A 63-year-old woman with a history of JAK-2–negative polycythemia (peak hemoglobin, 20.2 g/dL; white blood cells, 8.8 × 109/L; platelets, 346 × 109/L) and elevated erythropoietin (peak value, 2265 U/L) presented with hypoxemic dyspnea and a calculated shunt fraction of 16.7%. She had a known immunoglobulin M (IgM) λ monoclonal gammopathy (12.8 g/L), chronic telangiectasias, and bilateral perinephric fluid collection. A diagnosis of telangiectasias, elevated erythropoietin and erythrocytosis, monoclonal gammopathy, perinephric fluid collection, and intrapulmonary shunting (TEMPI) syndrome was made. A bone marrow biopsy demonstrated hypercellular marrow with erythroid hyperplasia (panel A; original magnification ×40; hematoxylin and eosin stain). Ancillary studies uncovered 2 neoplastic cell populations including a λ-restricted plasma cell population lacking CD56/cyclin D1/PAX5 expression that consisted of 15% marrow cells (panel B; original magnification ×40; CD138 immunostain; panel C; original magnification ×100; κ and λ immunostains; panel E; flow cytometry). The second population was made up of λ-restricted CD5/CD10-negative B cells consisting of 5% marrow cells (panel D; original magnification ×100; CD20 immunostain; panel F; flow cytometry). The identification of a MYD88 L265P mutation supported the histologic impression of a lymphoplasmacytic lymphoma. The patient responded to cyclophosphamide, bortezomib and dexamethasone (CyBorD) chemotherapy before relapsing 1.5 years later.
All cases of TEMPI reported to date were plasma cell neoplasms associated with IgA or IgG paraproteins. This represents the first reported case of TEMPI syndrome associated with an IgM paraprotein and a low grade B-cell lymphoma with plasmacytic differentiation.
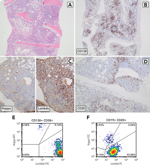
A 63-year-old woman with a history of JAK-2–negative polycythemia (peak hemoglobin, 20.2 g/dL; white blood cells, 8.8 × 109/L; platelets, 346 × 109/L) and elevated erythropoietin (peak value, 2265 U/L) presented with hypoxemic dyspnea and a calculated shunt fraction of 16.7%. She had a known immunoglobulin M (IgM) λ monoclonal gammopathy (12.8 g/L), chronic telangiectasias, and bilateral perinephric fluid collection. A diagnosis of telangiectasias, elevated erythropoietin and erythrocytosis, monoclonal gammopathy, perinephric fluid collection, and intrapulmonary shunting (TEMPI) syndrome was made. A bone marrow biopsy demonstrated hypercellular marrow with erythroid hyperplasia (panel A; original magnification ×40; hematoxylin and eosin stain). Ancillary studies uncovered 2 neoplastic cell populations including a λ-restricted plasma cell population lacking CD56/cyclin D1/PAX5 expression that consisted of 15% marrow cells (panel B; original magnification ×40; CD138 immunostain; panel C; original magnification ×100; κ and λ immunostains; panel E; flow cytometry). The second population was made up of λ-restricted CD5/CD10-negative B cells consisting of 5% marrow cells (panel D; original magnification ×100; CD20 immunostain; panel F; flow cytometry). The identification of a MYD88 L265P mutation supported the histologic impression of a lymphoplasmacytic lymphoma. The patient responded to cyclophosphamide, bortezomib and dexamethasone (CyBorD) chemotherapy before relapsing 1.5 years later.
All cases of TEMPI reported to date were plasma cell neoplasms associated with IgA or IgG paraproteins. This represents the first reported case of TEMPI syndrome associated with an IgM paraprotein and a low grade B-cell lymphoma with plasmacytic differentiation.
For additional images, visit the ASH Image Bank, a reference and teaching tool that is continually updated with new atlas and case study images. For more information, visit http://imagebank.hematology.org.
