Abstract
Introduction:
Second malignancies, including lymphoma, occur at a higher incidence in men previously treated for germ cell tumors than in the general population (1). Synchronous presentation of seminoma and lymphoma is rare but has important ramifications for the treatment of both malignancies. Without clinical vigilance this situation may be easily missed, leading to inappropriate management of each cancer. We describe a patient found to have synchronous seminoma and Hodgkin Lymphoma and discuss the effects of the dual diagnoses on his evaluation and care.
Case presentation:
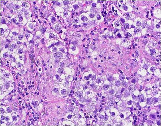
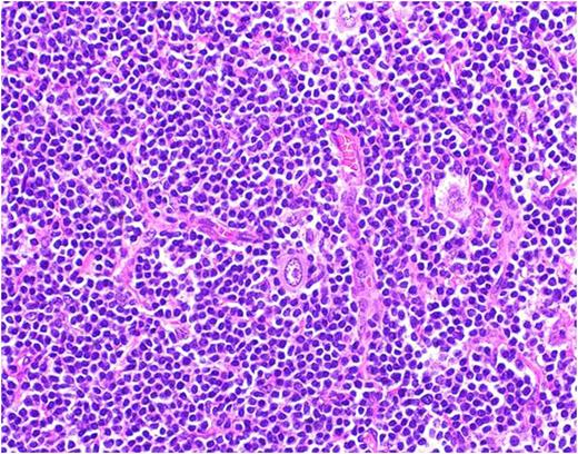
A 59 year old male with no significant medical history presented with progressive swelling and erythema of the right testis. Testicular cancer was suspected and he underwent a radical right inguinal orchiectomy. Pathology revealed a 5.7cm seminoma of the testis with lymphovascular invasion and without spermatic cord involvement (pT2) (Fig. 1). His tumor markers including AFP, LDH, and Beta-HCG were normal (S0). A CT scan of the chest, abdomen and pelvis followed by a PET/CT revealed enlarged, hypermetabolic mediastinal, hilar and periportal lymphadenopathy interpreted by the radiologist as concerning for metastatic disease. Given the atypical distribution for lymphadenopathy from testicular seminoma, an excisional biopsy of a left hilar node was performed and revealed Classical Hodgkin Lymphoma with IHC positive for CD15, CD30 and PAX-5 (Fig 2). He denied any B-symptoms and his bone marrow was uninvolved by lymphoma (stage IIIA). Adjuvant therapy for his germ cell tumor, otherwise an important consideration, was deferred and he began chemotherapy with adriamycin, bleomycin, vinblastine and dacarbazine (ABVD) for 6 cycles. Interim PET/CT after 2 cycles of ABVD showed a complete response. He has completed 6 cycles of ABVD and chose observation as opposed to single dose of adjuvant carboplatin for his seminoma and is currently under surveillance for both malignancies.
Discussion:
The unusual coexistence of Hodgkin Lymphoma and seminoma has rarely been documented in medical literature, with three other cases previously reported (2, 3). In each case a biopsy of lymphadenopathy, primarily outside the retroperitoneum, yielded a diagnosis of lymphoma. Both Hodgkin Lymphoma and germ cell tumors commonly involve lymph nodes and present in young men. Lymphadenopathy may understandably be assumed to represent metastatic disease in a young man with known testicular cancer. Clinical vigilance is necessary to question the nature of atypical sites of lymphadenopathy in such a patient, and to pursue the possibility of an alternate diagnosis with a lymph node biopsy. A missed diagnosis of lymphoma in such a patient would also mean harmful over-staging of the germ cell tumor. While these two cancers represent two of the most curable malignancies, their treatment is different and would be grossly wrong if each cancer is not correctly diagnosed and staged.
Conclusion:
Our report highlights the importance of clinical suspicion of a lymphoma in patients with another cancer and lymphadenopathy not typical of metastatic disease for that tumor type. In such situations a lymph node biopsy is crucial in order to proceed with the correct therapy of each malignancy. While the simultaneous presentation of Hodgkin Lymphoma and seminoma is rare, cases like ours highlight the importance of questioning metastatic disease when lymphoma seems to be a possibility.
References
1. Travis LB, Curtis RE, Storm H, Hall P, Holowaty E, Van Leeuwen FE, et al. Risk of second malignant neoplasms among long-term survivors of testicular cancer. J Natl Cancer Inst 1997;89:1429-39
2. Dexeus FH, Kilbourn R, Chong C, et al: Association of germ cell tumors and
Hodgkins disease. Urology 37:129-134, 1991
3. Gerl, A., Clemm, C., Salat, C., Mittermüller, J., Bomfleur, W. and Wilmanns, W. Testicular cancer and Hodgkin disease in the same patient. (1993) Cancer, 71: 2838-2840.
Testicular mass- Seminoma
Lymph node biopsy- Classic Hodgkin's lymphoma
No relevant conflicts of interest to declare.
Author notes
Asterisk with author names denotes non-ASH members.

