Abstract

Organizing pneumonia (OP) is a known noninfectious pulmonary complication following allogeneic hematopoietic cell transplant (HCT) and represents a significant risk factor for nonrelapse mortality in HCT recipients. Unlike bronchiolitis obliterans syndrome, it is not universally acknowledged as a distinctive pulmonary manifestation of chronic graft-versus-host disease (cGVHD) and, therefore, its diagnostic criteria and management approach are lacking. Given its shared similar clinical features and radiological and histologic findings to OP in the non-HCT population, the diagnostic approach and treatment strategy for OP in HCT recipients is largely adapted from the non-HCT population. In this article, we aim to enhance the understanding of OP within the context of cGVHD following HCT and distinguish its clinical features and treatment strategy from non-HCT counterparts, thereby reinforcing its recognition as a pulmonary manifestation of graft-versus-host disease. We will propose the diagnostic criteria and outline our approach in diagnosis and treatment strategy, highlighting the potential challenges that may arise in each process. Finally, we will discuss knowledge gaps in this field and identify the area of need for future research.

Organizing pneumonia (OP) is a form of interstitial lung disease that can arise from a variety of causes, including an idiopathic reaction to medications, collagen vascular disease, aspiration or infection, and common variable immunodeficiency.1 In addition to these causes, OP is also a known noninfectious pulmonary complication following allogeneic hematopoietic cell transplant (HCT). Despite the association of OP with an increased morbidity and mortality after HCT, the understanding of its epidemiology, including its association with chronic graft-versus-host disease (cGVHD), is poorly characterized. Unlike bronchiolitis obliterans syndrome (BOS), OP is not recognized as a distinctive manifestation of cGVHD in National Institutes of Health (NIH) cGHVD guidelines.2,3 Regardless of its underlying cause, histologically, OP is characterized by intraluminal granulation tissue, comprising a mixture of fibroblasts and myofibroblasts that fill the distal respiratory bronchioles, extending to the alveolar ducts and alveolar sacs with surrounding inflammatory cells in the lung interstitium.4-6 Consequently, the diagnostic and treatment approaches of OP in HCT recipients have been adapted from OP that occurs in the non-HCT population. At our institution, patients undergoing HCT evaluation or HCT recipients who develop pulmonary issues are referred to a specialized HCT Chest Clinic. As will be delineated in this review, there are clinical features, disease course, and treatment strategies that distinguish the HCT-OP population from its non-HCT counterparts. These differences warrant further exploration and discussion.

For the readers’ clarity, we will use the term HCT-OP to denote OP that occurs in the setting of graft-versus-host disease (GVHD), as opposed to the commonly used cryptogenic OP (COP) or the previously used bronchiolitis obliterans with OP, which is often used to describe OP without a clear antecedent cause. In this review, we aim to share our knowledge of HCT-OP by summarizing our approach to its diagnosis and treatment, highlighting potential challenges faced in each phase of treatment, and addressing knowledge gaps, thereby identifying areas for future research.

A 73-year-old man with a history of myelodysplastic syndrome, who received a nonmyeloablative allogeneic peripheral blood stem cell transplant (PBSCT), presented with progressive dyspnea, a nonproductive cough, and hypoxemia a year after HCT. Weeks before presentation, the patient was newly diagnosed with cGVHD of the skin. A chest computed tomography (CT) scan showed upper lobe predominant ground-glass opacities in a subpleural and peribronchovascular distribution (Figure 1A). The patient was treated for infectious pneumonia with levofloxacin without improvement. Clinical history did not reveal an antecedent exposure to medications associated with OP. Bronchoscopy with bronchoalveolar lavage (BAL) was performed, and microbiology culture results for bacterial, fungal, and viral pathogens were negative. On the basis of a lack of association with known pulmonary toxic medications or infectious agents, HCT-OP was diagnosed, and prednisone (1 mg/kg per day) was initiated with a slow taper over 4 months. The patient’s clinical symptoms rapidly resolved, including his skin cGVHD, and radiological improvement was achieved (Figure 1B).

Figure 1.

Representative coronal images from a noncontrast chest CT scan. (A) CT scan of the chest, demonstrating a right-sided upper lobe–predominant, peripheral ground-glass opacity at the diagnosis of organizing pneumonia. (B) CT images after 4 months of treatment with prednisone, demonstrating resolution of opacities.

Figure 1.

Representative coronal images from a noncontrast chest CT scan. (A) CT scan of the chest, demonstrating a right-sided upper lobe–predominant, peripheral ground-glass opacity at the diagnosis of organizing pneumonia. (B) CT images after 4 months of treatment with prednisone, demonstrating resolution of opacities.

Close modal

Discussion of case 1

This case illustrates the typical presentation of HCT-OP. Typical symptoms of OP include dyspnea, a nonproductive cough, pleuritic chest pain with deep inspiration, and low-grade fevers.7,8 HCT-OP can occur in both adult and pediatric HCT recipients.9-11 HCT-OP often occurs temporally with new onset or an exacerbation of extrapulmonary GVHD, most commonly associated with the skin, gastrointestinal tract, or oral GVHD.5,8,12,13 Infrequently, it can occur while GVHD in other organs is in remission. Most HCT-OP occurs within the first 3 years after HCT, but late occurrences have being described.5,8,14-17 Freudenberger et al described 49 cases of biopsy-proven OP manifesting from a few days to >7 years after HCT.5 Because the symptoms and imaging studies of OP closely resemble those of infectious pneumonia, the diagnosis of HCT-OP is often delayed, potentially contributing to the morbidity and mortality associated with this disease.

Although our understanding of the epidemiology of HCT-OP is limited, in a single case-control study, 49 cases (0.9%) of biopsy-proven OP were found in 5340 patients who received an allogeneic HCT.5 There was a significant association between OP and both acute GVHD (odds ratio, 3.8; 95% confidence interval [CI], 1.2-12.3) and cGVHD (odds ratio, 3.1; 95% CI, 1.1-9.2). Thus, although the pathophysiology for HCT-OP is poorly characterized, the temporal relationship between its occurrence and onset of GVHD is suggestive of similar immune-mediated injury.5,9,12,18-21 Other risk factors for HCT-OP include the stem cell source other than umbilical blood, a myeloablative conditioning regimen, and the use of high-dose irradiation. However, because of the inherent limitations from single-center retrospective studies, these findings have not been consistently observed.12-14,18 Although, at present, there are no defined diagnostic criteria, we propose the following criteria for the diagnosis of HCT-OP:

  1. History of allogeneic HCT.

  2. Presence or history of acute or chronic GVHD in another organ, regardless of disease activity.

  3. Chest CT findings consistent with OP.

  4. A decline in diffusion capacity for carbon monoxide (DLCO) with a restrictive spirometric pattern (Table 1).

  5. Absence of an infectious pathogen in respiratory cultures or absence of clinical or radiological improvement despite broad-spectrum antimicrobial therapy.

  6. Lung biopsy compatible with OP (if available).

The diagnosis of HCT-OP requires a comprehensive clinical evaluation, including exclusion of associated conditions, such as drug-induced pneumonitis. Currently, there are no tests, including pulmonary function testing (PFT), that are specific and capable of distinguishing a drug-induced pneumonitis from OP. Therefore, the diagnosis is established by carefully evaluating the patient’s history for an exposure to a medication known to induce pneumonitis (see www.pneumotox.com). Infectious causes should be vigorously ruled out given the risk of augmenting immunosuppression in the setting of an active infection. Early involvement of a pulmonologist is essential for assisting in the diagnosis and evaluation of pulmonary complications in HCT recipients.22 Flexible bronchoscopy with BAL is a commonly used diagnostic tool in identifying opportunistic infections in the immunocompromised host. Bronchoscopy can be safely performed in the critically ill patient and even those with severe thrombocytopenia.23,24 For a patient who is not suitable for bronchoscopy because of clinical instability, an alternative diagnostic method, such as respiratory culture, respiratory virus polymerase chain reaction (PCR), serum PCR for molds, and other non–culture-based fungal tests (eg, β-D-glucan and Aspergillus galactomannan) should be used. Involvement of an immunocompromised infectious disease specialist to assist with the workup is strongly recommended. We favor the use of both a bronchoscopy study together with noninvasive tests, as both modalities have their own limitations but complement each other when used concurrently.25-27 The yield for bronchoscopy in HCT recipients is often affected by various factors, namely, timing of bronchoscopy, duration of antimicrobial therapy before bronchoscopy, presence of acute GVHD, or neutropenia.28 Noninvasive studies in this scenario can increase diagnostic yield.25 However, there are certain pulmonary complications following HCT where a diagnosis cannot be established by a noninvasive test (eg, diffuse alveolar hemorrhage, infection attributable to other pathogens, such as nontuberculosis mycobacterium, when induced sputum cannot be obtained); in such cases, the benefit of pursuing a bronchoscopy outweighs the potential risk. Lung biopsy is usually deferred because of a high risk of procedural complications observed in the population with cGVHD.3,28-32 We reserve lung biopsy for highly selective cases, for example, instances where (i) the diagnosis remains elusive despite comprehensive assessment; (ii) the patient has not improved clinically despite treatment with corticosteroids; or (iii) malignancy or invasive fungal disease remains high on the differential.

Radiological appearance of HCT-OP can be diverse, ranging from the classic atoll sign (Figure 2) to a combination of nonspecific ground-glass opacities and consolidation in peribronchovascular or subpleural distribution, with or without architectural distortion of the lung, resulting from fibrosis.19 HCT-OP can occur either unilaterally or bilaterally, as a single lesion or with multifocal consolidations without zonal preference.20,33 Rarely, HCT-OP may present as distinct nodular consolidation.34 If the clinical history and radiographic history are highly suggestive of HCT-OP and infectious workup is unrevealing, treatment for HCT-OP should be initiated.

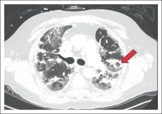
Figure 2.

Example of HCT-OP on CT scan of the chest. Noncontrast axial CT image, demonstrating multifocal consolidative and ground-glass pulmonary opacities. The atoll sign (arrowhead) can occasionally be seen and is characterized by central ground-glass opacity surrounded by dense consolidation, representing perilobular involvement, known as the reversed halo sign. Involvement in this case is predominantly peripheral, but HCT-OP can also be peribronchovascular, or occasionally nodular.

Figure 2.

Example of HCT-OP on CT scan of the chest. Noncontrast axial CT image, demonstrating multifocal consolidative and ground-glass pulmonary opacities. The atoll sign (arrowhead) can occasionally be seen and is characterized by central ground-glass opacity surrounded by dense consolidation, representing perilobular involvement, known as the reversed halo sign. Involvement in this case is predominantly peripheral, but HCT-OP can also be peribronchovascular, or occasionally nodular.

Close modal

A restrictive ventilatory pattern and a decline in DLCO are common abnormalities seen on PFT in HCT-OP (Table 1). An obstructive pattern is atypical but has been reported.8,20,35 However, the presence of an obstructive spirometric pattern should prompt the physician to consider BOS, because HCT-OP and BOS are not mutually exclusive diseases, as will be illustrated in a later case in this series.15,17,36 PFTs are used to support the diagnosis of HCT-OP and serve as an important tool in disease surveillance, monitoring treatment efficacy and relapse. However, the results of PFTs may also be impacted by other concomitant lung diseases associated with cGVHD, such as BOS, extrapulmonary restriction attributable to sclerotic skin disease of the torso (known as truncal sclerosis), and infectious pneumonia. For this reason, it is essential that a multidisciplinary approach be undertaken in the management of HCT-OP, including the transplant physician, pulmonologist, infectious diseases specialist, and thoracic radiologist. The utility of PFTs, and their limitations in diagnosis and follow-up, will be discussed in a later section.

A 70-year-old man with a history of myelofibrosis received a myeloablative allogeneic PBSCT. Three years after HCT, he developed liver cGVHD that was treated with prednisone (80 mg/d or 1 mg/kg per day) and mycophenolate mofetil (1 g twice daily). His liver cGVHD stabilized, and prednisone was tapered to 8 mg/d and mycophenolate mofetil was discontinued over the course of 8 months. Two months later, he started experiencing fever and cough. A CT scan of the chest showed diffuse ground-glass opacities with nodules in the right upper lobe (Figure 3A). Infectious workup, including BAL, was unrevealing, and a diagnosis of HCT-OP was established. His respiratory symptoms and radiographic abnormalities resolved after his prednisone was escalated back to 1 mg/kg and mycophenolate mofetil was reinitiated as a corticosteroid-sparing agent (Figure 3B).

Figure 3.

Representative serial axial images of a noncontrast CT scan of the chest for case 2. (A) Axial CT image, showing peribronchovascular consolidations and ground-glass opacities in the right upper lobe. (B) Image showing a complete resolution of radiographic abnormalities after escalating prednisone to 1 mg/kg per day and reinitiation of mycophenolate mofetil. (C) Image showing reappearance of ground-glass opacities with peribronchovascular consolidations in the right upper lobe when the prednisone was tapered to 10 mg/d and positive cytomegalovirus PCR in BAL. Notably, lung findings appear similar to panel A, when his HCT-OP was initially diagnosed.

Figure 3.

Representative serial axial images of a noncontrast CT scan of the chest for case 2. (A) Axial CT image, showing peribronchovascular consolidations and ground-glass opacities in the right upper lobe. (B) Image showing a complete resolution of radiographic abnormalities after escalating prednisone to 1 mg/kg per day and reinitiation of mycophenolate mofetil. (C) Image showing reappearance of ground-glass opacities with peribronchovascular consolidations in the right upper lobe when the prednisone was tapered to 10 mg/d and positive cytomegalovirus PCR in BAL. Notably, lung findings appear similar to panel A, when his HCT-OP was initially diagnosed.

Close modal

The patient remained stable until prednisone was tapered to 10 mg over a period of 4 months, at which point he again developed fever and cough. A CT scan of the chest showed patchy consolidation and ground glass in the right upper lobe, with similar geographic distribution to his previous HCT-OP (Figure 3C). BAL was performed, which was positive for cytomegalovirus (CMV) by PCR, but serum CMV PCR was negative. Lung biopsy was not pursued for a definitive diagnosis of CMV pneumonia given the procedural risk. After a multidisciplinary discussion, ganciclovir was started, and the patient’s symptoms improved while his prednisone remained at 10 mg. Follow-up CT scan of the chest also showed resolution of right upper lobe abnormalities (image not shown).

Discussion of case 2

This case illustrates that HCT-OP can occur not only during new onset of GVHD, but also while tapering immunosuppression used for extrapulmonary cGVHD. Freudenberger et al observed that 22% of biopsy-proven OP cases were associated with corticosteroid tapering.5 As such, PFT should be obtained at the onset of cGVHD, followed by serial PFTs for monitoring, as changes could be an early sign of pulmonary complications (ie, BOS or HCT-OP) during an immunosuppression taper, while the patient remains asymptomatic.37-39 We recommend that PFTs should be performed every 3 to 6 months in the first 1 to 2 years after HCT in an attempt to improve surveillance, particularly in those with risk factors for lung cGVHD, such as those with extrapulmonary cGVHD or an antecedent respiratory tract viral infection. This recommendation is in accordance with NIH guidelines and the NIH 2020 Consensus Development Project on Criteria for Clinical Trials in cGHVD, focusing on early recognition of disease.3,40,41 Unfortunately, adherence to these recommendations is suboptimal as the rate of performing regular PFTs after HCT is low (<40% of HCT recipients had >1 PFT in each year after transplant), and this frequency substantially decreases by the time after transplant.42,43 This may be attributable, in part, to a combination of insufficient physician awareness, patient comorbidities, access difficulties, or the logistical impediment to arranging PFTs. To address these challenges, an increasing number of studies have demonstrated the efficacy of home-based spirometry.38,44 These devices provide acceptable accuracy, allow for telemetric monitoring, and are an attractive solution for fostering early disease detection and intervention, with the potential to improve patient outcomes.38,44,45 

Relapse of HCT-OP is common, occurring in 30% to 50% of cases, and may be associated with tapering of immunosuppression, at the onset of new manifestations or during an exacerbation of cGVHD.5,14,46 Our clinical observations, which have been supported by other studies, indicate the risk of HCT-OP relapse is more likely to occur in a person with a history of GVHD.14 

The HCT recipient can also develop OP from causes unrelated to GVHD (Table 2). In such instances, evaluation should incorporate a comprehensive diagnostic workup to identify the suspected cause. Respiratory tract viral infections are widely recognized as a cause of OP (Table 2). In these situations, as illustrated in this case, treatment of the underlying viral infection alone may resolve the OP.47,48 If corticosteroids are required to treat virus-induced OP, using available antiviral agents often allows for a more rapid corticosteroid taper, in contrast to the slower tapering approach that we have advised for HCT-OP.

Interestingly, we have not observed migratory pulmonary infiltrates, which are often described as a feature of COP.1,52,53 Instead, as shown in this case, recurrence occurs in a radiographic distribution akin to the index episode (Figure 3A,C). We have observed this to be the case even when the recurrence of HCT-OP is separated by years from the index occurrence. The exact mechanism is unknown but perhaps is similar to recall radiation pneumonitis.

In contrast to COP, where overall survival is generally favorable and death attributable to respiratory failures is uncommon, a retrospective study done by Nakasone et al found a high rate of respiratory failure (25%) accounted for nonrelapse mortality.12 Similarly, several studies have shown that respiratory failure is the main cause of death in patients with HCT-OP.8,15,54 Nonetheless, most patients treated with corticosteroids have significant clinical and radiographic improvement, which is consistent with our center’s experience. The overall survival rates for HCT-OP at 5 years (70.8% [95% CI, 60%-83.5%]) are comparable to those of BOS (73.8% [95% CI, 66.6%-81.8%]).15 Spontaneous resolution of OP has been reported in COP, but this is rarely seen in HCT-OP.55,56 Other clinical differences between non–HCT-OP and HCT-OP are summarized in Table 3.

A 67-year-old man with a history of myelodysplastic syndrome received a nonmyeloablative allogeneic HCT and had a posttransplant course complicated by oral cGHVD. At the onset of his oral cGHVD, he complained of a nonproductive cough and right-sided pleuritic chest pain. A chest CT scan showed ground-glass opacities, predominantly in the right lower lobe. Infectious workup, including BAL, was unrevealing, except for a BAL cell count showing a lymphocytic predominance (35%). Subsequently, the diagnosis of HCT-OP was established. The patient was started on prednisone of 40 mg (0.5 mg/kg) daily and had symptomatic and radiographic improvement. His prednisone was tapered at a rate of 5 mg every 2 weeks, guided by monthly clinic visits and PFTs (Figure 4). He was weaned off prednisone and maintained respiratory stability. Two months later, his cough and pleuritic chest pain recurred. Radiographic features and an unrevealing infectious workup favored the diagnosis of relapsed HCT-OP. Prednisone (40 mg/d) was restarted, with clinical and radiological improvement. After a discussion with his transplant physician, ibrutinib (140 mg/d) was initiated as a corticosteroid-sparing agent. The patient was placed on infectious prophylaxis, including acyclovir, posaconazole, and sulfamethoxazole/trimethoprim. Prednisone was tapered at an average rate of 5 mg every 2 weeks, and he was successfully weaned off prednisone, without recurrence of HCT-OP.

Figure 4.

Graph of forced expiratory volume in 1 second (FEV1), forced vital capacity (FVC), and DLCO (percentage) in relation to immunosuppressive therapy (prednisone and ibrutinib [mg]) and HCT-OP relapse for case 3.

Figure 4.

Graph of forced expiratory volume in 1 second (FEV1), forced vital capacity (FVC), and DLCO (percentage) in relation to immunosuppressive therapy (prednisone and ibrutinib [mg]) and HCT-OP relapse for case 3.

Close modal

Discussion of case 3

Unlike COP, where spontaneous resolution can be observed, immunosuppression is often needed in HCT-OP.1,12,53,56,57 Systemic corticosteroids remain the primary treatment at the time of diagnosis. Typically, we start prednisone at 1 mg/kg per day. For a patient who is not hypoxemic, prednisone at 0.5 mg/kg per day may be sufficient. However, for a critically ill patient who requires mechanical ventilatory support or is severely hypoxemic and needing intensive care unit (ICU) admission, we recommend methylprednisolone pulse at 1 to 2 mg/kg per day, with tapering at the physician’s discretion, depending on clinical stability, until the patient can be tapered to prednisone of 1 mg/kg per day.

Response to corticosteroids should be apparent after 1 to 2 weeks of initiation. Once clinical improvement is observed, we try to taper the prednisone dose by 10 mg every week, until a dose of 50 to 60 mg/d is achieved. A repeat CT scan of the chest is performed to ensure radiographic improvement and to monitor for possible opportunistic infections related to immunosuppression. Thereafter, we typically will taper at rate of 5 mg every 2 weeks. Corticosteroid-sparing agents can be introduced at this stage, if necessary, particularly if there is evidence of a flare of HCT-OP during the corticosteroid taper. Figure 5 summarizes a general approach of corticosteroid initiation, tapering, and the approach to corticosteroid refractory HCT-OP.

Figure 5.

Approach to treatment for HCT-OP. BMT, bone marrow transplant; ICID, immunocompromised infectious disease.

Figure 5.

Approach to treatment for HCT-OP. BMT, bone marrow transplant; ICID, immunocompromised infectious disease.

Close modal

Throughout the treatment phase, complications, such as an exacerbation of extrapulmonary cGVHD, infection, and complications of chronic corticosteroid use, should be routinely monitored. Appropriate infectious prophylaxis is paramount, as opportunistic infections are the most commonly observed complication. Therefore, in the early phase of HCT-OP, we typically monitor patients monthly, using PFT, oxygen saturation measurements, and exercise capacity. During the taper, we maintain a low threshold to perform follow-up imaging to guide adjustment of the corticosteroid dose. Once a prednisone dose of 20 mg/d is achieved, we favor a slower taper, as we have observed an increased risk of HCT-OP relapse below this dose. Conversely, if significant corticosteroid-induced adverse effects are observed, the taper may occur more rapidly or corticosteroid-sparing agents may be introduced earlier in the treatment course.

We typically do not use corticosteroid-sparing agents at the first occurrence of HCT-OP. We reserve their use if the disease relapses, as illustrated in this case. However, if the clinical situation warrants a more rapid corticosteroid taper, attributable to corticosteroid intolerance (eg, uncontrolled diabetes, osteoporosis, vertebral fractures, or myopathy), a corticosteroid-sparing agent can be considered at the index episode of HCT-OP. At present, there are no evidence-based standards for the use of medications as corticosteroid-sparing agents in HCT-OP. Because there are no consensus guidelines or research on the optimal treatment approach, there is wide variability in clinical practice. A prospective, open-label trial by Yanik et al indicated that the simultaneous administration of corticosteroids and etanercept led to improvement in forced vital capacity (FVC) by >10% in 33% of patients with restrictive lung disease. Additionally, the 5-year estimated survival was 44%, with etanercept being well tolerated and not associated with an increased risk of infections.58 Data on other agents used in HCT-OP are limited to case reports and series (Table 4). When there is a lack of specific HCT-OP data, we have provided references for medications used in OP occurring in the non-HCT population. As corticosteroid-sparing agents can have complex drug-drug interactions, a substantial impact on immunosuppression profile, and variable efficacy on nonpulmonary cGVHD, agent selection should be made in collaboration with a transplant physician, a pulmonologist, and an infectious disease specialist.

A 57-year-old woman with relapsed Hodgkin lymphoma received a nonmyeloablative allogeneic PBSCT. Two years later, she developed cGVHD of the eyes and liver. Her immunosuppressant regimen included ruxolitinib, 10 mg/d, extracorporeal photopheresis, and prednisone, 10 mg/d. She was referred for subacute onset of dyspnea and found to have bilateral, predominantly basilar ground-glass opacities (Figure 6B). PFTs showed a decline in DLCO (Figure 6A, time 0). Infectious workup, including BAL, was unrevealing. The patient was started on 1 mg/kg of prednisone for HCT-OP, with subjective improvement in respiratory status. Four weeks later, she was hospitalized in the ICU with Klebsiella bacteremia and CMV viremia. She was treated with antimicrobial therapy and discharged home. Her prednisone dose was tapered from 40 to 15 mg/d within 2 weeks under close monitoring. During the corticosteroid taper, radiographic worsening was observed, indicating a flare of her HCT-OP (Figure 6C). However, escalation of immunosuppression was not pursued given her clinical stability and recent ICU admission. Shortly thereafter, she started to complain of worsening dyspnea and cough. There were no interval radiographic changes (Figure 6D), but her PFTs showed a decline in the forced expiratory volume in 1 second (FEV1) and the FEV1/FVC ratio to 0.76, concerning for worsening obstructive lung disease. PFTs did not meet the NIH criteria for BOS as the FEV1/FVC ratio remained >0.7. A chest CT scan with postprocessing lung density–based parametric response mapping (PRM) showed unchanged HCT-OP findings, but revealed significant air trapping (ie, functional low-density area of 32%) (Figure 7), consistent with the diagnosis of BOS. Following the use of fluticasone propionate/salmeterol and montelukast, the patient noted improvement in dyspnea, and had an improved PFT trend (Figure 6A).

Figure 6.

Representative of PFT trend in relation to clinical course and axial images of noncontrast CT scan of the chest for case 4. (A) PFT trend (FVC, forced expiratory volume in 1 second [FEV1], and DLCO) during clinical course. (B) Axial CT image, showing basilar predominant ground-glass opacities with peripheral and peribronchovascular distribution, representing HCT-OP. (C) CT scan, showing worsened subpleural ground-glass opacities while immunosuppression was rapidly tapered during reactivation of CMV viremia. Escalation of prednisone was not pursued given clinical stability and ICU admission for CMV viremia and Klebsiella bacteremia. (D) CT image, showing similar subpleural ground-glass opacities, while FEV1 continued to decline and patient experienced worsening dyspnea on exertion.

Figure 6.

Representative of PFT trend in relation to clinical course and axial images of noncontrast CT scan of the chest for case 4. (A) PFT trend (FVC, forced expiratory volume in 1 second [FEV1], and DLCO) during clinical course. (B) Axial CT image, showing basilar predominant ground-glass opacities with peripheral and peribronchovascular distribution, representing HCT-OP. (C) CT scan, showing worsened subpleural ground-glass opacities while immunosuppression was rapidly tapered during reactivation of CMV viremia. Escalation of prednisone was not pursued given clinical stability and ICU admission for CMV viremia and Klebsiella bacteremia. (D) CT image, showing similar subpleural ground-glass opacities, while FEV1 continued to decline and patient experienced worsening dyspnea on exertion.

Close modal
Figure 7.

Representative of parametric response mapping analysis for case 4. Dual-phase chest CT scanned at both end inspiration (total lung capacity) and end expiration (residual volume) and analyzed using parametric response mapping, showing 32% functional low-density area representing air trapping (yellow). This was taken at time point 3 on PFT trend (Figure 6A).

Figure 7.

Representative of parametric response mapping analysis for case 4. Dual-phase chest CT scanned at both end inspiration (total lung capacity) and end expiration (residual volume) and analyzed using parametric response mapping, showing 32% functional low-density area representing air trapping (yellow). This was taken at time point 3 on PFT trend (Figure 6A).

Close modal

Discussion of case 4

This case underscores the complexity in management of HCT-OP and clinical issues that may arise during treatment, including the following: (i) a relapse of HCT-OP during corticosteroid taper; (ii) a concern for concomitant infection; and (iii) the occurrence of BOS. The complexity of HCT patients warrants a determination of risk and benefit with the introduction of more intensive immunosuppression, including infection and relapse of malignancy. It is essential to involve the transplant team on initiation of immunosuppression to ensure appropriate infectious prophylaxis and that drug interactions have been thoroughly considered. As illustrated in this case, although increasing corticosteroids initially improved HCT-OP, it also heightened the patient’s risk for infections, resulting in adverse outcomes and clinical setbacks. Rapid corticosteroid tapering may appear counterintuitive given ongoing HCT-OP, but the patient ultimately attained a meaningful recovery with a modified treatment regimen guided by a multidisciplinary discussion.

A restrictive ventilatory pattern and a reduced DLCO are the hallmark PFT findings for HCT-OP. This contrasts with BOS, which is characterized by a reduction in FEV1 and an obstructive spirometric pattern. These 2 distinct patterns are helpful in phenotyping disease and guiding workup and management. However, apart from BOS and HCT-OP, HCT patients are susceptible to other pulmonary complications, such as drug-induced pneumonitis and truncal sclerosis. These disease processes are not mutually exclusive. The sum of these disease entities could contribute to an isolated decline of one PFT metric or a combined decline in FEV1, FVC, and DLCO, which poses challenges in accurate phenotyping. Radiologic features of BOS, such as small airway thickening and air trapping by expiratory CT, may not be apparent with concomitant HCT-OP and rely on the experience of the interpreter. Acknowledging these limitations, studies have shown the value of dynamic chest CT scans analyzed using PRM, which can assess the change of lung attenuation through voxel-by-voxel comparison between inspiration and expiration. This permits qualitative and quantitative analysis of obstructive and restrictive diseases of the lung parenchyma. Algorithms have been developed to quantify respiratory changes into normal lung, air trapping, and parenchymal consolidation. We have shown that quantitative CT imaging through PRM not only improves the sensitivity and the specificity for the diagnosis BOS but also aids in differentiating late pulmonary complications after HCT.79,80 Table 1 summarizes the PFT patterns and PRM findings in different noninfectious pulmonary complications after HCT.

Although there has been recent improvement in understanding and management for BOS, a comparable advance in HCT-OP is hindered by the absence of uniform definition, diagnostic criteria, and its generalization with the presentation and clinical course of non–HCT-OP. This lack of clarity results in a limited understanding of its epidemiology, including a variability in reported incidence and prevalence, and hinders a clear understanding of its risk factors. The strategies in the approach and treatment for HCT-OP we have outlined are derived from a single-center experience and, thus, may not be broadly applicable given variations in patient profiles and transplant practices. This highlights the need for a large multicenter study to ascertain the feasibility and efficacy of our proposed methods. Nevertheless, our case series stands as an initial effort to provide a structured care model for HCT-OP. The distinctive features of HCT-OP and complexity of multiorgan involvement in patients with GVHD necessitate a multidisciplinary collaboration among pulmonary, chest radiology, transplant, and infectious disease clinicians that allows for appropriate disease detection, careful selection of immune suppressive agents, monitoring, and evaluation of other HCT- or treatment-related comorbidities. Further research is needed in each of these domains to improve outcomes for this highly morbid disease.

The authors thank Guang-Shing Cheng and Ajay Sheshadri for their careful read of the manuscript and H. Henry Guo for providing radiology images.

J.L.H. is funded by National Institutes of Health, National Heart, Lung, and Blood Institute grant R01HL157414-01.

Contribution: Y.K.L. was responsible for conducting the literature review, case preparation, and drafting the initial manuscript; and H.S. and J.L.H. provided critical input and revision and finalized the manuscript.

Conflict-of-interest disclosure: The authors declare no competing financial interests.

Correspondence: Joe L. Hsu, Division of Pulmonary, Allergy and Critical Care Medicine, Stanford University School of Medicine, 1701 Page Mill Rd, Room 146, Palo Alto, CA 94305-5236; email: joehsu@stanford.edu.

1.
King
TE
,
Lee
JS
.
Cryptogenic organizing pneumonia
.
N Engl J Med
.
2022
;
386
(
11
):
1058
-
1069
.
2.
Afessa
B
,
Litzow
M
,
Tefferi
A
.
Bronchiolitis obliterans and other late onset non-infectious pulmonary complications in hematopoietic stem cell transplantation
.
Bone Marrow Transplant
.
2001
;
28
(
5
):
425
-
434
.
3.
Jagasia
MH
,
Greinix
HT
,
Arora
M
, et al
.
National Institutes of Health consensus development project on criteria for clinical trials in chronic graft-versus-host disease, I: the 2014 Diagnosis and Staging Working Group Report
.
Biol Blood Marrow Transplant
.
2015
;
21
(
3
):
389
-
401.e1
.
4.
Kleinau
I
,
Perez-Canto
A
,
Schmid
HJ
, et al
.
Bronchiolitis obliterans organizing pneumonia and chronic graft-versus-host disease in a child after allogeneic bone marrow transplantation
.
Bone Marrow Transplant
.
1997
;
19
(
8
):
841
-
844
.
5.
Freudenberger
TD
,
Madtes
DK
,
Curtis
JR
,
Cummings
P
,
Storer
BE
,
Hackman
RC
.
Association between acute and chronic graft-versus-host disease and bronchiolitis obliterans organizing pneumonia in recipients of hematopoietic stem cell transplants
.
Blood
.
2003
;
102
(
10
):
3822
-
3828
.
6.
Zare Mehrjardi
M
,
Kahkouee
S
,
Pourabdollah
M
.
Radio-pathological correlation of organising pneumonia (OP): a pictorial review
.
Br J Radiol
.
2017
;
90
(
1071
):
20160723
.
7.
Cordier
J-F
.
Cryptogenic organising pneumonia
.
Eur Respir J
.
2006
;
28
(
2
):
422
-
446
.
8.
Schlemmer
F
,
Chevret
S
,
Lorillon
G
, et al
.
Late-onset noninfectious interstitial lung disease after allogeneic hematopoietic stem cell transplantation
.
Respir Med
.
2014
;
108
(
10
):
1525
-
1533
.
9.
Bergeron
A
,
Cheng
G-S
.
Bronchiolitis obliterans syndrome and other late pulmonary complications after allogeneic hematopoietic stem cell transplantation
.
Clin Chest Med
.
2017
;
38
(
4
):
607
-
621
.
10.
Fitch
T
,
Myers
KC
,
Dewan
M
,
Towe
C
,
Dandoy
C
.
Pulmonary complications after pediatric stem cell transplant
.
Front Oncol
.
2021
;
11
:
755878
.
11.
Houdouin
V
,
Dubus
JC
,
Crepon
SG
, et al
.
Late-onset pulmonary complications following allogeneic hematopoietic cell transplantation in pediatric patients: a prospective multicenter study
.
Bone Marrow Transplant
.
2024
;
59
(
6
):
858
-
866
.
12.
Nakasone
H
,
Onizuka
M
,
Suzuki
N
, et al
.
Pre-transplant risk factors for cryptogenic organizing pneumonia/bronchiolitis obliterans organizing pneumonia after hematopoietic cell transplantation
.
Bone Marrow Transplant
.
2013
;
48
(
10
):
1317
-
1323
.
13.
Yoshihara
S
,
Yanik
G
,
Cooke
KR
,
Mineishi
S
.
Bronchiolitis obliterans syndrome (BOS), bronchiolitis obliterans organizing pneumonia (BOOP), and other late-onset noninfectious pulmonary complications following allogeneic hematopoietic stem cell transplantation
.
Biol Blood Marrow Transplant
.
2007
;
13
(
7
):
749
-
759
.
14.
Adachi
Y
,
Ozeki
K
,
Ukai
S
,
Sagou
K
,
Fukushima
N
,
Kohno
A
.
Patterns of onset and outcome of cryptogenic organizing pneumonia after allogeneic hematopoietic stem cell transplantation
.
Int J Hematol
.
2019
;
109
(
6
):
700
-
710
.
15.
Archer
G
,
Berger
I
,
Bondeelle
L
, et al
.
Interstitial lung diseases after hematopoietic stem cell transplantation: new pattern of lung chronic graft-versus-host disease?
.
Bone Marrow Transplant
.
2023
;
58
(
1
):
87
-
93
.
16.
Ishii
T
,
Manabe
A
,
Ebihara
Y
, et al
.
Improvement in bronchiolitis obliterans organizing pneumonia in a child after allogeneic bone marrow transplantation by a combination of oral prednisolone and low dose erythromycin
.
Bone Marrow Transplant
.
2000
;
26
(
8
):
907
-
910
.
17.
Bergeron
A
,
Chevret
S
,
Peffault De Latour
R
, et al
.
Noninfectious lung complications after allogeneic haematopoietic stem cell transplantation
.
Eur Respir J
.
2018
;
51
(
5
):
1702617
.
18.
Onizuka
M
,
Fujii
N
,
Nakasone
H
, et al
.
Risk factors and prognosis of non-infectious pulmonary complications after allogeneic hematopoietic stem cell transplantation
.
Int J Hematol
.
2022
;
115
(
4
):
534
-
544
.
19.
Pipavath
SNJ
,
Chung
JH
,
Chien
JW
,
Godwin
JD
.
Organizing pneumonia in recipients of hematopoietic stem cell transplantation: CT features in 16 patients
.
J Comput Assist Tomogr
.
2012
;
36
(
4
):
431
-
436
.
20.
Patriarca
F
,
Skert
C
,
Sperotto
A
, et al
.
Incidence, outcome, and risk factors of late-onset noninfectious pulmonary complications after unrelated donor stem cell transplantation
.
Bone Marrow Transplant
.
2004
;
33
(
7
):
751
-
758
.
21.
Solh
M
,
Arat
M
,
Cao
Q
,
Majhail
NS
,
Weisdorf
D
.
Late-onset noninfectious pulmonary complications in adult allogeneic hematopoietic cell transplant recipients
.
Transplantation
.
2011
;
91
(
7
):
798
-
803
.
22.
Cheng
G-S
. Long term survivors of hematopoietic stem cell transplantation: the role of the pulmonologist. In:
Soubani
AO
, eds.
Pulmonary and Critical Care Considerations of Hematopoietic Stem Cell Transplantation
.
Cham
:
Springer
;
2023
:
473
-
483
.
23.
Faiz
SA
,
Jimenez
CA
,
Fellman
BM
, et al
.
Incidence of bleeding complications with flexible bronchoscopy in cancer patients with thrombocytopenia
.
J Bronchology Interv Pulmonol
.
2019
;
26
(
4
):
280
-
286
.
24.
Weiss
SM
,
Hert
RC
,
Gianola
FJ
,
Clark
JG
,
Crawford
SW
.
Complications of fiberoptic bronchoscopy in thrombocytopenic patients
.
Chest
.
1993
;
104
(
4
):
1025
-
1028
.
25.
Azoulay
E
,
Mokart
D
,
Kouatchet
A
,
Demoule
A
,
Lemiale
V
.
Acute respiratory failure in immunocompromised adults
.
Lancet Respir Med
.
2019
;
7
(
2
):
173
-
186
.
26.
Rano
A
,
Agustí
C
,
Jimenez
P
, et al
.
Pulmonary infiltrates in non-HIV immunocompromised patients: a diagnostic approach using non-invasive and bronchoscopic procedures
.
Thorax
.
2001
;
56
(
5
):
379
-
387
.
27.
Azoulay
É
,
Mokart
D
,
Lambert
J
, et al
.
Diagnostic strategy for hematology and oncology patients with acute respiratory failure: randomized controlled trial
.
Am J Respir Crit Care Med
.
2010
;
182
(
8
):
1038
-
1046
.
28.
Harris
B
,
Lowy
FD
,
Stover
DE
,
Arcasoy
SM
.
Diagnostic bronchoscopy in solid-organ and hematopoietic stem cell transplantation
.
Ann Am Thorac Soc
.
2013
;
10
(
1
):
39
-
49
.
29.
O’Dwyer
DN
,
Duvall
AS
,
Xia
M
, et al
.
Transbronchial biopsy in the management of pulmonary complications of hematopoietic stem cell transplantation
.
Bone Marrow Transplant
.
2018
;
53
(
2
):
193
-
198
.
30.
Cheng
G-S
,
Stednick
ZJ
,
Madtes
DK
,
Boeckh
M
,
McDonald
GB
,
Pergam
SA
.
Decline in the use of surgical biopsy for diagnosis of pulmonary disease in hematopoietic cell transplantation recipients in an era of improved diagnostics and empirical therapy
.
Biol Blood Marrow Transplant
.
2016
;
22
(
12
):
2243
-
2249
.
31.
White
DA
,
Wong
PW
,
Downey
R
.
The utility of open lung biopsy in patients with hematologic malignancies
.
Am J Respir Crit Care Med
.
2000
;
161
(
3 Pt 1
):
723
-
729
.
32.
Hofmeister
CC
,
Czerlanis
C
,
Forsythe
S
,
Stiff
PJ
.
Retrospective utility of bronchoscopy after hematopoietic stem cell transplant
.
Bone Marrow Transplant
.
2006
;
38
(
10
):
693
-
698
.
33.
Dodd
JD
,
Muller
NL
.
Bronchiolitis obliterans organizing pneumonia after bone marrow transplantation
.
J Comput Assist Tomogr
.
2005
;
29
(
4
):
540
-
543
.
34.
Kanda
Y
,
Takahashi
T
,
Imai
Y
, et al
.
Bronchiolitis obliterans organizing pneumonia after syngeneic bone marrow transplantation for acute lymphoblastic leukemia
.
Bone Marrow Transplant
.
1997
;
19
(
12
):
1251
-
1253
.
35.
Faria
IM
,
Zanetti
G
,
Barreto
MM
, et al
.
Organizing pneumonia: chest HRCT findings
.
J Bras Pneumol
.
2015
;
41
(
3
):
231
-
237
.
36.
Meignin
V
,
Thivolet-Bejui
F
,
Kambouchner
M
, et al
.
Lung histopathology of non-infectious pulmonary complications after allogeneic haematopoietic stem cell transplantation
.
Histopathology
.
2018
;
73
(
5
):
832
-
842
.
37.
Carpenter
PA
,
Kitko
CL
,
Elad
S
, et al
.
National Institutes of Health consensus development project on criteria for clinical trials in chronic graft-versus-host disease, V: the 2014 Ancillary Therapy and Supportive Care Working Group Report
.
Biol Blood Marrow Transplant
.
2015
;
21
(
7
):
1167
-
1187
.
38.
Guihot
A
,
Becquemin
M-H
,
Couderc
L-J
, et al
.
Telemetric monitoring of pulmonary function after allogeneic hematopoietic stem cell transplantation
.
Transplantation
.
2007
;
83
(
5
):
554
-
560
.
39.
Williams
KM
.
How I treat bronchiolitis obliterans syndrome after hematopoietic stem cell transplantation
.
Blood
.
2017
;
129
(
4
):
448
-
455
.
40.
Wolff
D
,
Radojcic
V
,
Lafyatis
R
, et al
.
National Institutes of Health consensus development project on criteria for clinical trials in chronic graft-versus-host disease, IV: the 2020 highly morbid forms report
.
Transplant Cell Ther
.
2021
;
27
(
10
):
817
-
835
.
41.
Kitko
CL
,
Pidala
J
,
Schoemans
HM
, et al
.
National Institutes of Health consensus development project on criteria for clinical trials in chronic graft-versus-host disease, IIa: the 2020 Clinical Implementation and Early Diagnosis Working Group Report
.
Transplant Cell Ther
.
2021
;
27
(
7
):
545
-
557
.
42.
Cheng
G-S
,
Storer
B
,
Chien
JW
, et al
.
Lung function trajectory in bronchiolitis obliterans syndrome after allogeneic hematopoietic cell transplant
.
Annals ATS
.
2016
;
13
(
11
):
1932
-
1939
.
43.
Sheshadri
A
,
Sacks
NC
,
Healey
BE
,
Raza
S
,
Boerner
G
,
Huang
HJ
.
Lung function monitoring after lung transplantation and allogeneic hematopoietic stem cell transplantation
.
Clin Therapeut
.
2022
;
44
(
5
):
755
-
765.e6
.
44.
Turner
J
,
He
Q
,
Baker
K
, et al
.
Home spirometry telemonitoring for early detection of bronchiolitis obliterans syndrome in patients with chronic graft-versus-host disease
.
Transplant Cell Ther
.
2021
;
27
(
7
):
616.e1
-
616.e6
.
45.
Sheshadri
A
,
Alousi
A
,
Bashoura
L
, et al
.
Feasibility and reliability of home-based spirometry telemonitoring in allogeneic hematopoietic cell transplant recipients
.
Annals ATS
.
2020
;
17
(
10
):
1329
-
1333
.
46.
Brownback
KR
,
Frey
JW
,
Abhyankar
S
.
Bronchoscopic features, associations, and outcomes of organizing pneumonia following allogeneic hematopoietic stem cell transplantation
.
Ann Hematol
.
2019
;
98
(
9
):
2187
-
2195
.
47.
Baron
F
,
Hermanne
J-P
,
Dowlati
A
, et al
.
Bronchiolitis obliterans organizing pneumonia and ulcerative colitis after allogeneic bone marrow transplantation
.
Bone Marrow Transplant
.
1998
;
21
(
9
):
951
-
954
.
48.
Chien
J
,
Chan
CK
,
Chamberlain
D
, et al
.
Cytomegalovirus pneumonia in allogeneic bone marrow transplantation
.
Chest
.
1990
;
98
(
4
):
1034
-
1037
.
49.
Jinta
M
,
Ohashi
K
,
Ohta
T
, et al
.
Clinical features of allogeneic hematopoietic stem cell transplantation-associated organizing pneumonia
.
Bone Marrow Transplant
.
2007
;
40
(
5
):
465
-
472
.
50.
Yata
K
,
Nakajima
M
,
Takemoto
Y
, et al
.
Pneumonitis with a bronchiolitis obliterans organizing pneumonia-like shadow in a patient with human herpes virus-6 viremia after allogeneic bone marrow transplantation [in Japanese]
.
Kansenshogaku Zasshi
.
2002
;
76
(
5
):
385
-
390
.
51.
Pokharel
S
,
Merickel
CR
,
Alatassi
H
.
Parainfluenza virus-3-induced cytopathic effects on lung tissue and bronchoalveolar lavage fluid in a bone marrow transplant recipient: a case report
.
Diagn Cytopathol
.
2014
;
42
(
6
):
521
-
524
.
52.
Cherian
SV
,
Patel
D
,
Machnicki
S
, et al
.
Algorithmic approach to the diagnosis of organizing pneumonia
.
Chest
.
2022
;
162
(
1
):
156
-
178
.
53.
Cazzato
S
,
Zompatori
M
,
Baruzzi
G
, et al
.
Bronchiolitis obliterans-organizing pneumonia: an Italian experience
.
Respir Med
.
2000
;
94
(
7
):
702
-
708
.
54.
Bergeron
A
.
Late-onset noninfectious pulmonary complications after allogeneic hematopoietic stem cell transplantation
.
Clin Chest Med
.
2017
;
38
(
2
):
249
-
262
.
55.
Zhang
Y
,
Li
N
,
Li
Q
, et al
.
Analysis of the clinical characteristics of 176 patients with pathologically confirmed cryptogenic organizing pneumonia
.
Ann Transl Med
.
2020
;
8
(
12
):
763
.
56.
Shimoda
M
,
Tanaka
Y
,
Morimoto
K
,
Yoshimori
K
,
Ohta
K
.
Spontaneous resolution of cryptogenic organizing pneumonia: observational study
.
Medicine
.
2023
;
102
(
27
):
e34277
.
57.
Chang
J
,
Han
J
,
Kim
DW
, et al
.
Bronchiolitis obliterans organizing pneumonia: clinicopathologic review of a series of 45 Korean patients including rapidly progressive form
.
J Kor Med Sci
.
2002
;
17
(
2
):
179
-
186
.
58.
Yanik
GA
,
Mineishi
S
,
Levine
JE
, et al
.
Soluble tumor necrosis factor receptor: Enbrel (etanercept) for subacute pulmonary dysfunction following allogeneic stem cell transplantation
.
Biol Blood Marrow Transplant
.
2012
;
18
(
7
):
1044
-
1054
.
59.
Ichikawa
Y
,
Ninomiya
H
,
Katsuki
M
,
Hotta
M
,
Tanaka
M
,
Oizumi
K
.
Low-dose/long-term erythromycin for treatment of bronchiolitis obliterans organizing pneumonia (BOOP)
.
Kurume Med J
.
1993
;
40
(
2
):
65
-
67
.
60.
Radzikowska
E
,
Wiatr
E
,
Langfort
R
, et al
.
Cryptogenic organizing pneumonia-results of treatment with clarithromycin versus corticosteroids-observational study
.
PLoS One
.
2017
;
12
(
9
):
e0184739
.
61.
Ding
Q-L
,
Lv
D
,
Wang
B-J
, et al
.
Macrolide therapy in cryptogenic organizing pneumonia: a case report and literature review
.
Exp Ther Med
.
2015
;
9
(
3
):
829
-
834
.
62.
Trisolini
R
,
Bandini
G
,
Stanzani
M
, et al
.
Morphologic changes leading to bronchiolitis obliterans in a patient with delayed non-infectious lung disease after allogeneic bone marrow transplantation
.
Bone Marrow Transplant
.
2001
;
28
(
12
):
1167
-
1170
.
63.
Radzikowska
E
,
Fijolek
J
.
Update on cryptogenic organizing pneumonia
.
Front Med (Lausanne)
.
2023
;
10
:
1146782
.
64.
Purcell
IF
,
Bourke
SJ
,
Marshall
SM
.
Cyclophosphamide in severe steroid-resistant bronchiolitis obliterans organizing pneumonia
.
Respir Med
.
1997
;
91
(
3
):
175
-
177
.
65.
Juge
P-A
,
Lee
JS
,
Lau
J
, et al
.
Methotrexate and rheumatoid arthritis associated interstitial lung disease
.
Eur Respir J
.
2021
;
57
(
2
):
2000337
.
66.
Gagliardi
TA
,
Milner
J
,
Cairo
MS
,
Steinberg
A
.
Concomitant ruxolitinib and ibrutinib for graft-versus-host disease (GVHD): the first reported use in pediatric patients
.
Cureus
.
2022
;
14
(
9
):
e29195
.
67.
Thirman
MJ
,
Devine
SM
,
O’Toole
K
, et al
.
Bronchiolitis obliterans organizing pneumonia as a complication of allogeneic bone marrow transplantation
.
Bone Marrow Transplant
.
1992
;
10
(
3
):
307
-
311
.
68.
Sharma
N
,
Putman
MS
,
Vij
R
,
Strek
ME
,
Dua
A
.
Myositis-associated interstitial lung disease: predictors of failure of conventional treatment and response to tacrolimus in a US cohort
.
J Rheumatol
.
2017
;
44
(
11
):
1612
-
1618
.
69.
Melgarejo-Ortuño
A
,
Escudero-Vilaplana
V
,
Revuelta-Herrero
JL
, et al
.
Tocilizumab as salvage treatment of refractory pulmonary acute graft-versus-host disease
.
J Oncol Pharm Pract
.
2021
;
27
(
3
):
751
-
755
.
70.
Fraebel
J
,
Engelhardt
BG
,
Kim
TK
.
Noninfectious pulmonary complications after hematopoietic stem cell transplantation
.
Transplant Cell Ther
.
2023
;
29
(
2
):
82
-
93
.
71.
Sakaida
H
,
Komase
Y
,
Takemura
T
.
Organizing pneumonia in a patient with rheumatoid arthritis treated with etanercept
.
Mod Rheumatol
.
2010
;
20
(
6
):
611
-
616
.
72.
Ortega Sanchez
G
,
Jahn
K
,
Savic
S
,
Zippelius
A
,
Läubli
H
.
Treatment of mycophenolate-resistant immune-related organizing pneumonia with infliximab
.
J Immunother Cancer
.
2018
;
6
(
1
):
85
.
73.
Shitenberg
D
,
Fruchter
O
,
Fridel
L
,
Kramer
MR
.
Successful rituximab therapy in steroid-resistant, cryptogenic organizing pneumonia: a case series
.
Respiration
.
2015
;
90
(
2
):
155
-
159
.
74.
Loftis
CE
,
Dulgheru
E
,
Kaplan
A
.
Rituximab for steroid-resistant organising pneumonia in a woman with rheumatoid arthritis
.
BMJ Case Rep
.
2022
;
15
(
11
):
e249912
.
75.
Justet
A
,
Ottaviani
S
,
Dieudé
P
,
Taillé
C
.
Tocilizumab for refractory organising pneumonia associated with Sjögren’s disease
.
BMJ Case Rep
.
2015
;
2015
:
bcr2014209076
.
76.
Dimala
CA
,
Patel
U
,
Lloyd
B
, et al
.
A case report of steroid-resistant cryptogenic organizing pneumonia managed with intravenous immunoglobulins
.
Case Rep Pulmonol
.
2021
;
2021
:
9343491
.
77.
Oyan
B
,
Koc
Y
,
Emri
S
,
Kansu
E
.
Improvement of chronic pulmonary graft-vs-host disease manifesting as bronchiolitis obliterans organizing pneumonia following extracorporeal photopheresis
.
Med Oncol
.
2006
;
23
(
1
):
125
-
129
.
78.
Watson
D
,
Fadem
JJ
.
Bronchiolitis obliterans organizing pneumonia cured by standard dose inhaled triamcinolone: the first documented case
.
South Med J
.
1995
;
88
(
9
):
980
-
983
.
79.
Sharifi
H
,
Lai
YK
,
Guo
H
, et al
.
Machine learning algorithms to differentiate among pulmonary complications after hematopoietic cell transplant
.
Chest
.
2020
;
158
(
3
):
1090
-
1103
.
80.
Sharifi
H
,
Guenther
ZD
,
Leung
ANC
, et al
.
Head-to-head comparison of qualitative radiologist assessment with automated quantitative computed tomography analysis for bronchiolitis obliterans syndrome after hematopoietic cell transplantation
.
J Thorac Imag
.
2022
;
37
(
2
):
109
-
116
.
Sign in via your Institution