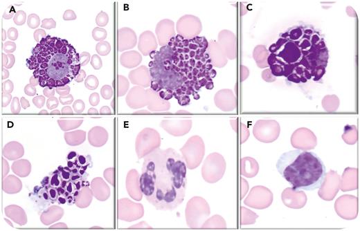
A 6-month-old boy with Hurler syndrome (mucopolysaccharidosis type IH) had an examination of cerebrospinal fluid as part of a pretransplantation work-up. Cerebrospinal fluid cytospin slides showed macrophages with numerous large deep magenta globular cytoplasmic inclusions individually surrounded by a clear halo (panels A-C: Wright-Giemsa stain; magnification ×1000). In addition, aggregates of identical inclusions were identified extracellularly (panel D: magnification ×1000), likely due to ruptured macrophages during slide preparation. Peripheral blood contamination was evident, but macrophages were not present in the corresponding blood smear. The cytoplasmic inclusions were not present in neutrophils and lymphocytes (panels E and F: magnification ×1000). Several neutrophils were hypersegmented with long, thin, filamentous chromatin strands (panel E: magnification ×1000), but without underlying causes for megaloblastic anemia or myelokathexis. There was accompanying neutropenia and normocytic normochromic anemia (white blood cell count 3600/μL, hemoglobin 8.3 g/dL, mean corpuscular volume 71.5 fL).
Hurler syndrome is caused by a deficiency in α-l-iduronidase, leading to defective lysosomal degradation of glycosaminoglycans and accumulation of these protein-carbohydrate complexes within lysosomes (Alder-Reilly inclusions). In macrophages, halo-ringed inclusions may resemble intracellular organisms (eg, Histoplasma or Leishmania). Nonspecific macrophage inclusions can be seen after antisense oligonucleotide therapies for lower motor neuron diseases. Extracellular aggregates of inclusions may be mistaken as staining artifacts or apoptotic cells. The relationship between neutrophil hypersegmentation and Hurler syndrome has yet to be described.
For additional images, visit the ASH Image Bank, a reference and teaching tool that is continually updated with new atlas and case study images. For more information, visit https://imagebank.hematology.org.
