A 13-year-old girl was referred for adenopathy. At 6 years of age, she developed recurrent otitis media; at 11 years of age, she developed cervical adenopathy. Computed tomography imaging documented splenic hilar adenopathy and splenomegaly (15.7 cm). Immunoglobulins were normal. Antibody responses to pneumococcal vaccination were <0.3 mg/dL. T-cell responses to Candida albicans were absent. Increased CD19+ B cells (44%; normal, 17%-24%) and naive (CD19+CD27−) B cells (90%; normal, 61%-83%) as well as diminished memory (CD19+CD27+) B cells (10%; normal, 17%-39%) were noted. Family history disclosed a maternal history of recurrent adenopathy and lymphoma in the maternal grandfather. A lymph node biopsy demonstrated follicular hyperplasia (panel A; original magnification ×4, hematoxylin and eosin stain) and expanded mantle zones with immunoglobulin D+ B cells (panel B; original magnification ×4, immunohistochemical stain for immunoglobulin D) as depicted. A heterozygous missense mutation (c.146G>A) in exon 3 of the CARD11 gene was documented.
B-cell expansion with NF-κB and T-cell anergy (BENTA) is a congenital lymphoproliferative disorder linked to germ line–encoded, gain-of-function mutations in CARD11, encoding the CARD-containing MAGUK protein 1 (Carma 1). Carma 1 is required for antigen receptor–induced NF-κB activation in lymphocytes. Splenomegaly, polyclonal B-cell lymphocytosis, otitis media, poor antibody responses to polysaccharides, and mild T-cell immunodeficiency were suggestive of BENTA.
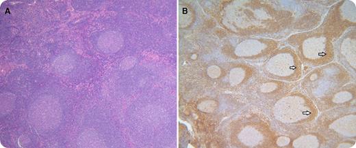
A 13-year-old girl was referred for adenopathy. At 6 years of age, she developed recurrent otitis media; at 11 years of age, she developed cervical adenopathy. Computed tomography imaging documented splenic hilar adenopathy and splenomegaly (15.7 cm). Immunoglobulins were normal. Antibody responses to pneumococcal vaccination were <0.3 mg/dL. T-cell responses to Candida albicans were absent. Increased CD19+ B cells (44%; normal, 17%-24%) and naive (CD19+CD27−) B cells (90%; normal, 61%-83%) as well as diminished memory (CD19+CD27+) B cells (10%; normal, 17%-39%) were noted. Family history disclosed a maternal history of recurrent adenopathy and lymphoma in the maternal grandfather. A lymph node biopsy demonstrated follicular hyperplasia (panel A; original magnification ×4, hematoxylin and eosin stain) and expanded mantle zones with immunoglobulin D+ B cells (panel B; original magnification ×4, immunohistochemical stain for immunoglobulin D) as depicted. A heterozygous missense mutation (c.146G>A) in exon 3 of the CARD11 gene was documented.
B-cell expansion with NF-κB and T-cell anergy (BENTA) is a congenital lymphoproliferative disorder linked to germ line–encoded, gain-of-function mutations in CARD11, encoding the CARD-containing MAGUK protein 1 (Carma 1). Carma 1 is required for antigen receptor–induced NF-κB activation in lymphocytes. Splenomegaly, polyclonal B-cell lymphocytosis, otitis media, poor antibody responses to polysaccharides, and mild T-cell immunodeficiency were suggestive of BENTA.
For additional images, visit the ASH IMAGE BANK, a reference and teaching tool that is continually updated with new atlas and case study images. For more information visit http://imagebank.hematology.org.
