) of five clones from the subcloning reaction showed the same Northern blot pattern (Fig 2B), and the others did not have any signal in the blot. 15C01 was clearly homologous to a human randomly cloned cDNA (accession no. D14660 in the EMBL/Genbank/DDBJ DNA databases) from human myeloblastic leukemia KG-1 cells (data not shown). Because the 15T01 probe showed more obvious differences between the leukemogenic macrophage-like cells (Mm-A and Mm-P) and nonleukemogenic cells (Mm-S1 and Mm-S2) on Northern blots, we further analyzed the 15T01 fragment.
Northern blots of the mRNA (TRA1) probed with cloned fragment 15T01 and of the mRNA probed with the 15C01 in Mm subline cells. One microgram of poly(A)+RNA was isolated from Mm subline cells and Northern blotted as detailed in the Materials and Methods. The blots were first hybridized with 15T01 (clone 9; A) or 15C01 (clone 24; B; top), stripped, and then hybridized with β-actin (bottom). Size markers (in kilobases) are shown on the left.
Northern blots of the mRNA (TRA1) probed with cloned fragment 15T01 and of the mRNA probed with the 15C01 in Mm subline cells. One microgram of poly(A)+RNA was isolated from Mm subline cells and Northern blotted as detailed in the Materials and Methods. The blots were first hybridized with 15T01 (clone 9; A) or 15C01 (clone 24; B; top), stripped, and then hybridized with β-actin (bottom). Size markers (in kilobases) are shown on the left.
Cloning the TRA1 cDNA corresponding to 15T01 from an Mm-P cDNA library.The differentially expressed 15T01 clone was sequenced (Fig 3A, bold underline). A computer search using the BLAST service at the Human Genome Center of the University of Tokyo (Tokyo, Japan) was performed against the daily updated Nonredundant DNA databases, consisting of sequences from EMBL/Genbank/DDBJ databases. It indicated that 15T01 (266 bp) had no significant homology to any sequences deposited in these databases. The clone was flanked by the sequences of the primer set (Fig 3A and data not shown). It also had a putative polyadenylation signal ATTAAA, which is relatively common to eukaryotic mRNAs, upstream of the putative poly A tail, suggesting that it was located in the 3′ untranslated region.
(A) Nucleotide and deduced amino acid sequences of the TRA1 cDNA. The 15T01 fragment is underlined with a bold line and the region used for TRA1 specific 40-mer oligonucleotide probe MMPAS is underlined with a normal line. (B) Partial nucleotide and deduced amino acid sequences of NOR1 cDNA. The sequence downstream of the region indicated by the arrow is essentially identical to that of the TRA1 cDNA shown in (A). The region used for NOR1 specific probe N701AS is underlined. The nucleotide sequence data reported here will appear in the DDBJ, EMBL, and GenBank nucleotide sequence databases with the following accession numbers: D78354 for TRA1 and D78355 for NOR1.
(A) Nucleotide and deduced amino acid sequences of the TRA1 cDNA. The 15T01 fragment is underlined with a bold line and the region used for TRA1 specific 40-mer oligonucleotide probe MMPAS is underlined with a normal line. (B) Partial nucleotide and deduced amino acid sequences of NOR1 cDNA. The sequence downstream of the region indicated by the arrow is essentially identical to that of the TRA1 cDNA shown in (A). The region used for NOR1 specific probe N701AS is underlined. The nucleotide sequence data reported here will appear in the DDBJ, EMBL, and GenBank nucleotide sequence databases with the following accession numbers: D78354 for TRA1 and D78355 for NOR1.
We constructed a cDNA library from poly(A)+ RNA of Mm-P cells to obtain full-length cDNA clones corresponding to 15T01 cDNA. We screened approximately 1 × 106 plaques of the Mm-P cDNA library with the 15T01 cDNA fragment. Ten cDNA clones that gave highly positive signals with the probe were isolated from the library by plaque hybridization. The two clones carrying the largest cDNA insert of about 1.1 kb, including a poly A tail, were sequenced. The nucleotide sequences of the two clones were completely identical and we named this new gene TRA1 (transplantability associated gene 1). The nucleotide sequence (1,116 nucleotides) of TRA1 cDNA and the primary structure of the TRA1 protein deduced from the cDNA sequence are shown in Fig 3A. The 15T01 266-bp cDNA sequence obtained by differential display was located at the 3′ end of the cDNA, but with three base mismatches between the arbitrary primer (AGGGCCTGTT) and the original mRNA sequence (GTGCCCTGTT; Fig 3A) as predicted by the theory of differential display. The longest open reading frame of the TRA1 predicted a protein of 204 amino acids with a calculated molecular weight of 23,049 D. The predicted TRA1 protein is highly cysteine-rich (6.4%), with multiple cysteine doublets. The C-terminal amino acid was glutamine and the calculated isoelectric point (pI) of the TRA1 protein was 4.79. A TBLASTN31 search against the EMBL/GenBank/DDBJ databases indicated that the TRA1 protein sequence is significantly homologous to two and one potential gene products encoded in Caenorhabditis elegans (K08D10.7 and K08D10.8) and Saccharomyces cerevisiae (accession no. Z49600) genomes, respectively (Fig 4). The two C elegans sequences are closely related to each other with 88% of identical amino acid residues, whereas the TRA1 versus C elegans and TRA1 versus Scerevisiae sequences had 30% and 23% identical amino acids after they were multiply aligned. These results suggest that TRA1 protein is well conserved in divergent species.
Multiple sequence alignment of NOR1/TRA1 and its possibly related proteins from C elegans (c.el-1, K08D10.8; c.el-2, K08D10.7) and yeast (S cerevisiae; S.ce, accession no. Z49600). The NOR1 sequence downstream of the region indicated by the arrow is identical to that of TRA1 protein. The TRA1 sequence upstream of the common sequence is MFS. Completely conserved sites are indicated by the amino acid codes in capital letters. Conserved hydrophobic (o), hydrophilic (j), large aliphatic (@), aromatic ($), positive (H, R, K) (+), negative (N, D, E, Q) (−), and small amino acid (S, T, P, A, G) (.) sites are also indicated beneath the alignment obtained by a randomized iterative refinement method.42 Squares show well-conserved regions.
Multiple sequence alignment of NOR1/TRA1 and its possibly related proteins from C elegans (c.el-1, K08D10.8; c.el-2, K08D10.7) and yeast (S cerevisiae; S.ce, accession no. Z49600). The NOR1 sequence downstream of the region indicated by the arrow is identical to that of TRA1 protein. The TRA1 sequence upstream of the common sequence is MFS. Completely conserved sites are indicated by the amino acid codes in capital letters. Conserved hydrophobic (o), hydrophilic (j), large aliphatic (@), aromatic ($), positive (H, R, K) (+), negative (N, D, E, Q) (−), and small amino acid (S, T, P, A, G) (.) sites are also indicated beneath the alignment obtained by a randomized iterative refinement method.42 Squares show well-conserved regions.
Expression of the corresponding gene detected by 15T01 in normal mouse tissues.We examined whether normal tissues could also express the 1.4-kb mRNA by Northern blotting against 15T01 as the probe. As shown in Fig 5, the corresponding gene transcript was detected by the 15T01 probe in all tissues examined, although it was slightly larger (1.7 kb) than the 1.4-kb mRNA expressed in the leukemogenic Mm sublines (Figs 2A and 5B). The 1.7-kb mRNA expression was detected at high levels in the kidney, lung, liver, and bone marrow; at moderate levels in spleen, heart, and macrophages; and at low levels in muscle and brain.
Tissue distribution of the corresponding gene (NOR1) transcripts detected by 15T01. (A) Total RNA (15 μg) was isolated from various mouse tissues. (B) One microgram of poly(A)+ RNA was isolated from mouse kidney or Mm-A cells. Northern blots were sequentially hybridized with the 15T01 (top) and β-actin probes (bottom). Size markers (in kilobases) are shown on the left.
Tissue distribution of the corresponding gene (NOR1) transcripts detected by 15T01. (A) Total RNA (15 μg) was isolated from various mouse tissues. (B) One microgram of poly(A)+ RNA was isolated from mouse kidney or Mm-A cells. Northern blots were sequentially hybridized with the 15T01 (top) and β-actin probes (bottom). Size markers (in kilobases) are shown on the left.
Cloning of NOR1 cDNA corresponding to 15T01 from normal mouse kidney library.Because the molecular size of the TRA1 mRNA transcript from Mm-P and Mm-A monocytic leukemia cells differed from that of the mRNA transcript from normal tissues detected by 15T01 as probe (Fig 5), we screened approximately 1 × 106 plaques of the cDNA library from a normal mouse kidney with 15T01 and isolated four positive clones. The longest cDNA clone (NOR1) was sequenced. The NOR1 clone was longer (1,325 bp) than TRA1 (1,116 bp). The predicted amino acid sequence of NOR1 cDNA consists of 234 amino acids with a relative mass of 26,344 D. The sequence downstream from NOR1 nucleotide 313 was essentially identical to that from TRA1 nucleotide 104, with a few exceptions, as follows: nucleotide 487 (C→A) and nucleotide 561 (G→A) (neither of these changes cause an amino acid difference) in the coding region and nucleotide 953 and nucleotide 1307 in the 3′-noncoding region. Therefore, at the deduced amino acid level, the sequence of the 201 amino acids downstream from amino acid 34 was 100% identical to that of TRA1 from amino acid 4 (Fig 3A and B). On the other hand, the remaining 5′ sequences of NOR1 and TRA1 cDNA were quite different. Thirty-three amino acids at the N-terminus of NOR1 product were predicted from the unique 5′ sequence of NOR1, whereas only 3 amino acids at the N-terminus of TRA1 product were predicted from the remaining 5′ sequence of TRA1 cDNA. Thus, the N-terminus of TRA1 differed from that of NOR1 and consisted of a deletion of 33 amino acids normally found in mouse NOR1 and an insertion of 3 amino acids (MFS) that differed from the normal N-terminus (MPA) of NOR1. In addition, the N-terminal and unique amino acid portion of NOR1 product contained a proline-rich region consisting of 7 prolines in the first 12 amino acids, whereas there was no proline in the N-terminal 3 amino acids of the TRA1 product (Fig 3A and B).
Detection of TRA1- and NOR1-specific mRNAs.Because the 15T01 probe from the 3′-nontranslational region could not be used to distinguish between TRA1 and NOR1 mRNA transcripts, we designed TRA1-specific and NOR1-specific 40-mer oligonucleotide probes (MMPAS and N701AS, respectively; Fig 3, underlining). As shown in Fig 6A, the TRA1-specific probe MMPAS, which was similar to the 15T01 probe, detected the 1.4-kb TRA1 mRNA transcripts in Mm-A and Mm-P but not in Mm-S1 and Mm-S2 cells. The band of TRA1 transcripts detected by MMPAS in Mm-A and Mm-P cells was finer than that of TRA1 transcripts detected by 15T01 probe (Figs 2 and 6A). The TRA1 mRNA transcripts were not detected by the NOR1-specific probe N701AS in all the Mm subline cells (Fig 6A). On the other hand, N701AS as well as 15T01 probe detected the 1.7-kb NOR1 mRNA transcripts in normal mouse tissues (Figs 5 and 6B), whereas the TRA1-specific probe MMPAS did not detect any transcripts in all normal tissues examined (Fig 6B).
Expression of TRA1-specific mRNA in Mm subline cells and of NOR1-specific mRNA in normal mouse tissues. The expression of TRA1- and NOR1-specific mRNAs was detected with the TRA1- and NOR1-specific probes MMPAS and N701AS, respectively. (A) The expression of TRA1 and NOR1 mRNA in Mm subline cells. The same blot used in Fig 2 was sequentially hybridized with TRA1-specific probe (MMPAS) and NOR1-specific probe (N701AS). (B) The expression of TRA1 and NOR1 mRNA in normal mouse tissues. The same blot used in Fig 5 was sequentially hybridized with TRA1- and NOR1-specific probes.
Expression of TRA1-specific mRNA in Mm subline cells and of NOR1-specific mRNA in normal mouse tissues. The expression of TRA1- and NOR1-specific mRNAs was detected with the TRA1- and NOR1-specific probes MMPAS and N701AS, respectively. (A) The expression of TRA1 and NOR1 mRNA in Mm subline cells. The same blot used in Fig 2 was sequentially hybridized with TRA1-specific probe (MMPAS) and NOR1-specific probe (N701AS). (B) The expression of TRA1 and NOR1 mRNA in normal mouse tissues. The same blot used in Fig 5 was sequentially hybridized with TRA1- and NOR1-specific probes.
Downregulation of TRA1 mRNA and induction of NOR1 mRNA in differentiated Mm-P cells induced by sodium butyrate.We previously showed that monocytic Mm subline cells could be induced to further differentiate by sodium butyrate (butyrate).13 Butyrate markedly stimulates differentiation markers such as lysozyme synthesis and cell spreading and it suppressed the cell proliferation in all of Mm subline cells. We examined whether the expression of TRA1 mRNA could be changed or whether its normal counterpart NOR1 mRNA was expressed during the normal differentiation of leukemogenic Mm-P cells induced by butyrate. Mm-P cells were cultured in the presence of 0.3 or 0.4 mmol/L butyrate for 3 days. Butyrate (0.3 and 0.4 mmol/L) stimulated lysozyme activity (19- and 23-fold, respectively) in Mm-P cells (Fig 7) and inhibited cell proliferation (50% and 66% inhibition, respectively). As shown in Fig 8A and B, butyrate significantly suppressed the expression of TRA1 gene in differentiated Mm-P cells and the steady state level of TRA1 transcripts of 0.4 mmol/L butyrate-treated Mm-P cells decreased to about 20% of the level in untreated cells after 3 days. On the other hand, the NOR1 mRNA expression was markedly induced during the butyrate-induced differentiation of Mm-P cells into normal macrophages (Fig 8A and B). The size of NOR1 transcripts expressed in the butyrate-treated Mm-P cells was similar to that of the NOR1 transcripts expressed in normal tissues (Figs 5 and 8A). When Mm-P cell growth was suppressed by culturing in the absence of calf serum for 1 day, the expression of NOR1 mRNA was not induced in the Mm-P cells (data not shown). These results suggested that the induction of NOR1 mRNA is not simply linked to the inhibition of cell proliferation of Mm-P cells but to the induction of normal differentiation into macrophage-like cells.
Stimulation of lysozyme activity of Mm-P cells by butyrate. Mm-P cells were cultured in the presence or absence of butyrate for 3 days. Data are the means of three determinations.
Stimulation of lysozyme activity of Mm-P cells by butyrate. Mm-P cells were cultured in the presence or absence of butyrate for 3 days. Data are the means of three determinations.
Effect of butyrate on the expression of TRA1 and NOR1 mRNAs in Mm-P cells. (A) Mm-P cells were cultured in the presence or absence of butyrate for 3 days, and then poly(A)+RNA was isolated. Northern blots were sequentially hybridized with the indicated probes. Size markers (in kilobases) are shown on the right. Relative amounts of TRA1 mRNA and NOR1 mRNA (B) were determined as described in the Materials and Methods.
Effect of butyrate on the expression of TRA1 and NOR1 mRNAs in Mm-P cells. (A) Mm-P cells were cultured in the presence or absence of butyrate for 3 days, and then poly(A)+RNA was isolated. Northern blots were sequentially hybridized with the indicated probes. Size markers (in kilobases) are shown on the right. Relative amounts of TRA1 mRNA and NOR1 mRNA (B) were determined as described in the Materials and Methods.
Induction of leukemogenicity of TRA1-transfected Mm-S1 cells.To determine whether TRA1 expression directly correlates with leukemogenicity of Mm sublines, we inserted the entire coding region of TRA1 into the pRc/CMV vector plasmid and transfected it into nonleukemogenic Mm-S1 cells. Because we used sense strand primer at pRc/CMV vector and antisense primer at TRA1 cDNA for RT-PCR, only transfected TRA1 mRNA but not endogenous TRA1 mRNA was detected as a 236-bp band in our RT-PCR experiments. The TRA1-transfected Mm-S1 (Mm-S1/TRA1) cells expressed exogenous TRA1 mRNA, whereas expression of exogenous TRA1 mRNA was not detected in Mm-S1 transfectants obtained by using a vector carrying the selectable marker only (Mm-S1/neo; Fig 9, lanes 1 and 2). There were no detectable differences in in vitro growth rates and saturation densities of Mm-S1/TRA1 and Mm-S1/neo cells (data not shown). In initial in vivo experiments, inocula of 1 × 107 cells from cultures of ten Mm-S1/TRA1 clones and six Mm-S1/neo clones were IP injected into syngeneic SL mice (4 mice/each clone cells). Mice injected with Mm-S1/TRA1 clones died within 2 months, whereas no mice injected with Mm-S1/neo clones died within this time period (data not shown). Representative in vivo data using Mm-S1/TRA1 clone 24 and Mm-S1/neo clone 6 cells are shown in Fig 10. All mice that were IP injected with Mm-S1/TRA1 clone 24 cells died within 50 days, whereas no mice injected with Mm-S1/neo clone 6 cells died within this time period. Total RNA was extracted from the ascites of Mm-S1/TRA1 clone 24 cell-injected mice after ammonium chloride-treatment for removal of erythrocytes. We observed significant expression of exogenous TRA1 mRNA in the ascitic cells (Fig 9, lane 3) and in the cells after 7 days of in vitro culture (data not shown). Similar results were obtained when TRA1-transfected Mm-S2 cells were injected into SL mice (data not shown).
Detection of transfected TRA1 mRNA by RT-PCR. Total RNA (0.2 μg) was isolated from TRA1-transfected and mock-transfected Mm-S1 cells and RT-PCR was performed as detailed in the Materials and Methods. In this condition, transfected TRA1 mRNA and GAPDH mRNA (control) were detected as 236-bp and 178-bp bands, respectively. Lane 1, Mm-S1/neo clone 6 cells; lane 2, Mm-S1/TRA1 clone 24 cells; lane 3, Mm-S1/TRA1 clone 24 cells recovered from ascites of Mm-S1/TRA1 clone 24-injected mouse.
Detection of transfected TRA1 mRNA by RT-PCR. Total RNA (0.2 μg) was isolated from TRA1-transfected and mock-transfected Mm-S1 cells and RT-PCR was performed as detailed in the Materials and Methods. In this condition, transfected TRA1 mRNA and GAPDH mRNA (control) were detected as 236-bp and 178-bp bands, respectively. Lane 1, Mm-S1/neo clone 6 cells; lane 2, Mm-S1/TRA1 clone 24 cells; lane 3, Mm-S1/TRA1 clone 24 cells recovered from ascites of Mm-S1/TRA1 clone 24-injected mouse.
Induction of leukemogenicity of TRA1-transfected Mm-S1 cells. Ten mice were injected IP with 1 × 107 Mm-S1/TRA1 clone 24 cells (solid line) or Mm-S1/neo clone 6 cells (dotted line).
Induction of leukemogenicity of TRA1-transfected Mm-S1 cells. Ten mice were injected IP with 1 × 107 Mm-S1/TRA1 clone 24 cells (solid line) or Mm-S1/neo clone 6 cells (dotted line).
DISCUSSION
Cancer is caused by several genetic alterations that lead to uncontrolled cell proliferation. The process often involves the activation of cellular proto-oncogenes and inactivation of tumor-suppressor genes.32 In leukemia, as well as specific solid tumors, improved cytogenetic and molecular approaches have shown that specific translocations often result in the activation of proto-oncogene and/or the creation of tumor-specific fusion proteins.33,34 However, the molecular changes involved in the metamorphosis of immortalized and nonleukemogenic monocyte/macrophage-like cells to leukemogenic monocyte/macrophage-like cells remain unknown. We examined the expression of various proto-oncogenes such as c-myc, c-myb, c-jun, c-fos, c-fes, c-abl, and c-src in leukemogenic and nonleukemogenic Mm sublines but could not find any significant differences in their expression between the leukemogenic Mm-A/Mm-P cells and nonleukemogenic Mm-S1/Mm-S2 cells (T. Kasukabe, unpublished data). Therefore, we searched a putative gene(s) associated with the leukemogenic potential of Mm sublines by means of differential mRNA display technology.22 To avoid selecting genes that merely reflect clonal differences, we compared the mRNA displays between two leukemogenic Mm sublines and two nonleukemogenic sublines. There were only eight gene fragments that were differentially expressed between the leukemogenic and nonleukemogenic sublines. All of these fragments showed stronger displays in the leukemogenic than in the nonleukemogenic sublines (Fig 1 and data not shown). We confirmed the differential expression of two (15T01 and 15C01) of these eight gene fragments by Northern blotting. More abundant TRA1 mRNA was detected by 15T01 in leukemogenic Mm sublines than in nonleukemogenic sublines. The differential expression of TRA1 mRNA was similar by observed in several other Mm sublines with leukemogenic (7 clones) or nonleukemogenic (5 clones) potential (data not shown). The leukemogenic potential of the Mm-SP subline is notable. Mm-SP cells were originally a nonleukemogenic subline like Mm-S1 and Mm-S2 cells. Because Mm-SP cells markedly expressed TRA1 mRNA (data not shown), we reexamined their leukemogenic potential in syngeneic SL mice. All of the mice inoculated with 5 × 106 cells of Mm-SP cells died within 40 days (data not shown). These results further suggest that the expression of TRA1 mRNA is most tightly associated with leukemogenic potential in these monocytic Mm sublines.
TRA1 and NOR1 cDNAs predict proteins consisting of 204 and 234 amino acids, respectively. The C-terminal 201 amino acids of TRA1 protein are completely identical to those of NOR1 protein, whereas the rest of the N-terminal 3 residues of TRA1 and the 33 residues of NOR1 are unrelated to each other. Of the 12 N-terminal residues of NOR1 protein, 7 are prolines. Several reports have suggested a critical role of the proline-rich sequence in directing protein-protein interactions important for activation, inactivation, and downstream functioning of specific proteins.35-39 Thus, the unique 33 amino acids of the NOR1 protein including the proline-rich region might exert essential discriminative effects on structure and function of NOR1 and TRA1 proteins. The common part of the NOR1 and TRA1 proteins are rich in cysteines (6.4%) with multiple doublets. The significance of this observation is not clear. A hydropathy plot of NOR1 protein (Fig 11) indicates two hydrophobic regions. The C-proximal region (173-189 in TRA1 and 203-219 in NOR1) is more prominently hydrophobic and potentially constitutes a membrane-spanning helix. Consistent with this observation, an expert system (PSORT by K. Nakai Osaka University, Japan) for predicting subcellular localization of a protein from its amino acid sequence suggested that NOR1 and TRA1 are likely to be type II membrane proteins located either in endoplasmic reticulum membrane (85% certainty) or plasma membrane (44% certainty), although this prediction must be confirmed experimentally.
Hydropathy profile of NOR1 protein. Hydrophobicity profile of NOR1 protein was obtained by using DNASIS program with the index of Kyte and Doolittle.
Hydropathy profile of NOR1 protein. Hydrophobicity profile of NOR1 protein was obtained by using DNASIS program with the index of Kyte and Doolittle.
There seem to be two potential mechanisms that may generate these TRA1 and NOR1 transcripts. In leukemia, chromosomal translocations often result in generating rearranged genes that seem to be involved in the control of cellular growth and/or differentiation.33 34 Therefore, the TRA1 nucleotide might be derived from a chimeric gene with the normal NOR1 gene at its 3′ portion and a fragment of an unknown gene at its 5′ portion. Alternatively, the TRA1 and the NOR1 mRNAs may be generated by alternative splicing or by transcription from alternative promoters of the same gene. In a preliminary experiment, we performed long-range PCR using genomic DNAs from Mm-P cells and normal mouse bone marrow cells. The PCR using a sense strand primer at NOR1-specific cDNA region and an antisense primer at common cDNA region produced an approximately 3,000-bp band both in Mm-P and normal cells (data not shown). On the other hand, the PCR using genomic DNA from Mm-P cells and a sense strand primer at TRA1-specific cDNA region and an antisense primer at the common cDNA region produced the same size band as that of PCR product from TRA1 cDNA, but the PCR using genomic DNA from normal bone marrow cells and same primers did not produce any band (data not shown). These results suggest that the TRA1 nucleotide is derived from a chimeric gene with the normal NOR1 gene at its 3′ portion and a fragment of unknown gene at its 5′ portion. To confirm these preliminary results, the structure of the genomic DNA sequence(s) corresponding to the TRA1 and NOR1 mRNAs must be elucidated. The experiments to isolate the genomic TRA1/NOR1 DNA(s) are now under way in our laboratory.
The fact that apparently homologous genes are found in C elegans and S cerevisiae genomes indicates that the NOR1 gene have some important, evolutionarily conserved biological functions. The two homologous C elegans genes (K08D10.7 and K08D10.8) are closely related to each other and are tandemly arranged on chromosome IV, and yet another related gene-like sequence is found at the immediate neighbor on that chromosome. At least one of the genes (K08D10.8) is normally expressed, because several corresponding EST clones have been reported. It is not clear whether the yeast gene on chromosome X is expressed or is the unique one homologous to NOR1/TRA1 in the whole S cerevisiae genome. At present, no functional implication of these genes has been reported. The multiple sequence alignment suggests several discrete well-conserved regions (Fig 4). Most of the N-terminal region of NOR1 that is lacking in TRA1 is included in the first conserved block, indicating some functional role of this region. The most C-proximal conserved region is the tentative transmembrane domain as discussed above. However, neither BLOCK search40 of the NOR1 sequence, a search of the Prosite database, nor profile search41 of the multiple alignment against PIR/SWISS-PROT databases has shown any motif indicative of significant structural or functional commonality with other protein families.
In this study, we found that a novel TRA1 mRNA was exclusively expressed in leukemogenic mouse monocytic Mm sublines but neither in nonleukemogenic Mm sublines nor in normal mouse tissues and that its normal counterpart NOR1 mRNA was specifically expressed in normal tissues, including macrophages but not in either of Mm sublines, as shown in a schematic summary in Table 1. We postulate that there are at least two steps involved into converting normal monocytes to leukemogenic monocytic cells. The first is the change from normal cells to immortalized but nonleukemogenic cells such as Mm-S1 and Mm-S2 cells. This change is associated with loss of expression of NOR1 mRNA. The second is the change from immortalized monocytic cells to leukemogenic monocytic cells like Mm-A and Mm-P cells. This change is associated with induction of expression of TRA1 mRNA. Thus, the loss of expression of NOR1 mRNA and a lack of TRA1 mRNA induction may link the immortalization of monocytic cells, and the loss of expression of NOR1 mRNA and induction of expression of TRA1 mRNA may link the leukemogenesis of monocytic cells. TRA1 gene expression was downregulated, whereas that of NOR1 mRNA was induced in Mm-P cells exposed to butyrate, which inhibited their proliferation and induced their differentiation into normal macrophage-like cells. Transfection of TRA1 into nonleukemogenic Mm-S1 and Mm-S2 cells converted the cells from nonleukemogenic cells into significantly leukemogenic cells. These findings support this assumption. Although leukemogenicity of TRA1-transfected Mm-S1 cells is similar to that of Mm-P or Mm-A cells, we cannot eliminate a possibility that secondary mutations also play a role in the leukemogenesis of TRA1-transfected Mm-S1 cells. Further investigations are required to elucidate the detail roles of TRA1 and NOR1 in mouse monocytic leukemogenesis and functional and structural relationships between TRA1 and NOR1 genes.
ACKNOWLEDGMENT
We thank Dr O. Gotoh for computer analysis and critical review of the manuscript and Dr T. Eguchi for helpful suggestion during the course of the study.
Supported by a grant from the Ministry of Health and Welfare, Japan.
Address reprint requests to Takashi Kasukabe, PhD, Department of Chemotherapy, Saitama Cancer Center Research Institute, Ina, Saitama-362, Japan.
![Fig. 1. Differential mRNA display of Mm subline cells. Total RNA isolated from Mm-A, Mm-P, Mm-S1, and Mm-S2 cells was reverse transcribed and amplified by PCR in the presence of [35S]dATP. AP-15 (5′-AGGGCCTGTT-3′ ) was used as an arbitrary primer and T12MT (A) or T12MC (B) was used as an anchored oligo(dT) primer. The PCR fragments were displayed on a 6% DNA sequencing gel and autoradiogrammed as detailed in the Materials and Methods. Fragments 15T01 (A) and 15C01 (B) are indicated by arrows.](https://ash.silverchair-cdn.com/ash/content_public/journal/blood/89/8/10.1182_blood.v89.8.2975/4/m_bl_0008f1.jpeg?Expires=1766094103&Signature=IKhudIYrS5wbDCZ~jmW-EeMSgnP0YHDKSQtRPD014se3fMSg2akm8e-OYyISCKnOOokkeufEYBjJJYMeRULAipqhc~b2s8tOIni8gI9lDWPiuC9yopSqd8FFvWp8OO04FdCMOsgI3eMrVtpf9m4R6UsUWblKgoG6YzlYrWSuUiWgAFFRpB8q-wuUu8nHp0~0dl0TUEVo4ctJpBmTb7Gs-v70uJ0bb4PObbeT3LmXoBpNRAeFWQOeE7RpcDXGGCg3wAXxvXS6lGgglULdoczym3uJmzcvgZWOdtzXU5Y38CD7mzfXWWH3AxwsZOjAwrSb-4hviXIJMrNtRFCTBbPDZg__&Key-Pair-Id=APKAIE5G5CRDK6RD3PGA)











![Fig. 1. Differential mRNA display of Mm subline cells. Total RNA isolated from Mm-A, Mm-P, Mm-S1, and Mm-S2 cells was reverse transcribed and amplified by PCR in the presence of [35S]dATP. AP-15 (5′-AGGGCCTGTT-3′ ) was used as an arbitrary primer and T12MT (A) or T12MC (B) was used as an anchored oligo(dT) primer. The PCR fragments were displayed on a 6% DNA sequencing gel and autoradiogrammed as detailed in the Materials and Methods. Fragments 15T01 (A) and 15C01 (B) are indicated by arrows.](https://ash.silverchair-cdn.com/ash/content_public/journal/blood/89/8/10.1182_blood.v89.8.2975/4/m_bl_0008f1.jpeg?Expires=1766094104&Signature=HJ2C~M9ke4~IKADdKDq3xcgIBik1h4kbSHV0OT-vH1DHSG1GiskVPKlOQYEq5-sFURiJDuXgKbG5WezDt5km9gkxxEAJXfqdvMxyMEuVAtyOlKMy3eeow99TbuOkbB-zKxarLdU3nud~yesKQs2PR3gMKdlztkXRAwwir6k2OPLrkL-ACWBH5~i7MGm6eQKgLuVXDtLZD5rZu-ByazbzhnpZh1eo1psgcsKeE1RBcGG~JEb3QtRFd5CG4GEad3p9k99nRuf~NnEgwXRJ1dAU8CbdfrM9~OdIvwGNyGW1NkQBKzzFkLllQmLKdYQu53XIu6LpkyLl8mpA5lHRlDZKUQ__&Key-Pair-Id=APKAIE5G5CRDK6RD3PGA)










