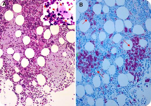
A 61-year-old woman with a remote history of renal transplant was admitted for evaluation of weakness and intermittent cough for the past 3 months and pulsating headache for 1 month. She had diarrhea for several years. She denied experiencing fever, night sweats, or weight loss. She was on tacrolimus/mycophenolate/prednisone and ciprofloxacin. She had diffuse lymphadenopathy/splenomegaly and a right lower pulmonary cavitary lesion. Her complete blood cell count illustrated the following: white blood cell count, 2.28 × 109/L; neutrophils, 1.98 × 109/L; hemoglobin level, 72 g/L; and platelets, 76 × 109/L. A diagnosis of posttransplant lymphoproliferative disorder (PTLD) was suspected. Biopsy of the right cervical lymph node showed infiltrate of histiocytes with acid-fast positive bacilli. Marrow aspirate was reactive, with multiple foamy histiocytes (panel A inset; original magnification ×60; May-Grünwald-Giemsa stain). Biopsy demonstrated multiple noncaseating granulomas (panel A; original magnification ×40; hematoxylin and eosin stain) and abundant acid-fast positive bacilli within the histiocytes (panel B; original magnification ×40; Ziehl-Neelsen stain). Morphology, flow cytometry, and immunohistochemistry ruled out PTLD. Cultures of blood, sputum, urine, stool, and marrow were positive for Mycobacterium avium complex (MAC). The patient developed bowel obstruction with pathological proven Mycobacterium ileocolitis and inflammatory pseudotumor. Viral testing, including HIV, was negative. A diagnosis of disseminated MAC infection was established based on the lymph node/marrow laboratory and clinical findings. The patient was treated with antimycobacterial therapy.
Marrow granuloma is an uncommon finding but can occur in post–renal transplant patients on immunosuppressive therapy with MAC infection.
A 61-year-old woman with a remote history of renal transplant was admitted for evaluation of weakness and intermittent cough for the past 3 months and pulsating headache for 1 month. She had diarrhea for several years. She denied experiencing fever, night sweats, or weight loss. She was on tacrolimus/mycophenolate/prednisone and ciprofloxacin. She had diffuse lymphadenopathy/splenomegaly and a right lower pulmonary cavitary lesion. Her complete blood cell count illustrated the following: white blood cell count, 2.28 × 109/L; neutrophils, 1.98 × 109/L; hemoglobin level, 72 g/L; and platelets, 76 × 109/L. A diagnosis of posttransplant lymphoproliferative disorder (PTLD) was suspected. Biopsy of the right cervical lymph node showed infiltrate of histiocytes with acid-fast positive bacilli. Marrow aspirate was reactive, with multiple foamy histiocytes (panel A inset; original magnification ×60; May-Grünwald-Giemsa stain). Biopsy demonstrated multiple noncaseating granulomas (panel A; original magnification ×40; hematoxylin and eosin stain) and abundant acid-fast positive bacilli within the histiocytes (panel B; original magnification ×40; Ziehl-Neelsen stain). Morphology, flow cytometry, and immunohistochemistry ruled out PTLD. Cultures of blood, sputum, urine, stool, and marrow were positive for Mycobacterium avium complex (MAC). The patient developed bowel obstruction with pathological proven Mycobacterium ileocolitis and inflammatory pseudotumor. Viral testing, including HIV, was negative. A diagnosis of disseminated MAC infection was established based on the lymph node/marrow laboratory and clinical findings. The patient was treated with antimycobacterial therapy.
Marrow granuloma is an uncommon finding but can occur in post–renal transplant patients on immunosuppressive therapy with MAC infection.
For additional images, visit the ASH IMAGE BANK, a reference and teaching tool that is continually updated with new atlas and case study images. For more information visit http://imagebank.hematology.org.

