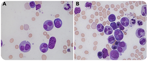
A 42-year-old woman with relapsed acute myeloid leukemia with an isocitrate dehydrogenase 2 mutation achieved clinical remission on triple therapy with venetoclax, decitabine, and enasidenib for 4 weeks while awaiting an allogeneic stem cell transplantation. Bone marrow biopsy demonstrated normocellular marrow with no evidence of residual disease by morphologic, immunophenotypic, and cytogenetic evaluation or by minimal residual disease evaluation. However, striking abnormal morphologic alternations exclusively restricted to marrow granulocytic precursors were seen in the marrow aspirate, appearing as prominent bilobed to trilobed nuclei (panels A-B; Wright-Giemsa stain, original magnification ×1000), which were round, oval, peanut/coffee bean–shaped, symmetric, or asymmetric with abnormally clumped chromatin, mimicking the so-called Pelger-Huët anomaly in circulation. Approximately 50% to 60% of marrow granulocytic precursors demonstrated this morphologic alteration, and no similar nuclear changes were appreciated in megakaryocytic or erythroid precursors. Review of the patient’s bone marrow and blood smears prior to the current therapy as well as review of concurrent blood smears failed to demonstrate similar findings.
Although the exact cause is unclear, the nuclear abnormalities observed are believed to be secondary to decitabine, a known hypomethylating agent that results in impaired DNA synthesis as well as DNA damage. Recognition of such phenomena is critical clinically to avoid potential misdiagnoses in such patients.
A 42-year-old woman with relapsed acute myeloid leukemia with an isocitrate dehydrogenase 2 mutation achieved clinical remission on triple therapy with venetoclax, decitabine, and enasidenib for 4 weeks while awaiting an allogeneic stem cell transplantation. Bone marrow biopsy demonstrated normocellular marrow with no evidence of residual disease by morphologic, immunophenotypic, and cytogenetic evaluation or by minimal residual disease evaluation. However, striking abnormal morphologic alternations exclusively restricted to marrow granulocytic precursors were seen in the marrow aspirate, appearing as prominent bilobed to trilobed nuclei (panels A-B; Wright-Giemsa stain, original magnification ×1000), which were round, oval, peanut/coffee bean–shaped, symmetric, or asymmetric with abnormally clumped chromatin, mimicking the so-called Pelger-Huët anomaly in circulation. Approximately 50% to 60% of marrow granulocytic precursors demonstrated this morphologic alteration, and no similar nuclear changes were appreciated in megakaryocytic or erythroid precursors. Review of the patient’s bone marrow and blood smears prior to the current therapy as well as review of concurrent blood smears failed to demonstrate similar findings.
Although the exact cause is unclear, the nuclear abnormalities observed are believed to be secondary to decitabine, a known hypomethylating agent that results in impaired DNA synthesis as well as DNA damage. Recognition of such phenomena is critical clinically to avoid potential misdiagnoses in such patients.
For additional images, visit the ASH Image Bank, a reference and teaching tool that is continually updated with new atlas and case study images. For more information, visit http://imagebank.hematology.org.
