Abstract
Aplastic anemia (AA) in Mexico has an incidence of 3.5-4.0 x 106 (Hematology 2002;7:229-232). The presentation of idiopathic hepatitis associated aplastic anemia (IHAAA) in México is unknown due to data was not found on PubMed, but represents from 2-5% of all cases of AA in Europe and Far East (Virology 2011;8:87 and Br J Haematol 2010;149:890-895).
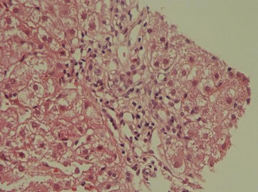
A previously healthy and normal family history 15 years old boy presented with epistaxis, pallor, jaundice, choluria and slightly hepato and splenomegaly, which were confirmed with full body CT scan, and no other alterations were detected. Remarkable results from AMA designated disease/organ panels were Hb 11.7 g/dL, adjusted reticulocytes 0.26%, neutrophils 0.931 K/µL, platelets 5.0 K/µL, ALT 1920 U/L, AST 2300 U/L, conjugated bilirubin 17 mg/dL, unconjugated bilirubin 15 md/dL, ferritin 1135 ng/mL. Supportive care was given and study for pancytopenia and hepatitis was started. Negative results from complete autoimmune panel including anti-LKM, anti-smooth muscle and anti-mitochondrial antibodies; panels for all hepatitis viruses, HIV, STORCH, EB, CMV, PVB19 and leptospira were negative. The patient was prepared for biopsies. Liver biopsy showed steatohepatitis, grade 2 fibrosis and lymphocyte infiltrates. Bone marrow biopsy showed 5% cellularity with absence of myeloid and megakaryocytes precursors, only erythroblasts and lymphoplasmocytoid cells; flow cytometry reported no abnormal cells and G-band karyotypes with and without mitomycin were normal. While the results from the biopsies the hepatic function improves but pancytopenia worsened to Hb 6.4 g/dL and neutrophils 0.124 K/µL. IHAAA was diagnosed and the patient continues with supportive care while results from siblings for allogeneic transplant arrive.
IHAAA is well described condition where secondary causes are ruled out. Autoreactive T lymphocytes and cytokines are implied in the pathophysiology as in conventional AA, affecting transiently the liver; and treatment is the same for both entities.
No relevant conflicts of interest to declare.
Author notes
Asterisk with author names denotes non-ASH members.


