Although great successes of chimeric antigen receptor T-cell (CAR-T) therapy highlighted the importance of anti-cancer immunity for cancer treatment, there are still some problems remained, i.e., long preparation time, extremely high cost and potential risk by insertional mutagenesis. To developmore rapid and safer T-cell engineering systems than current procedures using retrovirus or lentiviral vectors, we have long been focusing on measles virus as a new vector because of its high infectivity to T cells including resting state and rapid gene expression without chromosome integration. Presently, Sendai virus vectors (SVs), which is also a Paramyxoviridaevirus-based vector, are widely used for gene delivery and induced pluripotent stem cells (iPSCs), but the transduction to undifferentiated T cells (UTs) is a big challenge for SVs. We, therefore, compared the gene transduction efficiency between our measles vector (MVs) and SVs. We also compared iPSCs generation efficiencies between MVs and SVs.
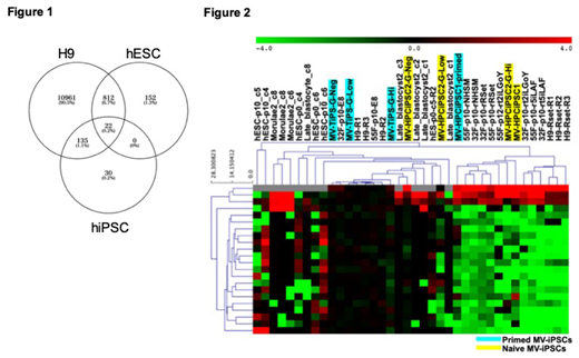
We engineered our non-replicating and non-integrating measles virus vectors (MV)with F deletion to eliminate cell membrane fusion-associated cytotoxicity.Based on the original property of measles virus,our recombinant MVsallowed more efficient gene transduction to various hematopoietic cells including UTs and B cells than SVs. Importantly, MVs induced less apoptosis compared withSVs due to their slower amplification of viral RNA in transduced cells. Moreover, we could establish iPSCs from UTs with MVs harboring reprogramming genes 50 times more efficiently than SVs harboring the same reprogramming genes. MV-induced iPSCs derived from CD3+T cells (MV-TiPSCs) were similar to regular human pluripotent stem cells (hPSCs: embryonic stem cells and iPSCs), which are in primed state, in morphology, the expressions of pluripotent markers and the ability to differentiate into three germ layers. On the other hand, without using naive induction culture condition, MV-induced iPSCs derived from CD34+hematopoietic progenitor cells (MV-HPC-iPSCs) presented a dome shape and showed a transcriptome profile close to naive iPSCs. To further confirm naive-like properties of MV-HPC-iPSCs, we evaluated gene expression patterns of these cells for 22 common genes most differently expressed in naive and primed hPSCs reported in previous reports (Fig.1).As expected, MV-HPC-iPSCs were clustered in naive hPSCs group while MV-HPC-iPSCs after culturing in primed induction condition showed primed-like features (Fig.2). Moreover, whole genome bisulfite sequencing analysis showed that MV-HPC-iPSCs had lower methylation than primed MV-HPC-iPSCs. These results strongly suggested that MV could induce naive-like iPSCs directly, and primed induction culture changed the cells to primed state with increasing genomic methylation.
Considering the very safe history of MV vaccine, the capabilities of simultaneous expressions of multiple genes and the high transduction efficiency for hematopoietic cells including UTs, our MVs will be useful to directly induce naive state iPSCs, and be a promising tool for developing new T-cell immunotherapies.
Liao:TAKARA BIO, INC.: Research Funding; Shinnihonseiyaku Co., Ltd: Research Funding; neopharma Japan Co. Ltd: Research Funding. Soda:TAKARA BIO, INC.: Research Funding; Shinnihonseiyaku Co., Ltd: Research Funding; neopharma Japan Co. Ltd: Research Funding. Miura:Neoprecision therapeutics: Research Funding. Tahara:TAKARA BIO, INC.: Research Funding. Miyamoto:neopharma Japan Co. Ltd: Research Funding; Shinnihonseiyaku Co., Ltd: Research Funding; TAKARA BIO, INC.: Research Funding. Takeda:TAKARA BIO, INC.: Research Funding. Tani:Oncolys BioPharma Inc.: Equity Ownership; SymBio Pharmaceuticals Limited: Equity Ownership; TAKARA BIO, INC.: Research Funding; Neoprecision therapeutics: Equity Ownership, Research Funding; neopharma Japan Co. Ltd: Research Funding; Shinnihonseiyaku Co., Ltd: Equity Ownership.
Author notes
Asterisk with author names denotes non-ASH members.
